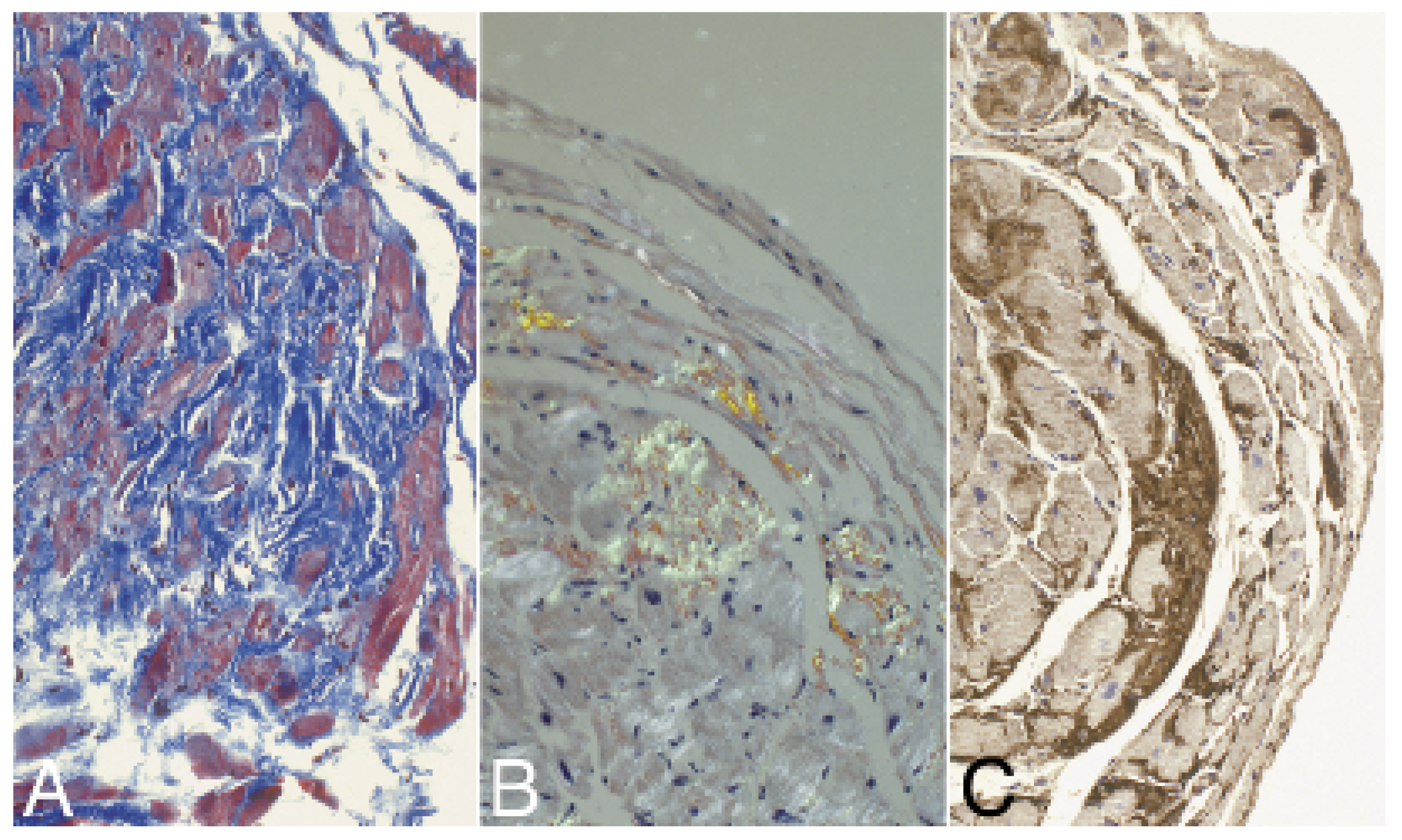
Another Case of Typical Hypertrophic Cardiomyopathy?
Case report
- (1)
- What is your diagnosis: hypertrophic cardiomyopathy, hypertensive cardiomyopathy or something else?
- (2)
- Which examination will help to establish the diagnosis?
Explanatory answers
ECG findings
References
- Braunwald’s Heart Disease: A Textbook of Cardiovascular Medicine, 7th ed.; Zipes, D.P., Libby, P., Bonow, R.O., Braunwald, E., Eds.; Elsevier Saunders: Philadelphia, PA, USA, 2005; pp. 1683–1685. ISBN 0-7216-0479-X. [Google Scholar]
- The ECG: A Two Step Approach to Diagnosis; Gertsch, M., Ed.; Springer: Berlin/Heidelberg, Germany, 2004; pp. 268–278. [Google Scholar]


© 2006 by the authors. Attribution Non-Commercial NoDerivatives 4.0.
Share and Cite
Keller, D.I.; Füllhaas, U.; Mihatsch, M.; Osswald, S. Another Case of Typical Hypertrophic Cardiomyopathy? Cardiovasc. Med. 2006, 9, 276. https://doi.org/10.4414/cvm.2006.01186
Keller DI, Füllhaas U, Mihatsch M, Osswald S. Another Case of Typical Hypertrophic Cardiomyopathy? Cardiovascular Medicine. 2006; 9(7):276. https://doi.org/10.4414/cvm.2006.01186
Chicago/Turabian StyleKeller, Dagmar I., Uwe Füllhaas, Michael Mihatsch, and Stefan Osswald. 2006. "Another Case of Typical Hypertrophic Cardiomyopathy?" Cardiovascular Medicine 9, no. 7: 276. https://doi.org/10.4414/cvm.2006.01186
APA StyleKeller, D. I., Füllhaas, U., Mihatsch, M., & Osswald, S. (2006). Another Case of Typical Hypertrophic Cardiomyopathy? Cardiovascular Medicine, 9(7), 276. https://doi.org/10.4414/cvm.2006.01186