A Rare Cause of Acute Coronary Syndrome
Abstract
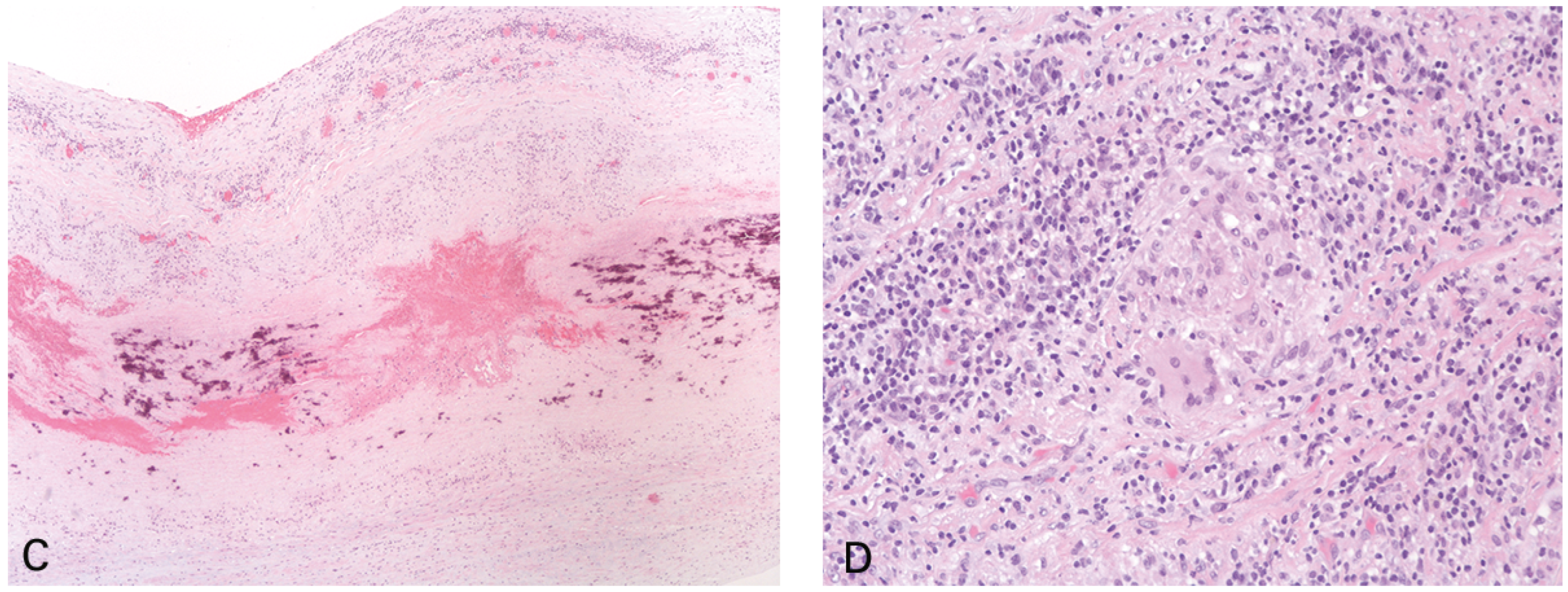
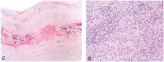
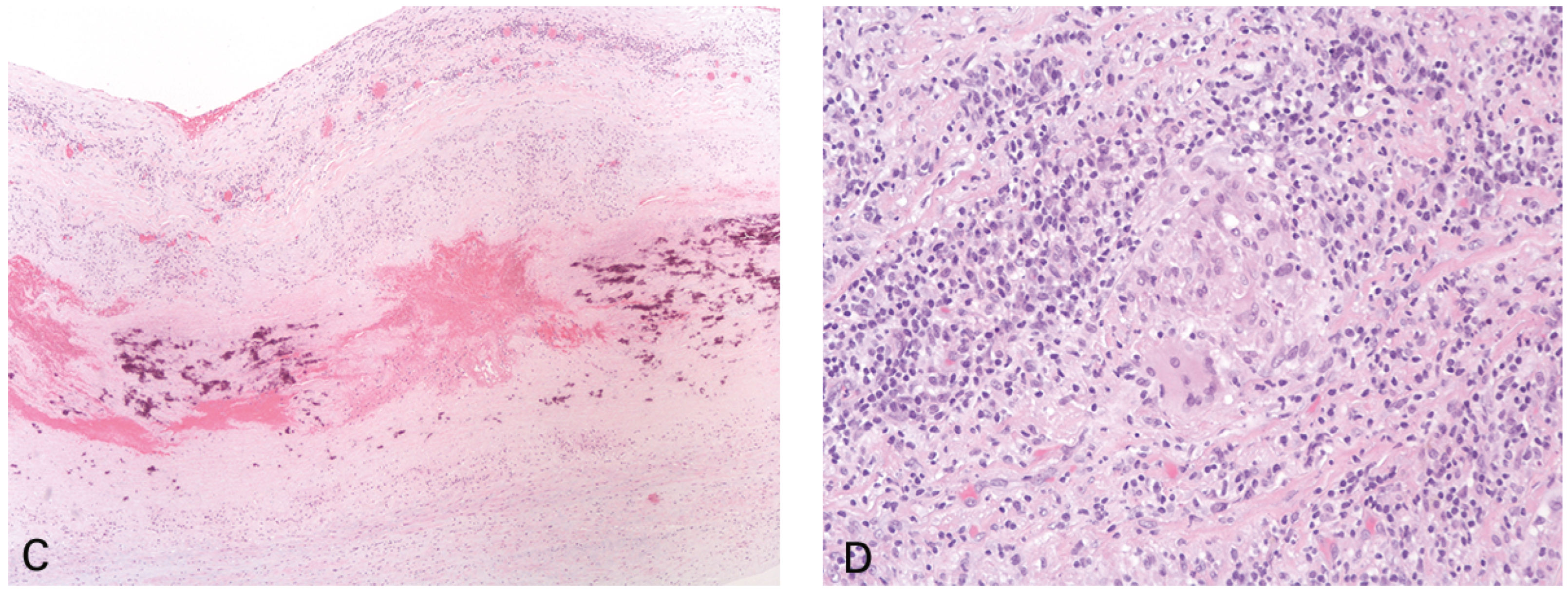
Case description


Discussion
Disclosure statement
References
- Nuenninghoff, D.M.; Hunder, G.G.; Christianson, T.J.; McClelland, R.L.; Matteson, E.L. Incidence and predictors of large-artery complication (aortic aneurysm, aortic dissection, and/or large-artery stenosis) in patients with giant cell arteritis: a population-based study over 50 years. Arthritis Rheum. 2003, 48, 3522–31. [Google Scholar] [CrossRef] [PubMed]
- Bossert, M.; Prati, C.; Balblanc, J.C.; Lohse, A.; Wendling, D. Aortic involvement in giant cell arteritis: current data. Joint Bone Spine. 2011, 78, 246–51. [Google Scholar] [CrossRef] [PubMed]
- Berthod, P.E.; Aho-Glélé, S.; Ornetti, P.; Chevallier, O.; Devilliers, H.; Ricolfi, F.; et al. CT analysis of the aorta in giant-cell arteritis: a case-control study. Eur Radiol. 2018, 28, 3676–84. [Google Scholar] [CrossRef] [PubMed]
- Gawinecka, J.; Schönrath, F.; von Eckardstein, A. Acute aortic dissection: pathogenesis, risk factors and diagnosis. Swiss Med Wkly. 2017 Aug;147:w14489.
- Kermani, T.A.; Warrington, K.J.; Crowson, C.S.; Hunder, G.G.; Ytterberg, S.R.; Gabriel, S.E.; et al. Predictors of Dissection in Aortic Aneurysms From Giant Cell Arteritis. J Clin Rheumatol. 2016, 22, 184–7. [Google Scholar] [CrossRef] [PubMed]
© 2021 by the author. Attribution - Non-Commercial - NoDerivatives 4.0.
Share and Cite
Gros, B.P.; Sala, N.; Roguelov, C. A Rare Cause of Acute Coronary Syndrome. Cardiovasc. Med. 2021, 24, 2182. https://doi.org/10.4414/cvm.2021.02182
Gros BP, Sala N, Roguelov C. A Rare Cause of Acute Coronary Syndrome. Cardiovascular Medicine. 2021; 24(5):2182. https://doi.org/10.4414/cvm.2021.02182
Chicago/Turabian StyleGros, Barbara Pitta, Nathalie Sala, and Christan Roguelov. 2021. "A Rare Cause of Acute Coronary Syndrome" Cardiovascular Medicine 24, no. 5: 2182. https://doi.org/10.4414/cvm.2021.02182
APA StyleGros, B. P., Sala, N., & Roguelov, C. (2021). A Rare Cause of Acute Coronary Syndrome. Cardiovascular Medicine, 24(5), 2182. https://doi.org/10.4414/cvm.2021.02182
