Next Issue
Volume 9, 09
Previous Issue
Volume 9, 06
 
 
cardiovascmed-logo

Journal Browser

Journal Browser
Cardiovascular Medicine is published by MDPI from Volume 28 Issue 1 (2025). Previous articles were published by another publisher in Open Access under a CC-BY (or CC-BY-NC-ND) licence, and they are hosted by MDPI on mdpi.com as a courtesy and upon agreement with Editores Medicorum Helveticorum (EMH).

Cardiovasc. Med., Volume 9, Issue 7 (08 2006) – 9 articles

  • Issues are regarded as officially published after their release is announced to the table of contents alert mailing list.
  • You may sign up for e-mail alerts to receive table of contents of newly released issues.
  • PDF is the official format for papers published in both, html and pdf forms. To view the papers in pdf format, click on the "PDF Full-text" link, and use the free Adobe Reader to open them.
Order results
Result details
Select all
Export citation of selected articles as:
3 pages, 244 KB  
Communication
Results of the “Menarini Prize for Echocardiography 2005”
by T. F. Lüscher
Cardiovasc. Med. 2006, 9(7), 286; https://doi.org/10.4414/cvm.2006.01190 - 30 Aug 2006
Viewed by 74
Abstract
In 2002, the Working Group for Echocardiography of the Swiss Society of Cardiology Awards, with the support of Menarini Switzerland, created a prize to promote echocardiography and support young cardiologists in Switzerland [...] Full article
Show Figures

Figure 1

1 pages, 398 KB  
Communication
Verleihung des «Cardiovascular Biology Prize» (Kardiologie) 2005
by T. F. Lüscher
Cardiovasc. Med. 2006, 9(7), 284; https://doi.org/10.4414/cvm.2006.01193 - 30 Aug 2006
Viewed by 62
Abstract
Anlässlich der Jahrestagung der Schweizerischen Gesellschaft für Kardiologie (SGK) in Lausanne vom 15.–17. Juni 2005 wurde der in der Zwischenzeit traditionelle «Cardiovascular Biology Prize» von der Gesellschaft verliehen [...] Full article
4 pages, 169 KB  
Communication
Richtlinien 2005 Zur Nachkontrolle Von Patienten Mit Implantierten Defibrillatoren
by Hans O. Gloor, Firat Duru, Barbara Nägeli, Beat Schär, Nicola Schwick, Jürg Fuhrer, Juan Sztajzel, Jürg Schläpfer, Istvan Babotai, Urs Bauersfeld and Stefan Osswald für die Arbeitsgruppe «Herzschrittmacher und Elektrophysiologie» der Schweizerischen Gesellschaft für Kardiologie (SGK)
Cardiovasc. Med. 2006, 9(7), 280; https://doi.org/10.4414/cvm.2006.01185 - 30 Aug 2006
Viewed by 59
Abstract
Viele Kardiologen betreuen Patienten, bei welchen zum Schutz vor einer lebensbedrohlichen ventrikulären Herzrhythmusstörung ein «Implantable Cardioverter Defibrillator» (ICD) implantiert wurde [...] Full article
2 pages, 371 KB  
Interesting Images
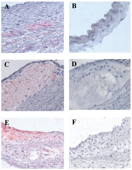
Successful Follow-Up Twenty Years After Heart Transplantation
by Augusto Gallino, Marcello Di Valentino, Claudio Marone, Ludwig von Segesser, Michele Genoni, Tiziano Moccetti, Roberto Corti, Georg Noll, Michael Mihatsch, Christian Seemayer, Kurt Schneider and Marko Turina
Cardiovasc. Med. 2006, 9(7), 278; https://doi.org/10.4414/cvm.2006.01187 - 30 Aug 2006
Viewed by 65
Abstract
On September 23rd, 1985, a 34-year-old man with end-stage dilated cardiomyopathy of unknown origin and with history of severe dyspnea (NYHA III–IV) during the preceding five years underwent orthotopic heart transplantation (HTX) [...] Full article
Show Figures

Figure 1

2 pages, 669 KB  
Interesting Images
Another Case of Typical Hypertrophic Cardiomyopathy?
by Dagmar I. Keller, Uwe Füllhaas, Michael Mihatsch and Stefan Osswald
Cardiovasc. Med. 2006, 9(7), 276; https://doi.org/10.4414/cvm.2006.01186 - 30 Aug 2006
Viewed by 66
Abstract
A 51-year-old male patient developed rapidly progressive shortness of breath on exertion and prelung oedema [...] Full article
Show Figures

Figure 1

6 pages, 789 KB  
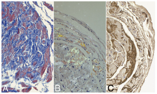
Editorial
Cannabinoids for Therapeutic Use in Atherosclerosis
by Sabine Steffens
Cardiovasc. Med. 2006, 9(7), 268; https://doi.org/10.4414/cvm.2006.01188 - 30 Aug 2006
Viewed by 75
Abstract
Atherosclerosis remains the primary cause of heart disease and stroke that causes about 50% of all deaths in Western countries. The identification of promising novel anti-atherosclerotic therapeutics is therefore of great interest and represents a continued challenge to the medical community. Cannabinoids, such [...] Read more.
Atherosclerosis remains the primary cause of heart disease and stroke that causes about 50% of all deaths in Western countries. The identification of promising novel anti-atherosclerotic therapeutics is therefore of great interest and represents a continued challenge to the medical community. Cannabinoids, such as D9-tetrahydrocannabinol (THC), the major psychoactive compound of marijuana, their synthetic analogs and endogenous cannabinoid ligands, produce their biological effects by interacting with specific receptors. In a mouse model of atherosclerosis, we have recently shown that THC inhibits disease progression through pleiotropic effects on inflammatory cells. Blocking of cannabinoid receptor CB2, the main cannabinoid receptor expressed on immune cells, abolished the observed effects. The potential therapeutic benefit is in conflict with the known health risks of marijuana use, as THC also binds to and activates neuronal CB1 cannabinoid receptors. Besides its well known neurobehavioral effects, THC also mediates cardiovascular effects such as vasodilation and hypotension. The development of novel cannabinoid receptor ligands that selectively target CB2 receptors and are devoid of adverse effects might overcome this problem. In addition, pharmacological modulation of the endocannabinoid system might also offer a new therapeutic strategy in the treatment of atherosclerosis. Several reports demonstrating an implication of the endocannabinoid system in different inflammatory conditions support this hypothesis. Full article
Show Figures

Figure 1

2 pages, 706 KB  
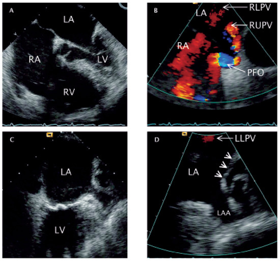
Case Report
Anomalous Left Upper Pulmonary Vein Connection with Right Heart Failure Following Closure of Patent Foramen Ovale
by Christina Eigenmann and Christian Seiler
Cardiovasc. Med. 2006, 9(7), 266; https://doi.org/10.4414/cvm.2006.01184 - 30 Aug 2006
Viewed by 62
Abstract
A68-year-old woman was admitted for rapidly progressive systemic sclerosis [...] Full article
Show Figures

Figure 1

7 pages, 211 KB  
Article
Angio-SealTM Vascular Closure Device: An Evaluation of Cost Effectiveness
by Ursula Schoenenberger, Peter Ammann, Micha Maeder and Hans Rickli
Cardiovasc. Med. 2006, 9(7), 257; https://doi.org/10.4414/cvm.2006.01189 - 30 Aug 2006
Viewed by 126
Abstract
Background: Optimal management of the vascular access site is crucial to early ambulation after percutaneous coronary intervention (PCI) and has thus major impact on the costs of the procedure. In this study, we assessed the cost-effectiveness, safety, and patient comfort of the Angio-SealTM [...] Read more.
Background: Optimal management of the vascular access site is crucial to early ambulation after percutaneous coronary intervention (PCI) and has thus major impact on the costs of the procedure. In this study, we assessed the cost-effectiveness, safety, and patient comfort of the Angio-SealTM Hemostatic Puncture Closing Device in PCI patients. Methods: In a single-centre trial, 43 patients were prospectively randomised to either immediate arterial sheath removal with Angio- Seal™ access site closure (Angio-Seal group; n = 21), or sheath removal 4 hours after elective PCI followed by manual compression (MC group; n = 22). In the Angio-Seal group, patients were ambulated 4 hours after PCI if haemostasis was achieved. In the MC group, patients were ambulated the day after PCI. Results: The time to achieve haemostasis was significantly shorter (Angio-Seal™: 2.0 ± 1.0 vs MC: 22.5 ± 4.6 min; p <0.001), and back pain after the intervention was significantly lower (Angio-Seal™: pain score 1.5 ± 1.4 vs MC: 6.0 ± 3.0; p <0.001) in the Angio-Seal group. Haemostasis was successful in all patients and no major complications occurred. The Angio- Seal™ device allowed earlier ambulation (Angio- Seal™: 4.0 ± 2.0 vs MC: 18.5 ± 2.7 hours; p <0.001). Total direct costs were significantly lower in the Angio-Seal™ compared to the MC group (514 Euro saved per patient, representing a reduction of 54%) due to reductions of nursing time (Angio-Seal™: 7.1 ± 2.5 vs MC: 9.4 ± 2.6 hours; p = 0.006) and time of the interventional physician (Angio-Seal™: 5.4 ± 7.9 vs MC: 22.5 ± 4.6 min; p <0.001). Conclusions: Compared to MC the use of the Angio-Seal™ is associated with cost saving due to shorter time to haemostasis and thus earlier ambulation and hospital discharge, as well decreased personnel and infrastructural demands. In addition, the use of Angio-Seal™ is safe and increases patient comfort. Full article
Show Figures

Figure 1

3 pages, 246 KB  
Editorial
Karotis-Stenting: Indikationsausweitung nach der SPACE-Studie?
by Marco Roffi, Beatrice Amann-Vesti, Urs Schwarz and Franz R. Eberli
Cardiovasc. Med. 2006, 9(7), 253; https://doi.org/10.4414/cvm.2006.01191 - 30 Aug 2006
Viewed by 65 Show Figures

Figure 1

Previous Issue
Next Issue
Back to TopTop