Elastofibroma Dorsi, a Rare Condition, with Challenging Diagnosis. Case Report and Literature Review
Abstract
1. Introduction
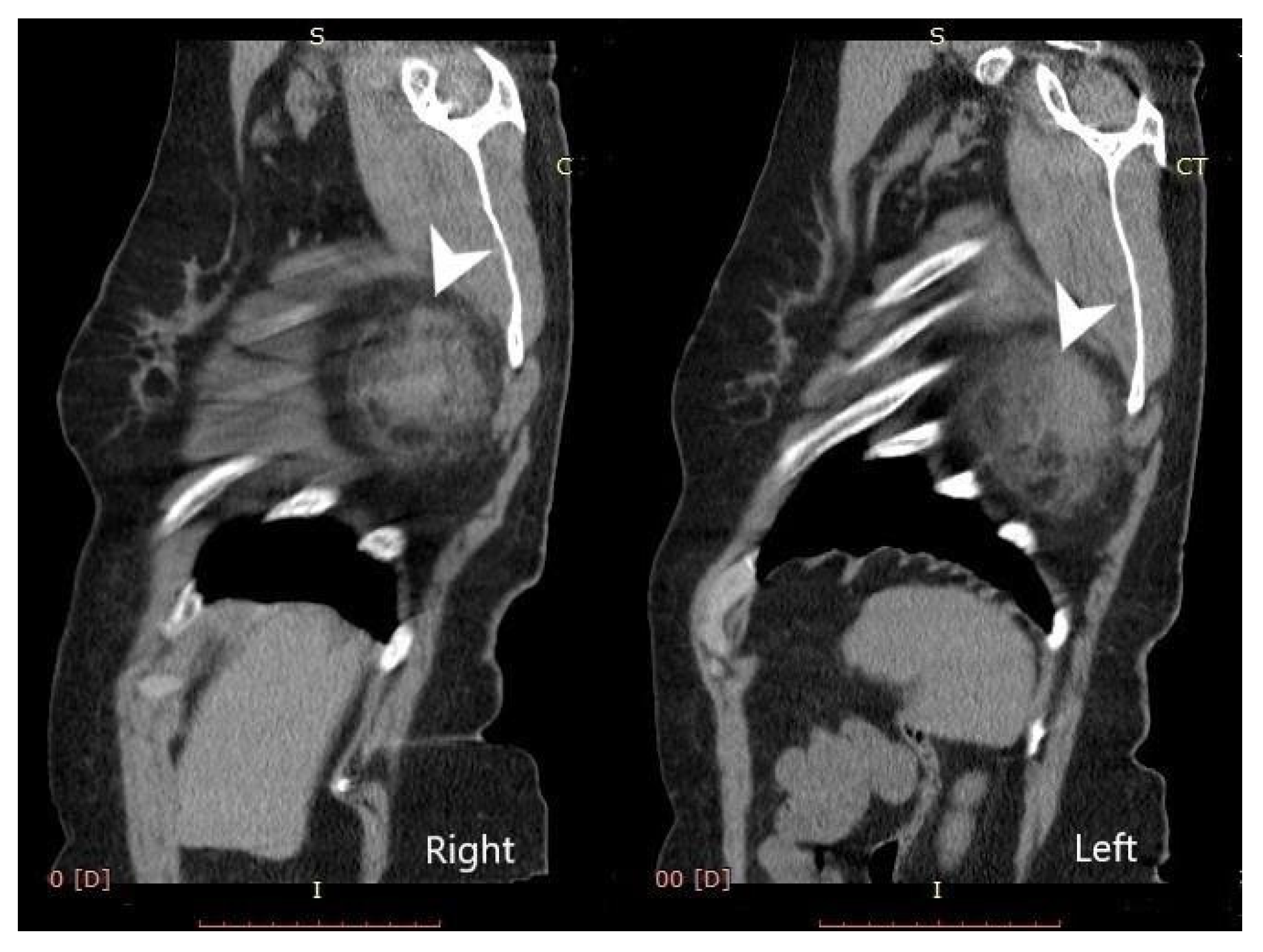
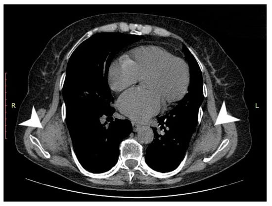
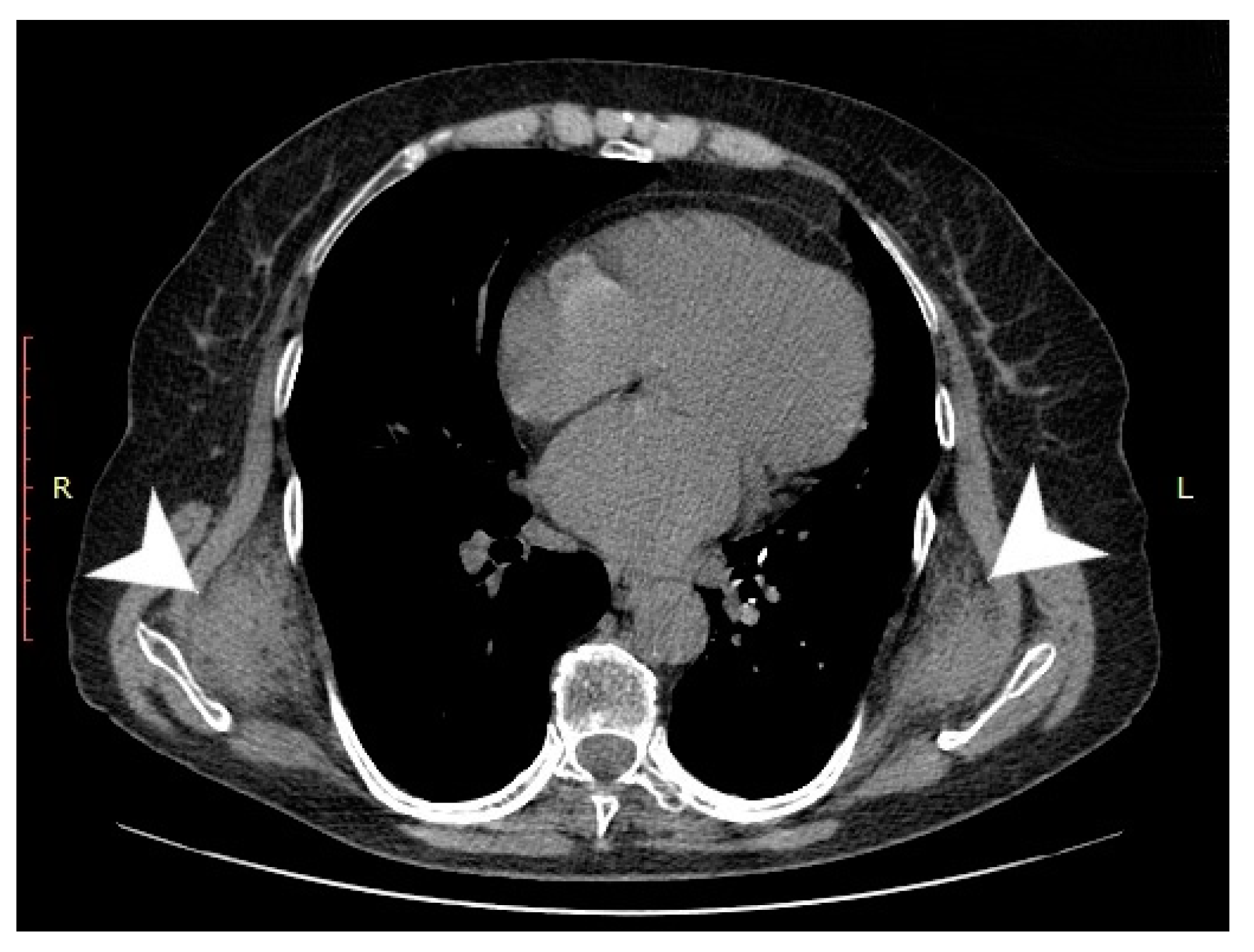
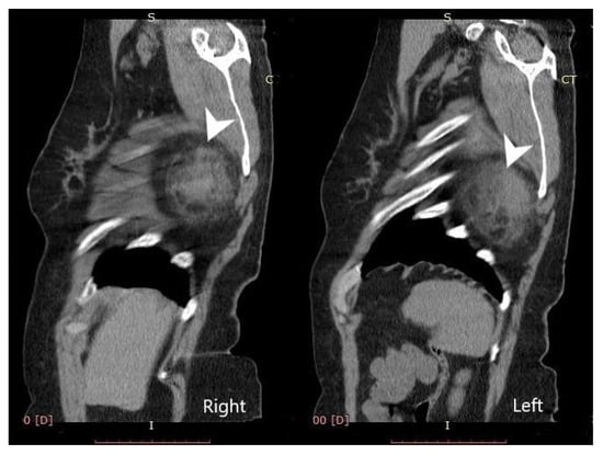
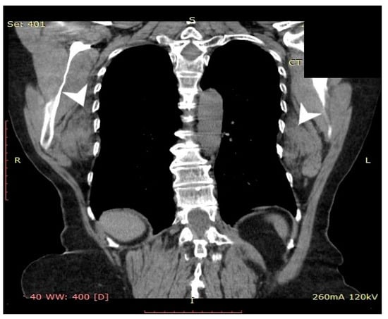
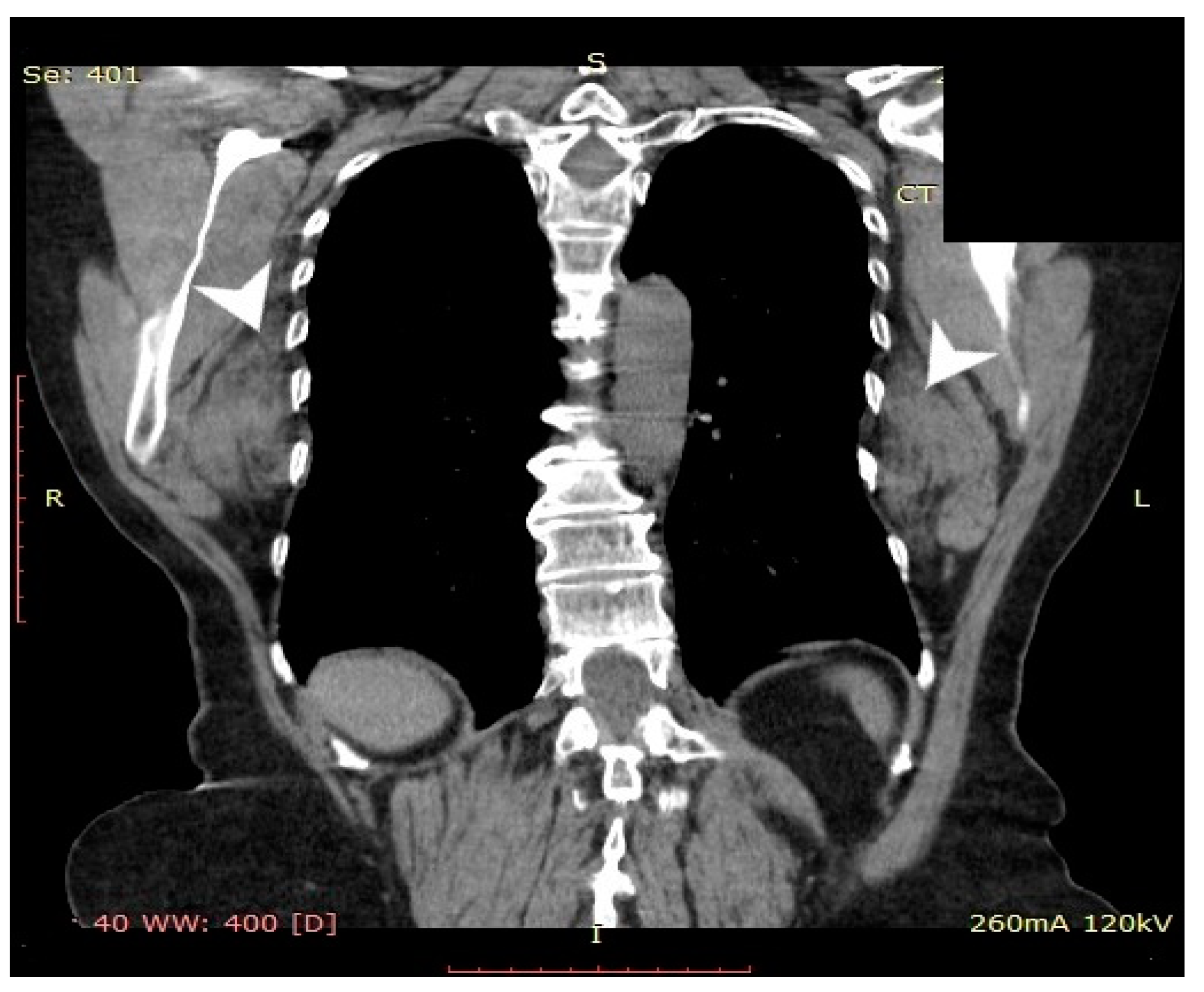
2. Case Presentation
3. Discussion
4. Conclusions
Author Contributions
Funding
Institutional Review Board Statement
Informed Consent Statement
Conflicts of Interest
References
- Giebel, G.D.; Bierhoff, E.; Vogel, J. Elastofibroma and pre-elastofibroma—A biopsy and autopsy study. Eur. J. Surg. Oncol. 1996, 22, 93–96. [Google Scholar] [CrossRef]
- Nagamine, N.; Nohara, Y.; Ito, E. Elastofibroma in Okinawa. A clinicopathologic study of 170 cases. Cancer 1982, 50, 1794–1805. [Google Scholar] [CrossRef]
- Naylor, M.F.; Nascimento, A.G.; Sherrick, A.D.; McLeod, R.A. Elastofibroma dorsi: Radiologic findings in 12 patients. AJR Am. J. Roentgenol. 1996, 167, 683–687. [Google Scholar] [CrossRef]
- Freixinet, J.; Rodriguez, P.; Hussein, M.; Sanroman, B.; Herrero, J.; Gil, R. Elastofibroma of the thoracic wall. Interact. Cardiovasc. Thorac. Surg. 2008, 7, 626–628. [Google Scholar] [CrossRef]
- Muratori, F.; Esposito, M.; Rosa, F.; Liuzza, F.; Magarelli, N.; Rossi, B.; Folath, H.M.; Pacelli, F.; Maccauro, G. Elastofibroma dorsi: 8 case reports and a literature review. J. Orthop. Traumatol. 2008, 9, 33–37. [Google Scholar] [CrossRef] [PubMed][Green Version]
- Muramatsu, K.; Ihara, K.; Hashimoto, T.; Seto, S.; Taguchi, T. Elastofibroma dorsi: Diagnosis and treatment. J. Shoulder Elbow Surg. 2007, 16, 591–595. [Google Scholar] [CrossRef]
- Daigeler, A.; Vogt, P.M.; Busch, K.; Pennekamp, W.; Weyhe, D.; Lehnhardt, M.; Steinstraesser, L.; Steinau, H.U.; Kuhnen, C. Elastofibroma dorsi—differential diagnosis in chest wall tumours. World J. Surg. Oncol. 2007, 5, 15. [Google Scholar] [CrossRef]
- Haragus, H.; Prejbeanu, R.; Patrascu, J.; Faur, C.; Roman, M.; Melinte, R.; Timar, B.; Codorean, I.; Stetson, W.; Marra, G. Cross-cultural adaptation and validation of the Romanian Oxford Shoulder Score. Med. Baltim. 2018, 97, e10926. [Google Scholar] [CrossRef]
- Brandser, E.A.; Goree, J.C.; El-Khoury, G.Y. Elastofibroma dorsi: Prevalence in an elderly patient population as revealed by CT. AJR Am. J. Roentgenol. 1998, 171, 977–980. [Google Scholar] [CrossRef] [PubMed]
- Chandrasekar, C.R.; Grimer, R.J.; Carter, S.R.; Tillman, R.M.; Abudu, A.; Davies, A.M.; Sumathi, V.P. Elastofibroma dorsi: An uncommon benign pseudotumour. Sarcoma 2008, 2008, 756565. [Google Scholar] [CrossRef]
- Nagano, S.; Yokouchi, M.; Setoyama, T.; Sasaki, H.; Shimada, H.; Kawamura, I.; Ishidou, Y.; Setoguchi, T.; Komiya, S. Elastofibroma dorsi: Surgical indications and complications of a rare soft tissue tumor. Mol. Clin. Oncol. 2014, 2, 421–424. [Google Scholar] [CrossRef]
- Parratt, M.T.; Donaldson, J.R.; Flanagan, A.M.; Saifuddin, A.; Pollock, R.C.; Skinner, J.A.; Cannon, S.R.; Briggs, T.W. Elastofibroma dorsi: Management, outcome and review of the literature. J. Bone Joint Surg. Br. 2010, 92, 262–266. [Google Scholar] [CrossRef]
- Mortman, K.D.; Hochheiser, G.M.; Giblin, E.M.; Manon-Matos, Y.; Frankel, K.M. Elastofibroma dorsi: Clinicopathologic review of 6 cases. Ann. Thorac. Surg. 2007, 83, 1894–1897. [Google Scholar] [CrossRef] [PubMed]
- Kastner, M.; Salai, M.; Fichman, S.; Heller, S.; Dudkiewicz, I. Elastofibroma at the scapular region. Isr. Med. Assoc. J. 2009, 11, 170–172. [Google Scholar]
- Oueslati, S.; Douira-Khomsi, W.; Bouaziz, M.C.; Zaouia, K. Elastofibroma dorsi: A report on 6 cases. Acta. Orthop. Belg. 2006, 72, 237–242. [Google Scholar]
- Nishio, J.; Isayama, T.; Iwasaki, H.; Naito, M. Elastofibroma dorsi: Diagnostic and therapeutic algorithm. J. Shoulder Elbow Surg. 2012, 21, 77–81. [Google Scholar] [CrossRef]
- Jarvi, O.; Saxen, E. Elastofibroma dorse. Acta Pathol. Microbiol. Scand. Suppl. 1961, 51 (Suppl. 144), 83–84. [Google Scholar]
- Blumenkrantz, Y.; Bruno, G.L.; Gonzalez, C.J.; Namias, M.; Osorio, A.R.; Parma, P. Characterization of Elastofibroma Dorsi with (18)FDG PET/CT: A retrospective study. Rev. Esp. Med. Nucl. 2011, 30, 342–345. [Google Scholar] [CrossRef] [PubMed]
- Enjoji, M.; Sumiyoshi, K.; Sueyoshi, K. Elastofibromatous lesion of the stomach in a patient with elastofibroma dorsi. Am. J. Surg. Pathol. 1985, 9, 233–237. [Google Scholar] [CrossRef] [PubMed]
- Hisaoka, M.; Hashimoto, H. Elastofibroma: Clonal fibrous proliferation with predominant CD34-positive cells. Virchows Arch. 2006, 448, 195–199. [Google Scholar] [CrossRef] [PubMed]
- Faccioli, N.; Foti, G.; Comai, A.; Cugini, C.; Guarise, A.; Mucelli, R.P. MR imaging findings of elastofibroma dorsi in correlation with pathological features: Our experience. Radiol. Med. 2009, 114, 1283–1291. [Google Scholar] [CrossRef]
- Go, P.H.; Meadows, M.C.; Deleon, E.M.; Chamberlain, R.S. Elastofibroma dorsi: A soft tissue masquerade. Int. J. Shoulder Surg. 2010, 4, 97–101. [Google Scholar] [CrossRef] [PubMed]
- Haykir, R.; Karakose, S.; Karabacakoglu, A. Elastofibroma dorsi: Typical radiological features. Australas Radiol. 2007, 51, B95–B97. [Google Scholar] [CrossRef]
- Malghem, J.; Baudrez, V.; Lecouvet, F.; Lebon, C.; Maldague, B.; Vande Berg, B. Imaging study findings in elastofibroma dorsi. Joint Bone Spine 2004, 71, 536–541. [Google Scholar] [CrossRef] [PubMed]
- Pop, D.L.; Nodiţi, G.; Abu-Awwad, A.; Maliţa, D.C.; Zamfir, C.L.; Grigoraş, M.L.; Vermeşan, D.; Prejbeanu, R.; Faur, C.I.; Hărăguş, H.G.; et al. Alveolar rhabdomyosarcoma in an adolescent male patient—case report and current perspectives. Rom. J. Morphol. Embryol. 2018, 59, 1247–1252. [Google Scholar]
- Alouini, R.; Allani, M.; Harzallah, L.; Bahri, M.; Kraiem, C.; Tlili-Graies, K. Elastofibroma: Imaging features]. J. Radiol. 2005, 86, 1712–1715. [Google Scholar] [CrossRef]
- Le Goudeveze, S.; Chapuis, O.; Scherier, S.; Jancovici, R. Elastofibroma dorsi: A differential diagnosis in subscapular soft tissue tumors. Presse Med. 2008, 37, 58–59. [Google Scholar] [CrossRef]
- Fibla, J.; Molins, L.; Marco, V.; Perez, J.; Vidal, G. Bilateral elastofibroma dorsi. Joint Bone Spine 2007, 74, 194–196. [Google Scholar] [CrossRef]
- Briccoli, A.; Casadei, R.; Di Renzo, M.; Favale, L.; Bacchini, P.; Bertoni, F. Elastofibroma dorsi. Surg. Today 2000, 30, 147–152. [Google Scholar] [CrossRef]




Publisher’s Note: MDPI stays neutral with regard to jurisdictional claims in published maps and institutional affiliations. |
© 2021 by the authors. Licensee MDPI, Basel, Switzerland. This article is an open access article distributed under the terms and conditions of the Creative Commons Attribution (CC BY) license (https://creativecommons.org/licenses/by/4.0/).
Share and Cite
Neagoe, O.; Faur, C.I.; Ionică, M.; Baderca, F.; Folescu, R.; Gurgus, D.; Zamfir, C.L.; Motoc, A.; Grigoraș, M.L.; Mazilu, O. Elastofibroma Dorsi, a Rare Condition, with Challenging Diagnosis. Case Report and Literature Review. Medicina 2021, 57, 370. https://doi.org/10.3390/medicina57040370
Neagoe O, Faur CI, Ionică M, Baderca F, Folescu R, Gurgus D, Zamfir CL, Motoc A, Grigoraș ML, Mazilu O. Elastofibroma Dorsi, a Rare Condition, with Challenging Diagnosis. Case Report and Literature Review. Medicina. 2021; 57(4):370. https://doi.org/10.3390/medicina57040370
Chicago/Turabian StyleNeagoe, Octavian, Cosmin Ioan Faur, Mihaela Ionică, Flavia Baderca, Roxana Folescu, Daniela Gurgus, Carmen Lăcrămioara Zamfir, Andrei Motoc, Mirela Loredana Grigoraș, and Octavian Mazilu. 2021. "Elastofibroma Dorsi, a Rare Condition, with Challenging Diagnosis. Case Report and Literature Review" Medicina 57, no. 4: 370. https://doi.org/10.3390/medicina57040370
APA StyleNeagoe, O., Faur, C. I., Ionică, M., Baderca, F., Folescu, R., Gurgus, D., Zamfir, C. L., Motoc, A., Grigoraș, M. L., & Mazilu, O. (2021). Elastofibroma Dorsi, a Rare Condition, with Challenging Diagnosis. Case Report and Literature Review. Medicina, 57(4), 370. https://doi.org/10.3390/medicina57040370

