Thyroid-Bed Schwannoma Mimicking a Thyroid Neoplasm: A Challenging Diagnosis: Report of a Case and Literature Review
Abstract
1. Introduction
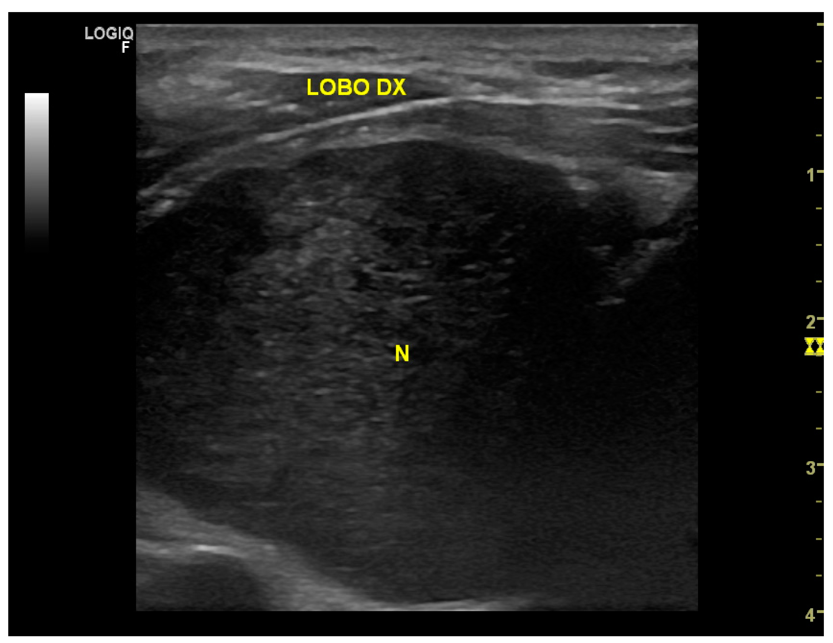
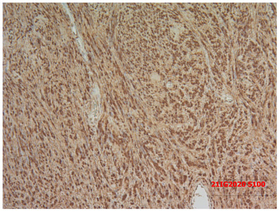
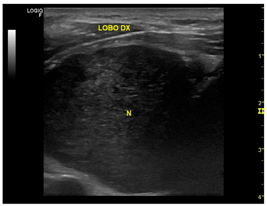
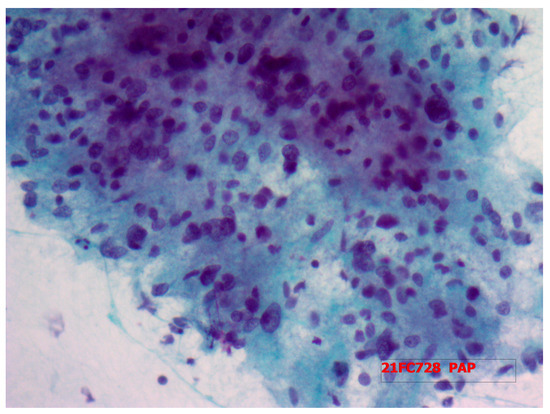
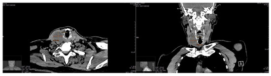
2. Case Report
3. Review and Discussion
Author Contributions
Funding
Institutional Review Board Statement
Informed Consent Statement
Data Availability Statement
Conflicts of Interest
References
- Pillai, S.; Agarwal, A.C.; Mathew, M.; Nayak, D.R. Ancient schwannoma mimicking a thyroid mass with retrosternal extension. BMJ Case Rep. 2013, 2013, bcr2013200608. [Google Scholar] [CrossRef] [PubMed]
- Aoki, T.; Kumeda, S.; Iwasa, T.; Inokawa, K.; Hori, T.; Makiuchi, M. Primary neurilemoma of the thyroid gland: Report Of a case. Surg Today 1993, 23, 265–268. [Google Scholar] [CrossRef] [PubMed]
- Mikosch, P.; Gallowitsch, H.; Kresnik, E.; Lind, P. Schwannoma of the neck simulating a thyroid nodule. Thyroid 1997, 7, 449–451. [Google Scholar] [CrossRef]
- Sugita, R.; Nomura, T.; Yuda, F. Primary schwannoma of the thyroid gland: CT findings. AJR Am. J. Roentgenol. 1998, 171, 528–529. [Google Scholar] [CrossRef] [PubMed]
- Uri, O.; Baron, E.; Lefel, O.; Bitterman, A. Primary schwannoma of the thyroid gland presenting as an asymptomatic cold nodule. Am. J. Otolaryngol. 2009, 30, 427–429. [Google Scholar] [CrossRef]
- Ahmed, A.; Morley, A.; Wilson, J.A. Extracranial neurilemmoma: A case report and review of the literature. J. R. Coll. Surg. Edinb. 2000, 45, 192–194. [Google Scholar]
- Al-Ghamdi, S.; Fageeh, N.; Dewan, M. Malignant schwannoma of the thyroid gland. Otolaryngol. Head Neck Surg. 2000, 122, 143–144. [Google Scholar] [CrossRef]
- Gustafson, L.; Liu, J.H.; Rutter, M.J.; Stern, Y.; Cotton, R.T. Primary neurilemoma of the thyroid gland: A case report. Am. J. Otolaryngol. 2001, 22, 84–86. [Google Scholar] [CrossRef]
- Pezzolla, A.; Docimo, G.; Ruggiero, R.; Monacelli, M.; Cirocchi, R.; Parmeggiani, D.; Conzo, G.; Gubitosi, A.; Lattarulo, S.; Ciampolillo, A.; et al. Incidental thyroid carcinoma: A multicentric experience. Recenti Prog. Med. 2010, 101, 194–198. [Google Scholar]
- Docimo, G.; Ruggiero, R.; Casalino, G.; Del Genio, G.; Docimo, L.; Tolone, S. Risk factors for postoperative hypocalcemia. Updat. Surg. 2017, 69, 255–260. [Google Scholar] [CrossRef]
- Gambardella, C.; Patrone, R.; Di Capua, F.; Offi, C.; Mauriello, C.; Clarizia, G.; Andretta, C.; Polistena, A.; Sanguinetti, A.; Calò, P.; et al. The role of prophylactic central compartment lymph node dissection in elderly patients with differentiated thyroid cancer: A multicentric study. BMC Surg. 2019, 18, 110. [Google Scholar] [CrossRef]
- Nardi, F.; Basolo, F.; Crescenzi, A.; Fadda, G.; Frasoldati, A.; Orlandi, F.; Palombini, L.; Papini, E.; Zini, M.; Pontecorvi, A.; et al. ltalian consensus for the classification and reporting of thyroid cytology. J. Endocrinol. Invest. 2014, 37, 593–599. [Google Scholar] [CrossRef] [PubMed]
- Aron, M.; Kapila, K.; Verma, K. Neural tumours of the neck presenting as thyroid nodules: A report of three cases. Cytopathology 2005, 16, 206–209. [Google Scholar] [CrossRef] [PubMed]
- Hedinger, C.; Williams, E.D.; Sobin, L.H. The WHO histological classification of thyroid tumors: A commentary on the second edition. Cancer 1989, 63, 908–911. [Google Scholar] [CrossRef]
- Datta, R.V.; Petrelli, N.J.; Ramzy, J. Evaluation and management of incidentally discovered thyroid nodules. Surg. Oncol. 2006, 15, 33–42. [Google Scholar] [CrossRef]
- Delaney, W.E.; Fry, K.E. Neurilemoma of the thyroid gland. Ann. Surg. 1964, 160, 1014–1017. [Google Scholar] [CrossRef] [PubMed]
- Jong, Y.N.; Lee, J.J.; Chan, Y.J.; Cheng, S.-P. Neurilemmoma of the thyroid gland. Intern. Med. 2012, 51, 1641. [Google Scholar] [CrossRef]
- Graceffa, G.; Cipolla, C.; Florena, A.M.; Gentile, I.; Pompei, G.; Latteri, M.A. Primary schwannoma of the thyroid gland involving the isthmus: Report of a case. Surg. Today 2013, 43, 106–109. [Google Scholar] [CrossRef]
- Jayaram, G. Neurilemmoma (schwannoma) of the thyroid diagnosed by fine needle aspiration cytology. Acta Cytol. 1999, 43, 743–744. [Google Scholar]
- Subramaniam, V.; Adarsha, T.V.; Khandige, S. Schwannoma of the thyroid gland—A case report. J. De Chir. 2010, 6, 535–538. [Google Scholar]
- Dhar, H.; Dabholkar, J.P.; Kandalkar, B.M.; Ghodke, R. Primary thyroid schwannoma masquerading as a thyroid nodule. J. Surg. Case Rep. 2014, 2014, rju094. [Google Scholar] [CrossRef] [PubMed]
- Kang, J.Y.; Yi, K.S.; Cha, S.-H.; Choi, C.-H.; Kim, Y.; Lee, J.; Son, S.-M. Schwannoma of the thyroid bed: A case report and review of the literature. Medicine 2020, 99, e18814. [Google Scholar] [CrossRef] [PubMed]
- De Paoli, F.; Giugliano, G.; Casadio, C.; Tredici, P.; Bruschini, R.; de Fiori, E. Schwannoma of thyroid bed. A case report and considerations on interdisciplinary collaboration. Acta Otorhinolaryngol. Ital. 2005, 25, 250–252. [Google Scholar] [PubMed]
- Oka, K.; Iwamuro, M.; Otsuka, F. Neck schwannoma mimicking a thyroid tumor. J. Gen. Fam. Med. 2017, 18, 473–474. [Google Scholar] [CrossRef]
- Ledgard, C.; Dickson, S.; Pochin, R. Surgical excision of a schwannoma mimicking a thyroid nodule. ANZ J. Surg. 2022. [Google Scholar] [CrossRef]
- Simo, D.; Selvaggi, F.; Cieri, M.; Angelucci, D.; Claudi, R.; Giuliani, C.; Francomano, F.; Cotellese, R.; Innocenti, P. Surgical approach for nodular neck lesions mimicking primitive thyroid neoplasms Report of three cases. Ann. Ital. Chir. 2014, 85, 474–478. [Google Scholar]
- Donatini, G.; Iacconi, P.; De Bartolomeis, C.; Fattori, S.; Pucci, A.; Puccini, M.; Miccoli, P.; Iacconi, C. Neck lesions mimicking thyroid pathology. Langenbecks Arch. Surg. 2009, 394, 435–440. [Google Scholar] [CrossRef]
- Nagavalli, S.; Yehuda, M.; McPhaul, L.W.; Gianoukakis, A.G. A cervical schwannoma masquerading as a thyroid nodule. Eur. Thyroid J. 2017, 6, 216–220. [Google Scholar] [CrossRef][Green Version]
- Badawi, R.A.; Scott-Coombes, D. Ancient schwannoma masquerading as a thyroid mass. Eur. J. Surg. Oncol. 2002, 28, 88–90. [Google Scholar] [CrossRef]
- Liberati, A.; Altman, D.G.; Tetzlaff, J.; Mulrow, C.; Gotzsche, P.C.; Ioannidis, J.P.A.; Clarke, M.; Devereaux, P.J.; Kleijnen, J.; Moher, D. The PRISMA statement for reporting systematic reviews and meta-analyses of studies that evaluate healthcare interventions: Explanation and elaboration. BMJ 2009, 339, b2700. [Google Scholar] [CrossRef]
- Wells, G.A.; Shea, B.; O’Connell, D.; Pereson, J.; Welch, V.; Losos, M.; Tugwell, P. The Newcastle-Ottawa Scale (NOS) for Assessing the Quality of Nonrandomised Studies in Meta-Analyses; Ottawa Hospital Research Institute: Ottawa, ON, Canada; Available online: http://www.ohri.ca/programs/clinical_epidemiology/oxford.asp (accessed on 21 September 2017).
- Cashman, E.; Skinner, L.J.; Timon, C. Thyroid swelling: An unusual presentation of a cervical sympathetic chain schwannoma. Medscape J. Med. 2008, 10, 201. [Google Scholar] [PubMed]
- Beggs, I. Sonographic appearances of nerve tumors. J. Clin. Ultrasound 1999, 27, 363–368. [Google Scholar] [CrossRef]
- Isobe, K.; Shimizu, T.; Akahane, T.; Kato, H. Imaging of ancient schwannoma. AJR Am. J. Roentgenol. 2004, 183, 331–336. [Google Scholar] [CrossRef]
- Yu, G.H.; Sack, M.J.; Baloch, Z.; Gupta, P.K. Difficulties in the fine needle aspiration (FNA) diagnosis of schwannoma. Cytopathology 1999, 10, 186–194. [Google Scholar] [CrossRef] [PubMed]
- Zheng, X.; Guo, K.; Wang, H.; Li, D.; Wu, Y.; Ji, Q.; Shen, Q.; Sun, T.; Xiang, J.; Zeng, W.; et al. Extracranial schwannoma in the carotid space: A retrospective review of 91 cases. Head Neck 2017, 39, 42–47. [Google Scholar] [CrossRef]
- Kasraeian, S.; Allison, D.C.; Ahlmann, E.R.; Fedenko, A.N.; Menendez, L.R. A comparison of fine-needle aspiration, core biopsy, and surgical biopsy in the diagnosis of extremity soft tissue masses. Clin. Orthop. Relat. Res. 2010, 468, 2992–3002. [Google Scholar] [CrossRef]
- Ahn, D.; Lee, G.J.; Sohn, J.H.; Jeong, J.Y. Fine-needle aspiration cytology versus core-needle biopsy for the diagnosis of extracranial head and neck schwannoma. Head Neck 2018, 40, 2695–2700. [Google Scholar] [CrossRef]
- Docimo, G.; Tolone, S.; Conzo, G.; Limongelli, P.; Del Genio, G.; Parmeggiani, D.; De Palma, M.; Lupone, G.; Avenia, N.; Lucchini, R.; et al. A Gelatin-Thrombin Matrix Topical Hemostatic Agent (Floseal) in Combination with Harmonic Scalpel Is Effective in Patients Undergoing Total Thyroidectomy: A Prospective, Multicenter, Single-Blind, Randomized Controlled Trial. Surg. Innov. 2016, 23, 23–29. [Google Scholar] [CrossRef]
- Marotta, V.; Sciammarella, C.; Chiofalo, M.G.; Gambardella, C.; Bellevicine, C.; Grasso, M.; Conzo, G.; Docimo, G.; Botti, G.; Losito, N.; et al. Hashimoto’s thyroiditis predicts outcome in intrathyroidal papillary thyroid cancer. Endocr. Relat. Cancer 2017, 24, 485–493. [Google Scholar] [CrossRef]






| Case | Age/Sex | Presentation | US Localization | Imaging | FNA Result | Surgery | Definitive Pathology | IHC |
|---|---|---|---|---|---|---|---|---|
| Ledgard C et al., 2022 [25] | 33/F | Large palpable mass, compression | 53 × 19 × 19 mm—Inferior left thyroid nodule | US: Solid and hypoechoic with minimal internal vascularity (TIRADS 4) | Non-diagnostic (acellular) | Nodule Removal | Encapsulated mass (schwannoma) arising adjacent to nerve bundles. Spindle cells with both Type A and B Antoni cells | S-100 and Vimentin+ Ki67 low proliferation |
| Kang et al., 2019 [22] | 33/F | None | 30 mm—Inferior left thyroid nodule | US: Well-defined, oval-shaped, markedly hypoechoic intrathyroidal nodule with echogenic foci and macro- and microcalcifications | Non-diagnostic | Left hemi-thyroidectomy | Schwannoma in the perithyroid tissue, with compact areas of spindle cells (Antoni A) and loosely arranged foci (Antoni B) | S-100+ |
| Nagavalli et al., 2017 [28] | 60/F | Dysphagia, neck mass | Left thyroid lobe | US: Ovoid hypoechoic mass with smooth borders. CT: diffusely enlarged and heterogeneous thyroid with the left lobe extending to the retropharyngeal space and anterior mediastinum | Spindle cells with a lymphocytic background | Nodule Removal | Spindle cells in whorls with a predominantly Antoni A pattern | S-100+ Ki67 low proliferation |
| Simo D et al., 2014 [26] | - | Preoperative suspect of thyroid carcinoma with lymph node metastases | - | - | - | - | Ancient schwannoma | - |
| Pillai et al., 2013 [1] | 30/F | Neck mass, voice change, dyspnea | 5.3 × 4.1 × 7.2 cm—Lower pole of left thyroid lobe | US: Large multiseptated hypoechoic lesion. Not vascularized. CT: left thyroid mass measuring 8 × 5 cm with retrosternal extension. Tc-99 m scintigraphy: enlarged right lobe of thyroid and a left lateral palpable nodule, which was cold in nature, possibly an extra-thyroidal mass | Insufficient for diagnosis | Left hemi-thyroidectomy | Cellular ancient schwannoma with spindle cells with wavy nuclei, interspersed throughout hypocellular and cystic areas, extensive hyalinization, hemosiderin-laden macrophages and hyalinized thick-walled vessels. | S-100 and Vimentin+ |
| Donatini et al., 2008/1 [27] | 26/F | Neck mass | 41 mm—Inferior right thyroid lobe | US: heterogeneous, partially liquid and with hyper-echogenic spots. Tc-99 m scintigraphy: no hyperactivity. MRI: extra-thyroidal lesion of 47 mm between the vascular neck bundle and the right thyroid lobe | Non-diagnostic | Mass Removal | Ganglioneuroma | S-100+ |
| Donatini et al., 2008/2 [27] | 26/F | Thyroid cancer with cervical-lymph-node metastases | 38 mm—Right thyroid lobe | US: nodular lesion close to the neck vascular bundle suspicious for a metastatic lymph node. CT and MRI: enlarged left thyroid lobe pushing the trachea towards right side and in close proximity to a largely necrotic lesion of 4 cm (metastatic disease). Tc-99 m scintigraphy: the “lymph node” showed hypo-activity | Fibrous tissue without any tumoral cell | Mass Removal | Schwannoma | S-100+ Ki67/Mib1- |
| Cashman et al., 2008 [32] | 35/F | Neck mass; right Horner’s syndrome | 6 × 2.4 × 2.7 mm—Right thyroid lobe | US: Large mass arising from thyroid gland | Inconclusive | Right hemi-thyroidectomy | Schwannoma with spindle cell without atypia, mitosis, or necrosis | S-100+ Desmin and SMA (smooth muscle actin) |
| De Paoli et al., 2005 [23] | 63/F | Foreign body sensation with swallowing | 27 mm—Lower pole of right thyroid lobe | US: Markedly hypoechogenic nodule with rich vascularity | Fragments of adipose tissue, rare thymocytes in aggregates resembling follicular masses, insufficient for diagnosis | Total thyroidectomy | Schwannoma in the perithyroid tissue, with compact areas of spindle cells or Verocay bodies (Antoni A) and loosely arranged foci (Antoni B) | |
| Aron et al., 2005/1 [13] | 28/F | Neck mass | Left lobe | - | Spindle-cell tumor without thyroid cell. Diagnosis of benign nerve-sheath tumor | Left hemi-thyroidectomy | Grey-white lobulated tumor of 70 × 50 mm, with compressed normal thyroid tissue at the periphery. Microscopic examination showed features of a schwannoma with nuclear palisading and thick-walled blood vessels | - |
| Aron et al., 2005/2 [13] | 23/F | Neck mass | - | - | Spindle-cell tumor without thyroid cell. Diagnosis of benign nerve-sheath tumor | Total thyroidectomy | Grey-white lobulated tumor of 80 × 50 mm, with compressed normal thyroid tissue at the periphery. Microscopic examination showed features of a schwannoma with nuclear palisading and thick-walled blood vessels | - |
| Badawi et al., 2002 [29] | 23/F | Neck mass | - | Tc-99 m scintigraphy: cold nodule of the left thyroid lobule | Paucicellular sample with occasional follicular cells of equivocal diagnostic value | Mass excision | Ancient, encapsulated schwannoma with vague nodularity with fibrous septae. Lobules consisted of collagenous stroma and cells with Verocay bodies. | - |
| Ahmed et al., 2000 [6] | 14/M | Neck mass | Superior pole to right thyroid lobe | Solid lesion | - | Mass excision | Neurilemmoma | - |
| Mikosch et al., 1997 [3] | 31/M | Neck mass | Lateral and lower pole of right thyroid lobe | US: Large markedly hypoechoic nodule with smooth borders. Tc-99 m scintigraphy: normal thyroid | 1. Colloid and thyrocytes 2. Spindle-cell tumor | Mass excision | Schwannoma with Antoni A structures | - |
Publisher’s Note: MDPI stays neutral with regard to jurisdictional claims in published maps and institutional affiliations. |
© 2022 by the authors. Licensee MDPI, Basel, Switzerland. This article is an open access article distributed under the terms and conditions of the Creative Commons Attribution (CC BY) license (https://creativecommons.org/licenses/by/4.0/).
Share and Cite
Gambardella, C.; Docimo, L.; Candela, G.; Cozzolino, G.; Mongardini, F.; Serilli, F.; Nesta, G.; Filograna Pignatelli, M.; Ferrandes, S.; Gambardella, A.; et al. Thyroid-Bed Schwannoma Mimicking a Thyroid Neoplasm: A Challenging Diagnosis: Report of a Case and Literature Review. Medicina 2022, 58, 1345. https://doi.org/10.3390/medicina58101345
Gambardella C, Docimo L, Candela G, Cozzolino G, Mongardini F, Serilli F, Nesta G, Filograna Pignatelli M, Ferrandes S, Gambardella A, et al. Thyroid-Bed Schwannoma Mimicking a Thyroid Neoplasm: A Challenging Diagnosis: Report of a Case and Literature Review. Medicina. 2022; 58(10):1345. https://doi.org/10.3390/medicina58101345
Chicago/Turabian StyleGambardella, Claudio, Ludovico Docimo, Giancarlo Candela, Giovanni Cozzolino, Federico Mongardini, Francesca Serilli, Giusiana Nesta, Marcello Filograna Pignatelli, Sonia Ferrandes, Antonio Gambardella, and et al. 2022. "Thyroid-Bed Schwannoma Mimicking a Thyroid Neoplasm: A Challenging Diagnosis: Report of a Case and Literature Review" Medicina 58, no. 10: 1345. https://doi.org/10.3390/medicina58101345
APA StyleGambardella, C., Docimo, L., Candela, G., Cozzolino, G., Mongardini, F., Serilli, F., Nesta, G., Filograna Pignatelli, M., Ferrandes, S., Gambardella, A., & Docimo, G. (2022). Thyroid-Bed Schwannoma Mimicking a Thyroid Neoplasm: A Challenging Diagnosis: Report of a Case and Literature Review. Medicina, 58(10), 1345. https://doi.org/10.3390/medicina58101345

