An Evaluation of White Matter Intensities in Patients with Pediatric Migraine
Abstract
1. Introduction
2. Materials and Methods
Statistical Analysis
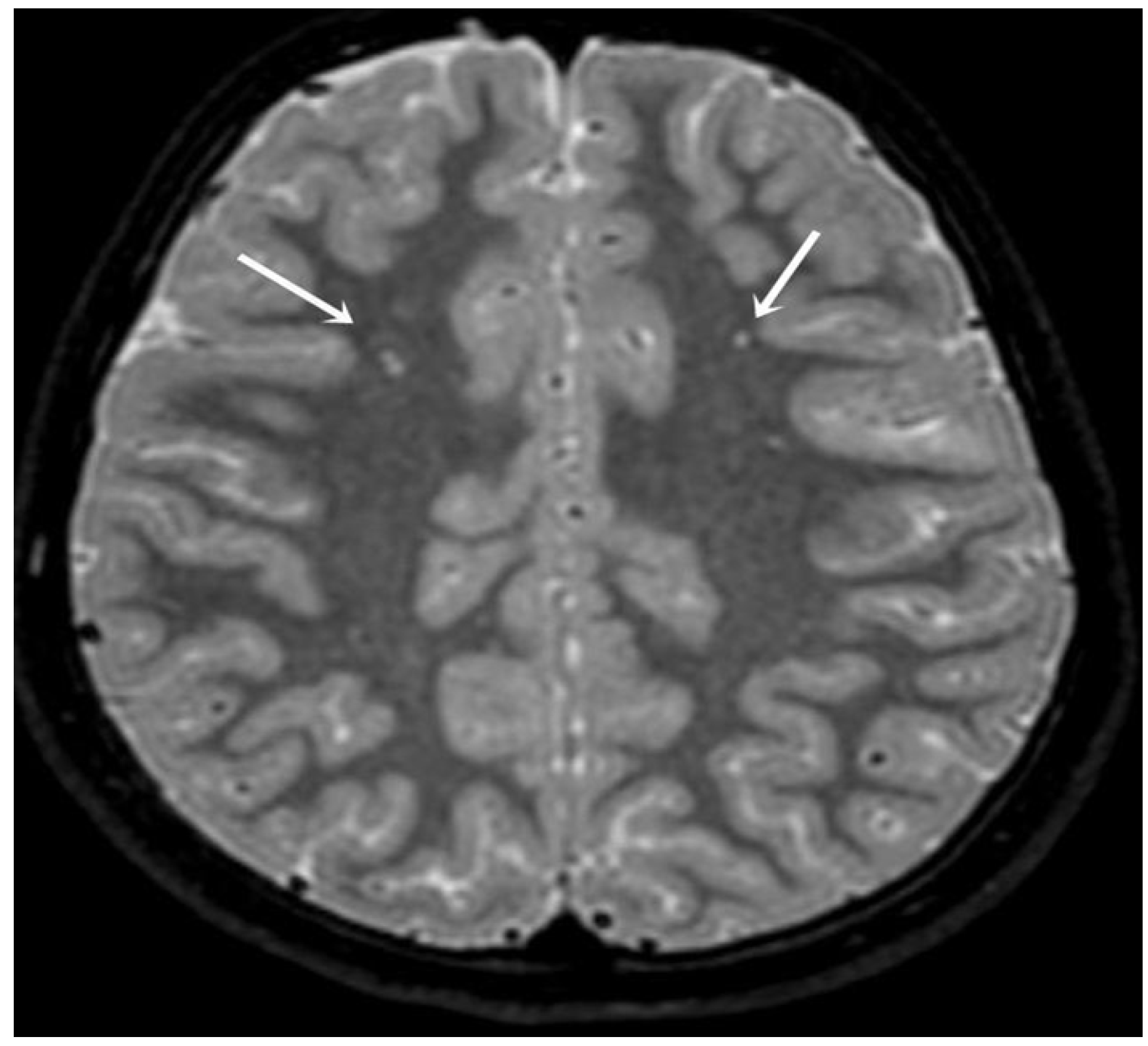
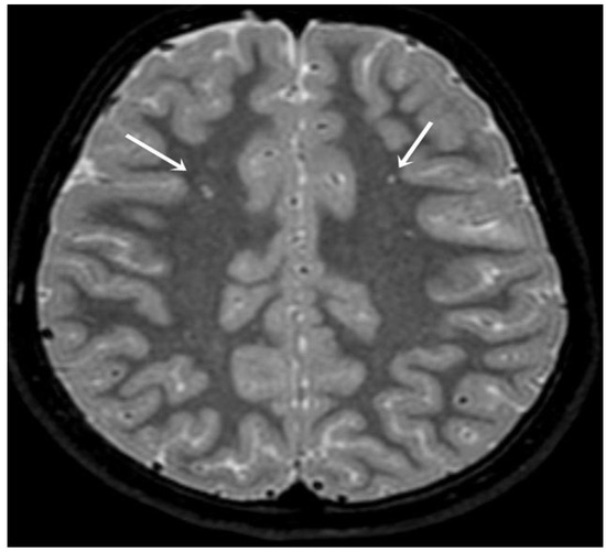
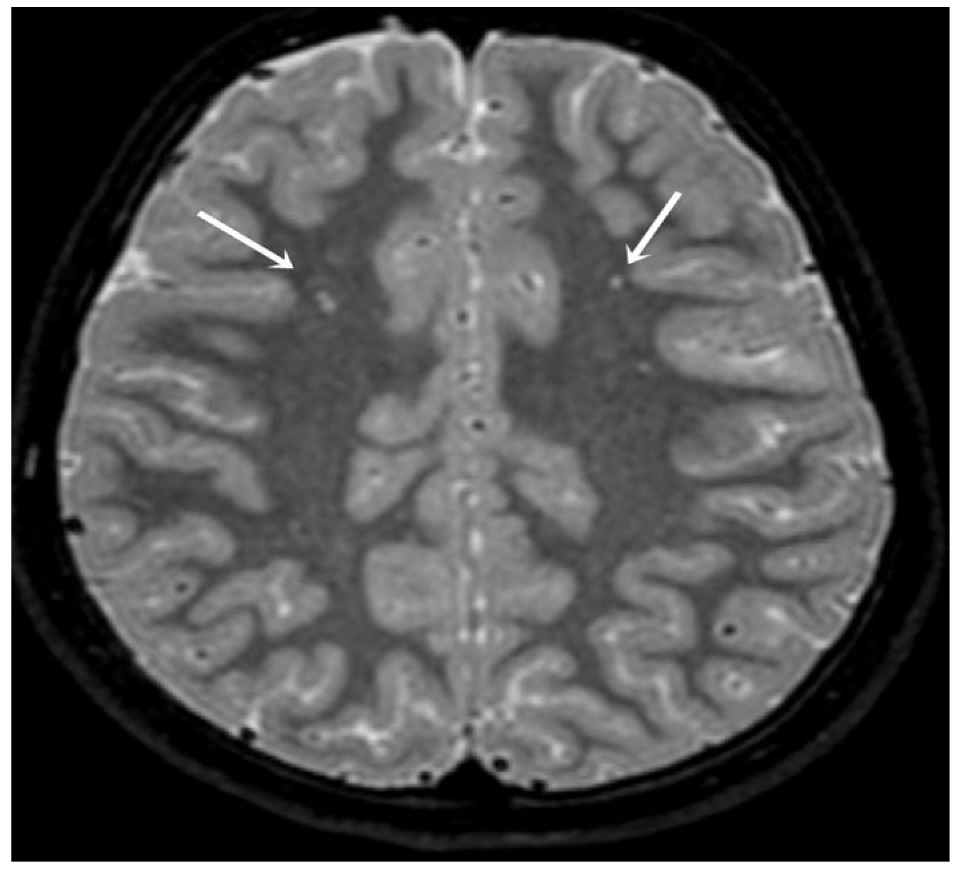
3. Results
4. Discussion
5. Conclusions
Author Contributions
Funding
Institutional Review Board Statement
Informed Consent Statement
Data Availability Statement
Conflicts of Interest
References
- Bayram, E.; Yiş, U.; Paketçi, C.; Okur, D.; Polat, İ.; Çakmakcı, H.; Hız, S.; Anlar, B. Changes of primary headache related white matter lesions in pediatric patients. Turk. J. Pediatr. 2018, 60, 380–384. [Google Scholar] [CrossRef] [PubMed]
- Karli, N.; Akiş, N.; Zarifoğlu, M.; Akgöz, S.; Irgil, E.; Ayvacioğlu, U.; Calişir, N.; Haran, N.; Akdoğan, O. Headache prevalence in adolescents aged 12 to 17: A student-based epidemiological study in Bursa. Headache 2006, 46, 649–655. [Google Scholar] [CrossRef] [PubMed]
- Brna, P.M.; Dooley, J.M. Headaches in the pediatric population. Semin. Pediatr. Neurol. 2006, 13, 222–230. [Google Scholar] [CrossRef]
- Rhee, H. Prevalence and predictors of headaches in US adolescents. Headache 2000, 40, 528–538. [Google Scholar] [CrossRef]
- Pogliani, L.; Spiri, D.; Penagini, F.; Nello, F.D.; Duca, P.; Zuccotti, G.V. Headache in children and adolescents aged 6–18 years in northern Italy: Prevalence and risk factors. Eur. J. Paediatr. Neurol. 2011, 15, 234–240. [Google Scholar] [CrossRef]
- Messina, R.; Rocca, A.M.; Colombo, B.; Pagani, E.; Falini, A.; Comi, G.; Filippi, M. White matter microstructure abnormalities in pediatric migraine patients. Cephalalgia 2015, 35, 1278–1286. [Google Scholar] [CrossRef] [PubMed]
- Bashir, A.; Lipton, R.B.; Ashina, S.; Ashina, M. Migraine and structural changes in the brain: A systematic review and meta-analysis. Neurology 2013, 81, 1260–1268. [Google Scholar] [CrossRef]
- Victor, T.; Hu, X.; Campbell, J.; Buse, D.; Lipton, R. Migraine prevalence by age and sex in the United States: A life-span study. Cephalalgia 2010, 30, 1065–1072. [Google Scholar] [CrossRef]
- Abu-Arafeh, I.; Razak, S.; Sivaraman, B.; Graham, C. Prevalence of headache and migraine in children and adolescents: A systematic review of population-based studies. Dev. Med. Child. Neurol. 2010, 52, 1088–1097. [Google Scholar] [CrossRef]
- Headache Classification Committee of the International Headache Society (IHS). The International Classification of Headache Disorders, 3rd edition. Cephalalgia 2018, 38, 1–211. [Google Scholar] [CrossRef]
- Buse, D.C.; Loder, E.W.; Gorman, J.A.; Stewart, W.F.; Reed, M.L.; Fanning, K.M.; Serrano, D.; Lipton, R.B. Sex differences in the prevalence, symptoms, and associated features of migraine, probable migraine and other severe headache: Results of the American Migraine Prevalence and Prevention (AMPP) study. Headache 2013, 53, 1278–1299. [Google Scholar] [CrossRef]
- Youssef, P.E.; Mack, K.J. Episodic and chronic migraine in children. Dev. Med. Child Neurol. 2020, 62, 34–41. [Google Scholar] [CrossRef] [PubMed]
- Lewis, D.W.; Dorbad, D. The utility of neuroimaging in the evaluation of children with migraine or chronic daily headache who have normal neurological examinations. Headache 2000, 40, 629–632. [Google Scholar] [CrossRef] [PubMed]
- Gupta, S.N.; Belay, B. Intracranial incidental findings on brain MR images in a pediatric neurology practice: A retrospective study. J. Neurol. Sci. 2008, 264, 34–37. [Google Scholar] [CrossRef] [PubMed]
- Kim, B.S.; Illes, J.; Kaplan, R.T.; Reiss, A.; Atlas, S.W. Incidental findings on pediatric MR images of the brain. AJNR Am. J. Neuroradiol. 2002, 23, 1674–1677. [Google Scholar] [CrossRef] [PubMed]
- Li, Y.; Thompson, W.K.; Reuter, C.; Nillo, R.; Jernigan, T.; Dale, A.; Sugrue, L.P.; the ABCD Consortium. Rates of incidental findings in brain magnetic resonance imaging in children. JAMA Neurol. 2021, 78, 578–587. [Google Scholar] [CrossRef]
- Ackley, E.; Asamoah, P.; Mirsky, D.; White, C.; Maloney, J.; Stence, N.; Silveira, L.; Yonker, M.; Neuberger, I. Dots and spots: A retrospective review of T2-hyperintense white matter lesions in pediatric patients with and without headache. Headache 2023, 63, 611–620. [Google Scholar] [CrossRef]
- Wardlaw, J.M.; Smith, C.; Dichgans, M. Small vessel disease: Mechanisms and clinical implications. Lancet Neurol. 2019, 18, 684–696. [Google Scholar] [CrossRef]
- Deodato, M.; Granato, A.; Martini, M.; Buoite Stella, A.; Galmonte, A.; Murena, L.; Manganotti, P. Neurophysiological and Clinical Outcomes in Episodic Migraine Without Aura: A Cross-Sectional Study. J. Clin. Neurophysiol. 2024, 41, 388–395. [Google Scholar] [CrossRef]
- Coppola, G.; Di Lorenzo, C.; Schoenen, J.; Pierelli, F. Habituation and sensitization in primary headaches. J. Headache Pain 2013, 14, 65. [Google Scholar] [CrossRef]
- Bekiesińska-Figatowska, M. T2-hyperintense foci on brain MR imaging. Med. Sci. Monit. 2004, 10, 80–87. [Google Scholar] [PubMed]
- Swartz, R.H.; Kern, R.Z. Migraine is associated with magnetic resonance imaging white matter abnormalities: A meta-analysis. Arch. Neurol. 2004, 61, 1366–1368. [Google Scholar] [CrossRef] [PubMed]
- Robbins, L.; Friedman, H. MRI in migraineurs. Headache 1992, 32, 507–508. [Google Scholar] [CrossRef]
- Fisch, N.; Konen, O.; Halevy, A.; Cohen, R.; Shuper, A. Incidental multifocal white matter lesions in pediatric magnetic resonance imaging. Pediatr. Neurol. 2012, 47, 7–12. [Google Scholar] [CrossRef]
- Eidlitz-Markus, T.; Zeharia, A.; Haimi-Cohen, Y.; Konen, O. MRI white matter lesions in pediatric migraine. Cephalalgia 2013, 33, 906–913. [Google Scholar] [CrossRef]
- Kruit, M.C.; van Buchem, M.A.; Hofman, P.A.; Bakkers, J.T.; Terwindt, G.M.; Ferrari, M.D.; Launer, L.J. Migraine as a Risk Factor for Subclinical Brain Lesions. JAMA 2004, 291, 427–443. [Google Scholar] [CrossRef]
- Kruit, M.C.; Launer, L.J.; Ferrari, M.D.; van Buchem, M.A. Brain stem and cerebellar hyperintense lesions in migraine. Stroke 2006, 37, 1109–1112. [Google Scholar] [CrossRef]
- Kruit, M.C.; van Buchem, M.A.; Launer, L.J.; Terwindt, G.M.; Ferrari, M.D. Migraine is associated with an increased risk of deep white matter lesions.; subclinical pos- terior circulation infarcts and brain iron accumulation: The population-based MRI CAMERA study. Cephalalgia 2010, 30, 129–136. [Google Scholar] [CrossRef]
- Rossato, G.; Adami, A.; Thijs, V.N.; Cerini, R.; Pozzi-Mucelli, R.; Mazzucco, S.; Anzola, G.P.; Del Sette, M.; Dinia, L.; Meneghetti, G.; et al. Cerebral distribution of white matter lesions in migraine with aura patients. Cephalalgia 2010, 30, 855–859. [Google Scholar] [CrossRef]
- Honningsvåg, L.-M.; Håberg, A.K.; Hagen, K.; Kvistad, K.A.; Stovner, L.J.; Linde, M. White matter hyperintensities and headache: A population-based imaging study (HUNT MRI). Cephalalgia 2018, 38, 1927–1939. [Google Scholar] [CrossRef]
- Schwedt, T.J.; Guo, Y.; Rothner, A.D. “Benign” imaging abnormalities in children and adolescents with headache. Headache 2006, 46, 387–398. [Google Scholar] [CrossRef] [PubMed]
- Schmitz, N.; Admiraal-Behloul, F.; Arkink, E.B.; Kruit, M.C.; Schoonman, G.G.; Ferrari, M.D.; van Buchem, M.A. Attack frequency and disease duration as indicators for brain damage in migraine. Headache 2008, 48, 1044–1055. [Google Scholar] [CrossRef] [PubMed]
- Deodato, M.; Granato, A.; Buoite Stella, A.; Martini, M.; Marchetti, E.; Lise, I.; Galmonte, A.; Murena, L.; Manganotti, P. Efficacy of a dual task protocol on neurophysiological and clinical outcomes in migraine: A randomized control trial. Neurol. Sci. 2024, 45, 4015–4026. [Google Scholar] [CrossRef] [PubMed]
- Vuralli, D.; Ayata, C.; Bolay, H. Cognitive dysfunction and migraine. J. Headache Pain 2018, 19, 109. [Google Scholar] [CrossRef]
- Khera, T.; Rangasamy, V. Cognition and Pain: A Review. Front. Psychol. 2021, 12, 673962. [Google Scholar] [CrossRef]
- Al-Hassany, L.; Haas, J.; Piccininni, M.; Kurth, T.; Maassen Van Den Brink, A.; Rohmann, J.L. Giving Researchers a Headache–Sex and Gender Differences in Migraine. Front. Neurol. 2020, 11, 549038. [Google Scholar] [CrossRef]
- Karceski, S. Migraine and Hormones: A Complex Interaction. Neurology 2023, 100, e1849–e1851. [Google Scholar] [CrossRef]
- Delaruelle, Z.; Ivanova, T.A.; Khan, S.; Negro, A.; Ornello, R.; Raffaelli, B.; Terrin, A.; Mitsikostas, D.D.; Reuter, U.; European Headache Federation School of Advanced Studies (EHF-SAS). Male and female sex hormones in primary headaches. J. Headache Pain 2018, 19, 117. [Google Scholar] [CrossRef]

| Control Group (n = 28) | Migraine Group (n = 30) | p | |
|---|---|---|---|
| Gender n (%) | |||
| Male | 12 (57.1) | 9 (30) | |
| Female | 16 (42.9) | 21 (70) | |
| Age (min–max) | 10.68 ± 4.46 (3–17) | 13.20 ± 3.60 (1–18) | |
| Drug use n (%) | |||
| Yes | 2 (6.7) | ||
| No | 28 (93.3) | ||
| Attack duration n (%) | |||
| <1 h | 12 (40) | ||
| 1–4 h | 13 (43.3) | ||
| 4–24 h | 3 (10) | ||
| >24 h | 2 (6.7) | ||
| Attack frequency n (%) | |||
| Daily | 6 (20) | ||
| 2–6/week | 20 (66.7) | ||
| 1/week | 4 (13.3) | ||
| 1/month | - | ||
| MRI Hyperintensity n (%) | 0.016 | ||
| Yes | 8 (28.6) | 18 (60) | |
| No | 20 (71.4) | 12 (40) |
| Control Group (n = 8) | n | % | Migraine Group (n = 18) | n | % |
|---|---|---|---|---|---|
| Right frontal subcortical | 1 | 12.5 | Right frontal subcortical | 3 | 16 |
| Right frontal | 1 | 12.5 | Right frontal | 1 | 5.6 |
| Right pericallosal | 1 | 12.5 | One right, one left parietal subcortical | 1 | 5.6 |
| Left anterior frontal subcortical | 1 | 12.5 | Two left frontal subcortical | 1 | 5.6 |
| Left frontal subcortical | 1 | 12.5 | Left basal ganglia level | 1 | 5.6 |
| Left parietal subcortical | 1 | 12.5 | Left frontal subcortical | 1 | 5.6 |
| Left pericallosal | 2 | 25 | Left occipital | 1 | 5.6 |
| Left parietal | 1 | 5.6 | |||
| Left temporal | 1 | 5.6 | |||
| Four right, one left subcortical. Three of those on the right frontal, one centrum semiovale. Parietal on the left | 1 | 5.6 | |||
| Two right pericallosal | 1 | 5.6 | |||
| Two right, seven left bifrontal | 1 | 5.6 | |||
| Two left frontal subcortical | 1 | 5.6 | |||
| Two left frontal and parietal | 1 | 5.6 | |||
| Two left corpus callosum | 1 | 5.6 | |||
| Three right, five left bifrontal subcortical | 1 | 5.6 |
| Control Group (n = 8) | Migraine Group (n = 18) | p | |
|---|---|---|---|
| Gender n (%) | |||
| Male | 4 (50) | 5 (27.8) | |
| Female | 4 (50) | 13 (72.2) | |
| Years (min–max) | 11.38 ± 3.66 (5–16) | 12.78 ± 4.05 (1–18) | |
| MR Hyperintensity Volume (mm3) | 0.113 | ||
| Min | 3.36 | 3.02 | |
| Max | 8.39 | 95.67 | |
| Mean SD | 5.62 ± 1.83 | 19.73 ± 24.26 |
Disclaimer/Publisher’s Note: The statements, opinions and data contained in all publications are solely those of the individual author(s) and contributor(s) and not of MDPI and/or the editor(s). MDPI and/or the editor(s) disclaim responsibility for any injury to people or property resulting from any ideas, methods, instructions or products referred to in the content. |
© 2025 by the authors. Published by MDPI on behalf of the Lithuanian University of Health Sciences. Licensee MDPI, Basel, Switzerland. This article is an open access article distributed under the terms and conditions of the Creative Commons Attribution (CC BY) license (https://creativecommons.org/licenses/by/4.0/).
Share and Cite
Gülcen, B.; Aydın, H.; Bülbül, E.; Yanik, B. An Evaluation of White Matter Intensities in Patients with Pediatric Migraine. Medicina 2025, 61, 186. https://doi.org/10.3390/medicina61020186
Gülcen B, Aydın H, Bülbül E, Yanik B. An Evaluation of White Matter Intensities in Patients with Pediatric Migraine. Medicina. 2025; 61(2):186. https://doi.org/10.3390/medicina61020186
Chicago/Turabian StyleGülcen, Burak, Hilal Aydın, Erdoğan Bülbül, and Bahar Yanik. 2025. "An Evaluation of White Matter Intensities in Patients with Pediatric Migraine" Medicina 61, no. 2: 186. https://doi.org/10.3390/medicina61020186
APA StyleGülcen, B., Aydın, H., Bülbül, E., & Yanik, B. (2025). An Evaluation of White Matter Intensities in Patients with Pediatric Migraine. Medicina, 61(2), 186. https://doi.org/10.3390/medicina61020186

