Characterization of Cytokines and Proliferation Marker Ki67 in Cleft Affected Lip Tissue
Abstract
1. Introduction
2. Materials and Methods
2.1. Materials Characteristics of Subjects
2.2. Immunohistochemical Analysis
2.3. Statistical Analysis
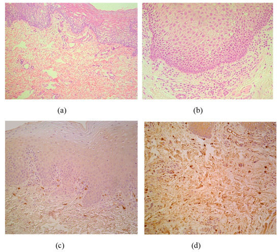
3. Results
4. Discussion
5. Conclusions
Author Contributions
Funding
Acknowledgments
Conflicts of Interest
References
- Tettamanti, L.; Avantaggiato, A.; Nardone, M.; Silvestre-Rangil, J.; Tagliabue, A. Cleft palate only: Current concepts. Oral Implant. 2017, 10, 45–52. [Google Scholar] [CrossRef] [PubMed]
- Bilińska, M.; Osmola, K. Cleft lip and palate-risk factors, prenatal diagnosis, and health consequences. Ginekol. Pol. 2015, 86, 862–866. [Google Scholar] [CrossRef] [PubMed]
- Saunders, J.E.; Rankin, Z.; Noonan, K.Y. Otolaryngology and the global burden of disease. Otolaryngol. Clin. N. Am. 2018, 51, 515–534. [Google Scholar] [CrossRef] [PubMed]
- Costa, B.; Lima, J.E.; Gomide, M.R.; Rosa, O.P. Clinical and microbiological evaluation of the periodontal status of children with unilateral complete cleft lip and palate. Cleft Palate Craniofacial J. 2003, 40, 585–589. [Google Scholar] [CrossRef] [PubMed]
- Papathanasiou, E.; Trotman, C.A.; Scott, A.R.; Van Dyke, T.E. Current and emerging treatments for postsurgical cleft lip scarring: Effectiveness and mechanisms. J. Dent. Res. 2017, 96, 1370–1377. [Google Scholar] [CrossRef] [PubMed]
- Jankovska, I.; Pilmane, M.; Akota, I. Expression of gene proteins, interleukins and β-defensin in cleft-affected tissue. Stomatologija 2017, 19, 103–108. [Google Scholar]
- Baroni, T.; Carinci, P.; Bellucci, C.; Lilli, C.; Becchetti, E.; Carinci, F.; Stabellini, G.; Pezzetti, F.; Caramelli, E.; Tognon, M.; et al. Cross-talk between interleukin-6 and transforming growth factor-beta3 regulates extracellular matrix production by human fibroblasts from subjects with non-syndromic cleft lip and palate. J. Periodontol. 2003, 74, 1447–1453. [Google Scholar] [CrossRef]
- Yang, R.; Yu, T.; Zhou, Y. Interplay between craniofacial stem cells and immune stimulus. Stem Cell Res. Ther. 2017, 8, 147. [Google Scholar] [CrossRef]
- Lee, R.T.; Briggs, W.H.; Cheng, G.C.; Rossiter, H.B.; Libby, P.; Kupper, T. Mechanical deformation promotes secretion of IL-1 alpha and IL-1 receptor antagonist. J. Immunol. 1997, 159, 5084–5088. [Google Scholar]
- Bianchi, M.E. DAMPs, PAMPs and alarmins: All we need to know about danger. J. Leukoc. Biol. 2007, 81, 1–5. [Google Scholar] [CrossRef]
- Lee, P.; Lee, D.J.; Chan, C.; Chen, S.W.; Ch’en, I.; Jamora, C. Dynamic expression of epidermal caspase 8 simulates a wound healing response. Nature 2009, 458, 519–523. [Google Scholar] [CrossRef] [PubMed]
- Szabowski, A.; Maas-Szabowski, N.; Andrecht, S.; Kolbus, A.; Schorpp-Kistner, M.; Fusenig, N.E.; Angel, P. c-Jun and JunB antagonistically control cytokine-regulated mesenchymal-epidermal interaction in skin. Cell 2000, 103, 745–755. [Google Scholar] [CrossRef]
- Nazar Majeed, Z.; Philip, K.; Alabsi, A.M.; Pushparajan, S.; Swaminathan, D. Identification of gingival crevicular fluid sampling, analytical methods, and oral biomarkers for the diagnosis and monitoring of periodontal diseases: A systematic review. Dis. Markers 2016, 2016, 1804727. [Google Scholar] [CrossRef] [PubMed]
- Ryu, O.H.; Choi, S.J.; Linares, A.M.G.; Song, I.S.; Kim, Y.J.; Jang, K.T.; Hart, T.C. Gingival epithelial cell expression of macrophage inflammatory protein-1α induced by interleukin-1β and lipopolysaccharide. J. Periodontol. 2007, 78, 1627–1634. [Google Scholar] [CrossRef] [PubMed]
- Yagi, R.; Tanaka, S.; Motomura, Y.; Kubo, M. Regulation of the Il4 gene is independently controlled by proximal and distal 3’ enhancers in mast cells and basophils. Mol. Cell Biol. 2007, 27, 8087–8097. [Google Scholar] [CrossRef] [PubMed]
- Vijayanand, P.; Seumois, G.; Simpson, L.J.; Abdul-Wajid, S.; Baumjohann, D.; Panduro, M.; Huang, X.; Interlandi, J.; Djuretic, I.M.; Brown, D.R.; et al. Interleukin-4 production by follicular helper T cells requires the conserved Il4 enhancer hypersensitivity site V. Immunity 2012, 36, 175–187. [Google Scholar] [CrossRef] [PubMed]
- Jenkins, K.; Javadi, M.; Borghaei, R.C. Interleukin-4 suppresses IL-1-induced expression of matrix metalloproteinase-3 in human gingival fibroblasts. J. Periodontol. 2004, 75, 283–291. [Google Scholar] [CrossRef]
- Yamazaki, K.; Nakajima, T.; Gemmell, E.; Polak, B.; Seymour, G.J.; Hara, K. IL-4-and IL-6-producing cells in human periodontal disease tissue. J. Oral Pathol. Med. 1994, 23, 347–353. [Google Scholar] [CrossRef]
- Bao, L.; Alexander, J.B.; Shi, V.Y.; Mohan, G.C.; Chan, L.S. Interleukin-4 up-regulation of epidermal interleukin-19 expression in keratinocytes involves the binding of signal transducer and activator of transcription 6 (Stat6) to the imperfect Stat6 sites. Immunology 2014, 143, 601–608. [Google Scholar] [CrossRef]
- Walch, L.; Massade, L.; Dufilho, M.; Brunet, A.; Rendu, F. Pro-atherogenic effect of interleukin-4 in endothelial cells: Modulation of oxidative stress, nitric oxide and monocyte chemoattractant protein-1 expression. Atherosclerosis 2006, 187, 285–291. [Google Scholar] [CrossRef]
- Scheller, J.; Chalaris, A.; Schmidt-Arras, D.; Rose-John, S. The pro- and anti-inflammatory properties of the cytokine interleukin-6. Biochim. Biophys. Acta Mol. Cell Res. 2011, 1813, 878–888. [Google Scholar] [CrossRef]
- Li, A.; Li, R.; Liu, S.; Xing, R.; Li, P. Inhibitory effect of metalloproteinase inhibitors on skin cell inflammation induced by jellyfish Nemopilema nomurai nematocyst venom. Toxins 2019, 11, 156. [Google Scholar] [CrossRef]
- Ficarra, G.; Baroni, G.; Massi, D. Pyostomatitis vegetans: Cellular immune profile and expression of IL-6, IL-8 and TNF-alpha. Head Neck Pathol. 2009, 4, 1–9. [Google Scholar] [CrossRef]
- Groeger, S.; Meyle, J. Oral mucosal epithelial cells. Front. Immunol. 2019, 10, 208. [Google Scholar] [CrossRef]
- Hong, D.S.; Angelo, L.S.; Kurzrock, R. Interleukin-6 and its receptor in cancer. Cancer 2007, 110, 1911–1928. [Google Scholar] [CrossRef]
- Harada, A.; Sekido, N.; Akahoshi, T.; Wada, T.; Mukaida, N.; Matsushima, K. Essential involvement of interleukin-8 (IL-8) in acute inflammation. J. Leukoc. Biol. 1994, 56, 559–564. [Google Scholar] [CrossRef]
- Lotti, F.; Maggi, M. Interleukin 8 and the male genital tract. J. Reprod. Immunol. 2013, 100, 54–65. [Google Scholar] [CrossRef]
- Zou, J.; Zhou, L.; Hu, C.; Jing, P.; Guo, X.; Liu, S.; Lei, Y.; Yang, S.; Deng, J.; Zhang, H. IL-8 and IP-10 expression from human bronchial epithelial cells BEAS-2B are promoted by Streptococcus pneumoniae endopeptidase O (PepO). BMC Microbiol. 2017, 17, 187. [Google Scholar] [CrossRef]
- Oliveira, N.F.; Damm, G.R.; Andia, D.C.; Salmon, C.; Nociti, F.H., Jr.; Line, S.R.; De Souza, A.P. DNA methylation status of the IL8 gene promoter in oral cells of smokers and non-smokers with chronic periodontitis. J. Clin. Periodontol. 2009, 36, 719–725. [Google Scholar] [CrossRef]
- Zehnder, M.; Greenspan, J.S.; Greenspan, D.; Bickel, M. Chemokine gene expression in human oral mucosa. Eur. J. Oral Sci. 1999, 107, 231–235. [Google Scholar] [CrossRef]
- Sato, Y.; Ohshima, T.; Kondo, T. Regulatory role of endogenous interleukin-10 in cutaneous inflammatory response of murine wound healing. Biochem. Biophys. Res. Commun. 1999, 265, 194–199. [Google Scholar] [CrossRef]
- Chatterjee, P.; Chiasson, V.L.; Bounds, K.R.; Mitchell, B.M. Regulation of the anti-inflammatory cytokines interleukin-4 and interleukin-10 during pregnancy. Front. Immunol. 2014, 5, 253. [Google Scholar] [CrossRef]
- Peranteau, W.H.; Zhang, L.; Muvarak, N.; Badillo, A.T.; Radu, A.; Zoltick, P.W.; Liechty, K.W. IL-10 overexpression decreases inflammatory mediators and promotes regenerative healing in an adult model of scar formation. J. Investig. Derm. 2008, 128, 1852–1860. [Google Scholar] [CrossRef]
- Reitamo, S.; Remitz, A.; Tamai, K.; Uitto, J. Interleukin-10 modulates type I collagen and matrix metalloprotease gene expression in cultured human skin fibroblasts. J. Clin. Investig. 1994, 94, 2489–2492. [Google Scholar] [CrossRef]
- Richardsen, E.; Andersen, S.; Al-Saad, S.; Rakaee, M.; Nordby, Y.; Pedersen, M.I.; Ness, N.; Grindstad, T.; Movik, I.; Dønnem, T.; et al. Evaluation of the proliferation marker Ki-67 in a large prostatectomy cohort. PLoS ONE 2017, 12, e0186852. [Google Scholar] [CrossRef]
- Valach, J.; Foltán, R.; Vlk, M.; Szabo, P.; Smetana, K., Jr. Phenotypic characterization of oral mucosa: What is normal? J. Oral Pathol. Med. 2017, 46, 834–839. [Google Scholar] [CrossRef]
- Scholzen, T.; Gerdes, J. The Ki-67 protein: From the known and the unknown. J. Cell Physiol. 2000, 182, 311–322. [Google Scholar] [CrossRef]
- Pilmane, M.; Rumba, I.; Sundler, F.; Luts, A. Patterns of distribution and occurrence of neuroendocrine elements in lungs of humans with chronic lung disease. Proc. Latv. Acad. Sci. 1998, 52, 144–152. [Google Scholar]
- Groeger, S.E.; Meyle, J. Epithelial barrier and oral bacterial infection. Periodontology 2000 2015, 69, 46–67. [Google Scholar] [CrossRef]
- Bulek, K.; Swaidani, S.; Aronica, M.; Li, X. Epithelium: The interplay between innate and Th2 immunity. Immunol. Cell Biol. 2010, 88, 257–268. [Google Scholar] [CrossRef]
- Graves, D.T.; Nooh, N.; Gillen, T.; Davey, M.; Patel, S.; Cottrell, D.; Amar, S. IL-1 plays a critical role in oral, but not dermal, wound healing. J. Immunol. 2001, 167, 5316–5320. [Google Scholar] [CrossRef]
- Dayan, S.; Stashenko, P.; Niederman, R.; Kupper, T.S. Oral epithelial overexpression of IL-1alpha causes periodontal disease. J. Dent. Res. 2004, 83, 786–790. [Google Scholar] [CrossRef]
- Becker, S.; Koren, H.S.; Henke, D.C. Interleukin-8 expression in normal nasal epithelium and its modulation by infection with respiratory syncytial virus and cytokines tumor necrosis factor, interleukin-1, and interleukin-6. Am. J. Respir. Cell Mol. Biol. 1993, 8, 20–27. [Google Scholar] [CrossRef]
- Sabat, R.; Grütz, G.; Warszawska, K.; Kirsch, S.; Witte, E.; Wolk, K.; Geginat, J. Biology of interleukin-10. Cytokine Growth Factor Rev. 2010, 21, 331–344. [Google Scholar] [CrossRef]
- Ustiashvili, M.; Kordzaia, D.; Mamaladze, M.; Jangavadze, M.; Sanodze, L. Investigation of functional activity human dental pulp stem cells at acute and chronic pulpitis. Georgian Med. News 2014, 234, 19–24. [Google Scholar]
- Zhang, Y.; Dong, S.; Wang, J.; Wang, M.; Chen, M.; Huang, H. Involvement of Notch2 in all-trans retinoic acid-induced inhibition of mouse embryonic palate mesenchymal cell proliferation. Mol. Med. Rep. 2017, 16, 2538–2546. [Google Scholar] [CrossRef][Green Version]
- Olvera, M.; Wickramasinghe, K.; Brynes, R.; Bu, X.; Ma, Y.; Chandrasoma, P. Ki67 expression in different epithelial types in columnar lined oesophagus indicates varying levels of expanded and aberrant proliferative patterns. Histopathology 2005, 47, 132–140. [Google Scholar] [CrossRef]
- Silva, D.C.; Gonçalves, A.K.; Cobucci, R.N.; Mendonça, R.C.; Lima, P.H.; Cavalcanti, G., Jr. Immunohistochemical expression of p16, Ki-67 and p53 in cervical lesions—A systematic review. Pathol. Res. Pract. 2017, 213, 723–729. [Google Scholar] [CrossRef]
- Wu, T.; Xiong, X.; Zhang, W.; Zou, H.; Xie, H.; He, S. Morphogenesis of rete ridges in human oral mucosa: A pioneering morphological and immunohistochemical study. Cells Tissues Organs 2013, 197, 239–248. [Google Scholar] [CrossRef]
- Ren, L.; Jiang, Z.Q.; Fu, Y.; Leung, W.K.; Jin, L. The interplay of lipopolysaccharide-binding protein and cytokines in periodontal health and disease. J. Clin. Periodontol. 2009, 36, 619–626. [Google Scholar] [CrossRef]
- Bastos, M.F.; Lima, J.A.; Vieira, P.M.; Mestnik, M.J.; Faveri, M.; Duarte, P.M. TNF-alpha and IL-4 levels in generalized aggressive periodontitis subjects. Oral Dis. 2009, 15, 82–87. [Google Scholar] [CrossRef]
- Fujihashi, K.; Kono, Y.; Beagley, K.W.; Yamamoto, M.; McGhee, J.R.; Mestecky, J.; Kiyono, H. Cytokines and periodontal disease: Immunopathological role of interleukins for B cell responses in chronic inflamed gingival tissues. J. Periodontol. 1993, 64, 400–406. [Google Scholar]
- Thumbigere Math, V.; Rebouças, P.; Giovani, P.A.; Puppin-Rontani, R.M.; Casarin, R.; Martins, L.; Wang, L.; Krzewski, K.; Introne, W.J.; Somerman, M.J.; et al. Periodontitis in Chédiak-Higashi syndrome: An altered immunoinflammatory response. JDR Clin. Trans. Res. 2018, 3, 35–46. [Google Scholar] [CrossRef]
- Lappin, D.F.; MacLeod, C.P.; Kerr, A.; Mitchell, T.; Kinane, D.F. Anti-inflammatory cytokine IL-10 and T cell cytokine profile in periodontitis granulation tissue. Clin. Exp. Immunol. 2001, 123, 294–300. [Google Scholar] [CrossRef]
- Walker, K.F.; Lappin, D.F.; Takahashi, K.; Hope, J.; Macdonald, D.G.; Kinane, D.F. Cytokine expression in periapical granulation tissue as assessed by immunohistochemistry. Eur. J. Oral Sci. 2000, 108, 195–201. [Google Scholar] [CrossRef]
- Minshall, C.; Arkins, S.; Straza, J.; Conners, J.; Dantzer, R.; Freund, G.G.; Kelley, K.W. IL-4 and insulin-like growth factor-I inhibit the decline in Bcl-2 and promote the survival of IL-3-deprived myeloid progenitors. J. Immunol. 1997, 159, 1225–1232. [Google Scholar]
- Gordon, S. Alternative activation of macrophages. Nat. Rev. Immunol. 2003, 3, 23–35. [Google Scholar] [CrossRef]
- Jiang, C.M.; Liu, J.; Zhao, J.Y.; Xiao, L.; An, S.; Gou, Y.C.; Quan, H.X.; Cheng, Q.; Zhang, Y.L.; He, W.; et al. Effects of hypoxia on the immunomodulatory properties of human gingiva-derived mesenchymal stem cells. J. Dent. Res. 2015, 94, 69–77. [Google Scholar] [CrossRef]
- Benatti, B.B.; Silvério, K.G.; Casati, M.Z.; Sallum, E.A.; Nociti, F.H., Jr. Inflammatory and bone-related genes are modulated by aging in human periodontal ligament cells. Cytokine 2009, 46, 176–181. [Google Scholar] [CrossRef]



| Factors/Subjects | Ki67 | IL-1 | IL-4 | IL-6 | IL-8 | IL-10 | |||||
|---|---|---|---|---|---|---|---|---|---|---|---|
| E | E | CT | E | CT | E | CT | E | CT | E | CT | |
| 1. | ++/+++ | +/++ | + | +++ | ++ | +++ | ++ | ++/+++ | +++ | +++ | +++ |
| 2. | 0/+ | +++ | ++ | +++ | ++ | ++++ | ++ | +++ | +++ | +++ | +++ |
| 3. | 0/+ | + | ++ | ++ | ++ | +/++ | 0 | 0 | 0 | +/++ | + |
| 4. | 0 | 0 | +/++ | + | + | 0 | ++ | ++ | +/++ | + | + |
| 5. | ++/+++ | ++ | +++ | + | +++ | ++ | +++ | 0 | ++ | ++ | +++ |
| 6. | ++ | +++ | ++ | ++ | +++ | +++ | +++ | ++ | ++ | +++ | ++ |
| 7. | ++ | +++ | ++ | +++ | +++ | +++ | +++ | +++ | +++ | +++ | ++ |
| 8. | ++/+++ | +++ | ++ | +++ | +++ | +++ | +++ | +/++ | ++ | +++ | ++ |
| 9. | +++ | +++ | ++ | +++ | +++ | +++ | +++ | 0 | ++ | +++ | ++ |
| 10. | ++/+++ | ++++ | ++ | +++ | +++ | +++ | +++ | 0 | + | ++++ | +++ |
| 11. | 0/+ | +/++ | ++ | + | + | +/++ | ++ | 0/+ | ++/+++ | ++ | ++ |
| 12. | ++ | +++ | ++ | +++ | + | +++ | +++ | ++ | ++ | +++ | ++ |
| 13. | 0/+ | ++ | ++ | 0 | + | +/++ | ++ | 0 | + | ++ | ++ |
| 14. | ++ | +++ | +++ | +++ | +++ | ++/+++ | +++ | 0/+ | +++ | ++/++ | +++ |
| 15. | ++ | ++ | ++ | ++ | ++ | ++ | ++ | +/++ | +++ | ++ | ++ |
| 16. | +/++ | +++ | ++ | +++ | ++ | ++ | +++ | +/++ | +++ | ++ | +/++ |
| Subjects common | ++ * | ++/+++ * | ++ | Var ++/+++ | ++ * | +++ | +++ | Var +-+++ * | ++/+++ | ++/+++ * | ++ * |
| Control | 0 | + | ++ | ++ | + | +/++ | ++ | +/++ | ++ | + | + |
| Detected Factor | Mann–Whitney U | Z-Score | p-Value |
|---|---|---|---|
| IL-1 in epithelium | 14.5 | 2.06431 | 0.01394 |
| IL-8 in epithelium | 15.5 | 2.35907 | 0.01828 |
| IL-10 in epithelium | 20.5 | 2.33854 | 0.01928 |
| Ki67 in epithelium | 10.5 | 3.00669 | 0.00262 |
| IL-4 in connective tissue | 16 | 2.32221 | 0.02034 |
| IL-10 in connective tissue | 6 | 3.30736 | 0.00094 |
| Factor 1 | Factor 2 | R | p-Value |
|---|---|---|---|
| Very strong positive correlation | |||
| IL-10 in epithelium | IL-8 in epithelium | 0.92791 | 0 |
| Strong positive correlation | |||
| IL-10 in epithelium | IL-4 in epithelium | 0.77857 | 0.00038 |
| IL-10 in epithelium | IL-1 in epithelium | 0.72389 | 0.00152 |
| IL-1 in epithelium | IL-8 in epithelium | 0.77684 | 0.0004 |
| IL-1 in epithelium | IL-4 in epithelium | 0.68943 | 0.00313 |
| IL-4 in epithelium | IL-8 in epithelium | 0.72045 | 0.00164 |
| Ki67 in epithelium | IL-8 in epithelium | 0.64175 | 0.00736 |
| IL-10 in connective tissue | IL-4 in connective tissue | 0.65084 | 0.00632 |
| Moderate positive correlation | |||
| Ki67 in epithelium | IL-10 in epithelium | 0.56539 | 0.02246 |
| IL-1 in connective tissue | IL-4 in connective tissue | 0.55068 | 0.02707 |
| IL-10 in connective tissue | IL-1 in connective tissue | 0.51299 | 0.04214 |
© 2019 by the authors. Licensee MDPI, Basel, Switzerland. This article is an open access article distributed under the terms and conditions of the Creative Commons Attribution (CC BY) license (http://creativecommons.org/licenses/by/4.0/).
Share and Cite
Pilmane, M.; Sidhoma, E.; Akota, I.; Kazoka, D. Characterization of Cytokines and Proliferation Marker Ki67 in Cleft Affected Lip Tissue. Medicina 2019, 55, 518. https://doi.org/10.3390/medicina55090518
Pilmane M, Sidhoma E, Akota I, Kazoka D. Characterization of Cytokines and Proliferation Marker Ki67 in Cleft Affected Lip Tissue. Medicina. 2019; 55(9):518. https://doi.org/10.3390/medicina55090518
Chicago/Turabian StylePilmane, Mara, Elga Sidhoma, Ilze Akota, and Dzintra Kazoka. 2019. "Characterization of Cytokines and Proliferation Marker Ki67 in Cleft Affected Lip Tissue" Medicina 55, no. 9: 518. https://doi.org/10.3390/medicina55090518
APA StylePilmane, M., Sidhoma, E., Akota, I., & Kazoka, D. (2019). Characterization of Cytokines and Proliferation Marker Ki67 in Cleft Affected Lip Tissue. Medicina, 55(9), 518. https://doi.org/10.3390/medicina55090518

