Next Article in Journal
Another Case of Typical Hypertrophic Cardiomyopathy?
Previous Article in Journal
Cannabinoids for Therapeutic Use in Atherosclerosis
 
 
Cardiovascular Medicine is published by MDPI from Volume 28 Issue 1 (2025). Previous articles were published by another publisher in Open Access under a CC-BY (or CC-BY-NC-ND) licence, and they are hosted by MDPI on mdpi.com as a courtesy and upon agreement with Editores Medicorum Helveticorum (EMH).
Font Type:
Arial Georgia Verdana
Font Size:
Aa Aa Aa
Line Spacing:
Column Width:
Background:
Interesting Images

Successful Follow-Up Twenty Years After Heart Transplantation †

by
Augusto Gallino
1,*,
Marcello Di Valentino
1,
Claudio Marone
2,
Ludwig von Segesser
3,
Michele Genoni
4,
Tiziano Moccetti
5,
Roberto Corti
6,
Georg Noll
6,
Michael Mihatsch
7,
Christian Seemayer
7,
Kurt Schneider
4 and
Marko Turina
4
1
Division of Cardiology, Ospedale San Giovanni, Bellinzona, Switzerland
2
Division of Nephrology, Ospedale San Giovanni, Bellinzona, Switzerland
3
Department of Cardiovascular Surgery, CHUV, Lausanne, Switzerland
4
Divison of Cardiothoracic Surgery, University Hospital, Zürich, Switzerland
5
Divison of Cardiology, University Hospital, Zürich, Switzerland
6
Cardiocentro Ticino, Lugano, Switzerland
7
Department of Pathology, University Hospital, Basel, Switzerland
*
Author to whom correspondence should be addressed.
This report is dedicated to Norman Shumway who allowed to start many heart transplant programmes in the world.
Cardiovasc. Med. 2006, 9(7), 278; https://doi.org/10.4414/cvm.2006.01187
Submission received: 30 May 2006 / Revised: 30 June 2006 / Accepted: 30 July 2006 / Published: 30 August 2006

Long-term follow-up after heart transplantation

On September 23rd, 1985, a 34-year-old man with end-stage dilated cardiomyopathy of unknown origin and with history of severe dyspnea (NYHA III–IV) during the preceding five years underwent orthotopic heart transplantation (HTX). Left ventricular ejection fraction (EF) before HTX was 20%. Immunosuppression included cyclosporine A, azathioprine and prednisone. Acute cellular rejections occurred 14, 49 and 70 days after HTX. Six months after HTX the patient returned to full work as a farmer. The long follow-up was characterised by excellent quality of life, the lack of further rejections, severe infections and of secondary tumors. Twenty years after HTX, selective coronary angiography and intravascular ultrasound (IVUS) showed only mild coronary stenoses (Figure 1) associated either to de novo atherosclerotic lesions and/or graft vasculopathy. This surprisingly mild vasculopathy may be due to the excellent match (two HLA missmatch) with few cellular rejections in the very early course after HTX. EF was normal (60%). The major issue during follow-up was the appearance of moderate to severe renal function impairment probably related to a side effect of cyclosporine. Mild renal function impairment occurred few months after HTX with progressive severe deterioration of the creatinine clearance down to 27 ml/min/m2 twenty years after HTX. Renal biopsy, performed 20 years after HTX, showed typical changes with arteriolopathy characteristic for calcineurin inhibitor toxicity (cyclosporine) (Figure 2). This case illustrates how long-term survival after HTX is possible with excellent quality of life with only mild coronary vasculopathy and moderate to severe renal insufficiency.
Figure 1. The figure shows selective coronary-angiography of the right artery with the corresponding intravascular ultrasound (IVUS), both performed twenty years after cardiac transplantation. Coronary angiography and IVUS show mild stenoses (arrows) which may be associated with either graft vasculopathy and/or de novo atherosclerotic plaques. Left coronary artery (not shown in the figure) presented a similar pattern.
Figure 1. The figure shows selective coronary-angiography of the right artery with the corresponding intravascular ultrasound (IVUS), both performed twenty years after cardiac transplantation. Coronary angiography and IVUS show mild stenoses (arrows) which may be associated with either graft vasculopathy and/or de novo atherosclerotic plaques. Left coronary artery (not shown in the figure) presented a similar pattern.
Cardiovascmed 09 00278 g001
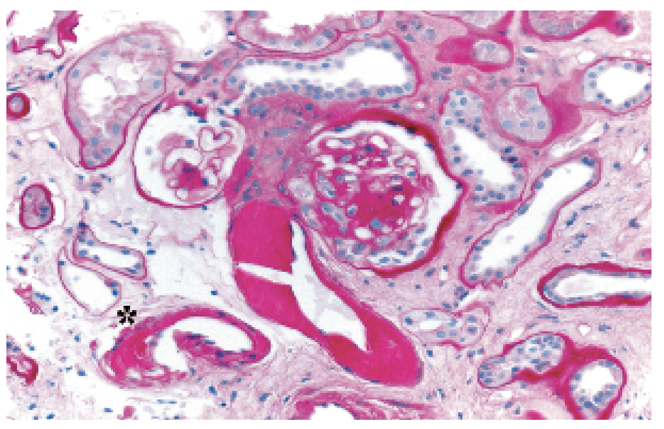
Figure 2. Figure 2 shows renal biopsy, performed twenty years after HTX, indicating arteriolopathy characteristic for calcineurin inhibitor toxicity (cyclosporine) (*). It also shows severe unspecific arteriolopathy and a glomerulus with increase of mesangial matrix.
Figure 2. Figure 2 shows renal biopsy, performed twenty years after HTX, indicating arteriolopathy characteristic for calcineurin inhibitor toxicity (cyclosporine) (*). It also shows severe unspecific arteriolopathy and a glomerulus with increase of mesangial matrix.
Cardiovascmed 09 00278 g002

Share and Cite

MDPI and ACS Style

Gallino, A.; Di Valentino, M.; Marone, C.; von Segesser, L.; Genoni, M.; Moccetti, T.; Corti, R.; Noll, G.; Mihatsch, M.; Seemayer, C.; et al. Successful Follow-Up Twenty Years After Heart Transplantation. Cardiovasc. Med. 2006, 9, 278. https://doi.org/10.4414/cvm.2006.01187

AMA Style

Gallino A, Di Valentino M, Marone C, von Segesser L, Genoni M, Moccetti T, Corti R, Noll G, Mihatsch M, Seemayer C, et al. Successful Follow-Up Twenty Years After Heart Transplantation. Cardiovascular Medicine. 2006; 9(7):278. https://doi.org/10.4414/cvm.2006.01187

Chicago/Turabian Style

Gallino, Augusto, Marcello Di Valentino, Claudio Marone, Ludwig von Segesser, Michele Genoni, Tiziano Moccetti, Roberto Corti, Georg Noll, Michael Mihatsch, Christian Seemayer, and et al. 2006. "Successful Follow-Up Twenty Years After Heart Transplantation" Cardiovascular Medicine 9, no. 7: 278. https://doi.org/10.4414/cvm.2006.01187

APA Style

Gallino, A., Di Valentino, M., Marone, C., von Segesser, L., Genoni, M., Moccetti, T., Corti, R., Noll, G., Mihatsch, M., Seemayer, C., Schneider, K., & Turina, M. (2006). Successful Follow-Up Twenty Years After Heart Transplantation. Cardiovascular Medicine, 9(7), 278. https://doi.org/10.4414/cvm.2006.01187

Article Metrics

Back to TopTop