Incidence of Tooth Loss in Remote Indigenous Populations of the Amazon Region: A 13-Year Cohort Study Before and After Belo Monte Dam
Abstract
1. Introduction
2. Materials and Methods
2.1. Ethics Statement
2.2. Study Design, Participants, and Eligibility Criteria
2.3. Variables, Data Sources, and Measurement
2.4. Statistical Analysis
3. Results
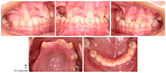
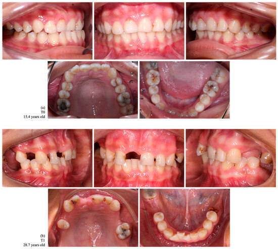
3.1. Participants
3.2. Descriptive Data
3.3. Main Results
4. Discussion
Limitations
5. Conclusions
Author Contributions
Funding
Institutional Review Board Statement
Informed Consent Statement
Data Availability Statement
Acknowledgments
Conflicts of Interest
Appendix A
- Normando, D.; Santos, H.G.A.; Quintão, C.C.A. Comparisons of tooth sizes, dental arch dimensions, tooth wear, and dental crowding in Amazonian indigenous people. Am. J. Orthod. Dentofac. Orthop. 2016, 150, 839–846. https://doi.org/10.1016/j.ajodo.2016.03.033
- Normando, D.; Almeida, M.A.; Quintão, C.C. Dental crowding: the role of genetics and tooth wear. Angle Orthod. 2013, 83, 10–15. https://doi.org/10.2319/020112-91.1
- Normando, D.; Faber, J.; Guerreiro, J.F.; Abdo Quintão, C.C. Dental occlusion in a split Amazon indigenous population: genetics prevails over environment. PLoS ONE 2011, 6, e28387. https://doi.org/10.1371/journal.pone.0028387
- Vieira, E.P.; Barbosa, M.S.; Quintão, C.C.; Normando, D. Relationship of tooth wear to chronological age among indigenous Amazon populations. PLoS ONE 2015, 10, e0116138. https://doi.org/10.1371/journal.pone.0116138
- Bastos, R.T.D.R.M.; Neto, J.V.; Normando, D. Dentofacial biometry as a discriminant factor in the identification of remote Amazon indigenous populations. Am. J. Orthod. Dentofac. Orthop. 2020, 157, 619–630. https://doi.org/10.1016/j.ajodo.2019.05.016
- de Souza, B.S.; Bichara, L.M.; Guerreiro, J.F.; Quintão, C.C.; Normando, D. Occlusal and facial features in Amazon indigenous: An insight into the role of genetics and environment in the etiology dental malocclusion. Arch. Oral Biol. 2015, 60, 1177–1186. https://doi.org/10.1016/j.archoralbio.2015.04.007
- Barbosa, M.; Vieira, E.P.; Quintão, C.C.; Normando, D. Facial biometry of Amazon indigenous people of the Xingu River—Perspectives on genetic and environmental contributions to variation in human facial morphology. Orthod. Craniofac. Res. 2016, 19, 169–179. https://doi.org/10.1111/ocr.12125
- Normando, D.; Barbosa, M.S.; Mecenas, P.; Quintão, C. Tooth wear as an indicator of acculturation process in remote Amazonian populations. PLoS ONE 2020, 15, e0230809. https://doi.org/10.1371/journal.pone.0230809
References
- Peres, M.A.; Barbato, P.R.; Reis, S.C.G.B.; Freitas, C.H.S.D.M.; Antunes, J.L.F. Perdas dentárias no Brasil: Análise da Pesquisa Nacional de Saúde Bucal 2010. Rev. Saúde Pública 2013, 47, 78–89. [Google Scholar] [CrossRef]
- Luo, H.; Wu, B.; Kamer, A.R.; Adhikari, S.; Sloan, F.; Plassman, B.L.; Tan, C.; Qi, X.; Schwartz, M.D. Oral health, diabetes, and inflammation: Effects of oral hygiene behaviour. Int. Dent. J. 2022, 72, 484–490. [Google Scholar] [CrossRef]
- Martin-Iverson, N.; Pacza, T.; Phatouros, A.; Tennant, M. Indigenous Australian dental health: A brief review of caries experience. Aust. Dent. J. 2000, 45, 17–20. [Google Scholar] [CrossRef] [PubMed]
- Begg, R. Stone age man’s dentition: With reference to anatomically correct occlusion, the etiology of malocclusion, and a technique for its treatment. Am. J. Orthod. 1954, 40, 462–475. [Google Scholar] [CrossRef]
- Carvalho, J.J.; Baruzzi, R.G.; Howard, P.F.; Poulter, N.; Alpers, M.P.; Franco, L.J.; Marcopito, L.F.; Spooner, V.J.; Dyer, A.R.; Elliott, P. Blood pressure in four remote populations in the INTERSALT Study. Hypertension 1989, 14, 238–246. [Google Scholar] [CrossRef] [PubMed]
- Maia, C.V.R.; Mendes, F.M.; Normando, D. The impact of oral health on quality of life of urban and riverine populations of the Amazon: A multilevel analysis. PLoS ONE 2018, 13, e0208096. [Google Scholar] [CrossRef] [PubMed]
- Oliveira, J.P.; Cohn, C. Belo Monte e a Questão Indígena; ABA: Brasília, Brazil, 2014. [Google Scholar]
- Randell, H. The short-term impacts of development-induced displacement on wealth and subjective well-being in the Brazilian Amazon. World Dev. 2016, 87, 385–400. [Google Scholar] [CrossRef]
- Gonçalves, É.M.; Cavalcanti, L.C.; Firmino, R.T.; Ribeiro, G.L.; Granville-Garcia, A.F.; Menezes, V.A. Dental caries experience among indigenous children and adolescents. J. Oral Sci. 2015, 57, 123–129. [Google Scholar] [CrossRef]
- Peres, M.A.; Macpherson, L.M.D.; Weyant, R.J.; Daly, B.; Venturelli, R.; Mathur, M.R.; Listl, S.; Celeste, R.K.; Guarnizo-Herreño, C.C.; Kearns, C.; et al. Oral diseases: A global public health challenge. Lancet 2019, 394, 249–260. [Google Scholar] [CrossRef]
- Roberto, L.L.; Silveira, M.F.; de Paula, A.M.B.; Ferreira E Ferreira, E.; Martins, A.M.E.B.L.; Haikal, D.S. Contextual and individual determinants of tooth loss in adults: A multilevel study. BMC Oral Health 2020, 20, 73. [Google Scholar] [CrossRef]
- Brasil Fundação Nacional de Saúde. Diretrizes Para a Atenção à Saúde Bucal nos Distritos Sanitários Especiais Indígenas: Manual Técnico; Fundação Nacional de Saúde FUNASA: Brasília, Brazil, 2007. [Google Scholar]
- von Elm, E.; Altman, D.G.; Egger, M.; Pocock, S.J.; Gøtzsche, P.C.; Vandenbroucke, J.P.; STROBE Initiative. The Strengthening the Reporting of Observational Studies in Epidemiology (STROBE) Statement: Guidelines for reporting observational studies. Int. J. Surg. 2014, 12, 1495–1499. [Google Scholar] [CrossRef] [PubMed]
- Hajek, A.; Kretzler, B.; König, H.H. Oral health, loneliness and social isolation. A systematic review and meta-analysis. J. Nutr. Health Aging 2022, 26, 675–680. [Google Scholar] [CrossRef] [PubMed]
- Rigonatto, D.D.; Antunes, J.L.; Frazão, P. Dental caries experience in Indians of the Upper Xingu, Brazil. Rev. Inst. Med. Trop. Sao Paulo 2001, 43, 93–98. [Google Scholar] [CrossRef]
- Calvi, M.F.; Moran, E.F.; Bicudo da Silva, R.F.; Batistella, M. The construction of the Belo Monte Dam in the Brazilian Amazon and its consequences on regional rural labor. Land Use Policy 2020, 90, 104327. [Google Scholar] [CrossRef]
- Silva-Junior, M.F.; Batista, M.J.; de Sousa, M.D.L.R. Incidence of tooth loss in adults: A 4-year population-based prospective cohort study. Int. J. Dent. 2017, 2017, 6074703. [Google Scholar] [CrossRef] [PubMed]
- Alves Filho, P.; Santos, R.V.; Vettore, M.V. Fatores associados a cárie dental e doença periodontal em indígenas na América Latina: Revisão sistemática [Factors associated with dental caries and periodontal diseases in Latin American indigenous peoples: A systematic review]. Rev. Panam. Salud Publica 2014, 35, 67–77. (In Portuguese) [Google Scholar] [PubMed]
- Coelho, T.D.R.C.; Sampaio, H.B.C.; Araujo, N.S.; Cury, P.R. Indicação de exodontias e fatores associados: Estudo transversal na população indígena Kiriri [Recommendation of tooth extraction and associated factors: Cross-sectional study in the Kiriri indigenous population]. Cien Saude Colet. 2021, 26, 5223–5232. [Google Scholar] [CrossRef]
- Nath, S.; Poirier, B.F.; Ju, X.; Kapellas, K.; Haag, D.G.; Ribeiro Santiago, P.H.; Jamieson, L.M. Dental Health Inequalities among Indigenous Populations: A Systematic Review and Meta-Analysis. Caries Res. 2021, 55, 268–287. [Google Scholar] [CrossRef] [PubMed]
- Schuch, H.S.; Haag, D.G.; Kapellas, K.; Arantes, R.; Peres, M.A.; Thomson, W.M.; Jamieson, L.M. The magnitude of Indigenous and non-Indigenous oral health inequalities in Brazil, New Zealand and Australia. Community Dent. Oral Epidemiol. 2017, 45, 434–441. [Google Scholar] [CrossRef]
- Wiener, R.C. Tooth loss and dental visits by Indigenous American Indian/Alaska Native adults in the USA. Rural Remote Health 2023, 23, 7679. [Google Scholar] [CrossRef]
- Pereira, C.B.; Evans, H. Occlusion and attrition of the primitive Yanomami Indians of Brazil. Dent. Clin. N. Am. 1975, 19, 485–498. [Google Scholar] [CrossRef] [PubMed]
- Lukacs, J.R.; Largaespada, L.L. Explaining sex differences in dental caries prevalence: Saliva, hormones, and “life-history” etiologies. Am. J. Hum. Biol. 2006, 18, 540–555. [Google Scholar] [CrossRef] [PubMed]
- Arantes, R.; Santos, R.V.; Frazão, P. Oral health in transition: The case of Indigenous peoples from Brazil. Int. Dent. J. 2010, 60, 235–240. [Google Scholar] [PubMed]
- Susin, C.; Oppermann, R.V.; Haugejorden, O.; Albandar, J.M. Tooth loss and associated risk indicators in an adult urban population from south Brazil. Acta Odontol. Scand. 2005, 63, 85–93. [Google Scholar] [CrossRef] [PubMed]
- Silva, F.A. Mito e arqueologia: A interpretação dos Asurini do Xingu sobre os vestígios arqueológicos encontrados no parque indígena Kuatinemu—Pará. Horiz. Antropol. 2002, 8, 175–187. [Google Scholar] [CrossRef]
- Lukacs, J.R. Gender differences in oral health in South Asia: Metadata imply multifactorial biological and cultural causes. Am. J. Hum. Biol. 2011, 23, 398–411. [Google Scholar] [CrossRef] [PubMed]
- Suominen-Taipale, A.L.; Alanen, P.; Helenius, H.; Nordblad, A.; Uutela, A. Edentulism among Finnish adults of working age, 1978–1997. Community Dent. Oral Epidemiol. 1999, 27, 353–365. [Google Scholar] [CrossRef] [PubMed]
- Roohafza, H.; Afghari, P.; Keshteli, A.H.; Vali, A.; Shirani, M.; Adibi, P.; Afshar, H. The relationship between tooth loss and psychological factors. Community Dent. Health 2015, 32, 16–19. [Google Scholar] [CrossRef]
- Soares, G.H.; Aragão, A.S.; Frias, A.C.; Werneck, R.I.; Biazevic, M.G.H.; Michel-Crosato, E. Epidemiological profile of caries and need for dental extraction in a Kaingang adult Indigenous population. Rev. Bras. Epidemiol. 2019, 22, e190042. [Google Scholar] [CrossRef] [PubMed]
- Sharif, R.A.; Chaturvedi, S.; Suleman, G.; Elmahdi, A.E.; Elagib, M.F.A. Analysis of tooth extraction causes and patterns. Open Access Maced. J. Med. Sci. 2020, 8, 36–41. Available online: https://oamjms.eu/index.php/mjms/article/view/3784 (accessed on 10 March 2024).
- Bretz, W.A.; Corby, P.M.; Melo, M.R.; Coelho, M.Q.; Costa, S.M.; Robinson, M.; Schork, N.J.; Drewnowski, A.; Hart, T.C. Heritability estimates for dental caries and sucrose sweetness preference. Arch. Oral Biol. 2006, 51, 1156–1160. [Google Scholar] [CrossRef] [PubMed]
- Hujoel, P.P.; Lingström, P. Nutrition, dental caries and periodontal disease: A narrative review. J. Clin. Periodontol. 2017, 44, S79–S84. [Google Scholar] [CrossRef]
- Levin, A.; Sokal-Gutierrez, K.; Hargrave, A.; Funsch, E.; Hoeft, K.S. Maintaining Traditions: A Qualitative Study of Early Childhood Caries Risk and Protective Factors in an Indigenous Community. Int. J. Environ. Res. Public Health 2017, 14, 907. [Google Scholar] [CrossRef] [PubMed]




| Variables | Village | |||
|---|---|---|---|---|
| Assurini (n = 19) | Arara-Laranjal (n = 28) | Total (n = 47) | ||
| Sex (M/F) | 8/11 | 9/19 | ||
| Age T0 X(±SD) | 15.9 (±5.67) | 16.1 (±4.90) | ||
| Age T1 X(±SD) | 29.5 (±5.75) | 29.9 (±4.83) | ||
| Total tooth loss T1-T0 (median/Q1-Q3) | Upper arch | 34 (1/0.5–2.5) | 63 (2/0–3) | 97 (2/0–3) |
| Lower arch | 32 (2/1–2) | 43 (1/1–2.25) | 75 (2/1–2) | |
| Total | 66 (3/2–4.5) | 106 (4/1–5.25) | 172 (3/2–5) | |
| Sex | Village | Sex | Village | |||||||
|---|---|---|---|---|---|---|---|---|---|---|
| Assurini (n = 19) | Arara-Laranjal (n = 28) | Both Villages (n = 47) | Assurini (n = 19) | Arara-Laranjal (n = 28) | Both Villages (n = 47) | |||||
| Number of tooth loss in both arches (n/%) | U7 | M | 3/15.8% | 3/10.7% | 6/12.8% | L7 | M | 6/31.6 % | 5/17.9% | 11/23.4% |
| F | 4/21.1% | 6/21.4% | 10/21.3% | F | 8/42.1% | 14/50.0% | 22/46.8% | |||
| U6 | M | 2/10.5% | 4/14.3% | 6/12.8% | L6 | M | 1/5.3% | 2/7.1% | 3/6.4% | |
| F | 6/31.6 % | 11/39.3% | 17/36.2% | F | 8/42.1% | 9/32.1% | 17/36.2% | |||
| U5 | M | 1/5.3% | 1/3.6% | 2/4.3% | L5 | M | 0/0.0% | 1/3.6% | 1/2.1% | |
| F | 4/21.1% | 7/25.0% | 11/23.4% | F | 0/0.0% | 1/3.6% | 1/2.1% | |||
| U4 | M | 2/10.5% | 0/0.0% | 2/4.3% | L4 | M | 0/0.0% | 0/0.0% | 0/0.0% | |
| F | 5/26.3% | 8/28.6% | 13/27.7% | F | 0/0.0% | 0/0.0% | 0/0.0% | |||
| U3 | M | 0/0.0% | 0/0.0% | 0/0.0% | L3 | M | 0/0.0% | 0/0.0% | 0/0.0% | |
| F | 0/0.0% | 0/0.0% | 0/0.0% | F | 0/0.0% | 0/0.0% | 0/0.0% | |||
| U2 | M | 1/5.3% | 1/3.6% | 2/4.3% | L2 | M | 0/0.0% | 0/0.0% | 0/0.0% | |
| F | 0/0.0% | 3/10.7% | 3/6.4% | F | 0/0.0% | 0/0.0% | 0/0.0% | |||
| U1 | M | 0/0.0% | 0/0.0% | 0/0.0% | L1 | M | 0/0.0% | 0/0.0% | 0/0.0% | |
| F | 1/5.3% | 3/10.7% | 4/8.5% | F | 0/0.0% | 0/0.0% | 0/0.0% | |||
| Independent Variables | Bivariate Model | Multilevel Poisson Regression | Sample Power | ||||||||
|---|---|---|---|---|---|---|---|---|---|---|---|
| p-Value | CI (95%) | p-Value | Estimate | Exp(β) | CI (95%) | ICC | p-Value (LRT) | ||||
| Lower | Upper | Lower | Upper | ||||||||
| (Village) | 0.00 | 1.00 | 0.54 (54%) | ||||||||
| Sex (M-F) | 0.046 * | 0.37 | 0.96 | 0.004 ** | −0.50 | 0.60 | 0.43 | 0.85 | |||
| Age in T1 | 0.590 | 0.94 | 1.03 | ||||||||
Disclaimer/Publisher’s Note: The statements, opinions and data contained in all publications are solely those of the individual author(s) and contributor(s) and not of MDPI and/or the editor(s). MDPI and/or the editor(s) disclaim responsibility for any injury to people or property resulting from any ideas, methods, instructions or products referred to in the content. |
© 2025 by the authors. Licensee MDPI, Basel, Switzerland. This article is an open access article distributed under the terms and conditions of the Creative Commons Attribution (CC BY) license (https://creativecommons.org/licenses/by/4.0/).
Share and Cite
Bastos, R.T.d.R.M.; da Costa, E.O.; Sicilia, L.; Normando, D. Incidence of Tooth Loss in Remote Indigenous Populations of the Amazon Region: A 13-Year Cohort Study Before and After Belo Monte Dam. Int. J. Environ. Res. Public Health 2025, 22, 128. https://doi.org/10.3390/ijerph22010128
Bastos RTdRM, da Costa EO, Sicilia L, Normando D. Incidence of Tooth Loss in Remote Indigenous Populations of the Amazon Region: A 13-Year Cohort Study Before and After Belo Monte Dam. International Journal of Environmental Research and Public Health. 2025; 22(1):128. https://doi.org/10.3390/ijerph22010128
Chicago/Turabian StyleBastos, Renata Travassos da Rosa Moreira, Eduardo Oliveira da Costa, Lucca Sicilia, and David Normando. 2025. "Incidence of Tooth Loss in Remote Indigenous Populations of the Amazon Region: A 13-Year Cohort Study Before and After Belo Monte Dam" International Journal of Environmental Research and Public Health 22, no. 1: 128. https://doi.org/10.3390/ijerph22010128
APA StyleBastos, R. T. d. R. M., da Costa, E. O., Sicilia, L., & Normando, D. (2025). Incidence of Tooth Loss in Remote Indigenous Populations of the Amazon Region: A 13-Year Cohort Study Before and After Belo Monte Dam. International Journal of Environmental Research and Public Health, 22(1), 128. https://doi.org/10.3390/ijerph22010128

