Simplified, One-Stage Repair of Combined Ascending-Descending Aortic Disease
Abstract
Introduction
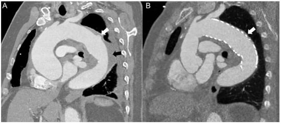
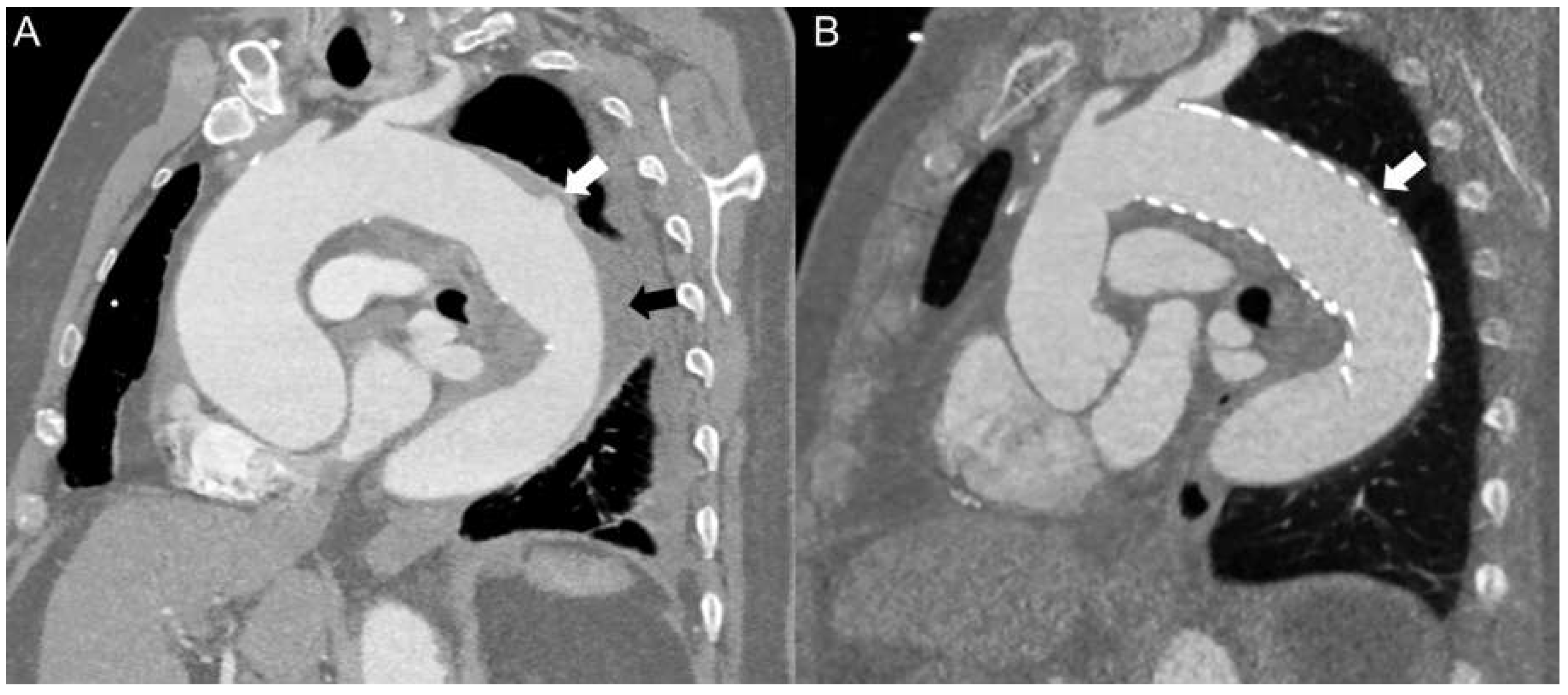
Clinical summary
Discussion
Disclosure statement
References
- Nienaber, C.A.; Kische, S.; Rousseau, H.; Eggebrecht, H.; Rehders, T.C.; Kundt, G.; et al. Endovascular repair of type B aortic dissection: Long-term results of the randomized investigation of stent grafts in aortic dissection trial. Circ. Cardiovasc. Interv. 2013, 6, 407–416. [Google Scholar] [CrossRef] [PubMed]
- Trimarchi, S.; Segreti, S.; Grassi, V.; Lomazzi, C.; de, V.C.; Rampoldi, V. Emergent treatment of aortic rupture in acute type B dissection. Ann. Cardiothorac. Surg. 2014, 3, 319–324. [Google Scholar] [PubMed]
- Preventza, O.; Cervera, R.; Cooley, D.A.; Bakaeen, F.G.; Mohamed, A.S.; Cheong, B.Y.; et al. Acute type I aortic dissection: Traditional versus hybrid repair with antegrade stent delivery to the descending thoracic aorta. J. Thorac. Cardiovasc. Surg. 2014, 148, 119–125. [Google Scholar] [CrossRef] [PubMed]
- Vallabhajosyula, P.; Szeto, W.Y.; Pulsipher, A.; Desai, N.; Menon, R.; Moeller, P.; et al. Antegrade thoracic stent grafting during repair of acute Debakey type I dissection promotes distal aortic remodeling and reduces late open distal reoperation rate. J Thorac Cardiovasc Surg. 2014, 147, 942–948. [Google Scholar] [CrossRef] [PubMed]
- Matt, P.; Albrecht, F.; Rueter, F.; Grapow, M.; Pargger, H.; Fassl, J.; et al. Hypothermic circulatory arrest using antegrade cerebral perfusion is safe for elective aortic arch surgery. Thorac. Cardiovasc. Surg. 2013, 61, 553–558. [Google Scholar] [CrossRef] [PubMed]


© 2016 by the author. Attribution - Non-Commercial - NoDerivatives 4.0.
Share and Cite
Koechlin, L.; Reuthebuch, O.; Grapow, M.; Eckstein, F.; Matt, P. Simplified, One-Stage Repair of Combined Ascending-Descending Aortic Disease. Cardiovasc. Med. 2016, 19, 52. https://doi.org/10.4414/cvm.2016.00385
Koechlin L, Reuthebuch O, Grapow M, Eckstein F, Matt P. Simplified, One-Stage Repair of Combined Ascending-Descending Aortic Disease. Cardiovascular Medicine. 2016; 19(2):52. https://doi.org/10.4414/cvm.2016.00385
Chicago/Turabian StyleKoechlin, Luca, Oliver Reuthebuch, Martin Grapow, Friedrich Eckstein, and Peter Matt. 2016. "Simplified, One-Stage Repair of Combined Ascending-Descending Aortic Disease" Cardiovascular Medicine 19, no. 2: 52. https://doi.org/10.4414/cvm.2016.00385
APA StyleKoechlin, L., Reuthebuch, O., Grapow, M., Eckstein, F., & Matt, P. (2016). Simplified, One-Stage Repair of Combined Ascending-Descending Aortic Disease. Cardiovascular Medicine, 19(2), 52. https://doi.org/10.4414/cvm.2016.00385
