Clinical and Radiologic Analysis of Minimally Invasive Anterior–Posterior Combined Surgery for Adult Spinal Deformity: Comparison of Oblique Lateral Interbody Fusion at L5/S1 (OLIF51) versus Transforaminal Interbody Fusion
Abstract
1. Introduction
2. Materials and Methods
3. Results
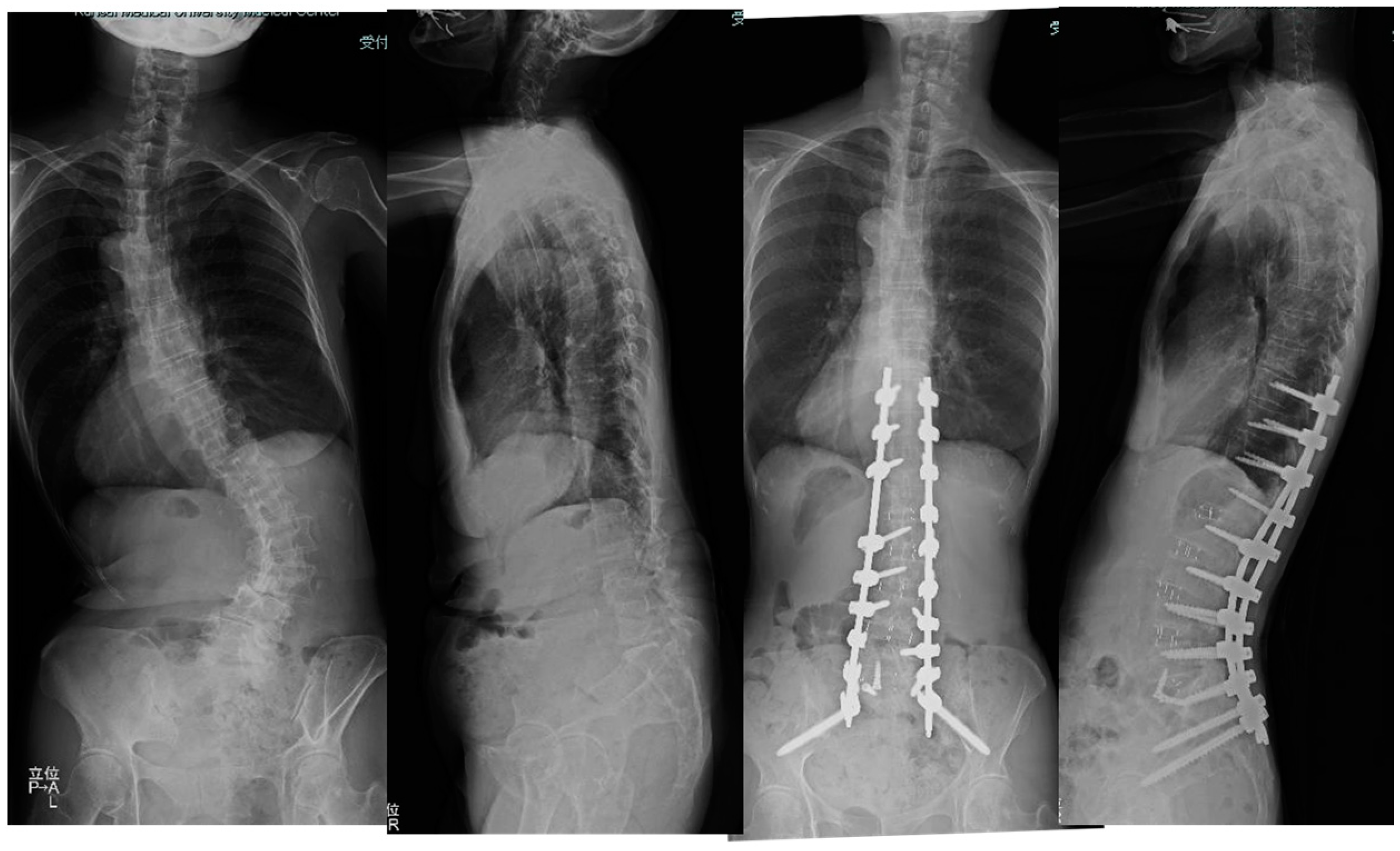
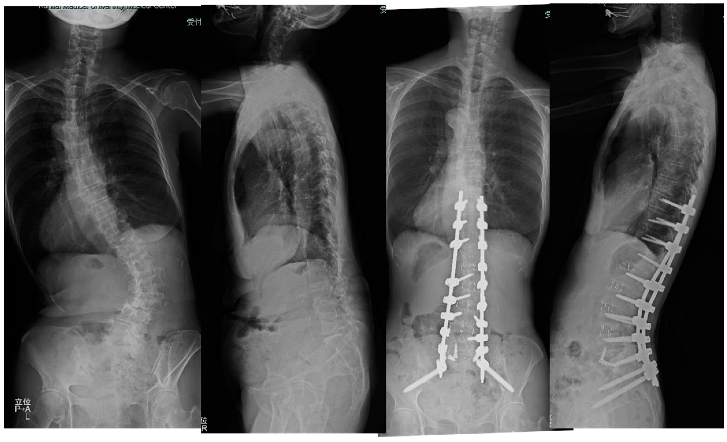
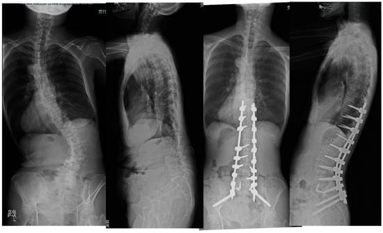
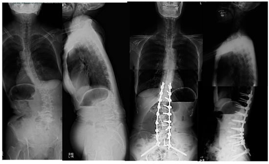
3.1. Case Presentations
3.1.1. Case 1: 78 Years Old, Female, Degenerative Lumbar Scoliosis
3.1.2. Case 2: 68 Years Old, Female, Adult Scoliosis
4. Discussion
5. Conclusions
Author Contributions
Funding
Institutional Review Board Statement
Informed Consent Statement
Data Availability Statement
Conflicts of Interest
References
- Smith, J.S.; Shaffrey, C.I.; Bess, S.; Shamji, M.F.; Brodke, D.; Lenke, L.G.; Fehlings, M.G.; Lafage, V.; Schwab, F.; Vaccaro, A.R.; et al. Recent and emerging advances in spinal deformity. Neurosurgery 2017, 80, S70–S85. [Google Scholar] [CrossRef] [PubMed]
- Pellisé, F.; Vila-Casademunt, A.; Ferrer, M.; Domingo-Sàbat, M.; Bagó, J.; Pérez-Grueso, F.J.S.; Alanay, A.; Mannion, A.F.; Acaroglu, E. Impact on health related quality of life of adult spinal deformity (ASD) compared with other chronic conditions. Eur. Spine J. 2015, 24, 3–11. [Google Scholar] [CrossRef] [PubMed]
- Bess, S.; Line, B.; Fu, K.M.; McCarthy, I.; Lafage, V.; Schwab, F.; Shaffrey, C.; Ames, C.; Akbarnia, B.; Jo, H.; et al. The health impact of symptomatic adult spinal deformity: Comparison of deformity types to united states population norms and chronic diseases. Spine 2016, 41, 224–233. [Google Scholar] [CrossRef] [PubMed]
- Paulus, M.C.; Kalantar, S.B.; Radcliff, K. Cost and value of spinal deformity surgery. Spine 2014, 39, 388–393. [Google Scholar] [CrossRef] [PubMed]
- Acaroglu, E.; Yavuz, A.C.; Guler, U.O.; Yuksel, S.; Yavuz, Y.; Domingo-Sabat, M.; Pellise, F.; Alanay, A.; Perez Grueso, F.S.; Kleinstück, F.; et al. A decision analysis to identify the ideal treatment for adult spinal deformity: Is surgery better than non-surgical treatment in improving health-related quality of life and decreasing the disease burden? Eur. Spine J. 2016, 25, 2390–2400. [Google Scholar] [CrossRef] [PubMed]
- Smith, J.S.; Klineberg, E.; Lafage, V.; Shaffrey, C.I.; Schwab, F.; Lafage, R.; Hostin, R.; Mundis, G.M.; Errico, T.J.; Kim, H.J.; et al. Prospective multicenter assessment of perioperative and minimum 2-year postoperative complication rates associated with adult spinal deformity surgery. J. Neurosurg. Spine 2016, 25, 1–14. [Google Scholar] [CrossRef]
- Sciubba, D.M.; Yurter, A.; Smith, J.S.; Kelly, M.P.; Scheer, J.K.; Goodwin, C.R.; Lafage, V.; Hart, R.A.; Bess, S.; Kebaish, K.; et al. A comprehensive review of complication rates after surgery for adult deformity: A reference for informed consent. Spine Deform. 2015, 3, 575–594. [Google Scholar] [CrossRef]
- Woods, K.; Billy, J.B.; Hynes, R. Technical description of oblique lateral interbody fusion at L1–L5 (OLIF25) and at L5–S1 (OLIF51) and evaluation of complication and fusion rates. Spine J. 2017, 17, 545–553. [Google Scholar] [CrossRef]
- Foley, K.T.; Gupta, S.K.; Justis, J.R.; Sherman, M.C. Percutaneous pedicle screw fixation of the lumbar spine. Neurosurg. Focus 2001, 10, 1–8. [Google Scholar] [CrossRef]
- Anand, N.; Baron, E.M.; Thaiyananthan, G.; Khalsa, K.; Goldstein, T.B. Minimally invasive multilevel percutaneous correction and fusion for adult lumbar degenerative scoliosis. J. Spinal Disord. Tech. 2008, 21, 459–467. [Google Scholar] [CrossRef]
- Kotani, Y.; Ikeura, A.; Tokunaga, H.; Saito, T. Single-level controlled comparison of OLIF51 and percutaneous screw in lateral position versus MIS-TLIF for lumbosacral degenerative disorders: Clinical and radiologic study. J. Orthop. Sci. 2021, 26, 756–764. [Google Scholar] [CrossRef] [PubMed]
- Kotani, Y.; Ikeura, A.; Saito, T. Comparative clinical analysis of oblique lateral interbody fusion at L5/S1 versus minimally invasive transforaminal interbody fusion (MIS-TLIF) for degenerative lumbosacral disorders. Spine Surg. Relat. Res. 2023, 7, 66–73. [Google Scholar] [CrossRef] [PubMed]
- Fukui, M.; Chiba, K.; Kawakami, M.; Kikuchi, S.; Konno, S.; Miyamoto, M.; Seichi, A.; Shimamura, T.; Shirado, O.; Taguchi, T.; et al. JOA Back Pain Evaluation Questionnaire (JOABPEQ)/JOA Cervical Myelopathy Evaluation Questionnaire (JOACMEQ). The report on the development of revised versions. April 16, 2007. The Subcommittee of the Clinical Outcome Committee of the Japanese Orthopaedic Association on Low Back Pain and Cervical Myelopathy Evaluation. J. Orthop. Sci. 2009, 14, 348–365. [Google Scholar] [PubMed]
- Glattes, R.; Bridwell, K.; Lenke, L.; Rinella, A.; Edwards, C. Proximal junctional kyphosis in adult spinal deformity following long instrumented posterior spinal fusion: Incidence, outcomes, and risk factor analysis. Spine 2005, 30, 1643–1649. [Google Scholar] [CrossRef] [PubMed]
- Bradford, D. Adult scoliosis. In Moe’s Text Book of Scoliosis and Other Spinal Deformities, 3rd ed.; W.B.Saunders: Philadelphia, PA, USA, 1995. [Google Scholar]
- Bae, J.; Theologis, A.A.; Strom, R.; Tay, B.; Burch, S.; Berven, S.; Mummaneni, P.V.; Chou, D.; Ames, C.P.; Deviren, V. Comparative analysis of 3 surgical strategies for adult spinal deformity with mild to moderate imbalance. J. Neurosurg. Spine 2018, 28, 40–49. [Google Scholar] [CrossRef] [PubMed]
- Uribe, J.S.; Beckman, J.; Mummaneni, P.V.; Okonkwo, D.; Nunley, P.; Wang, M.Y.; Mundis, G.M., Jr.; Park, P.; Eastlack, R.; Anand, N.; et al. Does MIS surgery allow for shorter constructs in the surgical treatment of adult spinal deformity? Neurosurgery 2017, 80, 489–497. [Google Scholar] [CrossRef] [PubMed]
- Haque, R.M.; Mundis, G.M.; Ahmed, Y.; El Ahmadieh, T.Y.; Wang, M.Y.; Mummaneni, P.V.; Uribe, J.S.; Okonkwo, D.O.; Eastlack, R.K.; Anand, N.; et al. Comparison of radiographic results after minimally invasive, hybrid, and open surgery for adult spinal deformity: A multicenter study of 184 patients. Neurosurg. Focus 2014, 36, E13. [Google Scholar] [CrossRef]
- Park, P.; Wang, M.Y.; Lafage, V.; Nguyen, S.; Ziewacz, J.; Okonkwo, D.O.; Uribe, J.S.; Eastlack, R.K.; Anand, N.; Haque, R.; et al. Comparison of two minimally invasive surgery strategies to treat adult spinal deformity. J. Neurosurg. Spine 2015, 22, 374–380. [Google Scholar] [CrossRef]
- Mun, H.Y.; Ko, M.J.; Kim, Y.B.; Park, S.W. Usefulness of oblique lateral interbody fusion at L5-S1 level compared to transforaminal lumbar interbody fusion. J. Korean Neurosurg. Soc. 2020, 63, 723–729. [Google Scholar] [CrossRef]
- Tanaka, M.; Sonawane, S.; Meena, U.; Lu, Z.; Fujiwara, Y.; Taoka, T.; Uotani, K.; Oda, Y.; Sakaguchi, T.; Arataki, S. Comparison of C-arm free oblique lateral interbody fusion L5-S1 (OLIF51) with transforaminal lumbar interbody fusion L5-s1 (TLIF51) for adult spinal deformity. Medicina 2023, 59, 838. [Google Scholar] [CrossRef]
- Anand, N.; Alayan, A.; Agrawal, A.; Kahwaty, S.; Nomoto, E.; Khandehroo, B. Analysis of spino-pelvic parameters and segmental lordosis with L5-S1 oblique lateral interbody fusion at the bottom of a long construct in circumferential minimally invasive surgical correction of adult spinal deformity. World Neurosurg. 2019, 130, E1077–E1083. [Google Scholar] [CrossRef] [PubMed]
- Park, S.W.; Ko, M.J.; Kim, Y.B.; Le Huec, J.C. Correction of marked sagittal deformity with circumferential minimally invasive surgery using oblique lateral interbody fusion in adult spinal deformity. J. Orthop. Surg. Res. 2020, 15, 13. [Google Scholar] [CrossRef] [PubMed]
- Soroceanu, A.; Diebo, B.G.; Burton, D.; Smith, J.S.; Deviren, V.; Shaffrey, C.; Kim, H.J.; Mundis, G.; Ames, C.; Errico, T.; et al. Radiographical and implant-related complications in adult spinal deformity surgery. Spine 2015, 40, 1414–1421. [Google Scholar] [CrossRef] [PubMed]
- Koike, Y.; Kotani, Y.; Terao, H.; Iwasaki, N. Risk factor analysis of proximal junctional kyphosis after surgical treatment of adult spinal deformity with oblique lateral interbody fusion. Asian Spine J. 2021, 15, 107–116. [Google Scholar] [CrossRef] [PubMed]
- Lertudomphonwanit, T.; Kelly, M.P.; Bridwell, K.H.; Lenke, L.G.; McAnany, S.J.; Punyarat, P.; Bryan, T.P.; Buchowski, J.M.; Zebala, L.P.; Sides, B.A.; et al. Rod fracture in adult spinal deformity surgery fused to the sacrum: Prevalence, risk factors, and impact on health-related quality of life in 526 patients. Spine J. 2018, 18, 1612–1624. [Google Scholar] [CrossRef]
- Dorward, I.G.; Lenke, L.G.; Bridwell, K.H.; O’Leary, P.T.; Stoker, G.E.; Pahys, J.M.; Kang, M.M.; Sides, B.A.; Koester, L.A. Transforamminal versus anterior interbody fusion in long deformity constructs: A matched cohort analysis. Spine 2013, 38, e755–e762. [Google Scholar] [CrossRef]
- Singh, V.; Oppermann, M.; Evaniew, N.; Soroceanu, A.; Nicholls, F.; Jacobs, W.B.; Thomas, K.; Swamy, G. L5-S1 pseudoarthrosis rate with ALIF versus TLIF in adult spinal deformity surgeries: A retrospective analysis of 100 patients. World Neurosurg. 2023, 175, e1265–e1276. [Google Scholar] [CrossRef]
- Adogwa, O.; Buchowski, J.M.; Lenke, L.G.; Shlykov, M.A.; El Dafrawy, M.; Lertudomphonwanit, T.; Obey, M.R.; Koscso, J.; Gupta, M.C.; Bridwell, K.H. Comparison of rod fracture rates in long deformity constructs after transforaminal versus anterior lumbar interbody fusions: A single-institution analysis. J. Neurosurg. Spine 2020, 32, 42–49. [Google Scholar] [CrossRef]
- Geddes, B.; Glassman, S.D.; Mkorombindo, T.; Gardner, J.Q.; Carreon, L.Y. Improvement of coronal alignment in fractional low lumbar curves with the use of anterior interbody devices. Spine Deform. 2021, 5, 1443–1447. [Google Scholar] [CrossRef]
- Buell, T.J.; Shaffrey, C.I.; Bess, S.; Kim, H.J.; Klineberg, E.O.; Lafage, V.; Lafage, R.; Protopsaltis, T.S.; Passias, P.G.; Mundis, G.M.; et al. Multicenter assessment of outcomes and complications associated with transforaminal versus anterior lumbar interbody fusion for fractional curve correction. J. Neurosurg. Spine 2021, 35, 729–742. [Google Scholar] [CrossRef]






| OLIF51 | TLIF | |
|---|---|---|
| Patient number | 35 | 82 |
| Age at Surgery | 75.0 (54–85) | 75.0 (64–86) |
| Gender (Male: Female) | 5: 30 | 14: 68 |
| Weight (kg) | 48.3 (32–68) | 49.5 (32–72) |
| Height (m) | 1.50(1.8–1.64) | 1.51 (1.30–1.69) |
| BMI (%) | 21.6 (13.6–30.0) | 21.7 (15.8–30.2) |
| Scoliosis Cobb Angle (deg) | 29.0 (0–72) | 25.1 (3.8–45.2) |
| CVA (mm) | 33.9 (0–112.7) | 51.2 (19.7–123.5) |
| SVA (mm) | 149.0 (0–691.0) | 148.0 (10.5–349.2) |
| PT (deg) | 47.8 (22.7–69.3) | 52.2 (38.9–68.7) |
| LL (deg) | 9.5 (−38.0–50.1) | 7.6 (−29.3–37.0) |
| PI-LL (deg) | 39.4 (0–77.6) | 44.6 (4.3–91.5) |
| Seg. Lordosis at L5/S1 (deg) | 11.3 (−3.0–29.7) | 10.5 (−1.1–22.2) |
| Fixed Segments | 7.7 (3–10) | 8.1 (4–12) |
| OLIF Segments | 4.6 (1–5) | 3.9 (2–6) |
| OLIF51 | TLIF | Significance | |
|---|---|---|---|
| Preop. Cobb angle (deg) | 29.0 (0–72) | 25.1 (3.8–45.2) | NS |
| Follow-up Cobb angle (deg) | 10.0 (0–28) | 9.5 (1.4–23.3) | NS |
| Preop. thoracic kyphosis (deg) | 23.8 (2.1–73.0) | 20.9 (1.1–77.7) | NS |
| Follow-up thoracic kyphosis (deg) | 38.3 (18.1–59.0) | 36.0 (13.6–57.9) | NS |
| Preop. CVA (mm) | 33.9 (0–112.7) | 51.2 (19.7–123.5) | NS |
| Follow-up CVA (mm) | 17.0 (0–58) | 29.2 (0–53.1) | NS |
| Preop. SVA (mm) | 149.0 (0–691) | 148.0(10.5349.2) | NS |
| Follow-up SVA (mm) | 26.9 (−35.0–99.0) | 33.7 (−33.1–112) | NS |
| Preop. SS (deg) | 17.0 (−28–44) | 21.4 (11.6–33.4) | NS |
| Follow-up SS (deg) | 30.0 (11–50.5) | 28.3 (15–35.4) | NS |
| Preop. PT (deg) | 31.2 (14–54.0) | 30.9 (18.3–48.1) | NS |
| Follow-up PT (deg) | 19.0 (−3.0–35.0) | 16.7 (4.9–36.0) | NS |
| Preop. LL (deg) | 9.5 (−38.0–50.1) | 7.6 (−29.3–37.0) | NS |
| Follow-up LL (deg) | 46.9 (22.0–65.0) | 45.4 (33.2–58.9) | NS |
| Preop. LLL (deg) | 20.2 (−26.7–47.2) | 18.1 (−10.4–34.8) | NS |
| Follow-up LLL (deg) | 34.9 (13.0–51.7) | 28.8 (21.0–34.0) | p < 0.01 |
| Preop. PI-LL (deg) | 39.4 (0–77.6) | 44.6 (4.3–91.5) | NS |
| Follow-up PI-LL (deg) | 2.5 (−23.7–24.0) | 6.9 (−9.6–33.6) | p < 0.05 |
| Preop. L5/S1 segmental lordosis (deg) | 11.3 (−3.0–29.7) | 10.5 (−1.1–22.2) | NS |
| Follow-up L5/S1 segmental angle | 19.8 (5.6–44.1) | 16.0 (4.5–21.0) | p < 0.01 |
| Preop. L5 coronal tilt (deg) | 6.0 (0–230) | 5.4 (0.6–14.5) | NS |
| Follow-up L5 coronal tilt (deg) | 2.5 (0–8.0) | 4.3 (0–10.5) | p < 0.01 |
| OLIF51 | TLIF | Significance | |
|---|---|---|---|
| Preop. LBP | 58 (0–100) | 63.6 (30–80) | NS |
| Follow-up LBP | 16.4 (0–50) | 21.0 (0–70) | NS |
| Preop. LE pain | 58.3 (0–100) | 52.7 (20–70) | NS |
| Follow-up LE pain | 17.3 (0–80) | 26.0 (0–90) | NS |
| Preop. LE numbness | 43.4 (0–100) | 51.8 (20–70) | NS |
| Follow-up LE numbness | 17.3 (0–60) | 11.0 (0–30) | NS |
Disclaimer/Publisher’s Note: The statements, opinions and data contained in all publications are solely those of the individual author(s) and contributor(s) and not of MDPI and/or the editor(s). MDPI and/or the editor(s) disclaim responsibility for any injury to people or property resulting from any ideas, methods, instructions or products referred to in the content. |
© 2024 by the authors. Licensee MDPI, Basel, Switzerland. This article is an open access article distributed under the terms and conditions of the Creative Commons Attribution (CC BY) license (https://creativecommons.org/licenses/by/4.0/).
Share and Cite
Kotani, Y.; Ikeura, A.; Tanaka, T.; Saito, T. Clinical and Radiologic Analysis of Minimally Invasive Anterior–Posterior Combined Surgery for Adult Spinal Deformity: Comparison of Oblique Lateral Interbody Fusion at L5/S1 (OLIF51) versus Transforaminal Interbody Fusion. Medicina 2024, 60, 107. https://doi.org/10.3390/medicina60010107
Kotani Y, Ikeura A, Tanaka T, Saito T. Clinical and Radiologic Analysis of Minimally Invasive Anterior–Posterior Combined Surgery for Adult Spinal Deformity: Comparison of Oblique Lateral Interbody Fusion at L5/S1 (OLIF51) versus Transforaminal Interbody Fusion. Medicina. 2024; 60(1):107. https://doi.org/10.3390/medicina60010107
Chicago/Turabian StyleKotani, Yoshihisa, Atsushi Ikeura, Takahiro Tanaka, and Takanori Saito. 2024. "Clinical and Radiologic Analysis of Minimally Invasive Anterior–Posterior Combined Surgery for Adult Spinal Deformity: Comparison of Oblique Lateral Interbody Fusion at L5/S1 (OLIF51) versus Transforaminal Interbody Fusion" Medicina 60, no. 1: 107. https://doi.org/10.3390/medicina60010107
APA StyleKotani, Y., Ikeura, A., Tanaka, T., & Saito, T. (2024). Clinical and Radiologic Analysis of Minimally Invasive Anterior–Posterior Combined Surgery for Adult Spinal Deformity: Comparison of Oblique Lateral Interbody Fusion at L5/S1 (OLIF51) versus Transforaminal Interbody Fusion. Medicina, 60(1), 107. https://doi.org/10.3390/medicina60010107
