Can a Total Knee System Providing 1 mm Increment of Polyethylene Insert Thickness Offer a Clinical Benefit?
Abstract
1. Introduction
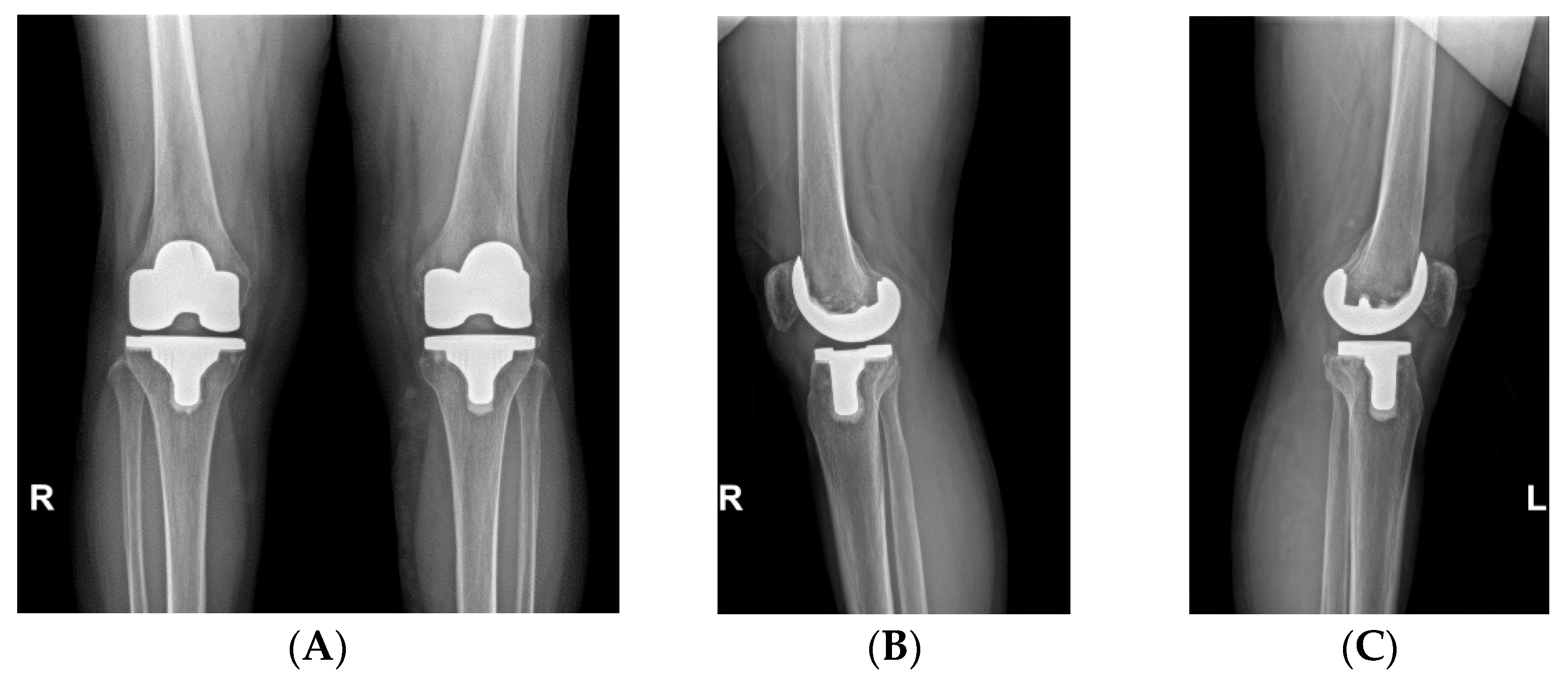
2. Materials and Methods
3. Results
4. Discussion
5. Conclusions
Author Contributions
Funding
Institutional Review Board Statement
Informed Consent Statement
Data Availability Statement
Conflicts of Interest
References
- Czerwonka, N.; Gupta, P.; Desai, S.S.; Hickernell, T.R.; Neuwirth, A.L.; Trofa, D.P. Patient-reported outcomes measurement information system instruments in knee arthroplasty patients: A systematic review of the literature. Knee Surg. Relat. Res. 2023, 35, 27. [Google Scholar] [CrossRef]
- Gupta, P.; Czerwonka, N.; Desai, S.S.; deMeireles, A.J.; Trofa, D.P.; Neuwirth, A.L. The current utilization of the patient-reported outcome measurement information system (PROMIS) in isolated or combined total knee arthroplasty populations. Knee Surg. Relat. Res. 2023, 35, 3. [Google Scholar] [CrossRef] [PubMed]
- Lee, Y.M.; Kim, G.W.; Lee, C.Y.; Song, E.K.; Seon, J.K. No Difference in Clinical Outcomes and Survivorship for Robotic, Navigational, and Conventional Primary Total Knee Arthroplasty with a Minimum Follow-up of 10 Years. Clin. Orthop. Surg. 2023, 15, 82–91. [Google Scholar] [CrossRef] [PubMed]
- Park, C.H.; Song, S.J. Sensor-Assisted Total Knee Arthroplasty: A Narrative Review. Clin. Orthop. Surg. 2021, 13, 1–9. [Google Scholar] [CrossRef] [PubMed]
- Roche, M.; Elson, L.; Anderson, C. Dynamic soft tissue balancing in total knee arthroplasty. Orthop. Clin. N. Am. 2014, 45, 157–165. [Google Scholar] [CrossRef] [PubMed]
- Sarac, D.C.; Unver, B.; Karatosun, V. Validity and reliability of performance tests as balance measures in patients with total knee arthroplasty. Knee Surg. Relat. Res. 2022, 34, 11. [Google Scholar] [CrossRef]
- Choi, B.S.; Kim, J.M.; Han, H.S. Decision-making factors and their thresholds for total knee arthroplasty in lateral tibiofemoral osteoarthritis patients: A retrospective cohort study. Knee Surg. Relat. Res. 2022, 34, 41. [Google Scholar] [CrossRef]
- Moretti, L.; Coviello, M.; Rosso, F.; Calafiore, G.; Monaco, E.; Berruto, M.; Solarino, G. Current Trends in Knee Arthroplasty: Are Italian Surgeons Doing What Is Expected? Medicina 2022, 58, 1164. [Google Scholar] [CrossRef]
- Smith, T.; Elson, L.; Anderson, C.; Leone, W. How are we addressing ligament balance in TKA? A literature review of revision etiology and technological advancement. J. Clin. Orthop. Trauma. 2016, 7, 248–255. [Google Scholar] [CrossRef]
- Manara, J.R.; Goonatillake, M.; Marley, M.; Pretty, W.; Collopy, D.; Clark, G. Virtual assessment of coronal balance prior to bone resection with the MAKO robotic-assisted system accurately predicts final balance in TKA. J. Robot. Surg. 2023, 17, 2849–2854. [Google Scholar] [CrossRef]
- Seo, J.G.; Lee, B.H.; Moon, Y.W.; Chang, M.J. Soft tissue laxity should be considered to achieve a constant polyethylene thickness during total knee arthroplasty. Arch. Orthop. Traumatol. Surg. 2014, 134, 1317–1323. [Google Scholar] [CrossRef]
- Song, S.J.; Lee, H.W.; Kim, K.I.; Park, C.H. Load imbalances existed as determined by a sensor after conventional gap balancing with a tensiometer in total knee arthroplasty. Knee Surg. Sports Traumatol. Arthrosc. 2020, 28, 2953–2961. [Google Scholar] [CrossRef]
- Ishikawa, M.; Ishikawa, M.; Nagashima, H.; Ishizuka, S.; Michishita, K.; Soda, Y.; Hiranaka, T. Effects of Unrestricted Kinematically Aligned Total Knee Arthroplasty with a Modified Soft-Tissue Respecting Technique on the Deformity of Limb Alignment in Japanese Patients. Medicina 2023, 59, 1969. [Google Scholar] [CrossRef]
- Peters, C.L. Soft-tissue balancing in primary total knee arthroplasty. Instr. Course Lect. 2006, 55, 413–417. [Google Scholar]
- Jang, S.W.; Koh, I.J.; Kim, M.S.; Kim, J.Y.; In, Y. Semimembranosus Release for Medial Soft Tissue Balancing Does Not Weaken Knee Flexion Strength in Patients Undergoing Varus Total Knee Arthroplasty. J. Arthroplast. 2016, 31, 2481–2486. [Google Scholar] [CrossRef]
- Koh, H.S.; In, Y. Semimembranosus release as the second step of soft tissue balancing in varus total knee arthroplasty. J. Arthroplast. 2013, 28, 273–278. [Google Scholar] [CrossRef]
- Sajjadi, M.M.; Okhovatpour, M.A.; Safaei, Y.; Faramarzi, B.; Zandi, R. Is Standing Coronal Long-Leg Alignment View Effective in Predicting the Extent of Medial Soft Tissue Release in Varus Deformity during Total Knee Arthroplasty? J. Knee Surg. 2022, 35, 1192–1198. [Google Scholar] [CrossRef]
- Toyooka, S.; Masuda, H.; Nishihara, N.; Miyamoto, W.; Kobayashi, T.; Kawano, H.; Nakagawa, T. Assessing the Role of Minimal Medial Tissue Release during Navigation-Assisted Varus Total Knee Arthroplasty Based on the Degree of Preoperative Varus Deformity. J. Knee Surg. 2022, 35, 1236–1241. [Google Scholar] [CrossRef]
- Edwards, S.A.; Pandit, H.G.; Ramos, J.L.; Grover, M.L. Analysis of polyethylene thickness of tibial components in total knee replacement. J. Bone Joint Surg. Am. 2002, 84, 369–371. [Google Scholar] [CrossRef]
- Garceau, S.P.; Warschawski, Y.S.; Tang, A.; Sanders, E.B.; Schwarzkopf, R.M.; Backstein, D.J. The Effect of Polyethylene Liner Thickness on Patient Outcomes and Failure After Primary Total Knee Arthroplasty. J. Arthroplast. 2020, 35, 2072–2075. [Google Scholar] [CrossRef] [PubMed]
- Heckmann, N.D.; Steck, T.; Sporer, S.M.; Meneghini, R.M. Conforming Polyethylene Inserts in Total Knee Arthroplasty: Beyond the Posterior-Stabilized and Cruciate-Retaining Debate. J. Am. Acad. Orthop. Surg. 2021, 29, e1097–e1104. [Google Scholar] [CrossRef]
- Giustra, F.; Bistolfi, A.; Bosco, F.; Fresia, N.; Sabatini, L.; Berchialla, P.; Sciannameo, V.; Massè, A. Highly cross-linked polyethylene versus conventional polyethylene in primary total knee arthroplasty: Comparable clinical and radiological results at a 10-year follow-up. Knee Surg. Sports Traumatol. Arthrosc. 2023, 31, 1082–1088. [Google Scholar] [CrossRef]
- Masilamani, A.B.S.; Jayakumar, T.; Mulpur, P.; Gandhi, V.; Kikkuri, R.R.; Reddy, A.V.G. Functional alignment is associated with increased incidence of pre-balance, reduced soft-tissue release, and post-operative pain compared to mechanical alignment in patients undergoing simultaneous bilateral robotic-assisted TKA. J. Robot. Surg. 2023, 17, 2919–2927. [Google Scholar] [CrossRef]
- Lanting, B.A.; Snider, M.G.; Chess, D.G. Effect of polyethylene component thickness on range of motion and stability in primary total knee arthroplasty. Orthopedics 2012, 35, e170–e174. [Google Scholar] [CrossRef]
- Yoo, J.Y.; Cai, J.; Chen, A.F.; Austin, M.S.; Sharkey, P.F. Modular Polyethylene Inserts for Total Knee Arthroplasty: Can Surgeons Detect 1-mm Thickness Increments? J. Arthroplast. 2016, 31, 968–970. [Google Scholar] [CrossRef]
- Song, S.J.; Lee, H.W.; Park, C.H. A Current Prosthesis With a 1-mm Thickness Increment for Polyethylene Insert Could Result in Fewer Adjustments of Posterior Tibial Slope in Cruciate-Retaining Total Knee Arthroplasty. J. Arthroplast. 2020, 35, 3172–3179. [Google Scholar] [CrossRef]
- Rajamäki, A.; Niemeläinen, M.; Junnila, M.; Lehtovirta, L.; Karsikas, M.; Ponkilainen, V.; Eskelinen, A. Thicker polyethylene inserts (>/=13 mm) increase the risk for early failure after primary cruciate-retaining total knee arthroplasty (TKA): A single-centre study of 7643 TKAs. Knee Surg. Sports Traumatol. Arthrosc. 2023, 31, 1018–1025. [Google Scholar] [CrossRef]
- Berend, M.E.; Davis, P.J.; Ritter, M.A.; Keating, E.M.; Faris, P.M.; Meding, J.B.; Malinzak, R.A. “Thicker” polyethylene bearings are associated with higher failure rates in primary total knee arthroplasty. J. Arthroplast. 2010, 25, 17–20. [Google Scholar] [CrossRef]
- Greco, N.J.; Crawford, D.A.; Berend, K.R.; Adams, J.B.; Lombardi, A., Jr. V. “Thicker” Polyethylene Bearings Are Not Associated With Higher Failure Rates in Primary Total Knee Arthroplasty. J. Arthroplast. 2018, 33, 2810–2814. [Google Scholar] [CrossRef]
- Namba, R.S.; Inacio, M.C.; Cafri, G. Increased risk of revision for high flexion total knee replacement with thicker tibial liners. Bone Joint J. 2014, 96-B, 217–223. [Google Scholar] [CrossRef]
- Kim, M.S.; Koh, I.J.; Sung, Y.G.; Park, D.C.; Na, J.W.; In, Y. Preemptive Duloxetine Relieves Postoperative Pain and Lowers Wound Temperature in Centrally Sensitized Patients Undergoing Total Knee Arthroplasty: A Randomized, Double-Blind, Placebo-Controlled Trial. J. Clin. Med. 2021, 10, 2809. [Google Scholar] [CrossRef] [PubMed]
- Kim, M.S.; Koh, I.J.; Sung, Y.G.; Park, D.C.; Yoon, E.J.; In, Y. Influence of increased pain sensitivity on patient-reported outcomes following total knee arthroplasty. Knee Surg. Sports Traumatol. Arthrosc. 2022, 30, 782–790. [Google Scholar] [CrossRef] [PubMed]
- Batra, S.; Malhotra, R.; Kumar, V.; Srivastava, D.N.; Backstein, D.; Pandit, H. Superior patient satisfaction in medial pivot as compared to posterior stabilized total knee arthroplasty: A prospective randomized study. Knee Surg. Sports Traumatol. Arthrosc. 2021, 29, 3633–3640. [Google Scholar] [CrossRef] [PubMed]
- Kishimura, Y.; Matsui, Y.; Matsuura, M.; Hidaka, N. Changes in postoperative extension angle after total knee arthroplasty: Effect of polyethylene insert thickness. J. Orthop. Sci. 2019, 24, 674–679. [Google Scholar] [CrossRef]
- Okamoto, S.; Okazaki, K.; Mitsuyasu, H.; Matsuda, S.; Mizu-Uchi, H.; Hamai, S.; Tashiro, Y.; Iwamoto, Y. Extension gap needs more than 1-mm laxity after implantation to avoid post-operative flexion contracture in total knee arthroplasty. Knee Surg. Sports Traumatol. Arthrosc. 2014, 22, 3174–3180. [Google Scholar] [CrossRef]




| 1-mm Group (N = 47) | 2-mm Group (N = 47) | p Value | |
|---|---|---|---|
| Preoperative KSS, total | 99.5 ± 36.4 | 100.9 ± 38.0 | 0.856 |
| Postoperative KSS, total | 139.1 ± 24.8 | 136.3 ± 28.5 | 0.613 |
| Preoperative KSS-Pain | 14.6 ± 8.2 | 15.7 ± 8.9 | 0.535 |
| Postoperative KSS-Pain | 42.6 ± 12.9 | 41.6 ± 13.3 | 0.712 |
| Preoperative KSS-Function | 84.5 ± 24.1 | 85.5 ± 21.8 | 0.833 |
| Postoperative KSS-Function | 96.7 ± 25.0 | 94.0 ± 22.4 | 0.583 |
| Preoperative WOMAC score | 48.2 ± 10.0 | 46.0 ± 12.6 | 0.351 |
| Postoperative WOMAC score, total | 21.5 ± 6.1 | 23.0 ± 5.7 | 0.221 |
| Preoperative WOMAC pain subscale | 13.2 ± 2.8 | 12.5 ± 3.8 | 0.312 |
| Postoperative WOMAC pain subscale | 4.6 ± 0.8 | 4.8 ± 1.3 | 0.372 |
| Preoperative WOMAC stiffness subscale | 4.7 ± 1.8 | 4.3 ± 1.8 | 0.284 |
| Postoperative WOMAC stiffness subscale | 2.5 ± 0.9 | 2.6 ± 1.0 | 0.612 |
| Preoperative WOMAC function subscale | 31.3 ± 7.2 | 29.1 ± 8.9 | 0.191 |
| Postoperative WOMAC function subscale | 14.3 ± 4.4 | 15.8 ± 4.3 | 0.098 |
| Preoperative FJS | 16.2 ± 5.7 | 14.5 ± 5.3 | 0.138 |
| Postoperative FJS | 58.5 ± 13.4 | 55.9 ± 14.1 | 0.362 |
| Preoperative ROM, degrees | 114.9 ± 15.8 | 115.5 ± 14.5 | 0.848 |
| Flexion contracture, n (%) Recurvatum, n (%) Postoperative ROM, degrees | 53.2% 0 125.7 ± 10.1 | 51.1% 0 123.6 ± 11.4 | 0.836 0 0.347 |
| Flexion contracture, n (%) | 1 (2.1%) | 2 (4.3%) | 1.00 |
| Recurvatum, n (%) | 2 (4.3%) | 1 (2.1%) | 1.00 |
| 1-mm Group (N = 47) | 2-mm Group (N = 47) | p Value | |
|---|---|---|---|
| Preoperative hip-knee-ankle angle, degrees | Varus 9.7 ± 6.4 | Varus 10.2 ± 6.1 | 0.505 |
| Postoperative hip-knee-ankle axis angle, degrees | Varus 1.0 ± 2.8 | Varus 1.0 ± 2.3 | 0.999 |
| Preoperative PCO, mm | 31.6 ± 3.2 | 30.9 ± 3.5 | 0.319 |
| Postoperative PCO, mm | 35.6 ± 4.2 | 35.1 ± 4.2 | 0.565 |
| Preoperative PCO ratio | 0.5 ± 0.0 | 0.5 ± 0.0 | 0.999 |
| Postoperative PCO ratio | 0.5 ± 0.0 | 0.5 ± 0.0 | 0.999 |
| 1-mm Group (N = 47) | 2-mm Group (N = 47) | p Value | |
|---|---|---|---|
| PE thickness, mm | 11.5 ± 1.8 | 12.8 ± 1.6 | 0.001 |
| PE thickness, mm (except three patients using 9 mm) Thick (≥13 mm) PE, n (%) Thick (≥14 mm) PE, n (%) Thick (≥15 mm) PE, n (%) | 11.6 ± 1.7 11 (23.4%) 6 (12.7%) 3 (6.4%) | 12.7 ± 1.8 18 (38.3%) 18 (38.3%) 5 (10.6%) | 0.008 0.118 0.005 0.714 |
Disclaimer/Publisher’s Note: The statements, opinions and data contained in all publications are solely those of the individual author(s) and contributor(s) and not of MDPI and/or the editor(s). MDPI and/or the editor(s) disclaim responsibility for any injury to people or property resulting from any ideas, methods, instructions or products referred to in the content. |
© 2024 by the authors. Licensee MDPI, Basel, Switzerland. This article is an open access article distributed under the terms and conditions of the Creative Commons Attribution (CC BY) license (https://creativecommons.org/licenses/by/4.0/).
Share and Cite
Lee, D.-W.; Jang, H.-J.; Kim, M.-S.; Choi, K.-Y.; Hong, S.-A.; In, Y. Can a Total Knee System Providing 1 mm Increment of Polyethylene Insert Thickness Offer a Clinical Benefit? Medicina 2024, 60, 322. https://doi.org/10.3390/medicina60020322
Lee D-W, Jang H-J, Kim M-S, Choi K-Y, Hong S-A, In Y. Can a Total Knee System Providing 1 mm Increment of Polyethylene Insert Thickness Offer a Clinical Benefit? Medicina. 2024; 60(2):322. https://doi.org/10.3390/medicina60020322
Chicago/Turabian StyleLee, Dhong-Won, Hyuk-Jin Jang, Man-Soo Kim, Keun-Young Choi, Sung-An Hong, and Yong In. 2024. "Can a Total Knee System Providing 1 mm Increment of Polyethylene Insert Thickness Offer a Clinical Benefit?" Medicina 60, no. 2: 322. https://doi.org/10.3390/medicina60020322
APA StyleLee, D.-W., Jang, H.-J., Kim, M.-S., Choi, K.-Y., Hong, S.-A., & In, Y. (2024). Can a Total Knee System Providing 1 mm Increment of Polyethylene Insert Thickness Offer a Clinical Benefit? Medicina, 60(2), 322. https://doi.org/10.3390/medicina60020322

