Insights on Lipomatosis after Platinum-Based Chemotherapy Use in Pediatric Oncology: A Case Report
Abstract
1. Introduction
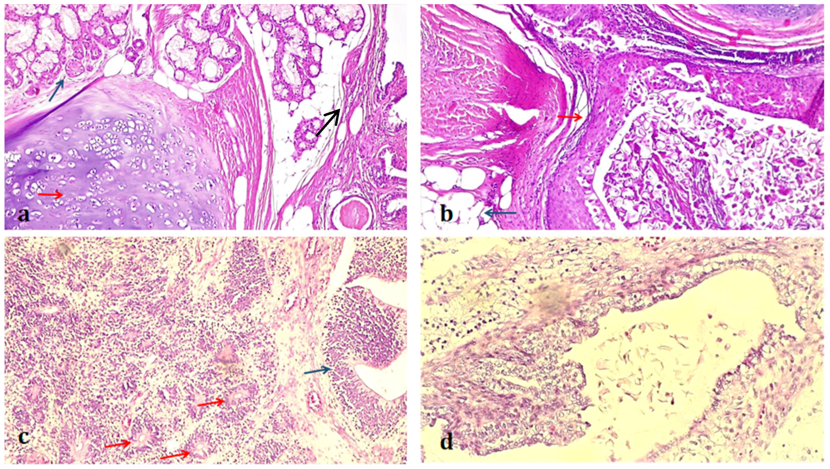
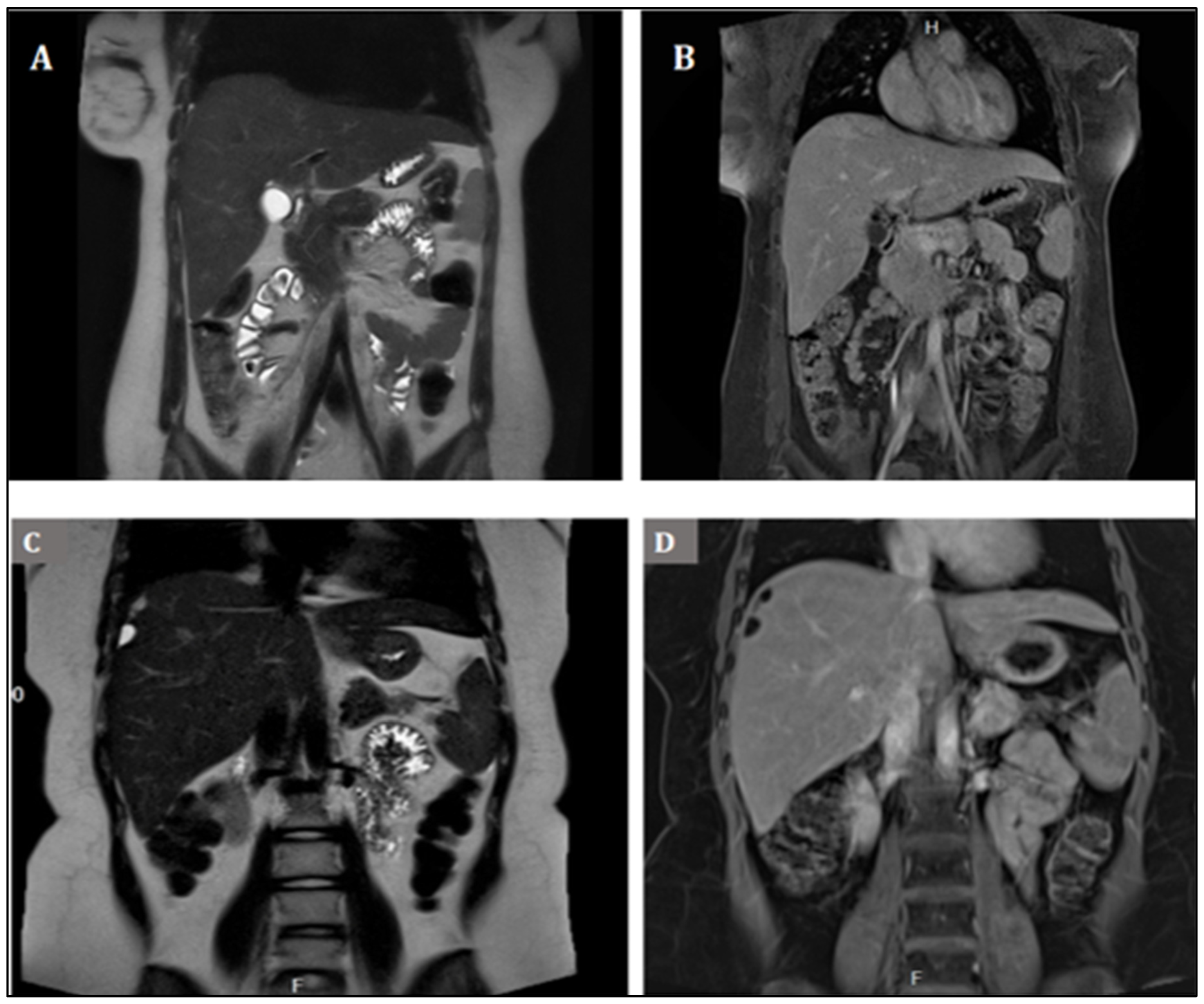
2. Case Presentation
3. Discussion
3.1. Literature Search for Similar Findings
3.2. Germ Cell Tumors in Pediatric Oncology
3.3. Platinum-Based Chemotherapy in Pediatric-Oncology
3.4. Platinum-Based Chemotherapy and Lipomatosis
4. Conclusions
Author Contributions
Funding
Institutional Review Board Statement
Informed Consent Statement
Acknowledgments
Conflicts of Interest
References
- Hashizume, N.; Aiko, T.; Fukahori, S.; Ishii, S.; Saikusa, N.; Koga, Y.; Higashidate, N.; Sakamoto, S.; Tsuruhisa, S.; Nakahara, H.; et al. Benign mesenteric lipomatous tumor in a child: A case report and literature review. Surg. Case Rep. 2020, 6, 243. [Google Scholar] [CrossRef] [PubMed]
- Putra, J.; Al-Ibraheemi, A. Adipocytic tumors in Children: A contemporary review. Semin. Diagn. Pathol. 2019, 36, 95–104. [Google Scholar] [CrossRef]
- Schiltz, D.; Mueller, K.; Ortner, C.; Tschernitz, S.; Anker, A.; Felthaus, O.; Schreml, J.; Koller, M.; Prantl, L.; Schreml, S. Multiple Symmetric Lipomatosis: A Cross-Sectional Study to Investigate Clinical Features and Patients’ Quality of Life. Symmetry 2021, 13, 1823. [Google Scholar] [CrossRef]
- Al Ghazal, P.; Grönemeyer, L.-L.; Schön, M.P. Lipomatosen. JDDG J. Dtsch. Dermatol. Ges. 2018, 16, 313–328. [Google Scholar] [CrossRef] [PubMed]
- Lemaitre, M.; Aubert, S.; Chevalier, B.; Jannin, A.; Bourry, J.; Prévost, G.; Lefebvre, H.; Vantyghem, M.-C. Rare Forms of Lipomatosis: Dercum’s Disease and Roch-Leri Mesosomatous Lipomatosis. J. Clin. Med. 2021, 10, 1292. [Google Scholar] [CrossRef]
- Sollier, C.; Capel, E.; Aguilhon, C.; Smirnov, V.; Auclair, M.; Douillard, C.; Ladsous, M.; Defoort-Dhellemmes, S.; Gorwood, J.; Braud, L.; et al. LIPE-related lipodystrophic syndrome: Clinical features and disease modeling using adipose stem cells. Eur. J. Endocrinol. 2021, 184, 155–168. [Google Scholar] [CrossRef] [PubMed]
- Gudjoncik, A.; De Carvalho, A.; Loris, L.; Chavent, A.; Cercueil, J.-P.; Jazayeri, S.; Cottin, Y. Postoperative mediastinal lipomatosis. Arch. Cardiovasc. Dis. 2008, 101, 593–594. [Google Scholar] [CrossRef] [PubMed]
- Humblot, S.; Weber, J.; Korganow, A.-S.; Hammann, B.; Pasquali, J.; Martin, T. Les lipomatoses induites par la corticothérapie. Rev. Méd. Interne 1997, 18, 396–401. [Google Scholar] [CrossRef] [PubMed]
- Dasari, S.; Tchounwou, P.B. Cisplatin in cancer therapy: Molecular mechanisms of action. Eur. J. Pharmacol. 2014, 740, 364–378. [Google Scholar] [CrossRef]
- Sharmin, S.; Rahaman, M.; Martorell, M.; Sastre-Serra, J.; Sharifi-Rad, J.; Butnariu, M.; Bagiu, I.C.; Bagiu, R.V.; Islam, M.T. Cytotoxicity of synthetic derivatives against breast cancer and multi-drug resistant breast cancer cell lines: A literature-based perspective study. Cancer Cell Int. 2021, 21, 612. [Google Scholar] [CrossRef]
- Brown, A.; Kumar, S.; Tchounwou, P.B. Cisplatin-Based Chemotherapy of Human Cancers. J. Cancer Sci. Ther. 2019, 11, 97. [Google Scholar] [PubMed]
- Iacob, R.; Manolescu, D.L.; Stoicescu, E.R.; Fabian, A.; Malita, D.; Oancea, C. Breast Cancer—How Can Imaging Help? Healthcare 2022, 10, 1159. [Google Scholar] [CrossRef] [PubMed]
- Ranasinghe, R.; Mathai, M.L.; Zulli, A. Cisplatin for cancer therapy and overcoming chemoresistance. Heliyon 2022, 8, e10608. [Google Scholar] [CrossRef] [PubMed]
- Tsuji, K.; Doyama, H. S-1 induced hepatic steatosis in patients with pancreatic cancer: Retrospective analysis. World J. Gastrointest. Oncol. 2017, 9, 314–318. [Google Scholar] [CrossRef] [PubMed]
- Martin-Benitez, G.; Marti-Bonmati, L.; Barber, C.; Vila, R. Hepatic lipomas and steatosis: An association beyond chance. Eur. J. Radiol. 2012, 81, e491–e494. [Google Scholar] [CrossRef]
- Kucharz, E.J.; Kopeć-Mędrek, M.; Kramza, J.; Chrzanowska, M.; Kotyla, P. Dercum’s disease (adiposis dolorosa): A review of clinical presentation and management. Reumatologia 2019, 57, 281–287. [Google Scholar] [CrossRef]
- Folescu, R.; Levai, C.M.; Grigoraş, M.L.; Arghirescu, T.S.; Talpoş, I.C.; Gîndac, C.M.; Zamfir, C.; Poroch, V.; Anghel, M.D. Expression and significance of Ki-67 in lung cancer. Rom. J. Morphol. Embryol. 2018, 59, 227–233. [Google Scholar] [PubMed]
- Uxa, S.; Castillo-Binder, P.; Kohler, R.; Stangner, K.; Müller, G.A.; Engeland, K. Ki-67 gene expression. Cell Death Differ. 2021, 28, 3357–3370. [Google Scholar] [CrossRef]
- Grigoraş, M.L.; Arghirescu, T.S.; Folescu, R.; Talpoş, I.C.; Gîndac, C.M.; Zamfir, C.; Cornianu, M.; Anghel, M.D.; Levai, C.M. Expression of E-cadherin in lung carcinoma, other than those with small cells (NSCLC). Rom. J. Morphol. Embryol. 2017, 58, 1317–1325. [Google Scholar]
- Rosen, R.D.; Sapra, A. TNM Classification. In StatPearls [Internet]; StatPearls Publishing: Treasure Island, FL, USA, 2022. [Google Scholar]
- Benedet, J.L.; Bender, H.; Jones, H., 3rd; Ngan, H.Y.; Pecorelli, S. FIGO staging classifications and clinical practice guidelines in the management of gynecologic cancers. FIGO Committee on Gynecologic Oncology. Int. J. Gynaecol. Obstet. 2000, 70, 209–262. [Google Scholar]
- Rebelo, J.; Moreira, F.; Morgado, M.; Preto, A.S.; Madureira, A. Growing Teratoma Syndrome: A Rare Outcome. Case Rep. Urol. 2021, 2021, 8884787. [Google Scholar] [CrossRef]
- Gurguş, D.; Grigoraş, M.L.; Motoc, A.G.M.; Zamfir, C.L.; Cornianu, M.; Faur, C.I.; Pop, D.L.; Folescu, R. Clinical relevance and accuracy of p63 and TTF-1 for better approach of small cell lung carcinoma versus poorly differentiated nonkeratinizing squamous cell carcinoma. Rom. J. Morphol. Embryol. 2019, 60, 139–143. [Google Scholar] [PubMed]
- Hu, S.; Mojtahed, A.; Covington, A.; Thompson, W.; Volpicelli, N.; McCarthy, D. Intestinal Lipomatosis and Chemotherapy: A Growing Concern. Am. J. Dig. Dis. 2016, 61, 3151–3154. [Google Scholar] [CrossRef] [PubMed]
- Bracaglia, R.; D’Ettorre, M.; Gentileschi, S.; Mingrone, G.; Tambasco, D. Multiple lipomatosis after stem cell trasplant and chemotherapy: A case report. Eur. Rev. Med. Pharmacol. Sci. 2014, 18, 413–415. [Google Scholar] [PubMed]
- Gietema, J.A.; Meinardi, M.T.; Messerschmidt, J.; Gelevert, T.; Alt, F.; Uges, D.R.; Sleijfer, D.T. Circulating plasma platinum more than 10 years after cisplatin treatment for testicular cancer. Lancet 2000, 355, 1075–1076. [Google Scholar] [CrossRef] [PubMed]
- Cronin, P.A.; Myers, E.; Redmond, H.P.; O’Reilly, S.; Kirwan, W.O. Lipomatosis: An unusual side-effect of cytotoxic chemotherapy? Acta Derm. Venereol. 2010, 90, 303–304. [Google Scholar] [CrossRef] [PubMed]
- Gotoh, M.; Kitahara, T.; Sakuta, J.; Akahane, D.; Ohyashiki, K. Multiple lipoma with hyperlipidemia in a multiple myeloma patient treated with bortezomib/dexamethazone. Leuk. Res. 2010, 34, e120–e121. [Google Scholar] [CrossRef] [PubMed]
- Levine, J.; Jensen, M.; Eberhardt, N.; O’Brien, T. Adipocyte macrophage colony-stimulating factor is a mediator of adipose tissue growth. J. Clin. Investig. 1998, 101, 1557–1564. [Google Scholar] [CrossRef][Green Version]
- Skurk, T.; Alberti-Huber, C.; Herder, C.; Hauner, H. Relationship between Adipocyte Size and Adipokine Expression and Secretion. J. Clin. Endocrinol. Metab. 2007, 92, 1023–1033. [Google Scholar] [CrossRef] [PubMed]
- Jawass, M.A.; Alezzi, J.; Bin Gouth, H.S.; Bahwal, S.A.; Bamatraf, F.F.; Ba’Amer, A.A. Pattern of malignancies in children <15 years of age reported in Hadhramout Cancer Registry, Yemen between 2002 and 2014. Saudi. Med. J. 2016, 37, 513–520. [Google Scholar] [CrossRef]
- Jinca, C.; Petrescu, C.A.M.; Boeriu, E.; Oprisoni, A.; Balint-Gib, L.; Baica, M.; Popa, C.; Andreescu, N.; Serban, M.; Ursu, E.; et al. The impact of immunological and biomolecular investigations on the outcome of children with acute lymphoblastic leukemia—Experience of IIIrd Paediatric Clinic Timisoara. Rev. Romana Med. Lab. 2018, 26, 77–85. [Google Scholar] [CrossRef]
- Mosbech, C.H.; Rechnitzer, C.; Brok, J.S.; Rajpert-De Meyts, E.; Hoei-Hansen, C.E. Recent Advances in Understanding the Etiology and Pathogenesis of Pediatric Germ Cell Tumors. J. Pediatr. Hematol. Oncol. 2017, 36, 263–270. [Google Scholar] [CrossRef] [PubMed]
- Trama, A.; Berrino, F. The Epidemiology of Malignant Germ Cell Tumors: The EUROCARE Study. In Pathology and Biology of Human Germ Cell Tumors, 1st ed.; Nogales, F.F., Jimenez, R.E., Eds.; Springer: Berlin/Heidelberg, Germany, 2017; pp. 11–21. [Google Scholar]
- Steliarova-Foucher, E.; Colombet, M.; Ries, L.A.G.; Moreno, F.; Dolya, A.; Bray, F.; Hesseling, P.; Shin, H.Y.; Stiller, C.A.; IICC-3 contributors. International incidence of childhood cancer, 2001–2010: A population-based registry study. Lancet Oncol. 2017, 18, 719–731. [Google Scholar] [CrossRef] [PubMed]
- Murray, M.J.; Nicholson, J.C.; Coleman, N. Biology of childhood germ cell tumours, focussing on the significance of microRNAs. Andrology 2015, 3, 129–139. [Google Scholar] [CrossRef]
- Zambrano, E.; De Stefano, D.V.; Reyes-Múgica, M. Pediatric Germ Cell Tumors. In Pathology and Biology of Human Germ Cell Tumors, 1st ed.; Nogales, F.F., Jimenez, R.E., Eds.; Springer: Berlin/Heidelberg, Germany, 2017; pp. 381–391. [Google Scholar]
- Ulbright, T.M. Germ cell tumors of the gonads: A selective review emphasizing problems in differential diagnosis, newly appreciated, and controversial issues. Mod. Pathol. 2005, 18 (Suppl. S2), S61–S79. [Google Scholar] [CrossRef]
- Jimenez, R.E.; Gupta, S.; Herrera-Hernandez, L.P.; Sebo, T.J. Testicular Germ Cell Tumors. In Pathology and Biology of Human Germ Cell Tumors, 1st ed.; Nogales, F.F., Jimenez, R.E., Eds.; Springer: Berlin/Heidelberg, Germany, 2017; pp. 294–296. [Google Scholar]
- Smith, H.O.; Berwick, M.; Verschraegen, C.F.; Wiggins, C.; Lansing, L.; Muller, C.Y.; Qualls, C.R. Incidence and Survival Rates for Female Malignant Germ Cell Tumors. Obstet. Gynecol. 2006, 107, 1075–1085. [Google Scholar] [CrossRef]
- You, W.; Dainty, L.A.; Rose, G.S.; Krivak, T.; McHale, M.T.; Olsen, C.H.; Elkas, J.C. Gynecologic Malignancies in Women Aged Less Than 25 Years. Obstet. Gynecol. 2005, 105, 1405–1409. [Google Scholar] [CrossRef]
- Fonseca, A.; Frazier, A.L.; Shaikh, F. Germ Cell Tumors in Adolescents and Young Adults. J. Oncol. Pract. 2019, 15, 433–441. [Google Scholar] [CrossRef]
- Triarico, S.; Capozza, M.A.; Mastrangelo, S.; Attinà, G.; Maurizi, P.; Ruggiero, A. Gynecological cancer among adolescents and young adults (AYA). Ann. Transl. Med. 2020, 8, 1–12. [Google Scholar] [CrossRef]
- Berney, D.M.; Stoneham, S.; Arora, R.; Shamash, J.; Lockley, M. Ovarian germ cell tumour classification: Views from the testis. Histopathology 2020, 76, 25–36. [Google Scholar] [CrossRef]
- Shaaban, A.; Rezvani, M.; Elsayes, K.M.; Baskin, H., Jr.; Mourad, A.; Foster, B.R.; Jarboe, E.A.; Menias, C.O. Ovarian Malignant Germ Cell Tumors: Cellular Classification and Clinical and Imaging Features. RadioGraphics 2014, 34, 777–801. [Google Scholar] [CrossRef] [PubMed]
- Friedman, C.; Fenster, T. Laparoscopic Treatment of Mixed Malignant Ovarian Germ Cell Tumor in a 16-Year-Old Female Adolescent. J. Pediatr. Adolesc. Gynecol. 2016, 29, e91–e94. [Google Scholar] [CrossRef]
- Faure-Conter, C.; Rocourt, N.; Sudour-Bonnange, H.; Vérité, C.; Martelli, H.; Patte, C.; Frappaz, D.; Orbach, D. Les tumeurs germinales de l’enfant. Bull. Cancer 2013, 100, 381–391. [Google Scholar] [CrossRef] [PubMed]
- Luczak, J.; Bagłaj, M. Ovarian teratoma in children: A plea for collaborative clinical study. J. Ovarian Res. 2018, 11, 75. [Google Scholar] [CrossRef] [PubMed]
- Kaur, B. Pathology of malignant ovarian germ cell tumours. Diagn. Histopathol. 2020, 26, 289–297. [Google Scholar] [CrossRef]
- Boer, H.; Proost, J.H.; Nuver, J.; Bunskoek, S.; Gietema, J.Q.; Guebels, B.M.; Altena, R.; Zwart, N.; Oosting, S.F.; Vonk, J.M.; et al. Long-term exposure to circulating platinum is associated with late effects of treatment in testicular cancer survivors. Ann. Oncol. 2015, 26, 2305–2310. [Google Scholar] [CrossRef]
- Blok, J.M.; Groot, H.J.; Huele, E.H.; De Wit, R.; Horenblas, S.; Nuver, J.; Groenewegen, G.; Bosch, J.R.; Witjes, J.A.; Tromp, J.M.; et al. Dose-Dependent Effect of Platinum-Based Chemotherapy on the Risk of Metachronous Contralateral Testicular Cancer. J. Clin. Oncol. 2021, 39, 319–327. [Google Scholar] [CrossRef]
- Chang, Y.-H.; Liu, H.-W.; Chu, T.-Y.; Wen, Y.-T.; Tsai, R.-K.; Ding, D.-C. Cisplatin-Impaired Adipogenic Differentiation of Adipose Mesenchymal Stem Cells. Cell Transplant. 2017, 26, 1077–1087. [Google Scholar] [CrossRef]
- Yao, W.; Hu, Q.; Ma, Y.; Xiong, W.; Wu, T.; Cao, J.; Wu, D. Human adipose-derived mesenchymal stem cells repair cisplatin-induced acute kidney injury through antiapoptotic pathways. Exp. Ther. Med. 2015, 10, 468–476. [Google Scholar] [CrossRef]
- Meligy, F.Y.; Elgheed, A.T.A.; Alghareeb, S.M. Therapeutic effect of adipose-derived mesenchymal stem cells on Cisplatin induced testicular damage in adult male albino rat. Ultrastruct. Pathol. 2019, 43, 28–55. [Google Scholar] [CrossRef]
- Spaeth, E.; Klopp, A.; Dembinski, J.; Andreeff, M.; Marini, F. Inflammation and tumor microenvironments: Defining the migratory itinerary of mesenchymal stem cells. Gene Ther. 2008, 15, 730–738. [Google Scholar] [CrossRef] [PubMed]
- Floyd, J.; Mirza, I.; Sachs, B.; Perry, M.C. Hepatotoxicity of Chemotherapy. Semin. Oncol. 2006, 33, 50–67. [Google Scholar] [CrossRef]
- Scuderi, M.G.; Magro, G.G.; Di Cataldo, A.; Pesce, A.; Scalora, L.; Vecchio, G.M.; Portale, R.; Di Benedetto, V.; Puleo, S. Evaluation of Neoadjuvant Chemotherapy Effects on Liver Parenchyma in Resected Pediatric Malignancies. Pediatr. Hematol. Oncol. 2013, 30, 392–399. [Google Scholar] [CrossRef] [PubMed]
- Kiani, A.K.; Mor, M.; Bernini, A.; Fulcheri, E.; Michelini, S.; Herbst, K.L.; Buffelli, F.; Belgrado, J.P.; Kaftalli, J.; Stuppia, L.; et al. Steroid-converting enzymes in human adipose tissues and fat deposition with a focus on AKR1C enzymes. Eur. Rev. Med. Pharmacol. Sci. 2021, 25 (Suppl. S1), 23–32. [Google Scholar] [CrossRef] [PubMed]
- Nobili, V.; Alisi, A.; Valenti, L.; Miele, L.; Feldstein, A.E.; Alkhouri, N. NAFLD in children: New genes, new diagnostic modalities and new drugs. Nat. Rev. Gastroenterol. Hepatol. 2019, 16, 517–530. [Google Scholar] [CrossRef] [PubMed]
- Mattsson, C.; Olsson, T. Estrogens and Glucocorticoid Hormones in Adipose Tissue Metabolism. Curr. Med. Chem. 2007, 14, 2918–2924. [Google Scholar] [CrossRef]
- Pedersen, S.B.; Kristensen, K.; Hermann, P.A.; Katzenellenbogen, J.A.; Richelsen, B. Estrogen Controls Lipolysis by Up-Regulating α2A-Adrenergic Receptors Directly in Human Adipose Tissue through the Estrogen Receptor α. Implications for the Female Fat Distribution. J. Clin. Endocrinol. Metab. 2004, 89, 1869–1878. [Google Scholar] [CrossRef]
- DiSaia, P.J.; Saltz, A.; Kagan, A.R.; Morrow, C.P. Chemotherapeutic retro-conversion of immature teratoma of the ovary. Obstet. Gynecol. 1977, 49, 346–350. [Google Scholar]
- Logothetis, C.J.; Samuels, M.L.; Trindade, A.; Johnson, D.E. The growing teratoma syndrome. Cancer 1982, 50, 1629–1635. [Google Scholar] [CrossRef]
- Amsalem, H. Growing teratoma syndrome vs. chemotherapeutic retroconversion Case report and review of the literature. Gynecol. Oncol. 2004, 92, 357–360. [Google Scholar] [CrossRef] [PubMed]
- Kurata, A.; Takanashi, M.; Ohno, S.-I.; Fujita, K.; Kuroda, M. Cisplatin induces differentiation in teratomas derived from pluripotent stem cells. Regen. Ther. 2021, 18, 117–126. [Google Scholar] [CrossRef] [PubMed]




| Test | Value | Range | Significance |
|---|---|---|---|
| RBC (female) | 4.0 × 109/mm3 | 4.2–5.4 × 109/mm3 | ↓ |
| Hemoglobin | 10.5 g/dL | 11.8–15.7 g/dL | ↓ |
| Leukocytes | 17.200/mm3 | 4.800–10.800/mm3 | ↑ |
| Neutrophils | 13.810/mm3 | 1870–8100/mm3 | ↑ |
| Serum glucose | 109 mg/dL | 70–100 mg/dL | ↑ |
| Total cholesterol | 183 mg/dL | <170 mg/dL | ↑ |
| Triglycerides | 155 mg/dL | <150 mg/dL | ↑ |
| Serum albumin | 4.1 mg/dL | 3.4–5.4 g/dL | Within normal range |
| CRP | 3215 mg/L | 0–5 mg/L | ↑ |
| Ferritin | 1118 ng/mL | 15–150 ng/mL | ↑ |
| Fibrinogen | 629 mg/dL | 200–400 mg/dL | ↑ |
| Procalcitonin | 0.244 ng/mL | 0–0.5 ng/mL | Within normal range |
| ESR | 92 mm/h | 2–13 mm/h | ↑ |
| AFP | – | – | – |
| β-HCG | – | – | – |
| CA-125 | – | – | – |
Publisher’s Note: MDPI stays neutral with regard to jurisdictional claims in published maps and institutional affiliations. |
© 2022 by the authors. Licensee MDPI, Basel, Switzerland. This article is an open access article distributed under the terms and conditions of the Creative Commons Attribution (CC BY) license (https://creativecommons.org/licenses/by/4.0/).
Share and Cite
Boeriu, E.; Boc, A.G.; Borda, A.; Negrean, R.A.; Feciche, B.; Boeriu, A.I.; Horhat, F.G.; Mot, I.C.; Horhat, I.D.; Ravulapalli, M.; et al. Insights on Lipomatosis after Platinum-Based Chemotherapy Use in Pediatric Oncology: A Case Report. Medicina 2022, 58, 1715. https://doi.org/10.3390/medicina58121715
Boeriu E, Boc AG, Borda A, Negrean RA, Feciche B, Boeriu AI, Horhat FG, Mot IC, Horhat ID, Ravulapalli M, et al. Insights on Lipomatosis after Platinum-Based Chemotherapy Use in Pediatric Oncology: A Case Report. Medicina. 2022; 58(12):1715. https://doi.org/10.3390/medicina58121715
Chicago/Turabian StyleBoeriu, Estera, Alexandra Georgiana Boc, Alexandra Borda, Rodica Anamaria Negrean, Bogdan Feciche, Amalia Iulia Boeriu, Florin George Horhat, Ion Cristian Mot, Ioana Delia Horhat, Madhavi Ravulapalli, and et al. 2022. "Insights on Lipomatosis after Platinum-Based Chemotherapy Use in Pediatric Oncology: A Case Report" Medicina 58, no. 12: 1715. https://doi.org/10.3390/medicina58121715
APA StyleBoeriu, E., Boc, A. G., Borda, A., Negrean, R. A., Feciche, B., Boeriu, A. I., Horhat, F. G., Mot, I. C., Horhat, I. D., Ravulapalli, M., Sabuni, O., Adi, A., Anjary, A., & Arghirescu, S. T. (2022). Insights on Lipomatosis after Platinum-Based Chemotherapy Use in Pediatric Oncology: A Case Report. Medicina, 58(12), 1715. https://doi.org/10.3390/medicina58121715

