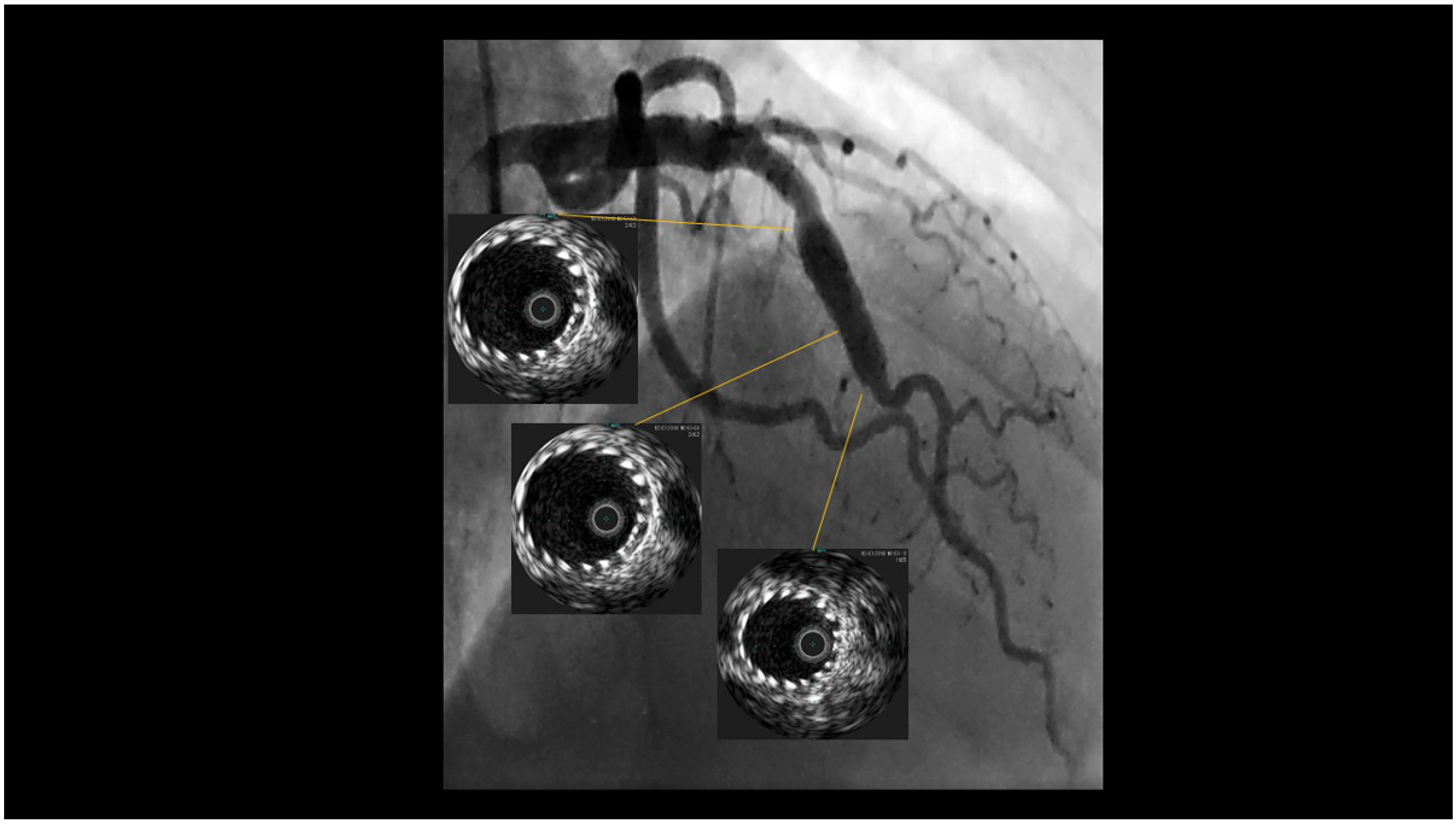
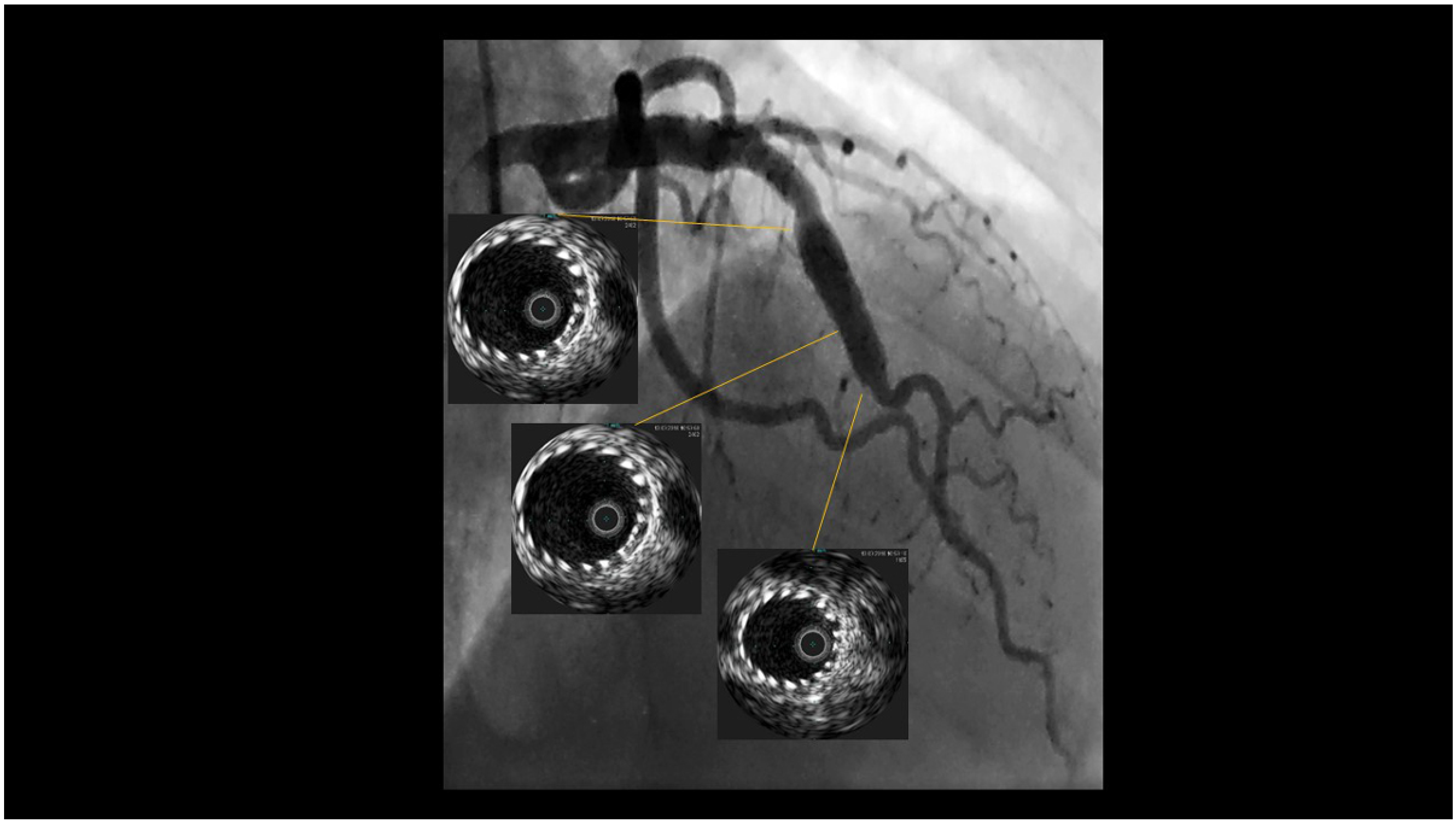
Fusiform Mid-LAD Aneurysm Due to Passive Arterial Wall Dilatation After Implantation of a Self-Expandable Stent
Conflicts of Interest
References
- Alfonso, F.; Pérez-Vizcayno, M.J.; Ruiz, M.; Suárez, A.; Cazares, M.; Hernández, R.; et al. Coronary aneurysms after drug-eluting stent implantation: clinical, angiographic, and intravascular ultrasound findings. J. Am. Coll. Cardiol. 2009, 53, 2053–2060. [Google Scholar] [CrossRef] [PubMed]
- Radu, M.D.; Räber, L.; Kalesan, B.; Muramatsu, T.; Kelbæk, H.; Heo, J.; et al. Coronary evaginations are associated with positive vessel remodelling and are nearly absent following implantation of newer-generation drug-eluting stents: an optical coherence tomography and intravascular ultrasound study. Eur. Heart J. 2014, 35, 795–807. [Google Scholar] [CrossRef] [PubMed]


© 2020 by the author. Attribution - Non-Commercial - NoDerivatives 4.0.
Share and Cite
Negro, A.; Biasco, L.; Pedrazzini, G.; Moccetti, M. Fusiform Mid-LAD Aneurysm Due to Passive Arterial Wall Dilatation After Implantation of a Self-Expandable Stent. Cardiovasc. Med. 2020, 23, w02106. https://doi.org/10.4414/cvm.2020.02106
Negro A, Biasco L, Pedrazzini G, Moccetti M. Fusiform Mid-LAD Aneurysm Due to Passive Arterial Wall Dilatation After Implantation of a Self-Expandable Stent. Cardiovascular Medicine. 2020; 23(2):w02106. https://doi.org/10.4414/cvm.2020.02106
Chicago/Turabian StyleNegro, Alessandro, Luigi Biasco, Giovanni Pedrazzini, and Marco Moccetti. 2020. "Fusiform Mid-LAD Aneurysm Due to Passive Arterial Wall Dilatation After Implantation of a Self-Expandable Stent" Cardiovascular Medicine 23, no. 2: w02106. https://doi.org/10.4414/cvm.2020.02106
APA StyleNegro, A., Biasco, L., Pedrazzini, G., & Moccetti, M. (2020). Fusiform Mid-LAD Aneurysm Due to Passive Arterial Wall Dilatation After Implantation of a Self-Expandable Stent. Cardiovascular Medicine, 23(2), w02106. https://doi.org/10.4414/cvm.2020.02106
