Variation in Body Mass and Skeletal Muscle Indices in Head and Neck Cancer Patients Undergoing (Chemo)Radiotherapy and Nutritional Intervention
Abstract
1. Introduction
2. Materials and Methods
2.1. Study Population
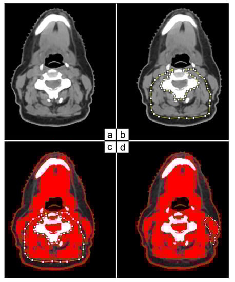
2.2. SMI Calculation
2.3. Statistical Analysis
3. Results
4. Discussion
5. Conclusions
Author Contributions
Funding
Institutional Review Board Statement
Informed Consent Statement
Data Availability Statement
Conflicts of Interest
References
- NIH National Cancer Institute Website. Available online: https://www.cancer.gov/types/head-and-neck/head-neck-fact-sheet (accessed on 5 December 2022).
- Paleri, V.; Wight, R.G.; Silver, C.E.; Haigentz, M.; Takes, R.P.; Bradley, P.J.; Rinaldo, A.; Sanabria, A.; Bień, S.; Ferlito, A. Comorbidity in head and neck cancer: A critical appraisal and recommendations for practice. Oral. Oncol. 2010, 46, 712–719. [Google Scholar] [CrossRef] [PubMed]
- Shaw, S.C.; Dennison, E.M.; Cooper, C. Epidemiology of Sarcopenia: Determinants Throughout the Lifecourse. Calcif. Tissue Int. 2017, 101, 229–247. [Google Scholar] [CrossRef] [PubMed]
- Pamoukdjian, F.; Bouillet, T.; Lévy, V.; Soussan, M.; Zelek, L.; Paillaud, E. Prevalence and predictive value of pre-therapeutic sarcopenia in cancer patients: A systematic review. Clin. Nutr. 2018, 37, 1101–1113. [Google Scholar] [CrossRef] [PubMed]
- Hua, X.; Liu, S.; Liao, J.F.; Wen, W.; Long, Z.Q.; Lu, Z.J.; Guo, L.; Lin, H.X. When the Loss Costs Too Much: A Systematic Review and Meta-Analysis of Sarcopenia in Head and Neck Cancer. Front. Oncol. 2020, 9, 1561. [Google Scholar] [CrossRef] [PubMed]
- Cruz-Jentoft, A.J.; Baeyens, J.P.; Bauer, J.M.; Boirie, Y.; Cederholm, T.; Landi, F.; Martin, F.C.; Michel, J.P.; Rolland, Y.; Schneider, S.M.; et al. Sarcopenia: European consensus on definition and diagnosis. Age Ageing 2010, 39, 412–423. [Google Scholar] [CrossRef] [PubMed]
- Kiss, N.; Loeliger, J.; Findlay, M.; Isenring, E.; Baguley, B.J.; Boltong, A.; Butler, A.; Deftereos, I.; Eisenhuth, M.; Fraser, S.F.; et al. Clinical Oncology Society of Australia: Position statement on cancer-related malnutrition and sarcopenia. Nutr. Diet. 2020, 77, 416–425. [Google Scholar] [CrossRef] [PubMed]
- Muscaritoli, M.; Arends, J.; Aapro, M. From guidelines to clinical practice: A roadmap for oncologists for nutrition therapy for cancer patients. Ther. Adv. Med. Oncol. 2019, 11, 1758835919880084. [Google Scholar] [CrossRef]
- Jin, W.; Rich, B.; Yechieli, R.; Freedman, L.; Samuels, M.A.; Abramowitz, M.; Carmona, R.; Samuels, S.E. A Single Axial Slice of the Sternocleidomastoids and Paravertebral Muscles Associated with Worse Local Progression-Free Survival and Severe Toxicity in Sarcopenic Head and Neck Cancer Patients Undergoing Radiotherapy. Cureus 2022, 14, e22463. [Google Scholar] [CrossRef]
- Shachar, S.S.; Williams, G.R.; Muss, H.B.; Nishijima, T.F. Prognostic value of sarcopenia in adults with solid tumours: A meta-analysis and systematic review. Eur. J. Cancer 2016, 57, 58–67. [Google Scholar] [CrossRef]
- Findlay, M.; White, K.; Stapleton, N.; Bauer, J. Is sarcopenia a predictor of prognosis for patients undergoing radiotherapy for head and neck cancer? A meta-analysis. Clin. Nutr. 2021, 40, 1711–1718. [Google Scholar] [CrossRef]
- Wong, A.; Zhu, D.; Kraus, D.; Tham, T. Radiologically Defined Sarcopenia Affects Survival in Head and Neck Cancer: A Meta-Analysis. Laryngoscope 2021, 131, 333–341. [Google Scholar] [CrossRef] [PubMed]
- Arends, J.; Bachmann, P.; Baracos, V.; Barthelemy, N.; Bertz, H.; Bozzetti, F.; Fearon, K.; Hütterer, E.; Isenring, E.; Kaasa, S.; et al. ESPEN guidelines on nutrition in cancer patients. Clin. Nutr. 2017, 36, 11–48. [Google Scholar] [CrossRef] [PubMed]
- Alsubaie, H.M.; Alsini, A.Y.; Alsubaie, K.M.; Abu-Zaid, A.; Alzahrani, F.R.; Sayed, S.; Pathak, A.K.; Alqahtani, K.H. Glutamine for prevention and alleviation of radiation-induced oral mucositis in patients with head and neck squamous cell cancer: Systematic review and meta-analysis of controlled trials. Head Neck 2021, 43, 3199–3213. [Google Scholar] [CrossRef] [PubMed]
- de van der Schueren, M.A.E. Use and effects of oral nutritional supplements in patients with cancer. Nutrition 2019, 67, 110550. [Google Scholar]
- Hashim, D.; Boffetta, P. Head and neck cancers. Occup. Cancers 2020. [Google Scholar] [CrossRef]
- Gomez-Perez, S.; McKeever, L.; Sheean, P. Tutorial: A Step-by-Step Guide (Version 2.0) for Measuring Abdominal Circumference and Skeletal Muscle From a Single Cross-Sectional Computed-Tomography Image Using the National Institutes of Health ImageJ. J. Parenter. Enter. Nutr. 2020, 44, 419–424. [Google Scholar] [CrossRef]
- Ufuk, F.; Herek, D.; Yüksel, D. Diagnosis of sarcopenia in head and neck computed tomography: Cervical muscle mass as a strong indicator of Sarcopenia. Clin. Exp. Otorhinolaryngol. 2019, 12, 317–324. [Google Scholar] [CrossRef]
- Zheng, Z.; Zhao, X.; Zhao, Q.; Zhang, Y.; Liu, S.; Liu, Z.; Meng, L.; Xin, Y.; Jiang, X. The Effects of Early Nutritional Intervention on Oral Mucositis and Nutritional Status of Patients With Head and Neck Cancer Treated With Radiotherapy. Front. Oncol. 2021, 10, 595632. [Google Scholar] [CrossRef]
- Nishigori, T.; Obama, K.; Sakai, Y. Assessment of body composition and impact of sarcopenia and sarcopenic obesity in patients with gastric cancer. Transl. Gastroenterol. Hepatol. 2020, 5, 22. [Google Scholar] [CrossRef]
- Bickenbach, K.A.; Denton, B.; Gonen, M.; Brennan, M.F.; Coit, D.G.; Strong, V.E. Impact of obesity on perioperative complications and long-term survival of patients with gastric cancer. Ann. Surg. Oncol. 2013, 20, 780–787. [Google Scholar] [CrossRef]
- Grossberg, A.J.; Chamchod, S.; Fuller, C.D.; Mohamed, A.S.R.; Heukelom, J.; Eichelberger, H.; Kantor, M.E.; Hutcheson, K.A.; Gunn, G.B.; Garden, A.S.; et al. Association of body composition with survival and locoregional control of radiotherapy-treated head and neck squamous cell carcinoma. JAMA Oncol. 2016, 2, 782–789. [Google Scholar] [CrossRef] [PubMed]
- Morley, J.E. Frailty and sarcopenia in elderly. Wien. Klin. Wochenschr. 2016, 128, 439–445. [Google Scholar] [CrossRef] [PubMed]
- Tsekoura, M.; Kastrinis, A.; Katsoulaki, M.; Billis, E.; Gliatis, J. Sarcopenia and its impact on quality of life. Adv. Exp. Med. Biol. 2017, 987, 213–218. [Google Scholar]
- Ní Bhuachalla, É.B.; Daly, L.E.; Power, D.G.; Cushen, S.J.; MacEneaney, P.; Ryan, A.M. Computed tomography diagnosed cachexia and sarcopenia in 725 oncology patients: Is nutritional screening capturing hidden malnutrition? J. Cachexia. Sarcopenia Muscle 2018, 9, 295–305. [Google Scholar] [CrossRef] [PubMed]
- Jung, A.R.; Roh, J.L.; Kim, J.S.; Kim, S.B.; Choi, S.H.; Nam, S.Y.; Kim, S.Y. Prognostic value of body composition on recurrence and survival of advanced-stage head and neck cancer. Eur. J. Cancer 2019, 116, 98–106. [Google Scholar] [CrossRef]
- Ferrão, B.; Neves, P.M.; Santos, T.; Capelas, M.L.; Mäkitie, A.; Ravasco, P. Body composition changes in patients with head and neck cancer under active treatment: A scoping review. Support. Care Cancer 2020, 28, 4613–4625. [Google Scholar] [CrossRef]
- Dalle, S.; Rossmeisolva, L.; Koppo, K. The Role of Inflammation in Age-Related Sarcopenia. Front. Physiol. 2017, 8, 1045. [Google Scholar] [CrossRef]
- Churchward-venne, T.A.; Burd, N.A.; Phillips, S.M. Nutritional regulation of muscle protein synthesis with resistance exercise: Strategies to enhance anabolism. Nutr. Metab. 2012, 9, 40. [Google Scholar] [CrossRef]
- Elting, L.S.; Cooksley, C.D.; Chambers, M.S.; Garden, A.S. Risk, Outcomes, and Costs of Radiation-Induced Oral Mucositis Among Patients With Head-and-Neck Malignancies. Int. J. Radiat. Oncol. Biol. Phys. 2007, 68, 1110–1120. [Google Scholar] [CrossRef]
- Meng, L.; Wei, J.; Ji, R.; Wang, B.; Xu, X.; Xin, Y.; Jiang, X. Effect of early nutrition intervention on advanced nasopharyngeal carcinoma patients receiving chemoradiotherapy. J. Cancer 2019, 10, 3650–3656. [Google Scholar] [CrossRef]
- Kono, M.; Wakisaka, R.; Kumai, T.; Hayashi, R.; Komatsuda, H.; Sato, R.; Abe, Y.; Yamaki, H.; Takahara, M.; Katada, A.; et al. Effects of early nutritional intervention by a nutritional support team for patients with head and neck cancer undergoing chemoradiotherapy or radiotherapy. Head Neck 2021, 43, 514–519. [Google Scholar] [CrossRef] [PubMed]
- Garabige, V.; Giraud, P.; De Rycke, Y.; Girod, A.; Jouffroy, T.; Jaulerry, C.; Brunin, F.; Rodriguez, J. Intérêt de la prise en charge nutritionnelle des patients traités par irradiation des voies aérodigestives supérieures: La consultation diététique est-elle utile? Cancer/Radiotherapie 2007, 11, 111–116. [Google Scholar] [CrossRef]
- González-Rodríguez, M.; Villar-Taibo, R.; Fernández-Pombo, A.; Pazos-Couselo, M.; Sifontes-Dubón, M.A.; Ferreiro-Fariña, S.; Cantón-Blanco, A.; Martínez-Olmos, M.A. Early versus conventional nutritional intervention in head and neck cancer patients before radiotherapy: Benefits of a fast-track circuit. Eur. J. Clin. Nutr. 2021, 75, 748–753. [Google Scholar] [CrossRef] [PubMed]
- Tsujimoto, T.; Yamamoto, Y.; Wasa, M.; Takenaka, Y.; Nakahara, S.; Takagi, T.; Tsugane, M.; Hayashi, N.; Maeda, K.; Inohara, H.; et al. L-glutamine decreases the severity of mucositis induced by chemoradiotherapy in patients with locally advanced head and neck cancer: A double-blind, randomized, placebo-controlled trial. Oncol. Rep. 2015, 33, 33–39. [Google Scholar] [CrossRef] [PubMed]


| Feature/Variable | Number (%) |
|---|---|
| Gender | |
| Female | 15 (20.5) |
| Male | 58 (79.5) |
| Age (mean ± SD) | 61 ± 10.9 |
| Alcohol use | |
| No | 46 (63.0) |
| Yes | 27 (37.0) |
| Smoking habit | |
| No | 12 (16.4) |
| Yes | 61 (83.6) |
| Charlson Score | |
| 1–4 | 45 (61.6) |
| 5–11 | 28 (38.4) |
| Tumor Site | |
| Oral cavity | 16 (21.9) |
| Oropharynx | 27 (37.0) |
| Nasopharynx | 14 (19.2) |
| Hypophpharynx | 5 (6.9) |
| Larynx | 9 (12.3) |
| Unknown primary | 2 (2.7) |
| HPV | |
| Negative | 27 (37.0) |
| Positive | 26 (35.6) |
| NA | 20 (27.4) |
| Grading | |
| G1 | 2 (2.7) |
| G2 | 32 (43.8) |
| G3 | 39 (53.4) |
| Stage (AJCC 8th edition) | |
| I | 10 (13.7) |
| II | 14 (19.2) |
| III | 20 (27.4) |
| IV A | 20 (27.4) |
| IV B | 8 (11.0) |
| IV C | 1 (1.4) |
| BMI Difference T3 vs. T0 Mean ± SD (kg/m2) | SMI Difference T3 vs. T0 Mean ± SD (cm2/m2) | |
|---|---|---|
| Gender | ||
| Female | −1.5 ± 1.9 | 1.7 ± 5.0 |
| Male | −1.3 ± 1.8 | 2.1 ± 5.6 |
| p-value | 0.96 | 0.86 |
| Stage | ||
| I–II | −1.5 ± 1.5 | 2.8 ± 4.7 |
| III–IV | −1.2 ± 2.0 | 1.6 ± 5.8 |
| p-value | 0.51 | 0.25 |
| Glutamine suppl. | ||
| No | −1.4 ± 1.8 | 1.6 ± 6.0 |
| Yes | −1.3 ± 1.9 | 2.4 ± 5.1 |
| p-value | 0.7378 | 0.4890 |
| Smoking | ||
| No | −1.8 ± 1.7 | 2.8 ± 4.9 |
| Yes | −1.2 ± 1.8) | 1.9 ± 5.6 |
| p-value | 0.2549 | 0.6233 |
| Alcohol use | ||
| No | −1.4 ± 1.7 | 1.7 ± 4.6 |
| Yes | −1.2 ± 2.0 | 2.5 ± 6.8 |
| p-value | 0.5834 | 0.5002 |
| Oral mucosal toxicity | ||
| G0/G1 | −0.8 ± 1.9 | 1.6 ± 5.1 |
| G2/G3 | −1.5 ± 1.8 | 2.1 ± 5.6 |
| p-value | 0.2486 | 0.8271 |
| Acute skin toxicity | ||
| G0/G1 | −1.7 ± 1.1 | 1.2 ± 4.0 |
| G2/G3 | −1.2 ± 2.0 | 2.3 ± 5.9 |
| p-value | 0.1874 | 0.6450 |
Disclaimer/Publisher’s Note: The statements, opinions and data contained in all publications are solely those of the individual author(s) and contributor(s) and not of MDPI and/or the editor(s). MDPI and/or the editor(s) disclaim responsibility for any injury to people or property resulting from any ideas, methods, instructions or products referred to in the content. |
© 2022 by the authors. Licensee MDPI, Basel, Switzerland. This article is an open access article distributed under the terms and conditions of the Creative Commons Attribution (CC BY) license (https://creativecommons.org/licenses/by/4.0/).
Share and Cite
Pisani, C.; Mastroleo, F.; Collo, A.; Ferrante, D.; Carabelli, G.; Franco, P.; Riso, S.; Dell’Era, V.; Garzaro, M.; Aluffi Valletti, P.; et al. Variation in Body Mass and Skeletal Muscle Indices in Head and Neck Cancer Patients Undergoing (Chemo)Radiotherapy and Nutritional Intervention. Curr. Oncol. 2023, 30, 250-260. https://doi.org/10.3390/curroncol30010020
Pisani C, Mastroleo F, Collo A, Ferrante D, Carabelli G, Franco P, Riso S, Dell’Era V, Garzaro M, Aluffi Valletti P, et al. Variation in Body Mass and Skeletal Muscle Indices in Head and Neck Cancer Patients Undergoing (Chemo)Radiotherapy and Nutritional Intervention. Current Oncology. 2023; 30(1):250-260. https://doi.org/10.3390/curroncol30010020
Chicago/Turabian StylePisani, Carla, Federico Mastroleo, Alessandro Collo, Daniela Ferrante, Greta Carabelli, Pierfrancesco Franco, Sergio Riso, Valeria Dell’Era, Massimiliano Garzaro, Paolo Aluffi Valletti, and et al. 2023. "Variation in Body Mass and Skeletal Muscle Indices in Head and Neck Cancer Patients Undergoing (Chemo)Radiotherapy and Nutritional Intervention" Current Oncology 30, no. 1: 250-260. https://doi.org/10.3390/curroncol30010020
APA StylePisani, C., Mastroleo, F., Collo, A., Ferrante, D., Carabelli, G., Franco, P., Riso, S., Dell’Era, V., Garzaro, M., Aluffi Valletti, P., & Krengli, M. (2023). Variation in Body Mass and Skeletal Muscle Indices in Head and Neck Cancer Patients Undergoing (Chemo)Radiotherapy and Nutritional Intervention. Current Oncology, 30(1), 250-260. https://doi.org/10.3390/curroncol30010020

