When the Chest Pain Suddenly Worsens
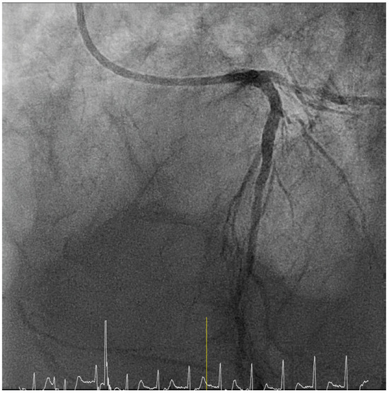
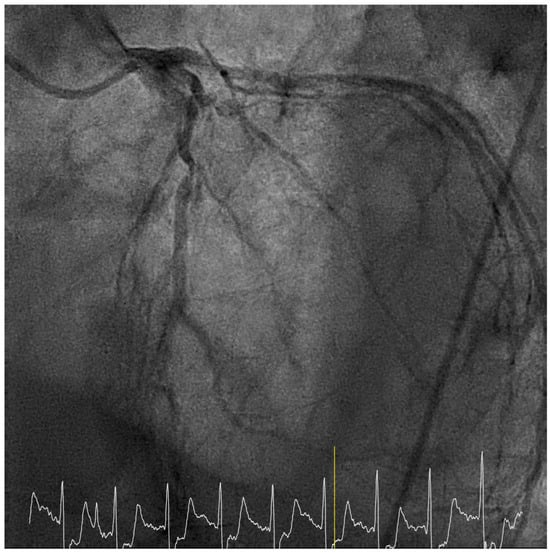
Case presentation
What is your diagnosis? What would be your next step(s) in managing this patient?
Solution
Disclosure statement
References
- Ibanez, B.; James, S.; Agewall, S.; Antunes, M.J.; Bucciarelli-Ducci, C.; Bueno, H.; et al. ESC Scientific Document Group. 2017 ESC Guidelines for the management of acute myocardial infarction in patients presenting with ST-segment elevation: the Task Force for the management of acute myocardial infarction in patients presenting with ST-segment elevation of the European Society of Cardiology (ESC). Eur. Heart J. 2018, 39, 119–177. [Google Scholar] [CrossRef] [PubMed]
- Yan, A.T.; Yan, R.T.; Kennelly, B.M.; Anderson, F.A., Jr.; Budaj, A.; López-Sendón, J.; et al. GRACE Investigators. Relationship of ST elevation in lead a VR with angiographic findings and outcome in non-ST elevation acute coronary syndromes. Am. Heart J. 2007, 154, 71–78. [Google Scholar] [CrossRef] [PubMed]




© 2021 by the authors. Attribution - Non-Commercial - NoDerivatives 4.0.
Share and Cite
Balcova, J.; Müller, P.N. When the Chest Pain Suddenly Worsens. Cardiovasc. Med. 2021, 24, 2184. https://doi.org/10.4414/cvm.2021.02184
Balcova J, Müller PN. When the Chest Pain Suddenly Worsens. Cardiovascular Medicine. 2021; 24(5):2184. https://doi.org/10.4414/cvm.2021.02184
Chicago/Turabian StyleBalcova, Jana, and Philippe N Müller. 2021. "When the Chest Pain Suddenly Worsens" Cardiovascular Medicine 24, no. 5: 2184. https://doi.org/10.4414/cvm.2021.02184
APA StyleBalcova, J., & Müller, P. N. (2021). When the Chest Pain Suddenly Worsens. Cardiovascular Medicine, 24(5), 2184. https://doi.org/10.4414/cvm.2021.02184
