Evaluation of Retinal Displacement After Rhegmatogenous Retinal Detachment Surgery: A Retrospective Single-Institution Study
Abstract
1. Introduction
2. Material and Methods
2.1. Surgical Procedure
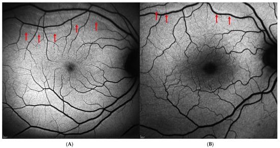
2.2. Data Collection and Analysis
2.3. Statistical Analysis
3. Results
3.1. Demographic and Baseline Clinical Characteristics
3.2. Postoperative Data and Macular Displacement
4. Data Analysis
5. Discussion
6. Conclusions
Author Contributions
Funding
Institutional Review Board Statement
Informed Consent Statement
Data Availability Statement
Conflicts of Interest
References
- Sodhi, A.; Leung, L.-S.; Do, D.V.; Gower, E.W.; Schein, O.D.; Handa, J.T. Recent trends in the management of rhegmatogenous retinal detachment. Surv. Ophthalmol. 2008, 53, 50–67. [Google Scholar] [CrossRef] [PubMed]
- Shiragami, C.; Shiraga, F.; Yamaji, H.; Fukuda, K.; Takagishi, M.; Morita, M.; Kishikami, T. Unintentional displacement of the retina after standard vitrectomy for rhegmatogenous retinal detachment. Ophthalmology 2010, 117, 86–92.e1. [Google Scholar] [CrossRef] [PubMed]
- Mason, R.H.; Minaker, S.A.; Marafon, S.B.; Figueiredo, N.; Hillier, R.J.; Muni, R.H. Retinal displacement following rhegmatogenous retinal detachment: A systematic review and meta-analysis. Surv. Ophthalmol. 2022, 67, 950–964. [Google Scholar] [CrossRef] [PubMed]
- Lee, E.; Williamson, T.H.; Hysi, P.; Shunmugam, M.; Dogramaci, M.; Wong, R.; Laidlaw, D.A. Macular displacement following rhegmatogenous retinal detachment repair. Br. J. Ophthalmol. 2013, 97, 1297–1302. [Google Scholar] [CrossRef] [PubMed]
- Stranga, E.; Spourdalakis, D.; Mavrikakis, E.; Charonis, A. Macular Displacement After Rhegmatogenous Retinal Detachment Repair: Risk Factors and Functional Sequelae; Annual Meeting; Association of Research in Vision and Ophthalmology: Rockville, MD, USA, 2018. [Google Scholar]
- Mahmoudzadeh, R.; Swaminathan, S.; Salabati, M.; Wakabayashi, T.; Patel, D.; Mehta, S.; Kuriyan, A.E.; Khan, M.A.; Klufas, M.A.; Garg, S.J.; et al. Retinal Displacement Following Rhegmatogenous Retinal Detachment Repair. Ophthalmic Surg. Lasers Imaging Retin. 2024, 55, 560–566. [Google Scholar] [CrossRef] [PubMed]
- Siwik, P.; Chudoba, T.; Cisiecki, S. Retinal Displacement Following Vitrectomy for Rhegmatogenous Retinal Detachment: A Systematic Review of Surgical Techniques, Tamponade Agents, and Outcomes. J. Clin. Med. 2025, 14, 250. [Google Scholar] [CrossRef] [PubMed] [PubMed Central]
- Dell’Omo, R.; Cifariello, F.; Dell’Omo, E.; De Lena, A.; Di Iorio, R.; Filippelli, M.; Costagliola, C. Influence of retinal vessel printings on metamorphopsia and retinal architectural abnormalities in eyes with idiopathic macular epiretinal membrane. Investig. Ophthalmol. Vis. Sci. 2013, 54, 7803–7811. [Google Scholar] [CrossRef] [PubMed]
- Casswell, E.J.; Heeren, T.F.C.; Lee, E.; Khabra, K.; Yorston, D.; Charteris, D.G. Postretinal detachment retinal displacement: How best to detect it? Ophthalmologica 2020, 243, 280–287. [Google Scholar] [CrossRef]
- Machemer, R.; Aaberg, T.M.; Freeman, H.M.; Irvine, A.R.; Lean, J.S.; Michels, R.M. An updated classification of retinal detachment with proliferative vitreoretinopathy. Am. J. Ophthalmol. 1991, 112, 159–165. [Google Scholar] [CrossRef] [PubMed]
- Schulze-Bonsel, K.; Feltgen, N.; Burau, H.; Hansen, L.; Bach, M. Visual acuities “hand motion” and “counting fingers” can be quantified with the freiburg visual acuity test. Investig. Ophthalmol. Vis. Sci. 2006, 47, 1236–1240. [Google Scholar] [CrossRef] [PubMed]
- Zhou, C.; Lin, Q.; Chen, F. Prevalence and predictors of metamorphopsia after successful rhegmatogenous retinal detachment surgery: A cross-sectional, comparative study. Br. J. Ophthalmol. 2017, 101, 725–729. [Google Scholar] [CrossRef] [PubMed]
- Cobos, E.; Rubio, M.J.; Arias, L.; Caminal, J.M.; Garcia-Bru, P.; Català, J.; Jordan, S.; Vidal, M.; Gutiérrez, L. Incidence and Relation with Anatomical and Functional Variables of Postoperative Macular Displacement in Rhegmatogenous Retinal Detachment. Retina 2016, 36, 957–961. [Google Scholar] [CrossRef] [PubMed]
- Dell’Omo, R.; Semeraro, F.; Guerra, G.; Verolino, M.; Cinelli, M.; Montagnani, S.; Costagliola, C. Short-time prone posturing is well-tolerated and reduces the rate of unintentional retinal displacement in elderly patients operated on for retinal detachment. BMC Surg. 2013, 13, S55. [Google Scholar] [CrossRef] [PubMed] [PubMed Central]
- Fung, T.H.M.; Yim, T.W.; Lois, N.; Wright, D.M.; Liu, S.H.; Williamson, T. Face-down positioning or posturing after pars plana vitrectomy for macula-involving rhegmatogenous retinal detachments. Cochrane Database Syst. Rev. 2024, 2024, CD015514. [Google Scholar] [CrossRef]
- dell’Omo, R.; Semeraro, F.; Guerra, G.; Verolino, M.; Cinelli, M.; Montagnani, S.; Costagliola, C. Short-time prone posturing reduces the rate of retinal displacement after vitrectomy for retinal detachment. Investig. Ophthalmol. Vis. Sci. 2014, 55, 2310. [Google Scholar]
- Chelazzi, P.; Azzolini, C.; Bellina, C.; Cappelli, F.; Del Genovese, I.; Caraffa, L.; Scullica, F. Efficacy and Safety of Vitrectomy without Using Perfluorocarbon Liquids and Drainage Retinotomy Associated with Postoperative Positioning Based on Residual Subretinal Fluid for Rhegmatogenous Retinal Detachment. J. Ophthalmol. 2021, 2021, 5588479. [Google Scholar] [CrossRef] [PubMed] [PubMed Central]
- Kumar, V.; Naik, A.; Kumawat, D.; Sundar, D.; Chawla, R.; Chandra, P.; Kumar, A. Multimodal imaging of eyes with metamorphopsia after vitrectomy for rhegmatogenous retinal detachment. Indian. J. Ophthalmol. 2021, 69, 2757–2765. [Google Scholar] [CrossRef] [PubMed] [PubMed Central]
- Brosh, K.; Francisconi, C.L.M.; Qian, J.; Sabatino, F.; Juncal, V.R.; Hillier, R.J.; Chaudhary, V.; Berger, A.R.; Giavedoni, L.R.; Wong, D.T.; et al. Retinal Displacement Following Pneumatic Retinopexy vs Pars Plana Vitrectomy for Rhegmatogenous Retinal Detachment. JAMA Ophthalmol. 2020, 138, 652–659. [Google Scholar] [CrossRef]
- Marafon, S.B.; Juncal, V.R.; Muni, R.H. Retinal shift with perfluorocarbon liquid without air-fluid exchange. Ophthalmology 2020, 127, 598. [Google Scholar] [CrossRef]
- Casswell, E.J.; Yorston, D.; Lee, E.; Heeren, T.F.C.; Harris, N.; Zvobgo, T.M.; Tarafdar, S.; Xing, W.; Bourmpaki, E.; Bunce, C.; et al. Effect of Face-Down Positioning vs Support-the-Break Positioning After Macula-Involving Retinal Detachment Repair: The PostRD Randomized Clinical Trial. JAMA Ophthalmol. 2020, 138, 634–642. [Google Scholar] [CrossRef] [PubMed] [PubMed Central]
- Guber, J.; Schawkat, M.; Lang, C.; Scholl, H.P.N.; Valmaggia, C. How to prevent retinal shift after rhegmatogenous retinal detachment repair: A prospective, randomized study. Ophthalmol. Retin. 2019, 3, 417–421. [Google Scholar] [CrossRef]
- Filippelli, M.; Napolitano, P.; Costagliola, C.; Rinaldi, M.; Chiosi, F.; Dell’Omo, R. Unintentional retinal displacement in eyes treated for rhegmatogenous retinal detachment complicated by proliferative vitreoretinopathy with pars plana vitrectomy and silicone oil. J. Ophthalmol. 2021, 2021, 5532787. [Google Scholar] [CrossRef]
- Pandya, V.B.; Ho, I.V.; Hunyor, A.P. Does unintentional macular translocation after retinal detachment repair influence visual outcome? Clin. Exp. Ophthalmol. 2012, 40, 88–92. [Google Scholar] [CrossRef]
- Schawkat, M.; Valmaggia, C.; Lang, C.; Scholl, H.P.; Harsum, S.; Guber, I.; Guber, J. Influence of postoperative posture on macular slippage after macula off retinal detachment, a randomized controlled trial. Ophthalmol. Ther. 2019, 8, 519–525. [Google Scholar] [CrossRef]
- dell’Omo, R.; Scupola, A.; Viggiano, D.; Sammarco, M.G.; De Turris, S.; Romano, M.R.; Grimaldi, G.; dell’Omo, E.; Costagliola, C. Incidence and Factors Influencing Retinal Displacement in Eyes Treated for Rhegmatogenous Retinal Detachment With Vitrectomy and Gas or Silicone Oil. Investig. Ophthalmol. Vis. Sci. 2017, 58, BIO191–BIO199. [Google Scholar] [CrossRef] [PubMed]

| Number of Patients (Eyes) | 98 (98) |
| Age (years) at diagnosis | |
| Mean ± SD | 63.6 ± 12.3 |
| Median | 63 |
| Range | 37–84 |
| Gender, n (%) | |
| Male | 54 (55.1%) |
| Female | 44 (44.9%) |
| Preoperative BVCA (decimal) | |
| Mean ± SD | 0.36 ± 0.31 |
| Range | 0.005 (hand motion)–1.0 |
| Laterality, n (%) | |
| Right | 51 (52.0%) |
| Left | 47 (48.0%) |
| Lens status at baseline, n (%) | |
| Phakic | 65 (66.3%) |
| Pseudophakic | 33 (33.7%) |
| High Myopia (≥6 diopters), n (%) | |
| Yes | 43 (43.9%) |
| No | 55 (54.1%) |
| Macular involvement, n (%) | |
| Yes (macula-off) | 55 (56.1%) |
| No (macula-on) | 43 (43.9%) |
| Detachment location, n (%) | |
| Superior | 37 (37.8%) |
| Inferior | 10 (10.2%) |
| Superior + Inferior | 51 (52%) |
| Retinal tears number/eye, n (%) | |
| 1 | 69 (70.4%) |
| 2 | 22 (22.5%) |
| >2 | 7 (7.1%) |
| Proliferative vitreoretinopathy, n (%) | |
| Yes | 8 (8.2%) |
| No | 90 (91.8%) |
| Number of Patients (Eyes) | 98 (98) |
| Surgical procedure, n (%) | |
| Phacovitrectomy | 41 (41.8%) |
| Vitrectomy | 33 (33.7%) |
| Scleral buckling | 24 (24.5%) |
| Tamponade agent, n (%) | |
| Gas (SF6 20%) | 61 (62.2%) |
| Silicone oil (≈1300 cSt) | 13 (13.3%) |
| Air (scleral buckling only) | 24 (24.5%) |
| Macular displacement, n (%) | |
| Yes | 16 (16.3%) |
| No | 82 (83.67%) |
| Metamorphopsia, n (%) | |
| Yes | 6 (6.1%) |
| No | 92 (93.9%) |
| Postoperative BVCA (decimal) | |
| 1 month (mean ± SD) | 0.49 ± 0.24 |
| 6 months (mean ± SD) | 0.52 ± 0.24 |
| Macular Displacement | |||
|---|---|---|---|
| Yes (N = 16) | No (N = 82) | p-Value | |
| Age (years) at diagnosis | 0.456 a | ||
| Mean ± SD | 65.75 ± 14.9 | 63.22 ± 11.8 | |
| Gender, n (%) | 0.920 b | ||
| Male | 9 (56.3%) | 45 (54.9%) | |
| Female | 7 (43.7%) | 37 (45.1%) | |
| Preoperative BVCA (decimal) | 0.262 a | ||
| Mean ± SD | 0.28 ± 0.28 | 0.37 ± 0.31 | |
| Laterality, n (%) | 0.468 b | ||
| Right | 7 (43.7%) | 44 (53.7%) | |
| Left | 9 (56.3%) | 38 (46.3%) | |
| Lens status at baseline, n (%) | 0.167 b | ||
| Phakic | 13 (81.2%) | 52 (63.4%) | |
| Pseudophakic | 3 (18.8%) | 30 (36.6%) | |
| High Myopia (≥6 diopters), n (%) | 0.937 b | ||
| Yes | 7 (43.7%) | 35 (42.7%) | |
| No | 9 (56.3%) | 47 (57.3%) | |
| Macular involvement, n (%) | 0.027 b | ||
| Yes (macula-off) | 13 (81.2%) | 42 (51.2%) | |
| No (macula-on) | 3 (18.8%) | 40 (48.8%) | |
| Detachment location, n (%) | 0.203 b | ||
| Superior | 5 (31.3%) | 32 (39%) | |
| Inferior | 0 (0%) | 10 (12.2%) | |
| Superior + Inferior | 11 (68.8%) | 40 (48.8%) | |
| Retinal tears number/eye, n (%) | 0.122 b | ||
| 1 | 9 (56.3%) | 60 (73.2%) | |
| 2 | 4 (25%) | 18 (21.9%) | |
| >2 | 3 (18.8%) | 4 (4.9%) | |
| Proliferative vitreoretinopathy, n (%) | 0.760 b | ||
| Yes | 1 (6.3%) | 7 (8.5%) | |
| No | 15 (93.7%) | 75 (91.4%) | |
| Surgical procedure, n (%) | 0.223 b | ||
| Phacovitrectomy/Vitrectomy | 14 (87.5%) | 60 (73.2%) | |
| Scleral buckling | 2 (12.5%) | 22 (26.8%) | |
| Tamponade agent, n (%) | 0.442 b(*) | ||
| Gas (SF6 20%) | 12 (75%) | 49 (59.8%) | 0.790 b(**) |
| Silicone oil (≈1300 cSt) | 2 (12.5%) | 11 (13.4%) | |
| Air (scleral buckling only) | 2 (12.5%) | 22 (26.8%) | |
| Metamorphopsia, n (%) | 0.245 b | ||
| Yes | 2 (12.5%) | 4 (4.9%) | |
| No | 14 (87.5%) | 78 (95.1%) | |
| Postoperative BVCA (decimal), n (%) | |||
| 1 month (mean ± SD) | 0.46 ± 0.20 | 0.50 ± 0.25 | 0.553 a |
| 6 months (mean ± SD) | 0.51 ± 0.21 | 0.52 ± 0.24 | 0.857 a |
Disclaimer/Publisher’s Note: The statements, opinions and data contained in all publications are solely those of the individual author(s) and contributor(s) and not of MDPI and/or the editor(s). MDPI and/or the editor(s) disclaim responsibility for any injury to people or property resulting from any ideas, methods, instructions or products referred to in the content. |
© 2026 by the authors. Published by MDPI on behalf of the Lithuanian University of Health Sciences. Licensee MDPI, Basel, Switzerland. This article is an open access article distributed under the terms and conditions of the Creative Commons Attribution (CC BY) license.
Share and Cite
Giansanti, F.; Nicolosi, C.; Luciani, D.; Vicini, G. Evaluation of Retinal Displacement After Rhegmatogenous Retinal Detachment Surgery: A Retrospective Single-Institution Study. Medicina 2026, 62, 308. https://doi.org/10.3390/medicina62020308
Giansanti F, Nicolosi C, Luciani D, Vicini G. Evaluation of Retinal Displacement After Rhegmatogenous Retinal Detachment Surgery: A Retrospective Single-Institution Study. Medicina. 2026; 62(2):308. https://doi.org/10.3390/medicina62020308
Chicago/Turabian StyleGiansanti, Fabrizio, Cristina Nicolosi, Diego Luciani, and Giulio Vicini. 2026. "Evaluation of Retinal Displacement After Rhegmatogenous Retinal Detachment Surgery: A Retrospective Single-Institution Study" Medicina 62, no. 2: 308. https://doi.org/10.3390/medicina62020308
APA StyleGiansanti, F., Nicolosi, C., Luciani, D., & Vicini, G. (2026). Evaluation of Retinal Displacement After Rhegmatogenous Retinal Detachment Surgery: A Retrospective Single-Institution Study. Medicina, 62(2), 308. https://doi.org/10.3390/medicina62020308

