Sign in to use this feature.

Years

Between: -

Subjects

remove_circle_outline
remove_circle_outline
remove_circle_outline

Journals

Article Types

Countries / Regions

Search Results (1)

Search Parameters:
Keywords = thyroid-bed lesion

Order results
Result details
Results per page
Select all
Export citation of selected articles as:
12 pages, 11393 KB  
Review
Thyroid-Bed Schwannoma Mimicking a Thyroid Neoplasm: A Challenging Diagnosis: Report of a Case and Literature Review
by Claudio Gambardella, Ludovico Docimo, Giancarlo Candela, Giovanni Cozzolino, Federico Mongardini, Francesca Serilli, Giusiana Nesta, Marcello Filograna Pignatelli, Sonia Ferrandes, Antonio Gambardella and Giovanni Docimo
Medicina 2022, 58(10), 1345; https://doi.org/10.3390/medicina58101345 - 24 Sep 2022
Cited by 9 | Viewed by 3293
Abstract
Background: Schwannomas, also called neurinomas, are rare benign tumors of the neural cells that can develop from the sheaths of nervous structures of several districts, although the most frequent sites are the cranial nerves (25%–45%). Rarely, cases show neck schwannomas in the thyroid [...] Read more.
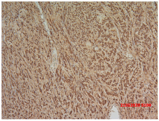
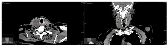
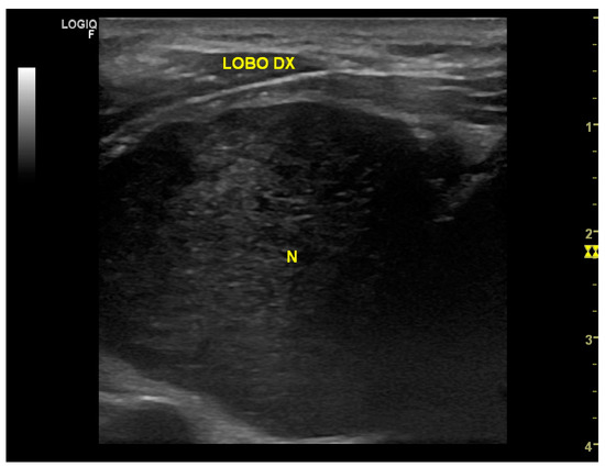
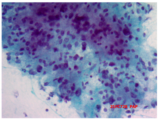
Background: Schwannomas, also called neurinomas, are rare benign tumors of the neural cells that can develop from the sheaths of nervous structures of several districts, although the most frequent sites are the cranial nerves (25%–45%). Rarely, cases show neck schwannomas in the thyroid parenchyma, while the cases of thyroid-bed schwannomas mimicking a thyroid-gland lesions are anecdotal. Methods: We report the case of a 70-year-old man with a preoperative-imaging diagnosis of a thyroid neoplasm, confirmed as Thyr 4 by fine-needle cytology. Results: During surgery, an extra-thyroidal lesion was discovered, determined to be a neck schwannoma through definitive pathology. A literature review of cases of thyroid-bed-lesion schwannomas misinterpreted as thyroid neoplasms was carried out. Conclusions: In the case of suspicious extra-thyroidal lesions, we advocate for a close routine cooperation between the cytologist, the radiologist, and the surgeon in the attempt to reach an accurate preoperative diagnosis. Full article
(This article belongs to the Section Oncology)
Show Figures

Figure 1

Back to TopTop