Regulation Roles of Juvenile Hormone Epoxide Hydrolase Gene 2 in the Female River Prawn Macrobrachium nipponense Reproductive Process
Abstract
1. Introduction
2. Materials and Methods
2.1. Experimental Prawns
2.2. Sample Collection
2.3. Total RNA Extraction and cDNA Synthesis
2.4. Gene Cloning and Sequence Analysis of Mn-JHEH
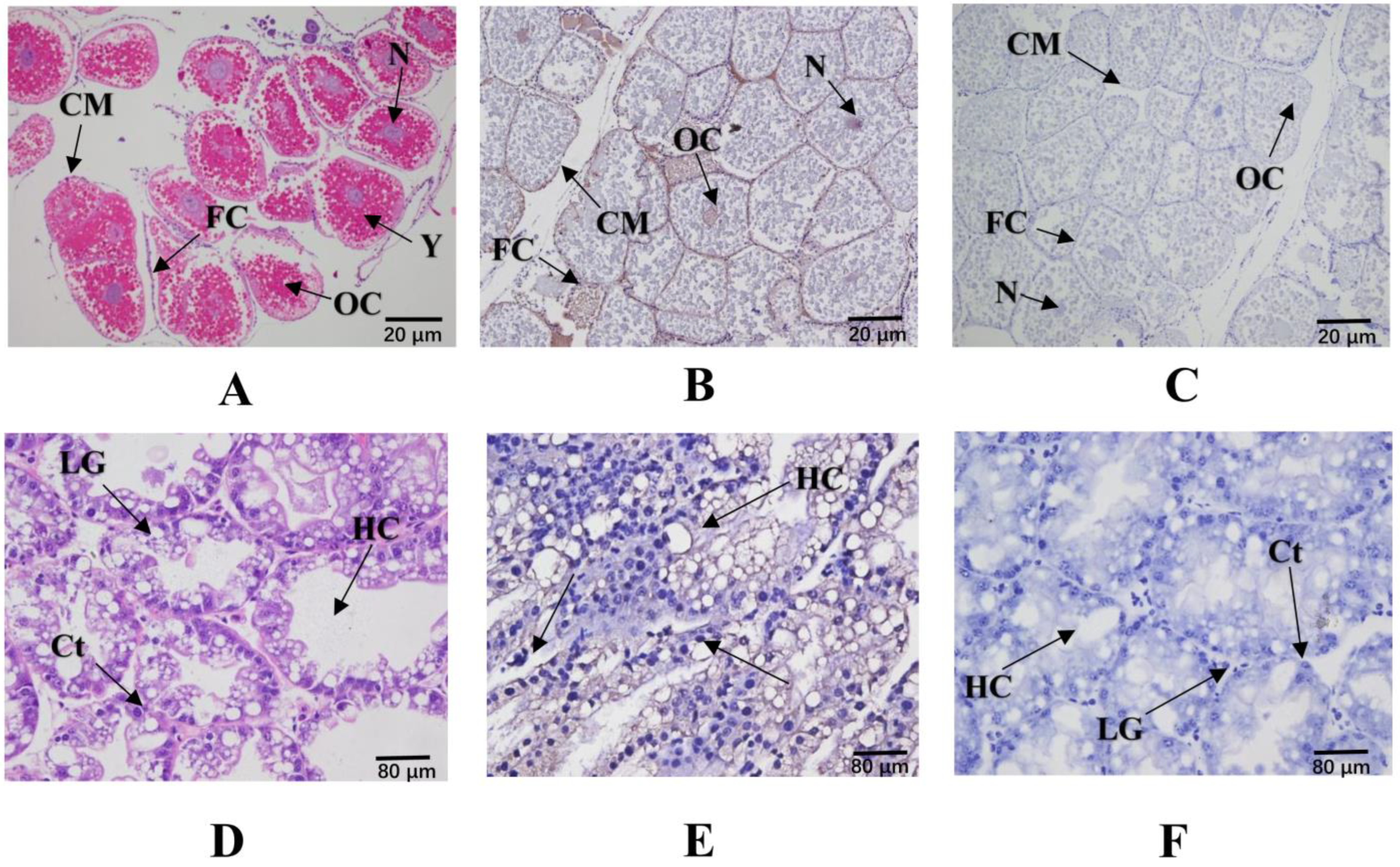
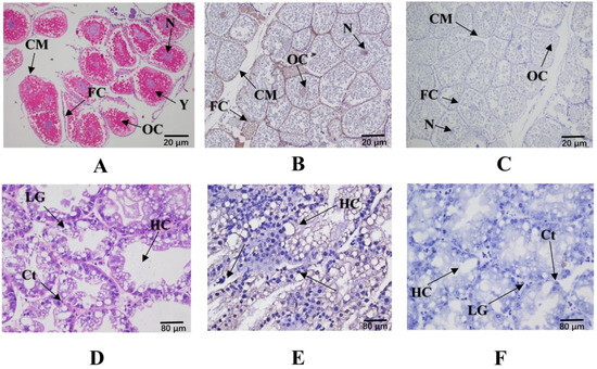
2.5. In Situ Hybridization
2.6. RNA Interference (RNAi)
2.7. qPCR and Statistical Analysis
3. Results
3.1. Sequence Analysis of Mn-JHEH
3.2. Similarity Comparison and Phylogenetic Analysis
3.3. Tissue-Specific Gene Expression of Mn-JHEH
3.4. Subcellular Localization of Mn-JHEH
3.5. Functional Analysis of Mn-JHEH in Ovarian Maturation Regulation
3.5.1. Effect of RNAi on the Expression of Mn-JHEH
3.5.2. Effect of RNAi on the Ovarian Maturation of Mn-JHEH
3.5.3. Effect of RNAi on the Molting Frequency of Mn-JHEH
4. Discussion
5. Conclusions
Author Contributions
Funding
Institutional Review Board Statement
Informed Consent Statement
Data Availability Statement
Acknowledgments
Conflicts of Interest
References
- Jin, S.B.; Hu, Y.N.; Fu, H.T.; Sun, S.M.; Jiang, S.F.; Xiong, Y.W.; Qiao, H.; Zhang, W.Y.; Gong, Y.S.; Wu, Y. Analysis of testis metabolome and transcriptome from the oriental river prawn (Macrobrachium nipponense) in response to different temperatures and illumination times. Comp. Biochem. Physiol. Part D Genom. Proteom. 2020, 34, 100662. [Google Scholar] [CrossRef] [PubMed]
- Jin, S.B.; Fu, H.T.; Jiang, S.F.; Xiong, Y.W.; Qiao, H.; Zhang, W.Y.; Gong, Y.S.; Wu, Y. RNA Interference Analysis Reveals the Positive Regulatory Role of Ferritin in Testis Development in the Oriental River Prawn, Macrobrachium Nipponense. Front. Physiol. 2022, 13, 204. [Google Scholar] [CrossRef] [PubMed]
- Sun, M.; Li, X.F.; Ge, Y.P.; Zhang, L.; Liu, B.; Liu, W.B. Dietary thiamine requirement and its effects on glycolipid metabolism in oriental river prawn (Macrobrachium nipponense). Aquaculture 2022, 550, 737824. [Google Scholar] [CrossRef]
- Wang, L.; Feng, J.B.; Wang, G.L.; Guan, T.Y.; Zhu, C.K.; Li, J.L.; Wang, H. Effects of cadmium on antioxidant and non-specific immunity of Macrobrachium nipponense. Ecotox. Environ. Saf. 2021, 224, 112651. [Google Scholar] [CrossRef] [PubMed]
- Jiang, S.F.; Zhang, W.Y.; Xiong, Y.W.; Cheng, D.; Wang, J.S.; Jin, S.B.; Gong, Y.S.; Wu, Y.; Qiao, H.; Fu, H.T. Hepatopancreas transcriptome analyses provide new insights into the molecular regulatory mechanism of fast ovary maturation in Macrobrachium nipponense. BMC Genom. 2022, 23, 625. [Google Scholar] [CrossRef]
- Qiao, H.; Jiang, F.W.; Xiong, Y.W.; Jiang, S.F.; Fu, H.T.; Li, F.; Zhang, W.Y.; Sun, S.M.; Jin, S.B.; Gong, Y.S.; et al. Characterization, expression patterns of molt-inhibiting hormone gene of Macrobrachium nipponense and its roles in molting and growth. PLoS ONE 2018, 13, e0198861. [Google Scholar] [CrossRef]
- Qiao, H.; Xiong, Y.W.; Jiang, S.F.; Zhang, W.Y.; Xu, L.; Jin, S.B.; Gong, Y.S.; Wu, Y.; Fu, H.T. Three neuroparsin genes from oriental river prawn, Macrobrachium nipponense, involved in ovary maturation. 3 Biotech 2020, 10, 1–14. [Google Scholar] [CrossRef]
- Li, K.; Jia, Q.Q.; Li, S. Juvenile hormone signaling - a mini review. Insect Sci. 2019, 26, 600–606. [Google Scholar] [CrossRef]
- Li, Z.Q.; Song, J.B.; Jiang, G.H.; Shang, Y.Z.; Jiang, Y.; Zhang, J.F.; Xiao, L.; Chen, M.; Tang, D.M.; Tong, X.L.; et al. Juvenile hormone suppresses the FoxO-takeout axis to shorten longevity in male silkworm. Pestic. Biochem. Phys. 2023, 192, 105388. [Google Scholar] [CrossRef]
- Hyde, C.J.; Elizur, A.; Ventura, T. The crustacean ecdysone cassette: A gatekeeper for molt and metamorphosis. J. Steroid Biochem. 2019, 185, 172–183. [Google Scholar] [CrossRef]
- Da Silva, R.C.; do Nascimento, F.S.; Wenseleers, T.; Oi, C.A. Juvenile hormone modulates hydrocarbon expression and reproduction in the german wasp Vespula germanica. Front. Ecol. Evol. 2022, 10, 1024580. [Google Scholar] [CrossRef]
- Liu, Z.Y.; Huang, Z.S.; Zheng, X.Y.; Zheng, Z.H.; Yao, D.F.; Zhang, Y.L.; Aweya, J.J. The juvenile hormone epoxide hydrolase homolog in Penaeus vannamei plays immune-related functions. Dev. Comp. Immunol. 2022, 132, 104410. [Google Scholar] [CrossRef] [PubMed]
- Maxwell, R.A.; Welch, W.H.; Schooley, D.A. Juvenile Hormone Diol Kinase: I. Purification, characterization, and substrate specificity of juvenile hormone-selective diol kinase from manduca sexta. J. Biol. Chem. 2002, 277, 21874–21881. [Google Scholar]
- Tusun, A.; Li, M.; Liang, X.Z.; Yang, T.; Yang, B.; Wang, G. Juvenile Hormone Epoxide Hydrolase: A Promising Target for Hemipteran Pest Management. Sci. Rep. 2017, 7, 789. [Google Scholar] [CrossRef] [PubMed]
- Touhara, K.; Prestwich, G.D. Juvenile hormone epoxide hydrolase. Photoaffinity labeling, purification, and characterization from tobacco hornworm eggs. J. Biol. Chem. 1993, 268, 19604–19609. [Google Scholar] [CrossRef]
- Keiser, K.C.; Brandt, K.S.; Silver, G.M.; Wisnewski, N. Cloning, partial purification and in vivo developmental profile of expression of the juvenile hormone epoxide hydrolase of Ctenocephalides felis. Arch. Insect Biochem. 2002, 50, 191–206. [Google Scholar] [CrossRef]
- Zhang, Q.R.; Xu, W.H.; Chen, F.S.; Li, S. Molecular and biochemical characterization of juvenile hormone epoxide hydrolase from the silkworm, Bombyx mori. Insect Biochem. Molec. 2005, 35, 153–164. [Google Scholar] [CrossRef]
- Tsubota, T.; Nakakura, T.; Shiotsuki, T. Molecular characterization and enzymatic analysis of juvenile hormone epoxide hydrolase genes in the red flour beetle Tribolium castaneum. Insect Mol. Biol. 2010, 19, 399–408. [Google Scholar] [CrossRef]
- Kamita, S.G.; Yamamoto, K.; Dadala, M.M.; Pha, K.; Morisseau, C.; Escaich, A.; Hammock, B.D. Cloning and characterization of a microsomal epoxide hydrolase from Heliothis virescens. Insect Biochem. Molec. 2013, 43, 219–228. [Google Scholar] [CrossRef]
- Zhao, J.; Zhou, Y.L.; Li, X.; Cai, W.L.; Hua, H.X. Silencing of juvenile hormone epoxide hydrolase gene (Nljheh) enhances short wing formation in a macropterous strain of the brown planthopper, Nilaparvata lugens. J. Insect Physiol. 2017, 102, 18–26. [Google Scholar] [CrossRef]
- Qiao, H.; Fu, H.T.; Xiong, Y.W.; Jiang, S.F.; Zhang, W.Y.; Sun, S.M.; Jin, S.B.; Gong, Y.S.; Wang, Y.B.; Shan, D.Y.; et al. Molecular insights into reproduction regulation of female Oriental River prawns Macrobrachium nipponense through comparative transcriptomic analysis. Sci. Rep. 2017, 7, 258–265. [Google Scholar] [CrossRef]
- Guo, B.; Wang, F.; Li, Y.; Dong, S.L. Effect of periodic light intensity change on the molting frequency and growth of Litopenaeus vannamei. Aquac. 2013, 396, 66–70. [Google Scholar] [CrossRef]
- Srisala, J.; Thaiue, D.; Saguanrut, P.; Taengchaiyaphum, S.; Flegel, T.W.; Sritunyalucksana, K. Wenzhou prawn virus 8 (WzSV8) detection by unique inclusions in prawn hepatopancreatic E-cells and by RT-PCR. Aquaculture 2023, 572, 739483. [Google Scholar] [CrossRef]
- Livak, K.J.; Schmittgen, T.D. Analysis of relative gene expression data using real-time quantitative PCR and the 2− ΔΔCT method. Methods 2001, 25, 402–408. [Google Scholar] [CrossRef] [PubMed]
- Chaitanya, B.N.; Asokan, R.; Sita, T.; Rebijith, K.B.; Ram Kumar, P.; Krishna Kumar, N.K. Silencing of JHEH and EcR genes of Plutella xylostella (Lepidoptera: Plutellidae) through double stranded RNA oral delivery. J. Asia-Pac. Entomol. 2017, 20, 637–643. [Google Scholar] [CrossRef]
- Ferreira, H.M.; Di Pietro, V.D.; Wenseleers, T.; Oi, C.A. Conserved role of juvenile hormone in regulating behavioural maturation and division of labour in a highly eusocial wasp. Anim. Behav. 2023, 200, 59–69. [Google Scholar] [CrossRef]
- Zhou, K.; Jia, N.; Hu, C.; Jiang, Y.L.; Yang, J.P.; Chen, Y.X.; Li, S.; Li, W.F.; Zhou, C.Z. Crystal structure of juvenile hormone epoxide hydrolase from the silkworm Bombyx mori. Protein. Sci. 2014, 82, 3224–3229. [Google Scholar] [CrossRef]
- Jing, Y.P.; Wen, X.P.; Li, L.J.; Zhang, S.J.; Zhang, C.; Zhou, S.T. The vitellogenin receptor functionality of the migratory locust depends on its phosphorylation by juvenile hormone. Proc. Natl. Acad. Sci. USA. 2021, 118, e2106908118. [Google Scholar] [CrossRef]
- Borovsky, D.; Breyssens, H.; Buytaert, E.; Peeters, T.; Laroye, C.; Stoffels, K.; Rouge, P. Cloning and Characterization of Drosophila melanogaster Juvenile Hormone Epoxide Hydrolases (JHEH) and Their Promoters. Biomolecules 2022, 12, 991. [Google Scholar] [CrossRef]
- Borovsky, D.; Van Ekert, E.; Buytaert, E.; Peeters, T.; Rouge, P. Cloning and characterization of Aedes aegypti juvenile hormone epoxide hydrolases (JHEHs). Arch. Insect Biochem. 2023, 112, e21977. [Google Scholar] [CrossRef]
- Wen, R.R.; Wang, B.Y.; Wang, B.W.; Ma, L. Characterization and Expression Profiles of Juvenile Hormone Epoxide Hydrolase from Lymantria dispar (Lepidoptera: Lymantridae) and RNA Interference by Ingestion. J. Insect Sci. 2018, 18, 13. [Google Scholar] [CrossRef]
- Yu, Y.H.; Hu, L.H.; Tian, D.D.; Yu, Y.Y.; Lu, L.Z.; Zhang, J.M.; Huang, X.K.; Yan, M.C.; Chen, L.B.; Wu, Z.C.; et al. Toxicities of polystyrene microplastics (MPs) and hexabromocyclododecane (HBCD), alone or in combination, to the hepatopancreas of the whiteleg prawn, Litopenaeus vannamei. Environ. Pollut. 2023, 329, 121646. [Google Scholar] [CrossRef] [PubMed]
- Xu, Z.N.; Liu, A.; Li, S.K.; Wang, G.Z.; Ye, H.H. Hepatopancreas immune response during molt cycle in the mud crab, Scylla paramamosain. Sci. Rep. 2020, 10, 13102. [Google Scholar] [CrossRef] [PubMed]
- Liu, M.M.; Pan, J.; Liu, Z.J.; Cheng, Y.X.; Gong, J.; Wu, X.G. Effect of estradiol on vitellogenesis and oocyte development of female swimming crab, Portunus trituberculatus. Aquaculture 2018, 486, 240–245. [Google Scholar] [CrossRef]
- Chen, X.F.; Gao, Q.; Cheng, H.H.; Peng, F.; Wang, C.L.; Xu, B.P. Molecular cloning and expression pattern of the juvenile hormone epoxide hydrolase gene from the giant freshwater prawn Macrobrachium rosenbergii during larval development and the moult cycle. Aquac. Res. 2021, 52, 3890–3899. [Google Scholar] [CrossRef]
- Parthasarathy, R.; Sun, Z.Y.; Bai, H.; Palli, S.R. Juvenile hormone regulation of vitellogenin synthesis in the red flour beetle, Tribolium castaneum. Insect Biochem. Molec. 2010, 40, 405–414. [Google Scholar] [CrossRef]
- Taub-MontemayOr, T.E.; Rankin, M.A.N.N. Regulation of vitellogenin synthesis and uptake in the boll weevil, Anthonomus grandis. Physiol. Entomol. 1997, 22, 261–268. [Google Scholar] [CrossRef]
- Caroci, A.S.; Li, Y.; Noriega, F.G. Reduced juvenile hormone synthesis in mosquitoes with low teneral reserves reduces ovarian previtellogenic development in Aedes aegypti. J. Exp. Biol. 2004, 207, 2685–2690. [Google Scholar] [CrossRef]
- Sheng, Z.T.; Xu, J.J.; Bai, H.; Zhu, F.; Palli, S.R. Juvenile hormone regulates vitellogenin gene expression through insulin-like peptide signaling pathway in the red flour beetle, Tribolium castaneum. J. Biol. Chem. 2011, 286, 41924–41936. [Google Scholar] [CrossRef]
- Yang, M.J.; Li, G.Q.; Yu, L.; Du, S.J.; Jiang, D.; Chu, X.; Wang, K.; Wu, S.Q.; Wang, R.; Zhang, F.; et al. Temperature and metal ions regulate larval diapause termination via the 20-hydroxyecdysone and juvenile hormone pathways in Monochamus alternatus. Pest Manag. Sci. 2023, 79, 437–446. [Google Scholar] [CrossRef]
- Lu, F.G.; Fu, K.Y.; Guo, W.C.; Li, G.Q. Characterization of two juvenile hormone epoxide hydrolases by RNA interference in the Colorado potato beetle. Gene 2015, 570, 264–271. [Google Scholar] [CrossRef]
- Zhang, X.X.; Yuan, J.B.; Zhang, X.J.; Xiang, J.H.; Li, F.H. Genomic Characterization and Expression of Juvenile Hormone Esterase-Like Carboxylesterase Genes in Pacific White Prawn, Litopenaeus vannamei. Int. J. Mol. Sci. 2020, 21, 5444. [Google Scholar] [CrossRef] [PubMed]








| Primer’s Name | Sequence (5’-3’) | Usage |
|---|---|---|
| JHEH F1 | GTTGTCAAGTTCTTGGTCGTCAG | ORF |
| JHEH R1 | CATGAGCTTCAGAAAGATCTGCG | ORF |
| JHEH F2 | GATCGGGGCCAATTTTACTTACG | ORF |
| JHEH R2 | CATGCTGCTTGTTATACTTCCCG | ORF |
| JHEH F3 | TCTGAAACCTTCCTCATGGACAG | ORF |
| JHEH R3 | TCTTCTCAACAGCCGAAACAAAC | ORF |
| JHEH F3-1 | ATCTTCGGGGAGAGTGCG | 3’Race |
| JHEH F3-2 | CGAACTCCGACCACCAGA | 3’Race |
| 3’RACE Outer | TACCGTCGTTCCACTAGTGATTT | 3’Race |
| 3’RACE Inner | CGCGGATCCTCCACTAGTGATTTCACTATAGG | 3’Race |
| JHEH F5-1 | CCCCGATCAACGGAGGCGTG | 5’Race |
| JHEH F5-2 | GGCCCCACCAGGGGTTTGGA | 5’Race |
| 5’RACE Outer | CATGGCTACATGCTGACAGCCTA | 5’Race |
| 5’RACE Inner | CGCGGATCCACAGCCTACTGATGATCAGTCGATG | 5’Race |
| JHEH F | GTTGCAGAAAGACTTCCCCATTC | qPCR |
| JHEH R | CTTCTCAACAGCCGAAACAAACT | qPCR |
| EIF F | CATGGATGTACCTGTGGTGAAAC | qPCR |
| EIF R | CTGTCAGCAGAAGGTCCTCATTA | qPCR |
| JHEH dsF | TAATACGACTCACTATAGGGGAGCGAGAGA | dsRNA |
| JHEH dsR | AGAGGCTGAA | dsRNA |
| GFP dsF | TAATACGACTCACTATAGGGACGAAGACCTT GCTTCTGAAG | dsRNA |
| GFP dsR | TAATACGACTCACTATAGGGAAAGGGCAGAT TGTGTGGAC | dsRNA |
Disclaimer/Publisher’s Note: The statements, opinions and data contained in all publications are solely those of the individual author(s) and contributor(s) and not of MDPI and/or the editor(s). MDPI and/or the editor(s) disclaim responsibility for any injury to people or property resulting from any ideas, methods, instructions or products referred to in the content. |
© 2024 by the authors. Licensee MDPI, Basel, Switzerland. This article is an open access article distributed under the terms and conditions of the Creative Commons Attribution (CC BY) license (https://creativecommons.org/licenses/by/4.0/).
Share and Cite
Wang, J.; Zhang, M.; Fu, H.; Zhang, W.; Xiong, Y.; Jin, S.; Qiao, H.; Jiang, S. Regulation Roles of Juvenile Hormone Epoxide Hydrolase Gene 2 in the Female River Prawn Macrobrachium nipponense Reproductive Process. Curr. Issues Mol. Biol. 2024, 46, 13456-13470. https://doi.org/10.3390/cimb46120803
Wang J, Zhang M, Fu H, Zhang W, Xiong Y, Jin S, Qiao H, Jiang S. Regulation Roles of Juvenile Hormone Epoxide Hydrolase Gene 2 in the Female River Prawn Macrobrachium nipponense Reproductive Process. Current Issues in Molecular Biology. 2024; 46(12):13456-13470. https://doi.org/10.3390/cimb46120803
Chicago/Turabian StyleWang, Jisheng, Mengying Zhang, Hongtuo Fu, Wenyi Zhang, Yiwei Xiong, Shubo Jin, Hui Qiao, and Sufei Jiang. 2024. "Regulation Roles of Juvenile Hormone Epoxide Hydrolase Gene 2 in the Female River Prawn Macrobrachium nipponense Reproductive Process" Current Issues in Molecular Biology 46, no. 12: 13456-13470. https://doi.org/10.3390/cimb46120803
APA StyleWang, J., Zhang, M., Fu, H., Zhang, W., Xiong, Y., Jin, S., Qiao, H., & Jiang, S. (2024). Regulation Roles of Juvenile Hormone Epoxide Hydrolase Gene 2 in the Female River Prawn Macrobrachium nipponense Reproductive Process. Current Issues in Molecular Biology, 46(12), 13456-13470. https://doi.org/10.3390/cimb46120803

