Paradoxical Psoriasis Induced by Ustekinumab: A Comprehensive Review and Case Report
Abstract
1. Introduction
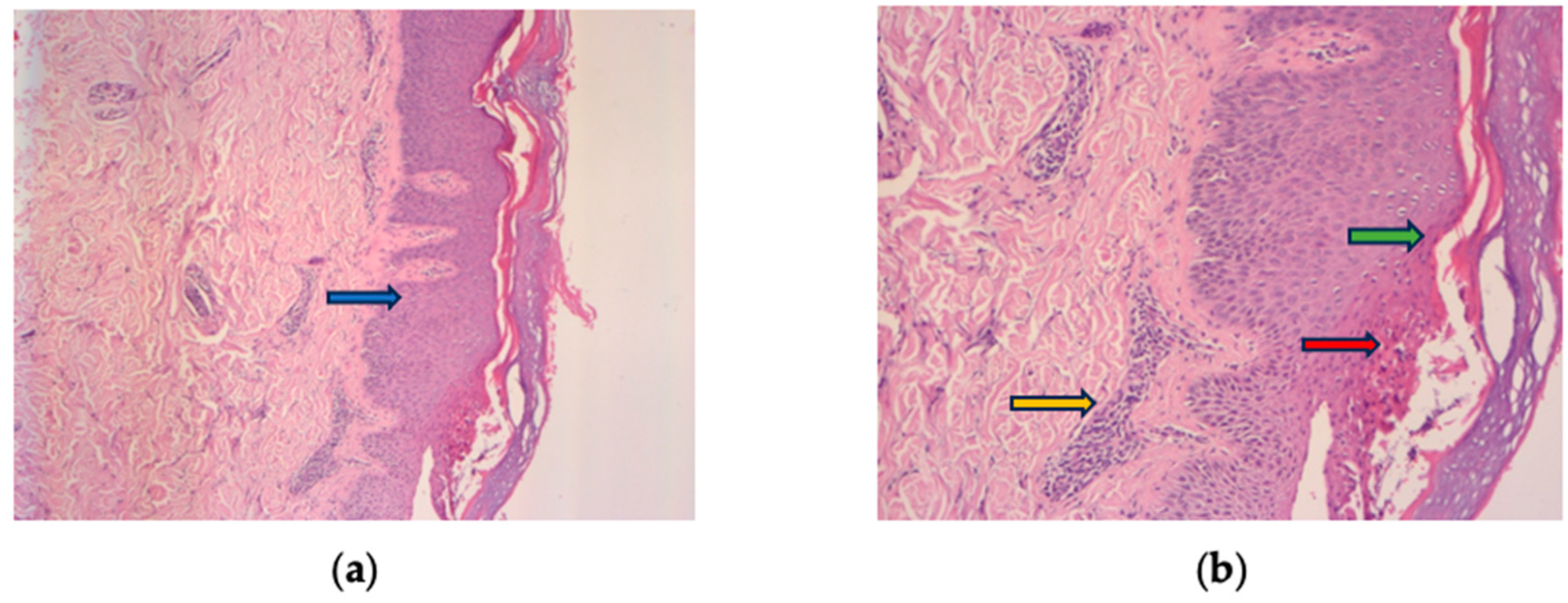
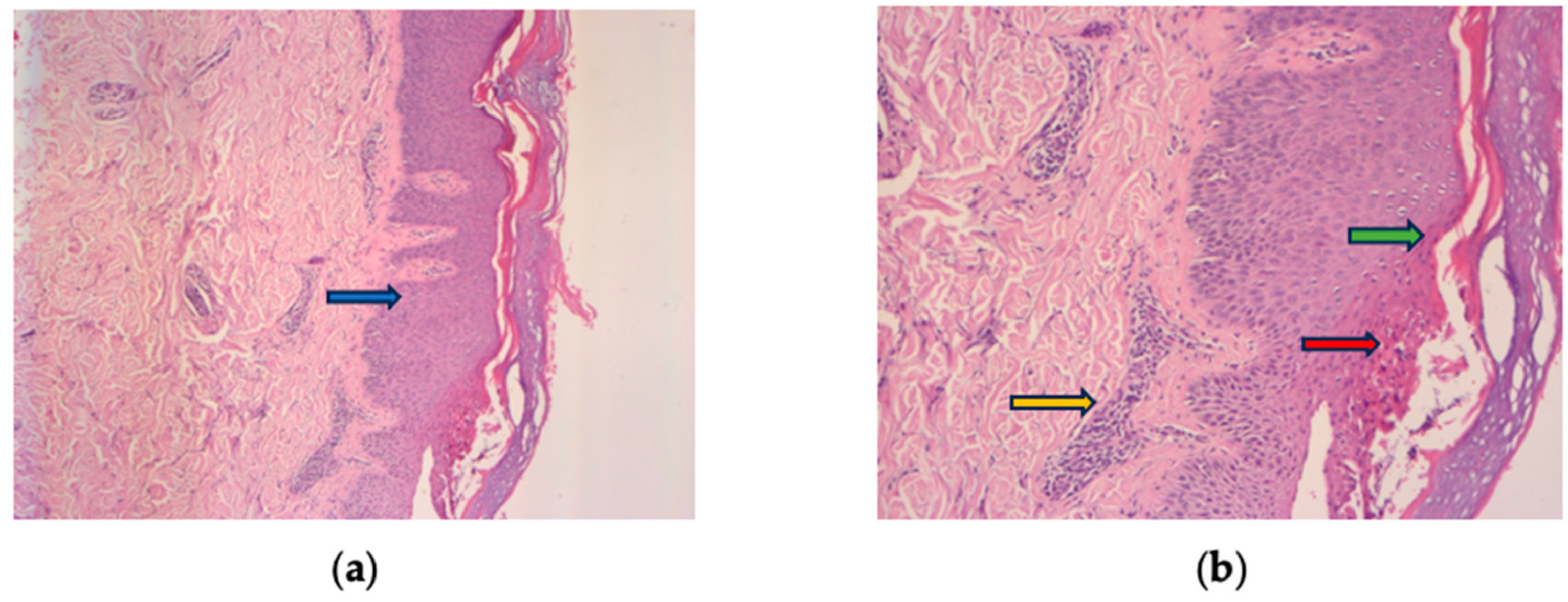
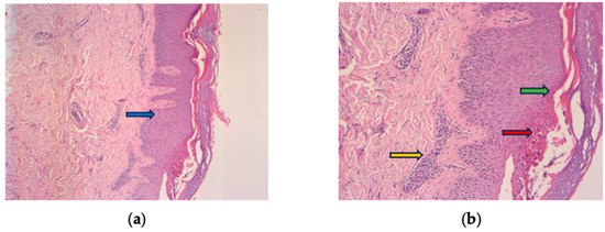
2. Case Report
3. Literature Review
4. Discussion
5. Conclusions
Author Contributions
Funding
Institutional Review Board Statement
Informed Consent Statement
Data Availability Statement
Conflicts of Interest
References
- Bettenworth, D. Assessment of stricturing Crohn’s disease: Current clinical practice and future avenues. World J. Gastroenterol. 2016, 22, 1008. [Google Scholar] [CrossRef] [PubMed]
- Reinisch, W.; Sandborn, W.J.; Rutgeerts, P.; Feagan, B.G.; Rachmilewitz, D.; Hanauer, S.B.; Lichtenstein, G.R.; De Villiers, W.J.S.; Blank, M.; Lang, Y.; et al. Long-term Infliximab Maintenance Therapy for Ulcerative Colitis: The ACT-1 and -2 Extension Studies. Inflamm. Bowel Dis. 2012, 18, 201–211. [Google Scholar] [CrossRef] [PubMed]
- Schnitzler, F.; Fidder, H.; Ferrante, M.; Noman, M.; Arijs, I.; Van Assche, G.; Hoffman, I.; Van Steen, K.; Vermeire, S.; Rutgeerts, P. Mucosal healing predicts long-term outcome of maintenance therapy with infliximab in Crohn’s disease. Inflamm. Bowel Dis. 2009, 15, 1295–1301. [Google Scholar] [CrossRef] [PubMed]
- European Medicines Agency. EMA Stelara. 2018. Available online: https://www.ema.europa.eu/en/medicines/human/EPAR/stelara (accessed on 14 October 2023).
- Sandborn, W.J.; Feagan, B.G.; Danese, S.; O’Brien, C.D.; Ott, E.; Marano, C.; Baker, T.; Zhou, Y.; Volger, S.; Tikhonov, I.; et al. Safety of Ustekinumab in Inflammatory Bowel Disease: Pooled Safety Analysis of Results from Phase 2/3 Studies. Inflamm. Bowel Dis. 2021, 27, 994–1007. [Google Scholar] [CrossRef] [PubMed]
- Papp, K.; Gottlieb, A.B.; Naldi, L.; Pariser, D.; Ho, V.; Goyal, K.; Fakharzadeh, S.; Chevrier, M.; Calabro, S.; Langholff, W.; et al. Safety Surveillance for Ustekinumab and Other Psoriasis Treatments From the Psoriasis Longitudinal Assessment and Registry (PSOLAR). J. Drugs Dermatol. JDD 2015, 14, 706–714. [Google Scholar] [PubMed]
- Schön, M.P.; Boehncke, W.-H. Psoriasis. N. Engl. J. Med. 2005, 352, 1899–1912. [Google Scholar] [CrossRef]
- Nestle, F.O.; Kaplan, D.H.; Barker, J. Psoriasis. N. Engl. J. Med. 2009, 361, 496–509. [Google Scholar] [CrossRef]
- Leonardi, C.L.; Kimball, A.B.; Papp, K.A.; Yeilding, N.; Guzzo, C.; Wang, Y.; Li, S.; Dooley, L.T.; Gordon, K.B. Efficacy and safety of ustekinumab, a human interleukin-12/23 monoclonal antibody, in patients with psoriasis: 76-week results from a randomised, double-blind, placebo-controlled trial (PHOENIX 1). Lancet 2008, 371, 1665–1674. [Google Scholar] [CrossRef]
- Lu, J.; Lu, Y. Paradoxical psoriasis: The flip side of idiopathic psoriasis or an autocephalous reversible drug reaction? J. Transl. Autoimmun. 2023, 7, 100211. [Google Scholar] [CrossRef]
- Conrad, C.; Di Domizio, J.; Mylonas, A.; Belkhodja, C.; Demaria, O.; Navarini, A.A.; Lapointe, A.-K.; French, L.E.; Vernez, M.; Gilliet, M. TNF blockade induces a dysregulated type I interferon response without autoimmunity in paradoxical psoriasis. Nat. Commun. 2018, 9, 25. [Google Scholar] [CrossRef]
- Fania, L.; Morelli, M.; Scarponi, C.; Mercurio, L.; Scopelliti, F.; Cattani, C.; Scaglione, G.L.; Tonanzi, T.; Pilla, M.A.; Pagnanelli, G.; et al. Paradoxical psoriasis induced by TNF-α blockade shows immunological features typical of the early phase of psoriasis development. J. Pathol. Clin. Res. 2020, 6, 55–68. [Google Scholar] [CrossRef] [PubMed]
- Seneschal, J.; Milpied, B.; Vergier, B.; Lepreux, S.; Schaeverbeke, T.; Taïeb, A. Cytokine imbalance with increased production of interferon-α in psoriasiform eruptions associated with antitumour necrosis factor-α treatments. Br. J. Dermatol. 2009, 161, 1081–1088. [Google Scholar] [CrossRef] [PubMed]
- Ya, J.; Hu, J.Z.; Nowacki, A.S.; Khanna, U.; Mazloom, S.; Kabbur, G.; Husni, M.E.; Fernandez, A.P. Family history of psoriasis, psychological stressors, and tobacco use are associated with the development of tumor necrosis factor-α inhibitor-induced psoriasis: A case-control study. J. Am. Acad. Dermatol. 2020, 83, 1599–1605. [Google Scholar] [CrossRef] [PubMed]
- Zheng, J.; Gao, Y.; Ding, Y. Successful management of infliximab-induced generalized pustular psoriasis without therapy discontinuation in a patient with psoriatic arthritis. Dermatol. Ther. 2019, 32, e13132. [Google Scholar] [CrossRef] [PubMed]
- Murphy, M.J.; Cohen, J.M.; Vesely, M.D.; Damsky, W. Paradoxical eruptions to targeted therapies in dermatology: A systematic review and analysis. J. Am. Acad. Dermatol. 2022, 86, 1080–1091. [Google Scholar] [CrossRef] [PubMed]
- Lupu, A.; Tieranu, C. TNFα inhibitor induced lupus-like syndrome (TAILS) in a patient with IBD. Curr. Health Sci. J. 2014, 40, 285–288. [Google Scholar] [PubMed]
- Barahimi, M.; Lee, S.; Clark-Snustad, K. Pustular Rash in Crohn’s Patient on Ustekinumab Raises Concern for Drug-Induced Paradoxical Psoriasis. Case Rep. Gastroenterol. 2021, 15, 662–666. [Google Scholar] [CrossRef]
- Benzaquen, M.; Flachaire, B.; Rouby, F.; Berbis, P.; Guis, S. Paradoxical pustular psoriasis induced by ustekinumab in a patient with Crohn’s disease-associated spondyloarthropathy. Rheumatol. Int. 2018, 38, 1297–1299. [Google Scholar] [CrossRef]
- Suh, H.Y.; Ahn, J.Y.; Park, M.Y.; Youn, J.I. Exacerbation of infliximab-induced paradoxical psoriasis after ustekinumab therapy. J. Dermatol. 2018, 45, 332–333. [Google Scholar] [CrossRef]
- Darwin, E.; Deshpande, A.; Lev-Tov, H. Development of Drug-Induced Inverse Psoriasis in a Patient with Crohn’s Disease. ACG Case Rep. J. 2018, 5, e47. [Google Scholar] [CrossRef]
- Lee, H.Y.; Woo, C.H.; Haw, S. Paradoxical Flare of Psoriasis after Ustekinumab Therapy. Ann. Dermatol. 2017, 29, 794. [Google Scholar] [CrossRef] [PubMed]
- Hay, R.A.S.; Pan, J.Y. Paradoxical flare of pustular psoriasis triggered by ustekinumab, which responded to adalimumab therapy. Clin. Exp. Dermatol. 2014, 39, 751–752. [Google Scholar] [CrossRef] [PubMed]
- Caca-Biljanovska, N.; V’lckova-Laskoska, M.; Laskoski, D. Successful management of ustekinumab-induced pustular psoriasis without therapy discontinuation. Acta Dermatovenerol. Croat. ADC 2013, 21, 202–204. [Google Scholar] [PubMed]
- Wenk, K.S.; Claros, J.M.; Ehrlich, A. Flare of pustular psoriasis after initiating ustekinumab therapy. J. Dermatol. Treat. 2012, 23, 212–214. [Google Scholar] [CrossRef] [PubMed]
- Gregoriou, S.; Kazakos, C.; Christofidou, E.; Kontochristopoulos, G.; Vakis, G.; Rigopoulos, D. Pustular psoriasis development after initial ustekinumab administration in chronic plaque psoriasis. Eur. J. Dermatol. 2011, 21, 104–105. [Google Scholar] [CrossRef] [PubMed]
- Safa, G.; Martin, A.; Darrieux, L. Exacerbation of Infliximab-Induced Palmoplantar Psoriasis Under Ustekinumab Therapy in a Patient With Ankylosing Spondylitis. JCR J. Clin. Rheumatol. 2011, 17, 385–386. [Google Scholar] [CrossRef] [PubMed]
- Papp, K.A.; Langley, R.G.; Lebwohl, M.; Krueger, G.G.; Szapary, P.; Yeilding, N.; Guzzo, C.; Hsu, M.-C.; Wang, Y.; Li, S.; et al. Efficacy and safety of ustekinumab, a human interleukin-12/23 monoclonal antibody, in patients with psoriasis: 52-week results from a randomised, double-blind, placebo-controlled trial (PHOENIX 2). Lancet 2008, 371, 1675–1684. [Google Scholar] [CrossRef]
- Nast, A.; Jacobs, A.; Rosumeck, S.; Werner, R.N. Efficacy and Safety of Systemic Long-Term Treatments for Moderate-to-Severe Psoriasis: A Systematic Review and Meta-Analysis. J. Investig. Dermatol. 2015, 135, 2641–2648. [Google Scholar] [CrossRef]
- Galluzzo, M.; Boca, A.N.; Botti, E.; Potenza, C.; Malara, G.; Malagoli, P.; Vesa, S.; Chimenti, S.; Buzoianu, A.D.; Talamonti, M.; et al. IL12B (p40) Gene Polymorphisms Contribute to Ustekinumab Response Prediction in Psoriasis. Dermatology 2016, 232, 230–236. [Google Scholar] [CrossRef]
- Cabaleiro, T.; Prieto-Pérez, R.; Navarro, R.; Solano, G.; Román, M.; Ochoa, D.; Abad-Santos, F.; Daudén, E. Paradoxical psoriasiform reactions to anti-TNFα drugs are associated with genetic polymorphisms in patients with psoriasis. Pharmacogenom. J. 2016, 16, 336–340. [Google Scholar] [CrossRef]
- Loft, N.D.; Skov, L.; Iversen, L.; Gniadecki, R.; Dam, T.N.; Brandslund, I.; Hoffmann, H.J.; Andersen, M.R.; Dessau, R.B.; Bergmann, A.C.; et al. Associations between functional polymorphisms and response to biological treatment in Danish patients with psoriasis. Pharmacogenom. J. 2018, 18, 494–500. [Google Scholar] [CrossRef] [PubMed]
- Hetherington, S.; McGuirk, S.; Powell, G.; Cutrell, A.; Naderer, O.; Spreen, B.; Lafon, S.; Pearce, G.; Steel, H. Hypersensitivity reactions during therapy with the nucleoside reverse transcriptase inhibitor abacavir. Clin. Ther. 2001, 23, 1603–1614. [Google Scholar] [CrossRef] [PubMed]
- Yiu, Z.Z.N.; Becher, G.; Kirby, B.; Laws, P.; Reynolds, N.J.; Smith, C.H.; Warren, R.B.; Griffiths, C.E.M.; BADBIR Study Group; Browne, F.; et al. Drug Survival Associated With Effectiveness and Safety of Treatment With Guselkumab, Ixekizumab, Secukinumab, Ustekinumab, and Adalimumab in Patients With Psoriasis. JAMA Dermatol. 2022, 158, 1131. [Google Scholar] [CrossRef] [PubMed]



| Author and Year [Reference] | Patient ID | Age | Sex | Previous Psoriasis History | Ustekinumab Treatment Duration | Dose of UST | How Long after UST Did Lesions Appear | Type of Paradoxical Psoriasis | Location of Paradoxical Psoriasis | Severity (PASI Score) | How Was Paradoxical Psoriasis Flare Controlled | Comorbidities | Therapy Prior to UST | Time to Resolution | Management Strategy (Discontinuation, Switching to Other Agent, Etc.) | 
|---|---|---|---|---|---|---|---|---|---|---|---|---|---|---|---|
| Our case | 1 | 39 | Female | Three years (from 2020 to 2023) | Three years | Psoriasiform (biopsy-proven) | Hands, elbows, and scalp | Topical steroids | Crohn’s Disease (CD) | Infliximab, adalimumab | Continued UST with topical treatment | ||||
| Barahimi et al., 2021 [18] | 2 | 51 | Male | No history of psoriasis | Three years | 90 mg | Three flares separated lasting several weeks; one flare per year | Subcorneal pustular dermatosis | Hands, body, face, extremities, and scalp | 10–15 (moderate) | Topical corticosteroids; second flare managed with discontinuation | Crohn’s disease and enteropathic arthritis | Adalimumab, infliximab, and methotrexate | Three weeks | Discontinuation of UST during flares and restarting therapy once flares resolved | 
| Benzaquen et al., 2018 [19] | 3 | 58 | Female | No history of psoriasis | Three weeks | 390 mg | Three weeks | Paradoxical Palmoplantar Pustular Psoriasis | Right hand palm | 0–5 (mild) | Discontinuation, golimumab | Asthma, corticosteroid-induced osteoporosis, arthritis, Crohn’s disease, spondyloarthropathy | Systemic corticosteroids, mesalazine, azathioprine, adalimumab, and infliximab | 15 days | Discontinuation of UST, switched to golimumab | 
| Suh et al., 2018 [20] | 4 | 30 | Male | 6-year history of psoriasis | Two weeks | 45 mg | One week after the first injection | Possibly pustular psoriasis, but not definitively diagnosed | Trunk, lower extremities, scalp, palms, and soles | Not available | Discontinuation, oral cyclosporin and a topical agent | Not available | Previously treated with infliximab phototherapy, acitretin, and cyclosporine. | One week | Discontinuation of UST and initiation of treatment with oral cyclosporin and a topical agent | 
| Darwin et al., 2018 [21] | 5 | 56 | Female | Palmoplantar psoriasis | 15 months | 90 mg monthly | 15 months | Inverse psoriasis | Inter-gluteal cleft and genital area | 0–5 (mild) | Tacrolimus cream daily and pulsed clobetasol cream as necessary on weekends | Crohn’s disease, rheumatoid arthritis | Infliximab, adalimumab, thalidomide, and hydroxychloroquine | Not provided | Medications were not halted as her Crohn’s disease was well controlled under the current medication regimen | 
| Lee et al., 2017 [22] | 6 | 24 | Male | 7-year history of psoriasis vulgaris | 12 weeks | 45 mg | After the third injection | Plaque psoriasis | Face, trunk, and extremities | 10–15 (moderate) | Systemic steroid and NBUVB phototherapy | None | NBUVB phototherapy, acitretin, methotrexate, and cyclosporine | Two weeks | Addition of systemic steroid and NBUVB phototherapy, but patient discontinued treatments after 2 weeks and was lost to follow-up | 
| Hay et al., 2014 [23] | 7 | 47 | Male | 15-year history of plaque psoriasis | One month | 45 mg | Before the second dose, one month later | Pustular psoriasis | 60% of body surface area | >15 (severe) | Discontinuation and adalimumab | Psoriatic arthropathy | Methoxetrate, acitretin, ciclosporin, and narrowband ultraviolet B phototherapy | Two weeks | Discontinuation of UST, switching to adalimumab | 
| Caca-Biljanovska et al., 2013 [24] | 8 | 34 | Female | Severe plaque psoriasis since the age of 10 | >18 months | 45 mg | Week 10, after two injections | Pustular psoriasis | Trunk and limbs | >15 (severe) | Topical corticosteroids and intensification of UST | NA | Topical corticosteroids, psoralen plus ultraviolet A irradiation (PUVA), and acitretin | Four weeks | Continued UST therapy | 
| Wenk et al., 2012 [25] | 9 | 37 | Female | 10-year history of plaque psoriasis | 12 weeks, injection at day 0, week 4, and week 12 | 45-mg | Four days after first injection and subsequently after second and third injection | Pustular psoriasis | Trunk and limbs | >15 (severe) | Discontinuation and systemic and topical steroids | Psoriatic arthritis | Infliximab, adalimumab, cyclosporine, acitretin, narrow band ultraviolet B irradiation, etanercept, methotrexate, systemic steroid treatment, topical steroids, and acitretin | Not specified | Discontinuation of UST and switch to acitretin | 
| Gregoriou et al., 2011 [26] | 10 | 54 | Female | 5-year history of plaque psoriasis | NA | 45 mg | Two days after first injection | Pustular psoriasis | Trunk and both upper and lower extremities | >15 (severe) | Discontinuation of UST and replacement with methotrexate 25 mg per week with folic acid supplementation | Diabetes type II, hypertension, and hypercholesterolemia | Metformin 500 mg BID for diabetes type II, ramipril 2.5 mg QD for hypertension, and simvastatin 20 mg QD for hypercholesterolemia, topical corticosteroids, calcipotriol, and a calcipotriol-betamethasone dipropionate two compound formulation for 3 years | Two months | Discontinuation of UST and replacement with methotrexate 25 mg per week with folic acid supplementation | 
| Safa et al., 2011 [27] | 11 | 35 | Female | No personal history but had a family history | Started at weeks 0 and 4 | 45 mg | After six weeks and two injections | Exacerbation of Infliximab-induced palmoplantar psoriasis | Palms and soles | Not specified | Improved with oral methotrexate after discontinuation of ustekinumab | Ankylosing spondylitis | Nonsteroidal anti-inflammatory drugs, adalimumab, etanercept, and infliximab | Two months | Discontinuation of ustekinumab | 
| Disclaimer/Publisher’s Note: The statements, opinions and data contained in all publications are solely those of the individual author(s) and contributor(s) and not of MDPI and/or the editor(s). MDPI and/or the editor(s) disclaim responsibility for any injury to people or property resulting from any ideas, methods, instructions or products referred to in the content. | 
© 2024 by the authors. Licensee MDPI, Basel, Switzerland. This article is an open access article distributed under the terms and conditions of the Creative Commons Attribution (CC BY) license (https://creativecommons.org/licenses/by/4.0/).
Share and Cite
Olteanu, A.O.; Klimko, A.; Tieranu, I.; Orzan, O.A.; Toma, C.V.; Ionescu, E.M.; Preda, C.M.; Tieranu, C.G. Paradoxical Psoriasis Induced by Ustekinumab: A Comprehensive Review and Case Report. Medicina 2024, 60, 106. https://doi.org/10.3390/medicina60010106
Olteanu AO, Klimko A, Tieranu I, Orzan OA, Toma CV, Ionescu EM, Preda CM, Tieranu CG. Paradoxical Psoriasis Induced by Ustekinumab: A Comprehensive Review and Case Report. Medicina. 2024; 60(1):106. https://doi.org/10.3390/medicina60010106
Chicago/Turabian StyleOlteanu, Andrei Ovidiu, Artsiom Klimko, Ioana Tieranu, Olguta Anca Orzan, Cristian Valentin Toma, Elena Mirela Ionescu, Carmen Monica Preda, and Cristian George Tieranu. 2024. "Paradoxical Psoriasis Induced by Ustekinumab: A Comprehensive Review and Case Report" Medicina 60, no. 1: 106. https://doi.org/10.3390/medicina60010106
APA StyleOlteanu, A. O., Klimko, A., Tieranu, I., Orzan, O. A., Toma, C. V., Ionescu, E. M., Preda, C. M., & Tieranu, C. G. (2024). Paradoxical Psoriasis Induced by Ustekinumab: A Comprehensive Review and Case Report. Medicina, 60(1), 106. https://doi.org/10.3390/medicina60010106
 
        
 
                                                



 
       