Spinal Manifestation of Malignant Primary (PLB) and Secondary Bone Lymphoma (SLB)
Abstract
1. Introduction
2. Materials and Methods
2.1. Patients and Methods
2.2. Statistics
2.3. Ethics Approval
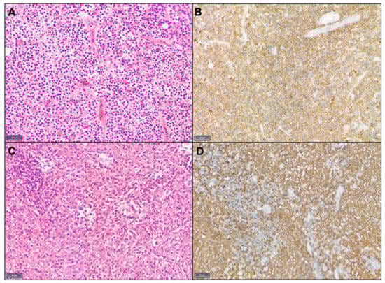
3. Results
4. Discussion
5. Conclusions
Author Contributions
Funding
Institutional Review Board Statement
Informed Consent Statement
Data Availability Statement
Conflicts of Interest
References
- Messina, C.; Christie, D.; Zucca, E.; Gospodarowicz, M.; Ferreri, A.J. Primary and secondary bone lymphomas. Cancer Treat. Rev. 2015, 41, 235–246. [Google Scholar] [CrossRef]
- Chisholm, K.M.; Ohgami, R.S.; Tan, B.; Hasserjian, R.P.; Weinberg, O.K. Primary lymphoma of bone in the peiatric and young adult population. Hum. Pathol. 2017, 60, 1–10. [Google Scholar] [CrossRef] [PubMed]
- Ostrowski, M.L.; Unni, K.K.; Banks, P.M.; Shives, T.C.; Evans, R.G.; O’Connell, M.J.; Taylor, W.F. Malignant lymphoma of bone. Cancer 1986, 58, 2646–2655. [Google Scholar] [CrossRef]
- Sultan, S.; Baloch, N.; Ahmed, Z.A.; Irfan, S.M.; Parveen, S. Pattern of bone marrow involvement in non Hodgkin’s lymphoma classified according to WHO classification: Report of a developing country Pakistan. J. Lab. Physicians 2018, 10, 17–20. [Google Scholar] [CrossRef] [PubMed]
- Alencar, A.; Pitcher, D.; Byrne, G.; Lossos, I.S. Primary bone lymphoma—The University of Miami experiences. Leuk. Lymphoma 2010, 51, 39–49. [Google Scholar] [CrossRef]
- Messina, C.; Ferreri, A.J.; Govi, S.; Bruno-Ventre, M.; Gracia Medina, E.A.; Porter, D.; Radford, J.; Heo, D.S.; Park, H.Y.; Pro, B.; et al. Clinical features, management and prognosis of multifocal primary bone lymphoma: A retrospective study of the international extranodal lymphoma study group (the IELSG 14 study). Br. J. Haematol. 2014, 164, 834–840. [Google Scholar] [CrossRef] [PubMed]
- Maruyama, D.; Watanabe, T.; Beppu, Y.; Kobayashi, Y.; Kim, S.W.; Tanimoto, K.; Makimoto, A.; Kagami, Y.; Terauchi, T.; Matsuno, Y.; et al. Primary bone lymphoma: A new and detailed characterization of 28 patients in a single-institution study. Jpn. J. Clin. Oncol. 2007, 37, 216–223. [Google Scholar] [CrossRef]
- Wang, Y.; Li, J.; Wei, R.; Liu, C.; Nataraj, A.; Yan, J. Prognostic Factors Associated with Bone Lymphoma Primarily Presenting in the Spine. Spine 2019, 44, 185–194. [Google Scholar] [CrossRef]
- Hashi, S.; Goodwin, C.R.; Ahmed, A.K.; Sciubba, D.M. Management of extranodal lymphoma of the spine: A study of 30 patients. CNS Oncol. 2018, 7, CNS11. [Google Scholar] [CrossRef] [PubMed]
- Chang, C.M.; Chen, H.C.; Yang, Y.; Wang, R.C.; Hwang, W.L.; Teng, C.L. Surgical decompression improves recovery from neurological deficit and may provide a survival benefit in patients with diffuse large B-cell lymphoma-associated spinal cord compression: A case series study. World J. Surg. Oncol. 2013, 11, 90. [Google Scholar] [CrossRef]
- Han, S.; Yang, X.; Jiang, D.; Zhou, W.; Liu, T.; Yan, W.; Wang, T.; Cheng, L.; Xiao, J. Surgical outcomes and prognostic factors in patients with diffuse large B-cell lymphoma-associated metastatic spinal cord compression. Spine 2016, 41, 943–948. [Google Scholar] [CrossRef]
- Kaloostian, P.E.; Yurter, A.; Zadnik, P.L.; Sciubba, D.M.; Gokaslan, Z.L. Current paradigms for metastatic spinal disease: An evidence-based review. Ann. Surg. Oncol. 2013, 21, 248–262. [Google Scholar] [CrossRef] [PubMed]
- Laufer, I.; Rubin, D.G.; Lis, E.; Cox, B.W.; Stubblefield, M.D.; Yamada, Y.; Bilsky, M.H. The NOMS Framework: Approach to the treatment of spinal metastatic tumors. Oncologist 2013, 18, 744–751. [Google Scholar] [CrossRef] [PubMed]
- Love, J.G.; Miller, R.H.; Kernohan, J.W. Lymphomas of spinal epidural space. AMA Arch. Surg. 1954, 69, 66–76. [Google Scholar] [CrossRef] [PubMed]
- World Medical Association. Declaration of Helsinki: Ethical principles for medical research involving human subjects. JAMA 2013, 310, 2191–2194. [Google Scholar] [CrossRef]
- Siegel, R.L.; Fedewa, S.A.; Miller, K.D.; Goding-Sauer, A.; Pinheiro, P.S.; Martinez-Tyson, D.; Jemal, A. Cancer statistics for Hispanics/Latinos, 2015. CA Cancer J. Clin. 2015, 65, 457–480. [Google Scholar] [CrossRef]
- Rodallec, M.H.; Feydy, A.; Larousserie, F.; Anract, P.; Campagna, R.; Babinet, A.; Zins, M.; Drapé, J.L. Diagnostic imaging of solitary tumors of the spine: What to do and say. Radiographics 2008, 28, 1019–1041. [Google Scholar] [CrossRef]
- Motamedi, K.; Ilaslan, H.; Seeger, L.L. Imaging of the lumbar spine neoplasms. Semin. Ultrasound CT MR 2004, 25, 474–489. [Google Scholar] [CrossRef][Green Version]
- Wu, H.; Bui, M.M.; Leston, D.G.; Shao, H.; Sokol, L.; Sotomayor, E.M.; Zhang, L. Clinical characteristics and prognostic factors of bone lymphomas: Focus on the clinical significance of multifocal bone involvement by primary bone large B-cell lymphomas. BMC Cancer 2014, 14, 900. [Google Scholar] [CrossRef]
- Aviles, A.; Fernandez, R.; Gonzalez, J.L.; García, E.L.; Neri, N.; Talavera, A.; Díaz-Maqueo, J.C. Spinal cord compression as a primary manifestation of aggressive malignant lymphomas: Long-term analysis of treatments with radiotherapy, chemotherapy or combined therapy. Leuk. Lymphoma 2002, 43, 355–359. [Google Scholar] [CrossRef]
- Friedman, M.; Kim, T.H.; Panahon, A.M. Spinal cord compression in malignant lymphoma treatment and results. Cancer 1976, 37, 1485–1491. [Google Scholar] [CrossRef]
- Correale, J.; Monteverde, D.A.; Bueri, J.A.; Reich, E.G. Peripheral nervous system and spinal cord involvement in lymphoma. Acta Neurol. Scand. 1991, 83, 45–51. [Google Scholar] [CrossRef]
- Haddad, P.; Thaell, J.F.; Kiely, J.M.; Harrison, E.G.; Miller, R.H. Lymphoma of the spinal extradural space. Cancer 1976, 1862–1866. [Google Scholar] [CrossRef]
- Patchell, R.A.; Tibbs, P.A.; Regine, W.F.; Payne, R.; Saris, S.; Kryscio, R.J.; Mohiuddin, M.; Young, B. Direct decompressive surgical resection in the treatment of spinal cord compression caused by metastatic cancer: A randomised trial. Lancet 2005, 366, 643–648. [Google Scholar] [CrossRef]
- Székely, G.; Miltényi, Z.; Mezey, G.; Simon, Z.; Gyarmati, J.; Gergely, L.; Bognár, L.; Illés, Á. Epidural malignant lymphomas of the spine: Collected experiences with epidural malignant lymphomas of the spinal canal and their treatment. Spinal Cord 2008, 46, 278–281. [Google Scholar] [CrossRef]
- Peng, X.; Wan, Y.; Chen, Y.; Chen, L.; He, A.; Liao, W.; Shen, J.; Fu, Q.; Han, S.; Li, F.; et al. Primary non-Hodgkin’s lymphoma of the spine with neurologic compression treated by radiotherapy and chemotherapy alone or combined with surgical decompression. Oncol. Rep. 2009, 21, 1269–1275. [Google Scholar] [CrossRef] [PubMed]
- Vaughan, J.J.; Winter, R.B.; Lonstein, J.E.; Johnson, J.R.; Dunnington, J.E. Non-Hodgkin lymphoma of the spine: A report of three cases with a minimum ten-year follow-up. J. Bone Jt. Surg. Am. 1998, 80, 104–110. [Google Scholar] [CrossRef] [PubMed]
- Delamarter, R.B.; Sachs, B.L.; Thompson, G.H.; Bohlman, H.M.; Maldey, J.T.; Carter, J.R. Primary neoplasms of the thoracic and lumbar spine. An analysis of 29 consecutive cases. Clin. Orthop. 1990, 256, 87–100. [Google Scholar]
- Smith, Z.A.; Sedrak, M.F.; Khoo, L.T. Primary bony non-Hodgkin lymphoma of the cervical spine: A case report. J. Med. Case Rep. 2010, 4, 35. [Google Scholar] [CrossRef]
- Kasper, E.M.; Lam, F.C.; Luedi, M.M.; Zinn, P.O.; Pihan, G.A. Primary epidural lymphocyte-depleted Hodgkin’s lymphoma of the thoracic spine—Presentation of a rare disease variant. BMC Neurol. 2012, 12, 64. [Google Scholar] [CrossRef]
- Campos, M.; Urrutia, J.; Zamora, T.; Román, J.; Canessa, V.; Borghero, Y.; Palma, A.; Molina, M. The Spine Instability Neoplastic Score: An independent reliability and reproducibility analysis. Spine J. 2014, 14, 1466–1469. [Google Scholar] [CrossRef] [PubMed]
- Schwechheimer, K.; Hashemian, A.; Ott, G.; Muller-Hermelink, H.K. Primary spinal epidural manifestation of malignant lymphoma. Histopathology 1996, 29, 265–269. [Google Scholar] [CrossRef] [PubMed]
- D’Cruz, J.; Adeeb, N.; Von Burton, G.; Georgescu, M.-M.; Larmeu, L.; Craig, H.; Murcia, D.; Sun, H. Diagnosis and management of intramedullary spinal cord lymphoma: A case illustration and review of literature. Interdiscip. Neurosurg. 2020, 19, 100552. [Google Scholar] [CrossRef]
- Guzik, G. Primary B-cell Spinal Cord Lymphoma of the Cervical Spine. Ortop. Traumatol. Rehabil. 2018, 20, 219–227. [Google Scholar] [CrossRef] [PubMed]
- Rao, A.; Griffiths, R.; Arnaoutakis, K. Paralyzed by a rare cause: An unusual case of metastatic diffuse large B cell lymphoma of the intramedullary spinal cord. Ann. Hematol. 2014, 93, 337–338. [Google Scholar] [CrossRef] [PubMed]

| Demographics N (%) or Mean/Median | Primary Spinal Lymphoma | Secondary Bone Lymphoma | Total |
|---|---|---|---|
| Age | 71.0 years | 59.1 years | 71.0 years |
| Sex | 15 m/12 f | 8 m/2 f | 23 m/14 f |
| KPSS | 70% | 80% | 70% |
| ASIA A | 1 (3.70%) | 2 (20.00%) | 3 (8.11%) |
| ASIA B | 3 (11.11%) | 0 | 3 (8.11%) |
| ASIA C | 3 (11.11%) | 0 | 3 (8.11%) |
| ASIA D | 15 (55.56%) | 4 (40.00%) | 19 (51.35%) |
| ASIA E | 5 (18.52%) | 4 (40.00%) | 9 (24.32%) |
| SINS, N (%) | |||
| Median | 7.0 | 7.0 | 7.0 |
| Mean | 7.1 | 7.2 | 7.1 |
| Stable | 10 (37.03%) | 3 (30.00%) | 13 (35.13%) |
| Indeterminate | 17 (62.97%) | 7 (70.00%) | 24 (64.87%) |
| Clinical presentation postoperative | |||
| KPSS | 70% | 80% | 70% |
| ASIA A | 1 (3.70%) | 2 (20.00%) | 3 (8.11%) |
| ASIA B | 2 (7.41%) | 0 | 2 (5.41%) |
| ASIA C | 1 (3.70%) | 0 | 1 (2.70%) |
| ASIA D | 14 (51.85%) | 4 (40.00%) | 18 (48.65%) |
| ASIA E | 9 (33.33%) | 4 (40.00%) | 13 (35.14%) |
| Overall survival in months | 7.3 | 5.4 | 7.2 |
| Location N (%) or Mean/Median | Primary Spinal Lymphoma | Secondary Bone Lymphoma | Total |
|---|---|---|---|
| Thoracic | 16 (59.26%) | 5 (50.00%) | 21 (56.76%) |
| Lumbar | 8 (29.63%) | 2 (20.00%) | 10 (27.03%) |
| Sacral | 0 | 1 (10.00%) | 1 (2.70%) |
| Cervico-thoracic | 1 (3.70%) | 1 (10.00%) | 2 (5.41%) |
| Thoraco-lumbar | 1 (3.70%) | 1 (10.00%) | 2 (5.41%) |
| Lumbo-sacral | 1 (3.70%) | 0 | 1 (2.70%) |
| Postoperative Complications N (%) or Mean/Median | Primary Spinal Lymphoma | Secondary Bone Lymphoma | Total |
|---|---|---|---|
| Pulmonary embolus | 1 (3.70%) | 0 | 1 (2.70%) |
| Deep vein thrombosis | 3 (11.11%) | 0 | 3 (8.11%) |
| Wound infection | 1 (3.70%) | 1 (10.00%) | 2 (5.41%) |
| Epidural hematoma | 1 (3.70%) | 0 | 1 (2.70%) |
| Adjuvant Treatment N (%) or Mean/Median | Primary Spinal Lymphoma | Secondary Bone Lymphoma | Total |
|---|---|---|---|
| Chemoimmunotherapy alone | 12 (44.44%) | 7 (70.00%) | 19 (51.35%) |
| Radiotherapy alone | 3 (11.11%) | 0 | 3 (8.11%) |
| Chemoimmunotherapy + radiotherapy | 5 (18.52%) | 1 (10.00%) | 6 (16.22%) |
| Unknown | 5 (18.52%) | 1 (10.00%) | 3 (8.11%) |
| No treatment | 2 (7.41%) | 1 (10.00%) | 3 (8.11%) |
| Histopathological Workup N (%) or Mean/Median | Primary Spinal Lymphoma | Secondary Bone Lymphoma | Total |
|---|---|---|---|
| DLBCL | 18 (66.67%) | 5 (50.00%) | 23 (62.16%) |
| Follicular lymphoma | 4 (14.81%) | 3 (30.00%) | 7 (18.92%) |
| Marginal zone lymphoma | 1 (3.70%) | 1 (10.00%) | 2 (5.41%) |
| Burkitt lymphoma | 1 (3.70%) | 0 | 1 (2.70%) |
| Mantle cell lymphoma | 2 (7.41%) | 0 | 2 (5.41%) |
| Anaplastic T-cell lymphoma | 1 (3.70%) | 0 | 1 (2.70%) |
| T-cell DLBCL | 0 | 1 (10.00%) | 1 (2.70%) |
Publisher’s Note: MDPI stays neutral with regard to jurisdictional claims in published maps and institutional affiliations. |
© 2021 by the authors. Licensee MDPI, Basel, Switzerland. This article is an open access article distributed under the terms and conditions of the Creative Commons Attribution (CC BY) license (https://creativecommons.org/licenses/by/4.0/).
Share and Cite
Barz, M.; Aftahy, K.; Janssen, I.; Ryang, Y.-M.; Prokop, G.; Combs, S.E.; Jost, P.J.; Meyer, B.; Gempt, J. Spinal Manifestation of Malignant Primary (PLB) and Secondary Bone Lymphoma (SLB). Curr. Oncol. 2021, 28, 3891-3899. https://doi.org/10.3390/curroncol28050332
Barz M, Aftahy K, Janssen I, Ryang Y-M, Prokop G, Combs SE, Jost PJ, Meyer B, Gempt J. Spinal Manifestation of Malignant Primary (PLB) and Secondary Bone Lymphoma (SLB). Current Oncology. 2021; 28(5):3891-3899. https://doi.org/10.3390/curroncol28050332
Chicago/Turabian StyleBarz, Melanie, Kaywan Aftahy, Insa Janssen, Yu-Mi Ryang, Georg Prokop, Stephanie E. Combs, Philipp J. Jost, Bernhard Meyer, and Jens Gempt. 2021. "Spinal Manifestation of Malignant Primary (PLB) and Secondary Bone Lymphoma (SLB)" Current Oncology 28, no. 5: 3891-3899. https://doi.org/10.3390/curroncol28050332
APA StyleBarz, M., Aftahy, K., Janssen, I., Ryang, Y.-M., Prokop, G., Combs, S. E., Jost, P. J., Meyer, B., & Gempt, J. (2021). Spinal Manifestation of Malignant Primary (PLB) and Secondary Bone Lymphoma (SLB). Current Oncology, 28(5), 3891-3899. https://doi.org/10.3390/curroncol28050332

