Therapeutic Intervention with Dietary Chitosan Nanoparticles Alleviates Fish Pathological and Molecular Systemic Inflammatory Responses against Infections
Abstract
:1. Introduction
2. Results
2.1. Physical Characteristics of CSNP
2.2. CSNP Cytotoxicity
2.3. Fish Cumulative Survival Rate and Relative Percent Survival
2.4. Clinical Signs and Systemic Morphometry
2.5. Organosomatic Indices (OSI)
2.6. Systemic Inflammatory Responses
2.6.1. Molecular Inflammatory Expressions
2.6.2. Histopathological Appraisals
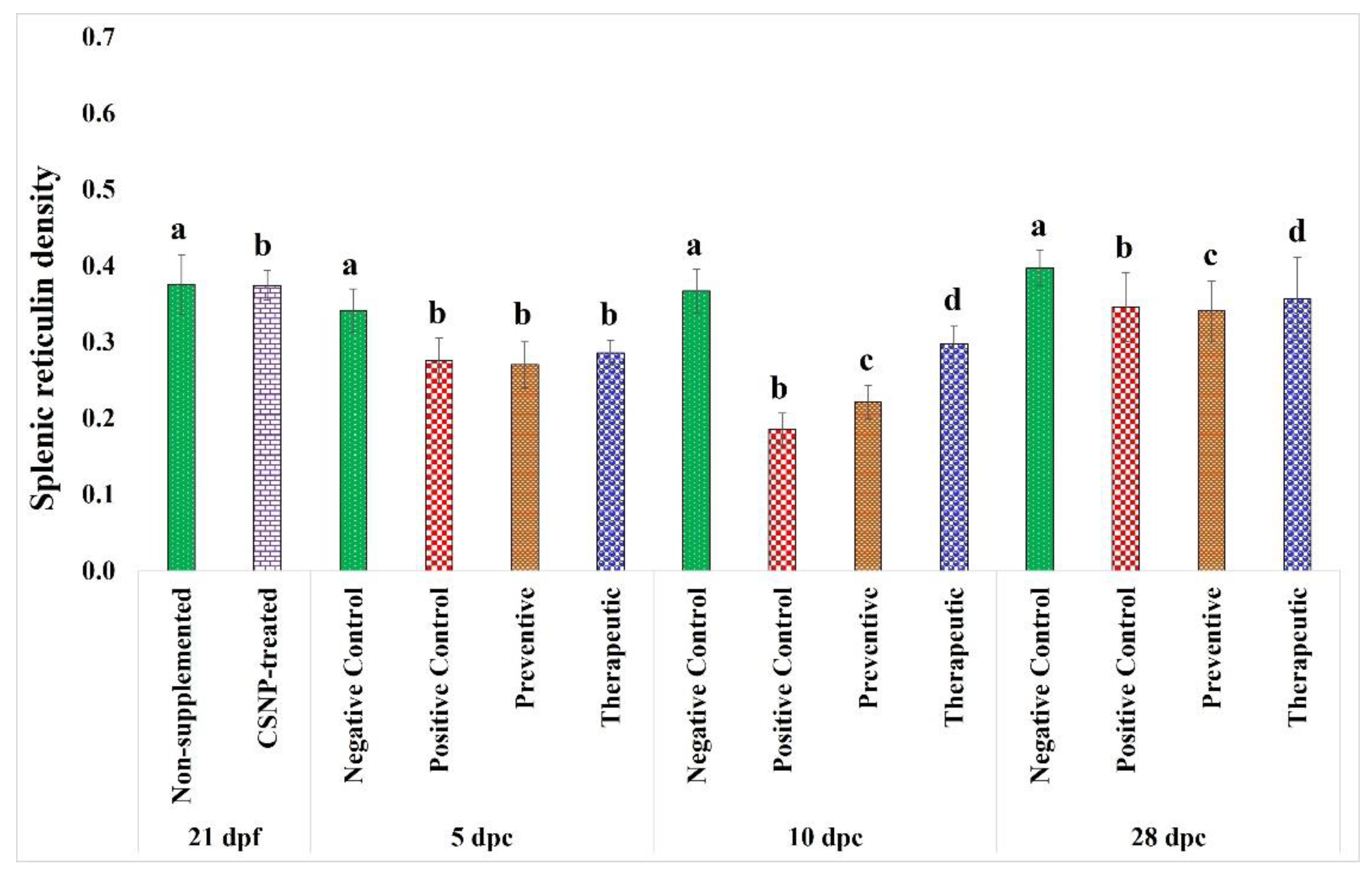
2.6.3. Splenic Histomorphometry
3. Discussion
4. Materials and Methods
4.1. Supplemented Diet Preparation
4.2. Physical Characteristics of the Prepared CSNP
4.3. Cytotoxic Characteristics of the Prepared CSNP
4.4. Fish Rearing and the Experimental Design
4.5. Fish Health/Disease Status
4.6. Bacterial Challenge
4.7. Fish Sampling and Tissue Collection
4.8. Clinical Signs and Fish Cumulative Survival
4.9. Organosomatic Indices and Systemic Morphometry
4.10. Systemic Inflammatory Response Investigations
4.10.1. Gene Transcription Analysis
- Extraction of Total RNA and Complementary DNA Synthesis
- Reverse Transcriptase Quantitative Real-Time PCR (RT-qPCR)
4.10.2. Pathology and Histomorphology
4.11. Histomorphometry and Statistical Analysis
5. Conclusions
Author Contributions
Funding
Institutional Review Board Statement
Informed Consent Statement
Data Availability Statement
Acknowledgments
Conflicts of Interest
References
- Shaalan, M.; Saleh, M.; El-Mahdy, M.; El-Matbouli, M. Recent progress in applications of nanoparticles in fish medicine: A review. Nanomed. Nanotech. Biol. Med. 2016, 12, 701–710. [Google Scholar] [CrossRef] [PubMed]
- Saleh, M.; Kumar, G.; Abdel-Baki, A.A.; Al-Quraishy, S.; El-Matbouli, M. In vitro antimicrosporidial activity of gold nanoparticles against Heterosporis saurida. BMC Vet. Res. 2016, 12, 44. [Google Scholar] [CrossRef] [PubMed] [Green Version]
- Shaalan, M.I.; El-Mahdy, M.M.; Theiner, S.; El-Matbouli, M.; Saleh, M. In vitro assessment of the antimicrobial activity of silver and zinc oxide nanoparticles against fish pathogens. Acta Vet. Scand. 2017, 59, 49. [Google Scholar] [CrossRef] [PubMed] [Green Version]
- Shaalan, M.; El-Mahdy, M.; Theiner, S.; Dinhopl, N.; El-Matbouli, M.; Saleh, M. Silver nanoparticles: Their role as antibacterial agent against Aeromonas salmonicida subsp. salmonicida in rainbow trout (Oncorhynchus mykiss). Res. Vet. Sci. 2018, 119, 196–204. [Google Scholar] [CrossRef]
- Shaalan, M.; Sellyei, B.; El-Matbouli, M.; Székely, C. Efficacy of silver nanoparticles to control flavobacteriosis caused by Flavobacterium johnsoniae in common carp Cyprinus carpio. Dis. Aquat. Organ. 2020, 137, 175–183. [Google Scholar] [CrossRef]
- Essawy, E.; Abdelfattah, M.S.; El-Matbouli, M.; Saleh, M. Synergistic effect of biosynthesized silver nanoparticles and natural phenolic compounds against drug-resistant fish pathogens and their cytotoxicity: An in vitro study. Mar. Drugs 2021, 19, 22. [Google Scholar] [CrossRef]
- Agnihotri, S.A.; Mallikarjuna, N.N.; Aminabhavi, T.M. Recent advances on chitosan-based micro- and nanoparticles in drug delivery. J. Control. Release 2004, 100, 5–28. [Google Scholar] [CrossRef]
- Elgadir, M.A.; Uddin, M.S.; Ferdosh, S.; Adam, A.; Chowdhury, A.J.K.; Sarker, M.Z.I. Impact of chitosan composites and chitosan nanoparticle composites on various drug delivery systems: A review. J. Food Drug Anal. 2015, 23, 619–629. [Google Scholar] [CrossRef] [Green Version]
- Ahmed, F.; Soliman, F.M.; Adly, M.A.; Soliman, H.A.M. Recent progress in biomedical applications of chitosan and its nanocomposites in aquaculture: A review. Res. Vet. Sci. 2019, 126, 68–82. [Google Scholar] [CrossRef]
- Wu, Y.; Rashidpour, A.; Almajano, M.P.; Metón, I. Chitosan-Based drug delivery system: Applications in fish biotechnology. Polymers 2020, 12, 1177. [Google Scholar] [CrossRef]
- Ahmed, F.; Soliman, F.M.; Adly, M.A.; Soliman, H.A.M.; El-Matbouli, M.; Saleh, M. In vitro assessment of the antimicrobial efficacy of chitosan nanoparticles against major fish pathogens and their cytotoxicity to fish cell lines. J. Fish Dis. 2020, 43, 1049–1063. [Google Scholar] [CrossRef] [PubMed]
- Abdel-Razek, N. Antimicrobial activities of chitosan nanoparticles against pathogenic microorganisms in Nile tilapia, Oreochromis niloticus. Aquac. Int. 2019, 27, 1315–1330. [Google Scholar] [CrossRef]
- Wang, Y.; Li, J. Effects of chitosan nanoparticles on survival, growth and meat quality of tilapia, Oreochromis nilotica. Nanotoxicology 2011, 5, 425–431. [Google Scholar] [CrossRef] [PubMed]
- Abd El-Naby, F.S.; Naiel, M.A.E.; Al-Sagheer, A.A.; Negm, S.S. Dietary chitosan nanoparticles enhance the growth, production performance, and immunity in Oreochromis niloticus. Aquaculture 2019, 501, 82–89. [Google Scholar] [CrossRef]
- Huang, M.; Khor, E.; Lim, L.-Y. Uptake and cytotoxicity of chitosan molecules and nanoparticles: Effects of molecular weight and degree of deacetylation. Pharm. Res. 2004, 21, 344–353. [Google Scholar] [CrossRef]
- de Lima, R.; Feitosa, L.; Pereira, A.d.E.S.; De Moura, M.R.; Aouada, F.A.; Mattoso, L.H.C.; Fraceto, L.F. Evaluation of the genotoxicity of chitosan nanoparticles for use in food packaging films. J. Food Sci. 2010, 75, 89–96. [Google Scholar] [CrossRef]
- Abdel-Tawwab, M.; Razek, N.A.; Abdel-Rahman, A.M. Immunostimulatory effect of dietary chitosan nanoparticles on the performance of Nile tilapia, Oreochromis niloticus (L.). Fish Shellfish. Immunol. 2019, 88, 254–258. [Google Scholar] [CrossRef]
- Oushani, A.K.; Soltani, M.; Sheikhzadeh, N.; Mehrgan, M.S.; Islami, H.R. Effects of dietary chitosan and nano-chitosan loaded clinoptilolite on growth and immune responses of rainbow trout (Oncorhynchus mykiss). Fish Shellfish Immunol. 2020, 98, 210–217. [Google Scholar] [CrossRef]
- Gheytasi, A.; Pezhman, S.; Shekarabi, H.; Islami, H.R. Feeding rainbow trout, Oncorhynchus mykiss, with lemon essential oil loaded in chitosan nanoparticles: Effect on growth performance, serum hemato-immunological parameters, and body composition. Aquac. Int. 2021, 29, 2207–2221. [Google Scholar] [CrossRef]
- Roudsari, S.F.; Islami, H.R.; Mousavi, S.A.; Mehrgan, M.S. Folic acid-coated nanochitosan ameliorated the growth performance, hematological parameters, antioxidant status, and immune responses of rainbow trout (Oncorhynchus mykiss). Front. Vet. Sci. 2021, 8, 647722. [Google Scholar] [CrossRef]
- Ahmed, F.; Soliman, F.M.; Adly, M.A.; Soliman, H.A.M.; El-Matbouli, M.; Saleh, M. Dietary chitosan nanoparticles: Potential role in modulation of rainbow trout (Oncorhynchus mykiss) antibacterial defense and intestinal immunity against enteric redmouth disease. Mar. Drugs 2021, 19, 72. [Google Scholar] [CrossRef] [PubMed]
- Sarasquete, C.; Gutiérrez, M. New tetrachromic VOF stain (Type III-G.S) for normal and pathological fish tissues. Eur. J. Histochem. 2005, 49, 211–227. [Google Scholar] [CrossRef] [PubMed]
- Agius, C. Phylogenetic development of melano–macrophage centres in fish. J. Zool. 1980, 191, 11–31. [Google Scholar] [CrossRef]
- Michelin, A.C.; Justulin, L.A.; Delella, F.K.; Padovani, C.R.; Felisbino, S.L.; Dal-Pai-Silva, M. Differential MMP-2 and MMP-9 activity and collagen distribution in skeletal muscle from pacu (Piaractus mesopotamicus) during juvenile and adult growth phases. Anat. Rec. 2009, 292, 387–395. [Google Scholar] [CrossRef]
- Santana, J.C.d.O.; Quagio-Grassiotto, I. Extracellular matrix remodeling of the testes through the male reproductive cycle in Teleostei fish. Fish Physiol. Biochem. 2014, 40, 1863–1875. [Google Scholar] [CrossRef]
- Mazzoni, T.; Lo Nostro, F.; Antoneli, F.; Quagio-Grassiotto, I. Action of the metalloproteinases in gonadal remodeling during sex reversal in the sequential hermaphroditism of the teleostei fish Synbranchus marmoratus (Synbranchiformes: Synbranchidae). Cells 2018, 7, 34. [Google Scholar] [CrossRef] [Green Version]
- Senarat, S.; Jiraungkoorskul, W.; Kettratad, J. Ovarian histology and reproductive health of short mackerel, Rastrelliger brachysoma (Bleeker, 1851), as threatened marine fish in Thailand. Songklanakarin J. Sci. Technol. 2017, 39, 225–235. [Google Scholar] [CrossRef]
- Smith, S.A.; Newman, S.J.; Coleman, M.P.; Alex, C. Characterization of the histologic appearance of normal gill tissue using special staining techniques. J. Vet. Diagnostic Investig. 2018, 30, 688–698. [Google Scholar] [CrossRef] [Green Version]
- Mustafa, E.S.; Al-Taee, S.K. Innate and adaptive immunity in teleost fish: A review. Vet. Med. 2020, 13, 486–503. [Google Scholar] [CrossRef]
- Ahmed, F.; Kumar, G.; Soliman, F.M.; Adly, M.A.; Soliman, H.A.M.; El-Matbouli, M.; Saleh, M. Proteomics for understanding pathogenesis, immune modulation and host pathogen interactions in aquaculture. Comp. Biochem. Physiol. Part D Genom. Proteom. 2019, 32, 100625. [Google Scholar] [CrossRef]
- Moll, R.; Sievers, E.; Hämmerling, B.; Schmidt, A.; Barth, M.; Kuhn, C.; Grund, C.; Hofmann, I.; Franke, W.W. Endothelial and virgultar cell formations in the mammalian lymph node sinus: Endothelial differentiation morphotypes characterized by a special kind of junction (complexus adhaerens). Cell Tissue Res. 2009, 335, 109–141. [Google Scholar] [CrossRef] [PubMed] [Green Version]
- Secombes, C.J.; Manning, M.J. Comparative studies on the immune system of fishes and amphibians: Antigen localization in the carp Cyprinus carpio L. J. Fish Dis. 1980, 3, 399–412. [Google Scholar] [CrossRef]
- Wahli, T.; Verlhac, V.; Girling, P.; Gabaudan, J.; Aebischer, C. Influence of dietary vitamin C on the wound healing process in rainbow trout (Oncorhynchus mykiss). Aquaculture 2003, 225, 371–386. [Google Scholar] [CrossRef]
- Quilhac, A.; Sire, J.Y. Spreading, proliferation, and differentiation of the epidermis after wounding a cichlid fish, Hemichromis bimaculatus. Anat. Rec. 1999, 254, 435–451. [Google Scholar] [CrossRef]
- Hobbie, K.R.; DeAngelo, A.B.; George, M.H.; Law, J.M. Neoplastic and nonneoplastic liver lesions induced by dimethylnitrosamine in Japanese medaka fish. Vet. Pathol. 2012, 49, 372–385. [Google Scholar] [CrossRef]
- Bunton, T.E. Ultrastructure of hepatic hemangiopericytoma in the medaka (Oryzias latipes). Exp. Mol. Pathol. 1991, 54, 87–98. [Google Scholar] [CrossRef]
- Çiltaş, A.; Hisar, O. Leiomyoma localized on the head of a goldfish (Carassius auratus). Turkish J. Vet. Anim. Sci. 2005, 29, 1077–1079. [Google Scholar]
- Qi, L.; Xu, Z.; Jiang, X.; Hu, C.; Zou, X. Preparation and antibacterial activity of chitosan nanoparticles. Carbohydr. Res. 2004, 339, 2693–2700. [Google Scholar] [CrossRef]
- Alishahi, A.; Mirvaghefi, A.; Tehrani, M.R.; Farahmand, H.; Koshio, S.; Dorkoosh, F.A.; Elsabee, M.Z. Chitosan nanoparticle to carry vitamin C through the gastrointestinal tract and induce the non-specific immunity system of rainbow trout (Oncorhynchus mykiss). Carbohydr. Polym. 2011, 86, 142–146. [Google Scholar] [CrossRef]
- Qi, L.; Xu, Z.; Jiang, X.; Li, Y.; Wang, M. Cytotoxic activities of chitosan nanoparticles and copper-loaded nanoparticles. Bioorganic Med. Chem. Lett. 2005, 15, 1397–1399. [Google Scholar] [CrossRef]
- Naiel, M.A.E.; Ismael, N.E.M.; Abd El-hameed, S.A.A.; Amer, M.S. The antioxidative and immunity roles of chitosan nanoparticle and vitamin C-supplemented diets against imidacloprid toxicity on Oreochromis niloticus. Aquaculture 2020, 523, 735219. [Google Scholar] [CrossRef]
- Menanteau-Ledouble, S.; van Sorgen, F.; Gonçalves, R.A.; El-Matbouli, M. Effect of immunostimulatory feed supplements on the development of acquired immunity in rainbow trout (Oncorhynchus mykiss). Fish Shellfish Immunol. 2019, 86, 1–3. [Google Scholar] [CrossRef] [PubMed]
- Amend, D.F. Potency testing of fish vaccines. Dev. Biol. Stand. 1981, 49, 447–454. [Google Scholar]
- Saeidi asl, M.R.; Adel, M.; Caipang, C.M.A.; Dawood, M.A.O. Immunological responses and disease resistance of rainbow trout (Oncorhynchus mykiss) juveniles following dietary administration of stinging nettle (Urtica dioica). Fish Shellfish Immunol. 2017, 71, 230–238. [Google Scholar] [CrossRef] [PubMed]
- El Basuini, M.F.; El-Hais, A.M.; Dawood, M.A.O.; Abou-Zeid, A.E.S.; EL-Damrawy, S.Z.; Khalafalla, M.M.E.S.; Koshio, S.; Ishikawa, M.; Dossou, S. Effects of dietary copper nanoparticles and vitamin C supplementations on growth performance, immune response and stress resistance of red sea bream, Pagrus major. Aquac. Nutr. 2017, 23, 1329–1340. [Google Scholar] [CrossRef]
- Sudhagar, A.; El-Matbouli, M.; Kumar, G. Identification and expression profiling of toll-like receptors of brown trout (Salmo trutta) during proliferative kidney disease. Int. J. Mol. Sci. 2020, 21, 3755. [Google Scholar] [CrossRef]
- Hook, S.E.; Skillman, A.D.; Small, J.A.; Schultz, I.R. Gene expression patterns in rainbow trout, Oncorhynchus mykiss, exposed to a suite of model toxicants. Aquat. Toxicol. 2006, 77, 372–385. [Google Scholar] [CrossRef] [Green Version]
- Wiseman, S.; Osachoff, H.; Bassett, E.; Malhotra, J.; Bruno, J.; VanAggelen, G.; Mommsen, T.P.; Vijayan, M.M. Gene expression pattern in the liver during recovery from an acute stressor in rainbow trout. Comp. Biochem. Physiol. Part D Genom. Proteom. 2007, 2, 234–244. [Google Scholar] [CrossRef]
- Tobback, E.; Decostere, A.; Hermans, K.; Haesebrouck, F.; Chiers, K. Yersinia ruckeri infections in salmonid fish. J. Fish Dis. 2007, 30, 257–268. [Google Scholar] [CrossRef]
- Kumar, G.; Hummel, K.; Razzazi-Fazeli, E.; El-Matbouli, M. Modulation of posterior intestinal mucosal proteome in rainbow trout (Oncorhynchus mykiss) after Yersinia ruckeri infection. Vet. Res. 2019, 50, 54. [Google Scholar] [CrossRef] [Green Version]
- Kumar, G.; Abd-Elfattah, A.; El-Matbouli, M. Identification of differentially expressed genes of brown trout (Salmo trutta) and rainbow trout (Oncorhynchus mykiss) in response to Tetracapsuloides bryosalmonae (Myxozoa). Parasitol. Res. 2015, 114, 929–939. [Google Scholar] [CrossRef] [PubMed] [Green Version]
- Hanana, H.; Kleinert, C.; Gagné, F. Toxicity of representative mixture of five rare earth elements in juvenile rainbow trout (Oncorhynchus mykiss) juveniles. Environ. Sci. Pollut. Res. 2021, 28, 28263–28274. [Google Scholar] [CrossRef] [PubMed]
- Hundal, B.K.; Liland, N.S.; Rosenlund, G.; Höglund, E.; Araujo, P.; Stubhaug, I.; Sissener, N.H. Increasing the dietary n-6/n-3 ratio alters the hepatic eicosanoid production after acute stress in Atlantic salmon (Salmo salar). Aquaculture 2021, 534, 736272. [Google Scholar] [CrossRef]
- Suvarna, J.D.; Layton, J.K.; Bancroft, C. Bancroft’s Theory and Practice of Histological Techniques, 7th ed.; Livingstone, C., Ed.; Elsevier Health Science: London, UK, 2013. [Google Scholar]
- Lucero, H.A.; Patterson, S.; Matsuura, S.; Ravid, K. Quantitative histological image analyses of reticulin fibers in a myelofibrotic mouse. J. Biol. Methods 2016, 3, e60. [Google Scholar] [CrossRef] [Green Version]
- Eliades, A.; Papadantonakis, N.; Bhupatiraju, A.; Burridge, K.A.; Johnston-Cox, H.A.; Migliaccio, A.R.; Crispino, J.D.; Lucero, H.A.; Trackman, P.C.; Ravid, K. Control of megakaryocyte expansion and bone marrow fibrosis by lysyl oxidase. J. Biol. Chem. 2011, 286, 27630–27638. [Google Scholar] [CrossRef] [Green Version]














| Gene | Primer Sequence (5′–3′) | Gene Bank Accession No. | Amplicon Size (bp) | Reference | 
|---|---|---|---|---|
| β-actin | F: ATGGAAGGTGAAATCGCC | AF157514 | 260 | [49] | 
| R: TGCCAGATCTTCTCCATG | ||||
| IL-1β | F: TATCCCATCACCCCATCACC | AJ223954 | 350 | [21] | 
| R: GGCGTGACGTACGAAGACAGG | ||||
| TGF-β | F: AGTTGCCTTGTGATTGTGGG | X99303 | 404 | |
| R: GGGGTGGGCAGAGGCTCCGG | ||||
| LYZ II | F: GCTGTTGTTCTCCTGCT | NM_001124716.1 | 129 | [50] | 
| R: GCAAACCCAGTTGGGCAG | ||||
| Ig M | F: ACTGCTCCGACTTTGTTCCC | XM_036941450.1 | 160 | [51] | 
| R: CCGCAGGGTACTGAACGAAA | 
| Publisher’s Note: MDPI stays neutral with regard to jurisdictional claims in published maps and institutional affiliations. | 
© 2022 by the authors. Licensee MDPI, Basel, Switzerland. This article is an open access article distributed under the terms and conditions of the Creative Commons Attribution (CC BY) license (https://creativecommons.org/licenses/by/4.0/).
Share and Cite
Saleh, M.; Essawy, E.; Shaalan, M.; Osman, S.; Ahmed, F.; El-Matbouli, M. Therapeutic Intervention with Dietary Chitosan Nanoparticles Alleviates Fish Pathological and Molecular Systemic Inflammatory Responses against Infections. Mar. Drugs 2022, 20, 425. https://doi.org/10.3390/md20070425
Saleh M, Essawy E, Shaalan M, Osman S, Ahmed F, El-Matbouli M. Therapeutic Intervention with Dietary Chitosan Nanoparticles Alleviates Fish Pathological and Molecular Systemic Inflammatory Responses against Infections. Marine Drugs. 2022; 20(7):425. https://doi.org/10.3390/md20070425
Chicago/Turabian StyleSaleh, Mona, Ehab Essawy, Mohamed Shaalan, Shaaban Osman, Fatma Ahmed, and Mansour El-Matbouli. 2022. "Therapeutic Intervention with Dietary Chitosan Nanoparticles Alleviates Fish Pathological and Molecular Systemic Inflammatory Responses against Infections" Marine Drugs 20, no. 7: 425. https://doi.org/10.3390/md20070425
APA StyleSaleh, M., Essawy, E., Shaalan, M., Osman, S., Ahmed, F., & El-Matbouli, M. (2022). Therapeutic Intervention with Dietary Chitosan Nanoparticles Alleviates Fish Pathological and Molecular Systemic Inflammatory Responses against Infections. Marine Drugs, 20(7), 425. https://doi.org/10.3390/md20070425
 
         
                                                





 
                         
       