The Cross-Sectional Area Ratio of Right-to-Left Portal Vein Predicts the Effect of Preoperative Right Portal Vein Embolization
Abstract
1. Introduction
2. Materials and Methods
2.1. Study Population
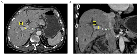
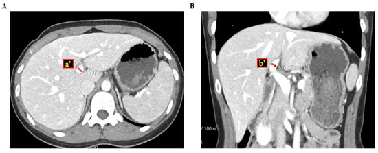
2.2. RPVA/LPVA
2.3. Statistical Analysis
3. Results
3.1. Baseline Characteristics of the Patients
3.2. Procedure-Related Characteristics of the Patients
3.3. Surgical Outcomes
3.4. Prognostic Factors for Sufficient ΔFRLV%
4. Discussion
5. Conclusions
Author Contributions
Funding
Institutional Review Board Statement
Informed Consent Statement
Data Availability Statement
Acknowledgments
Conflicts of Interest
References
- Jemal, A.; Bray, F.; Center, M.M.; Ferlay, J.; Ward, E.; Forman, D. Global cancer statistics. CA Cancer J. Clin. 2011, 61, 69–90, Erratum in CA Cancer J. Clin. 2011, 61, 134. [Google Scholar] [CrossRef] [PubMed]
- Zhou, X.-D.; Tang, Z.-Y.; Yu, Y.-Q.; Yang, B.-H.; Lin, Z.-Y.; Lu, J.-Z.; Ma, Z.-C.; Tang, C.-L. Long-term survivors after resection for primary liver cancer. Clinical analysis of 19 patients surviving more than ten years. Cancer 1989, 63, 2201–2206. [Google Scholar] [CrossRef] [PubMed]
- Bakalakos, E.A.; Kim, J.A.; Young, D.C.; Martin, E.W. Determinants of survival following hepatic resection for metastatic colorectal cancer. World J. Surg. 1998, 22, 399–404. [Google Scholar] [CrossRef] [PubMed]
- Shoup, M.; Gonen, M.; D’Angelica, M.; Jarnagin, W.R.; DeMatteo, R.P.; Schwartz, L.H.; Tuorto, S.; Blumgart, L.H.; Fong, Y. Volumetric analysis predicts hepatic dysfunction in patients undergoing major liver resection. J. Gastrointest. Surg. 2003, 7, 325–330. [Google Scholar] [CrossRef] [PubMed]
- Ribero, D.; Abdalla, E.K.; Madoff, D.C.; Donadon, M.; Loyer, E.M.; Vauthey, J. Portal vein embolization before major hepatectomy and its effects on regeneration, resectability and outcome. Br. J. Surg. 2007, 94, 1386–1394. [Google Scholar] [CrossRef] [PubMed]
- Abdalla, E.K.; Denys, A.; Chevalier, P.; A Nemr, R.; Vauthey, J.-N. Total and segmental liver volume variations: Implications for liver surgery. Surgery 2004, 135, 404–410. [Google Scholar] [CrossRef] [PubMed]
- Narula, N.; Aloia, T.A. Portal vein embolization in extended liver resection. Langenbecks Arch. Surg. 2017, 402, 727–735. [Google Scholar] [CrossRef] [PubMed]
- Shirabe, K.; Shimada, M.; Gion, T.; Hasegawa, H.; Takenaka, K.; Utsunomiya, T.; Sugimachi, K. Postoperative liver failure after major hepatic resection for hepatocellular carcinoma in the modern era with special reference to remnant liver volume. J. Am. Coll. Surg. 1999, 188, 304–309. [Google Scholar] [CrossRef]
- Abdalla, E.K.; Barnett, C.C.; Doherty, D.; Curley, S.A.; Vauthey, J.-N. Extended hepatectomy in patients with hepatobiliary malignancies with and without preoperative portal vein embolization. Arch. Surg. 2002, 137, 675–680, discussion 680–671. [Google Scholar] [CrossRef]
- Kishi, Y.; Abdalla, E.K.; Chun, Y.S.; Zorzi, D.; Madoff, D.C.; Wallace, M.J.; Curley, S.A.; Vauthey, J.-N. Three hundred and one consecutive extended right hepatectomies: Evaluation of outcome based on systematic liver volumetry. Ann. Surg. 2009, 250, 540–548. [Google Scholar] [CrossRef]
- Kinoshita, H.; Sakai, K.; Hirohashi, K.; Igawa, S.; Yamasaki, O.; Kubo, S. Preoperative portal vein embolization for hepatocellular carcinoma. World J. Surg. 1986, 10, 803–808. [Google Scholar] [CrossRef] [PubMed]
- Tanaka, H.; Hirohashi, K.; Kubo, S.; Shuto, T.; Higaki, I.; Kinoshita, H. Preoperative portal vein embolization improves prognosis after right hepatectomy for hepatocellular carcinoma in patients with impaired hepatic function. Br. J. Surg. 2000, 87, 879–882. [Google Scholar] [CrossRef] [PubMed]
- Kubo, S.; Shiomi, S.; Tanaka, H.; Shuto, T.; Takemura, S.; Mikami, S.; Kinoshita, H. Evaluation of the effect of portal vein embolization on liver function by 99mTc-galactosyl human serum albumin scintigraphy. J. Surg. Res. 2002, 107, 113–118. [Google Scholar] [CrossRef]
- Tsukamoto, T.; Kinoshita, H.; Hirohashi, K.; Kubo, S.; Tanaka, H.; Otani, S. Human erythrocyte polyamine levels after portal vein embolization. Hepatogastroenterology 1999, 46, 3178–3183. [Google Scholar] [PubMed]
- Shindoh, J.; Tzeng, C.-W.D.; Vauthey, J.-N. Portal vein embolization for hepatocellular carcinoma. Liver Cancer 2012, 1, 159–167. [Google Scholar] [CrossRef]
- Beppu, T.; Okabe, H.; Okuda, K.; Eguchi, S.; Kitahara, K.; Taniai, N.; Fujioka, H. Portal vein embolization followed by right-side hemihepatectomy for hepatocellular carcinoma patients: A Japanese multi-institutional study. J. Am. Coll. Surg. 2016, 222, 1138–1148. [Google Scholar] [CrossRef] [PubMed]
- Charles, J.; Nezami, N.; Loya, M.; Shube, S.; Davis, C.; Hoots, G.; Shaikh, J. Portal Vein Embolization: Rationale, Techniques, and Outcomes to Maximize Remnant Liver Hypertrophy with a Focus on Contemporary Strategies. Life 2023, 13, 279. [Google Scholar] [CrossRef] [PubMed] [PubMed Central]
- Shimura, T.; Suehiro, T.; Suzuki, H.; Okada, K.; Araki, K.; Kuwano, H. Trans-ileocecal portal vein embolization as a preoperative treatment for right trisegmentectomy with caudate lobectomy. J. Surg. Oncol. 2007, 96, 438–441. [Google Scholar] [CrossRef]
- May, B.J.; Madoff, D.C. Portal vein embolization: Rationale, technique, and current application. Semin. Interv. Radiol. 2012, 29, 81–89. [Google Scholar] [CrossRef]
- Huang, H.; Liu, W.; Wang, A.; Bian, J.; Wang, S.; Wu, L.; Lin, J.; Xu, Y.; Sang, X.; Zhao, H. Comparison of portal vein embolization, portal vein ligation, associating liver partition and portal vein ligation for staged hepatectomy in cases with a small future liver remnant: A network meta-analysis. Transl. Cancer Res. 2017, 6, 826–833. [Google Scholar] [CrossRef]
- Nakayama, Y.; Li, Q.; Katsuragawa, S.; Ikeda, R.; Hiai, Y.; Awai, K.; Kusunoki, S.; Yamashita, Y.; Okajima, H.; Inomata, Y.; et al. Automated hepatic volumetry for living related liver transplantation at multisection CT. Radiology 2006, 240, 743–748. [Google Scholar] [CrossRef] [PubMed]
- Suzuki, K.; Epstein, M.L.; Kohlbrenner, R.; Garg, S.; Hori, M.; Oto, A.; Baron, R.L. Quantitative radiology: Automated CT liver volumetry compared with interactive volumetry and manual volumetry. Am. J. Roentgenol. 2011, 197, W706–W712. [Google Scholar] [CrossRef] [PubMed]
- Therneau, T.M.; Grambsch, P.M.; Fleming, T.R. Martingale-Based Residuals for Survival Models. Biometrika 1990, 77, 147–160. [Google Scholar] [CrossRef]
- D’Avola, D.; Granito, A.; Torre-Aláez, M.; Piscaglia, F. The importance of liver functional reserve in the non-surgical treatment of hepatocellular carcinoma. J. Hepatol. 2022, 76, 1185–1198. [Google Scholar] [CrossRef] [PubMed]


| ≤1.2 (N = 30) | >1.2 (N = 35) | p Value | |
|---|---|---|---|
| Age (mean) | 64.57 | 62.97 | 0.599 |
| Age ≥ 65 | 18 (60.0%) | 15 (42.9%) | 0.168 |
| Sex (male) | 7 (23.3%) | 10 (28.6%) | 0.632 |
| BMI (mean) | 23.73 | 23.4 | 0.712 |
| LC (radiology) | 6 (20.0%) | 2 (5.7%) | 0.085 |
| HBV (+) | 6 (20.0%) | 6 (17.1%) | 0.767 |
| HCV (+) | 3 (10.0%) | 0 (0.0%) | 0.093 |
| Serum creatinine (mean) | 0.81 | 0.81 | 0.983 |
| Serum AST (mean) | 48.4 | 44.1 | 0.462 |
| Serum ALT (mean) | 49.9 | 47.9 | 0.777 |
| Serum albumin (mean) | 3.76 | 3.84 | 0.435 |
| Serum TB (mean) | 1.06 | 0.93 | 0.302 |
| Serum platelet (mean) | 262.33 | 247.17 | 0.578 |
| INR (mean) | 1.10 | 1.04 | 0.057 |
| Ascites | 2 (6.7%) | 0 (0.0%) | 0.209 |
| Disease | |||
| HCC | 11 (36.7%) | 8 (22.9%) | 0.222 |
| pCCA | 13 (43.3%) | 16 (45.7%) | 0.847 |
| GBC | 2 (6.7%) | 3 (8.6%) | 0.574 |
| CRLM | 2 (6.7%) | 7 (20.0%) | 0.116 |
| Others | 2 (6.7%) | 1 (2.9%) | 0.442 |
| Adenocarcinoma | 17 (56.7%) | 27 (77.1%) | 0.078 |
| RH (N = 54) | Non-RH (N = 11) | p Value | |
|---|---|---|---|
| Age (mean) | 63.93 | 62.64 | 0.749 |
| Age ≥ 65 | 27 (50.0%) | 6 (54.5%) | 0.783 |
| Sex (male) | 16 (29.6%) | 1 (9.1%) | 0.149 |
| BMI (mean) | 23.89 | 21.89 | 0.092 |
| LC (radiology) | 6 (11.1%) | 2 (18.2%) | 0.408 |
| HBV (+) | 9 (16.7%) | 3 (27.3%) | 0.327 |
| HCV (+) | 3 (5.6%) | 0 (0.0%) | 0.568 |
| Serum creatinine (mean) | 0.79 | 0.92 | 0.072 |
| Serum AST (mean) | 46.00 | 46.55 | 0.944 |
| Serum ALT (mean) | 49.02 | 47.73 | 0.893 |
| Serum albumin (mean) | 3.81 | 3.76 | 0.750 |
| Serum TB (mean) | 0.91 | 1.39 | 0.049 |
| Serum platelet (mean) | 250.04 | 274.45 | 0.500 |
| INR (mean) | 1.06 | 1.14 | 0.044 |
| Ascites | 1 (1.9%) | 1 (9.1%) | 0.312 |
| Disease | |||
| HCC | 15 (27.8%) | 4 (36.4%) | 0.406 |
| pCCA | 24 (44.4%) | 5 (45.5%) | 0.603 |
| GBC | 3 (5.6%) | 2 (18.2%) | 0.196 |
| CRLM | 9 (16.7%) | 0 (0.0%) | 0.166 |
| Others | 3 (5.6%) | 0 (0.0%) | 0.568 |
| Adenocarcinoma | 37 (68.5%) | 7 (63.6%) | 0.504 |
| ≤1.2 (N = 30) | >1.2 (N = 35) | p Value | |
|---|---|---|---|
| Pre-FRLV% (mean) | 42.47% | 35.49% | <0.001 |
| Pre-RHLV/LHLV (mean) | 1.43 | 1.93 | <0.001 |
| RPVA (π mm2; mean) | 25.12 | 34.39 | <0.001 |
| LPVA (π mm2; mean) | 27.83 | 19.91 | <0.001 |
| Post-FRLV% (mean) | 51.99% | 50.83% | 0.573 |
| ΔFRLV% (mean) | 9.52% | 15.34% | <0.001 |
| Operation type | 0.049 | ||
| RH | 22 (73.3%) | 32 (91.4%) | |
| Non-RH | 8 (26.7%) | 3 (8.6%) |
| RH (N = 54) | Non-RH (N = 11) | p Value | |
|---|---|---|---|
| Pre-FRLV% (mean) | 38.71% | 38.72% | 0.996 |
| RPVA (π mm2; mean) | 10.84 | 10.36 | 0.428 |
| LPVA (π mm2; mean) | 9.36 | 9.63 | 0.610 |
| RPVA/LPVA (mean) | 1.41 | 1.33 | 0.728 |
| Post-FRLV% (mean) | 51.84% | 49.00% | 0.295 |
| ΔFRLV% (mean) | 13.14% | 9.28% | 0.037 |
| ≤1.2 (N = 25) | >1.2 (N = 32) | p Value | |
|---|---|---|---|
| Pringle maneuver | 4 (16.0%) | 3 (9.4%) | 0.360 |
| Pringle time | 3.52 | 3.91 | 0.898 |
| Major vessel reconstruction | 2 (8.0%) | 5 (15.6%) | 0.327 |
| Operation time | 304.26 | 299.47 | 0.869 |
| Estimated blood loss | 826.91 | 725.76 | 0.626 |
| Posthepatectomy liver failure | 1 (4.5%) | 1 (3.1%) | 0.653 |
| CDC ≥ IIIa | 14 (51.9%) | 12 (35.3%) | 0.194 |
| R0 resection | 14 (53.8%) | 28 (84.8%) | 0.009 |
| Postoperative hospital stay | 16.58 | 16.56 | 0.996 |
| Variables | Univariate Analysis | Multivariable Analysis | ||||
|---|---|---|---|---|---|---|
| HR | 95% CI | p Value | HR | 95% CI | p Value | |
| Age ≥ 65 | 0.667 | 0.227–1.961 | 0.461 | |||
| Sex (male) | 1.012 | 0.300–3.410 | 0.985 | |||
| BMI | 0.949 | 0.818–1.101 | 0.491 | |||
| LC (radiology) | 0.195 | 0.041–0.923 | 0.039 | 1.193 | 0.116–12.219 | 0.882 |
| HBV (+) | 0.503 | 0.137–1.844 | 0.300 | |||
| HCV (+) | 0.189 | 0.016–2.221 | 0.185 | |||
| Serum creatinine (mean) | 1.437 | 0.113–18.302 | 0.780 | |||
| Serum AST (mean) | 0.992 | 0.970–1.014 | 0.489 | |||
| Serum ALT (mean) | 1.007 | 0.987–1.027 | 0.503 | |||
| Serum albumin (mean) | 1.196 | 0.323–4.423 | 0.789 | |||
| Serum TB (mean) | 1.381 | 0.479–3.981 | 0.551 | |||
| Serum platelet (mean) | 0.999 | 0.994–1.004 | 0.643 | |||
| INR > 1.1 | 0.287 | 0.094–0.873 | 0.028 | 0.432 | 0.104–1.791 | 0.248 |
| Ascites | 0.400 | 0.024–6.746 | 0.525 | |||
| Disease | ||||||
| HCC | 0.219 | 0.069–0.697 | 0.010 | 0.185 | 0.041–0.828 | 0.027 |
| pCCA | 1.571 | 0.525–4.707 | 0.419 | |||
| CRLM | 3.789 | 0.440–32.635 | 0.225 | |||
| Others | 0.818 | 0.070–9.599 | 0.873 | |||
| Adenocarcinoma | 4.950 | 1.569–15.618 | 0.006 | 1.992 | 0.100–39.709 | 0.652 |
| RPVA/LPVA > 1.2 | 21.577 | 4.358–106.824 | <0.001 | 23.771 | 4.319–130.811 | <0.001 |
Disclaimer/Publisher’s Note: The statements, opinions and data contained in all publications are solely those of the individual author(s) and contributor(s) and not of MDPI and/or the editor(s). MDPI and/or the editor(s) disclaim responsibility for any injury to people or property resulting from any ideas, methods, instructions or products referred to in the content. |
© 2024 by the authors. Licensee MDPI, Basel, Switzerland. This article is an open access article distributed under the terms and conditions of the Creative Commons Attribution (CC BY) license (https://creativecommons.org/licenses/by/4.0/).
Share and Cite
Jo, Y.; Lee, H.W.; Han, H.-S.; Yoon, Y.-S.; Cho, J.Y. The Cross-Sectional Area Ratio of Right-to-Left Portal Vein Predicts the Effect of Preoperative Right Portal Vein Embolization. Medicina 2024, 60, 1114. https://doi.org/10.3390/medicina60071114
Jo Y, Lee HW, Han H-S, Yoon Y-S, Cho JY. The Cross-Sectional Area Ratio of Right-to-Left Portal Vein Predicts the Effect of Preoperative Right Portal Vein Embolization. Medicina. 2024; 60(7):1114. https://doi.org/10.3390/medicina60071114
Chicago/Turabian StyleJo, Yeongsoo, Hae Won Lee, Ho-Seong Han, Yoo-Seok Yoon, and Jai Young Cho. 2024. "The Cross-Sectional Area Ratio of Right-to-Left Portal Vein Predicts the Effect of Preoperative Right Portal Vein Embolization" Medicina 60, no. 7: 1114. https://doi.org/10.3390/medicina60071114
APA StyleJo, Y., Lee, H. W., Han, H.-S., Yoon, Y.-S., & Cho, J. Y. (2024). The Cross-Sectional Area Ratio of Right-to-Left Portal Vein Predicts the Effect of Preoperative Right Portal Vein Embolization. Medicina, 60(7), 1114. https://doi.org/10.3390/medicina60071114

