- Case Report
Unusual Collateralisation of a Chronic Total Ccclusion of the Left Anterior Descending Artery
- Murat Cimci and
- Stephane Noble
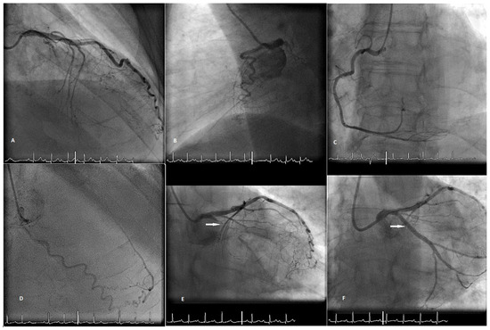
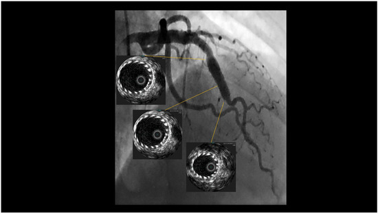
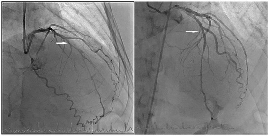
When performing revascularisation of a chronic total occlusion, contralateral injection is essential to visualise the distal bed of the occluded vessel, adding to procedural success. Here we describe a case of antegrade recanalisation of a left anter...

