Rare Orbital Metastasis Originating from Ampullary Adenocarcinoma
Abstract
:1. Introduction
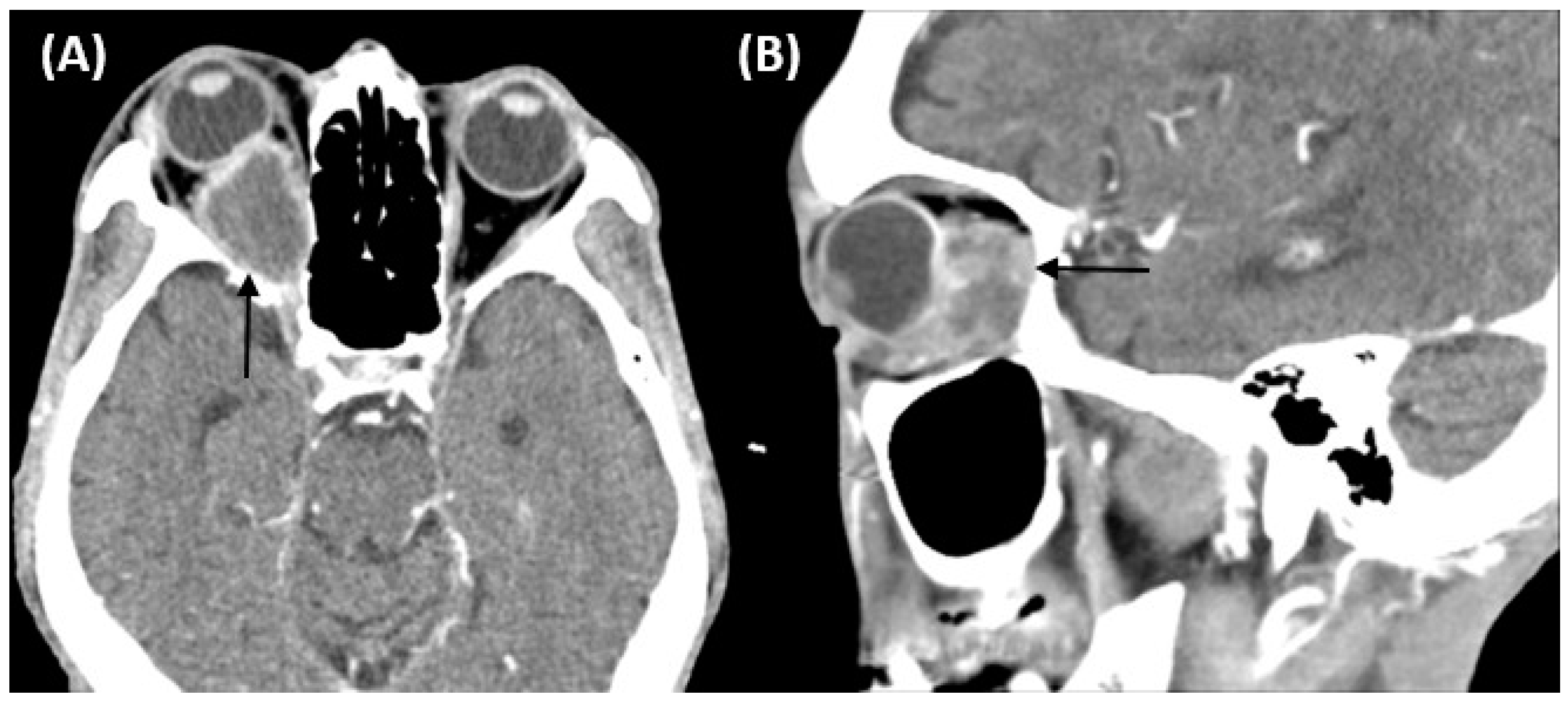
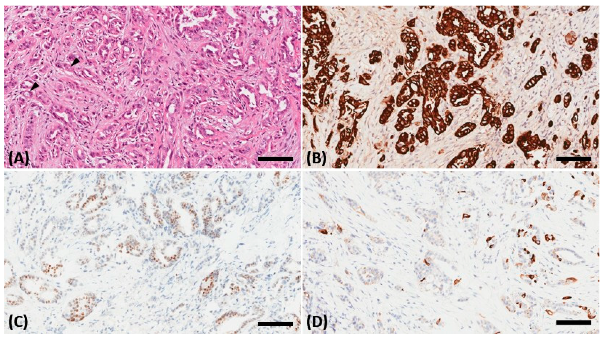
2. Case Report
3. Discussion
Author Contributions
Funding
Institutional Review Board Statement
Informed Consent Statement
Data Availability Statement
Acknowledgments
Conflicts of Interest
References
- Voutsadakis, I.A.; Doumas, S.; Tsapakidis, K.; Papagianni, M.; Papandreou, C.N. Bone and brain metastases from ampullary adenocarcinoma. World J. Gastroenterol. 2009, 15, 2665–2668. [Google Scholar] [CrossRef] [PubMed]
- Ahmad, S.M.; Esmaeli, B. Metastatic tumors of the orbit and ocular adnexa. Curr. Opin. Ophthalmol. 2007, 18, 405–413. [Google Scholar] [CrossRef] [PubMed]
- Ahn, D.H.; Bekaii-Saab, T. Ampullary cancer: An overview. Am. Soc. Clin. Oncol. Educ. Book 2014, 34, 112–115. [Google Scholar] [CrossRef] [PubMed] [Green Version]
- Perysinakis, I.; Margaris, I.; Kouraklis, G. Ampullary cancer—A separate clinical entity? Histopathology 2014, 64, 759–768. [Google Scholar] [CrossRef] [PubMed]
- Chang, D.K.; Jamieson, N.B.; Johns, A.L.; Scarlett, C.J.; Pajic, M.; Chou, A.; Pinese, M.; Humphris, J.L.; Jones, M.D.; Toon, C.; et al. Histomolecular phenotypes and outcome in adenocarcinoma of the ampulla of Vater. J. Clin. Oncol. 2013, 31, 1348–1356. [Google Scholar] [CrossRef] [PubMed]
- Fischer, H.P.; Zhou, H. Pathogenesis of carcinoma of the papilla of Vater. J. Hepatobiliary Pancreat. Surg. 2004, 11, 301–309. [Google Scholar] [CrossRef] [PubMed]
- Miyazaki, M.; Takada, T.; Miyakawa, S.; Tsukada, K.; Nagino, M.; Kondo, S.; Furuse, J.; Saito, H.; Tsuyuguchi, T.; Chijiiwa, K.; et al. Risk factors for biliary tract and ampullary carcinomas and prophylactic surgery for these factors. J. Hepatobiliary Pancreat. Surg. 2008, 15, 15–24. [Google Scholar] [CrossRef] [PubMed] [Green Version]
- Rostain, F.; Hamza, S.; Drouillard, A.; Faivre, J.; Bouvier, A.-M.; Lepage, C. Trends in incidence and management of cancer of the ampulla of Vater. World J. Gastroenterol. 2014, 20, 10144–10150. [Google Scholar] [CrossRef] [PubMed]
- Regalla, D.K.R.; Jacob, R.; Manne, A.; Paluri, R.K. Therapeutic options for ampullary carcinomas. A review. Oncol. Rev. 2019, 13, 440. [Google Scholar] [CrossRef] [PubMed] [Green Version]
- Dimitriadis, G.K.; Angelousi, A.; Weickert, M.O.; Randeva, H.S.; Kaltsas, G.; Grossman, A. Paraneoplastic endocrine syndromes. Endocr. Relat. Cancer 2017, 24, R173–R190. [Google Scholar] [CrossRef] [PubMed] [Green Version]



Publisher’s Note: MDPI stays neutral with regard to jurisdictional claims in published maps and institutional affiliations. |
© 2021 by the authors. Licensee MDPI, Basel, Switzerland. This article is an open access article distributed under the terms and conditions of the Creative Commons Attribution (CC BY) license (https://creativecommons.org/licenses/by/4.0/).
Share and Cite
Tsai, Y.-E.; Chien, K.-H.; Li, Y.-F.; Lai, S.-W. Rare Orbital Metastasis Originating from Ampullary Adenocarcinoma. Medicina 2021, 57, 1238. https://doi.org/10.3390/medicina57111238
Tsai Y-E, Chien K-H, Li Y-F, Lai S-W. Rare Orbital Metastasis Originating from Ampullary Adenocarcinoma. Medicina. 2021; 57(11):1238. https://doi.org/10.3390/medicina57111238
Chicago/Turabian StyleTsai, Yung-En, Ke-Hung Chien, Yao-Feng Li, and Shiue-Wei Lai. 2021. "Rare Orbital Metastasis Originating from Ampullary Adenocarcinoma" Medicina 57, no. 11: 1238. https://doi.org/10.3390/medicina57111238
APA StyleTsai, Y.-E., Chien, K.-H., Li, Y.-F., & Lai, S.-W. (2021). Rare Orbital Metastasis Originating from Ampullary Adenocarcinoma. Medicina, 57(11), 1238. https://doi.org/10.3390/medicina57111238

