Next Issue
Volume 23, 02
Previous Issue
Volume 22, 10
 
 
cardiovascmed-logo

Journal Browser

Journal Browser
Cardiovascular Medicine is published by MDPI from Volume 28 Issue 1 (2025). Previous articles were published by another publisher in Open Access under a CC-BY (or CC-BY-NC-ND) licence, and they are hosted by MDPI on mdpi.com as a courtesy and upon agreement with Editores Medicorum Helveticorum (EMH).

Cardiovasc. Med., Volume 22, Issue 6 (12 2019) – 5 articles

  • Issues are regarded as officially published after their release is announced to the table of contents alert mailing list.
  • You may sign up for e-mail alerts to receive table of contents of newly released issues.
  • PDF is the official format for papers published in both, html and pdf forms. To view the papers in pdf format, click on the "PDF Full-text" link, and use the free Adobe Reader to open them.
Order results
Result details
Select all
Export citation of selected articles as:
Editorial
Die Schweizerische Herzstiftung: Mentorin der Kardiovaskulären Forschung in der Schweiz
by Thomas F. Lüscher, Augusto Gallino, Robert C Keller, Franziska Hiltpold and Ludwig von Segesser
Cardiovasc. Med. 2019, 22(6), w02080; https://doi.org/10.4414/cvm.2019.02080 - 17 Dec 2019
Abstract
Die Schweizerische Herzstiftung wurde 1967 gegründet und hat in den letzten 5 Dekaden junge und etablierte Forscherinnen und Forscher im Bereich Herzund Kreislauferkrankungen und Hirnschlag in bedeutendem Masse unterstützt[...] Full article
Show Figures

Figure 1

4 pages, 549 KB  
Case Report
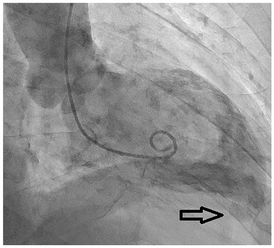
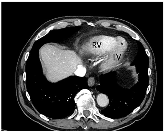
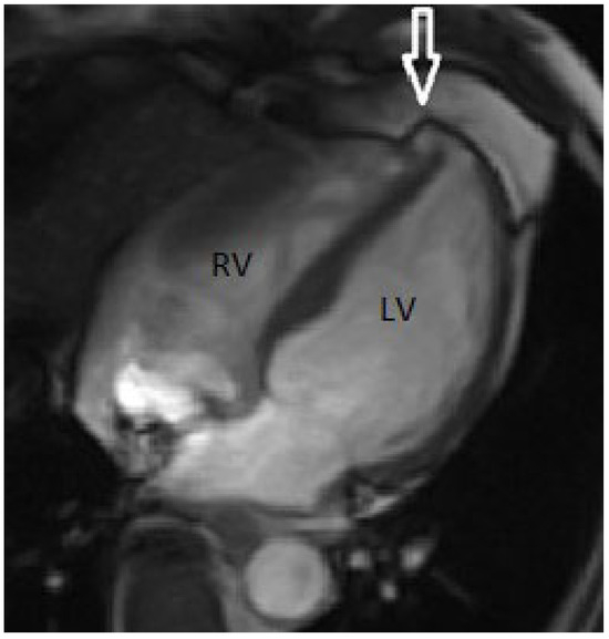
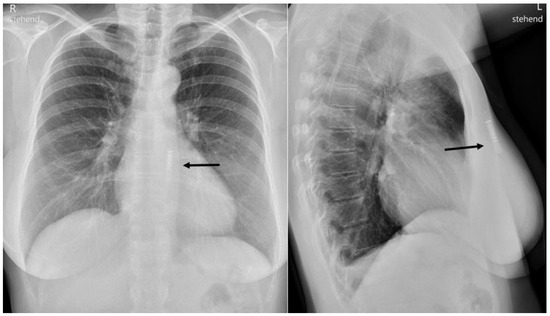
Congenital Left Ventricular Diverticulum in an Asymptomatic Patient: Multi-Modal Evaluation
by Negro Alessandro, Carballo David, Noble Stéphane and Müller Hajo
Cardiovasc. Med. 2019, 22(6), w02079; https://doi.org/10.4414/cvm.2019.02079 - 17 Dec 2019
Cited by 2
Abstract
Congenital left ventricular diverticula are rare cardiac malformations. Few data are available regarding their prevalence, which is estimated to be around 0.04% and 0.7%, according to retrospective series. In our case a diverticular apical lesion of the left ventricle was incidentally found on [...] Read more.
Congenital left ventricular diverticula are rare cardiac malformations. Few data are available regarding their prevalence, which is estimated to be around 0.04% and 0.7%, according to retrospective series. In our case a diverticular apical lesion of the left ventricle was incidentally found on an urgent thoracic computed tomography scan, performed to rule out abdominal aortic rupture. A thorough evaluation with echocardiography, coronary angiography, ventriculography and cardiac magnetic resonance imaging was performed. After discussion in our heart team, which took into consideration the lack of cardiac symptoms, the small size of the diverticulum and the absence of thrombus, we decided on a conservative option. Full article
Show Figures

Figure 1

4 pages, 803 KB  
Case Report
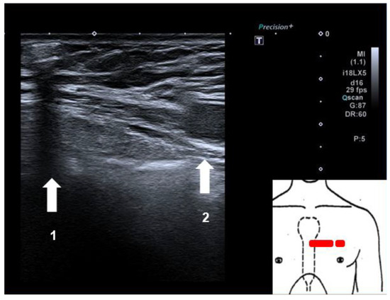
Successful Implantation of an Implantable Loop Recorder in a Patient with Bilateral Silicone Breast Implants Leading to a Diagnosis Explaining Repeated Syncopal Events
by Beeler Remo, Gujer Samuel, Lehmann Dietrich and Kaeslin Thomas
Cardiovasc. Med. 2019, 22(6), w02078; https://doi.org/10.4414/cvm.2019.02078 - 17 Dec 2019
Cited by 1
Abstract
We report the case of a 54-year-old patient with bilateral silicone breast implants in whom successful implantation of a subcutaneous loop recorder led to the diagnosis that explained her repeated syncopal events. Full article
Show Figures

Figure 1

3 pages, 1149 KB  
Review
Arrhythmic Mitral Valve Prolapse
by Fritz Widmer
Cardiovasc. Med. 2019, 22(6), w02075; https://doi.org/10.4414/cvm.2019.02075 - 17 Dec 2019
Cited by 2
Abstract
About 1-3% of the general population are aected by mitral valve prolapse. It is dened as a >2 mm superior displacement of the mitral valve leaet(s) during systole with or without mitral regurgitation [...] Full article
Show Figures

Figure 1

5 pages, 730 KB  
Case Report
Sinus Venosus and Unroofed Coronary Sinus Defects: Two Cases Diagnosed and Treated in Adulthood
by Karimzadeh Soran, Sologashvili Tornike, Myers Patrick O., Hachulla Anne-Lise, Lador Frederic, Bouchardy Judith and Noble Stephane
Cardiovasc. Med. 2019, 22(6), w02074; https://doi.org/10.4414/cvm.2019.02074 - 17 Dec 2019
Cited by 1
Abstract
Interatrial communications are the most frequent congenital heart malformation in adulthood. Four different types of atrial defect are identified: the ostium secundum, ostium primum, sinus venosus and unroofed coronary sinus types. The unroofed coronary sinus defect is the rarest form of interatrial communication [...] Read more.
Interatrial communications are the most frequent congenital heart malformation in adulthood. Four different types of atrial defect are identified: the ostium secundum, ostium primum, sinus venosus and unroofed coronary sinus types. The unroofed coronary sinus defect is the rarest form of interatrial communication accounting for <1% overall. The presence of a persistent left superior vena cava is frequent in this form of atrial defect and associated anomalous pulmonary venous return has been described. The sinus venosus form – accounting for 5 to 10% of atrial defects – is a communication between the two atria localised within the mouth of the caval vein, which has a biatrial connection. It most frequently involves the superior vena cava and anomalous pulmonary venous return (usually the right upper pulmonary vein) and is associated with 85% of atrial defects. We report typical examples of sinus venosus and unroofed coronary sinus defects associated with anomalous pulmonary venous return. Full article
Previous Issue
Next Issue
Back to TopTop