A Case Series of Acute Myocarditis Associated with SARS-CoV-2 mRNA Vaccination
Abstract
Introduction
Case descriptions
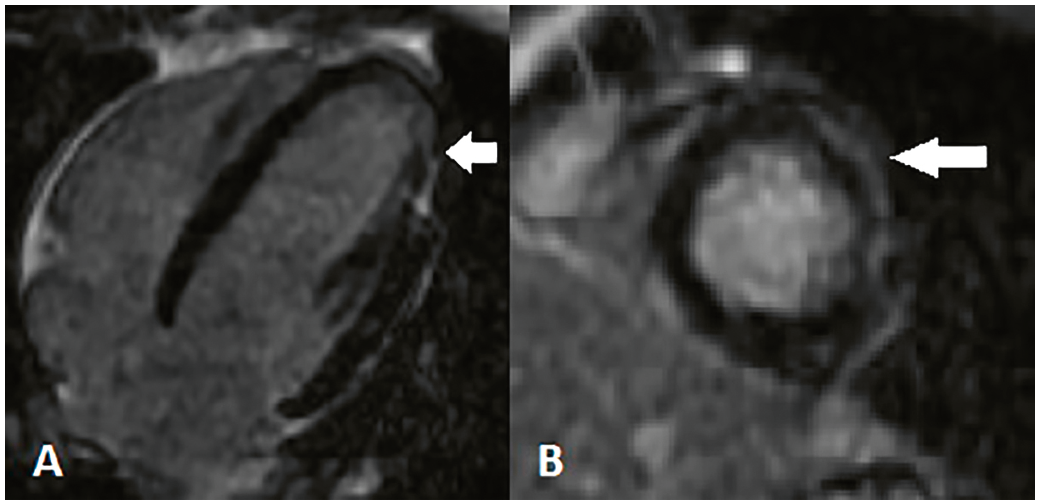
- Patient 1
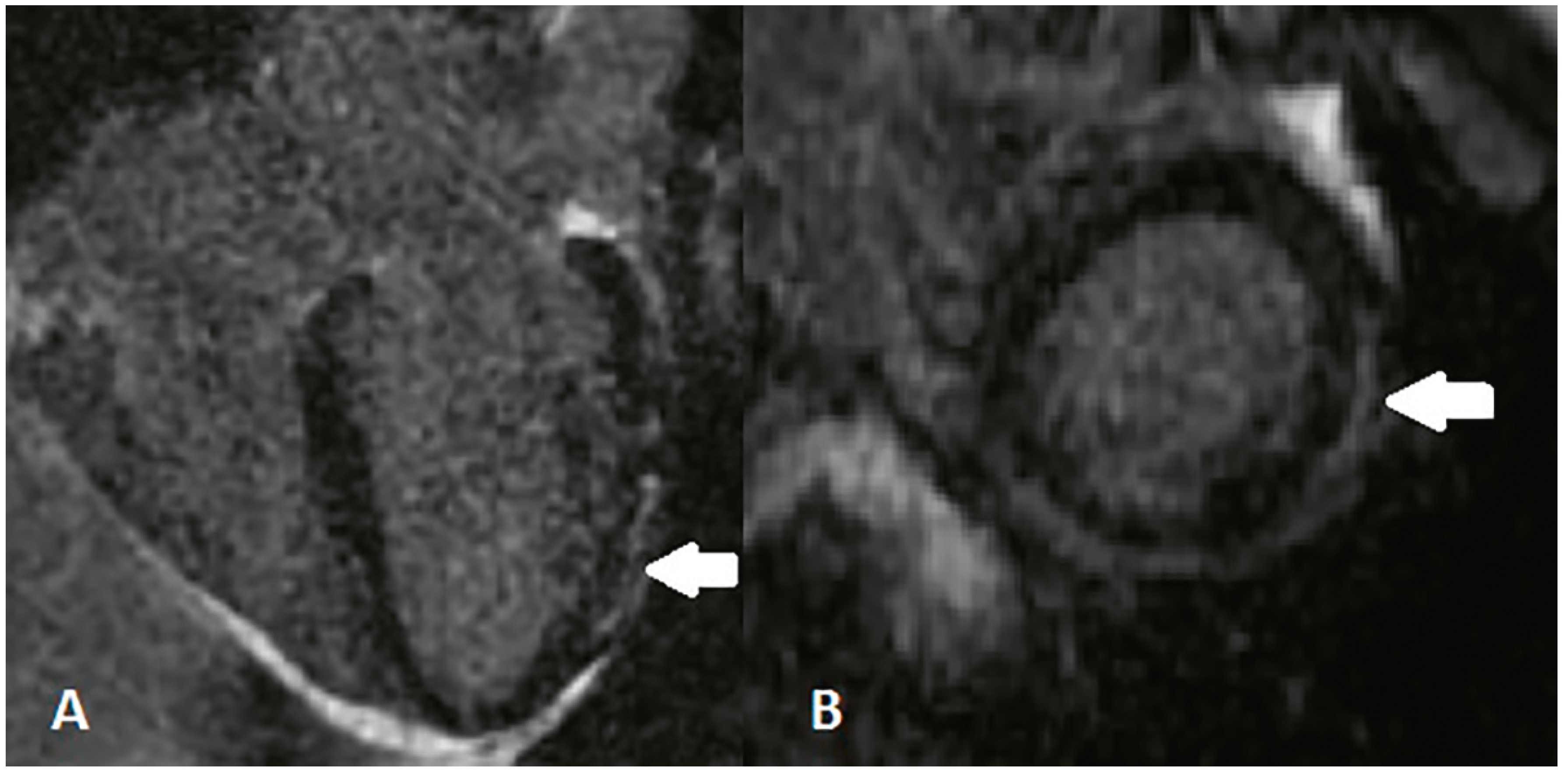
- Patient 2
- Patient 3
Discussion
Conclusion
Disclosure statement
Patient consent
References
- Polack, F.P.; Thomas, S.J.; Kitchin, N.; Absalon, J.; Gurtman, A.; Lockhart, S.; et al. C4591001 Clinical Trial Group. Safety and Efficacy of the BNT162b2 mRNA Covid-19 Vaccine. N Engl J Med. 2020, 383, 2603–2615. [Google Scholar] [CrossRef] [PubMed]
- Baden, L.R.; El Sahly, H.M.; Essink, B.; Kotloff, K.; Frey, S.; Novak, R.; Diemert, D.; Spector, S.A.; Rouphael, N.; Creech, C.B.; et al. Efficacy and Safety of the mRNA-1273 SARS-CoV-2 Vaccine. N Engl J Med. 2021, 384, 403–416. [Google Scholar] [CrossRef] [PubMed]
- Caforio, A.L.; Pankuweit, S.; Arbustini, E.; Basso, C.; Gimeno-Blanes, J.; Felix, S.B.; Fu, M.; Heliö, T.; Heymans, S.; Jahns, R.; et al. Current state of knowledge on aetiology, diagnosis, management, and therapy of myocarditis: a position statement of the European Society of Cardiology Working Group on Myocardial and Pericardial Diseases. Eur Heart J. 2013, 34, 2636–2648, 2648a. [Google Scholar] [CrossRef] [PubMed]
- Mei, R.; Raschi, E.; Forcesi, E.; Diemberger, I.; De Ponti, F.; Poluzzi, E. Myocarditis and pericarditis after immunization: Gaining insights through the Vaccine Adverse Event Reporting System. Int J Cardiol. 2018, 273, 183–186. [Google Scholar] [CrossRef] [PubMed]
- Etat de Fribourg [Internet]. Coronavirus: statistiques évolution de la situation dans le canton; c2021. Available online: https://www.fr.ch/sante/covid-19/coronavirus-statistiques-evolution-de-la-situation-dans-le-canton (accessed on 16 August 2021).
- Swiss Agency for Therapeutic Products (Swissmedic) [Internet]. Investigation of reports of myocarditis in connection with COVID-19 mRNA vaccines; c2021. Available online: https://www.swissmedic.ch/swissmedic/en/home/news/coronavirus-covid-19/untersuchung-berichten-ueber-myokarditiden-zusammenhang- mrna-impfstoffe.html (accessed on 9 August 2021).
- Gargano, J.W.; Wallace, M.; Hadler, S.C.; Langley, G.; Su, J.R.; Oster, M.E.; et al. Use of mRNA COVID-19 Vaccine After Reports of My-ocarditis Among Vaccine Recipients: Update from the Advisory Committee on Immunization Practices United States, June 2021. MMWR Morb Mortal Wkly Rep. 2021, 70, 977–982. [Google Scholar] [CrossRef] [PubMed]
- Bozkurt, B.; Kamat, I.; Hotez, P.J. Myocarditis With COVID-19 mRNA Vaccines. Circulation. 2021, 144, 471–484. [Google Scholar] [CrossRef] [PubMed]
- Chiabrando, J.G.; Bonaventura, A.; Vecchié, A.; Wohlford, G.F.; Mauro, A.G.; Jordan, J.H.; et al. Management of Acute and Recurrent Pericarditis: JACC State-of-the-Art Review. J Am Coll Cardiol. 2020, 75, 76–92. [Google Scholar] [CrossRef] [PubMed]
- Brooks, M. Myocarditis Tied to COVID-19 Shots More Common Than Reported? Medscape [Internet]. 2021. Available online: http://www.medscape.com/viewarticle/956089 (accessed on 12 August 2021).
- Friedrich, M.G.; Sechtem, U.; Schulz-Menger, J.; Holmvang, G.; Alakija, P.; Cooper, L.T.; et al. International Consensus Group on Cardiovascular Magnetic Resonance in Myocarditis. Cardiovascular magnetic resonance in myocarditis: A JACC White Paper. J Am Coll Cardiol. 2009, 53, 1475–1487. [Google Scholar] [CrossRef] [PubMed]
- Elliott, P. Myocardial diseases. In The European Society of Cardiology (ESC) textbook of cardiovascular medicine, 3rd ed.; Camm, A.J., Lüscher, T.F., Maurer, G., Serruys, P.W., Eds.; Oxford University Press/ESC: Oxford; New York, NY, 2019; pp. 1511–1528. [Google Scholar]
- Ammirati, E.; Frigerio, M.; Adler, E.D.; Basso, C.; Birnie, D.H.; Brambatti, M.; et al. Management of Acute Myocarditis and Chronic Inflammatory Cardiomyopathy: An Expert Consensus Document. Circ Heart Fail. 2020, 13, e007405. [Google Scholar] [CrossRef] [PubMed]
- Wallace, M.; Oliver, S. COVID-19 mRNA vaccines in adolescents and young adults: benefit-risk discussion [Internet]; Advisory Committee on Immunization Practices; c2021. Available online: https://stacks.cdc.gov/view/cdc/108331 (accessed on 13 August 2021).
- Centers for Disease Control and Prevention (CDC) [Internet]. Interim Clinical Considerations for Use of COVID-19 Vaccines; c2021. Available online: https://www.cdc.gov/vaccines/covid-19/ clinical-considerations/covid-19-vaccines-us.html (accessed on 17 August 2012).







| Male 12–29 years old | 40.6 cases /1'000'000 second dose |
| 12–17 years old | 62.8 cases /1'000'000 second dose |
| 18–24 years old | 50.4 cases /1'000'000 second dose |
| Male >30 years old | 2.4 cases /1'000'000 second dose |
| Female 12–29 years old | 4.2 cases /1'000'000 second dose |
| Females >30 years old | 1 case /1'000'000 second dose |
| – | “Low-risk”: absence of clinical HF or low BP, preserved LVEF (>50%) and absence of arrhythmias. | |
| – | “Intermediate-risk”: | |
| a. | Mild HF signs/symptoms, mildly decreased LVEF (41–49%) and presence of arrhythmias. | |
| b. | HF symptoms, moderately decreased LVEF (30–40%) and absence of arrhythmias. | |
| – | “High-risk”: | |
| a. | HF symptoms, moderately decreased LVEF (30–40%) and presence of arrhythmias. | |
| b. | Cardiogenic shock, severely reduced LVEF (<30%) with or without arrhythmias. | |
© 2021 by the author. Attribution - Non-Commercial - NoDerivatives 4.0.
Share and Cite
Abellan, C.; Vivekanantham, H.; Mahmoudi, A.; Cook, S.; Doll, S.; Arroyo, D. A Case Series of Acute Myocarditis Associated with SARS-CoV-2 mRNA Vaccination. Cardiovasc. Med. 2021, 24, 2181. https://doi.org/10.4414/cvm.2021.02181
Abellan C, Vivekanantham H, Mahmoudi A, Cook S, Doll S, Arroyo D. A Case Series of Acute Myocarditis Associated with SARS-CoV-2 mRNA Vaccination. Cardiovascular Medicine. 2021; 24(5):2181. https://doi.org/10.4414/cvm.2021.02181
Chicago/Turabian StyleAbellan, Christophe, Hari Vivekanantham, Allal Mahmoudi, Stéphane Cook, Sébastien Doll, and Diego Arroyo. 2021. "A Case Series of Acute Myocarditis Associated with SARS-CoV-2 mRNA Vaccination" Cardiovascular Medicine 24, no. 5: 2181. https://doi.org/10.4414/cvm.2021.02181
APA StyleAbellan, C., Vivekanantham, H., Mahmoudi, A., Cook, S., Doll, S., & Arroyo, D. (2021). A Case Series of Acute Myocarditis Associated with SARS-CoV-2 mRNA Vaccination. Cardiovascular Medicine, 24(5), 2181. https://doi.org/10.4414/cvm.2021.02181
