Contrast-Enhanced Ultrasound (CEUS) for the Evaluation of Bosniak III Complex Renal Cystic Lesions—A 10-Year Specialized European Single-Center Experience with Histopathological Validation
Abstract
1. Introduction
2. Materials and Methods
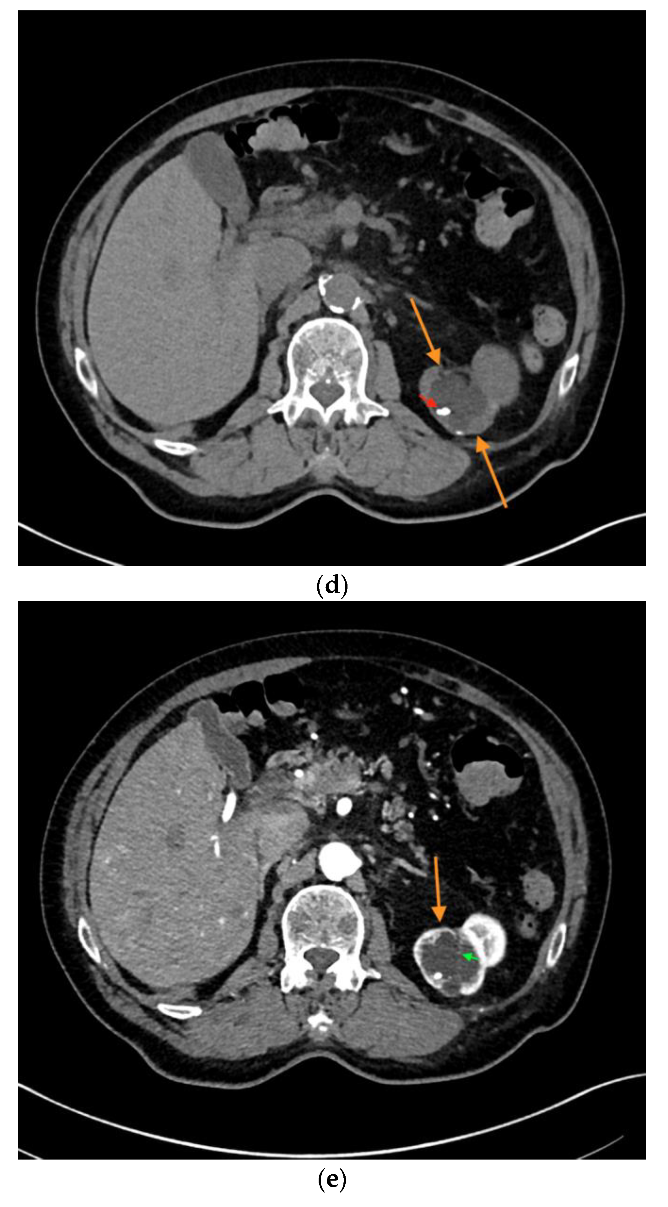
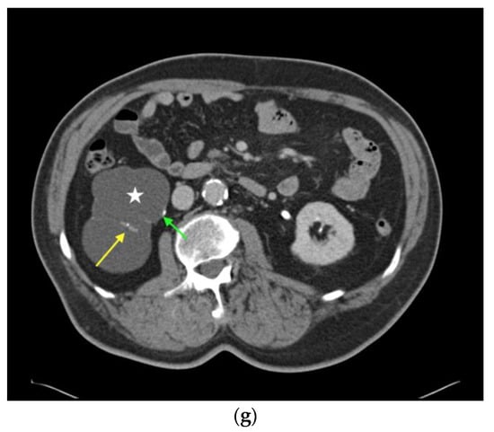
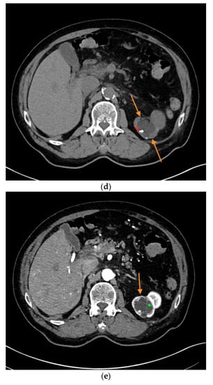
3. Results
4. Discussion
Supplementary Materials
Author Contributions
Funding
Conflicts of Interest
References
- Bhatt, J.R.; Finelli, A. Landmarks in the diagnosis and treatment of renal cell carcinoma. Nat. Rev. Urol. 2014, 11, 517–525. [Google Scholar] [CrossRef]
- Seppala, N.; Kielar, A.; Dabreo, D.; Duigenan, S. Inter-rater agreement in the characterization of cystic renal lesions on contrast-enhanced MRI. Abdom. Imaging 2014, 39, 1267–1273. [Google Scholar] [CrossRef]
- Bosniak, M.A. Problems in the radiologic diagnosis of renal parenchymal tumors. Urol. Clin. N. Am. 1993, 20, 217–230. [Google Scholar]
- Bosniak, M.A. The current radiological approach to renal cysts. Radiology 1986, 158, 1–10. [Google Scholar] [CrossRef] [PubMed]
- Curry, N.S.; Cochran, S.T.; Bissada, N.K. Cystic renal masses: Accurate Bosniak classification requires adequate renal CT. AJR Am. J. Roentgenol. 2000, 175, 339–342. [Google Scholar] [CrossRef] [PubMed]
- Hartman, D.S.; Choyke, P.L.; Hartman, M.S. From the RSNA refresher courses: A practical approach to the cystic renal mass. Radiographics 2004, 24, S101–S115. [Google Scholar] [CrossRef] [PubMed]
- Silverman, S.G.; Pedrosa, I.; Ellis, J.H.; Hindman, N.; Schieda, N.; Smith, A.D.; Remer, E.M.; Shinagare, A.B.; Curci, N.E.; Raman, S.S.; et al. Bosniak Classification of Cystic Renal Masses, Version 2019: An Update Proposal and Needs Assessment. Radiology 2019, 292, 475–488. [Google Scholar] [CrossRef]
- Mu, J.; Mao, Y.; Li, F.; Xin, X.; Zhang, S. Superb microvascular imaging is a rational choice for accurate Bosniak classification of renal cystic masses. Br. J. Radiol. 2019, 92, 20181038. [Google Scholar] [CrossRef]
- Edenberg, J.; Gløersen, K.; Osman, H.A.; Dimmen, M.; Berg, G.V. The role of contrast-enhanced ultrasound in the classification of CT-indeterminate renal lesions. Scand. J. Urol. 2016, 50, 445–451. [Google Scholar] [CrossRef]
- Chang, E.H.; Chong, W.K.; Kasoji, S.K.; Dayton, P.A.; Rathmell, W.K. Management of Indeterminate Cystic Kidney Lesions: Review of Contrast-enhanced Ultrasound as a Diagnostic Tool. Urology 2016, 87, 1–10. [Google Scholar] [CrossRef]
- Lerchbaumer, M.H.; Putz, F.J.; Rübenthaler, J.; Rogasch, J.; Jung, E.-M.; Clevert, D.-A.; Hamm, B.; Makowski, M.; Fischer, T. Contrast-enhanced ultrasound (CEUS) of cystic renal lesions in comparison to CT and MRI in a multicenter setting. Clin. Hemorheol. Microcirc. 2020, 75, 419–429. [Google Scholar] [CrossRef] [PubMed]
- Rübenthaler, J.; Bogner, F.; Reiser, M.; Clevert, D.A. Contrast-Enhanced Ultrasound (CEUS) of the Kidneys by Using the Bosniak Classification. Ultraschall Med. Eur. J. Ultrasound 2016, 37, 234–251. [Google Scholar] [CrossRef] [PubMed]
- Piscaglia, F.; Bolondi, L. The safety of Sonovue® in abdominal applications: Retrospective analysis of 23188 investigations. Ultrasound Med. Biol. 2006, 32, 1369–1375. [Google Scholar] [CrossRef] [PubMed]
- Rübenthaler, J.; De Figueiredo, G.N.; Mueller-Peltzer, K.; Clevert, D.A. Evaluation of renal lesions using contrast-enhanced ultrasound (CEUS); a 10-year retrospective European single-centre analysis. Eur. Radiol. 2018, 28, 4542–4549. [Google Scholar] [CrossRef]
- Rübenthaler, J.; Čečatka, S.; Froelich, M.F.; Stechele, M.; Marschner, C.; Sabel, B.O.; Bogner, F.; Schnitzer, M.L.; Overhoff, D.; Hokamp, N.G.; et al. Contrast-Enhanced Ultrasound (CEUS) for Follow-Up of Bosniak 2F Complex Renal Cystic Lesions—A 12-Year Retrospective Study in a Specialized European Center. Cancers 2020, 12, 2170. [Google Scholar] [CrossRef]
- Zhou, L.; Tang, L.; Yang, T.; Chen, W. Comparison of contrast-enhanced ultrasound with MRI in the diagnosis of complex cystic renal masses: A meta-analysis. Acta Radiol. 2018, 59, 1254–1263. [Google Scholar] [CrossRef]
- Sanz, E.; Hevia, V.; Gómez, V.; Álvarez, S.; Fabuel, J.-J.; Martínez, L.; Rodriguez-Patrón, R.; González-Gordaliza, C.; Burgos, F.-J. Renal Complex Cystic Masses: Usefulness of Contrast-Enhanced Ultrasound (CEUS) in Their Assessment and Its Agreement with Computed Tomography. Curr. Urol. Rep. 2016, 17, 89. [Google Scholar] [CrossRef]
- Bertolotto, M.; Cicero, C.; Perrone, R.; Degrassi, F.; Cacciato, F.; Cova, M.A. Renal Masses with Equivocal Enhancement at CT: Characterization With Contrast-Enhanced Ultrasound. Am. J. Roentgenol. 2015, 204, W557–W565. [Google Scholar] [CrossRef]
- Ascenti, G.; Mazziotti, S.; Zimbaro, G.; Settineri, N.; Magno, C.; Melloni, D.; Caruso, R.; Scribano, E. Complex Cystic Renal Masses: Characterization with Contrast-enhanced US. Radiology 2007, 243, 158–165. [Google Scholar] [CrossRef]
- Chen, Y.; Wu, N.; Xue, T.; Hao, Y.; Dai, J. Comparison of contrast-enhanced sonography with MRI in the diagnosis of complex cystic renal masses. J. Clin. Ultrasound 2015, 43, 203–209. [Google Scholar] [CrossRef]
- Quaia, E.; Bertolotto, M.; Cioffi, V.; Rossi, A.; Baratella, E.; Pizzolato, R.; Cova, M.A. Comparison of Contrast-Enhanced Sonography with Unenhanced Sonography and Contrast-Enhanced CT in the Diagnosis of Malignancy in Complex Cystic Renal Masses. Am. J. Roentgenol. 2008, 191, 1239–1249. [Google Scholar] [CrossRef] [PubMed]
- Clevert, D.-A.; Minaifar, N.; Weckbach, S.; Jung, E.; Stock, K.; Reiser, M.; Staehler, M. Multislice computed tomography versus contrast-enhanced ultrasound in evaluation of complex cystic renal masses using the Bosniak classification system. Clin. Hemorheol. Microcirc. 2008, 39, 171–178. [Google Scholar] [CrossRef] [PubMed]
- Graumann, O.; Osther, S.S.; Karstoft, J.; Hørlyck, A.; Osther, P.J.S. Bosniak classification system: A prospective comparison of CT, contrast-enhanced US, and MR for categorizing complex renal cystic masses. Acta Radiol. 2016, 57, 1409–1417. [Google Scholar] [CrossRef] [PubMed]
- Marschner, C.; Ruebenthaler, J.; Schwarze, V.; De Figueiredo, G.N.; Zhang, L.; Clevert, D.A. Comparison of computed tomography (CT), magnetic resonance imaging (MRI) and contrast-enhanced ultrasound (CEUS) in the evaluation of unclear renal lesions. RöFo Fortschr. Geb. Röntgenstrahlen Bildgeb. Verfahr. 2020, 192, 1053–1059. [Google Scholar] [CrossRef] [PubMed]
- Schwarze, V.; Marschner, C.; De Figueiredo, G.N.; Knösel, T.; Rübenthaler, J.; Clevert, D.-A. Single-center study: The diagnostic performance of contrast-enhanced ultrasound (CEUS) for assessing renal oncocytoma. Scand. J. Urol. 2020, 54, 135–140. [Google Scholar] [CrossRef] [PubMed]
- Van Der Kwast, T.H.; Perez-Ordonez, B. Renal oncocytoma, yet another tumour that does not fit in the dualistic benign/malignant paradigm? J. Clin. Pathol. 2007, 60, 585–586. [Google Scholar] [CrossRef] [PubMed]
- Siracusano, S.; Quaia, E.; Bertolotto, M.; Ciciliato, S.; Tiberio, A.; Belgrano, E. The application of ultrasound contrast agents in the characterization of renal tumors. World J. Urol. 2004, 22, 316–322. [Google Scholar] [CrossRef]
- Haendl, T.; Strobel, D.; Legal, W.; Frieser, M.; Hahn, E.G.; Bernatik, T. Renal cell cancer does not show a typical perfusion pattern in contrast-enhanced ultrasound. Ultraschall Med. 2009, 30, 58–63. [Google Scholar] [CrossRef]
- Gerst, S.; Hann, L.E.; Li, D.; Gonen, M.; Tickoo, S.; Sohn, M.J.; Russo, P. Evaluation of Renal Masses With Contrast-Enhanced Ultrasound: Initial Experience. Am. J. Roentgenol. 2011, 197, 897–906. [Google Scholar] [CrossRef]
- Sevcenco, S.; Spick, C.; Helbich, T.H.; Heinz, G.; Shariat, S.F.; Klingler, H.C.; Rauchenwald, M.; Baltzer, P.A. Malignancy rates and diagnostic performance of the Bosniak classification for the diagnosis of cystic renal lesions in computed tomography—A systematic review and meta-analysis. Eur. Radiol. 2017, 27, 2239–2247. [Google Scholar] [CrossRef]
- Gassert, F.; Schnitzer, M.; Kim, S.H.; Kunz, W.G.; Ernst, B.P.; Clevert, D.-A.; Nörenberg, D.; Rübenthaler, J.; Froelich, M.F. Comparison of Magnetic Resonance Imaging and Contrast-Enhanced Ultrasound as Diagnostic Options for Unclear Cystic Renal Lesions: A Cost-Effectiveness Analysis. Ultraschall Med. Eur. J. Ultrasound 2020. [Google Scholar] [CrossRef] [PubMed]
- Seitz, K.; Strobel, D.; Bernatik, T.; Blank, W.; Friedrich-Rust, M.; Herbay, A.V.; Dietrich, C.F.; Strunk, H.; Kratzer, W. A SchulerContrast-Enhanced Ultrasound (CEUS) for the characterization of focal liver lesions—Prospective comparison in clinical practice: CEUS vs. CT (DEGUM multicenter trial). Parts of this manuscript were presented at the Ultrasound Dreilandertreffen 2008, Davos. Ultraschall Med. 2009, 30, 383–389. [Google Scholar] [PubMed]
- Isidori, A.M.; Pozza, C.; Gianfrilli, D.; Giannetta, E.; Lemma, A.; Pofi, R.; Barbagallo, F.; Manganaro, L.; Martino, G.; Lombardo, F.; et al. Differential Diagnosis of Nonpalpable Testicular Lesions: Qualitative and Quantitative Contrast-enhanced US of Benign and Malignant Testicular Tumors. Radiology 2014, 273, 606–618. [Google Scholar] [CrossRef] [PubMed]
- Quan, J.; Yunxiao, Z.; Jian, C.; Zhu, H.; Yuan, Z. Contrast-enhanced ultrasound in the diagnosis of solitary thyroid nodules. J. Cancer Res. Ther. 2015, 11, 41. [Google Scholar] [CrossRef] [PubMed]
- Richard, P.O.; Violette, P.D.; Jewett, M.A.; Pouliot, F.; Leveridge, M.; So, A.; Whelan, T.F.; Rendon, R.; Finelli, A. CUA guideline on the management of cystic renal lesions. Can. Urol. Assoc. J. 2017, 11, 66–73. [Google Scholar] [CrossRef] [PubMed]
- Qiu, X.; Zhao, Q.; Ye, Z.; Meng, L.; Yan, C.; Jiang, T. How does contrast-enhanced ultrasonography influence Bosniak classification for complex cystic renal mass compared with conventional ultrasonography? Medicine 2020, 99, e19190. [Google Scholar] [CrossRef]
- Oon, S.F.; Foley, R.W.; Quinn, D.; Quinlan, D.M.; Gibney, R.G. Contrast-enhanced ultrasound of the kidney: A single-institution experience. Ir. J. Med. Sci. 2017, 187, 795–802. [Google Scholar] [CrossRef]
- Sidhu, P.S.; Cantisani, V.; Dietrich, C.F.; Gilja, O.H.; Saftoiu, A.; Bartels, E.; Bertolotto, M.; Calliada, F.; Clevert, D.-A.; Cosgrove, D.; et al. The EFSUMB Guidelines and Recommendations for the Clinical Practice of Contrast-Enhanced Ultrasound (CEUS) in Non-Hepatic Applications: Update 2017 (Short Version). Ultraschall der Med. Eur. J. Ultrasound 2018, 39, 154–180. [Google Scholar] [CrossRef]
- Schwarze, V.; Rübenthaler, J.; Marschner, C.; Fabritius, M.P.; Rueckel, J.; Fink, N.; Puhr-Westerheide, D.; Gresser, E.; Froelich, M.F.; Schnitzer, M.L.; et al. Advanced Fusion Imaging and Contrast-Enhanced Imaging (CT/MRI–CEUS) in Oncology. Cancers 2020, 12, 2821. [Google Scholar] [CrossRef]






| Malignant (n = 19) | n | % |
| Clear-cell RCC | 12 | 41 |
| Chromophobe RCC | 1 | 3 |
| Papillary RCC | 3 | 10 |
| Multilocular cystic RCC | 1 | 3 |
| Mixed RCC | 2 | 7 |
| Benign (n = 10) | ||
| Benign epithelial (hemorrhagic) cyst | 4 | 14 |
| Oncocytoma | 3 | 10 |
| Papillary renal adenoma | 1 | 3 |
| Cystic hamartoma | 1 | 3 |
| Adult cystic nephroma | 1 | 3 |
| Patient | Sex | Age | Location | Size (cm) | Native B-Mode | Vascularization (CD) | CEUS | CT | MRI | Treatment: Histopathology |
|---|---|---|---|---|---|---|---|---|---|---|
| #1 | F | 49 | R | 5.6 | Cystic, septated | - | Intraseptal | - | Intraseptal enhancing → Bosniak IIF | Partial nephrectomy: Clear-cell RCC |
| #2 | M | 54 | L | 3.0 | Cystic, hypoechoic areas, wall thickening | - | Peripheral | - | - | Partial nephrectomy: chromophobe RCC |
| #3 | F | 61 | R | 3.5 | Cystic, septated | - | Peripheral, intraseptal | - | - | Partial nephrectomy: clear-cell RCC |
| #4 | F | 43 | R | 1.6 | Cystic | - | Peripheral | - | - | Partial nephrectomy: clear-cell RCC |
| #5 | F | 64 | L | 5.0 | Cystic, focally thickened, septa | - | Intraseptal | - | - | Partial nephrectomy: clear-cell partial cystic RCC |
| #6 | M | 74 | L | 2.0 | Cystic | - | Peripheral, intraseptal | - | - | Partial nephrectomy: clear-cell RCC |
| #7 | F | 66 | L | 7.0 | Cystic, complex | - | Intraseptal | - | - | Partial nephrectomy: multilocular cystic RCC |
| #8 | M | 54 | L | 1.5 | Cystic, wall thickening | - | Intraseptal | - | - | Partial nephrectomy: clear-cell RCC |
| #9 | M | 76 | L | 1.6 | Cystic | - | Peripheral, wash-out | - | - | Partial nephrectomy: papillary RCC |
| #10 | F | 66 | R | 1.5 | Cystic | - | Intraseptal | - | - | Partial nephrectomy: clear-cell RCC |
| #11 | M | 75 | L | 2.7 | Cystic, focally thickened septa | - | Intraseptal | - | - | Partial nephrectomy: Papillary RCC |
| #12 | M | 52 | L | 1.5 | Cystic, focally thickened septa | - | Intraseptal | - | - | Partial nephrectomy: clear-cell RCC |
| #13 | M | 68 | L | 1.5 | Partially cystic | - | Peripheral | - | - | Partial nephrectomy: clear-cell RCC |
| #14 | M | 86 | L | 4.0 | Cystic, septated | - | Intraseptal | Septated, calcified, early enhancement, wash-out in delayed phase → Bosniak III | - | Nephrectomy: cystic clear-cell RCC |
| #15 | M | 63 | R | 2.0 | Cystic | - | Peripheral | - | - | Nephrectomy: clear-cell RCC |
| #16 | F | 62 | L | 2.5 | Partially cystic | - | Peripheral, intraseptal wash-in/wash-out | - | Native MRI: T2w: mainly hyperintense with hypointense septations T1w: hypointense | Renal biopsy: oncocytoma |
| #17 | F | 64 | R | 3.5 | Cystic | - | Intraseptal | - | - | Partial nephrectomy: cystic hamartoma |
| #18 | M | 67 | R | 3.0 | Partially cystic, focally thickened septa | - | Intraseptal | - | - | Partial nephrectomy: cyst, no malignancy |
| #19 | M | 71 | L | 1.2 | Cystic | - | Peripheral | - | - | Partial nephrectomy: cyst, no malignancy |
| #20 | F | 48 | L | 10.0 | Cystic, septated | - | Intraseptal | - | - | Partial nephrectomy: adult cystic nephroma |
| #21 | M | 76 | R | 2.0 | Cystic | - | Peripheral and Intraseptal wash-in/wash-out | - | - | Partial nephrectomy: oncocytoma |
| #22 | M | 46 | R | 0.8 | Cystic | - | Peripheral wash-in/wash-out | - | - | Partial nephrectomy: papillary adenoma |
| #23 | F | 69 | L | 8.0 | Cystic, septated | - | Intraseptal | - | - | Partial nephrectomy: cyst, no malignancy |
| #24 | M | 69 | R | 2.5 | Cystic | - | Peripheral wash-in/wash-out | - | - | Partial nephrectomy: Papillary RCC |
| #26 | M | 66 | R | 5.0 | Cystic | - | Peripheral | - | - | Partial nephrectomy: Hemorrhagic, xantho-granulomatous cyst, no malignancy |
| #27 | M | 67 | R | 7.0 | Cystic, septated, partially calcified | - | Peripheral, intraseptal | Septated, partially calcified → Bosniak IIF | - | Partial nephrectomy: oncocytoma |
| #32 | M | 83 | L | 4.7 | Cystic | - | Peripheral | - | - | Partial nephrectomy: clear-cell RCC |
| #35 | M | 48 | R | 2.5 | Cystic, septated | - | Intraseptal wash-in/wash-out | - | - | Partial nephrectomy: clear-cell RCC |
| #38 | M | 60 | R | 1.2 | Cystic, septated | - | Peripheral | Septated, contrast-enhanced → Bosniak type IIF | - | Partial nephrectomy: clear-cell RCC |
Publisher’s Note: MDPI stays neutral with regard to jurisdictional claims in published maps and institutional affiliations. |
© 2020 by the authors. Licensee MDPI, Basel, Switzerland. This article is an open access article distributed under the terms and conditions of the Creative Commons Attribution (CC BY) license (http://creativecommons.org/licenses/by/4.0/).
Share and Cite
Schwarze, V.; Rübenthaler, J.; Čečatka, S.; Marschner, C.; Froelich, M.F.; Sabel, B.O.; Staehler, M.; Knösel, T.; Geyer, T.; Clevert, D.-A. Contrast-Enhanced Ultrasound (CEUS) for the Evaluation of Bosniak III Complex Renal Cystic Lesions—A 10-Year Specialized European Single-Center Experience with Histopathological Validation. Medicina 2020, 56, 692. https://doi.org/10.3390/medicina56120692
Schwarze V, Rübenthaler J, Čečatka S, Marschner C, Froelich MF, Sabel BO, Staehler M, Knösel T, Geyer T, Clevert D-A. Contrast-Enhanced Ultrasound (CEUS) for the Evaluation of Bosniak III Complex Renal Cystic Lesions—A 10-Year Specialized European Single-Center Experience with Histopathological Validation. Medicina. 2020; 56(12):692. https://doi.org/10.3390/medicina56120692
Chicago/Turabian StyleSchwarze, Vincent, Johannes Rübenthaler, Saša Čečatka, Constantin Marschner, Matthias Frank Froelich, Bastian Oliver Sabel, Michael Staehler, Thomas Knösel, Thomas Geyer, and Dirk-André Clevert. 2020. "Contrast-Enhanced Ultrasound (CEUS) for the Evaluation of Bosniak III Complex Renal Cystic Lesions—A 10-Year Specialized European Single-Center Experience with Histopathological Validation" Medicina 56, no. 12: 692. https://doi.org/10.3390/medicina56120692
APA StyleSchwarze, V., Rübenthaler, J., Čečatka, S., Marschner, C., Froelich, M. F., Sabel, B. O., Staehler, M., Knösel, T., Geyer, T., & Clevert, D.-A. (2020). Contrast-Enhanced Ultrasound (CEUS) for the Evaluation of Bosniak III Complex Renal Cystic Lesions—A 10-Year Specialized European Single-Center Experience with Histopathological Validation. Medicina, 56(12), 692. https://doi.org/10.3390/medicina56120692

