The Radiologist as a Gatekeeper in Chest Pain
Abstract
1. Introduction
1.1. Computed Tomography and Magnetic Resonance Imaging Benefits
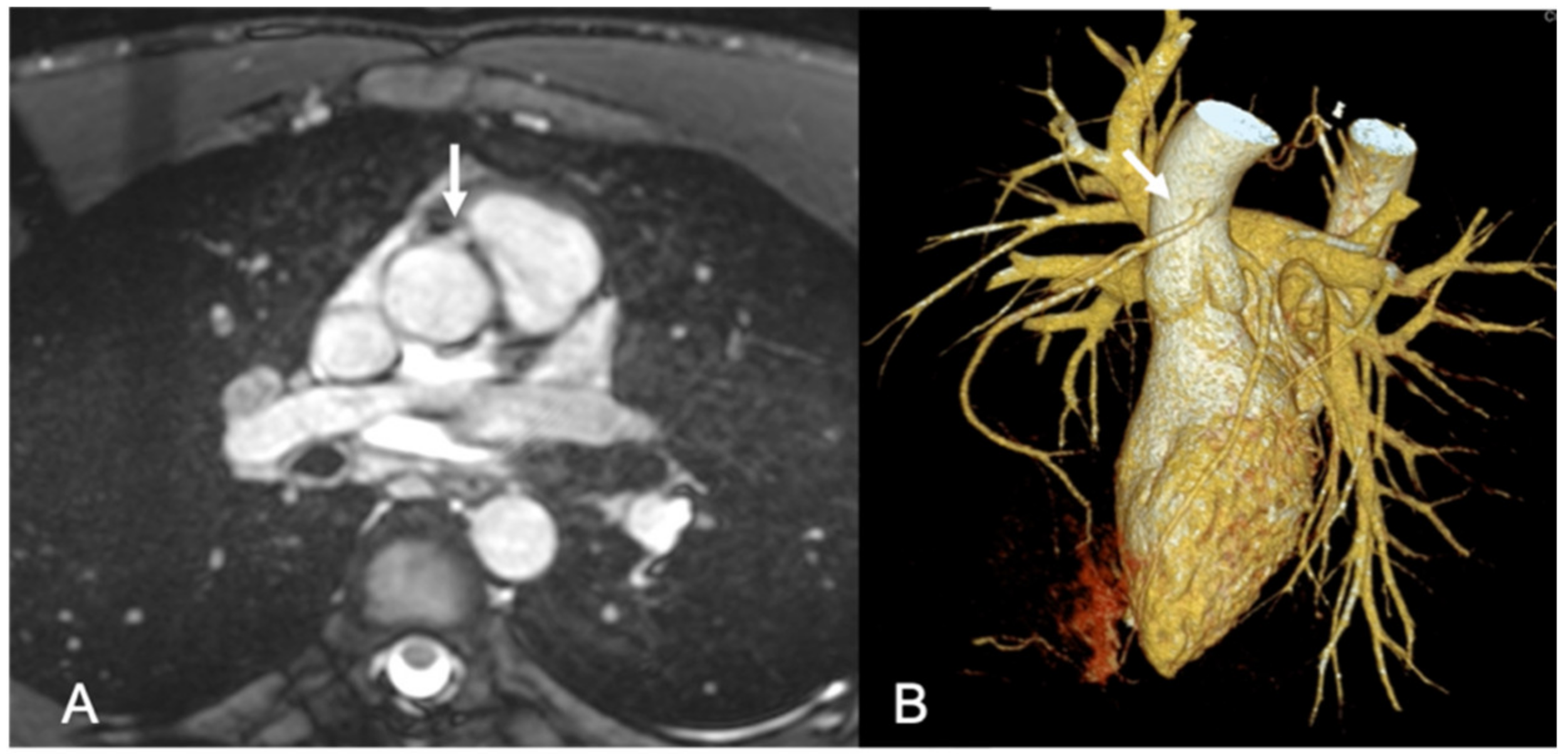
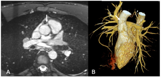
1.2. Role of Coronary CT
2. Conclusions
Author Contributions
Funding
Institutional Review Board Statement
Informed Consent Statement
Conflicts of Interest
References
- Collet, J.-P.; Thiele, H.; Barbato, E.; Barthélémy, O.; Bauersachs, J.; Bhatt, D.L.; Dendale, P.; Dorobantu, M.; Edvardsen, T.; Folliguet, T.; et al. 2020 ESC Guidelines for the management of acute coronary syndromes in patients presenting without persistent ST-segment elevation. Eur. Heart J. 2020, 1–79. [Google Scholar] [CrossRef]
- Gibbs, J.; McCord, J. Chest Pain Evaluation in the Emergency Department: Risk Scores and High-Sensitivity Cardiac Troponin. Curr. Cardiol. Rep. 2020, 22, 1–6. [Google Scholar] [CrossRef]
- Levine, G.N.; Bates, E.R.; Bittl, J.A.; Brindis, R.G.; Fihn, S.D.; Fleisher, L.A.; Granger, C.B.; Lange, R.A.; Mack, M.J.; Mauri, L.; et al. 2016 ACC/AHA Guideline Focused Update on Duration of Dual Antiplatelet Therapy in Patients With Coronary Artery Disease: A Report of the American College of Cardiology/American Heart Association Task Force on Clinical Practice Guidelines: An Update of the 2011 ACCF/AHA/SCAI Guideline for Percutaneous Coronary Intervention, 2011 ACCF/AHA Guideline for Coronary Artery Bypass Graft Surgery, 2012 ACC/AHA/ACP/AATS/PCNA/SCAI/STS Guideline for the Diagnosis and Management of Patients With Stable Ischemic Heart Disease, 2013 ACCF/AHA Guideline for the Management of ST-Elevation Myocardial Infarction, 2014 AHA/ACC Guideline for the Management of Patients With Non–ST-Elevation Acute Coronary Syndromes, and 2014 ACC/AHA Guideline on Perioperative Cardiovascular Evaluation and Management of Patients Undergoing Noncardiac Surgery. Circulation 2016, 134, e123–e155. [Google Scholar] [CrossRef] [PubMed]
- Douglas, P.S.; Hoffmann, U.; Lee, K.L.; Mark, D.B.; Al-Khalidi, H.R.; Anstrom, K.; Dolor, R.J.; Kosinski, A.; Krucoff, M.W.; Mudrick, D.W.; et al. PROspective Multicenter Imaging Study for Evaluation of chest pain: Rationale and design of the PROMISE trial. Am. Heart J. 2014, 167. [Google Scholar] [CrossRef] [PubMed]
- Sousa-Uva, M.; Neumann, F.J.; Ahlsson, A.; Alfonso, F.; Banning, A.P.; Benedetto, U.; Byrne, R.A.; Collet, J.P.; Falk, V.; Head, S.J.; et al. 2018 ESC/EACTS Guidelines on myocardial revascularization. Eur. J. Cardio-Thorac. Surg. 2019, 55, 4–90. [Google Scholar] [CrossRef] [PubMed]
- Nadarajah, R.; Gale, C. The management of acute coronary syndromes in patients presenting without persistent ST-segment elevation: Key points from the ESC 2020 Clinical Practice Guidelines for the general and emergency physician. Clin. Med. 2021, 21. [Google Scholar] [CrossRef] [PubMed]
- Devon, H.A.; Mirzaei, S.; Zègre-Hemsey, J. Typical and atypical symptoms of acute coronary syndrome: Time to retire the terms? J. Am. Heart Assoc. 2020, 9, 1–4. [Google Scholar] [CrossRef] [PubMed]
- Guedeney, P.; Collet, J.-P. Diagnosis and Management of Acute Coronary Syndrome: What is New and Why? Insight From the 2020 European Society of Cardiology Guidelines. J. Clin. Med. 2020, 9, 3474. [Google Scholar] [CrossRef]
- Moy, E.; Barrett, M.; Coffey, R.; Hines, A.L.; Newman-Toker, D.E. Missed diagnoses of acute myocardial infarction in the emergency department: Variation by patient and facility characteristics. Diagnosis 2014, 2, 29–40. [Google Scholar] [CrossRef]
- Milazzo, V.; Cosentino, N.; Campodonico, J.; Lucci, C.; Cardinale, D.; Cipolla, C.M.; Marenzi, G. Characteristics, Management, and Outcomes of Acute Coronary Syndrome Patients with Cancer. J. Clin. Med. 2020, 9, 3642. [Google Scholar] [CrossRef]
- Umbrajkar, S.; Stankowski, R.V.; Rezkalla, S.; Kloner, R.A. Cardiovascular Health and Disease in the Context of COVID-19. Cardiol. Res. 2021, 12, 67–79. [Google Scholar] [CrossRef]
- Salinas, P.; Travieso, A.; Vergara-Uzcategui, C.; Tirado-Conte, G.; Macaya, F.; Mejía-Rentería, H.; Nombela-Franco, L.; Núñez-Gil, I.J.; Gonzalo, N.; Jiménez-Quevedo, P.; et al. Clinical Profile and 30-Day Mortality of Invasively Managed Patients with Suspected Acute Coronary Syndrome During the COVID-19 Outbreak. Int. Heart J. 2021, 1–8. [Google Scholar] [CrossRef]
- Dai, W.; Zhang, H.; Yu, J.; Xu, H.; Chen, H.; Luo, S.; Zhang, H.; Liang, L.; Wu, X.; Lei, Y.; et al. CT Imaging and Differential Diagnosis of COVID-19. Can. Assoc. Radiol. J. 2020, 084653712091303. [Google Scholar] [CrossRef] [PubMed]
- Klein, L.W.; Rab, T.; Anderson, H.V.; Lotfi, A.; Truesdell, A.G.; Duffy, P.L.; Welt, F.; Mehran, R.; Kleiman, N.S. The Implications of Acute Clinical Care Responsibilities on the Contemporary Practice of Interventional Cardiology. JACC Cardiovasc. Interv. 2019, 12, 595–599. [Google Scholar] [CrossRef] [PubMed]
- Centonze, M.; Steidler, S.; Casagranda, G.; Alfonsi, U.; Spagnolli, F.; Rozzanigo, U.; Palumbo, D.; Faletti, R.; De Cobelli, F. Cardiac-CT and cardiac-MR cost-effectiveness: A literature review. Radiol. Med. 2020, 125, 1200–1207. [Google Scholar] [CrossRef]
- Kofoed, K.F.; Kelbæk, H.; Riis Hansen, P.; Torp-Pedersen, C.; Høfsten, D.; Kløvgaard, L.; Holmvang, L.; Helqvist, S.; Jørgensen, E.; Galatius, S.; et al. Early versus standard care invasive examination and treatment of patients with non-ST-segment elevation acute coronary syndrome verdict randomized controlled trial. Circulation 2018, 138, 2741–2750. [Google Scholar] [CrossRef] [PubMed]
- Rodriguez-Granillo, G.A.; Nieman, K.; Carrascosa, P.; Campisi, R.; Ambrose, J.A. Anatomic or functional testing in stable patients with suspected CAD: Contemporary role of cardiac CT in the ISCHEMIA trial era. Int. J. Cardiovasc. Imaging 2020, 36, 1351–1362. [Google Scholar] [CrossRef]
- Van Mieghem, C.A.G. CT as gatekeeper of invasive coronary angiography in patients with suspected CAD. Cardiovasc. Diagn. Ther. 2017, 7, 189–195. [Google Scholar] [CrossRef]
- Hulten, E.; Pickett, C.; Bittencourt, M.S.; Villines, T.C.; Petrillo, S.; Di Carli, M.F.; Blankstein, R. Outcomes after coronary computed tomography angiography in the emergency department: A systematic review and meta-analysis of randomized, controlled trials. J. Am. Coll. Cardiol. 2013, 61, 880–892. [Google Scholar] [CrossRef]
- Moore, M.; Chen, J.; Mallow, P.J.; Rizzo, J.A. The direct health-care burden of valvular heart disease: Evidence from US national survey data. ClinicoEcon. Outcomes Res. 2016, 8, 613–627. [Google Scholar] [CrossRef]
- Baessato, F.; Guglielmo, M.; Muscogiuri, G.; Baggiano, A.; Fusini, L.; Scafuri, S.; Babbaro, M.; Mollace, R.; Collevecchio, A.; Guaricci, A.I.; et al. The Incremental Role of Coronary Computed Tomography in Chronic Coronary Syndromes. J. Clin. Med. 2020, 9, 3925. [Google Scholar] [CrossRef] [PubMed]
- Chang, H.J.; Lin, F.Y.; Gebow, D.; An, H.Y.; Andreini, D.; Bathina, R.; Baggiano, A.; Beltrama, V.; Cerci, R.; Choi, E.Y.; et al. Selective Referral Using CCTA Versus Direct Referral for Individuals Referred to Invasive Coronary Angiography for Suspected CAD: A Randomized, Controlled, Open-Label Trial. JACC Cardiovasc. Imaging 2019, 12, 1303–1312. [Google Scholar] [CrossRef]
- Schuijf, J.D.; Matheson, M.B.; Ostovaneh, M.R.; Arbab-Zadeh, A.; Kofoed, K.F.; Scholte, A.J.H.A.; Dewey, M.; Steveson, C.; Rochitte, C.E.; Yoshioka, K.; et al. Ischemia and no obstructive stenosis (INOCA) at CT angiography, CT myocardial perfusion, invasive coronary angiography, and SPECT: The CORE320 study. Radiology 2020, 294, 61–73. [Google Scholar] [CrossRef] [PubMed]
- Amano, Y.; Tachi, M.; Tani, H.; Mizuno, K.; Kobayashi, Y.; Kumita, S. T2-Weighted Cardiac Magnetic Resonance Imaging of Edema in Myocardial Diseases. Sci. World J. 2012, 2012, 1–7. [Google Scholar] [CrossRef]
- Anand, S.; Janardhanan, R. Role of cardiac MRI in nonischemic cardiomyopathies. Indian Heart J. 2016, 68, 405–409. [Google Scholar] [CrossRef] [PubMed]
- Buffa, V.; Di Renzi, P. CMR in the diagnosis of ischemic heart disease. Radiol. Med. 2020, 125, 1114–1123. [Google Scholar] [CrossRef] [PubMed]
- Hunold, P.; Schlosser, T.; Vogt, F.M.; Eggebrecht, H.; Schmermund, A.; Bruder, O.; Schüler, W.O.; Barkhausen, J. Myocardial late enhancement in contrast-enhanced cardiac MRI: Distinction between infarction scar and non-infarction-related disease. Am. J. Roentgenol. 2005, 184, 1420–1426. [Google Scholar] [CrossRef]
- Lee, E.; Ibrahim, E.S.H.; Parwani, P.; Bhave, N.; Stojanovska, J. Practical guide to evaluating myocardial disease by cardiac MRI. Am. J. Roentgenol. 2020, 214, 546–556. [Google Scholar] [CrossRef]
- Nestelberger, T.; Boeddinghaus, J.; Badertscher, P.; Twerenbold, R.; Wildi, K.; Breitenbücher, D.; Sabti, Z.; Puelacher, C.; Rubini Giménez, M.; Kozhuharov, N.; et al. Effect of Definition on Incidence and Prognosis of Type 2 Myocardial Infarction. J. Am. Coll. Cardiol. 2017, 70, 1558–1568. [Google Scholar] [CrossRef]
- Schiau, C.; Schiau, Ș.; Dudea, S.M.; Manole, S. Cardiovascular magnetic resonance: Contribution to the exploration of cardiomyopathies. Med. Pharm. Rep. 2019, 92, 326–336. [Google Scholar] [CrossRef]
- Thygesen, K.; Alpert, J.S.; Jaffe, A.S.; Chaitman, B.R.; Bax, J.J.; Morrow, D.A.; White, H.D.; Analysis, C. Fourth Universal Definition of Myocardial Infarction. J. Am. Coll. Cardiol. 2018, 72, 2231–2264. [Google Scholar] [CrossRef]
- Baessato, F.; Guglielmo, M.; Muscogiuri, G.; Baggiano, A.; Fusini, L.; Scafuri, S.; Babbaro, M.; Mollace, R.; Collevecchio, A.; Guaricci, A.I.; et al. Stress CMR in Known or Suspected CAD: Diagnostic and Prognostic Role. Biomed. Res. Int. 2021, 2021. [Google Scholar] [CrossRef]
- Nagel, E.; Greenwood, J.P.; McCann, G.P.; Bettencourt, N.; Shah, A.M.; Hussain, S.T.; Perera, D.; Plein, S.; Bucciarelli-Ducci, C.; Paul, M.; et al. Magnetic Resonance Perfusion or Fractional Flow Reserve in Coronary Disease. N. Engl. J. Med. 2019, 380, 2418–2428. [Google Scholar] [CrossRef] [PubMed]
- Neumann, F.J.; Sechtem, U.; Banning, A.P.; Bonaros, N.; Bueno, H.; Bugiardini, R.; Chieffo, A.; Crea, F.; Czerny, M.; Delgado, V.; et al. 2019 ESC Guidelines for the diagnosis and management of chronic coronary syndromes. Eur. Heart J. 2020, 41, 407–477. [Google Scholar] [CrossRef]
- Menadas, J.V.M.; Lopez-Lereu, M.P.; Erill, J.E.; Gonzalez, P.G.; Muñoz, B.I.; Gonzalez, A.M. Pharmacological stress cardiovascular magnetic resonance: Feasibility and safety in a large multicentre prospective registry. Eur. Heart J. Cardiovasc. Imaging 2016, 17, 308–315. [Google Scholar] [CrossRef] [PubMed]
- Toia, P.; la Grutta, L.; Smeraldi, T.; Agnello, F.; Grassedonio, E.; Maffei, E.; Midiri, M.; Cademartiri, F. Updated diagnostic & prognostic paradigm for CAD: A narrative review. Cardiovasc. Diagn. Ther. 2020, 10, 1979–1991. [Google Scholar] [CrossRef] [PubMed]
- Ronan, G. ACCF/AHA/ASE/ASNC/HFSA/HRS/SCAI/SCCT/SCMR/STS 2013 multimodality appropriate use criteria for the detection and risk assessment of stable ischemic heart disease: A report of the American College of Cardiology Foundation Appropriate Use Criteria Task Force. J. Nucl. Cardiol. 2014, 21, 192–220. [Google Scholar] [CrossRef] [PubMed]
- Esposito, A.; Gallone, G.; Palmisano, A.; Marchitelli, L.; Catapano, F.; Francone, M. The current landscape of imaging recommendations in cardiovascular clinical guidelines: Toward an imaging-guided precision medicine. Radiol. Med. 2020, 125, 1013–1023. [Google Scholar] [CrossRef]
- Reinhardt, S.W.; Lin, C.J.; Novak, E.; Brown, D.L. Noninvasive cardiac testing vs clinical evaluation alone in acute chest pain: A secondary analysis of the ROMICAT-II randomized clinical trial. JAMA Intern. Med. 2018, 178, 212–219. [Google Scholar] [CrossRef]
- Marano, R.; Rovere, G.; Savino, G.; Flammia, F.C.; Carafa, M.R.P.; Steri, L.; Merlino, B.; Natale, L. CCTA in the diagnosis of coronary artery disease. Radiol. Med. 2020, 125, 1102–1113. [Google Scholar] [CrossRef]
- Busse, A.; Cantré, D.; Beller, E.; Streckenbach, F.; Öner, A.; Ince, H.; Weber, M.A.; Meinel, F.G. Cardiac CT: Why, when, and how: Update 2019. Radiologe 2019, 59. [Google Scholar] [CrossRef]
- Douglas, P.S.; Hoffmann, U.; Patel, M.R.; Mark, D.B.; Al-Khalidi, H.R.; Cavanaugh, B.; Cole, J.; Dolor, R.J.; Fordyce, C.B.; Huang, M.; et al. Outcomes of Anatomical versus Functional Testing for Coronary Artery Disease. N. Engl. J. Med. 2015, 372, 1291–1300. [Google Scholar] [CrossRef]
- Eltabbakh, A.R.; Dawoud, M.A.; Langer, M.; Moharm, M.A.; Hamdy, E.A.; Hamisa, M.F. ‘Triple-rule-out’ CT angiography for clinical decision making and early triage of acute chest pain patients: Use of 320-multislice CT angiography. Egypt. J. Radiol. Nucl. Med. 2019, 50, 1–10. [Google Scholar] [CrossRef]
- Russo, V.; Sportoletti, C.; Scalas, G.; Attinà, D.; Buia, F.; Niro, F.; Modolon, C.; De Luca, C.; Monteduro, F.; Lovato, L. The triple rule out CT in acute chest pain: A challenge for emergency radiologists? Emerg. Radiol. 2021. [Google Scholar] [CrossRef]
- Timmis, A.; Roobottom, C.A. National Institute for Health and Care Excellence updates the stable chest pain guideline with radical changes to the diagnostic paradigm. Heart 2017, 103, 982–986. [Google Scholar] [CrossRef]
- Kelion, A.D.; Nicol, E.D. The rationale for the primacy of coronary CT angiography in the National Institute for Health and Care Excellence (NICE) guideline (CG95) for the investigation of chest pain of recent onset. J. Cardiovasc. Comput. Tomogr. 2018, 12, 516–522. [Google Scholar] [CrossRef]
- Mozaffarian, D.; Benjamin, E.J.; Go, A.S.; Arnett, D.K.; Blaha, M.J.; Cushman, M.; de Ferranti, S.; Després, J.-P.; Fullerton, H.J.; Howard, V.J.; et al. Heart Disease and Stroke Statistics—2015 Update. Circulation 2015, 131, e29–e39. [Google Scholar] [CrossRef]
- Pope, H.J.; Aufderheide, T.P.; Ruthazer, R.; Woolard, R.H.; Feldman, J.A.; Beshansky, J.R.; Griffith, J.L.; Selker, H.P. Missed Diagnoses of Acute Cardiac Ischemia in the Emergency Department. Surv. Anesthesiol. 2000, 44, 331–332. [Google Scholar] [CrossRef]
- Bautz, B.; Schneider, J.I. High-Risk Chief Complaints I: Chest Pain—The Big Three (an Update). Emerg. Med. Clin. N. Am. 2020, 38, 453–498. [Google Scholar] [CrossRef] [PubMed]
- Chang, A.M.; Fischman, D.L.; Hollander, J.E. Evaluation of Chest Pain and Acute Coronary Syndromes. Cardiol. Clin. 2018, 36, 1–12. [Google Scholar] [CrossRef] [PubMed]
- Jordan, K.P.; Timmis, A.; Croft, P.; Van Der Windt, D.A.; Denaxas, S.; González-Izquierdo, A.; Hayward, R.A.; Perel, P.; Hemingway, H. Prognosis of undiagnosed chest pain: Linked electronic health record cohort study. BMJ 2017, 357, 1–9. [Google Scholar] [CrossRef] [PubMed]
- Fuster, V. The (R)Evolution of the CICU: Better for the Patient, Better for Education. J. Am. Coll. Cardiol. 2018, 72, 2269–2271. [Google Scholar] [CrossRef]
- Haaf, P.; Drexler, B.; Reichlin, T.; Twerenbold, R.; Reiter, M.; Meissner, J.; Schaub, N.; Stelzig, C.; Freese, M.; Heinzelmann, A.; et al. High-sensitivity cardiac troponin in the distinction of acute myocardial infarction from acute cardiac noncoronary artery disease. Circulation 2012, 126, 31–40. [Google Scholar] [CrossRef]
- Palumbo, P.; Cannizzaro, E.; Bruno, F.; Schicchi, N.; Fogante, M.; Agostini, A.; De Donato, M.C.; De Cataldo, C.; Giovagnoni, A.; Barile, A.; et al. Coronary artery disease (CAD) extension-derived risk stratification for asymptomatic diabetic patients: Usefulness of low-dose coronary computed tomography angiography (CCTA) in detecting high-risk profile patients. Radiol. Med. 2020, 125, 1249–1259. [Google Scholar] [CrossRef] [PubMed]
- Fihn, S.D.; Gardin, J.M.; Abrams, J.; Berra, K.; Blankenship, J.C.; Dallas, A.P.; Douglas, P.S.; Foody, J.M.; Gerber, T.C.; Hinderliter, A.L.; et al. 2012 ACCF/AHA/ACP/AATS/PCNA/SCAI/STS guideline for the diagnosis and management of patients with stable ischemic heart disease. J. Am. Coll. Cardiol. 2012, 60. [Google Scholar] [CrossRef] [PubMed]
- Achenbach, S.; Giesler, T.; Ropers, D.; Ulzheimer, S.; Derlien, H.; Schulte, C.; Wenkel, E.; Moshage, W.; Bautz, W.; Daniel, W.G.; et al. Detection of coronary artery stenoses by contrast-enhanced, retrospectively electrocardiographically-gated, multislice spiral computed tomography. Circulation 2001, 103, 2535–2538. [Google Scholar] [CrossRef] [PubMed]
- Hecht, H.S.; Achenbach, S.; Kondo, T.; Narula, J. High-risk plaque features on coronary CT angiography. JACC Cardiovasc. Imaging 2015, 8, 1336–1339. [Google Scholar] [CrossRef][Green Version]
- Oka, T.; Yamamoto, H.; Ohashi, N.; Kitagawa, T.; Kunita, E.; Utsunomiya, H.; Yamazato, R.; Urabe, Y.; Horiguchi, J.; Awai, K.; et al. Association between epicardial adipose tissue volume and characteristics of non-calcified plaques assessed by coronary computed tomographic angiography. Int. J. Cardiol. 2012. [Google Scholar] [CrossRef]
- Puchner, S.B.; Liu, T.; Mayrhofer, T.; Truong, Q.A.; Lee, H.; Fleg, J.L.; Nagurney, J.T.; Udelson, J.E.; Hoffmann, U.; Ferencik, M. High-risk plaque detected on coronary CT angiography predicts acute coronary syndromes independent of significant stenosis in acute chest pain: Results from the ROMICAT-II trial. J. Am. Coll. Cardiol. 2014, 64, 684–692. [Google Scholar] [CrossRef]
- Bos, D.; Leening, M.J.G. Leveraging the coronary calcium scan beyond the coronary calcium score. Eur. Radiol. 2018, 28, e0117172. [Google Scholar] [CrossRef]
- Chmiel, C.; Reich, R.; Signorell, A.; Tandjung, R.; Rosemann, T.; Senn, S. Appropriateness of Diagnostic Coronary Angiography as a Measure of Cardiac Ischemia Testing in Non-Emergency Patients—A Retrospective Cross-Sectional Analysis. PLoS ONE 2015, 10, 1–12. [Google Scholar] [CrossRef] [PubMed]
- Goehler, A.; Mayrhofer, T.; Pursnani, A.; Ferencik, M.; Lumish, H.S.; Barth, C.; Karády, J.; Chow, B.; Truong, Q.A.; Udelson, J.E.; et al. Long-term health outcomes and cost-effectiveness of coronary CT angiography in patients with suspicion for acute coronary syndrome. J. Cardiovasc. Comput. Tomogr. 2020, 14, 44–54. [Google Scholar] [CrossRef] [PubMed]
- Smolka, S.; Desai, M.Y.; Achenbach, S. After ISCHEMIA: Is coronary CTA the new gatekeeper? Herz 2020, 45, 441–445. [Google Scholar] [CrossRef] [PubMed]
- Siontis, G.C.M.; Mavridis, D.; Greenwood, J.P.; Coles, B.; Nikolakopoulou, A.; Jüni, P.; Salanti, G.; Windecker, S. Outcomes of non-invasive diagnostic modalities for the detection of coronary artery disease: Network meta-analysis of diagnostic randomised controlled trials. BMJ 2018, 360. [Google Scholar] [CrossRef]
- Linde, J.J.; Kelbæk, H.; Hansen, T.F.; Sigvardsen, P.E.; Torp-Pedersen, C.; Bech, J.; Heitmann, M.; Nielsen, O.W.; Høfsten, D.; Kühl, J.T.; et al. Coronary CT Angiography in Patients With Non-ST-Segment Elevation Acute Coronary Syndrome. J. Am. Coll. Cardiol. 2020, 75, 453–463. [Google Scholar] [CrossRef]
- Rajiah, P.; Abbara, S. CT coronary imaging—A fast evolving world. QJM 2018, 111, 595–604. [Google Scholar] [CrossRef]
- Agliata, G.; Schicchi, N.; Agostini, A.; Fogante, M.; Mari, A.; Maggi, S.; Giovagnoni, A. Radiation exposure related to cardiovascular CT examination: Comparison between conventional 64-MDCT and third-generation dual-source MDCT. Radiol. Med. 2019, 124, 753–761. [Google Scholar] [CrossRef]
- Schicchi, N.; Mari, A.; Fogante, M.; Esposto Pirani, P.; Agliata, G.; Tosi, N.; Palumbo, P.; Cannizzaro, E.; Bruno, F.; Splendiani, A.; et al. In vivo radiation dosimetry and image quality of turbo-flash and retrospective dual-source CT coronary angiography. Radiol. Med. 2020, 125, 117–127. [Google Scholar] [CrossRef]
- Schicchi, N.; Fogante, M.; Esposto Pirani, P.; Agliata, G.; Basile, M.C.; Oliva, M.; Agostini, A.; Giovagnoni, A. Third-generation dual-source dual-energy CT in pediatric congenital heart disease patients: State-of-the-art. Radiol. Med. 2019, 124, 1238–1252. [Google Scholar] [CrossRef] [PubMed]
- Haase, R.; Schlattmann, P.; Gueret, P.; Andreini, D.; Pontone, G.; Alkadhi, H.; Hausleiter, J.; Garcia, M.J.; Leschka, S.; Meijboom, W.B.; et al. Diagnosis of obstructive coronary artery disease using computed tomography angiography in patients with stable chest pain depending on clinical probability and in clinically important subgroups: Meta-analysis of individual patient data. BMJ 2019, 365. [Google Scholar] [CrossRef]
- Cury, R.C.; Abbara, S.; Achenbach, S.; Agatston, A.; Berman, D.S.; Budoff, M.J.; Dill, K.E.; Jacobs, J.E.; Maroules, C.D.; Rubin, G.D.; et al. CAD-RADSTM Coronary Artery Disease—Reporting and Data System: An Expert Consensus Document of the Society of Cardiovascular Computed Tomography (SCCT), the American College of Radiology (ACR) and the North American Society for Cardiovascular Imaging (NASCI). Endorsed by the American College of Cardiology. J. Cardiovasc. Comput. Tomogr. 2016, 10, 269–281. [Google Scholar] [CrossRef] [PubMed]
- Ramanathan, S.; Al Heidous, M.; Alkuwari, M. Coronary Artery Disease-Reporting and Data System (CAD-RADS): Strengths and limitations. Clin. Radiol. 2019, 74, 411–417. [Google Scholar] [CrossRef] [PubMed]
- Goerne, H.; Landeras, L. CAD-RADS: Pushing the Limits. RadioGraphics 2020, 40, 629–652. [Google Scholar]
- Bittner, D.O.; Mayrhofer, T.; Budoff, M.; Szilveszter, B.; Foldyna, B.; Hallett, T.R.; Ivanov, A.; Janjua, S.; Meyersohn, N.M.; Staziaki, P.V.; et al. Prognostic Value of Coronary CTA in Stable Chest Pain: CAD-RADS, CAC, and Cardiovascular Events in PROMISE. JACC Cardiovasc. Imaging 2020, 13, 1534–1545. [Google Scholar] [CrossRef] [PubMed]
- Di Cesare, E.; Patriarca, L.; Panebianco, L.; Bruno, F.; Palumbo, P.; Cannizzaro, E.; Splendiani, A.; Barile, A.; Masciocchi, C. Coronary computed tomography angiography in the evaluation of intermediate risk asymptomatic individuals. Radiol. Med. 2018, 123, 686–694. [Google Scholar] [CrossRef]
- Fischer, A.M.; van Assen, M.; Schoepf, U.J.; Matuskowitz, A.J.; Varga-Szemes, A.; Golden, J.W.; Giovagnoli, D.A.; Tesche, C.; Bayer, R.R. Non-invasive fractional flow reserve (FFRCT) in the evaluation of acute chest pain—Concepts and first experiences. Eur. J. Radiol. 2021, 138, 109633. [Google Scholar] [CrossRef]
- Peper, J.; Schaap, J.; Kelder, J.C.; Grobbee, D.E.; Swaans, M.J. P6176Added value of computed tomography fractional flow reserve (FFRCT) in the diagnosis of coronary artery disease (CAD). Eur. Heart J. 2019, 40, 1–9. [Google Scholar] [CrossRef]
- Kalisz, K.; Rajiah, P.; Roifman, I.; Gutierrez, J.; Wang, E.; Biswas, L.; Sparkes, J.; Connelly, K.A.; Wright, G.A.; Khan, M.A.M.A.; et al. Evolving concepts in dilated cardiomyopathy. J. Am. Coll. Cardiol. 2018, 19, 364–375. [Google Scholar] [CrossRef]
- Opincariu, D.; Benedek, T.; Chițu, M.; Raț, N.; Benedek, I. From CT to artificial intelligence for complex assessment of plaque-associated risk. Int. J. Cardiovasc. Imaging 2020. [Google Scholar] [CrossRef]
- Oikonomou, E.K.; Williams, M.C.; Kotanidis, C.P.; Desai, M.Y.; Marwan, M.; Antonopoulos, A.S.; Thomas, K.E.; Thomas, S.; Akoumianakis, I.; Fan, L.M.; et al. A novel machine learning-derived radiotranscriptomic signature of perivascular fat improves cardiac risk prediction using coronary CTangiography. Eur. Heart J. 2019, 40, 3529–3543. [Google Scholar] [CrossRef]
- Grassi, R.; Miele, V.; Giovagnoni, A. Artificial intelligence: A challenge for third millennium radiologist. Radiol. Med. 2019, 124, 241–242. [Google Scholar] [CrossRef] [PubMed]
- Nicol, E.D.; Norgaard, B.L.; Blanke, P.; Ahmadi, A.; Weir-McCall, J.; Horvat, P.M.; Han, K.; Bax, J.J.; Leipsic, J. The Future of Cardiovascular Computed Tomography: Advanced Analytics and Clinical Insights. JACC Cardiovasc. Imaging 2019, 12, 1058–1072. [Google Scholar] [CrossRef] [PubMed]





Publisher’s Note: MDPI stays neutral with regard to jurisdictional claims in published maps and institutional affiliations. |
© 2021 by the authors. Licensee MDPI, Basel, Switzerland. This article is an open access article distributed under the terms and conditions of the Creative Commons Attribution (CC BY) license (https://creativecommons.org/licenses/by/4.0/).
Share and Cite
Pradella, S.; Zantonelli, G.; Grazzini, G.; Cozzi, D.; Danti, G.; Acquafresca, M.; Miele, V. The Radiologist as a Gatekeeper in Chest Pain. Int. J. Environ. Res. Public Health 2021, 18, 6677. https://doi.org/10.3390/ijerph18126677
Pradella S, Zantonelli G, Grazzini G, Cozzi D, Danti G, Acquafresca M, Miele V. The Radiologist as a Gatekeeper in Chest Pain. International Journal of Environmental Research and Public Health. 2021; 18(12):6677. https://doi.org/10.3390/ijerph18126677
Chicago/Turabian StylePradella, Silvia, Giulia Zantonelli, Giulia Grazzini, Diletta Cozzi, Ginevra Danti, Manlio Acquafresca, and Vittorio Miele. 2021. "The Radiologist as a Gatekeeper in Chest Pain" International Journal of Environmental Research and Public Health 18, no. 12: 6677. https://doi.org/10.3390/ijerph18126677
APA StylePradella, S., Zantonelli, G., Grazzini, G., Cozzi, D., Danti, G., Acquafresca, M., & Miele, V. (2021). The Radiologist as a Gatekeeper in Chest Pain. International Journal of Environmental Research and Public Health, 18(12), 6677. https://doi.org/10.3390/ijerph18126677

