- Interesting Images
Arterielle Hypertonie und Hypotrophe Beine bei Einem 10jährigen Bub
- Gerhard Junga,
- Oliver Kretschmar,
- Walter Knirsch,
- Esther Fichmann and
- Emanuela Valsangiacomo Büchel
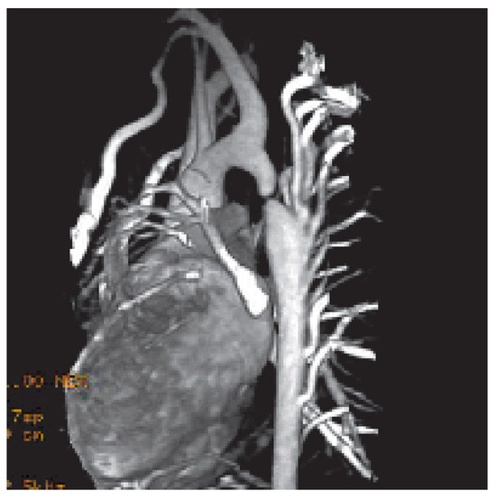
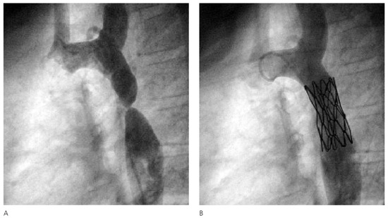
Fallbeschreibung. Ein 10jähriger Knabe wurde zur Abklärung eines Systolikums bei unauffälliger Anamnese und insbesondere uneingeschränkter körperlicher Belastbarkeit vorgestellt [...]

