Impressive Late Stent Recoil of a Drug-Eluting Resorbable Magnesium Coronary Stent
Abstract
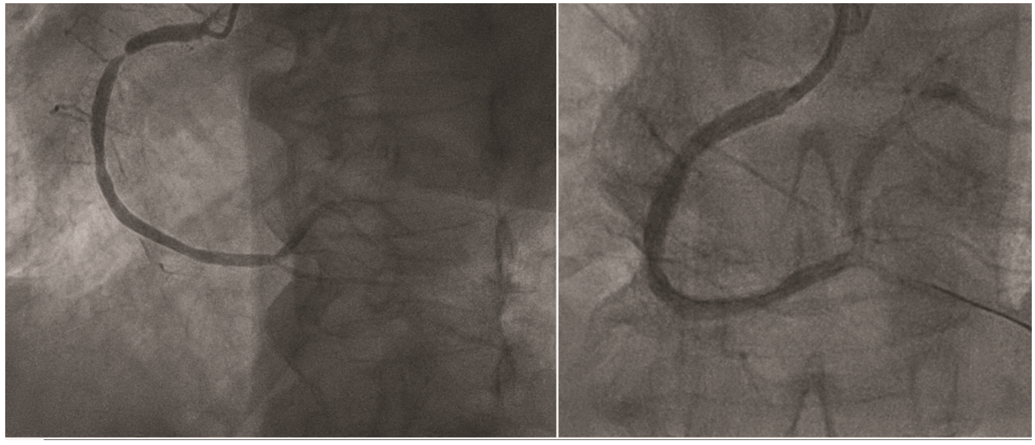
Case description
Discussion
Conflicts of Interest
References
- Capodanno, D.; Gori, T.; Nef, H.; Latib, A.; Mehilli, J.; Lesiak, M.; et al. Percutaneous coronary intervention with everolimus-eluting bioresorbable vascular scaffolds in routine clinical practice: early and midterm outcomes from the European multicentre GHOST-EU registry. EuroIntervention. 2015, 10, 1144–1153. [Google Scholar] [CrossRef] [PubMed]
- Lipinski, M.J.; Escarcega, R.O.; Baker, N.C.; Benn, H.A.; Gaglia, M.A.; Torguson, R.; et al. Scaffold thrombosis after percutaneous coronary intervention with ABSORB Bioresorbable vascular scaffold: A systematic review and meta-analysis. JACC Cardiovasc Interv. 2016, 9, 12–24. [Google Scholar] [CrossRef] [PubMed]
- Haude, M.; Ince, H.; Abizaid, A.; Toelg, R.; Lemos, P.A.; von Birgelen, C.; et al. Safety and performance of the second-generation drug-eluting absorbable metal scaffold in patients with de-novo coronary artery lesions (BIOSOLVE-II): 6 month results of a prospective, multicentre, non-randomised, first-in-man trial. Lancet. 2016, 387, 31–39. [Google Scholar] [CrossRef] [PubMed]
- Haude, M.; Ince, H.; Abizaid, A.; Toelg, R.; Lemos, P.A.; von Birgelen, C.; et al. Sustained safety and performance of the second-generation drug-eluting absorbable metal scaffold in patients with de novo coronary lesions: 12-month clinical results and angiographic findings of the BIOSOLVE-II first-in-man trial. Eur Heart J. 2016, 37, 2701–2709. [Google Scholar] [CrossRef] [PubMed]
- Tijssen, R.Y.G.; Kraak, R.P.; Elias, J.; van Dongen, I.M.; Kalkman, D.N.; Nassif, M.; et al. Implantation techniques (predilatation, sizing, and post-dilatation) and the incidence of scaffold thrombosis and revascularisation in lesions treated with an everolimus-eluting bioresorbable vascular scaffold: insights from the AIDA trial. EuroIntervention. 2018, 14, e434–e4April42. [Google Scholar] [CrossRef] [PubMed]
- Ormiston, J.A.; Webber, B.; Ubod, B.; Darremont, O.; Webster, M.W. An independent bench comparison of two bioresorbable drug-eluting coronary scaffolds (Absorb and DESolve) with a durable metallic drug-eluting stent (ML8/Xpedition). EuroIntervention. 2015, 11, 60–67. [Google Scholar] [CrossRef] [PubMed]
- Tanimoto, S.; Serruys, P.W.; Thuesen, L.; Dudek, D.; de Bruyne, B.; Chevalier, B.; et al. Comparison of in vivo acute stent recoil between the bioabsorbable everolimus-eluting coronary stent and the everolimus-eluting cobalt chromium coronary stent: insights from the ABSORB and SPIR-IT trials. Catheter Cardiovasc Interv. 2007, 70, 515–523. [Google Scholar] [CrossRef] [PubMed]
- Tanimoto, S.; Bruining, N.; van Domburg, R.T.; Rotger, D.; Radeva, P.; Ligthart, J.M.; et al. Late stent recoil of the bioabsorbable everolimus-eluting coronary stent and its relationship with plaque morphology. J Am Coll Cardiol. 2008, 52, 1616–1620. [Google Scholar] [CrossRef] [PubMed]
- Ormiston, J.A.; Serruys, P.W.; Regar, E.; Dudek, D.; Thuesen, L.; Webster, M.W.; et al. A bioabsorbable everolimus-eluting coronary stent system for patients with single de-novo coronary artery lesions (ABSORB): a prospective open-label trial. Lancet. 2008, 371, 899–907. [Google Scholar] [CrossRef] [PubMed]
- Barkholt, T.Ø.; Webber, B.; Holm, N.R.; Ormiston, J.A. Mechanical properties of the drug-eluting bioresorbable magnesium scaffold compared with polymeric scaffolds and a permanent metallic drug-eluting stent. Catheter Cardiovasc Interv. 2019. [Google Scholar] [CrossRef] [PubMed]
- Blachutzik, F.; Achenbach, S.; Tröbs, M.; Marwan, M.; Weissner, M.; Nef, H.; et al. Effect of non-compliant balloon postdilatation on magnesium-based bioresorbable vascular scaffolds. Catheter Cardiovasc Interv. 2019, 93, 202–207. [Google Scholar] [CrossRef] [PubMed]




© 2020 by the author. Attribution - Non-Commercial - NoDerivatives 4.0.
Share and Cite
Tomasello, S.D.; Azzarelli, S.A.; Argentino, V.; Scardaci, F.; Amico, F. Impressive Late Stent Recoil of a Drug-Eluting Resorbable Magnesium Coronary Stent. Cardiovasc. Med. 2020, 23, w02103. https://doi.org/10.4414/cvm.2020.02103
Tomasello SD, Azzarelli SA, Argentino V, Scardaci F, Amico F. Impressive Late Stent Recoil of a Drug-Eluting Resorbable Magnesium Coronary Stent. Cardiovascular Medicine. 2020; 23(2):w02103. https://doi.org/10.4414/cvm.2020.02103
Chicago/Turabian StyleTomasello, Salvatore D., Salvatore A. Azzarelli, Vincenzo Argentino, Francesco Scardaci, and Francesco Amico. 2020. "Impressive Late Stent Recoil of a Drug-Eluting Resorbable Magnesium Coronary Stent" Cardiovascular Medicine 23, no. 2: w02103. https://doi.org/10.4414/cvm.2020.02103
APA StyleTomasello, S. D., Azzarelli, S. A., Argentino, V., Scardaci, F., & Amico, F. (2020). Impressive Late Stent Recoil of a Drug-Eluting Resorbable Magnesium Coronary Stent. Cardiovascular Medicine, 23(2), w02103. https://doi.org/10.4414/cvm.2020.02103
