Next Article in Journal
Arrhythmic Mitral Valve Prolapse
Previous Article in Journal
Congenital Left Ventricular Diverticulum in an Asymptomatic Patient: Multi-Modal Evaluation
 
 
Cardiovascular Medicine is published by MDPI from Volume 28 Issue 1 (2025). Previous articles were published by another publisher in Open Access under a CC-BY (or CC-BY-NC-ND) licence, and they are hosted by MDPI on mdpi.com as a courtesy and upon agreement with Editores Medicorum Helveticorum (EMH).
Font Type:
Arial Georgia Verdana
Font Size:
Aa Aa Aa
Line Spacing:
Column Width:
Background:
Case Report

Successful Implantation of an Implantable Loop Recorder in a Patient with Bilateral Silicone Breast Implants Leading to a Diagnosis Explaining Repeated Syncopal Events

by
Beeler Remo
*,
Gujer Samuel
,
Lehmann Dietrich
and
Kaeslin Thomas
1
Cardiology Department, Cantonal Hospital of Obwalden, 6060 Sarnen, Switzerland
2
Gynaecology Department, Cantonal Hospital of Obwalden, 6060 Sarnen, Switzerland
*
Author to whom correspondence should be addressed.
Cardiovasc. Med. 2019, 22(6), w02078; https://doi.org/10.4414/cvm.2019.02078
Submission received: 17 September 2019 / Revised: 17 October 2019 / Accepted: 17 November 2019 / Published: 17 December 2019

Abstract

We report the case of a 54-year-old patient with bilateral silicone breast implants in whom successful implantation of a subcutaneous loop recorder led to the diagnosis that explained her repeated syncopal events.

Introduction

An implantable loop recorder (ILR) is a subcutaneous cardiac monitoring device used for continuous long-term electrocardiographic monitoring of the heart rhythm. It is used, for example, in patients with unexplained syncope or cryptogenic stroke. Complications during implantation are rare [1,2,3]. Experience in patients with silicone breast implants is, however, scarce.

Case Report

A 54-year-old, otherwise healthy female patient with no regular medication underwent laparoscopic hysterectomy because of postmenopausal bleeding. During the operation a “cardiac rhythm disorder”, which was successfully treated with atropine by the attending anaesthesiologist, was reported. Unfortunately, no further documentation or rhythm strip was available and the nature of the episode remained unclear. The postoperative observation period was uneventful; specifically, no rhythm disorders were found (telemetry rhythm surveillance) and the patient was discharged soon thereafter.
About a month after discharge the patient presented herself, as planned, in the cardiology outpatient clinic for workup of the unclear intraoperative episode. The patient’s personal history revealed, besides bilateral silicone breast implants for aesthetic reasons in 2011, several syncopal events: one, about 6 months earlier, following a bee sting in a sitting position and two others about 6 and 15 years earlier, which the patient could no longer describe in detail.
Further cardiac symptoms such as angina, dyspnoea, palpitations or dizziness were denied. Family history for sudden cardiac death was negative. A full cardiac workup revealed no relevant findings: echocardiography was normal with all cardiac cavities within the normal range and with normal function. No relevant valvular disease was found. A 48-hour Holter ECG recording demonstrated no relevant arrhythmias, specifically no heart block or bradycardia. During an exercise treadmill test the patient was without any specific complaints and the heart rate rose normally up to a maximum of 189 bpm (113% of expected). Once again, no arrhythmias were observed. On the basis of these normal findings, an expectant approach was chosen, with the patient advised to report any further syncopal events or cardiac complaints.
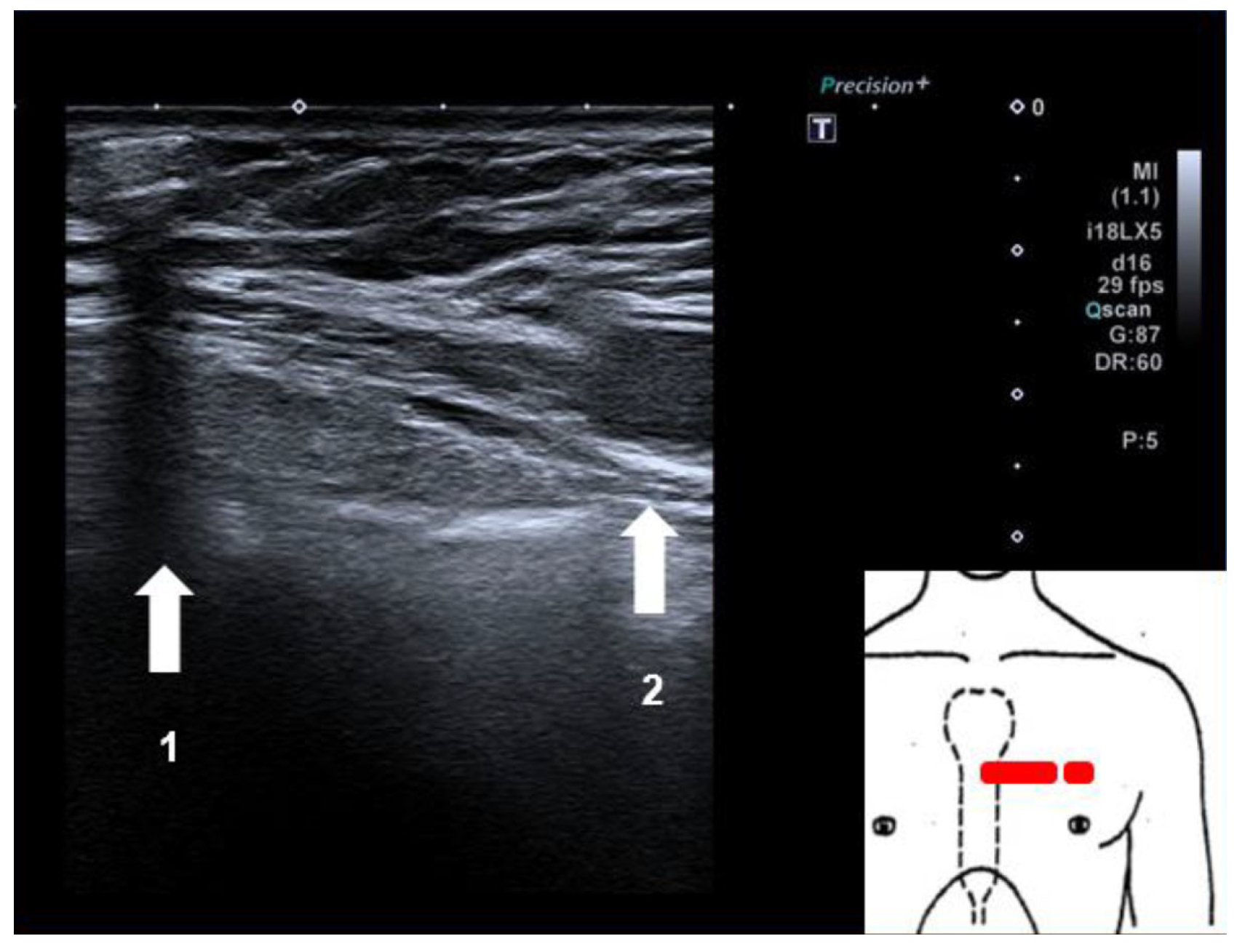
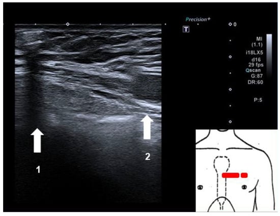
About half a year later the patient suffered from a viral gastrointestinal infection with diarrhoea and vomiting. While vomiting she fainted several times, which led to a new cardiology consultation where she agreed to have an ILR implanted to further the diagnostic investigations. Because of the known bilateral silicone breast implants, a gynaecological consultation before the scheduled implantation was arranged. A sonographic examination revealed a distance of about 3–4 cm between the left lateral sternal border and the medial boarder of the left silicone breast implant. After the patient had been informed about feasibility and the risk of perforation of the silicone implant, she agreed to the procedure.
According to the manufacturer of the device used, there are three recommended ways to implant the ILR (Figure 1), the best being number 1 (at 45 degrees to the sternum over the fourth intercostal space, V2–V3 electrode orientation). The superior end of the device is positioned approximately 2 cm (±1 cm) lateral to the left sternal border). Because of the silicone breast implants, we decided to implant in the way listed as option number 2–fourth intercostal space approximately 2 cm (±1 cm) from and parallel to the sternal border. Option number 1, in our eyes, held the bigger risk of puncturing the silicone implant and number 3 may interfere and cause discomfort with a wire support bra.
After defining a sterile field and disinfecting the local area, ultrasound-guided subcutaneous local anaesthesia was performed, in the direction of the planned implantation orientation of the device (parallel to the left sternal boarder, caudally, starting in the fourth intercostal space). After this, we inserted the device with ultrasound guidance in the direction in which the local anaesthetic was administered, following the manufacturers recommendations on how to implant their device. A sonographic check showed that there was sufficient subcutaneous tissue between the loop recorder and the medial boarder of the left silicone implant (Figure 2). The initial device interrogation revealed a sensing level of more than 0.3 mV (lying and sitting positions) with a clearly visible P-wave and good discrimination of the QRS-complex (Figure 3). The patient was discharged after a few minutes of clinical observation with normal vital signs and no specific complaints.
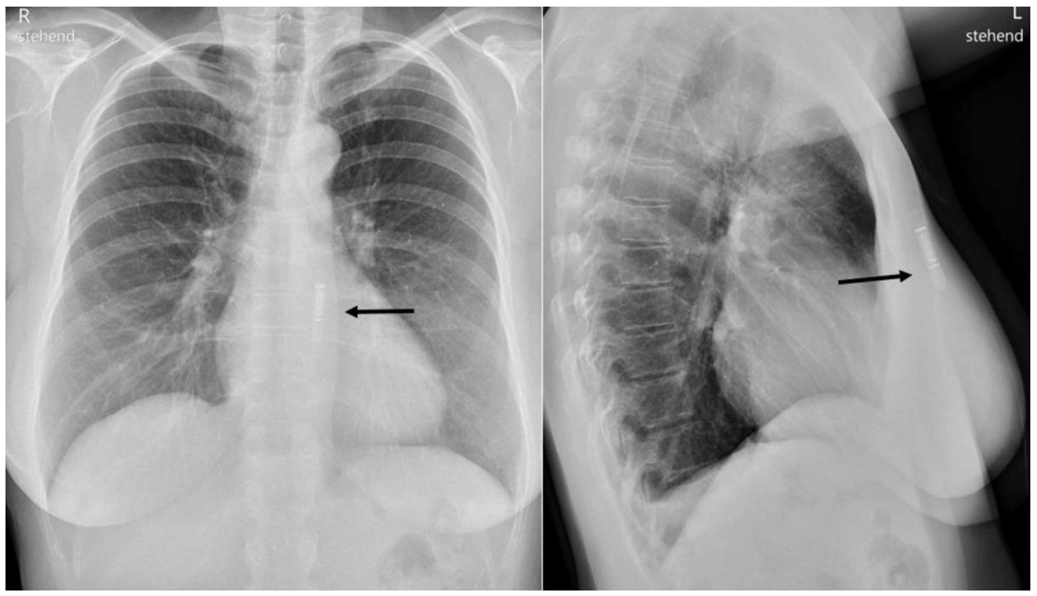
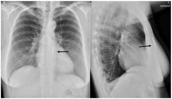
A chest X-ray performed at a later stage for other reasons revealed the device to be located as initially intended (Figure 4). The following weeks were uneventful, the scar healed nicely (Figure 5) and the patient did not complain of any device-related problems.
Some 6 weeks later, several automatically generated episodes were transmitted via the internet (Figure 6). An urgent telephone follow-up revealed that the patient was suffering from (yet another) episode of diarrhoea and vomiting, and had suffered five syncopal events. In total, 10 episodes of ventricular asystole were recorded, the longest for 30 seconds, which explained the patient’s syncopal events. She was admitted urgently to hospital and, after cure of the viral gastroenteritis, a dual-chamber pacemaker was implanted and the ILR explanted without any complications.

Discussion

Implantation of ILR is now, according to the latest 2018 ESC guidelines on syncope [5], a class IA indication “in an early phase of evaluation in patients with recurrent syncope of uncertain origin, absence of high-risk criteria, and a high likelihood of recurrence within the battery life of the device” and also a class IA indication “in patients with high-risk criteria in whom a comprehensive evaluation did not demonstrate a cause of syncope or lead to a specific treatment, and who do not have conventional indications for primary prevention ICD or pacemaker indication”, such as our patient. Complications are rare and include, among others, pain, infection, local bleeding, pneumothorax and migration of the device [3,6].
To our knowledge, however, experience in patients with silicone breast implants is limited and complications such as rupture of the implant have been reported [7]. Knowing this, we took precautions and evaluated the feasibility of implantation beforehand together with the gynaecologists. During the implantation we followed a multidisciplinary approach, with the assistance of a breast specialist to guide the puncture and implantation, and to make the medial boarder of the silicone breast implant visible through sonographic guidance.

Conclusions

We believe, silicone breast implants are, after careful evaluation, no contraindication to subcutaneous ILR implantation, if indicated. The space between the medial boarder of the silicone implant and the border of the sternum needs to be evaluated, and sonographic control and guidance during implantation is recommended. Furthermore we recommend the implant option parallel to the sternum boarder. A good enough sensing signal can be achieved this way.

Informed Consent

Written patient consent to publish photographs and graphs for this case report has been received.

Disclosure Statement

The authors report no conflict of interest regarding this case report.

References

  1. Silveira, I.; Sousa, M.J.; Antunes, N.; Silva, V.; Roque, C.; Pinheiro-Vieira, A.; et al. Efficacy and Safety of Implantable Loop Recorder: Experience of a Center. J Atr Fibrillation. 2016, 9, 1425. [Google Scholar] [CrossRef] [PubMed]
  2. Solano, A.; Menozzi, C.; Maggi, R.; Donateo, P.; Bottoni, N.; Lolli, G.; et al. Incidence, diagnostic yield and safety of the implantable loop-recorder to detect the mechanism of syncope in patients with and without structural heart disease. Eur Heart J. 2004, 25, 1116–1119. [Google Scholar] [CrossRef] [PubMed]
  3. Ibrahim, O.A.; Drew, D.; Hayes, C.J.; McIntyre, W.; Seifer, C.M.; Hopman, W.; et al. Implantable loop recorders in the real world: A study of two Canadian centers. J Interv Card Electrophysiol. 2017, 50, 179–185. [Google Scholar] [CrossRef] [PubMed]
  4. Technical Manual; Medtronic Reveal LINQ, LNQ11, Insertable Cardiac Monitor and Patient Assistant PA96000.
  5. Brignole, M.; Moya, A.; de Lange, F.J.; Deharo, J.C.; Elliott, P.M.; Fanciulli, A.; et al.; ESC Scientific Document Group 2018 ESC Guidelines for the diagnosis and management of syncope. Eur Heart J. 2018, 39, 1883–1948. [Google Scholar] [CrossRef] [PubMed]
  6. Preminger, M.W.; Musat, D.L.; Sichrovsky, T.; Bhatt, A.G.; Mittal, S. Migration of an implantable loop recorder into the pleural space. HeartRhythm Case Rep. 2017, 3, 539–541. [Google Scholar] [CrossRef] [PubMed][Green Version]
  7. Syal, S.; Mwansa, V.; Chhabra, L. Unexpected Silicone Breast Implant Rupture After Implantation of Insertable Loop Recorder. Methodist DeBakey Cardiovasc J. 2018, 14, e4–e6. [Google Scholar] [CrossRef] [PubMed]
Figure 1. Implantation sites recommended by the manufacturer [4]. Reproduced with permission of Medtronic, Inc.
Figure 1. Implantation sites recommended by the manufacturer [4]. Reproduced with permission of Medtronic, Inc.
Cardiovascmed 22 w02078 g001
Figure 2. Sonographic check of the device position in relation to the silicone breast implant: 1. Subcutaneous ILR with posterior ultrasound shadow. 2. Medial boarder of left silicone breast implant.
Figure 2. Sonographic check of the device position in relation to the silicone breast implant: 1. Subcutaneous ILR with posterior ultrasound shadow. 2. Medial boarder of left silicone breast implant.
Cardiovascmed 22 w02078 g002
Figure 3. First recorded ECG signal after implantation with good discrimination of P-waves and QRS-complexes.
Figure 3. First recorded ECG signal after implantation with good discrimination of P-waves and QRS-complexes.
Cardiovascmed 22 w02078 g003
Figure 4. The X-Ray shows the ILR parallel to the left sternal border. The silicone breast implants are hardly visible.
Figure 4. The X-Ray shows the ILR parallel to the left sternal border. The silicone breast implants are hardly visible.
Cardiovascmed 22 w02078 g004
Figure 5. Nicely healed scar from the ILR implantation on the left parasternal boarder at about the fourth intercostal space.
Figure 5. Nicely healed scar from the ILR implantation on the left parasternal boarder at about the fourth intercostal space.
Cardiovascmed 22 w02078 g005
Figure 6. One of the automatically transmitted episodes, showing complete atrioventricular block for over 16 seconds with an insufficient ventricular escape rhythm.
Figure 6. One of the automatically transmitted episodes, showing complete atrioventricular block for over 16 seconds with an insufficient ventricular escape rhythm.
Cardiovascmed 22 w02078 g006

Share and Cite

MDPI and ACS Style

Remo, B.; Samuel, G.; Dietrich, L.; Thomas, K. Successful Implantation of an Implantable Loop Recorder in a Patient with Bilateral Silicone Breast Implants Leading to a Diagnosis Explaining Repeated Syncopal Events. Cardiovasc. Med. 2019, 22, w02078. https://doi.org/10.4414/cvm.2019.02078

AMA Style

Remo B, Samuel G, Dietrich L, Thomas K. Successful Implantation of an Implantable Loop Recorder in a Patient with Bilateral Silicone Breast Implants Leading to a Diagnosis Explaining Repeated Syncopal Events. Cardiovascular Medicine. 2019; 22(6):w02078. https://doi.org/10.4414/cvm.2019.02078

Chicago/Turabian Style

Remo, Beeler, Gujer Samuel, Lehmann Dietrich, and Kaeslin Thomas. 2019. "Successful Implantation of an Implantable Loop Recorder in a Patient with Bilateral Silicone Breast Implants Leading to a Diagnosis Explaining Repeated Syncopal Events" Cardiovascular Medicine 22, no. 6: w02078. https://doi.org/10.4414/cvm.2019.02078

APA Style

Remo, B., Samuel, G., Dietrich, L., & Thomas, K. (2019). Successful Implantation of an Implantable Loop Recorder in a Patient with Bilateral Silicone Breast Implants Leading to a Diagnosis Explaining Repeated Syncopal Events. Cardiovascular Medicine, 22(6), w02078. https://doi.org/10.4414/cvm.2019.02078

Article Metrics

Back to TopTop