Abstract
Domoic acid was identified as the toxin responsible for an outbreak of human poisoning that occurred in Canada in 1987 following consumption of contaminated blue mussels [Mytilus edulis]. The poisoning was characterized by a constellation of clinical symptoms and signs. Among the most prominent features described was memory impairment which led to the name Amnesic Shellfish Poisoning [ASP]. Domoic acid is produced by certain marine organisms, such as the red alga Chondria armata and planktonic diatom of the genus Pseudo-nitzschia. Since 1987, monitoring programs have been successful in preventing other human incidents of ASP. However, there are documented cases of domoic acid intoxication in wild animals and outbreaks of coastal water contamination in many regions world-wide. Hence domoic acid continues to pose a global risk to the health and safety of humans and wildlife. Several mechanisms have been implicated as mediators for the effects of domoic acid. Of particular importance is the role played by glutamate receptors as mediators of excitatory neurotransmission and the demonstration of a wide distribution of these receptors outside the central nervous system, prompting the attention to other tissues as potential target sites. The aim of this document is to provide a comprehensive review of ASP, DOM induced pathology including ultrastructural changes associated to subchronic oral exposure, and discussion of key proposed mechanisms of cell/tissue injury involved in DOM induced brain pathology and considerations relevant to food safety and human health.
1. Introduction
Domoic acid [DOM] was identified as the causative agent of the 1987 human poisoning incident in Canada after consumption of contaminated blue mussels [Mytilus edulis] [1–6]. The poisoning was characterized by a constellation of clinical symptoms and signs, involving multiple organ systems, including the gastro intestinal tract, the central nervous system (CNS) and the cardiovascular system. Among the most prominent features described was memory impairment which led to the name Amnesic Shellfish Poisoning [ASP] [1,2,4,7,8]. DOM is produced by different species of Pseudo- nitzschia [9–13]. and other marine organisms such as the red alga Chondria armata [14DOM can potentially enter the food chain by contaminating shellfish and other types of seafood. The most common vector is the blue mussel [Mytilus edulis] [5–17], but can also be present in other shellfish and crustaceans [5,18–20]. Although, depuration occurs with time, harvesting and consumption of the shellfish at the time of contamination can lead to human or animal intoxication [21].
Specific control measures have been implemented in Canada and around the world to prevent food-borne illness associated with DOM in bivalves [22–23]. Although these measurements have been successful in preventing other episodes of ASP, there are reports of DOM intoxication in wild animals, including sea lions, whales, sea otters and sea birds [21,24–28], as well as reports of coastal water contamination in many world regions [12,13,29–32]. Harmful algal blooms (HABs) appear to be increasing worldwide, including those of the Pseudo-nitzschia species which produce DOM. This is having particular impact on sea lions health off the California coast [28]. Two separate clinical syndromes are now described in these animals: one associated with acute DOM toxicosis as previously documented, and a second novel neurological syndrome characterized by epilepsy described as a consequence of chronic sub-lethal exposure to the toxin [28]. Although most of the data available for DOM neurotoxicity is from adults humans and animals there is increasing evidences that DOM is highly toxic to the developing brain with specie variations on susceptibility and health impact [33–43]. There is also evidence that DOM crosses the placenta and can be detected in milk, opening the possibility of a risk for fetal and neonatal exposure [28,40,44,45]. Hence DOM is considered a prominent environmental neurotoxin posing a global risk to the health and safety of humans and wildlife.
The toxicology of DOM and the molecular integrative basis for its toxicity have been reviewed in recent publications [23,46–49] and by the “Joint FAO/WHO/IOC ad hoc Expert Consultation on Biotoxins in Molluscan Bivalves” [23,49]. DOM is a water soluble tricarboxylic acid and its potential toxicity is mitigated by its toxicokinetics, as it is poorly absorbed by the gut, poorly penetrates the blood brain barrier [BBB] and has a very short half life in most tissues compartments [3,48,50–53]. Hence, factors altering these parameters such as poorly developed BBB during brain development, age and pre-morbid pathologies [e.g. renal diseases] have been identified as risk factors for DOM toxicity [38,41,47,54–58].
DOM is structurally similar to another known toxin, kainic acid [KA]. Both are excitatory amino acid [EAA] analogues of glutamate, a major excitatory neurotransmitter in the brain that is known to activate glutamate receptors [GluRs]. DOM induces excitotoxicity by an integrative action on ionotropic GluRs [iGluRs] at both sides of the synapse for which it has high affinity, preferentially the KA subtype, coupled with an effect that prevents the channel from rapid desensitization [48,59–79]. A synergistic effect of DOM with endogenous glutamate and NMDA receptors agonists, has been demonstrated in vitro and in vivo, which contributes to the excitotoxicity [67,79,80].
This document includes: 1) a summary of ASP, 2) a review of the pathology associated with DOM toxicity including highlights and illustrations of some key neuropathology features, 3) illustration and description of the ultra structural changes observed in rat hippocampus associated to subchronic oral exposure [81–83], 4) age and gender susceptibility, 5) overview of key mechanisms of cell/tissue injury in relation to DOM induced brain pathology, 6) considerations relevant to food safety and human health.
2. Human Data “Amnesic Shellfish Poisoning” (ASP)
In the 1987 outbreak of DOM intoxication in Canada, the epidemiology data reported over 200 cases of mussel related illness, of which 107 [47 men and 60 women] fulfilled the definition of ASP and an additional 38 were considered as probable cases. Forty nine were between 40 and 59 years old and 38 patients were 60 years or older. Amnesic Shellfish Poisoning (ASP) is the syndrome encompassing the clinical symptoms and signs described in humans intoxicated with DOM. The clinical presentation was characterized by the presence of gastrointestinal symptoms within 24 hours, neurological symptoms within 48 hours [2,4,7,84–87]. Symptoms of illness included nausea, vomiting, abdominal cramps, diarrhea, headache, unstable blood pressure, cardiac arrhythmias and neurological dysfunction, including coma, seizures and memory loss [7,84–87].
The 19 most severe cases were hospitalized from 4 to 101 days, 12 of these were admitted to intensive care, and 3 died in hospital between 12 and 18 days after admission. Another patient died after 3 months. Increased age was identified as a risk factor for both the severity of the illness and memory loss. Males were also found to be more susceptible. All severely ill patients less than 65 years old had pre-existing illnesses [7,84–87].
Fourteen individuals [44 – 87 years old] were followed and assessed using neuropsychological testing, assessment of motor function and positron emission tomography [PET] [88]. All patients were confused and disoriented 1.5–48 hours post-exposure. Their behaviour ranged from agitation or somnolence to coma, with maximum deficits between 4 hr and 72 hr post-exposure. Neurological symptoms included various types of seizures, myoclonus, and memory deficit. Most patients improved within 24 hours to 12 weeks. Anterograde memory disorder with relative preservation of other cognitive functions was described as a prominent feature and was considered a hallmark of DOM intoxication. Those individuals with a moderate memory disturbance were generally able to encode information, but had delayed recall. More severely affected individuals had some difficulty learning verbal and visuospatial material with impairment of delayed recall. The ability to form concepts was generally maintained.
During the acute phase of the illness, all patients were unsteady and showed generalized weakness. A few patients showed alternating hemiparesis and ophthalmoplegia. Spastic hemiparesis persisted for 24–36 hours post exposure. Ophthalmoplegia resolved within 10 days post-exposure. Four and six months post-exposure, several patients had distal atrophy, weakness of the extremities and hyporeflexia with clinical and electromyography findings consistent with an acute non-progressive neuronopathy involving anterior horn cells or diffuse axonopathy predominantly affecting motor axons.
Autopsy of deceased individuals showed brain damage characterized by neuronal necrosis and astrocytosis particularly in the hippocampus and the amygdaloid nucleus [89,90]. Lesions in the claustrum, secondary olfactory areas, the septal area and the nucleus accumbens were also observed. The thalamus and subfrontal cortex were damaged in some patients and pre-morbid, concomitant cerebrovascular disease was evident in the brain of some victims. Neurofibrillary tangles and senile plaques, typical features of Alzheimer’s disease, were not observed in these patients [89–90].
Cendes et al. [91] subsequently reported the clinical and neuropathology findings of an 84-year-old man who suffered ASP in1987 died of pneumonia 3.25 years after DOM exposure. The patient developed nausea and vomiting 1 hour post-ingestion of the contaminated mussels, and became progressively disoriented and somnolent. Thereafter, he became comatose and had complex partial status epilepticus, eventually involving the right hemibody. Electroencephalograms showed a diffuse slowing of background activity, periodic lateralized epileptiform discharges over the left hemisphere and subsequently bitemporal independent epileptic abnormalities. Computed tomographic scans of the patient’s brain showed mild ventricular enlargement and cerebral atrophy consistent with his age. The patient’s seizures were treated with medication and 4.5 months following intoxication, the patient was discharged from hospital. Although he was now seizure-free, he had severe impairment of anterograde memory. Approximately 1 year post-intoxication, he experienced complex partial seizures consisting of staring, twitching of the left lower part of the face and then clonic movements of the left arm and leg. It was suggested that temporal lobe epilepsy following DOM exposure might develop after a "silent period" of one year. Magnetic resonance images revealed a hyper-intense signal and marked atrophy of both hippocampi. A positron emission tomogram showed a bitemporal decrease in glucose metabolism and neuropsychological evaluation indicated severe memory impairment for both verbal and nonverbal material. At autopsy, gross examination of the patient’s brain revealed atrophy of the hippocampi and a slight dilatation of the ventricular system and of the sylvian fissure. Histology of the hippocampus showed complete neuronal loss in the CA1 and CA3 regions, almost total loss in the CA4 and moderate loss in the CA2 region. The amygdala showed patchy neuronal loss in medial and basal portions. There was neuronal loss and gliosis in the overlying cortex. Mild to moderate neuronal loss and gliosis were seen in the dorsal and ventral septal nuclei, the secondary olfactory areas, and the nucleus accumbens. Reactive astrocytes were found in the sixth cortical layer and subjacent white matter in the orbital and lateral basal areas, the first and second temporal gyri, the fusiform gyrus, the parietal parasagittal cortex, and the insula. No abnormality was seen in the frontal parasagittal, the cingulate, the lateral parietal regions, or any part of the occipital cortex [91]. These data provide clinical and histopathology evidence of the long term squeals of acute intoxication of DOM in humans, serving as a reference for data attained from experimental animals and wildlife.
3. Toxicologic Pathology of Acute Exposure to Domoic Acid
3.1 Brain histopathology and anatomical distribution
Data from human autopsies, from rodent and non-human primate toxicology studies and from sea lions that died of DOM intoxication provide a comprehensive description of the acute brain pathology associated with DOM toxicity [24,26,46,89,92–104]. Despite the differences in species, data collection, history of events and study design there is an overall agreement regarding the histopathology of the brain lesions associated with acute DOM toxicity and its sequels.
Acute brain damage (Figures 1–6) is characterized by neurodegenerative changes consisting of neuronal shrinkage, vacuolization of the cytoplasm, cell drop out, edema, microvacuolation of the neuropil and hydropic cytoplasmic swelling of resident astrocytes. These changes have preferential distribution within structures of the limbic system [46,97,99,101–106]. The hippocampus (Figure 1) [107], among other brain regions, has been identified as a specific target site having high sensitivity to DOM toxicity, particularly the pyramidal neurons in the CA3, CA4 or hilus of the dentate gyrus [DG] [93,96,98–101,103,104,106,108]. The DG and CA1 region are also affected, whereas the CA2 region is often spared [96,98,–101,103,104,106]. Although damage of the DG has been described in rodents and monkeys, the lesion appears to be more prominent in sea lions than in rodents and non-human primates [94]. Variations on specie susceptibility or exposure level may be responsible for the prominent involvement of the dentate gyrus in sea lions as compared to experimental animals.
Figure 1.
Brain of a control rat after trans-cardiac perfusion with heparinized Tyrode=s solution followed by 10% neutral buffered formalin. All images are from paraffin sections stained with H&E. A) Cross section of a hippocampus showing the granular cell layer (GL) of the dentate gyrus (DG), the molecular layer (ML), the CA3 and the CA4 regions. Objective x10. B) Shows the CA3 region with well preserved pyramidal cells (Py). Blood vessels are seen as white spaces with the endothelial cells at the periphery (arrow). Objective x40. C) Cross section of both hippocampal formations (Hi) showing the dentate gyrus (DG), the CA3, CA2 and CA1 regions. This image is a scanned mid coronal section of the rat brain. For anatomical reference see technical notes.
Figure 1.
Brain of a control rat after trans-cardiac perfusion with heparinized Tyrode=s solution followed by 10% neutral buffered formalin. All images are from paraffin sections stained with H&E. A) Cross section of a hippocampus showing the granular cell layer (GL) of the dentate gyrus (DG), the molecular layer (ML), the CA3 and the CA4 regions. Objective x10. B) Shows the CA3 region with well preserved pyramidal cells (Py). Blood vessels are seen as white spaces with the endothelial cells at the periphery (arrow). Objective x40. C) Cross section of both hippocampal formations (Hi) showing the dentate gyrus (DG), the CA3, CA2 and CA1 regions. This image is a scanned mid coronal section of the rat brain. For anatomical reference see technical notes.

Figure 2.
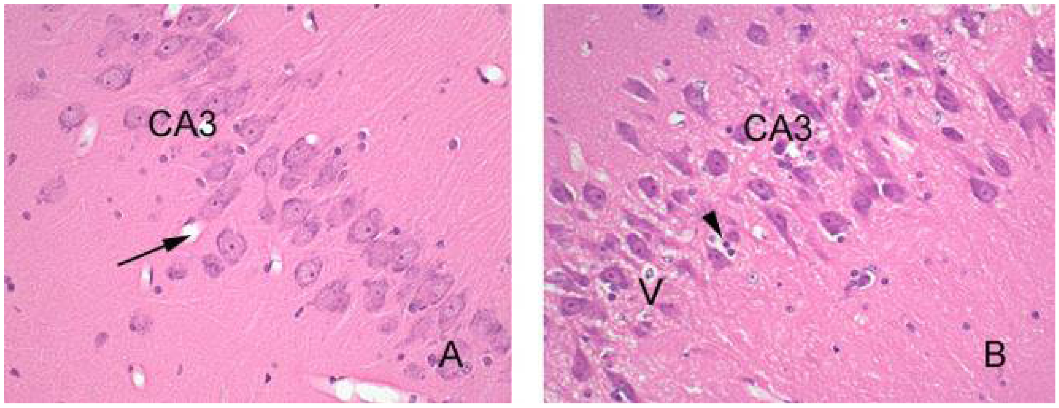
Brain of a rat after trans-cardiac perfusion with heparinized Tyrode=s solution followed by 10% neutral buffered formalin. A) Sections of the hippocampus of a rat treated with 4 mg/kg bw/ip of DOM showing cell drop out and neuronal necrosis, particularly within the CA3 regions. H&E. Objective x5. B). Higher magnification of the CA3 region showing pyramidal neurons (Py) with vacuolar cytoplasm (V). Few shrunken neurons (*) and nuclear pyknosis (arrow) are also seen. H&E. Objective x40.
Figure 2.
Brain of a rat after trans-cardiac perfusion with heparinized Tyrode=s solution followed by 10% neutral buffered formalin. A) Sections of the hippocampus of a rat treated with 4 mg/kg bw/ip of DOM showing cell drop out and neuronal necrosis, particularly within the CA3 regions. H&E. Objective x5. B). Higher magnification of the CA3 region showing pyramidal neurons (Py) with vacuolar cytoplasm (V). Few shrunken neurons (*) and nuclear pyknosis (arrow) are also seen. H&E. Objective x40.

Figure 3.
Brain of a rat after trans-cardiac perfusion with heparinized Tyrode=s solution followed by 10% neutral buffered formalin. A) Hippocampus of a control rat. CA3 regions. Chen/Bodian Objective x20. B) Sections of the hippocampus of a rat treated with 4mg/kg bw/ip of DOM, showing-marked drop out of pyramidal neurons in the CA3 region. Chen/Bodian, Objective x20.
Figure 3.
Brain of a rat after trans-cardiac perfusion with heparinized Tyrode=s solution followed by 10% neutral buffered formalin. A) Hippocampus of a control rat. CA3 regions. Chen/Bodian Objective x20. B) Sections of the hippocampus of a rat treated with 4mg/kg bw/ip of DOM, showing-marked drop out of pyramidal neurons in the CA3 region. Chen/Bodian, Objective x20.

Figure 4.
Brain of monkeys (M. fascicularis) after trans-cardiac perfusion with heparinized Tyrode=s solution followed by 10% neutral buffered formalin. A) Section of the CA3 region of the hippocampus of a control animal showing well preserved pyramidal cells (Py). Blood vessels are seen as white spaces with the endothelial cells at the periphery (arrow), H&E Objective x40. B) Sections of the hippocampus of an animal treated with 4 mg/kg bw/ip of DOM showing cell drop out and neuronal necrosis. Most pyramidal neurons appear with vacuolar cytoplasm (V). Some nuclear pyknosis (arrow head) is also seen. H&E, Objective x40.
Figure 4.
Brain of monkeys (M. fascicularis) after trans-cardiac perfusion with heparinized Tyrode=s solution followed by 10% neutral buffered formalin. A) Section of the CA3 region of the hippocampus of a control animal showing well preserved pyramidal cells (Py). Blood vessels are seen as white spaces with the endothelial cells at the periphery (arrow), H&E Objective x40. B) Sections of the hippocampus of an animal treated with 4 mg/kg bw/ip of DOM showing cell drop out and neuronal necrosis. Most pyramidal neurons appear with vacuolar cytoplasm (V). Some nuclear pyknosis (arrow head) is also seen. H&E, Objective x40.

Figure 5.
Brain of monkeys (M. fascicularis) after trans-cardiac perfusion with heparinized Tyrode=s solution followed by 10% neutral buffered formalin. Histological sections were processed for GFAP immunohistochemistry. A) Hippocampus of a control animal showing the granular cell layer (GL) of the dentate gyrus and the CA4 region showing spaced astrocytes labeled by the GFAP-IH. Some immunolabeled astrocytes are clearly identified around blood vessels (arrow), Objective x10. B) Hippocampus of an animal treated with a single IV dose (0.055 mg/kg/bw) of DOM. Animal recovered after the initial symptoms of toxicity which lasted 90 minutes and included vomiting, gagging, lethargy and disorientation. Necropsy was conducted six month after the injection. Sections show marked astrocytosis as revealed by the intensity of the GFAP-IH seen in the CA4 and subgranular zone (arrow); granular cell layer (GL). Objective x20
Figure 5.
Brain of monkeys (M. fascicularis) after trans-cardiac perfusion with heparinized Tyrode=s solution followed by 10% neutral buffered formalin. Histological sections were processed for GFAP immunohistochemistry. A) Hippocampus of a control animal showing the granular cell layer (GL) of the dentate gyrus and the CA4 region showing spaced astrocytes labeled by the GFAP-IH. Some immunolabeled astrocytes are clearly identified around blood vessels (arrow), Objective x10. B) Hippocampus of an animal treated with a single IV dose (0.055 mg/kg/bw) of DOM. Animal recovered after the initial symptoms of toxicity which lasted 90 minutes and included vomiting, gagging, lethargy and disorientation. Necropsy was conducted six month after the injection. Sections show marked astrocytosis as revealed by the intensity of the GFAP-IH seen in the CA4 and subgranular zone (arrow); granular cell layer (GL). Objective x20

Figure 6.
Retina of a monkey (M. fascicularis) fixed by intraocular injection of 10% neutral buffered formalin. Photographs show cross sections of the retina stained with H&E. Picture shows the retina of an animal treated with DOM (4mg/kg/bw ip). Cell loss and necrosis are present in the INL, GCL and to a lesser extent in the ONL. Vacuoles are easily identified in the Ph cell layer, particularly the cones (*) and in the OPL. Cones and rods in the Ph layer are identified (arrows). There is also marked loss of cell bodies in the GCL. From external to internal: the photoreceptor cell layer (Ph); the outer nuclear layer (ONL); the outer plexiform layer (OPL); inner nuclear layer (INL); inner plexiform layer (IPL); ganglion cell layer (GCL). Objective x40.
Figure 6.
Retina of a monkey (M. fascicularis) fixed by intraocular injection of 10% neutral buffered formalin. Photographs show cross sections of the retina stained with H&E. Picture shows the retina of an animal treated with DOM (4mg/kg/bw ip). Cell loss and necrosis are present in the INL, GCL and to a lesser extent in the ONL. Vacuoles are easily identified in the Ph cell layer, particularly the cones (*) and in the OPL. Cones and rods in the Ph layer are identified (arrows). There is also marked loss of cell bodies in the GCL. From external to internal: the photoreceptor cell layer (Ph); the outer nuclear layer (ONL); the outer plexiform layer (OPL); inner nuclear layer (INL); inner plexiform layer (IPL); ganglion cell layer (GCL). Objective x40.

The olfactory bulb, the piriform and entorhinal cortices, the lateral septum, the subiculum, the arcuate nucleus, and several amygdaloid nuclei are commonly affected [48,100,101,103,104]. The retina (Figure 6) and circumventricular organs, particularly the area postrema, have also been described as target sites [101,103,104,109,110]. The circumventricular organs lack BBB. Experiments in rodents and non-human primates indicate that the area postrema is a target for DOM toxicity, suggesting effects on brain stem regions associated with visceral function [101,103,109,110]. The area postrema is located at the base of the IVth ventricle and is implicated in the central control of the vomit reflex. Vomiting was a prominent feature both in humans and non-human primates intoxicated with DOM [4,7,86,87,103]. These emetic effects were observed after oral and parenteral exposure, hence both gastric and central neural control mechanisms appeared to be involved. The area postrema histopathology changes observed in monkeys exposed to DOM may explain the induced emetic response after parenteral administration. Because rodents cannot vomit, this emetic response is not observed, but morphologic changes have been reported in the area postrema [109,110]. Other circumventricular organs were affected in mice treated with various doses of DOM by intraperitoneal injection [110]. These data suggested the circumventricular organs as a potential site of entry of DOM for brain exposure.
A detailed mapping and 3-D reconstruction of DOM –induced neurodegeneration in the mouse brain showed that the affected areas included the olfactory bulb, septal areas and the limbic system [93]. The lesion distribution described in this study is consistent with earlier reports by other investigators. The anatomical extent of brain lesions induced by DOM has also been identified by magnetic resonance imaging microscopy [MRM] in both human [90] and rat [111,112] with similar distribution as that described by histopathology.
Available literature indicates that brain lesions induced by DOM are dose-dependent, acute responses more evident in animals treated by intra-peritoneal [i.p] or intravenous [i.v] injections than in those exposed by oral administration and they differ in species susceptibility [47]. Recent reports support the view that there is a specie specific susceptibility to DOM toxicity [113]. Leopard sharks possess the molecular target for DOM but are resistant to doses of DOM known to be toxic to other vertebrates, suggesting an intrinsic protective mechanism [114].
In the brain, during DOM excitotoxic insults, neurons undergo rapid swelling in both the soma and dendrites [99,102,104,115,116]. Dendrites appear as preferential early targets sites for DOM excitotoxicity as demonstrated by in vitro studies on hippocampal slices [117]. High susceptibility of the dendrites has also been described for glutamate and other EAAs [118].
Glial cells are also known targets for DOM effects. Acute injury of astrocytes characterized by vacuolation and necrosis was observed in toxicology studies using rodents and non-human primates [46,102–104,116,119]. Reactive astrocytosis has been described in experimental animals surviving the acute effect of DOM. This has also been described in humans that died from ASP and in sea lions dying from DOM intoxication [46,91,94,95,98]. These findings are more evident when GFAP immunohistochemistry is used as a biomarker (Figure 5).
As supporting evidence of long term sequels of acute intoxication, some studies have evaluated the brain pathology induced by single dose of DOM several days after its administration to experimental animals [98,120,121]. Ananth et al. [120] report neuronal damage at 1–21 days following the administration of DOM with the most severe damage reported after 5 days. Appel [121] conducted neuropathology assessment in adult rats seven days after the administration of DOM [2.25 mg/kg i.p.] and reported neuronal injury, astrocytosis evidenced by GFAP-immunostain and activation of microglia revealed by GSI-B4 histochemistry. The possibility that DOM may activate microglia has been suggested by several investigators [46,120]. Mayer’s laboratory has further investigated the role of microglia in DOM toxicity using an in vitro model of neonatal rat microglia [122–124]. Their observations do not support the hypothesis that a short term [4 to 24 hrs] in vitro exposure to DOM, at a concentration toxic to neonatal neurons, activates neonatal rat microglia and the concomitant release of pro-inflammatory mediator factors [124].
3.2 Other tissues as targets for DOM toxicity
Acute retina injury in adult animals
Acute studies on rodents and non-human primates showed evidence of retinal injury associated with acute DOM and KA toxicity [100–102,116]. The inner nuclear layer is most often affected, but other layers can also be involved (Figure 6). The characteristics of the cellular lesion are similar to those observed in the hippocampus and are consistent with excitotoxicity. A variety of GluRs and GABA receptor subtypes are found in the retina, providing the molecular target for excitatory neurotransmissions and excitotoxicity [125,126] and for the induction of the retinal injury seen with DOM [127].
Although eyes were not examined in all animals, retinal lesions were noted in sea lions that died of DOM intoxication [94]. The predominant lesion consisted of vacuolation of the ganglion cell layer in contrast to those described in the rat and macaque in which the inner nuclear area and outer plexiform layer were more affected [94,102–104].
Motor sensory abnormalities
Clinical observations consistent with anterior horn cell and dorsal root ganglion pathology or with a diffuse axionopathy in humans [90] have been supported by experimental data [74,128]. Spinal cord lesions characterized by focal hemorrhage, neuronal swelling and neuronal vacuolization were found in 73% of the animals clinically presenting paralysis/tremor in their extremities 1 to 2 hours after DOM injection. These lesions were seen at all spinal cord levels. Neuronal degeneration was mainly found in the ventral and intermediate gray matter, whereas cells in the dorsal portion of the spinal cord were relatively spared [128]. Dorsal root ganglia cells [DRG] were depolarized by KA and DOM [74] supporting the view that ganglia cell are targets for DOM toxicity [129].
Heart and other target sites
Cardiovascular clinical manifestations such as unstable blood pressure and cardiac arrhythmias observed in humans with ASP were suggestive of a cardiotoxicity induced by DOM [4,86,87,90]. Although these symptoms could be associated with effects on the CNS cardiovascular control centers, there is evidence supporting the view of a more direct cardiac effect [130]. These include that the molecular targets for glutaminergic neurotransmission are ubiquitously expressed in heart and other tissues [129,131–133]. Differential distribution of various subtypes of GluRs including AMPA/KA, NMDA and mGluRs have been demonstrated in rat, monkeys, and human hearts [139,131–133,134,135]. In humans AMPA [GluR 2/3]/KA [GluR 5/6/7] and NMDA [R1] subtypes of iGluRs showed differential distribution in the working myocardium, wall of blood vessels, intramural ganglia, and specific components of the conducting system, providing evidence that the molecular targets for excitatory neurotransmission and neurotoxicity of EAAs are present in the human heart. The specific distribution of these receptors varied with the receptor subtype and in contrast to non-human primates, they were also expressed in the working myocardium and the walls of blood vessels. The function of GluRs in heart and other peripheral tissues is starting to be unwrapped. Cumulating evidence suggests mediation of functional and pharmacological effects with similar roles of GluRs in the CNS and other tissues [129,132,133,136,137]. Recent in vitro studies provide evidence suggesting that stimulation of NMDA receptors in the cardiomyocyte may lead to apoptosis via a Ca+2, ROS, and caspase-3 mediated pathway. These findings support the view that NMDA receptors in the heart may play an important role in myocardial pathogenesis [138].
The opinion that DOM is cardiotoxic is supported by the observation that the heart was one of the most affected organs in sea lions that died of DOM intoxication [24]. Lesions were mostly seen in the myocardium and were more frequent in animals that died within 48 hours of stranding. Furthermore, DOM was identified as a risk factor associated with myocarditis and dilated cardiomyopathy in southern sea otters [139].
Evidence suggests that other tissue and organ systems may also be affected by DOM. Mussel extract and DOM produced gastric [antral] ulcers, duodenal ulcers, bleeding and ascites [140]. Gastric bleeding was observed particularly in animals receiving higher doses. Furthermore, the demonstration of GluRs in the ganglia and other structures of the GI tract provide evidence for the molecular target for DOM toxicity in these tissues [132].
Serum thyroid hormones [T4 and T3] and TSH are altered by several EAAs including KA and DOM, suggesting that these compounds can modulate the regulation of hormone secretion from the pituitary-thyroid axis [141,142]. The concept of neuroendocrine perturbation by EEAs has been pointed out in the past [143–144] and deserves further considerations in light of new evidence that DOM crosses the placenta and can be detected in milk, opening the both the possibility of a risk of fetal and neonatal exposure [28,40,44,45], and of endocrine disruption effect, which could manifest later in life.
4. Toxicological Pathology of Repeated Exposure to Domoic Acid
There are numerous reports in the literature on the acute effects of DOM at doses inducing clinical symptoms, but less is known about the long term effects of repeated exposure at doses below those inducing overt clinical symptoms [81,145–147]. Furthermore, most studies have used intra-peritoneal, intravenous or subcutaneous routes of administration. Only two studies are available in the literature using the oral route to investigate the toxic effects of repeated doses of DOM, one in monkeys and the other in rats [81,147]. DOM was orally administered to 3 cynomolgus monkeys at doses of 0.5 mg/kg for 15 days and then at 0.75 mg/kg for another 15 days. No toxic effects were observed in any of the parameters evaluated including histopathology of brain and retina using light microscopy [147]. Similarly, sub chronic (64 days) oral administration (gavage) of DOM (0, 0.1 or 5 mg/kg/day) to adult rats did not induce clinical or histopathology changes as assessed by light microscopy [81]. However, electron microscopy [82,83] revealed morphologic changes in the hippocampus of animals treated with the high dose (5mg/kg/day). This dose was equivalent to the estimated maximum dose of human exposure during the ASP incident and was approximately seven times (5mg/kg) less than that required to cause overt clinical signs in the rat [6,81]. Despite this dose being insufficient to produce seizure or any clinical signs of neurotoxicity, it did induce morphologic changes, predominately in the CA3 region of the hippocampus, including: cytoplasmic vacuolization of neurons and astrocytes, as well as injury to the mitochondria in the pyramidal cells. The abnormalities in one of the four animals in the high dose group were more severe than those observed in the other three. No changes were observed in the low dose (0.1 mg/kg/day) group. The 0.1 mg/kg dose was approximately equivalent to that resulting from a 50 kg person consuming one 250 grams portion of mussel meat containing the current maximum residual limit [MRL] of 20 μg/g. The lack of observed effects at this dose supports the MRL of 20 μg/g DOM/gr shellfish meat [23]. However, further investigations are required to assess long term effects of oral exposure to low doses of DOM for risk assessment of chronic exposure at doses below the current MRL [23], particularly gestational and post-natal exposure, as there is evidence of higher susceptibility of the developing brain to DOM toxicity.
Figure 7 illustrates [82,83] the electron microscopy findings observed in the CA3 region of the hippocampus of the rats in the high dose group [DOM 5 mg/kg/day]. Here, well preserved neurons and astrocytes are seen intermingled with injured cells. Dilatation of the dendrites, vacuoles in the cytoplasm and neuropil, and degenerative changes of the organelles, particularly the mitochondria were the main features observed in the CA3 region of the hippocampus as compared to controls (Figure 7). Dilated processes which were post synaptic to axon terminals and showed dendritic spines were identified as dendrite while others which lacked synaptic contact were presumed to be astrocytes (Figure 7 C to F). Features, including cell swelling, dilatation of dendrites and vacuoles in the cytoplasm, although less severe, were comparable to those previously described in response to acute single exposures [99,104,106,116]. The reason for these similarities after acute and sub chronic exposure is not known.
Figure 7.
Brain of rats after trans-cardiac perfusion with heparinized Tyrode=s solution followed by a fixative containing 2% glutaraldehyde and 2% paraformaldehyde in Tyrode=s solution. Samples selected from the CA3 region were processed for electron microscopy (EM). A) CA3 region of the hippocampus of a control rat showing a cluster of pyramidal cells with good preservation and integrity of cell membranes and organelles. The nucleus (N) and nucleolus (ncl) are easily identified. A well preserved electro dense dendritic spine is depicted (arrow). Scale Bar = x2.5μm; B) CA3 region of the hippocampus of a rat treated by gavage with 5.0 mg/kg/day of DOM for 64 days [81]. Image shows a pyramidal cell with easily identifiable nucleus (N), the cytoplasm and surrounding neuropil with numerous vacuoles (V) of various sizes giving a >Swiss cheese’ effect. The neuropil refers to intricate interwoven cell processes including: glial processes, synaptic terminals, axons, and dendrites that are interspersed among the nerve cells in the gray matter of the CNS. Scale Bar = x2.5μm; C) CA3 region of the hippocampus of a control rat showing good preservation and integrity of the neuropil. Mitochondria (M), synaptic spines (arrow) and dendrites (D) are identified. Scale Bar = x1.1μm; D) CA3 region of the hippocampus of a rat treated by gavage with 5.0 mg/kg/day of DOM for 64 days. Vacuoles (V) and the ‘Swiss cheese’ effect are more apparent at this magnification. Some remaining dendritic spines (arrow) can still be identified. There is increased electron density of the mitochondria (M) with loss organization of the cristae. Scale Bar = x1.1μm; E) High magnification of the CA3 region of the hippocampus of a control rat showing good preservation and structural integrity. An electro dense dendritic spine (arrow), terminal axon (At), dendrite and mitochondria (M) are identified. Scale Bar = x 0.6μm; F). High magnification of the CA3 region of the hippocampus of a rat treated by gavage with 5.0 mg/kg/day of DOM for 64 days showing loss of structural integrity and marked vacuolar (V) dilatation of dendrites. Scale Bar = x 0.6μm
Scattered throughout pyramidal neurons in the CA3 region were mitochondria with an increased density of the matrix and disarranged cristae. Electron microscopy studies using murine cortical culture demonstrated that rapid EEAs injury leads to swelling of mitochondria typical of excitotoxic cell necrosis, but prolonged exposure to low concentrations of EEAs (AMPA or KA) leads to less typical changes with relative spearing of the mitochondria until late in the injury [148]. Hence, the mitochondrial changes in our study (Figure 7D) suggest delayed injury and support the view of mitochondrial dysfunction in response to excitotoxicity [149]. Recent studies using neuronal cell culture provide evidence that the very early neuronal response to excitotoxicity (mitochondrial dysfunction and dendritic beading) are linked, and recovery of dendrites is dependent on the degree of mitochondrial dysfunction [150]. It is then feasible that this interplay between mitochondrial function, spine remodeling and dedritic beading persists after repeated excitotoxic insults. Hence, further investigations on long term oral DOM exposure time line and recovery are needed to elucidate the sequence of events, the possible point of return whereby cells may be able to recover. Microvacuolation and degenerative changes were also observed in the astocytes [82,83,151] and these changes are discussed in other publications [151].
There are many limitations in the assessment of long term effects of DOM. These include limited experimental data on repeated oral exposure to low doses of DOM, a wide species difference in susceptibility to DOM toxicity [21,28,94,114,152], age and sex differences in susceptibility, and differences in comparative development of the central nervous system among species. Nonetheless, data arising from sea lions dying of DOM intoxication provides an excellent account of the long term effects of DOM [28,94]. Neuropathology of sea lions dying of DOM intoxication reports gross hippocampal atrophy with relative enlargement of the inferior horn of the lateral ventricle presented in three animals dying 1 month, 5 months, and 10 months after stranding. Hippocampal and amygdala lesions were noted in four individuals dying between 9 and 98 days after intoxication. Positron emission tomography demonstrated decreased glucose metabolism in the mesial temporal lobes of surviving individuals. Neuronal dropout with hippocampal atrophy and marked gliosis were present in many of the animals. Prominent neocapillarization is described in affected neuropil. More recent reports provide additional evidence of the long term harmful effects of DOM exposure of sea lions in their natural habitat [28]. Clinical signs associated to chronic sub lethal exposure included seizures, marked lethargy, inappetence, vomiting, muscular twitching, central blindness blepharospasm and abnormal behaviour. Histological examination of the chronic neurological cases that died showed chronic lesions in the hippocampus and parahippocampal gyrus, manifested as atrophy of the parenchyma due to severe neuronal loss, marked astrocytosis and oligodendrogliosis. The regions more often and more severely affected were the dentate gyrus and the CA3 region of the hippocampus, but other regions were also affected. The consistent involvement of the dentate gyrus has previously been described [94] as a prominent feature in these animals [28,94] as compared to experimental animals. These chronic neuropathology lesions were interpreted as likely due to a combination of DOM exposure and the effect of ongoing seizure activity. A key observation is that these chronic effects were more often see in juvenile animals of both sexes as compared to adult females animals that often present with acute toxicosis, supporting the view of higher susceptibility of the developing brain to DOM exposure.
5. Age and gender susceptibility to DOM exposure
During the ASP incident of 1987, epileptogenic effects and lasting neurological deficits were seen primarily in older patients, suggesting a heightened susceptibility to DOM toxicity in the elderly. Males also appeared to be more susceptible. It was not clear whether heightened vulnerability arose from an age-related alteration in neuronal response to the toxin, from alterations in the pharmacokinetics of the toxin [e.g. impaired clearance due to age or pre-existing disease] or from a combination of these factors. Alterations in the pharmacokinetics of DOM, as a function of age, have not been systematically investigated to date. However, it is known that DOM is very hydrophilic and consequently exhibits relatively poor blood-brain barrier permeability [51]. It has also been established that DOM is cleared almost exclusively by the kidney [57]. Both blood-brain barrier integrity and renal function are known to be impaired in very young and very old animals relative to normal adults. This view is supported by in vitro studies demonstrating an age dependent susceptibility to DOM and KA excitoxicity, demonstrating also induced tolerance in the young, but not in the old animals [153,154].
Gender differences and increased susceptibility to DOM toxicity of the developing brain has been demonstrated using rodent model, and exposure during pre-natal and early post-natal development [37,38,40–42,55,61,155]. Sub-convulsive behavioral abnormal responses were observed in neonatal rats administered daily subcutaneous injections of low doses of DOM [5 and 20 μg/kg], or pharmacologically equivalent doses of KA [25 and 100 μg/kg] from PND 8–14 [155]. Furthermore, daily perinatal administration of low sub-convulsive doses of DOM [0.020 mg/kg DOM s.c.] induced a “seizure-like” syndrome in adulthood, manifested when animals were exposed to novel environments [41]. These rats displayed permanent changes in hippocampal morphology including altered synaptic connectivity and cell loss. More recently the same group demonstrated that a low dose of DOM administered parenterally to neonatal rats produced cytoarchitectural changes indicative of abnormal development and/or synaptic plasticity. These changes are progressive with age and show regional variation within the hippocampal formation. The morphological changes assessed at 90 days after treatment consisted of mossy fibers sprouting and associated changes in the trkB receptor population in young adults with regional variation throughout the septo-temporal axis of the hippocampus [37]. These findings raise concern regarding possible increase in the risk of log term effects if DOM exposure occurs during pregnancy and lactation, particularly since it has been demonstrated that DOM crosses the placenta and can be detected in milk [28,40,44,45]. However, supporting evidence for developmental neurotoxicity of DOM comes from studies conducted either in vitro or in animals exposed by parenteral routes, or from findings described in sea lions continually exposed to high doses of DOM. Hence, it remains to be elucidated that the effects of chronic exposure to DOM during gestation or through lactation at doses below or equivalent to the maximal residual limit of 20 μg/g, would not induce clinical or morphologic changes in adult rats [31] (section 3).
6. Key mechanisms of cell/tissue injury in relation to domoic acid induced brain pathology
Current evidence on DOM induced neurotoxicity supports the view that the main cause of neurotoxicity is the activation of GluRs and the release of endogenous glutamate leading to a cascade of events mediating cell and tissue injury (Figure 8). The mechanistic profile proposed for DOM tissues/cell injury is known to share similarities with that of brain ischemia, brain trauma and other excitotoxins, suggesting a common pathway for tissue injury and response in the CNS and in peripheral tissues [129,132,156–158]. Today we witness great advances in our understanding of glutamate neurotransmission, mechanisms involved in excitotoxicity, and their role on the pathology and treatment of a variety of diseases, including multiple sclerosis, stroke, chronic degenerative neurologic disease and epilepsy [157,159–172]. However it is beyond the scope of this publication to review the vast collection of scientific literature currently available on these subjects. Here we provide an overview of those aspects more directly relevant to DOM induced pathology (Figure 8).
Figure 8.
. Illustration of the key proposed mechanisms of tissue cell injury induced by DOM with photographs of target sites. The diagram shows the interaction between the presynaptic and the postsynaptic terminal. Glutamate receptors in target tissues such as the hippocampus are activated by EEAs such as DOM, which at the same time induces the release of glutamate. The figure shows vesicular release of glutamate into the synaptic space, activation of the post synaptic receptor systems, re-uptake into the pre synaptic terminal, and surrounding glia cells (astrocytes). DOM and glutamate activate the various glutamate receptors present in the postsynaptic membrane, inducing cellular injury through a common injury pathway, a process known as excitotoxicity. This process can be separated into several overlapping components:1)The iGluRs are ion-gated channels selective to Na+, K+ and Ca+2 and any sustained stimulation of these receptors may results in osmotic tissue damage. Hence, neuronal cell swelling reflects the influx of extra cellular Na+, Cl− and water. Focal swellings along the dendrites called varicosities are early structural changes and are viewed as a hallmark of excitotoxic neuronal injury. 2) Activation of iGluRs triggers the influx of Ca+2 from the extra cellular environment to the synaptic cleft. This stage is marked by delayed cell degeneration. The accumulation of Ca+2 is the crucial determinant of injury. This elevation of Ca+2 triggers the activation of several enzymes: calmodulin (CAM), protein kinase (PKC), nitric oxide synthase (NO synthase), phospholipase A2 (PLA2) and reactive oxygen species (ROS). Evidence indicates that the mitochondrion plays a central role in the processes of excitotoxic neuronal cell degeneration with a web of interactions between Ca+2 homeostasis, ATP production, and the generation and detoxification of ROS. 3) GluRs are found localized at the synapse within electron dense structures known as postsynaptic density (PSD), mediating the binding of GluRs to sub membrane proteins such as actin and PDZ containing proteins. These proteins mediate protein-protein interactions. GluRs PDZ-containing proteins bind to numerous signal molecules including nitric oxide synthase, providing a mechanism for clustering GluRs with the corresponding signalling transduction protein. These GluRs associated proteins and excitotoxic signalling result in a free radical cascade and activation of enzymatic processes causing extensive damage of cell structures and ultimate cell death. 4) Astrocytes, as do neurons, express GluRs providing the binding effectors site for DOM and show degenerative structural changes in response to DOM exposure. Failure of astrocytes to remove extra cellular glutamate is one of the key compounding mechanisms implicated in DOM neurotoxicity. (Diagram - modified from Gill and Pulido [131])
6.1 Glutamate receptors [GluRs]
Glutamate is a major excitatory neurotransmitter in the brain, acting through the glutamate receptor [GluRs] family. Olney [173], was the first to recognize that the ubiquitous neurotransmitter glutamate, when present in excess, has the potential for excitotoxicity. Subsequently several investigators have brought attention to the potential health risks of excitatory compounds when present in food [129,132,173–180]. DOM is one of the most potent excitatory compounds that could be found in food and is of concern for food safety. DOM is similar in structure and function to kainic acid [KA], which is found in the red macroalga Digenea simplex. Both DOM and KA are structurally similar to glutamate which allows them to bind to the same receptors and induce neuroexcitatory and neurotoxic effects [63,76,155,173,181–183].
Two classes of GluRs have been characterized in the CNS: ionotropic [iGluRs] and metabotropic [mGluRs]. Their cloning has revealed the molecular diversity of the gene families encoding various receptor types which are responsible for the pharmacological and functional heterogeneity in the brain184–190. The iGluR family is classified into three major subtypes according to their sequence similarities, their electrophysiological properties and their affinity to selective agonists: N-methyl-D-aspartate [NMDA], alpha-amino-3-hydroxy-5-methyl-4-isoxazole propionic acid [AMPA] and KA receptors, each with several encoding gene families. The AMPA family is composed of GluR 1–4; the KA family includes GluR 5–7 and Ka 1–2; NMDA includes NMDAR 1 and NMDAR 2A–D [186,189].
Postsynaptic AMPA receptors are believed to mediate rapid glutaminergic neurotransmission with low Ca2+ permeability. AMPA receptors are invariably co-localised with NMDA receptors indicating a close functional relationship between the two ligand-gated cation channel-bearing receptors. AMPA activation causes cellular depolarisation and NMDA channel opening with Ca2+ influx. KA receptors are closely related to AMPA receptors and are involved in both pre- and post-synaptic neurotransmission [189,191]. Glutamate receptors are targeted and anchored at excitatory synapses through a network of scaffolding proteins. These proteins are concentrated at the tip of the post-synaptic dendritic spine in a region termed the post-synaptic density [PSD]. The PSD is estimated to contain more than 200 synaptic proteins that have a myriad of functions [192].
Much evidence supports the view that DOM and KA are excitotoxic and their toxic effect is mediated through the activation of iGluRs with the participation and co-activation of AMPA/KA and NMDA receptor subtypes [46,48,61,63,67,79,80,181,193–197]. These receptors are ligand-gated ion channels that are activated by glutamate and its agonists, mediating a fast excitatory synaptic transmission. Evidence indicates that DOM binds to KA subtypes of iGluRs with high affinity, but is a partial agonist [48]. In addition to this high affinity for these receptors, DOM efficacy is the result of non-desensitization of the channel [48]. The current view is that DOM excitotoxicity is reached from an integrative action at both sides of the synapse leading to depolarization and release of glutamate into the synapse. Activation of KA receptors leads to the release of glutamate and in turn activation of NMDA receptors. Persistent activation of KA receptors results in elevated levels of intracellular calcium [Ca+2] through the co-operative interactions with NMDA and non-NMDA glutamate subtypes and voltage-dependent Ca+2 channels [187,189,194,198]. The high concentration of iGluRs in the hippocampus and other brain regions provides the substrate for the selective cellular and structural excitotoxicity damage observed with DOM toxicity, leading to seizure and cognitive dysfunction. The demonstration that GluRs are targeted and anchored at excitatory synapses through a network of scaffolding proteins concentrated at the tip of the post-synaptic dendritic spine region [192], and that the dendrite has been identified as a preferential target for DOM toxicity opens the possibility that these proteins may also be involved in DOM cell injury.
Toxicologic pathology versus proposed mechanisms of cell/tissue injury
The histopathology of acute DOM toxicity viewed in Figures 2–5 resemble those reported with KA and are considered characteristic of excitotoxicity [83,104,106,173,175,179,199–203]. Excitotoxicity refers to the ability of glutamate and related EAAs to mediate the death of central neurons under certain conditions such as intense exposure[79,80,173,204–205]. The GluRs are known to act as mediators of inflammation and cellular injury through a common injury pathway. Cell injury associated to excitotoxicity can be separated into several overlapping components [46,157,206,207] and can be modified by many factors.
- The first component is associated to tissue swelling. The iGluRs are ion-gated channels selective to Na+, K+ and Ca+2 and any sustained stimulation of the iGluRs may results in osmotic tissue damage. Hence, neuronal cell swelling reflects the influx of extra cellular Na+, Cl− , water and cell volume expansion. These changes are best observed in vitro, as the open architecture of cell culture may permit exaggeration of cell volume expansion 206. Although associated with abnormalities in membrane permeability the cells may be able to recover at this stage. Focal swellings along the dendrites called varicosities are early structural changes and are viewed as a hallmark of excitotoxic neuronal injury. The formation and resolution of excitotoxic varicosities has been linked to changes in the neuronal anion flux.
- A second component is associated with increased intracellular Ca+2 concentration [187,194,206–209].This component is marked by delayed cell degeneration and complex inter-playing mechanisms. A key triggering factor is that glutamate and/or EEAs analogs open the voltage-dependent Ca+2 channels through activation and co-operative interactions of NMDA and non-NMDA GluRs subtypes leading to excessive Ca+2 influx [157,187,194,206–209]. This excess of Ca+2 is highly toxic for the cells and triggers the activation of several enzyme pathways and signalling cascades including: damage of oxidative phosphorylation lowering function and energy production by the mitochondria, the activation of phospholipases, protein kinase C, proteases, protein phosphatases, nitric acid synthases and the generation of free radicals [120,193,194,210–213]. The brain is particularly sensitive to the action of free radicals because it lacks normal scavengers and contains a large quantity of iron, an important coenzyme in this reaction. The free radicals act in the membrane phospholipid, breaking the membranes and destroying the cell.Activation of phospholipases contributes to the destruction of neuronal membranes and brain vascular endothelium, through enzymatic lipid peroxidation and activation of the arachidonic cascade with a final production of prostaglandins (thromboxane A2 and prostacyclin) and leucotriens. Upon the activation of phospholipase A2, arachidonic acid with its metabolites and platelet-activating factors are generated. Platelet-activating factors increase the neuronal Ca+2 levels by stimulating the release of Glu. Arachidonic acid potentiates NMDA- evoked currents and inhibits the re-absorption of Glu into astrocytes and neurons. This is exacerbated by a positive feedback mechanism whereby free radicals are formed during arachidonic acid metabolism leading to further phospholipase A2 activation. This results in an increased concentration of extracellular glutamate which contributes to a sustained activation of the GluRs [157,187,206,207,214]. Cysteine transport is also inhibited causing a decrease of intracellular reducing sulphydryls and the generation of oxygen radicals leading to cell death.Excess Ca2+ stimulates nitric oxide synthase (NOS) and consequently increases the nitric oxide (NO) concentration. Over/production of NO from excessive or inappropriate stimulation of NOS seems to mediate a major component of excitotoxicity damage. Increased concentration of Ca+2 raises NO via the calmodulin activation of nitric oxide synthetases which generates oxygen radicals. Activation of proteases leads to the production of free radicals [138,157,187,206,207,214].The excess of intracellular Ca+2 also induces the activation protein kinase C (PKC) and its translocation from the cytoplasm to the membrane. This leads to the phosphorylation of the membrane proteins via PKC promoting destabilization of Ca+2 homeostasis, mediates the extrusion of Ca2+ and an increase of the post synaptic sensibility to glutamate [138,157,187,206,207,214].Evidence indicates that the mitochondrion plays a central role in the processes of excitotoxic neuronal cell degeneration with a web of interactions between Ca2+ homeostasis, and ATP production, the generation and detoxification of reactive oxygen species [215–218]. It is now believed that disturbed Ca+2 and Na+ ionic homeostasis are key in excitotoxic cell death. The actual death blow initiated by irreversible failure of cytoplasmic Ca+2 homeostasis is referred as delayed Ca+2 deregulation. The morphological counterpart of this death cell blow is portrayed in Figure 3 as cell drop out. The structural mitochondrial changes observed by electron microscopy (Figure 4) support the view of mitochondrial dysfunction in response to DOM toxicity.In addition to enzymes of the cell cytosol, the nuclear enzymes are also activated by increase of Ca+2. For example, Ca+2 may activate endonucleases that result in condensation of nuclear chromatin and eventually DNA fragmentation and nuclear breakdown, a process known as apoptosis. Free radicals also contribute to DNA fragmentation. DOM can induce some changes consistent with cell apoptosis [120,219,220]. There is an overall agreement that the neuronal degeneration associated with DOM toxicity is mostly necrotic and is dose dependent [46,83,92,94,97,98,100–104,106,108,116,219]. Recent studies [219] demonstrate that exposure of mouse cerebellar granular neurons [CGNs] to DOM induced cell death, either by apoptosis or by necrosis, depends on its concentration. Necrotic damage predominated in response to DOM above 0.1 μM. In contrast, cell death by apoptosis was evident after exposure to lower concentrations of DOM [≤ 0.1 μM]. The AMPA/KA receptor antagonist NBQX, but not the NMDA receptor antagonist MK-801, prevented DOM-induced apoptosis. Oxidative stress is involved in the apoptotic neuronal cell death associated with low concentration DOM exposure.
- Other messenger pathways appear to be involved in excitoxicity induced cell and tissue injury [221]. GluRs are found localized at the synapse within electron dense structures known as postsynaptic density (PSD]. Localization at the PSD is mediated by binding of GluRs to submembrane proteins such as actin and PDZ containing protein. PDZ-containing proteins mediate the clustering of receptors and signaling molecules and thereby regulate agonist-induced signal transduction in polarized cells such as neurons. These proteins mediate protein-protein interactions [192,221]. GluRs (PDZ-containing proteins) bind with numerous signal molecules including nitric oxide synthase, providing a mechanism for clustering GluRs with the corresponding signaling transduction protein. GluRs associated proteins and excitotoxic signaling result in a free radical cascade and activation of enzymatic processes causing extensive damage of cell structures and ultimate cell death [221]. The structural cell injury illustrated in Figure 7 is consistent with these proposed mechanisms. Hence the changes observed at the synaptic site, may represent the morphological counterpart of altered molecular pathways at the level of the synapse.
- Astrocytes, as do neurons, express GluRs providing the binding effectors site for DOM and show degenerative structural changes in response to DOM exposure [119,151]. Failure of astrocytes to remove extracellular glutamate is one of the key compounding mechanisms implicated in DOM neurotoxicity [119]. DOM decreased glutamate uptake in rat astrocytes in vitro, suggesting that disruption of astrocytic neuroprotective mechanisms and failure of astrocytes to remove excess glutamate at the synaptic site contribute to the excitotoxicity of DOM. In addition, Mayer et al. [124], showed that DOM, at in vitro concentrations that are toxic to neuronal cells, can trigger brain microglia to release statistically significant amounts of tumor necrosis factor [TNF]-alpha and matrix metalloproteinase 9 [MMP-9]. Furthermore, endothelial PGE2 appears to be activated under pathological conditions promoting Ca dependent glutamate release from astrocytes, which in turn affects the neurons [222]. Astrocytes as neurons have shown regional preferential susceptibility to DOM, when assessed using primary astrocyte cell culture [151]. This correlates with the regional distribution of DOM brain injury.
- Many factors have been reported to potentiate or inhibit the excitotoxic effects of DOM. Neuronal inhibition is of paramount importance in maintaining the delicate and dynamic balance between excitatory and inhibitory influences in the CNS. GABA [gamma-aminobutyric acid], the primary inhibitory neurotransmitter in brain, exerts its fast inhibitory effects through GABA receptors [223], hence it is neuroprotective. On the other hand inhibition of GABA has been implicated in DOM induced neurotoxicity [224]. Benzodiazepines appear to selectively suppress the neuronal activation induced by KA, suggesting that a rapid treatment with high doses of benzodiazepines could possibly prevent irreversible hippocampal damage [182]. During the human intoxication of 1987, some patients had seizures that were relatively resistant to DilantinR medication, requiring high doses of intravenous benzodiazepine and phenobarbital for control [87,90].
The pineal hormone melatonin appears to be neuroprotective and attenuates the excitotoxic effect of DOM and KA [225,226]. The pineal gland produces melatonin under the control of the central clock, the suprachiasmatic nucleus [SCN] [227,228]. Melatonin plays an important role in the regulation of circadian rhythms, and also acts as antioxidant and neuroprotector which may be of importance in aging [227,228]. A decreased production of melatonin with age is well documented; hence it is feasible that this functional decline plays a role in the increased susceptibility to DOM toxicity associated with old age.
Other factors that may also influence the excitotoxicity effects of DOM includes the basic fibroblast growth factor (bFGF), the neurotrophin NT3 and the H1 receptor antagonist terfenadine [229–232]. Basic fibroblast growth factor (bFGF) showed in vitro neuroprotective effect from excitatory amino acids, while increasing the formation of cGMP evoked by DOM via AMPA/KA receptors [232]. This neuroprotection following bFGF treatment may be associated to the modulation of neurochemical pathways dependent upon extracellular calcium influx. On the other hand a significantly increases DOM toxicity was associated with the neurotrophin NT3 and the H1 receptor antagonist terfenadine in vitro exposure [230, 232].
7. Discussion and conclusions
Seafood is a major internationally traded commodity that can be associated with food-borne illnesses, including intoxications, allergies and infections [233]. Marine biotoxins are of interest to the seafood industry, government regulators and health care practitioners as these naturally produced toxins can enter the food chain and induce illnesses. DOM is among the marine biotoxins of interest to public health world wide. The following are some conclusion highlights.
The human poisoning episode of 1987 provided the basis for the establishment of the maximum residual limit [MRL] of 20μg DOM/g [20mg/kg] shellfish meat [flesh] on the basis of 250 gr/shellfish meat for a person weight of 60 kg placed in effect in Canada. Subsequent toxicological studies in experimental animals support this safety limit. At present this level is also used by other countries and is considered as the standard international regulatory level [23].
The Joint FAO/WHO/IOC ad hoc Expert Consultation on Biotoxins in Molluscan Bivalves performed risk assessments for a number of biotoxins present in bivalve mollusks including DOM toxin groups [23,49]. The experts agreed that the derived provisional acute reference dose [RfDs] for DOM toxin, based on an adult body weight of 60kg was 100 μg/kg BW [23,49]. They also agreed that for chronic effects, the available toxicity data was not sufficient to support the derivation of a chronic tolerable daily intake [TDI]. From this risk assessment it was also concluded that pregnant women, infants and children, people with pre-morbid pathology and elderly adults [> 65 years of age] may be more susceptible to the effect of DOM [23,49].
Pre-morbid pathology, including renal clearance capacity, cardio-vascular status and gastrointestinal absorption were among the factors associated with increased severity of the illness in humans intoxicated with DOM [4,7,57,85–87]. DOM appears to be rapidly cleared from the systemic circulation by renal excretion [57]. Further, DOM poorly penetrates the intact BBB in rodents [51]. This indicates that conditions of impaired renal function or compromised BBB integrity confer additional risk.
Data from cases of human intoxication indicate that the elderly are more susceptible to DOM toxicity [4,7,57,85–87]. There is considerable experimental evidence of persisting behavioral and morphological effects after early postnatal exposure to doses of DOM below those considered toxic in adult animals [37,38,40–42,61,155]. These data support the view of a higher susceptibility of the developing brain. However, in these studies DOM was delivered through parenteral routes. DOM toxicity is mitigated by its poor absorption through the GI tract. In the Truelove et al. [81] study the low dose [0.1 mg/kg] was approximately equivalent to the dose that would result from a 50 kg person consuming a 250-g portion of mussel meat containing the present limit of 20mg/kg [20μg /g] DOM. The high dose [5 mg/kg] was equivalent to the estimated maximum dose received during the Canadian ASP incident of 1987 and was approximately 1/7th that required to cause overt clinical signs in the rat [6]. In this study all parameters tested remained unaltered, except for some ultrastructural changes in the CA3 region of the hippocampus in the high dose group [81–83]. The concentration of DOM in serum and in 24 urine samples from the low dose [0.1 mg/kg] group were below the detection limits of the method [150ng/ml]. The daily amount excreted in the urine was considered an estimate of the amount absorbed, as there was no evidence of significant metabolic changes or accumulation [81]. The lack of absorption from the GI tract was considered as a significant factor in preventing toxicity.
A recent study provides evidence that DOM is transferable in the milk of lactating rats [45]. The authors show transfer of DOM from spiked milk [0.3 and 1.0 mg/kg] to the plasma of nursing neonatal rats with an overall longer DOM retention in milk than in plasma after 8 hr exposure of the dams. DOM acid was detectable in milk up to 24 hr after exposure [1.0 mg/kg] of the mothers, although the amount of DOM transferred in milk after exposure was not sufficient to cause acute symptoms in neonates. This study indicates that an experimental acute DOM exposure event in neonatal rats at the doses tested was insufficient to cause any acute observable effects in neonates. It was calculated that the amount of DOM a neonate may be exposed to following a single feeding [60 ng/kg] from a dam receiving 1.0 mg/kg is about 1/4000th of an oral dose causing observable symptoms in neonates. This study is consistent with the view that DOM is poorly absorbed by the GI tract. Although the study shows no effect at the calculated exposure dose of 60 ng/kg, it does not preclude that higher doses may have an effect. Furthermore, the fact that DOM is transferred to milk opens the possibility of a risk for neonatal exposure by this route.
There is also evidence suggesting that factors such as nutritional status, physical activity, sleep and pineal function may also influence the susceptibility to DOM toxicity.
The available data base indicates that the acute excitotoxic, epileptogenic and neurobehavioral effects of DOM have been the most studied. There is agreement that DOM induces a dose dependent acute neurotoxicity characterized by a constellation of neurobehavioral signs, ranging from disorientation to seizure, coma and death. Histopathology hallmarks of acute excitotoxicity have a specific anatomical distribution. The hippocampus and other structures within the limbic system appear as preferential targets and the lesion involves neurons and glia cells. In the neurons a preferential dendritic effect has been described. The long term effect in humans and animals surviving the acute episode includes memory and learning impairments. Hippocampal gliosis is the histopathology counterpart for the long term sequel.
A 3-D mapping of the mouse brain injury and data using magnetic resonance imaging, electroencephalography and markers of neural injury support the findings of preferential regional distribution of DOM toxicity as identified by histopathology in other studies [93,112].
A great body of knowledge has been acquired on the mechanisms involved in DOM excitatory neurotoxicity and neuroprotection [Section 5]. Several mechanisms have been implicated as mediators for the effects of DOM. Of particular importance is the role played by GluRs as mediators of excitatory neurotransmission, the modulation of GABA inhibitory neurotransmission, the concomitant excess release of glutamate at the synaptic site, the activation or deactivation of protective mechanisms and the involvement of cells and structures such as astrocytes, the BBB and the circumventricular organs. These data reveal a complex interplay of cellular, molecular and electrophysiological mechanisms that are at least in part dependent on the anatomical region, dose, age, gender and specie. In addition, the use of DOM as a research tool has resulted in great advances in the understanding of conditions such as epilepsy.
From this review several gaps were identified that will need further investigation and that are relevant to health risk assessment of DOM and other excitatory amino acids in food. These include: 1) Developmental gestational neurotoxicology effects of chronic/subchronic oral exposure to low doses of DOM, using as reference dose those equivalent to the current MRL. 2) Time points and recovery times to further assess long term effects. 3) Risk of DOM exposure through milk. 4) Developmental neurotoxicology effects of oral exposure to mixtures of EEAs in foods. 5) Based on the current knowledge of GluRs in peripheral tissues and on the view of a common pathway for cell and tissue injury further investigations are needed on the effect of DOM in other tissues such as heart, the immune system, neuroendocrine system and the gastro-intestinal tract.
Acknowledgements
I would like to acknowledge the contribution made by all of those that participated during the Canadian poisoning event in 1987, in particular Frank Iverson, Leander Tryphonas and John Truelove whose work provided the bases for the toxicologic pathology of DOM. Tissues used in the preparation of histological slides and illustrations were obtained from our archives, from studies lead by these investigators. I would like to thank the Pathology Section, Toxicology Research Division at Health Canada for the technical support in the recompilation of archival material. Special thanks to Peter Smyth, Ian Greer and M. Bujaki for the excellent technical assistance in the preparation of histological slides used for the illustrations. Photographs were prepared by the author for the purpose of this publication. Thanks to Michael Barker, Paul Rowsell, Marion Zarkadas and Frank Geraghty for the reading of this document. I also acknowledge the contribution of Andrew Tasker and Tine Kuiper-Goodman in the preparation of the background document used for the toxicology assessment of DOM during the FAO/IOC/WHO ad hoc Expert Consultation on Biotoxins in Bivalve Molluscs, Oslo, Norway, 2004.
Annexes
Technical Notes
1. Anatomical reference for the hippocampus
The term hippocampal formation comprises the dentate gyrus; the hippocampus (or hippocampus proper); subiculum; presubiculum and entorhinal cortex. For the hippocampus proper the principal cellular layer is formed by a row of densely packed pyramidal cells (Py) also known as the Ammon’s horn. The layer of pyramidal cells appears as a curved line, the cornus ammonis (CA), which is divided into subfields: CA1, CA2, and CA3. The terminal portion of the CA3 inserts within the V formed by the limbs of the dentate gyrus (DG). CA2 is a small area between CA3 and CA1.The dentate gyrus (DG) is a cytoarchitectonic region within the hippocampal formation and includes the granule cell layer (GL), the molecular layer (ML) and the CA4, also known as polymorphic cell layer (PoDG) or hilus. The granular cell layer is primarily densely packed columnar stacks of granular cells that with the molecular layer forms a V or U- shaped structure that encloses the CA4. [107].
2. Anatomical reference for the retina
The cellular organization of all vertebrate retinas follows the same basic plan: two synaptic layers (outer and inner plexifom layers) are intercalated between three cellular layers (outer and inner nuclear layers and ganglion cell layer). Light, entering the eye, passes through the retina and is captured by the photoreceptor cells. The cell body (perikarya) of the photoreceptors are located in the outer nuclear layer, whereas the cell bodies for the other retinal neurons (horizontal cells, bipolar cells, amacrine and interplexiform cells) are in the inner nuclear layer. The perikarya of the ganglion cells make up the ganglion cell layer [234].
3. Immunohistochemistry (IH) method [235]
a. Microwave antigen recovery method
Paraffin embedded sections (5–6 μ thickness) are mounted on charged slides (Surgipath, Winnipeg). Sections are deparaffinized and passed through a series of 100% ethanol. Endogenous peroxidase sites in the tissue are blocked in a 0.5% hydrogen peroxide/100% ethanol solution, then rinsed in 95% ethanol and double distilled water. The slides are transferred into coplin jars of 10 mM sodium citrate buffer (BDH), pH 6.0 and then microwaved for two 3 minute periods at 450W with gentle agitation. After cooling to room temperature, the slides are processed for immunohistochemistry as follows:
b. Streptavidin-biotin complex indirect method
The procedure begins with the deparaffinization, blocking of peroxidase sites and microwave antigen retrieval as described above. Then the slides are blocked for avidin and biotin sites to ensure specific staining. Slides are processed for IH using the Streptavidin-Biotin Complex Indirect Method (LAB/Dakopatts, Dimension Lab., Mississuaga, ON) as follows: slides are incubated with the primary antibody (Ab) at a previously determined concentration overnight at 4°C in 15% normal serum specific to the type of antibody. A biotinylated F (ab’) 2, secondary antibody (2° Ab) directed against the primary Ab is diluted (1:100) in 15% antibody specific normal serum. . The slides are incubated for 1 hour at room temperature, followed by 30 minutes incubation at room temperature with streptavidin against the biotinylation on the 2° Ab at (1:200) dilution. The chromogen most often used is 3, 3’-diaminobenzidine tetrahydrochloride (DAB, 40 mg/36 ul of 30% H2O2 in 200 ml of Tris buffer). Tissues are counter-stained with instant hematoxylin.
For the illustration in Fig. 5, the glial fibrillary acid protein (GFAP) antibody was obtained from (Chemicon International Inc., Temecula, CA, USA) and used at 1:500 dilution.
4. Electron microscopy method
For electron microscopy, animals were exsanguinated under deep isofluorine anesthesia and then perfused through the heart with heparinized Tyrode=s solution followed by a fixative containing 2% glutaraldehyde: 2% paraformaldehyde in Tyrode=s solution. Following perfusion the brain was removed and placed in fresh fixative, containing 2% glutaraldehyde: 2% paraformaldehyde in 0.1 M sodium cacodylate buffer at pH 7.2, where they remained for at least 3 hours at 4 degrees. Selected samples from the CA3 region of the hippocampus were dehydrated through a graded series of alcohols, cleared with propylene oxide, then infiltrated and embedded in epoxy resin. Semi-thin sections were viewed and areas selected for thin sections. Thin sections (pale gold to silver refractive colour) were cut and mounted on 200 mesh grids, stained with uranyl acetate and lead citrate and then viewed on a Zeiss 902 transmission electron microscope.
References
- Hynie, I; Hockin, J; Wright, J; Iverson, F. Panel discussion: evidence that domoic acid was the cause of the 1987 outbreak. Can Dis Wkly Rep 1990, 16(Suppl 1E), 37–40. [Google Scholar]
- Todd, EC. Chronology of the toxic mussels outbreak. Can Dis Wkly Rep 1990, 16(Suppl 1E), 3–4. [Google Scholar]
- Liston, AJ. Domoic acid toxicity. Introduction. Can Dis Wkly Rep 1990, 16(Suppl 1E), 1–2. [Google Scholar]
- Perl, TM; Bedard, L; Kosatsky, T; Hockin, JC; Todd, EC; Remis, RS. An outbreak of toxic encephalopathy caused by eating mussels contaminated with domoic acid. N Engl J Med 1990, 322(25), 1775–1780. [Google Scholar]
- Quilliam, MA; Wright, JL. The amnesic shellfish poisoning mystery. Anal Chem 1989, 61(18), 1053A–1106A. [Google Scholar]
- Iverson, F; Truelove, J; Nera, E; Tryphonas, L; Campbell, J; Lok, E. Domoic acid poisoning and mussel-associated intoxication: preliminary investigations into the response of mice and rats to toxic mussel extract. Food Chem Toxicol 1989, 27(6), 377–384. [Google Scholar]
- Perl, TM; Teitelbaum, J; Hockin, J; Todd, EC. Domoic acid toxicity. Panel discussion: definition of the syndrome. Can Dis Wkly Rep 1990, 16(Suppl 1E), 41–45. [Google Scholar]
- Zatorre, RJ. Memory loss following domoic acid intoxication from ingestion of toxic mussels. Can Dis Wkly Rep 1990, 16(Suppl 1E), 101–103. [Google Scholar]
- Bates, SS; Garrison, DL; Horner, RA. Bloom dynamics and physiology of domoic-acid-producing Pseudo-nitzschia species. In Physiological ecology of harmful algal blooms; Springer-Verlag; Heidelberg, 2008; pp. 267–292. [Google Scholar]
- Bates, SS. Amnesic Shellfish Poisoning: Domoic Acid Production by Pseudo-nitzschia Diatoms. Aqua Info. 2003. Aquaculture notes, Prince Edward Island, Canada, http://www.gov.pe.ca/photos/original/af_domoic_acid.pdf.
- Kotaki, Y; Koike, K; Sato, S; Ogata, T; Fukuyo, Y; Kodama, M. Confirmation of domoic acid production of Pseudo-nitzschia multiseries isolated from Ofunato Bay, Japan. Toxicon 1999, 37(4), 677–682. [Google Scholar]
- Amzil, Z; Fresnel, J; Le, GD; Billard, C. Domoic acid accumulation in French shellfish in relation to toxic species of Pseudo-nitzschia multiseries and P. pseudodelicatissima. Toxicon 2001, 39(8), 1245–1251. [Google Scholar]
- Walz, PM; Garrison, DL; Graham, WM; Cattey, MA; Tjeerdema, RS; Silver, MW. Domoic acid-producing diatom blooms in Monterey Bay, California: 1991-1993. Nat Toxins 1994, 2(5), 271–279. [Google Scholar]
- Zaman, L; Arakawa, O; Shimosu, A; Onoue, Y; Nishio, S; Shida, Y; Noguchi, T. Two new isomers of domoic acid from a red alga, Chondria armata. Toxicon 1997, 35(2), 205–212. [Google Scholar]
- Lawrence, JF. Determination of domoic acid in seafoods and in biological tissues and fluids. Can Dis Wkly Rep 1990, 16(Suppl 1E), 27–31. [Google Scholar]
- Johnson, GR; Hanic, L; Judson, I; Nijjar, P; Tasker, A. Mussel culture and the accumulation of domoic acid. Can Dis Wkly Rep 1990, 16(Suppl 1E), 33–35. [Google Scholar]
- Grimmelt, B; Nijjar, MS; Brown, J; Macnair, N; Wagner, S; Johnson, GR; Amend, JF. Relationship between domoic acid levels in the blue mussel (Mytilus edulis) and toxicity in mice. Toxicon 1990, 28(5), 501–508. [Google Scholar]
- Blanco, J; Acosta, CP; Bermudez de la, PM; Salgado, C. Depuration and anatomical distribution of the amnesic shellfish poisoning (ASP) toxin domoic acid in the king scallop Pecten maximus. Aquat Toxicol 2002, 60(1–2), 111–121. [Google Scholar]
- Powell, CL; Ferdin, ME; Busman, M; Kvitek, RG; Doucette, GJ. Development of a protocol for determination of domoic acid in the sand crab (Emerita analoga): a possible new indicator species. Toxicon 2002, 40(5), 485–492. [Google Scholar]
- Wekell, JC; Gauglitz, EJ, Jr; Barnett, HJ; Hatfield, CL; Simons, D; Ayres, D. Occurrence of domoic acid in Washington state razor clams (Siliqua patula) during 1991–1993. Nat Toxins 1994, 2(4), 197–205. [Google Scholar]
- Lefebvre, KA; Bargu, S; Kieckhefer, T; Silver, MW. From sanddabs to blue whales: the pervasiveness of domoic acid. Toxicon 2002, 40(7), 971–977. [Google Scholar]
- Park, DL. Surveillance programmes for managing risks from naturally occurring toxicants. Food Addit Contam 1995, 12(3), 361–371. [Google Scholar]
- Toyofuku, H. Joint FAO/WHO/IOC activities to provide scientific advice on marine biotoxins (research report). Mar Pollut Bull 2006, 52(12), 1735–1745. [Google Scholar]
- Gulland, FM; Haulena, M; Fauquier, D; Langlois, G; Lander, ME; Zabka, T; Duerr, R. Domoic acid toxicity in Californian sea lions (Zalophus californianus): clinical signs, treatment and survival. Vet Rec 2002, 150(15), 475–480. [Google Scholar]
- Lefebvre, KA; Powell, CL; Busman, M; Doucette, GJ; Moeller, PD; Silver, JB; Miller, PE; Hughes, MP; Singaram, S; Silver, MW; Tjeerdema, RS. Detection of domoic acid in northern anchovies and California sea lions associated with an unusual mortality event. Nat Toxins 1999, 7(3), 85–92. [Google Scholar]
- Scholin, CA; Gulland, F; Doucette, GJ; Benson, S; Busman, M; Chavez, FP; Cordaro, J; DeLong, R; De, VA; Harvey, J; Haulena, M; Lefebvre, K; Lipscomb, T; Loscutoff, S; Lowenstine, LJ; Marin, R, III; Miller, PE; McLellan, WA; Moeller, PD; Powell, CL; Rowles, T; Silvagni, P; Silver, M; Spraker, T; Trainer, V; Van Dolah, FM. Mortality of sea lions along the central California coast linked to a toxic diatom bloom. Nature 2000, 403(6765), 80–84. [Google Scholar]
- Sierra, BA; Palafox-Uribe, M; Grajales-Montiel, J; Cruz-Villacorta, A; Ochoa, JL. Sea bird mortality at Cabo San Lucas, Mexico: evidence that toxic diatom blooms are spreading. Toxicon 1997, 35(3), 447–453. [Google Scholar]
- Goldstein, T; Mazet, JA; Zabka, TS; Langlois, G; Colegrove, KM; Silver, M; Bargu, S; Van, DF; Leighfield, T; Conrad, PA; Barakos, J; Williams, DC; Dennison, S; Haulena, M; Gulland, FM. Novel symptomatology and changing epidemiology of domoic acid toxicosis in California sea lions (Zalophus californianus): an increasing risk to marine mammal health. Proc Biol Sci 2008, 275(1632), 267–276. [Google Scholar]
- Takahashi, E; Yu, Q; Eaglesham, G; Connell, DW; McBroom, J; Costanzo, S; Shaw, GR. Occurrence and seasonal variations of algal toxins in water, phytoplankton and shellfish from North Stradbroke Island, Queensland, Australia. Mar Environ Res 2007, 64(4), 429–442. [Google Scholar]
- James, KJ; Gillman, M; Amandi, MF; Lopez-Rivera, A; Puente, PF; Lehane, M; Mitrovic, S; Furey, A. Amnesic shellfish poisoning toxins in bivalve molluscs in Ireland. Toxicon 2005, 46(8), 852–858. [Google Scholar]
- Hess, P; Gallacher, S; Bates, LA; Brown, N; Quilliam, MA. Determination and confirmation of the amnesic shellfish poisoning toxin, domoic acid, in shellfish from Scotland by liquid chromatography and mass spectrometry. J AOAC Int 2001, 84(5), 1657–1667. [Google Scholar]
- Vale, P; Sampayo, MA. Domoic acid in Portuguese shellfish and fish. Toxicon 2001, 39(6), 893–904. [Google Scholar]
- Tiedeken, JA; Ramsdell, JS. Embryonic exposure to domoic Acid increases the susceptibility of zebrafish larvae to the chemical convulsant pentylenetetrazole. Environ Health Perspect 2007, 115(11), 1547–1552. [Google Scholar]
- Burt, MA; Ryan, CL; Doucette, TA. Altered responses to novelty and drug reinforcement in adult rats treated neonatally with domoic acid. Physiol Behav 2008, 93(1–2), 327–336. [Google Scholar]
- Adams, AL; Doucette, TA; Ryan, CL. Altered pre-pulse inhibition in adult rats treated neonatally with domoic acid. Amino Acids 2007. [Google Scholar]
- Burt, MA; Ryan, CL; Doucette, TA. Low dose domoic acid in neonatal rats abolishes nicotine induced conditioned place preference during late adolescence. Amino Acids 2007. [Google Scholar]
- Bernard, PB; Macdonald, DS; Gill, DA; Ryan, CL; Tasker, RA. Hippocampal mossy fiber sprouting and elevated trkB receptor expression following systemic administration of low dose domoic acid during neonatal development. Hippocampus 2007, 17(11), 1121–1133. [Google Scholar]
- Levin, ED; Pang, WG; Harrison, J; Williams, P; Petro, A; Ramsdell, JS. Persistent neurobehavioral effects of early postnatal domoic acid exposure in rats. Neurotoxicol Teratol 2006, 28(6), 673–680. [Google Scholar]
- Tiedeken, JA; Ramsdell, JS; Ramsdell, AF. Developmental toxicity of domoic acid in zebrafish (Danio rerio). Neurotoxicol Teratol 2005, 27(5), 711–717. [Google Scholar]
- Levin, ED; Pizarro, K; Pang, WG; Harrison, J; Ramsdell, JS. Persisting behavioral consequences of prenatal domoic acid exposure in rats. Neurotoxicol Teratol 2005, 27(5), 719–725. [Google Scholar]
- Doucette, TA; Bernard, PB; Husum, H; Perry, MA; Ryan, CL; Tasker, RA. Low doses of domoic acid during postnatal development produce permanent changes in rat behaviour and hippocampal morphology. Neurotox Res 2004, 6(7–8), 555–563. [Google Scholar]
- Doucette, TA; Bernard, PB; Yuill, PC; Tasker, RA; Ryan, CL. Low doses of non-NMDA glutamate receptor agonists alter neurobehavioural development in the rat. Neurotoxicol Teratol 2003, 25(4), 473–479. [Google Scholar]
- Xi, D; Peng, YG; Ramsdell, JS. Domoic acid is a potent neurotoxin to neonatal rats. Nat Toxins 1997, 5(2), 74–79. [Google Scholar]
- Maucher, JM; Ramsdell, JS. Maternal-fetal transfer of domoic acid in rats at two gestational time points. Environ Health Perspect 2007, 115(12), 1743–1746. [Google Scholar]
- Maucher, JM; Ramsdell, JS. Domoic acid transfer to milk: evaluation of a potential route of neonatal exposure. Environ Health Perspect 2005, 113(4), 461–464. [Google Scholar]
- Chandrasekaran, A; Ponnambalam, G; Kaur, C. Domoic acid-induced neurotoxicity in the hippocampus of adult rats. Neurotox Res 2004, 6(2), 105–117. [Google Scholar]
- Jeffery, B; Barlow, T; Moizer, K; Paul, S; Boyle, C. Amnesic shellfish poison. Food Chem Toxicol 2004, 42(4), 545–557. [Google Scholar]
- Ramsdell, J. Botana, L, Ed.; The molecular and integrative bases to domoic acid toxicity. In Phycotoxins Chemistry and biochemistry; Blackwell Publishing, 2007; pp. 223–250. [Google Scholar]
- FAO/IOC/WHO. Experts Report. Joint ad hoc Expert Consultation on Biotoxins in Bivalve Molluscs; Oslo: Norway, 2004. ftp://ftp.fao.org/es/esn/food/biotoxin_report_en.pdf.
- Iverson, F; Truelove, J. Toxicology and seafood toxins: domoic acid. Nat Toxins 1994, 2(5), 334–339. [Google Scholar]
- Preston, E; Hynie, I. Transfer constants for blood-brain barrier permeation of the neuroexcitatory shellfish toxin, domoic acid. Can J Neurol Sci 1991, 18(1), 39–44. [Google Scholar]
- Wright, JL; Bird, CJ; de Freitas, AS; Hampson, D; McDonald, J; Quilliam, MA. Chemistry, biology, and toxicology of domoic acid and its isomers. Can Dis Wkly Rep 1990, 16(Suppl 1E), 21–26. [Google Scholar]
- Iverson, F; Truelove, J; Tryphonas, L; Nera, EA. The toxicology of domoic acid administered systemically to rodents and primates. Can Dis Wkly Rep 1990, 16(Suppl 1E), 15–18. [Google Scholar]
- Hesp, BR; Clarkson, AN; Sawant, PM; Kerr, DS. Domoic acid preconditioning and seizure induction in young and aged rats. Epilepsy Res 2007, 76(2–3), 103–112. [Google Scholar]
- Doucette, TA; Ryan, CL; Tasker, RA. Gender-based changes in cognition and emotionality in a new rat model of epilepsy. Amino Acids 2007, 32(3), 317–322. [Google Scholar]
- Truelove, J; Iverson, F. Serum domoic acid clearance and clinical observations in the cynomolgus monkey and Sprague-Dawley rat following a single i.v. dose. Bull Environ Contam Toxicol 1994, 52(4), 479–486. [Google Scholar]
- Suzuki, CA; Hierlihy, SL. Renal clearance of domoic acid in the rat. Food Chem Toxicol 1993, 31(10), 701–706. [Google Scholar]
- Wozniak, DF; Stewart, GR; Miller, JP; Olney, JW. Age-related sensitivity to kainate neurotoxicity. Exp Neurol 1991, 114(2), 250–253. [Google Scholar]
- Sawant, PM; Weare, BA; Holland, PT; Selwood, AI; King, KL; Mikulski, CM; Doucette, GJ; Mountfort, DO; Kerr, DS. Isodomoic acids A and C exhibit low KA receptor affinity and reduced in vitro potency relative to domoic acid in region CA1 of rat hippocampus. Toxicon 2007, 50(5), 627–638. [Google Scholar]
- Hald, H; Naur, P; Pickering, DS; Sprogoe, D; Madsen, U; Timmermann, DB; Ahring, PK; Liljefors, T; Schousboe, A; Egebjerg, J; Gajhede, M; Kastrup, JS. Partial agonism and antagonism of the ionotropic glutamate receptor iGLuR5: structures of the ligand-binding core in complex with domoic acid and 2-amino-3-[5-tert-butyl-3-(phosphonomethoxy)-4-isoxazolyl]propionic acid. J Biol Chem 2007, 282(35), 25726–25736. [Google Scholar]
- Tasker, RA; Perry, MA; Doucette, TA; Ryan, CL. NMDA receptor involvement in the effects of low dose domoic acid in neonatal rats. Amino Acids 2005, 28(2), 193–196. [Google Scholar]
- Frerking, M; Schmitz, D; Zhou, Q; Johansen, J; Nicoll, RA. Kainate receptors depress excitatory synaptic transmission at CA3-->CA1 synapses in the hippocampus via a direct presynaptic action. J Neurosci 2001, 21(9), 2958–2966. [Google Scholar]
- Hampson, DR; Manalo, JL. The activation of glutamate receptors by kainic acid and domoic acid. Nat Toxins 1998, 6(3–4), 153–158. [Google Scholar]
- Jensen, JB; Schousboe, A; Pickering, DS. Role of desensitization and subunit expression for kainate receptor-mediated neurotoxicity in murine neocortical cultures. J Neurosci Res 1999, 55(2), 208–217. [Google Scholar]
- Bureau, I; Bischoff, S; Heinemann, SF; Mulle, C. Kainate receptor-mediated responses in the CA1 field of wild-type and GluR6-deficient mice. J Neurosci 1999, 19(2), 653–663. [Google Scholar]
- Ferreira, IL; Duarte, CB; Carvalho, AP. Kainate-induced retina amacrine-like cell damage is mediated by AMPA receptors. Neuroreport 1998, 9(15), 3471–3475. [Google Scholar]
- Tasker, RA; Strain, SM. Synergism between NMDA and domoic acid in a murine model of behavioural neurotoxicity. Neurotoxicology 1998, 19(4–5), 593–597. [Google Scholar]
- Xi, D; Ramsdell, JS. Glutamate receptors and calcium entry mechanisms for domoic acid in hippocampal neurons. Neuroreport 1996, 7(6), 1115–1120. [Google Scholar]
- Kunig, G; Hartmann, J; Krause, F; Deckert, J; Heinsen, H; Ransmayr, G; Beckmann, H; Riederer, P. Regional differences in the interaction of the excitotoxins domoate and L-beta-oxalyl-amino-alanine with [3H]kainate binding sites in human hippocampus. Neurosci Lett 1995, 187(2), 107–110. [Google Scholar]
- Hampson, DR; Huang, XP; Oberdorfer, MD; Goh, JW; Auyeung, A; Wenthold, RJ. Localization of AMPA receptors in the hippocampus and cerebellum of the rat using an anti-receptor monoclonal antibody. Neuroscience 1992, 50(1), 11–22. [Google Scholar]
- Lomeli, H; Wisden, W; Kohler, M; Keinanen, K; Sommer, B; Seeburg, PH. High-affinity kainate and domoate receptors in rat brain. FEBS Lett 1992, 307(2), 139–143. [Google Scholar]
- Hampson, DR; Huang, XP; Wells, JW; Walter, JA; Wright, JL. Interaction of domoic acid and several derivatives with kainic acid and AMPA binding sites in rat brain. Eur J Pharmacol 1992, 218(1), 1–8. [Google Scholar]
- Bettler, B; Egebjerg, J; Sharma, G; Pecht, G; Hermans-Borgmeyer, I; Moll, C; Stevens, CF; Heinemann, S. Cloning of a putative glutamate receptor: a low affinity kainate-binding subunit. Neuron 1992, 8(2), 257–265. [Google Scholar]
- Huettner, JE. Glutamate receptor channels in rat DRG neurons: activation by kainate and quisqualate and blockade of desensitization by Con A. Neuron 1990, 5(3), 255–266. [Google Scholar]
- Hampson, DR; Dechesne, CJ; Wenthold, RJ. The molecular characterization of a putative kainic acid receptor. Can Dis Wkly Rep 1990, 16(Suppl 1E), 69–71. [Google Scholar]
- Sciancalepore, M; Galdzicki, Z; Zheng, X; Moran, O. Kainate activated single channel currents as revealed by domoic acid. Eur Biophys J 1990, 19(2), 63–68. [Google Scholar]
- Glavin, GB; Pinsky, C; Bose, R. Mussel poisoning and excitatory amino acid receptors. Trends Pharmacol Sci 1989, 10(1), 15–16. [Google Scholar]
- Hampson, DR; Wenthold, RJ. A kainic acid receptor from frog brain purified using domoic acid affinity chromatography. J Biol Chem 1988, 263(5), 2500–2505. [Google Scholar]
- Novelli, A; Kispert, J; Reilly, A; Zitko, V. Excitatory amino acids toxicity in cerebellar granule cells in primary culture. Can Dis Wkly Rep 1990, 16(Suppl 1E), 83–88. [Google Scholar]
- Novelli, A; Kispert, J; Fernandez-Sanchez, MT; Torreblanca, A; Zitko, V. Domoic acid-containing toxic mussels produce neurotoxicity in neuronal cultures through a synergism between excitatory amino acids. Brain Res 1992, 577(1), 41–48. [Google Scholar]
- Truelove, J; Mueller, R; Pulido, O; Iverson, F. Subchronic toxicity study of domoic acid in the rat. Food Chem Toxicol 1996, 34(6), 525–529. [Google Scholar]
- Pulido, O; Mueller, R; Truelove, J; Iverson, F; Rowsell, PBM. Neuropathology of Subchronic Oral Administration of Domoic Acid in Rats. Society for Neuroscience 25th Meeting Abstract 1995. 803.11. 21, Pt 3, 2044.
- Pulido, O; Richard, D; Quilliam, M; Clausen, J; Murphy, M; Smyth, P; Mueller, R; Gill, S. Whyte, JNC, Ed.; Toxicological Neuropathology from Domoic Acid to Spirolides - the Health Canada Experience. 2001; In Proceedings of the Seventh Canadian Workshop on Harmful Marine Algae; Canadian Technical Report of Fisheries Aquatic Sciences , Fisheries and Oceans: Canada. [Google Scholar]
- Neurological complications of domoic acid intoxication. Lancet 1990, 336(8715), 601.
- Teitelbaum, J; Zatorre, RJ; Carpenter, S; Gendron, D; Cashman, NR. Neurological sequelae of domoic acid intoxication. Can Dis Wkly Rep 1990, 16(Suppl 1E), 9–12. [Google Scholar]
- Perl, TM; Bedard, L; Kosatsky, T; Hockin, JC; Todd, EC; McNutt, LA; Remis, RS. Amnesic shellfish poisoning: a new clinical syndrome due to domoic acid. Can Dis Wkly Rep 1990, 16(Suppl 1E), 7–8. [Google Scholar]
- Teitelbaum, J. Acute manifestations of domoic acid poisoning: case presentations. Can Dis Wkly Rep 1990, 16(Suppl 1E), 5–6. [Google Scholar]
- Gjedde, A; Evans, AC. PET studies of domoic acid poisoning in humans: excitotoxic destruction of brain glutamatergic pathways, revealed in measurements of glucose metabolism by positron emission tomography. Can Dis Wkly Rep 1990, 16(Suppl 1E), 105–109. [Google Scholar]
- Carpenter, S. The human neuropathology of encephalopathic mussel toxin poisoning. Can Dis Wkly Rep 1990, 16(Suppl 1E), 73–74. [Google Scholar]
- Teitelbaum, JS; Zatorre, RJ; Carpenter, S; Gendron, D; Evans, AC; Gjedde, A; Cashman, NR. Neurologic sequelae of domoic acid intoxication due to the ingestion of contaminated mussels. N Engl J Med 1990, 322(25), 1781–1787. [Google Scholar]
- Cendes, F; Andermann, F; Carpenter, S; Zatorre, RJ; Cashman, NR. Temporal lobe epilepsy caused by domoic acid intoxication: evidence for glutamate receptor-mediated excitotoxicity in humans. Ann Neurol 1995, 37(1), 123–126. [Google Scholar]
- Qiu, S; Curras-Collazo, MC. Histopathological and molecular changes produced by hippocampal microinjection of domoic acid. Neurotoxicol Teratol 2006, 28(3), 354–362. [Google Scholar]
- Colman, JR; Nowocin, KJ; Switzer, RC; Trusk, TC; Ramsdell, JS. Mapping and reconstruction of domoic acid-induced neurodegeneration in the mouse brain. Neurotoxicol Teratol 2005, 27(5), 753–767. [Google Scholar]
- Silvagni, PA; Lowenstine, LJ; Spraker, T; Lipscomb, TP; Gulland, FM. Pathology of domoic acid toxicity in California sea lions (Zalophus californianus). Vet Pathol 2005, 42(2), 184–191. [Google Scholar]
- Appel, NM; Rapoport, SI; O’Callaghan, JP. Sequelae of parenteral domoic acid administration in rats: comparison of effects on different anatomical markers in brain. Synapse 1997, 25(4), 350–358. [Google Scholar]
- Schmued, LC; Scallet, AC; Slikker, W, Jr. Domoic acid-induced neuronal degeneration in the primate forebrain revealed by degeneration specific histochemistry. Brain Res 1995, 695(1), 64–70. [Google Scholar]
- Scallet, AC. Quantitative histological evaluation of neurotoxic hippocampal damage. Ann N Y Acad Sci 1995, 765, 303. [Google Scholar]
- Scallet, AC; Binienda, Z; Caputo, FA; Hall, S; Paule, MG; Rountree, RL; Schmued, L; Sobotka, T; Slikker, W, Jr. Domoic acid-treated cynomolgus monkeys (M. fascicularis): effects of dose on hippocampal neuronal and terminal degeneration. Brain Res 1993, 627(2), 307–313. [Google Scholar]
- Sutherland, RJ; Hoesing, JM; Whishaw, IQ. Domoic acid, an environmental toxin, produces hippocampal damage and severe memory impairment. Neurosci Lett 1990, 120(2), 221–223. [Google Scholar]
- Tryphonas, L; Truelove, J; Todd, E; Nera, E; Iverson, F. Experimental oral toxicity of domoic acid in cynomolgus monkeys (Macaca fascicularis) and rats. Preliminary investigations. Food Chem Toxicol 1990, 28(10), 707–715. [Google Scholar]
- Tryphonas, L; Truelove, J; Iverson, F; Todd, EC; Nera, EA. Neuropathology of experimental domoic acid poisoning in non-human primates and rats. Can Dis Wkly Rep 1990, 16(Suppl 1E), 75–81. [Google Scholar]
- Tryphonas, L; Truelove, J; Nera, E; Iverson, F. Acute neurotoxicity of domoic acid in the rat. Toxicol Pathol 1990, 18 1 Pt 1, 1–9. [Google Scholar]
- Tryphonas, L; Truelove, J; Iverson, F. Acute parenteral neurotoxicity of domoic acid in cynomolgus monkeys (M. fascicularis). Toxicol Pathol 1990, 18(2), 297–303. [Google Scholar]
- Tryphonas, L; Iverson, F. Neuropathology of excitatory neurotoxins: the domoic acid model. Toxicol Pathol 1990, 18 1 Pt 2, 165–169. [Google Scholar]
- Nakajima, S; Potvin, JL. Neural and behavioural effects of domoic acid, an amnesic shellfish toxin, in the rat. Can J Psychol 1992, 46(4), 569–581. [Google Scholar]
- Strain, SM; Tasker, RA. Hippocampal damage produced by systemic injections of domoic acid in mice. Neuroscience 1991, 44(2), 343–352. [Google Scholar]
- Falougy, E; Benuska, J. History, anatomical nomenclature, comparative anatomy and functions of the hippocampal formation. Brastisl Lek Listy 2006, 107, 103–106. [Google Scholar]
- Scallet, AC; Schmued, LC; Johannessen, JN. Neurohistochemical biomarkers of the marine neurotoxicant, domoic acid. Neurotoxicol Teratol 2005, 27(5), 745–752. [Google Scholar]
- Peng, YG; Taylor, TB; Finch, RE; Switzer, RC; Ramsdell, JS. Neuroexcitatory and neurotoxic actions of the amnesic shellfish poison, domoic acid. Neuroreport 1994, 5(8), 981–985. [Google Scholar]
- Bruni, JE; Bose, R; Pinsky, C; Glavin, G. Circumventricular organ origin of domoic acid-induced neuropathology and toxicology. Brain Res Bull 1991, 26(3), 419–424. [Google Scholar]
- Lester, DS; Pine, PS; Delnomdedieu, M; Johannessen, JN; Johnson, GA. Virtual neuropathology: three-dimensional visualization of lesions due to toxic insult. Toxicol Pathol 2000, 28(1), 100–104. [Google Scholar]
- Lester, DS; Lyon, RC; McGregor, GN; Engelhardt, RT; Schmued, LC; Johnson, GA; Johannessen, JN. 3-Dimensional visualization of lesions in rat brain using magnetic resonance imaging microscopy. Neuroreport 1999, 10(4), 737–741. [Google Scholar]
- Perez-Mendes, P; Cinini, SM; Medeiros, MA; Tufik, S; Mello, LE. Behavioral and histopathological analysis of domoic Acid administration in marmosets. Epilepsia 2005, 46(Suppl 5), 148–151. [Google Scholar]
- Schaffer, P; Reeves, C; Casper, DR; Davis, CR. Absence of neurotoxic effects in leopard sharks, Triakis semifasciata, following domoic acid exposure. Toxicon 2006, 47(7), 747–752. [Google Scholar]
- Sobotka, TJ; Brown, R; Quander, DY; Jackson, R; Smith, M; Long, SA; Barton, CN; Rountree, RL; Hall, S; Eilers, P; Johannessen, JN; Scallet, AC. Domoic acid: neurobehavioral and neurohistological effects of low-dose exposure in adult rats. Neurotoxicol Teratol 1996, 18(6), 659–670. [Google Scholar]
- Stewart, GR; Zorumski, CF; Price, MT; Olney, JW. Domoic acid: a dementia-inducing excitotoxic food poison with kainic acid receptor specificity. Exp Neurol 1990, 110(1), 127–138. [Google Scholar]
- Polischuk, TM; Jarvis, CR; Andrew, RD. Intrinsic optical signaling denoting neuronal damage in response to acute excitotoxic insult by domoic acid in the hippocampal slice. Neurobiol Dis 1998, 4(6), 423–437. [Google Scholar]
- Olney, JW. Excitotoxic food additives--relevance of animal studies to human safety. Neurobehav Toxicol Teratol 1984, 6(6), 455–462. [Google Scholar]
- Ross, IA; Johnson, W; Sapienza, PP; Kim, CS. Effects of the seafood toxin domoic acid on glutamate uptake by rat astrocytes. Food Chem Toxicol 2000, 38(11), 1005–1011. [Google Scholar]
- Ananth, C; Thameem, DS; Gopalakrishnakone, P; Kaur, C. Domoic acid-induced neuronal damage in the rat hippocampus: changes in apoptosis related genes (bcl-2, bax, caspase-3) and microglial response. J Neurosci Res 2001, 66(2), 177–190. [Google Scholar]
- Appel, NM; Rapoport, SI; O’Callaghan, JP; Bell, JM; Freed, LM. Sequelae of parenteral domoic acid administration in rats: comparison of effects on different metabolic markers in brain. Brain Res 1997, 754(1–2), 55–64. [Google Scholar]
- Mayer, AM; Hall, M; Fay, MJ; Lamar, P; Pearson, C; Prozialeck, WC; Lehmann, VK; Jacobson, PB; Romanic, AM; Uz, T; Manev, H. Effect of a short-term in vitro exposure to the marine toxin domoic acid on viability, tumor necrosis factor-alpha, matrix metalloproteinase-9 and superoxide anion release by rat neonatal microglia. BMC Pharmacol 2001, 1, 7. [Google Scholar]
- Mayer, AM. The marine toxin domoic acid may affect the developing brain by activation of neonatal brain microglia and subsequent neurotoxic mediator generation. Med Hypotheses 2000, 54(5), 837–841. [Google Scholar]
- Mayer, AM; Guzman, M; Peksa, R; Hall, M; Fay, MJ; Jacobson, PB; Romanic, AM; Sarath Gunasekera, SP. Differential Effects of Domoic Acid and E. coli Lipopolysaccharide on Tumor Necrosis Factor-á, Transforming Growth Factor-â1 and Matrix Metalloproteinase-9 Release by Rat Neonatal Microglia: Evaluation of the Direct Activation Hypothesis. MarDrugs 2007, 5, 113–135. [Google Scholar]
- Thoreson, WB; Witkovsky, P. Glutamate receptors and circuits in the vertebrate retina. Prog Retin Eye Res 1999, 18(6), 765–810. [Google Scholar]
- Yang, XL. Characterization of receptors for glutamate and GABA in retinal neurons. Prog Neurobiol 2004, 73(2), 127–50. [Google Scholar]
- Nduaka, CI; Taylor, RE; Green, S; Flynn, T; Sathyamoorthy, VV; Sprando, RL; Johannessen, JN. Glutamate Release from Chick Retina Explants in Response to Domoic Acid. In Vitr Mol Toxicol 1999, 12(3), 173–182. [Google Scholar]
- Wang, GJ; Schmued, LC; Andrews, AM; Scallet, AC; Slikker, W, Jr; Binienda, Z. Systemic administration of domoic acid-induced spinal cord lesions in neonatal rats. J Spinal Cord Med 2000, 23(1), 31–39. [Google Scholar]
- Gill, S; Pulido, O. Gill, S, Pulido, O, Eds.; Distribution of Glutamate Receptors in Peripheral Tissues. In Glutamate Receptors in Peripheral Tissues; Kluwer Academic Plenum Press: NY, 2005; pp. 3–26. [Google Scholar]
- Nijjar, MS; Pierce, GN; Nijjar, SS; Dhalla, NS. Domoic Acid Attenuates the Adenosine-5’-Triphosphate-Induced Increase in. J Cardiovasc Pharmacol Ther 1999, 4(3), 159–166. [Google Scholar]
- Gill, SS; Mueller, RW; McGuire, PF; Pulido, OM. Potential target sites in peripheral tissues for excitatory neurotransmission and excitotoxicity. Toxicol Pathol 2000, 28(2), 277–284. [Google Scholar]
- Gill, SS; Pulido, OM. Glutamate receptors in peripheral tissues: current knowledge, future research, and implications for toxicology. ToxicolPathol 2001, 29(2), 208–223. [Google Scholar]
- Gill, S; Veinot, J; Kavanagh, M; Pulido, O. Human heart glutamate receptors - implications for toxicology, food safety, and drug discovery. Toxicol Pathol 2007, 35(3), 411–417. [Google Scholar]
- Mueller, RW; Gill, SS; Pulido, OM. The monkey (Macaca fascicularis) heart neural structures and conducting system: an immunochemical study of selected neural biomarkers and glutamate receptors. Toxicol Pathol 2003, 31(2), 227–234. [Google Scholar]
- Gill, S; Veinot, J; Kavanagh, M; Pulido, O. Human heart glutamate receptors - implications for toxicology, food safety, and drug discovery. Toxicol Pathol 2007, 35(3), 411–7. [Google Scholar]
- Boldyrev, AA; Carpenter, DO; Johnson, P. Emerging evidence for a similar role of glutamate receptors in the nervous and immune systems. JNeurochem 2005, 95(4), 913–8. [Google Scholar]
- Morrell, CN; Sun, H; Ikeda, M; Beique, JC; Swaim, AM; Mason, E; Martin, TV; Thompson, LE; Gozen, O; Ampagoomian, D; Sprengel, R; Rothstein, J; Faraday, N; Huganir, R; Lowenstein, CJ. Glutamate mediates platelet activation through the AMPA receptor. J Exp Med 2008, 205(3), 575–584. [Google Scholar]
- Gao, X; Xu, X; Pang, J; Zhang, C; Ding, JM; Peng, X; Liu, Y; Cao, JM. NMDA receptor activation induces mitochondrial dysfunction, oxidative stress and apoptosis in cultured neonatal rat cardiomyocytes. Physiol Res 2007, 56(5), 559–569. [Google Scholar]
- Kreuder, C; Miller, MA; Lowenstine, LJ; Conrad, PA; Carpenter, TE; Jessup, DA; Mazet, JA. Evaluation of cardiac lesions and risk factors associated with myocarditis and dilated cardiomyopathy in southern sea otters (Enhydra lutris nereis). Am J Vet Res 2005, 66(2), 289–299. [Google Scholar]
- Glavin, GB; Pinsky, C; Bose, R. Gastrointestinal effects of contaminated mussels and putative antidotes thereof. Can Dis Wkly Rep 1990, 16(Suppl 1E), 111–115. [Google Scholar]
- Alfonso, M; Duran, R; Arufe, MC. Effect of excitatory amino acids on serum TSH and thyroid hormone levels in freely moving rats. Horm Res 2000, 54(2), 78–83. [Google Scholar]
- Arufe, MC; Arias, B; Duran, R; Alfonso, M. Effects of domoic acid on serum levels of TSH and thyroid hormones. Endocr Res 1995, 21(3), 671–680. [Google Scholar]
- Olney, JW. Excitotoxic food additives–relevance of animal studies to human safety. Neurobehav Toxicol Teratol 1984, 6(6), 455–462. [Google Scholar]
- Morrison, JF; Shehab, S; Sheen, R; Dhanasekaran, S; Shaffiullah, M; Mensah-Brown, E. Sensory and autonomic nerve changes in the monosodium glutamate-treated rat: a model of type II diabetes. Exp Physiol 2008, 93(2), 213–222. [Google Scholar]
- Clayton, EC; Peng, YG; Means, LW; Ramsdell, JS. Working memory deficits induced by single but not repeated exposures to domoic acid. Toxicon 1999, 37(7), 1025–1039. [Google Scholar]
- Peng, YG; Clayton, EC; Means, LW; Ramsdell, JS. Repeated independent exposures to domoic acid do not enhance symptomatic toxicity in outbred or seizure-sensitive inbred mice. Fundam Appl Toxicol 1997, 40(1), 63–67. [Google Scholar] [Green Version]
- Truelove, J; Mueller, R; Pulido, O; Martin, L; Fernie, S; Iverson, F. 30-day oral toxicity study of domoic acid in cynomolgus monkeys: lack of overt toxicity at doses approaching the acute toxic dose. Nat Toxins 1997, 5(3), 111–114. [Google Scholar]
- Regan, RF; PSWATJG, RG. Ultrastructure of excitotoxic neuronal death in murine cortical culture. Brain Res 24 1995, 705(1–2), 188–98. [Google Scholar]
- Nicholls, DG. Mitochondrial dysfunction and glutamate excitotoxicity studied in primary neuronal cultures. Curr Mol Med 2004, 4(2), 149–177. [Google Scholar]
- Greenwood, SM; Connolly, CN. Dendritic and mitochondrial changes during glutamate excitotoxicity. Neuropharmacology 2007, 53(8), 891–898. [Google Scholar]
- Gill, S. H. X. G. T. a. P. O. Regional Susceptibility to Domoic Acid in Primary Astrocyte Cells Cultured from the Brain Stem and Hippocampus. MarDrugs 2008, 6(1), 25–38. [Google Scholar]
- Lefebvre, KA; Noren, DP; Schultz, IR; Bogard, SM; Wilson, J; Eberhart, BT. Uptake, tissue distribution and excretion of domoic acid after oral exposure in coho salmon (Oncorhynchus kisutch). Aquat Toxicol 2007, 81(3), 266–274. [Google Scholar]
- Hesp, BR; Wrightson, T; Mullaney, I; Kerr, DS. Kainate receptor agonists and antagonists mediate tolerance to kainic acid and reduce high-affinity GTPase activity in young, but not aged, rat hippocampus. J Neurochem 2004, 90(1), 70–79. [Google Scholar]
- Kerr, DS; Razak, A; Crawford, N. Age-related changes in tolerance to the marine algal excitotoxin domoic acid. Neuropharmacology 2002, 43(3), 357–366. [Google Scholar]
- Doucette, TA; Strain, SM; Allen, GV; Ryan, CL; Tasker, RA. Comparative behavioural toxicity of domoic acid and kainic acid in neonatal rats. Neurotoxicol Teratol 2000, 22(6), 863–869. [Google Scholar]
- Ryan, JC; Morey, JS; Ramsdell, JS; Van Dolah, FM. Acute phase gene expression in mice exposed to the marine neurotoxin domoic acid. Neuroscience 2005, 136(4), 1121–1132. [Google Scholar]
- Gagliardi, RJ. Neuroprotection, excitotoxicity and NMDA antagonists. Arq Neuropsiquiatr 2000, 58(2B), 583–588. [Google Scholar]
- Kirchgessner, AL; Liu, MT; Alcantara, F. Excitotoxicity in the enteric nervous system. J Neurosci 1997, 17(22), 8804–8816. [Google Scholar]
- Doyle, KP; Simon, RP; Stenzel-Poore, MP. Mechanisms of ischemic brain damage. Neuropharmacology 2008. [Google Scholar]
- Estrada Sanchez, AM; Mejia-Toiber, J; Massieu, L. Excitotoxic neuronal death and the pathogenesis of Huntington’s disease. Arch Med Res 2008, 39(3), 265–276. [Google Scholar]
- Greenberg, BM; Calabresi, PA. Future research directions in multiple sclerosis therapies. Semin Neurol 2008, 28(1), 121–127. [Google Scholar]
- Olanow, CW. The pathogenesis of cell death in Parkinson’s disease--2007. Mov Disord 2007, 22(Suppl 17), S335–S342. [Google Scholar]
- Fernandes, HB; Baimbridge, KG; Church, J; Hayden, MR; Raymond, LA. Mitochondrial sensitivity and altered calcium handling underlie enhanced NMDA-induced apoptosis in YAC128 model of Huntington’s disease. J Neurosci 2007, 27(50), 13614–13623. [Google Scholar]
- Albensi, BC. The NMDA receptor/ion channel complex: a drug target for modulating synaptic plasticity and excitotoxicity. Curr Pharm Des 2007, 13(31), 3185–3194. [Google Scholar]
- Greenwood, SM; Connolly, CN. Dendritic and mitochondrial changes during glutamate excitotoxicity. Neuropharmacology 2007, 53(8), 891–898. [Google Scholar]
- Corona, JC; Romo, LB; Tapia, R. Glutamate excitotoxicity and therapeutic targets for amyotrophic lateral sclerosis. Expert Opin Ther Targets 2007, 11(11), 1415–1428. [Google Scholar]
- Nicholls, DG; Johnson-Cadwell, L; Vesce, S; Jekabsons, M; Yadava, N. Bioenergetics of mitochondria in cultured neurons and their role in glutamate excitotoxicity. J Neurosci Res 2007, 85(15), 3206–3212. [Google Scholar]
- Hazell, AS. Excitotoxic mechanisms in stroke: an update of concepts and treatment strategies. Neurochem Int 2007, 50(7–8), 941–953. [Google Scholar]
- Nicholls, DG; Johnson-Cadwell, L; Vesce, S; Jekabsons, M; Yadava, N. Bioenergetics of mitochondria in cultured neurons and their role in glutamate excitotoxicity. J Neurosci Res 2007, 85(15), 3206–3212. [Google Scholar]
- Fujikawa, DG. Prolonged seizures and cellular injury: understanding the connection. Epilepsy Behav 2005, 7(Suppl 3), S3–11. [Google Scholar]
- Johnston, MV. Excitotoxicity in perinatal brain injury. Brain Pathol 2005, 15(3), 234–240. [Google Scholar]
- Kawahara, Y; Kwak, S. Excitotoxicity and ALS: what is unique about the AMPA receptors expressed on spinal motor neurons? Amyotroph Lateral Scler Other Motor Neuron Disord 2005, 6(3), 131–144. [Google Scholar]
- Olney, JW. Excitotoxicity: an overview. Can Dis Wkly Rep 1990, 16(Suppl 1E), 47–57. [Google Scholar]
- Olney, JW. Excitatory transmitter neurotoxicity. Neurobiol Aging 1994, 15(2), 259–260. [Google Scholar]
- Olney, JW. Excitotoxins in foods. Neurotoxicology 1994, 15(3), 535–544. [Google Scholar]
- Olney, JW. Glutamate, a neurotoxic transmitter. J Child Neurol 1989, 4(3), 218–226. [Google Scholar]
- Olney, JW. Excitotoxic food additives--relevance of animal studies to human safety. Neurobehav Toxicol Teratol 1984, 6(6), 455–462. [Google Scholar]
- Olney, JW. Excitatory neurotoxins as food additives: an evaluation of risk. Neurotoxicology 1981, 2(1), 163–192. [Google Scholar]
- Coyle, JT; Bird, SJ; Evans, RH; Gulley, RL; Nadler, JV; Nicklas, WJ; Olney, JW. Excitatory amino acid neurotoxins: selectivity, specificity, and mechanisms of action. Based on an NRP one-day conference held June 30, 1980. Neurosci Res Program Bull 1981, 19(4), 1–427. [Google Scholar]
- Beyreuther, K; Biesalski, HK; Fernstrom, JD; Grimm, P; Hammes, WP; Heinemann, U; Kempski, O; Stehle, P; Steinhart, H; Walker, R. Consensus meeting: monosodium glutamate - an update. Eur J Clin Nutr 2007, 61(3), 304–313. [Google Scholar]
- Larm, JA; Beart, PM; Cheung, NS. Neurotoxin domoic acid produces cytotoxicity via kainate- and AMPA-sensitive receptors in cultured cortical neurones. Neurochem Int 1997, 31(5), 677–682. [Google Scholar]
- Debonnel, G; Weiss, M; de, MC. Neurotoxic effect of domoic acid: mediation by kainate receptor electrophysiological studies in the rat. Can Dis Wkly Rep 1990, 16(Suppl 1E), 59–68. [Google Scholar]
- Debonnel, G; Beauchesne, L; de, MC. Domoic acid, the alleged "mussel toxin," might produce its neurotoxic effect through kainate receptor activation: an electrophysiological study in the dorsal hippocampus. Can J Physiol Pharmacol 1989, 67(1), 29–33. [Google Scholar]
- Greger, IH; Ziff, EB; Penn, AC. Molecular determinants of AMPA receptor subunit assembly. Trends Neurosci 2007, 30(8), 407–416. [Google Scholar]
- Knopfel, T; Uusisaari, M. Modulation of excitation by metabotropic glutamate receptors. Results Probl Cell Differ 2008, 44, 163–175. [Google Scholar]
- Greger, IH; Esteban, JA. AMPA receptor biogenesis and trafficking. Curr Opin Neurobiol 2007, 17(3), 289–297. [Google Scholar]
- Plested, AJ; Mayer, ML. Structure and mechanism of kainate receptor modulation by anions. Neuron 2007, 53(6), 829–841. [Google Scholar]
- Gerber, U; Gee, CE; Benquet, P. Metabotropic glutamate receptors: intracellular signaling pathways. Curr Opin Pharmacol 2007, 7(1), 56–61. [Google Scholar]
- Pinheiro, P; Mulle, C. Kainate receptors. Cell Tissue Res 2006, 326(2), 457–482. [Google Scholar]
- Ferraguti, F; Shigemoto, R. Metabotropic glutamate receptors. Cell Tissue Res 2006, 326(2), 483–504. [Google Scholar]
- Huettner, JE. Kainate receptors and synaptic transmission. Prog Neurobiol 2003, 70(5), 387–407. [Google Scholar]
- Okabe, S. Molecular anatomy of the postsynaptic density. Mol Cell Neurosci 2007, 34(4), 503–518. [Google Scholar]
- Ananth, C; Dheen, ST; Gopalakrishnakone, P; Kaur, C. Distribution of NADPH-diaphorase and expression of nNOS, N-methyl-D-aspartate receptor (NMDAR1) and non-NMDA glutamate receptor (GlutR2) genes in the neurons of the hippocampus after domoic acid-induced lesions in adult rats. Hippocampus 2003, 13(2), 260–272. [Google Scholar]
- Berman, FW; LePage, KT; Murray, TF. Domoic acid neurotoxicity in cultured cerebellar granule neurons is controlled preferentially by the NMDA receptor Ca(2+) influx pathway. Brain Res 2002, 924(1), 20–29. [Google Scholar]
- Clements, JD; Feltz, A; Sahara, Y; Westbrook, GL. Activation kinetics of AMPA receptor channels reveal the number of functional agonist binding sites. J Neurosci 1998, 18(1), 119–127. [Google Scholar]
- Berman, FW; Murray, TF. Domoic acid neurotoxicity in cultured cerebellar granule neurons is mediated predominantly by NMDA receptors that are activated as a consequence of excitatory amino acid release. J Neurochem 1997, 69(2), 693–703. [Google Scholar]
- Tasker, RA; Strain, SM; Drejer, J. Selective reduction in domoic acid toxicity in vivo by a novel non-N-methyl-D-aspartate receptor antagonist. Can J Physiol Pharmacol 1996, 74(9), 1047–1054. [Google Scholar]
- Chavez, AE; Singer, JH; Diamond, JS. Fast neurotransmitter release triggered by Ca influx through AMPA-type glutamate receptors. Nature 2006, 443(7112), 705–708. [Google Scholar]
- Olney, JW. Glutamate, a neurotoxic transmitter. J Child Neurol 1989, 4(3), 218–226. [Google Scholar]
- Olney, JW. The toxic effects of glutamate and related compounds in the retina and the brain. Retina 1982, 2(4), 341–359. [Google Scholar]
- Olney, JW; Fuller, T; de, GT. Acute dendrotoxic changes in the hippocampus of kainate treated rats. Brain Res 1979, 176(1), 91–100. [Google Scholar]
- Olney, JW; Rhee, V; Ho, OL. Kainic acid: a powerful neurotoxic analogue of glutamate. Brain Res 1974, 77(3), 507–512. [Google Scholar]
- Olney, JW. Brain lesions, obesity, and other disturbances in mice treated with monosodium glutamate. Science 1969, 164(880), 719–721. [Google Scholar]
- Johansen, TH; Drejer, J; Watjen, F; Nielsen, EO. A novel non-NMDA receptor antagonist shows selective displacement of low-affinity [3H]kainate binding. Eur J Pharmacol 1993, 246(3), 195–204. [Google Scholar]
- Novelli, A; Tasker, RA. On excitotoxicity. Amino Acids 2000, 19(1), 227–228. [Google Scholar]
- Choi, DW. Excitotoxic cell death. J Neurobiol 1992, 23(9), 1261–1276. [Google Scholar]
- Choi, DW. Calcium and excitotoxic neuronal injury. Ann N Y Acad Sci 1994, 747, 162–171. [Google Scholar]
- Bloodgood, BL; Sabatini, BL. Ca(2+) signaling in dendritic spines. Curr Opin Neurobiol 2007, 17(3), 345–351. [Google Scholar]
- Shalbuyeva, N; Brustovetsky, T; Bolshakov, A; Brustovetsky, N. Calcium-dependent spontaneously reversible remodeling of brain mitochondria. J Biol Chem 2006, 281(49), 37547–37558. [Google Scholar]
- Erin, N; Billingsley, ML. Domoic acid enhances Bcl-2-calcineurin-inositol-1,4,5-trisphosphate receptor interactions and delayed neuronal death in rat brain slices. Brain Res 2004, 1014(1–2), 45–52. [Google Scholar]
- Ananth, C; Gopalakrishnakone, P; Kaur, C. Induction of inducible nitric oxide synthase expression in activated microglia following domoic acid (DA)-induced neurotoxicity in the rat hippocampus. Neurosci Lett 2003, 338(1), 49–52. [Google Scholar]
- Bose, R; Schnell, CL; Pinsky, C; Zitko, V. Effects of excitotoxins on free radical indices in mouse brain. Toxicol Lett 1992, 60(2), 211–219. [Google Scholar]
- Boldyrev, A; Bulygina, E; Makhro, A. Glutamate receptors modulate oxidative stress in neuronal cells. A mini-review. Neurotox Res 2004, 6(7–8), 581–587. [Google Scholar]
- Stoll, L; Hall, J; Van, BN; Hall, A; Knight, L; Morgan, A; Zuger, S; Van, DH; Gentile, L. Differential regulation of ionotropic glutamate receptors. Biophys J 2007, 92(4), 1343–1349. [Google Scholar]
- Nicholls, DG; Ward, MW. Mitochondrial membrane potential and neuronal glutamate excitotoxicity: mortality and millivolts. Trends Neurosci 2000, 23(4), 166–174. [Google Scholar]
- Nicholls, DG; Budd, SL; Ward, MW; Castilho, RF. Excitotoxicity and mitochondria. Biochem Soc Symp 1999, 66, 55–67. [Google Scholar]
- Nicholls, DG; Budd, SL; Castilho, RF; Ward, MW. Glutamate excitotoxicity and neuronal energy metabolism. Ann N Y Acad Sci 1999, 893, 1–12. [Google Scholar]
- Nicholls, DG. Mitochondrial dysfunction and glutamate excitotoxicity studied in primary neuronal cultures. Curr Mol Med 2004, 4(2), 149–177. [Google Scholar]
- Giordano, G; White, CC; Mohar, I; Kavanagh, TJ; Costa, LG. Glutathione levels modulate domoic acid induced apoptosis in mouse cerebellar granule cells. Toxicol Sci 2007, 100(2), 433–444. [Google Scholar]
- Giordano, G; White, CC; McConnachie, LA; Fernandez, C; Kavanagh, TJ; Costa, LG. Neurotoxicity of domoic Acid in cerebellar granule neurons in a genetic model of glutathione deficiency. Mol Pharmacol 2006, 70(6), 2116–2126. [Google Scholar]
- Aarts, MM; Tymianski, M. Molecular mechanisms underlying specificity of excitotoxic signaling in neurons. Curr Mol Med 2004, 4(2), 137–147. [Google Scholar]
- Takemiya, T; Matsumura, K; Yamagata, K. Roles of prostaglandin synthesis in excitotoxic brain diseases. Neurochem Int 2007, 51(2–4), 112–120. [Google Scholar]
- Raiteri, M. Functional pharmacology in human brain. Pharmacol Rev 2006, 58(2), 162–93. [Google Scholar]
- Cunha, RA; Constantino, MD; Ribeiro, JA. Inhibition of [3H] gamma-aminobutyric acid release by kainate receptor activation in rat hippocampal synaptosomes. Eur J Pharmacol 1997, 323(2–3), 167–172. [Google Scholar]
- Ananth, C; Gopalakrishnakone, P; Kaur, C. Protective role of melatonin in domoic acid-induced neuronal damage in the hippocampus of adult rats. Hippocampus 2003, 13(3), 375–387. [Google Scholar]
- Chung, SYHSH. Melatonin attenuates kainic acid-induced hippocampal neurodegeneration and oxidative stress through microglial inhibition. J Pineal Res 2003, 34(2), 95–102. [Google Scholar]
- Pulido, O. Age-related changes in pineal and extra-pineal N-acetyl serotonin [NAS] and melatonin in rats. In Proc of the Pineal Gland during Development; Croom-Helm Ltd: London, Sydney, 1986; pp. 254–260. [Google Scholar]
- Wu, YH; Swaab, DF. The human pineal gland and melatonin in aging and Alzheimer’s disease. J Pineal Res 2005, 38(3), 145–52. [Google Scholar]
- Diaz-Trelles, R; Fernandez-Sanchez, MT; Marini, AM; Novelli, A. Antihistamine terfenadine inhibits calcium influx, cGMP formation, and NMDA receptor-dependent neurotoxicity following activation of L-type voltage sensitive calcium channels. Neurotox Res 2002, 4(1), 15–24. [Google Scholar]
- Diaz-Trelles, R; Novelli, A; Fernandez-Sanchez, MT. RNA synthesis-dependent potentiation of alpha-amino-3-hydroxy-5-methyl-4-isoxazole propionate receptor-mediated toxicity by antihistamine terfenadine in cultured rat cerebellar neurons. Neurosci Lett 2003, 345(2), 136–140. [Google Scholar]
- Fernandez-Sanchez, MT; Novelli, A. Neurotrophins and excitotoxicity. Science 1995, 270(5244), 2019. [Google Scholar]
- Fernandez-Sanchez, MT; Novelli, A. Basic fibroblast growth factor protects cerebellar neurons in primary culture from NMDA and non-NMDA receptor mediated neurotoxicity. FEBS Lett 1993, 335(1), 124–131. [Google Scholar]
- Stommel, EW; Watters, MR. Marine Neurotoxins: Ingestible Toxins. Curr Treat Options Neurol 2004, 6(2), 105–114. [Google Scholar]
- Dowling, J. Retinal Cells and information processing. In The retina. An approachable part of the brain; The Bleknap Press of Harvard University Press: Cambridge, MA, 1987; pp. 12–41. [Google Scholar]
- Pulido, O; Caldwell, D; Murphy, MaGS. Tryphonas, H, et al., Eds.; Practical Considerations in Assessing Immunhistopathology in Rodents and Nonhuman Primates. In Investigative Immunotoxicology; Tylor & Francis International, CRC press: USA, 2005; p. 229. [Google Scholar]
Abbreviations
| ASP | Amnesic Shellfish Poisoning |
| AMPA | α-amino-3-hydroxy-5-methyl-4-isoxazole propionic acid |
| BBB | Blood brain barrier |
| Ca+2 | Calcium |
| CNS | Central Nervous System |
| CGNs | Cerebellar granular neurons |
| DOM | Domoic acid |
| DRG | Dorsal root ganglia cells |
| EAAs | Excitatory amino acids |
| FAO | Food and Agriculture Organization of the United Nations |
| GABA | Gamma-aminobutyric acid |
| GI | Gastro intestinal |
| GFAP | Glial fibrillary acidic protein |
| Glu | Glutamate |
| GluRs | Glutamate receptors |
| IH | Immunohistochemistry |
| IGF-I | Insulin-like growth factor I |
| IOC | Intergovernmental Oceanographic Commission of UNESCO |
| iGluRs | Ionotropic glutamate receptors |
| KA | Kainic acid/kainate |
| LDH | Lactate dehydrogenase |
| Mg+2 | Magnesium |
| MRM | Magnetic resonance imaging microscopy |
| MMP-9 | Matrix metalloproteinase 9 |
| MRL | Maximum residual limit |
| mGluRs | Metabotropic glutamate receptors |
| NMDA | N-methyl-D-aspartate |
| PND | Post natal day |
| PSD | Post-synaptic density |
| K+ | Potassium |
| Na+ | Sodium |
| SCN | Suprachiasmatic nucleus |
| TDI. | Tolerable daily intake |
| TNF-α | Tumor necrosis factor-alpha |
| TSH | Thyroid stimulating hormone |
| WHO | World Health Organization |

