Malignant Sinonasal Tumors: Update on Histological and Clinical Management
Abstract
1. Introduction
2. Materials and Methods
3. Etiopathogenesis of TuNSs
4. Pathological Classification and Histotypes
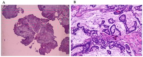
4.1. Squamous Cell Carcinoma
4.2. Lymphoepithelial Carcinoma
4.3. Undifferentiated Sinonasal Carcinoma (SNUC)
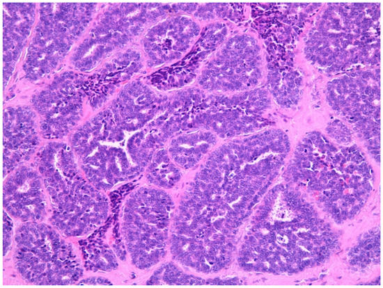
4.4. Sinonasal Adenocarcinomas
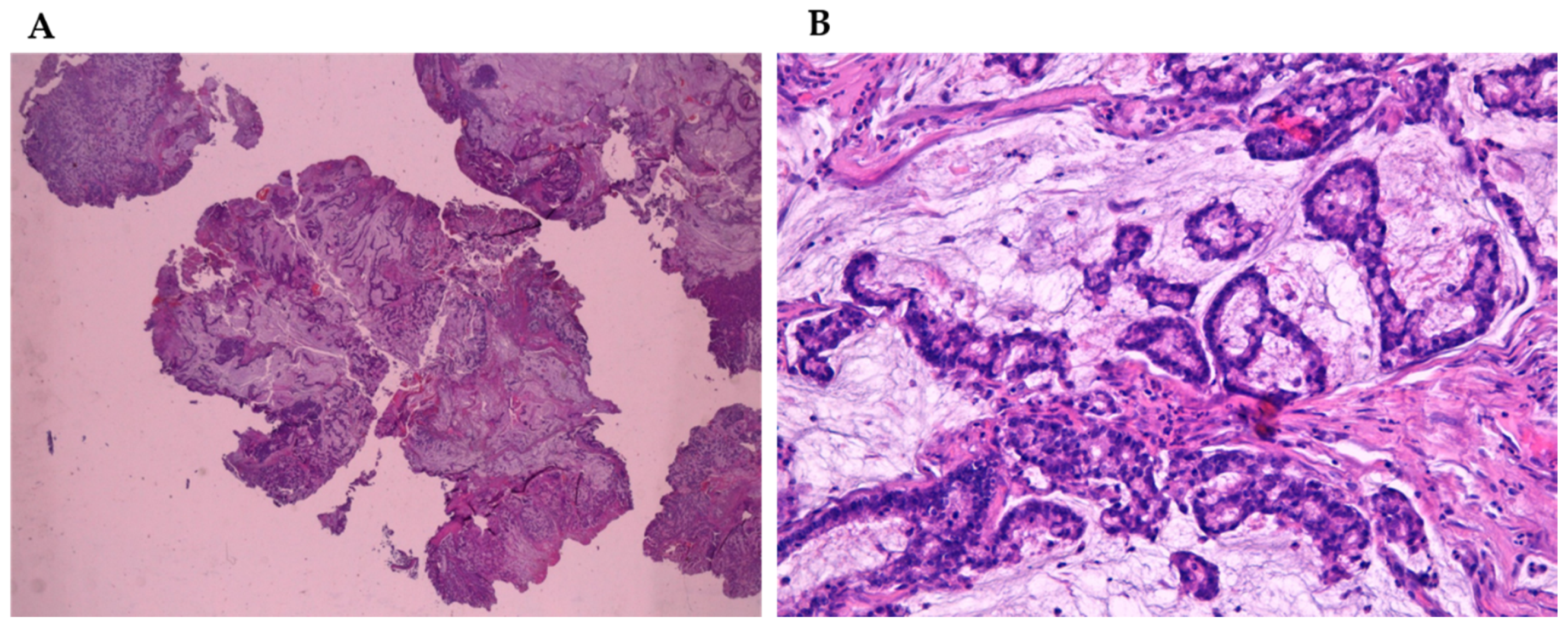
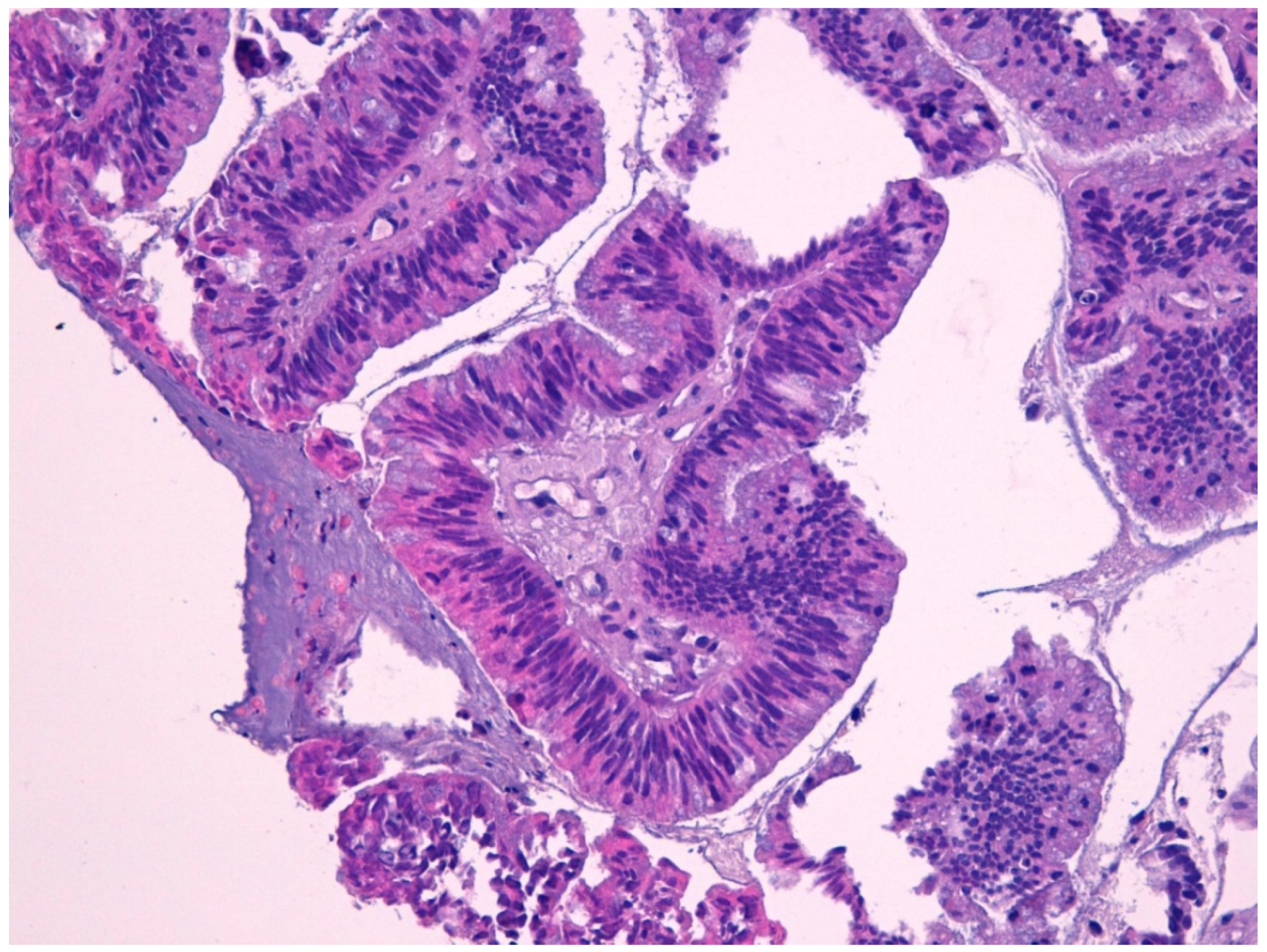
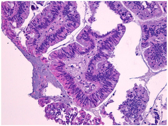
4.5. Intestinal Adenocarcinoma
4.6. Non-Intestinal Adenocarcinomas
4.7. Salivary Adenocarcinomas
4.8. Neuroendocrine Tumors (NENs)
4.9. Olfactory Neuroblastoma (ONB)
5. Genetic Background of Paranasal Sinus Carcinomas
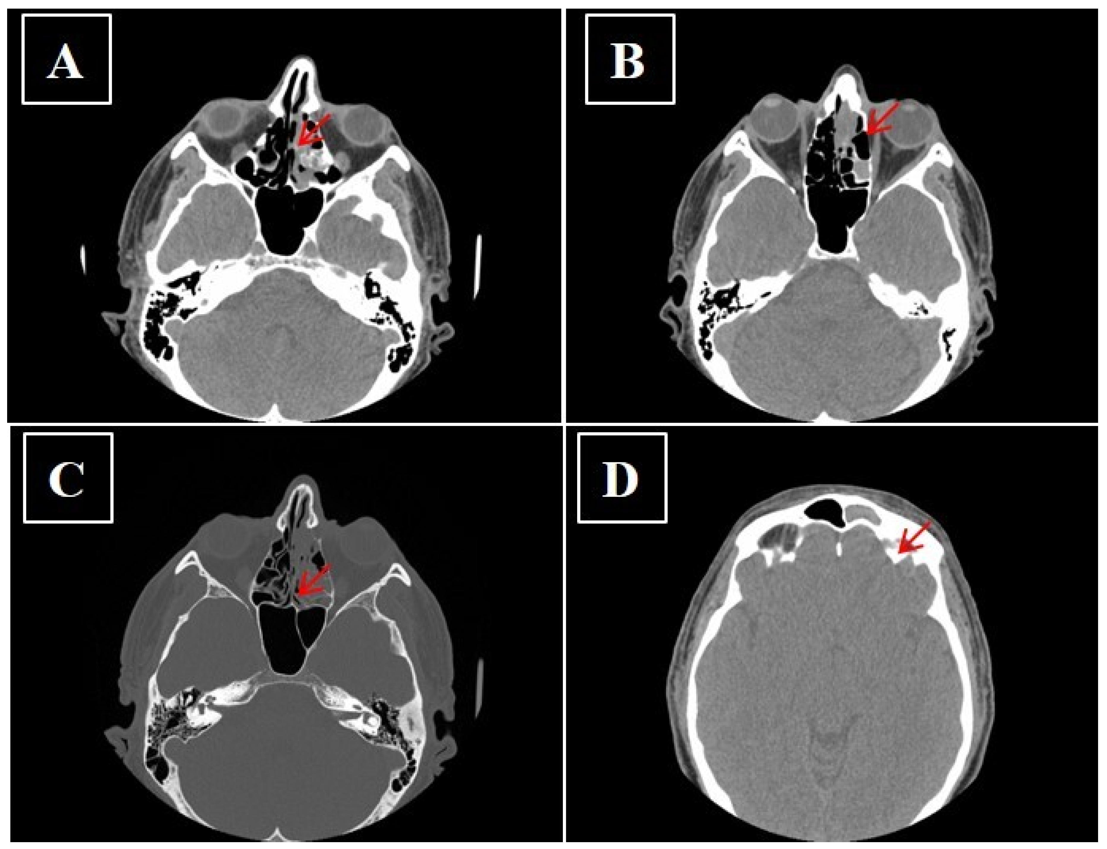
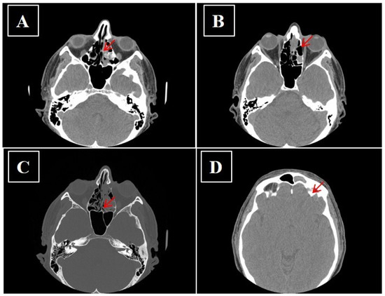
6. Clinical Aspects and Prognosis
7. Treatment Option Overview
8. Conclusions
Author Contributions
Funding
Acknowledgments
Conflicts of Interest
References
- Dutta, R.; Ba, P.M.D.; Svider, P.F.; Liu, J.K.; Baredes, S.; Eloy, J.A. Sinonasal malignancies: A population-based analysis of site-specific incidence and survival. Laryngoscope 2015, 125, 2491–2497. [Google Scholar] [CrossRef]
- Patel, T.D.; Vazquez, A.; Dubal, P.M.; Baredes, S.; Liu, J.K.; Eloy, J.A. Sinonasal neuroendocrine carcinoma: A population-based analysis of incidence and survival. Int. Forum Allergy Rhinol. 2015, 5, 448–453. [Google Scholar] [CrossRef]
- Thariat, J.; Plana, A.M.; Vérillaud, B.; Vergez, S.; Régis-Ferrand, F.; Digue, L.; Even, C.; Costes, V.; Baujat, B.; De Gabory, L.; et al. Diagnostic, pronostic et traitement des carcinomes nasosinusiens (hors mélanomes, sarcomes et lymphomes). Bull Cancer 2020, 107, 601–611. [Google Scholar] [CrossRef]
- Abdelmeguid, A.S.; Bell, D.; Hanna, E.Y. Sinonasal Undifferentiated Carcinoma. Curr. Oncol. Rep. 2019, 21, 26. [Google Scholar] [CrossRef]
- Agaimy, A.; Weichert, W. Grading von Tumoren der Kopf-Hals-Region. Der Pathol. 2016, 37, 285–292. [Google Scholar] [CrossRef] [PubMed]
- El Ayoubi, A.; Poizat, F.; Garrel, R.; Costes, V.; Guerrier, B.; Essakalli, L.; Kzadri, M.; Crampette, L. Les adénocarcinomes nasosinusiens revisités. Intérêt pronostique de la classification histologique OMS 2005. Ann. d’Otolaryngologie et de Chir. Cervico-faciale 2009, 126, 175–181. [Google Scholar] [CrossRef]
- Rosenthal, D.I.; Barker, J.L., Jr.; El-Naggar, A.K.; Glisson, B.S.; Kies, M.S.; Diaz, E.M.; Clayman, G.L.; Demonte, F.; Selek, U.; Morrison, W.H.; et al. Sinonasal malignancies with neuroendocrine differentiation: Patterns of fail-ure according to histologic phenotype. Cancer 2004, 101, 2567–2573. [Google Scholar] [CrossRef] [PubMed]
- Lombardo, N.; Della Corte, M.; Pelaia, C.; Piazzetta, G.; Lobello, N.; Del Duca, E.; Bennardo, L.; Nisticò, S. Primary Mucosal Melanoma Presenting with a Unilateral Nasal Obstruction of the Left Inferior Turbinate. Medicina 2021, 57, 359. [Google Scholar] [CrossRef]
- Bishop, J.A. Recently described neoplasms of the sinonasal tract. Semin. Diagn. Pathol. 2016, 33, 62–70. [Google Scholar] [CrossRef] [PubMed]
- Quan, H.; Yan, L.; Zhang, H.; Zou, L.; Yuan, W.; Wang, S. Development and validation of a nomogram for prognosis of sinonasal squamous cell carcinoma. Int. Forum Allergy Rhinol. 2019, 9, 1030–1040. [Google Scholar] [CrossRef] [PubMed]
- Mensi, C.; Consonni, D.; Sieno, C.; De Matteis, S.; Riboldi, L.; Bertazzi, P.A. Sinonasal Cancer and Occupational Exposure in a Population-Based Registry. Int. J. Otolaryngol. 2013, 2013, 1–7. [Google Scholar] [CrossRef] [PubMed]
- Bossi, P.; Farina, D.; Gatta, G.; Lombardi, D.; Nicolai, P.; Orlandi, E. Paranasal sinus cancer. Crit. Rev. Oncol. 2016, 98, 45–61. [Google Scholar] [CrossRef] [PubMed]
- Sirsath, N.T.; Babu, K.G.; Das, U.; Premlatha, C.S. Paranasal Sinus Neuroendocrine Carcinoma: A Case Report and Review of the Literature. Case Rep. Oncol. Med. 2013, 2013, 728479. [Google Scholar] [CrossRef] [PubMed][Green Version]
- Jayme, E.M.; Morimoto, T.P.; Lozano, T.M.; Campos, Z.M.D.S.; De Castro, C.C. Sphenoid sinus neuroendocrine carcinoma. BJR Case Rep. 2017, 3, 20150334. [Google Scholar] [CrossRef] [PubMed]
- D’Errico, A.; Pasian, S.; Baratti, A.; Zanelli, R.; Alfonzo, S.; Gilardi, L.; Beatrice, F.; Bena, A.; Costa, G. A case-control study on occupational risk factors for sino-nasal cancer. Occup. Environ. Med. 2009, 66, 448–455. [Google Scholar] [CrossRef] [PubMed]
- Van den Oever, R. Occupational exposure to dust and sinonasal cancer. An analysis of 386 cases reported to the N.C.C.S.F. Cancer Registry. Acta Otorhinolaryngol. Belg. 1996, 50, 19–24. [Google Scholar] [PubMed]
- Radoï, L.; Sylla, F.; Matrat, M.; Barul, C.; Menvielle, G.; Delafosse, P.; Stücker, I.; Luce, D.; ICARE Study Group. Head and neck cancer and occupational exposure to leather dust: Results from the ICARE study, a French case-control study. Environ. Heal. 2019, 18, 27. [Google Scholar] [CrossRef]
- Bimbi, G.; Saraceno, M.S.; Riccio, S.; Gatta, G.; Licitra, L.; Cantù, G. Adenocarcinoma of ethmoid sinus: An occupational disease. Acta Otorhinolaryngol. Ital. 2004, 24, 199–203. [Google Scholar]
- Nakamura, Y.; Suzuki, M.; Ozaki, S.; Yokota, M.; Nakayama, M.; Hattori, H.; Inagaki, H.; Murakami, S. Sinonasal inverted papilloma associated with small cell neuroendocrine carcinoma: A case report and literature review of rare malignancies associated with inverted papilloma. Auris Nasus Larynx 2019, 46, 641–650. [Google Scholar] [CrossRef] [PubMed]
- Gupta, R.; Rady, P.L.; Sikora, A.G.; Tyring, S.K. The role of human papillomavirus in the pathogenesis of sinonasal inverted papilloma: A narrative review. Rev. Med Virol. 2021, 31, e2178. [Google Scholar] [CrossRef] [PubMed]
- Carton, M.; Goldberg, M.; Luce, D. Occupational exposure to wood dust. Health effects and exposure limit values. Revue d’Épidémiologie et de Santé Publique 2002, 50, 159–178. [Google Scholar] [PubMed]
- Jayaprakash, V.; Natarajan, K.K.; Moysich, K.B.; Rigual, N.R.; Ramnath, N.; Natarajan, N.; Reid, M.E. Wood dust exposure and the risk of upper aero-digestive and respiratory cancers in males. Occup. Environ. Med. 2008, 65, 647–654. [Google Scholar] [CrossRef] [PubMed]
- IARC Working Group on the Evaluation of Carcinogenic Risks to Humans. Tobacco smoke and involuntary smoking. IARC Monogr. Eval. Carcinog. Risks Hum. 2004, 83, 1–1438. [Google Scholar]
- Larque, A.B.; Hakim, S.; Ordi, J.; Nadal, A.; Diaz, A.; Del Pino, M.; Marimon, L.; Alobid, I.; Cardesa, A.; Alos, L. High-risk human papillomavirus is transcriptionally active in a subset of sinonasal squamous cell carcinomas. Mod. Pathol. 2013, 27, 343–351. [Google Scholar] [CrossRef] [PubMed]
- Thavaraj, S.; Information, P.E.K.F.C. Human papillomavirus-associated neoplasms of the sinonasal tract and nasopharynx. Semin. Diagn. Pathol. 2016, 33, 104–111. [Google Scholar] [CrossRef] [PubMed]
- Kashima, H.K.; Kessis, T.; Hruban, R.H.; Wu, T.C.; Zinreich, S.J.; Shah, K.V. Human Papillomavirus in Sinonasal Papillomas and Squamous Cell Carcinoma. Laryngoscope 1992, 102, 973–976. [Google Scholar] [CrossRef] [PubMed]
- Chowdhury, N.; Alvi, S.; Kimura, K.; Tawfik, O.; Manna, P.; Beahm, D.; Robinson, A.; Kerley, S.; Hoover, L. Outcomes of HPV-related nasal squamous cell carcinoma. Laryngoscope 2017, 127, 1600–1603. [Google Scholar] [CrossRef]
- Kılıç, S.S.; Ma, S.S.K.; Kim, E.S.; Baredes, S.; Mahmoud, O.; Gray, S.T.; Eloy, J.A. Significance of human papillomavirus positivity in sinonasal squamous cell carcinoma. Int. Forum Allergy Rhinol. 2017, 7, 980–989. [Google Scholar] [CrossRef]
- Tsou, Y.-A.; Lin, C.-C.; Tai, C.-J.; Tsai, M.-H.; Tsai, T.-C.; Chen, C.-M. Chronic Rhinosinusitis and the Risk of Nasopharyngeal Cancer in a Taiwanese Health Study. Am. J. Rhinol. Allergy 2014, 28, e168–e172. [Google Scholar] [CrossRef] [PubMed]
- Beachler, D.C.; Engels, E.A. Chronic Sinusitis and Risk of Head and Neck Cancer in the US Elderly Population. JAMA Otolaryngol. Neck Surg. 2017, 143, 25–31. [Google Scholar] [CrossRef] [PubMed]
- Kawaguchi, M.; Kato, H.; Tomita, H.; Mizuta, K.; Aoki, M.; Hara, A.; Matsuo, M. Imaging Characteristics of Malignant Sinonasal Tumors. J. Clin. Med. 2017, 6, 116. [Google Scholar] [CrossRef]
- Turner, J.H.; Reh, D.D. Incidence and survival in patients with sinonasal cancer: A historical analysis of population-based data. Head Neck 2012, 34, 877–885. [Google Scholar] [CrossRef] [PubMed]
- Haerle, S.K.; Gullane, P.J.; Witterick, I.J.; Zweifel, C.; Gentili, F. Sinonasal Carcinomas. Neurosurg. Clin. North Am. 2013, 24, 39–49. [Google Scholar] [CrossRef] [PubMed]
- Lewis, J.S., Jr.; Khan, R.A.; Masand, R.P.; Chernock, R.; Zhang, Q.; Al-Naief, N.S.; Muller, S.; McHugh, J.B.; Prasad, M.L.; Brandwein-Gensler, M.; et al. Recognition of nonkeratinizing morphology in oropharyngeal squamous cell carcinoma - a prospective cohort and interobserver variability study. Histopathology 2012, 60, 427–436. [Google Scholar] [CrossRef] [PubMed]
- Bishop, J.A.; Guo, T.W.; Smith, D.F.; Wang, H.; Ogawa, T.; Pai, S.I.; Westra, W.H. Human Papillomavirus-related Carcinomas of the Sinonasal Tract. Am. J. Surg. Pathol. 2013, 37, 185–192. [Google Scholar] [CrossRef] [PubMed]
- Hellquist, H.; French, C.A.; Bishop, J.A.; Coca-Pelaz, A.; Propst, E.J.; Correia, A.P.; Ngan, B.; Grant, R.; Cipriani, N.A.; Vokes, D.; et al. NUT midline carcinoma of the larynx: An international series and review of the literature. Histopathology 2016, 70, 861–868. [Google Scholar] [CrossRef] [PubMed]
- Stelow, E.B.; Bellizzi, A.; Taneja, K.; Mills, S.E.; Legallo, R.D.; Kutok, J.L.; Aster, J.C.; French, C.A. NUT Rearrangement in Undifferentiated Carcinomas of the Upper Aerodigestive Tract. Am. J. Surg. Pathol. 2008, 32, 828–834. [Google Scholar] [CrossRef]
- Kutok, J.; Wang, F. Spectrum of Epstein-Barr Virus–Associated Diseases. Annu. Rev. Pathol. Mech. Dis. 2006, 1, 375–404. [Google Scholar] [CrossRef]
- Petersson, F. Nasopharyngeal carcinoma: A review. Semin. Diagn. Pathol. 2015, 32, 54–73. [Google Scholar] [CrossRef] [PubMed]
- Agaimy, A.; Franchi, A.; Lund, V.J.; Skálová, A.; Bishop, J.A.; Triantafyllou, A.; Andreasen, S.; Gnepp, D.R.; Hellquist, H.; Thompson, L.D.; et al. Sinonasal Undifferentiated Carcinoma (SNUC): From an Entity to Morphologic Pattern and Back Again—A Historical Perspective. Adv. Anat. Pathol. 2020, 27, 51–60. [Google Scholar] [CrossRef] [PubMed]
- Ejaz, A.; Wenig, B.M. Sinonasal Undifferentiated Carcinoma: Clinical and Pathologic Features and a Discussion on Classification, Cellular Differentiation, and Differential Diagnosis. Adv. Anat. Pathol. 2005, 12, 134–143. [Google Scholar] [CrossRef] [PubMed]
- Jones, A.V.; Robinson, I.; Speight, P.M. Sinonasal undifferentiated carcinoma: Report of a case and review of literature. Oral Oncol. Extra 2005, 41, 299–302. [Google Scholar] [CrossRef][Green Version]
- Barnes, L. Intestinal-Type Adenocarcinoma of the Nasal Cavity and Paranasal Sinuses. Am. J. Surg. Pathol. 1986, 10, 192–202. [Google Scholar] [CrossRef]
- Luce, D.; Gérin, M.; Leclerc, A.; Morcet, J.-F.; Brugère, J.; Goldberg, M. Sinonasal cancer and occupational exposure to formaldehyde and other substances. Int. J. Cancer 1993, 53, 224–231. [Google Scholar] [CrossRef] [PubMed]
- Tripodi, D.; Ferron, C.; Malard, O.; De Montreuil, C.B.; Planche, L.; Sebille-Rivain, V.; Roedlich, C.; Quéméner, S.; Renaudin, K.; Longuenesse, C.; et al. Relevance of both individual risk factors and occupational exposure in cancer survival studies: The example of intestinal type sinonasal adenocarcinoma. Laryngoscope 2011, 121, 2011–2018. [Google Scholar] [CrossRef] [PubMed]
- Llorente, J.L.; Pérez-Escuredo, J.; Marcos, C.A.; Suárez, C.; Hermsen, M. Genetic and clinical aspects of wood dust related intestinal-type sinonasal adenocarcinoma: A review. Eur. Arch. Oto-Rhino-Laryngol. 2009, 266, 1–7. [Google Scholar] [CrossRef] [PubMed]
- Franchi, A.; Gallo, O.; Santucci, M. Clinical relevance of the histological classification of sinonasal intestinal-type adenocarcinomas. Hum. Pathol. 1999, 30, 1140–1145. [Google Scholar] [CrossRef]
- Jain, R.; Gramigna, V.; Sanchez-Marull, R.; Perez-Ordoñez, B. Composite intestinal-type adenocarcinoma and small cell carcinoma of sinonasal tract. J. Clin. Pathol. 2009, 62, 634–637. [Google Scholar] [CrossRef]
- Klein, P.J.; Adams, W.D. Comprehensive therapeutic benefits of Taiji: A critical review. Am. J. Phys. Med. Rehabil. 2004, 83, 735–745. [Google Scholar] [CrossRef] [PubMed]
- Saad, R.S. CDX2 as a marker for intestinal differentiation: Its utility and limitations. World J. Gastrointest. Surg. 2011, 3, 159–166. [Google Scholar] [CrossRef]
- Projetti, F.; Serrano, É.; Vergez, S.; Bissainthe, A.-C.; Delisle, M.-B.; Uro-Coste, E. Is neuroendocrine differentiation useful to discriminate primary sinonasal intestinal-type adenocarcinomas from metastatic colorectal adenocarcinomas? J. Clin. Pathol. 2014, 68, 79–82. [Google Scholar] [CrossRef]
- Washington, M.K.; Goldberg, R.M.; Chang, G.J.; Limburg, P.; Lam, A.K.; Salto-Tellez, M.; Arends, M.J.; Nagtegaal, I.; Klimstra, D.S.; Rugge, M.; et al. Diagnosis of digestive system tumours. Int. J. Cancer 2021, 148, 1040–1050. [Google Scholar] [CrossRef] [PubMed]
- McKinney, C.D.; Mills, S.E.; Franquemont, D.W. Sinonasal intestinal-type adenocarcinoma: Immunohistochemical profile and comparison with colonic adenocarcinoma. Mod. Pathol. 1995, 8, 421–426. [Google Scholar] [PubMed]
- Abecasis, J.; Viana, G.; Pissarra, C.; Pereira, T.; Fonseca, I.; Soares, J. Adenocarcinomas of the nasal cavity and paranasal sinuses: A clinicopathological and immunohistochemical study of 14 cases. Histopathology 2004, 45, 254–259. [Google Scholar] [CrossRef] [PubMed]
- Holmila, R.; Bornholdt, J.; Heikkilä, P.; Suitiala, T.; Févotte, J.; Cyr, D.; Hansen, J.; Snellman, S.-M.; Dictor, M.; Steiniche, T.; et al. Mutations in TP53 tumor suppressor gene in wood dust-related sinonasal cancer. Int. J. Cancer 2010, 127, 578–588. [Google Scholar] [CrossRef]
- García-Inclán, C.; López, F.; Perez-Escuredo, J.; Cuesta-Albalad, M.P.; Vivanco, B.; Centeno, I.; Balbin, M.; Suárez, C.; Llorente, J.L.; Hermsen, M.A. EGFR status and KRAS/BRAF mutations in intestinal-type sinonasal adenocarcinomas. Cell. Oncol. 2012, 35, 443–450. [Google Scholar] [CrossRef]
- Allende, B.V.; Perez-Escuredo, J.; Martínez, N.F.; Forcelledo, M.F.F.; Pendás, J.L.L.; Hermsen, M. Adenocarcinomas nasosinusales tipo intestinal. Perfil inmunohistoquímico de 66 casos. Acta Otorrinolaringol. Española 2013, 64, 115–123. [Google Scholar] [CrossRef][Green Version]
- López, F.; Llorente, J.L.; Costales, M.; García-Inclán, C.; Perez-Escuredo, J.; Álvarez-Marcos, C.; Hermsen, M.; Suárez, C. Caracterización molecular de los carcinomas nasosinusales y sus implicaciones clínicas. Acta Otorrinolaringol. Española 2013, 64, 289–296. [Google Scholar] [CrossRef]
- Poorten, V.V.; Jorissen, M. A Comprehensive Update on Intestinal- and Non-Intestinal-Type Adenocarcinomas. Advances in Oto-Rhino-Laryngol. 2020, 84, 137–153. [Google Scholar] [CrossRef]
- Stelow, E.B.; Jo, V.Y.; Mills, S.E.; Carlson, D.L. A Histologic and Immunohistochemical Study Describing the Diversity of Tumors Classified as Sinonasal High-grade Nonintestinal Adenocarcinomas. Am. J. Surg. Pathol. 2011, 35, 971–980. [Google Scholar] [CrossRef]
- Purgina, B.; Bastaki, J.M.; Duvvuri, U.; Seethala, R.R. A Subset of Sinonasal Non-Intestinal Type Adenocarcinomas are Truly Seromucinous Adenocarcinomas: A Morphologic and Immunophenotypic Assessment and Description of a Novel Pitfall. Head Neck Pathol. 2015, 9, 436–446. [Google Scholar] [CrossRef] [PubMed]
- Leivo, I. Sinonasal Adenocarcinoma: Update on Classification, Immunophenotype and Molecular Features. Head Neck Pathol. 2016, 10, 68–74. [Google Scholar] [CrossRef] [PubMed]
- Jo, V.Y.; Mills, S.E.; Stoler, M.H.; Stelow, E.B. Papillary Squamous Cell Carcinoma of the Head and Neck. Am. J. Surg. Pathol. 2009, 33, 1720–1724. [Google Scholar] [CrossRef] [PubMed]
- Storck, K.; Hadi, U.M.; Simpson, R.; Ramer, M.; Brandwein-Gensler, M. Sinonasal Renal Cell-like Adenocarcinoma: A Report on Four Patients. Head Neck Pathol. 2008, 2, 75–80. [Google Scholar] [CrossRef] [PubMed]
- Ereño, C.; Gaafar, A.; Garmendia, M.; Etxezarraga, C.; Bilbao, F.J.; López, J.I. Basaloid Squamous Cell Carcinoma of the Head and Neck. A Clinicopathological and Follow-Up Study of 40 Cases and Review of the Literature. Head Neck Pathol. 2008, 2, 83–91. [Google Scholar] [CrossRef]
- Wiseman, S.M.; Popat, S.R.; Rigual, N.R.; Hicks, W.L., Jr.; Orner, J.B.; Wein, R.O.; McGary, C.T.; Loree, T.R. Adenoid cystic carcinoma of the paranasal sinuses or nasal cavity: A 40-year review of 35 cases. Ear Nose Throat J. 2002, 81, 510–514, 516–517. [Google Scholar] [CrossRef]
- Perez, D.E.D.C.; Pires, F.R.; Lopes, M.A.; de Almeida, O.P.; Kowalski, L.P. Adenoid Cystic Carcinoma and Mucoepidermoid Carcinoma of the Maxillary Sinus: Report of a 44-Year Experience of 25 Cases From a Single Institution. J. Oral Maxillofac. Surg. 2006, 64, 1592–1597. [Google Scholar] [CrossRef]
- Lupinetti, A.D.; Roberts, D.B.; Williams, M.D.; Kupferman, M.E.; Rosenthal, D.; Demonte, F.; El-Naggar, A.; Weber, R.S.; Hanna, E.Y. Sinonasal adenoid cystic carcinoma. Cancer 2007, 110, 2726–2731. [Google Scholar] [CrossRef]
- Ahn, B.; Kim, E.; Oh, H.; Chae, Y.-S.; Kim, C.H.; Lee, Y.; Lee, J.H.; Lee, Y.J. Human Papillomavirus–Related Multiphenotypic Sinonasal Carcinoma with Late Recurrence. J. Pathol. Transl. Med. 2019, 53, 337–340. [Google Scholar] [CrossRef]
- Bishop, J.A.; Andreasen, S.; Hang, J.-F.; Bullock, M.J.; Chen, T.Y.; Franchi, A.; Garcia, J.J.; Gnepp, D.R.; Gomez-Fernandez, C.R.; Ihrler, S.; et al. HPV-related Multiphenotypic Sinonasal Carcinoma: An expanded series of 49 cases of the tumor formerly known as HPV-related carcinoma with adenoid cystic carcinoma-like features. Am. J. Surg. Pathol. 2017, 41, 1690–1701. [Google Scholar] [CrossRef]
- Peraza, A.; Gómez, R.; Beltran, J.; Amarista, F. Mucoepidermoid carcinoma. An update and review of the literature. J. Stomatol. Oral Maxillofac. Surg. 2020, 121, 713–720. [Google Scholar] [CrossRef] [PubMed]
- Shah, K.; Perez-Ordóñez, B. Neuroendocrine Neoplasms of the Sinonasal Tract: Neuroendocrine Carcinomas and Olfactory Neuroblastoma. Head Neck Pathol. 2016, 10, 85–94. [Google Scholar] [CrossRef] [PubMed]
- Perez-Ordonez, B.; Caruana, S.M.; Huvos, A.G.; Shah, J.P. Small cell neuroendocrine carcinoma of the nasal cavity and paranasal sinuses. Hum. Pathol. 1998, 29, 826–832. [Google Scholar] [CrossRef]
- Xu, B.; Chetty, R.; Perez-Ordoñez, B. Neuroendocrine Neoplasms of the Head and Neck: Some Suggestions for the New WHO Classification of Head and Neck Tumors. Head Neck Pathol. 2014, 8, 24–32. [Google Scholar] [CrossRef]
- Weinreb, I.; Perez-Ordoñez, B. Non-Small Cell Neuroendocrine Carcinoma of the Sinonasal Tract and Nasopharynx. Report of 2 Cases and Review of the Literature. Head Neck Pathol. 2007, 1, 21–26. [Google Scholar] [CrossRef]
- Tang, L.H.; Untch, B.R.; Reidy, D.L.; O’Reilly, E.M.; Dhall, D.; Jih, L.; Basturk, O.; Allen, P.J.; Klimstra, D.S. Well-Differentiated Neuroendocrine Tumors with a Morphologically Apparent High-Grade Component: A Pathway Distinct from Poorly Differentiated Neuroendocrine Carcinomas. Clin. Cancer Res. 2016, 22, 1011–1017. [Google Scholar] [CrossRef]
- Czapiewski, P.; Kunc, M.; Haybaeck, J. Genetic and molecular alterations in olfactory neuroblastoma: Implications for pathogenesis, prognosis and treatment. Oncotarget 2016, 7, 52584–52596. [Google Scholar] [CrossRef]
- Ben-Neriah, Y.; Karin, M. Inflammation meets cancer, with NF-κB as the matchmaker. Nat. Immunol. 2011, 12, 715–723. [Google Scholar] [CrossRef]
- Määttä, J. Characterization of oak and birch dust-induced expression of cytokines and chemokines in mouse macro-phage RAW 264.7 cells. Toxicology 2005, 215, 25–36. [Google Scholar] [CrossRef]
- Pérez-Escuredo, J.; Martínez, J.G.; Vivanco, B.; Marcos, C.Á.; Suárez, C.; Llorente, J.L.; Hermsen, M.A. Wood dust–related mutational profile of TP53 in intestinal-type sinonasal adenocarcinoma. Hum. Pathol. 2012, 43, 1894–1901. [Google Scholar] [CrossRef]
- Perrone, F. TP53, p14ARF, p16INK4a and H-RAS gene molecular analysis in intestinal-type adenocarcinoma of the na-sal cavity and paranasal sinuses. Int. J. Cancer 2003, 105, 196–203. [Google Scholar] [CrossRef]
- Díaz-Molina, J.P.; Llorente, J.L.; Vivanco, B.; Martínez-Camblor, P.; Fresno, M.F.; Pérez-Escuredo, J.; Álvarez-Marcos, C.; Hermsen, M.A. Wnt-pathway activation in intestinal-type sinonasal adenocarcinoma. Rhinol. J. 2011, 49, 593–599. [Google Scholar] [CrossRef]
- Perez-Ordonez, B.; Huynh, N.N.; Berean, K.W.; Jordan, R.C.K. Expression of mismatch repair proteins, β-catenin, and E-cadherin in intestinaltype sinonasal adenocarcinoma. J. Clin. Pathol. 2005, 57, 1080–1083. [Google Scholar] [CrossRef]
- Takahashi, Y.; Bell, D.; Agarwal, G.; Roberts, D.; Xie, T.-X.; El-Naggar, A.; Myers, J.N.; Hanna, E.Y. Comprehensive assessment of prognostic markers for sinonasal squamous cell carcinoma. Head Neck 2014, 36, 1094–1102. [Google Scholar] [CrossRef]
- Takahiro, H.; Hidetaka, Y.; Rina, J.; Yui, N.; Ryuji, Y.; Kazuki, H.; Reiko, Y.; Azusa, S.; Kenichi, T.; Muneyuki, M.; et al. Clinicopathologic Significance of EGFR Mutation and HPV Infection in Si-nonasal Squamous Cell Carcinoma. Am. J. Surg. Pathol. 2021, 45, 108–118. [Google Scholar]
- Dang, L.; Yen, K.; Attar, E.C. IDH mutations in cancer and progress toward development of targeted therapeutics. Ann. Oncol. 2016, 27, 599–608. [Google Scholar] [CrossRef]
- Dunn, G.P.; Andronesi, O.C.; Cahill, D.P. From genomics to the clinic: Biological and translational insights of mutant IDH1/2 in glioma. Neurosurg Focus. 2013, 34, E2–E15. [Google Scholar] [CrossRef]
- Blanch, J.L.; Ruiz, A.M.; Alos, L.; Traserra-Coderch, J.; Bernal-Sprekelsen, M. Treatment of 125 Sinonasal Tumors: Prognostic Factors, Outcome, and Follow-up. Otolaryngol. Neck Surg. 2004, 131, 973–976. [Google Scholar] [CrossRef]
- Harbo, G.; Grau, C.; Bundgaard, T.; Overgaard, M.; Elbrønd, O.; Søgaard, H.; Overgaard, J. Cancer of the Nasal Cavity and Paranasal Sinuses:A Clinico-pathological Study of 277 Patients. Acta Oncol. 1997, 36, 45–50. [Google Scholar] [CrossRef] [PubMed]
- Parsons, J.T.; Mendenhall, W.M.; Mancuso, A.A.; Cassisi, N.J.; Million, R.R. Malignant tumors of the nasal cavity and ethmoid and sphenoid sinuses. Int. J. Radiat. Oncol. 1988, 14, 11–22. [Google Scholar] [CrossRef]
- Sjöstedt, S.; Karnov, K.; von Buchwald, C. Diagnostics and treatment of sinonasal cancer. Ugeskr. laeger 2018, 180, 30259840. [Google Scholar]
- Sivalingam, J.; Sarawagi, R.; Raghuwanshi, S.; Yadav, P.K. Sinonasal Neoplasia – Clinicopathological Profile And Importance of Computed Tomography. J. Clin. Diagn. Res. 2015, 9, TC01–TC04. [Google Scholar] [CrossRef]
- Westerveld, G.J.; Van Diest, P.J.; Van Nieuwkerk, E.B. Neuroendocrine carcinoma of the sphenoid sinus: A case report. Rhinol. J. 2001, 39, 52–54. [Google Scholar]
- Oztürk, E.; Sağlam, O.; Sönmez, G.; Cüce, F.; Haholu, A. CT and MRI of an unusual intranasal mass: Pleomorphic adenoma. Diagn. Interv. Radiol. 2008, 14, 186–188. [Google Scholar] [PubMed]
- Flavahan, P.W.; Keir, J.; Srinivasan, V. Neuroendocrine carcinoma of the ethmoid sinuses treated with radiotherapy alone. J. Laryngol. Otol. 2012, 126, 1066–1068. [Google Scholar] [CrossRef]
- Wang, E.W.; Zanation, A.M.; Gardner, P.A.; Schwartz, T.H.; Eloy, J.A.; Adappa, N.D.; Bettag, M.; Bleier, B.S.; Cappabianca, P.; Carrau, R.L.; et al. ICAR: Endoscopic skull-base surgery. Int. Forum Allergy Rhinol. 2019, 9, S145–S365. [Google Scholar] [CrossRef]
- Patel, S.H.; Wang, Z.; Wong, W.W.; Murad, M.H.; Buckey, C.R.; Mohammed, K.; Alahdab, F.; Altayar, O.; Nabhan, M.; Schild, S.E.; et al. Charged particle therapy versus photon therapy for paranasal sinus and nasal cavity malignant diseases: A systematic review and meta-analysis. Lancet Oncol. 2014, 15, 1027–1038. [Google Scholar] [CrossRef]
- Holliday, E.B.; Frank, S.J. Proton Radiation Therapy for Head and Neck Cancer: A Review of the Clinical Experience to Date. Int. J. Radiat. Oncol. 2014, 89, 292–302. [Google Scholar] [CrossRef] [PubMed]
- Lefebvre, J.-L.; Chevalier, D.; Luboinski, B.; Kirkpatrick, A.; Collette, L.; Sahmoud, T. Larynx Preservation in Pyriform Sinus Cancer: Preliminary Results of a European Organization for Research and Treatment of Cancer Phase III Trial. EORTC Head and Neck Cancer Cooperative Group. J. Natl. Cancer Inst. 1996, 88, 890–899. [Google Scholar] [CrossRef] [PubMed]
- Wolf, G.T.; Fisher, S.G.; Hong, W.K.; Hillman, R.; Spaulding, M.; Laramore, G.E.; Endicott, J.W.; McClatchey, K.; Henderson, W.G.; Department of Veterans Affairs Laryngeal Cancer Study Group. Induction Chemotherapy plus Radiation Compared with Surgery plus Radiation in Patients with Advanced Laryngeal Cancer. New Engl. J. Med. 1991, 324, 1685–1690. [Google Scholar] [CrossRef] [PubMed]








| Major Risk Factors | Minor Risk Factors |
|---|---|
|
|
| Malignant Epithelial Tumors | Benign Epithelial Tumors |
|---|---|
|
|
|
|
|
|
|
|
|
|
|
|
|
|
|
|
|
|
|
|
|
|
| |
| |
| |
| |
| |
| |
| |
| |
| |
| |
| |
| |
| |
| |
| Soft tissue tumors | Tumors of bone and cartilage |
|
|
|
|
|
|
|
|
|
|
|
|
|
|
|
|
|
|
|
|
|
|
|
|
|
|
|
|
|
|
|
|
|
|
| |
| |
| |
| Haematolymphoid tumors | Neuroectodermal |
|
|
|
|
|
|
|
|
|
|
| |
| Germ cell tumors | Secondary tumors |
| |
| |
| |
| |
| |
|
| Symptoms |
|---|
|
|
|
|
|
|
|
| Change in vision, a headache never experienced before, mass formation in the nose/palate. |
Publisher’s Note: MDPI stays neutral with regard to jurisdictional claims in published maps and institutional affiliations. |
© 2021 by the authors. Licensee MDPI, Basel, Switzerland. This article is an open access article distributed under the terms and conditions of the Creative Commons Attribution (CC BY) license (https://creativecommons.org/licenses/by/4.0/).
Share and Cite
Bracigliano, A.; Tatangelo, F.; Perri, F.; Di Lorenzo, G.; Tafuto, R.; Ottaiano, A.; Clemente, O.; Barretta, M.L.; Losito, N.S.; Santorsola, M.; et al. Malignant Sinonasal Tumors: Update on Histological and Clinical Management. Curr. Oncol. 2021, 28, 2420-2438. https://doi.org/10.3390/curroncol28040222
Bracigliano A, Tatangelo F, Perri F, Di Lorenzo G, Tafuto R, Ottaiano A, Clemente O, Barretta ML, Losito NS, Santorsola M, et al. Malignant Sinonasal Tumors: Update on Histological and Clinical Management. Current Oncology. 2021; 28(4):2420-2438. https://doi.org/10.3390/curroncol28040222
Chicago/Turabian StyleBracigliano, Alessandra, Fabiana Tatangelo, Francesco Perri, Giuseppe Di Lorenzo, Roberto Tafuto, Alessandro Ottaiano, Ottavia Clemente, Maria Luisa Barretta, Nunzia Simona Losito, Mariachiara Santorsola, and et al. 2021. "Malignant Sinonasal Tumors: Update on Histological and Clinical Management" Current Oncology 28, no. 4: 2420-2438. https://doi.org/10.3390/curroncol28040222
APA StyleBracigliano, A., Tatangelo, F., Perri, F., Di Lorenzo, G., Tafuto, R., Ottaiano, A., Clemente, O., Barretta, M. L., Losito, N. S., Santorsola, M., & Tafuto, S. (2021). Malignant Sinonasal Tumors: Update on Histological and Clinical Management. Current Oncology, 28(4), 2420-2438. https://doi.org/10.3390/curroncol28040222

