Unusual Collateralisation of a Chronic Total Ccclusion of the Left Anterior Descending Artery
Summary
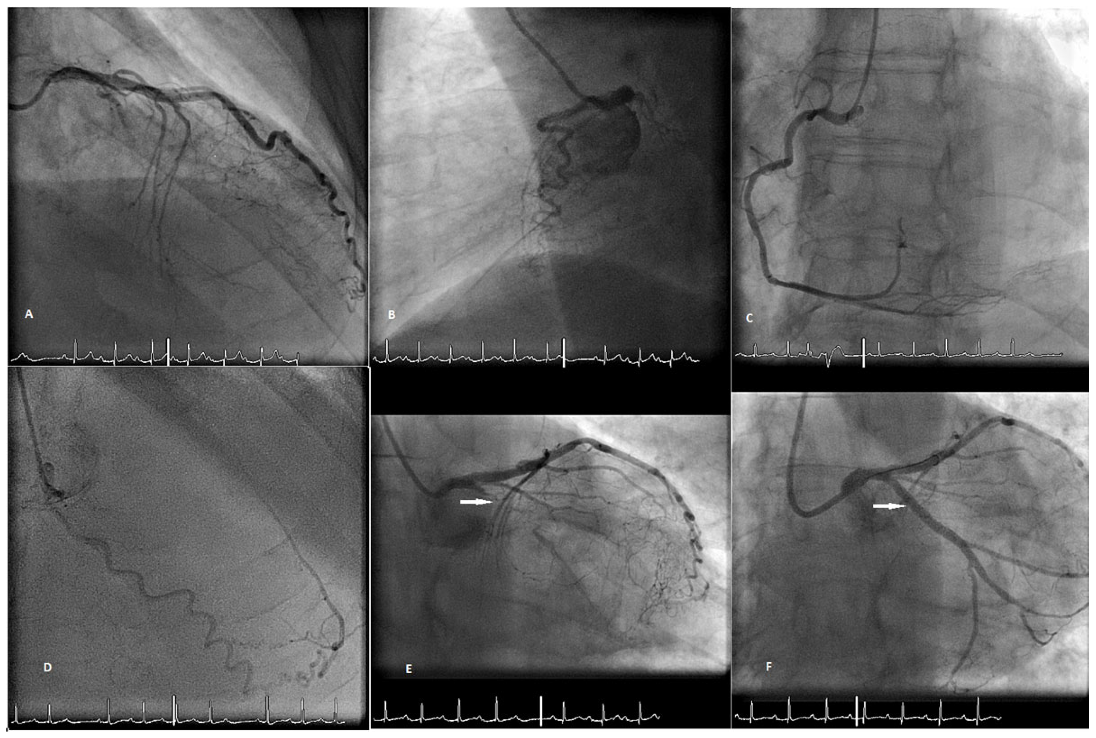
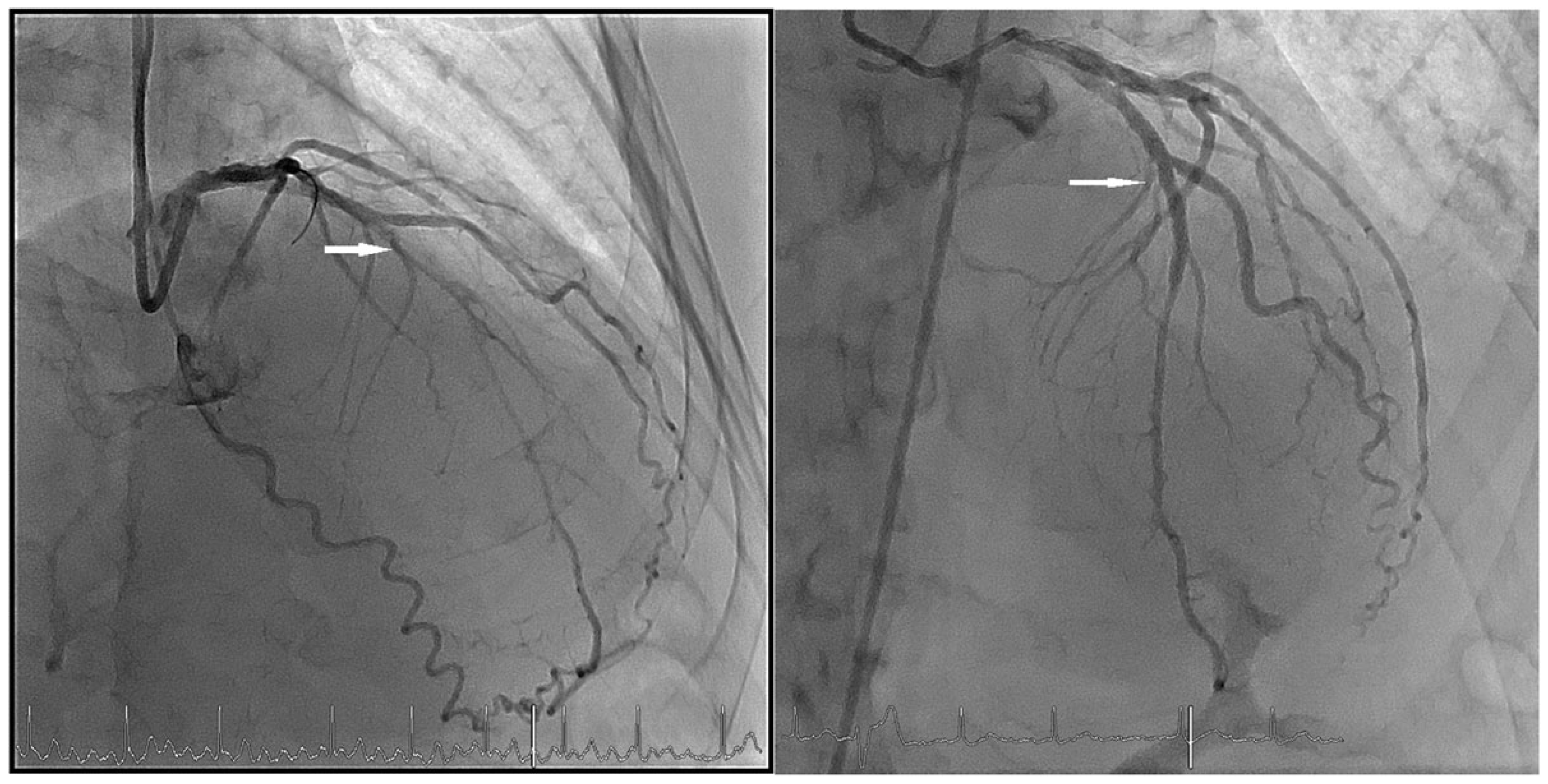
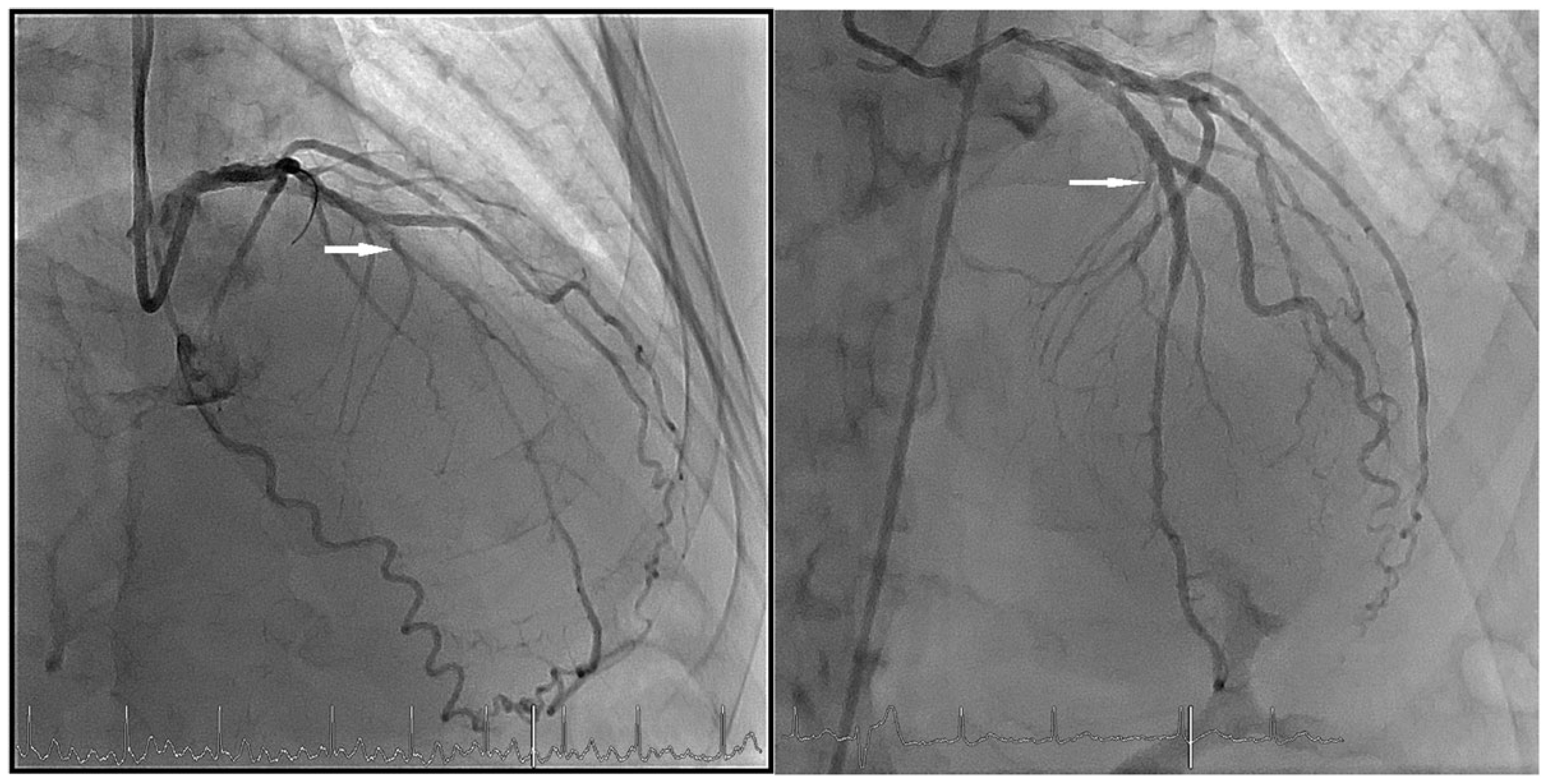
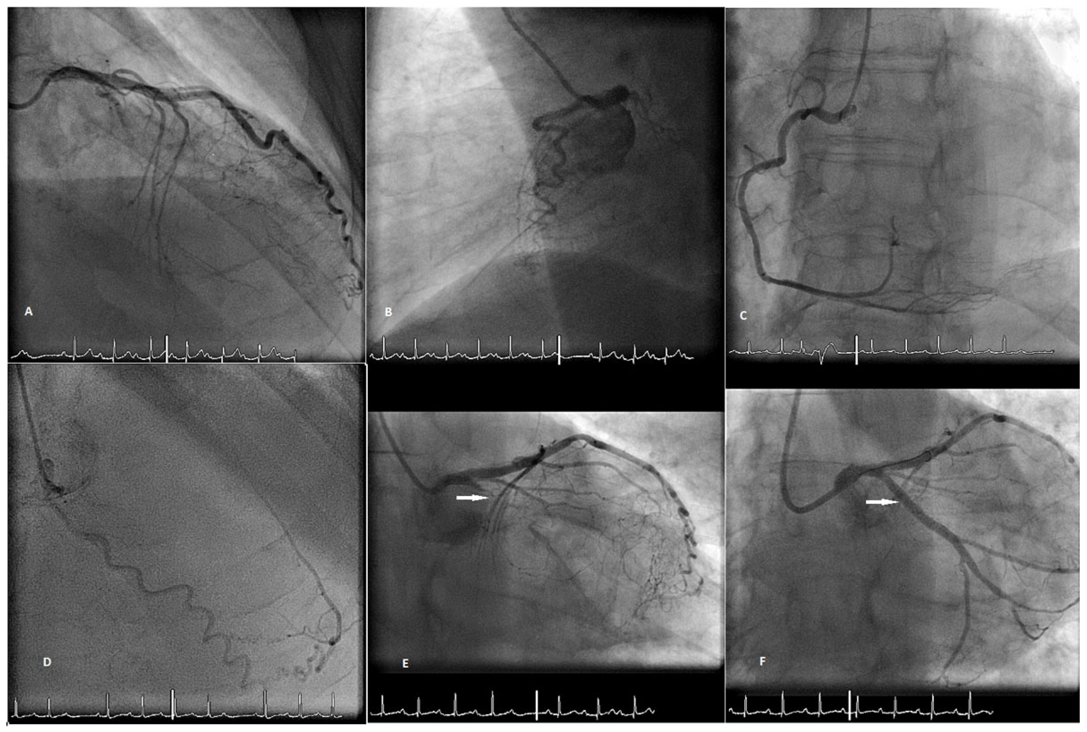
Case Report
Discussion
Conclusions
Conflicts of Interest
References
- Kuon, E.; Dahm, J.B.; Empen, K.; Robinson, D.M.; Reuter, G.; Wucherer, M. Identification of less-irradiating tube angulations in invasive cardiology. J. Am. Coll. Cardiol. 2004, 44, 1420–1428. [Google Scholar] [CrossRef] [PubMed]
- McEntegart, M.B.; Badar, A.A.; Ahmad, F.A.; Shaukat, A.; MacPherson, M.; Irving, J.; et al. The collateral circulation of coronary chronic total occlusions. EuroIntervention 2016, 11, e1596–e1603. [Google Scholar] [CrossRef] [PubMed]
- Tanigawa, J.; Petrou, M.; Di Mario, C. Selective injection of the conus branch should always be attempted if no collateral filling visualises a chronically occluded left anterior descending coronary artery. Int. J. Cardiol. 2007, 115, 126–127. [Google Scholar] [CrossRef] [PubMed]
- Deora, S.; Shah, S.; Patel, T. “Arterial circle of Vieussens”—An important intercoronary collateral. Int. J. Cardiol. Heart Vessels. 2014, 3, 84–85. [Google Scholar] [CrossRef] [PubMed]
- Kawamura, A.; Jinzaki, M.; Kuribayashi, S. Percutaneous revascularization of chronic total occlusion of left anterior descending artery using contralateral injection via isolated conus artery. J. Invasive Cardiol. 2009, 21, E84–E86. [Google Scholar] [PubMed]


© 2020 by the author. Attribution - Non-Commercial - NoDerivatives 4.0.
Share and Cite
Cimci, M.; Noble, S. Unusual Collateralisation of a Chronic Total Ccclusion of the Left Anterior Descending Artery. Cardiovasc. Med. 2020, 23, w02092. https://doi.org/10.4414/cvm.2020.02092
Cimci M, Noble S. Unusual Collateralisation of a Chronic Total Ccclusion of the Left Anterior Descending Artery. Cardiovascular Medicine. 2020; 23(2):w02092. https://doi.org/10.4414/cvm.2020.02092
Chicago/Turabian StyleCimci, Murat, and Stephane Noble. 2020. "Unusual Collateralisation of a Chronic Total Ccclusion of the Left Anterior Descending Artery" Cardiovascular Medicine 23, no. 2: w02092. https://doi.org/10.4414/cvm.2020.02092
APA StyleCimci, M., & Noble, S. (2020). Unusual Collateralisation of a Chronic Total Ccclusion of the Left Anterior Descending Artery. Cardiovascular Medicine, 23(2), w02092. https://doi.org/10.4414/cvm.2020.02092
