Next Issue
Volume 9, 03
Previous Issue
Volume 9, 01
 
 
cardiovascmed-logo

Journal Browser

Journal Browser
Cardiovascular Medicine is published by MDPI from Volume 28 Issue 1 (2025). Previous articles were published by another publisher in Open Access under a CC-BY (or CC-BY-NC-ND) licence, and they are hosted by MDPI on mdpi.com as a courtesy and upon agreement with Editores Medicorum Helveticorum (EMH).

Cardiovasc. Med., Volume 9, Issue 2 (02 2006) – 5 articles

  • Issues are regarded as officially published after their release is announced to the table of contents alert mailing list.
  • You may sign up for e-mail alerts to receive table of contents of newly released issues.
  • PDF is the official format for papers published in both, html and pdf forms. To view the papers in pdf format, click on the "PDF Full-text" link, and use the free Adobe Reader to open them.
Order results
Result details
Select all
Export citation of selected articles as:
3 pages, 429 KB  
Interesting Images
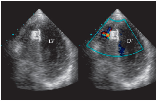
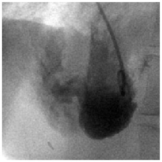
Traumatic Tamponade and Ventricular Septal Defect
by J. Alibegovic, Y. Aggoun, Cédric Vuille and on behalf of the Catheterisation and Echocardiography Laboratories (U. Sigwart and R. Lerch)
Cardiovasc. Med. 2006, 9(2), 83; https://doi.org/10.4414/cvm.2006.01154 - 24 Feb 2006
Viewed by 75
Abstract
A 30-year-old man sustained a knife wound in the 9th left intercostal space when he was involved in a fight as a bodyguard in a night club [...] Full article
Show Figures

Figure 1

2 pages, 207 KB  
Interesting Images
Unaufhörliche Supraventrikuläre Tachykardie
by Martin Rotter
Cardiovasc. Med. 2006, 9(2), 81; https://doi.org/10.4414/cvm.2006.01153 - 24 Feb 2006
Viewed by 67
Abstract
Eine 36jährige Patientin wird mit seit über drei Jahren anhaltenden Tachykardien zur Ablation zugewiesen [...] Full article
Show Figures

Figure 1

3 pages, 243 KB  
Case Report
Koronarrevaskularisation ohne Herz-Lungen-Maschine bei Thrombozytopenischer Purpura (M. Werlhof)
by Oliver Reuthebuch, Alberto Weber, Christoph Hofer, Roger Burkhard, Reza Tavakoli and Michele Genoni
Cardiovasc. Med. 2006, 9(2), 78; https://doi.org/10.4414/cvm.2006.01152 - 24 Feb 2006
Viewed by 64
Abstract
We report a case of a 75-year-old male suffering from Werlhof ’s disease and coronary artery disease undergoing off-pump coronary artery bypass grafting (OPCAB). At the time of admission, platelet count was 24 × 103/μl. After four days of treatment with [...] Read more.
We report a case of a 75-year-old male suffering from Werlhof ’s disease and coronary artery disease undergoing off-pump coronary artery bypass grafting (OPCAB). At the time of admission, platelet count was 24 × 103/μl. After four days of treatment with Octagam® (Octapharma, Switzerland), an intravenous immune globulin, preoperative platelet count increasd to 80 × 103/μl. To prevent potential bleeding complications two units of thrombocytes were administered intraoperatively. Revascularisation was uneventful. The patient was discharged from ICU on post-operative day (POD) 1. Total chest drainage was 920 ml, requiring the transfusion of one red blood cell concentrate only. Further postoperative course was uneventful and the patient was discharged from hospital on POD 9. We conclude that in patients with Werlhof ’s disease OPCAB surgery can be safely performed. Full article
Show Figures

Figure 1

9 pages, 337 KB  
Article
Lebensqualität von Ambulanten Kardiologischen Patienten einer Universitätsklinik
by Christof Burkart, Juraj Turina, Thomas F. Lüscher and Jens P. Hellermann
Cardiovasc. Med. 2006, 9(2), 68; https://doi.org/10.4414/cvm.2006.01150 - 24 Feb 2006
Viewed by 68
Abstract
In an ageing population, quality of life (QOL) plays an important role in disease management. QOL in patients with cardiovascular diseases treated in an outpatient setting are rarely described in a single research project, mainly because of the methodological complexity and missing instruments, [...] Read more.
In an ageing population, quality of life (QOL) plays an important role in disease management. QOL in patients with cardiovascular diseases treated in an outpatient setting are rarely described in a single research project, mainly because of the methodological complexity and missing instruments, eg patients questionnaires in German. The aim of the following study was to determine QOL by means of standardised, validated and self-administered questionnaires at the Cardiovascular Center Zurich outpatient clinic between January and June 2003. We used the Short Form 36 (SF-36) and the Minnesota Living with Heart Failure Questionnaire (MLHFQ) to assess determinants of QOL in 250 consecutive patients with coronary heart disease (44%), congenital heart disease (19%), valvular heart disease (17%), hypertensive heart disease (6%), and dilatative cardiomyopathy (5%). Questionnaires’ return rate was 91%. Of those, 17 (7.5%) were not readable, thus data of 210 questionnaires (84%) were analysed.
Mean age was 55 years (± 16.4, range 18 to 85 years) and average inter-correlation among the items measured by Cronbach’s alpha was 0.8414 (physical role ) to 0.8890 (social function) with the SF-36 and 0.6010 (physical dimension) to 0.8182 (emotional dimension) with the MLHFQ. Determinants of decreasing QOL were increasing BMI (SF-36: p = 0.0010; MLHFQ: p = 0.0239), number of medications (SF-36 and MLHFQ: p <0.001), number of cardiovascular risk factors (SF-36: p = 0.0004; MLHFQ: p = 0.0173), increased age (SF-36: p = 0.0061; MLHFQ: p = 0.0404) and lower left ventricular ejection fraction (SF-36: p = 0.0065; MLHFQ: p = 0.0002), respectively. All cardiovascular diseases could be discriminated against dilatative cardiomyopathy, however questionnaires’ items were not able to express the specific distinguishing qualities of all other diagnoses. In comparison with a standard disease-free population, social function was dramatically reduced in all cardiovascular diseases (48.3% ± 10.4 vs 88.8% ± 18.4; p <0.0001).
SF-36 and MLHFQ are reliable instruments in their German translation for determining QOL in cardiovascular patients in an outpatient setting. Patients with dilatative cardiomyopathy have the poorest QOL, however discrimination between diseases by means of these two instruments is not feasible. Items for describing social role in cardiovascular diseases ought to be reevaluated. Physicians should pay more attention to the social function of patients with cardiovascular diseases. Full article
Show Figures

Figure 1

14 pages, 663 KB  
Editorial
Laiendefibrillation Ausserhalb des Spitals–Häufig Propagiert, Aber zu Selten Eingesetzt
by Bernhard C. Friedli, Regula Erb, Peter Stoffel, Hans O. Gloor and Jürg H. Beer
Cardiovasc. Med. 2006, 9(2), 54; https://doi.org/10.4414/cvm.2006.01151 - 24 Feb 2006
Viewed by 61
Abstract
Out-of-hospital cardiac arrests (OHCA) have a poor outcome. Firefighters, police or emergency medical services are generally unable to reach patients with an OHCA within the 5 minutes required for a successful defibrillation. Based on our experience and the existing literature, we demonstrate the [...] Read more.
Out-of-hospital cardiac arrests (OHCA) have a poor outcome. Firefighters, police or emergency medical services are generally unable to reach patients with an OHCA within the 5 minutes required for a successful defibrillation. Based on our experience and the existing literature, we demonstrate the advantage of early defibrillation by laypersons (public access defibrillation [PAD]). The rate of survival of 9% (4/43) at hospital discharge in patients treated by the emergency medical service of the Kantonsspital Baden lies within the worldwide average reported in the international literature. Totally 3 out of 12 defibrillated patients (25%) left the hospital alive. Only one of the surviving patients was, however, defibrillated by the emergency medical service. One patient survived an OHCA with only minimal neurological dysfunctions thanks to the use of an automated external defibrillator (AED) by a layperson. Several studies on PAD show a trend to reduce mortality in OHCA. AEDs can be used safely and cost-effectively by laypersons. Efforts of the Swiss Resuscitation Council (SRC) to promote AEDs in Switzerland in order to minimise the collapse to defibrillation time have not been successful so far. Presently there is no data in this country available about early defibrillation by laypersons to confirm the successful use of PAD. In order to improve the rate of survival after OHCA in Switzerland, sufficient funding and manpower to further promote the use of AEDs in public places with a high probabilty of OHCA is essential. Full article
Show Figures

Figure 1

Previous Issue
Next Issue
Back to TopTop