Evaluation of the Soft Tissue Changes after Rapid Maxillary Expansion Using a Handheld Three-Dimensional Scanner: A Prospective Study
Abstract
1. Introduction
2. Materials and Methods
2.1. Study Sample
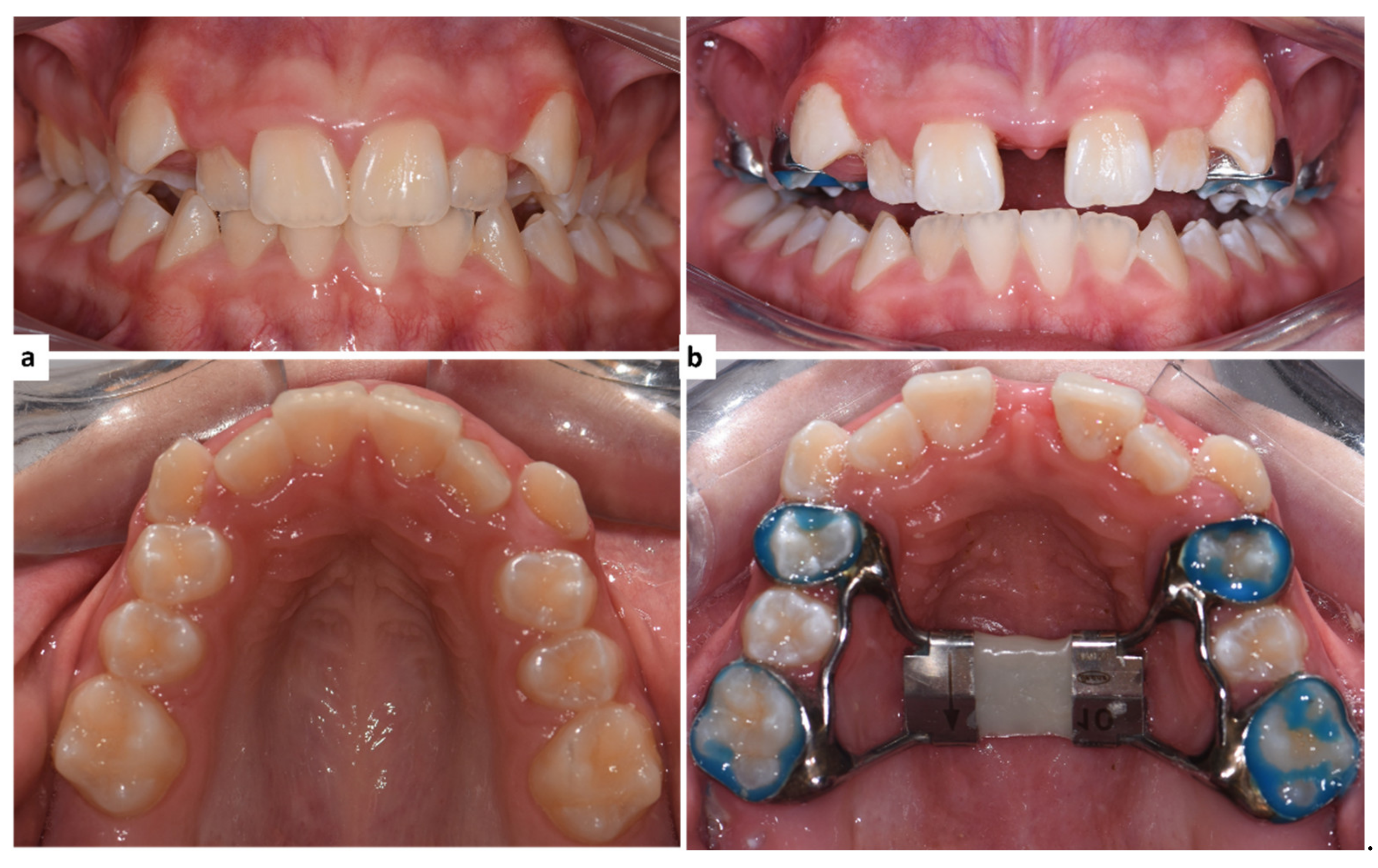
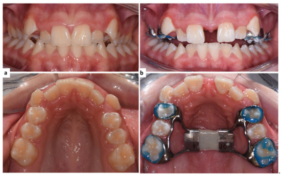
2.2. Clinical Protocol
2.3. Data Processing and Measurements
2.4. Statistical Analysis
3. Results
4. Discussion
4.1. Facial Soft Tissue Changes
4.2. Limitations
5. Conclusions
Author Contributions
Funding
Institutional Review Board Statement
Informed Consent Statement
Data Availability Statement
Conflicts of Interest
References
- Zeng, J.; Gao, X. A prospective CBCT study of upper airway changes after rapid maxillary expansion. Int. J. Pediatric Otorhinolaryngol. 2013, 77, 1805–1810. [Google Scholar] [CrossRef]
- Haas, A.J. Rapid Expansion of the Maxillary Dental Arch and Nasal Cavity by Opening the Midpalatal Suture. Angle Orthod. 1961, 31, 73–90. [Google Scholar]
- Haas, A.J. The treatment of maxillary deficiency by opening the midpalatal suture. Angle Orthod. 1965, 35, 200–217. [Google Scholar] [PubMed]
- Wertz, R.A. Skeletal and dental changes accompanying rapid midpalatal suture opening. Am. J. Orthod. 1970, 58, 41–66. [Google Scholar] [CrossRef]
- Zimring, J.F.; Isaacson, R.J. Forces produced by rapid maxillary expansion. 3. forces present during retention. Angle Orthod. 1965, 35, 178–186. [Google Scholar]
- Adkins, M.D.; Nanda, R.S.; Currier, G.F. Arch perimeter changes on rapid palatal expansion. Am. J. Orthod. Dentofac. Orthop. 1990, 97, 194–199. [Google Scholar] [CrossRef]
- Maulik, C.; Nanda, R. Dynamic smile analysis in young adults. Am. J. Orthod. Dentofac. Orthop. 2007, 132, 307–315. [Google Scholar] [CrossRef] [PubMed]
- Smith, T.; Ghoneima, A.; Stewart, K.; Liu, S.; Eckert, G.; Halum, S.; Kula, K. Three-dimensional computed tomography analysis of airway volume changes after rapid maxillary expansion. Am. J. Orthod. Dentofac. Orthop. 2012, 141, 618–626. [Google Scholar] [CrossRef]
- Abedini, S.; Elkenawy, I.; Kim, E.; Moon, W. Three-dimensional soft tissue analysis of the face following micro-implant-supported maxillary skeletal expansion. Prog. Orthod. 2018, 19, 46. [Google Scholar] [CrossRef]
- Berger, J.L.; Pangrazio-Kulbersh, V.; Thomas, B.W.; Kaczynski, R. Photographic analysis of facial changes associated with maxillary expansion. Am. J. Orthod. Dentofac. Orthop. 1999, 116, 563–571. [Google Scholar] [CrossRef]
- Chung, C.H.; Font, B. Skeletal and dental changes in the sagittal, vertical, and transverse dimensions after rapid palatal expansion. Am. J. Orthod. Dentofac. Orthop. 2004, 126, 569–575. [Google Scholar] [CrossRef] [PubMed]
- Da Silva Filho, O.G.; Boas, M.C.; Capelozza Filho, L. Rapid maxillary expansion in the primary and mixed dentitions: A cephalometric evaluation. Am. J. Orthod. Dentofac. Orthop. 1991, 100, 171–179. [Google Scholar]
- Littlefield, T.R.; Kelly, K.M.; Cherney, J.C.; Beals, S.P.; Pomatto, J.K. Development of a new three-dimensional cranial imaging system. J. Craniofac. Surg. 2004, 15, 175–181. [Google Scholar] [CrossRef] [PubMed]
- Brons, S.; Van Beusichem, M.E.; Bronkhorst, E.M.; Draaisma, J.; Bergé, S.J.; Maal, T.J.; Kuijpers-Jagtman, A.M. Methods to quantify soft-tissue based facial growth and treatment outcomes in children: A systematic review. PLoS ONE 2012, 7, e41898. [Google Scholar] [CrossRef]
- Straub, J.; Kading, B.; Mohammad, A.; Kerlin, S. Characterization of a Large, Low-Cost 3D Scanner. Technologies 2015, 3, 19–36. [Google Scholar] [CrossRef]
- Ma, L.; Xu, T.; Lin, J. Validation of a three-dimensional facial scanning system based on structured light techniques. Comput. Methods Programs Biomed. 2009, 94, 290–298. [Google Scholar] [CrossRef]
- Jung, J.; Lee, C.H.; Lee, J.W.; Choi, B.J. Three dimensional evaluation of soft tissue after orthognathic surgery. Head Face Med. 2018, 14, 21. [Google Scholar] [CrossRef]
- Altindis, S.; Toy, E.; Basciftci, F.A. Effects of different rapid maxillary expansion appliances on facial soft tissues using three-dimensional imaging. Angle Orthod. 2016, 86, 590–598. [Google Scholar] [CrossRef]
- Altorkat, Y.; Khambay, B.S.; McDonald, J.P.; Cross, D.L.; Brocklebank, L.M.; Ju, X. Immediate effects of rapid maxillary expansion on the naso-maxillary facial soft tissue using 3D stereophotogrammetry. Surgeon 2016, 14, 63–68. [Google Scholar] [CrossRef]
- Kim, K.B.; Adams, D.; Araújo, E.A.; Behrents, R.G. Evaluation of immediate soft tissue changes after rapid maxillary expansion. Dental Press J. Orthod. 2012, 17, 157–164. [Google Scholar] [CrossRef]
- Solow, B.; Tallgren, A. Natural head position in standing subjects. Acta Odontol. Scand. 1971, 29, 591–607. [Google Scholar] [CrossRef]
- Weber, D.W.; Fallis, D.W.; Packer, M.D. Three-dimensional reproducibility of natural head position. Am. J. Orthod. Dentofac. Orthop. 2013, 143, 738–744. [Google Scholar] [CrossRef] [PubMed]
- Ong, S.C.; Khambay, B.S.; McDonald, J.P.; Cross, D.L.; Brocklebank, L.M.; Ju, X. The novel use of three-dimensional surface models to quantify and visualise the immediate changes of the mid-facial skeleton following rapid maxillary expansion. Surgeon 2015, 13, 132–138. [Google Scholar] [CrossRef] [PubMed]
- Farkas, L.G. Anthropometry of the head and face in medicine. J. Oral Maxillofac. Surg. 1981, 40, 394. [Google Scholar]
- Swennen, G.R.J. 3-D Cephalometric soft tissue landmarks. In Three-Dimensional Cephalometry; Springer: Berlin/Heidelberg, Germany, 2006; pp. 183–226. [Google Scholar]
- Dindaroglu, F.; Duran, G.S.; Gorgulu, S. Effects of rapid maxillary expansion on facial soft tissues: Deviation analysis on three-dimensional images. J. Orofac. Orthop. 2016, 77, 242–250. [Google Scholar] [CrossRef] [PubMed]
- Dahlberg, G. Statistical Methods for Medical and Biological Students. Br. Med. J. 1940, 2, 358–359. [Google Scholar]
- Zhao, Y.J.; Xiong, Y.X.; Wang, Y. Three-Dimensional Accuracy of Facial Scan for Facial Deformities in Clinics: A New Evaluation Method for Facial Scanner Accuracy. PLoS ONE 2017, 12, e0169402. [Google Scholar] [CrossRef]
- Modabber, A.; Peters, F.; Kniha, K.; Goloborodko, E.; Ghassemi, A.; Lethaus, B.; Holzle, F.; Mohlhenrich, S.C. Evaluation of the accuracy of a mobile and a stationary system for three-dimensional facial scanning. J. Craniomaxillofac. Surg. 2016, 44, 1719–1724. [Google Scholar] [CrossRef] [PubMed]
- Johnson, B.M.; McNamara, J.A.; Bandeen, R.L.; Baccetti, T. Changes in soft tissue nasal widths associated with rapid maxillary expansion in prepubertal and postpubertal subjects. Angle Orthod. 2010, 80, 995–1001. [Google Scholar] [CrossRef]
- Torun, G.S. Soft tissue changes in the orofacial region after rapid maxillary expansion: A cone beam computed tomography study. J. Orofac. Orthop. 2017, 78, 193–200. [Google Scholar] [CrossRef]
- Huang, J.; Li, C.Y.; Jiang, J.H. Facial soft tissue changes after nonsurgical rapid maxillary expansion: A systematic review and meta-analysis. Head Face Med. 2018, 14, 6. [Google Scholar] [CrossRef] [PubMed]
- Longo, P. Dimensional Changes of Facial Soft Tissue Associated with Rapid Palatal Expansion. Master’s Thesis, Marquette University, Ann Arbor, MI, USA, 2014. [Google Scholar]
- Bazargani, F.; Feldmann, I.; Bondemark, L. Three-dimensional analysis of effects of rapid maxillary expansion on facial sutures and bones. Angle Orthod. 2013, 83, 1074–1082. [Google Scholar] [CrossRef] [PubMed]
- Ghoneima, A.; Abdel-Fattah, E.; Hartsfield, J.; El-Bedwehi, A.; Kamel, A.; Kula, K. Effects of rapid maxillary expansion on the cranial and circummaxillary sutures. Am. J. Orthod. Dentofac. Orthop. 2011, 140, 510–519. [Google Scholar] [CrossRef] [PubMed]
- Woller, J.L.; Kim, K.B.; Behrents, R.G.; Buschang, P.H. An assessment of the maxilla after rapid maxillary expansion using cone beam computed tomography in growing children. Dental Press J. Orthod. 2014, 19, 26–35. [Google Scholar] [CrossRef][Green Version]
- Baysal, A.; Ozturk, M.A.; Sahan, A.O.; Uysal, T. Facial soft-tissue changes after rapid maxillary expansion analyzed with 3-dimensional stereophotogrammetry: A randomized, controlled clinical trial. Angle Orthod. 2016, 86, 934–942. [Google Scholar] [CrossRef]
- Pangrazio-Kulbersh, V.; Wine, P.; Haughey, M.; Pajtas, B.; Kaczynski, R. Cone beam computed tomography evaluation of changes in the naso-maxillary complex associated with two types of maxillary expanders. Angle Orthod. 2012, 82, 448–457. [Google Scholar] [CrossRef]
- Silva Filho, O.G.; Lara, T.S.; Ayub, P.V.; Ohashi, A.S.; Bertoz, F.A. Photographic assessment of nasal morphology following rapid maxillary expansion in children. J. Appl. Oral Sci. 2011, 19, 535–543. [Google Scholar] [CrossRef] [PubMed][Green Version]








| Landmark | Definition | |
|---|---|---|
| Exocanthion | Ex * | Point at the outer commissure of the eye fissure |
| Endocanthion | End * | Point at the inner commissure of the eye fissure |
| Sellion | Se | The most posterior point of the frontonasal soft tissue contour in the midline of the base of the nasal root |
| Alare | Al * | The most lateral point on each alar contour (on the base view) |
| Pronasale | Prn | The most anterior midpoint of the nasal tip (on the right and left profile view). If a bifid nose is present, the more protruding tip is chosen to determine Pronasale |
| alar curvature point | Ac * | The point located at the facial insertion of each alar base. (on the submental view) |
| Subnasale | Sn | Midpoint on the nasolabial soft tissue contour between the Columella crest and the upper lip |
| Labiale superius | Ls | The midpoint of the vermilion line of the upper lip (on the submental view) |
| Stomion | Stm | The midpoint of the horizontal labial fissure |
| Chelion | Ch * | The point located at each labial commissure (on the frontal view) |
| Labiale inferius | Li | The midpoint of the vermilion line of the lower lip (on the right profile view) |
| Sublabiale | Sl | The most posterior midpoint on the Labiomental soft tissue contour that defines the border between the lower lip and the chin |
| Soft tissue Menton | Meˊ | The most inferior midpoint on the soft tissue contour of the chin located at the level of the 3-D cephalometric hard tissue Menton landmark |
| Region | Definition |
| Total face | The facial region designated while creating masks prior to alignment |
| Upper face | The region between the line passing through the right and left Exocanthion points and the line passing through the Subnasal point parallel to that line |
| Lower face | The region between the line passing through the Subnasal point and the line passing through the Menton point parallel to that line |
| Upper lip | The region between the lines passing through the right and left Endocanthion points and the right and left Cheilion points, and the line passing through the Subnasal point |
| Lower lip | The region between the lines passing through the right and left Endocanthion points and the right and left Cheilion points, and the line passing through a Sublabiale point parallel to other lines |
| Nose | The region between the lines passing through the right and left Endocanthion points that are tangent to the nasal wings and the line passing through the Subnasal point |
| T0 | T1 | Δ = T1 − T0 | p | ||||
|---|---|---|---|---|---|---|---|
| Mean | SD | Mean | SD | ||||
| Linear measurements (mm) | |||||||
| Intercanthal width | (EnR-EnL) | 30.93 | 2.42 | 31.58 | 2.4 | 0.65 | NS |
| Nasal width | (Alar R.-Alar.L) | 31.98 | 2.83 | 33.09 | 3.27 | 1.02 | 0.023 * |
| Nasal base width | (AcR-AcL) | 30.26 | 2.67 | 31.48 | 2.85 | 1.21 | 0.018 * |
| Mouth width | (chR-chL) | 43.28 | 3.8 | 45.9 | 3.7 | 2.62 | 0.01 * |
| Angular measurements (°) | |||||||
| Nasal tip angle | (AlarR-Prn-AlarL) | 85.82 | 6.13 | 89.03 | 6.2 | 3.2 | 0.05 * |
| Upper lip angle | (ChR-ls-ChL) | 110.66 | 4.3 | 114.13 | 5.7 | 3.47 | 0.023 * |
| Lower lip angle | (ChR-li-ChL) | 122.16 | 6.1 | 125.94 | 6.34 | 3.78 | 0.047 * |
| Morphological Region | Maximum Positive Deviation Limits (mm) | Maximum Negative Deviation Limits (mm) | ||||||
|---|---|---|---|---|---|---|---|---|
| Minimum | Maximum | Mean | SD | Minimum | Maximum | Mean | SD | |
| Total face | 1.72 | 5.43 | 3.09 | 0.92 | −5.88 | −1.93 | −2.93 | 0.85 |
| Upper face | 0.97 | 3.9 | 2.16 | 0.77 | −3.5 | −0.89 | −1.9 | 0.79 |
| Lower face | 1.47 | 5.22 | 2.81 | 0.87 | −5.88 | −1.34 | −2.78 | 0.89 |
| Nose | 0.68 | 3.9 | 2.04 | 0.71 | −3.49 | −0.47 | −1.25 | 0.67 |
| Upper lip | 0.64 | 5.06 | 2.16 | 0.97 | −5.69 | 0.11 | −1.5 | 1.03 |
| Lower lip | −0.63 | 5.22 | 1.37 | 1.16 | −4.68 | 0.53 | −2.02 | 1.67 |
| Morphological Region | Minimum | Maximum | Mean | SD |
|---|---|---|---|---|
| Total face | −0.25 | 0.12 | −0.02 | 0.08 |
| Upper face | −0.99 | 0.65 | 0.06 | 0.3 |
| Lower face | −0.54 | 0.32 | −0.02 | 0.16 |
| Nose | −0.1 | 0.96 | 0.55 | 0.26 |
| Upper lip | −0.87 | 1.79 | 0.53 | 0.67 |
| Lower lip | −2.54 | 2.19 | −0.04 | 1.24 |
| Landmark | Deviation Mean (mm) | SD | |
|---|---|---|---|
| Endocanthion (right) | Endr | 0.28 | 0.39 |
| Endocanthion (left) | Endl | 0.25 | 0.55 |
| Sellion | Se | −0.03 | 0.41 |
| Alar point (right) | Alarr | 0.72 | 0.45 |
| Alar point (left) | Alarl | 0.46 | 0.59 |
| Pronasal | prn | 0.44 | 0.66 |
| Subnasal | Sn | 0.66 | 0.64 |
| Cheilion (right) | Chr | 0.46 | 1.62 |
| Cheilion (left) | Chl | 0.66 | 1.98 |
| Labiale superius | Ls | 0.23 | 1.36 |
| Labiale inferius | Li | 0.2 | 1.37 |
| Stomion | Sto | −0.11 | 1.71 |
| Sublabiale | Sl | −0.43 | 1.31 |
| Soft tissue menton | meˊ | 0.02 | 0.89 |
Publisher’s Note: MDPI stays neutral with regard to jurisdictional claims in published maps and institutional affiliations. |
© 2021 by the authors. Licensee MDPI, Basel, Switzerland. This article is an open access article distributed under the terms and conditions of the Creative Commons Attribution (CC BY) license (http://creativecommons.org/licenses/by/4.0/).
Share and Cite
Alkhayer, A.; Becsei, R.; Hegedűs, L.; Párkányi, L.; Piffkó, J.; Braunitzer, G.; Segatto, E. Evaluation of the Soft Tissue Changes after Rapid Maxillary Expansion Using a Handheld Three-Dimensional Scanner: A Prospective Study. Int. J. Environ. Res. Public Health 2021, 18, 3379. https://doi.org/10.3390/ijerph18073379
Alkhayer A, Becsei R, Hegedűs L, Párkányi L, Piffkó J, Braunitzer G, Segatto E. Evaluation of the Soft Tissue Changes after Rapid Maxillary Expansion Using a Handheld Three-Dimensional Scanner: A Prospective Study. International Journal of Environmental Research and Public Health. 2021; 18(7):3379. https://doi.org/10.3390/ijerph18073379
Chicago/Turabian StyleAlkhayer, Ali, Roland Becsei, László Hegedűs, László Párkányi, József Piffkó, Gábor Braunitzer, and Emil Segatto. 2021. "Evaluation of the Soft Tissue Changes after Rapid Maxillary Expansion Using a Handheld Three-Dimensional Scanner: A Prospective Study" International Journal of Environmental Research and Public Health 18, no. 7: 3379. https://doi.org/10.3390/ijerph18073379
APA StyleAlkhayer, A., Becsei, R., Hegedűs, L., Párkányi, L., Piffkó, J., Braunitzer, G., & Segatto, E. (2021). Evaluation of the Soft Tissue Changes after Rapid Maxillary Expansion Using a Handheld Three-Dimensional Scanner: A Prospective Study. International Journal of Environmental Research and Public Health, 18(7), 3379. https://doi.org/10.3390/ijerph18073379

