Sign in to use this feature.

Years

Between: -

Subjects

remove_circle_outline
remove_circle_outline
remove_circle_outline
remove_circle_outline
remove_circle_outline
remove_circle_outline
remove_circle_outline

Journals

remove_circle_outline
remove_circle_outline
remove_circle_outline
remove_circle_outline
remove_circle_outline

Article Types

Countries / Regions

remove_circle_outline
remove_circle_outline
remove_circle_outline

Search Results (380)

Search Parameters:
Keywords = molting

Order results
Result details
Results per page
Select all
Export citation of selected articles as:
20 pages, 4683 KB  
Article
Integrating Transcriptomics and Gut Microbiota Analysis Reveals Adaptive Mechanisms of Alkaline Stress on the Molting and Intestinal Immune Responses in Pacific White Shrimp, Litopenaeus vannamei
by Yiming Li, Yucong Ye, Junling Ma, Zongli Yao, Yan Li, Pengcheng Gao, Yuxin Wang, Zihe Cheng, Yunlong Zhao and Qifang Lai
Life 2026, 16(4), 652; https://doi.org/10.3390/life16040652 - 12 Apr 2026
Viewed by 65
Abstract
In northwestern China, there is an abundance of saline-alkali water resources, but their high alkalinity severely restricts the development of inland saline-alkali water aquaculture. As an important aquaculture species, the whiteleg shrimp, Litopenaeus vannamei, shows an unclear physiological adaptation mechanism under high-alkaline [...] Read more.
In northwestern China, there is an abundance of saline-alkali water resources, but their high alkalinity severely restricts the development of inland saline-alkali water aquaculture. As an important aquaculture species, the whiteleg shrimp, Litopenaeus vannamei, shows an unclear physiological adaptation mechanism under high-alkaline stress. In this study, multi-omics and physiological methods were used to systematically reveal the effects of high-alkaline stress on the molt, antioxidation response, and immune defense in L. vannamei. The results showed that high-alkaline stress caused damage to the intestinal tissues of the shrimp and weakened the mucous barrier function, which was accompanied by a significant decrease in the activities of antioxidant enzymes (SOD, CAT, and GPx) and non-specific immune indicators (PO and LZM) (p < 0.05). The transcriptome results showed that the expression of genes related to chitin metabolism and calcium ion binding was upregulated, whereas that of genes related to muscle contraction and cell skeleton construction was downregulated. The structure of the intestinal microbiota changed significantly, with a decrease in microbiota diversity, whereas the abundance of potential pathogenic species (e.g., Photobacterium) increased. These results provide a theoretical basis for clarifying the molting response and antioxidant defense mechanism of L. vannamei in high-alkaline environments, with significance for saline-alkali water aquaculture practices. Full article
(This article belongs to the Special Issue Responses of Aquatic Organisms to Environmental Stress)
Show Figures

Figure 1

13 pages, 2270 KB  
Article
Molecular Insights into Exoskeletal Remodeling: Transcriptomic Profiling of the Molting Cycle in the Red Swamp Crayfish Procambarus clarkii
by Yunkuan Zhu, Yu Xu, Suwan Lu, Yuning Hu, Hui Xu, Jiajia Li, Hai Lin, Xuguang Li and Zhiqiang Xu
Fishes 2026, 11(3), 166; https://doi.org/10.3390/fishes11030166 - 13 Mar 2026
Viewed by 309
Abstract
The molting of crustaceans is accompanied by exoskeleton reconstruction. To reveal the molecular regulation mechanism of exoskeleton remodeling, the transcriptomic profiles of the exoskeleton across the entire molting process in the red swamp crayfish Procambarus clarkii were investigated by RNA sequencing, yielding a [...] Read more.
The molting of crustaceans is accompanied by exoskeleton reconstruction. To reveal the molecular regulation mechanism of exoskeleton remodeling, the transcriptomic profiles of the exoskeleton across the entire molting process in the red swamp crayfish Procambarus clarkii were investigated by RNA sequencing, yielding a total of 7671 differentially expressed genes (DEGs) across five different molting stages. Notably, the key DEGs were those related to cuticular exoskeleton synthesis (cuticular proteins), degradation (chitinase 2, chitinase 10) and hardening (chitin deacetylase 1), and their expression abundance varied by 10-fold or greater across the molting cycle. Analysis of Gene Ontology (GO) and the Kyoto Encyclopedia of Genes and Genomes (KEGG) showed that significantly enriched pathways included the structural constituents of the cuticle, structural molecule activity, chitin binding of chitin metabolism, and hormone biosynthesis. The expression profiles of nine selected molting-related DEGs were further validated via real-time RT-PCR assays. The acquired unique temporal expression patterns involved in exoskeleton remodeling provide a preliminary insight into the regulation of gene expression during the molting cycle in the red swamp crayfish. Full article
(This article belongs to the Special Issue Recent Advances in Crayfish)
Show Figures

Figure 1

19 pages, 3843 KB  
Article
Transcriptomic and Microbiome Analyses of Procambarus clarkii Exposed to Different Doses of 20E
by Yan Zou, Chen-Yang Zhang, Xiao-Tong Cao, Rui-Geng Niu and Jiang-Feng Lan
Biology 2026, 15(5), 434; https://doi.org/10.3390/biology15050434 - 6 Mar 2026
Viewed by 435
Abstract
Molting determines survival and growth in cultured crustaceans, yet its specific regulatory mechanisms remain complex. This study integrated transcriptomics and microbiome analyses to elucidate molting regulation in crayfish (Procambarus clarkii). Crayfish were injected with 20-hydroxyecdysone (20E) at 20 and 250 ng/g [...] Read more.
Molting determines survival and growth in cultured crustaceans, yet its specific regulatory mechanisms remain complex. This study integrated transcriptomics and microbiome analyses to elucidate molting regulation in crayfish (Procambarus clarkii). Crayfish were injected with 20-hydroxyecdysone (20E) at 20 and 250 ng/g to simulate early premolt and middle premolt, respectively. The comprehensive upregulation of nuclear receptor family genes confirmed the reliability of the in vivo 20E injection simulation. The results showed that 20 ng/g 20E stimulation induced 13,253 unique DEGs in the epidermis, mainly enriched in protein catabolism (promoting proteolysis to degrade the old exoskeleton), and induced 137 unique DEGs in hemocytes, mainly linked to ribosomal biosynthesis, while the 250 ng/g group showed 2395 unique DEGs in the epidermis, enriched in metabolic processes and biosynthetic processes (supporting the biosynthesis of the new stratum corneum), and 99 unique DEGs in hemocytes enriched in mitochondrial pathways, concomitantly enhancing energy metabolism and antioxidant defense capabilities. Notably, 20E upregulation potentially leads to the dysbiosis of pathogens, specifically Escherichia-Shigella and Vibrio. This study elucidates key biological events in the early and middle premolt of crayfish, clarifies tissue-specific regulatory mechanisms during premolt, and provides molecular-level insights into the growth regulatory network of crustaceans. Full article
(This article belongs to the Special Issue Metabolic and Stress Responses in Aquatic Animals (2nd Edition))
Show Figures

Figure 1

24 pages, 1001 KB  
Article
Multivariate Assessment of Geographic and Ecological Drivers of Heavy Metal Accumulation in Bird Feathers from Jalisco, Mexico
by Hector Leal-Aguayo, Blanca Catalina Ramírez-Hernández, José L. Navarrete-Heredia, Flor Rodríguez-Gómez, Paulina Beatriz Gutiérrez-Martínez, Marcela Mariel Maldonado-Villegas, Diana Vega-Montes de Oca, Diego A. García-Núñez and Aura Libertad Calleja-Rivera
Birds 2026, 7(1), 11; https://doi.org/10.3390/birds7010011 - 10 Feb 2026
Viewed by 615
Abstract
This study evaluated heavy metal accumulation in bird feathers across four contrasting environments in Jalisco, Mexico (urban, semi-urban, agricultural, and semi-natural). We analyzed 370 feather samples from 58 species spanning seven trophic guilds using XRF spectrometry. Fifteen metals were quantified, with zinc (Zn) [...] Read more.
This study evaluated heavy metal accumulation in bird feathers across four contrasting environments in Jalisco, Mexico (urban, semi-urban, agricultural, and semi-natural). We analyzed 370 feather samples from 58 species spanning seven trophic guilds using XRF spectrometry. Fifteen metals were quantified, with zinc (Zn) showing the highest concentrations overall. Multivariate analyses identified trophic guild as the strongest predictor of metal variation, while spatial differences were present but less pronounced. CUAltos was the only site consistently distinct from the others, mainly due to lower concentrations of several metals. Despite quantitative differences among guilds, their proportional metal profiles were similar—dominated by Zn, Y, Mo, and Hf—suggesting broad regional exposure rather than guild-specific accumulation. Redundancy Analysis indicated that atmospheric pollutants (COV and PM10) were the main environmental drivers of spatial variation, especially in Guadalajara’s urban sites. Agricultural variables, including agave cover, showed minor and non-significant effects. Neither sex nor migratory status influenced metal loads, consistent with feathers reflecting exposure during feather growth at the molt site, while potentially also incorporating locally deposited external contaminants. Overall, this study demonstrates the effectiveness of feathers as a non-invasive biomonitoring tool and highlights air quality as a key determinant of regional heavy metal contamination. Full article
Show Figures

Figure 1

16 pages, 3146 KB  
Article
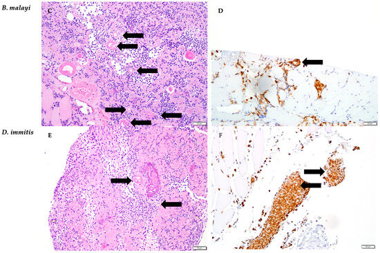
Transient Intraperitoneal Residence of Dirofilaria immitis Larvae in the Mongolian Gerbil (Meriones unguiculatus)
by Elyssa Campbell, Michael Dzimianski, Katelin Greenway, Kaori Sakamoto and Andrew Moorhead
Pathogens 2026, 15(2), 199; https://doi.org/10.3390/pathogens15020199 - 10 Feb 2026
Viewed by 328
Abstract
Understanding the determinants of host specificity in Dirofilaria immitis can be advanced through the use of the nonpermissive Mongolian gerbil (jird) model. We hypothesized that host immunity dictates D. immitis establishment following the third larval molt. Jirds were infected intraperitoneally with 100 Brugia [...] Read more.
Understanding the determinants of host specificity in Dirofilaria immitis can be advanced through the use of the nonpermissive Mongolian gerbil (jird) model. We hypothesized that host immunity dictates D. immitis establishment following the third larval molt. Jirds were infected intraperitoneally with 100 Brugia malayi (permissive control) or D. immitis third-stage larvae (L3). Necropsies occurred at 1, 3, 10, and 36 days post infection (dpi) to quantify larvae via peritoneal lavage. Initial recovery at 1 dpi showed 37.4% for B. malayi but only 0.4% for D. immitis (p < 0.0001). Dirofilaria immitis recovery increased to 23.6% by 3 dpi, suggesting a period of transient tissue residence during the third molt. Recovery for both species decreased by 10 dpi. Brugia malayi reached the immature adult stage (15.2%) by 36 dpi, whereas no viable D. immitis were recovered (p < 0.0001). These findings suggest that D. immitis larvae encounter a robust cellular response, primarily macrophages, shortly after the third molt. Identifying the specific larval stage at which establishment fails provides critical insight into the mechanisms governing filarial host specificity. Full article
(This article belongs to the Section Parasitic Pathogens)
Show Figures

Figure 1

17 pages, 2098 KB  
Article
Functional Characterization of Akt, a Serine/Threonine Kinase, in Tuta absoluta: A Key Regulator of Molting, Hormones, and Reproduction with Potential for RNAi Pest Control
by Chaoshan Liang, Jiahui Song, Kangkang Xu, Fanghao Wan, Guy Smagghe and Wenjia Yang
Insects 2026, 17(2), 183; https://doi.org/10.3390/insects17020183 - 8 Feb 2026
Viewed by 596
Abstract
Insect insulin signaling plays a central role in regulating development, metamorphosis, and reproduction, yet its mechanistic functions in the tomato leafminer, Tuta absoluta, a globally significant pest, remain poorly understood. This study aimed to elucidate the role of the serine/threonine kinase Akt [...] Read more.
Insect insulin signaling plays a central role in regulating development, metamorphosis, and reproduction, yet its mechanistic functions in the tomato leafminer, Tuta absoluta, a globally significant pest, remain poorly understood. This study aimed to elucidate the role of the serine/threonine kinase Akt (TaAkt) in coordinating metamorphosis and female reproductive processes. The TaAkt gene was cloned and characterized, and its spatiotemporal expression was analyzed across various developmental stages and tissues. RNA interference (RNAi) was employed to knock down TaAkt in late pupae and newly emerged females, followed by assessment of pupal-adult eclosion, chitin metabolism, 20-hydroxyecdysone (20E) titer, ovarian development, juvenile hormone (JH) levels, vitellogenin synthesis, and fecundity. Knockdown of TaAkt significantly reduced 20E titers and downregulated the expression of ecdysone biosynthesis and signaling genes, leading to pupal mortality, defective molting, and reduced chitin content. In adult females, TaAkt silencing impaired ovarian growth, decreased JH levels, suppressed vitellogenin production, and reduced egg number and hatching rates. These findings demonstrate that TaAkt exerts pleiotropic control over both metamorphic and reproductive processes in T. absoluta. The study identifies TaAkt as a promising molecular target for RNAi-based pest management strategies, offering a potential approach to simultaneously suppress survival and reproductive capacity in this economically important pest. Full article
(This article belongs to the Special Issue RNAi in Insect Physiology)
Show Figures

Figure 1

16 pages, 4255 KB  
Article
Enduring Gene Flow, Despite an Extremely Low Effective Population Size, Supports Hope for the Recovery of the Globally Endangered Lear’s Macaw
by Erica C. Pacífico, Gregorio Sánchez-Montes, Fernanda R. Paschotto, Thiago Filadelfo, Fernando Hiraldo, José A. Godoy, Cristina Y. Miyaki and José L. Tella
Diversity 2026, 18(2), 87; https://doi.org/10.3390/d18020087 - 31 Jan 2026
Viewed by 600
Abstract
When analyzing the long-term viability of small, declining populations, it is essential to recognize that inbreeding and the erosion of genetic diversity are primarily driven by the effective population size, which is often a fraction of the total census count. The globally endangered [...] Read more.
When analyzing the long-term viability of small, declining populations, it is essential to recognize that inbreeding and the erosion of genetic diversity are primarily driven by the effective population size, which is often a fraction of the total census count. The globally endangered Lear’s macaw (Anodorhynchus leari) is a restricted-range species endemic to the Caatinga ecoregion in NE Brazil. This species was only known in captivity due to wildlife illegal trade, until 1978, when a small population close to extinction was discovered in the wild, estimated at ca. 60 individuals in 1983. Conservation efforts have allowed for population recovery in recent decades, reaching a population of ca. 2273 individuals in 2022. Given these drastic population changes, a genetic assessment is important to empower conservation strategies with knowledge about the level of genetic variability, population genetic structure, inbreeding levels, and demographic history. We used a set of eight species-specific microsatellites to provide the first genetic assessment of the wild population of this species by genotyping non-invasive samples (molted feathers) collected in the known breeding and roosting sites of the species. Our results revealed a low effective population size (Ne = 49–80), which represents the main conservation concern. We also observed evidence of past bottlenecks. However, moderate levels of genetic diversity, no evidence of inbreeding, and a wide connectivity across the study area confirm a single population and set the ground for the potential natural recovery of this species and the recolonization of breeding sites across its former range. Full article
Show Figures

Figure 1

20 pages, 4663 KB  
Article
Synthesis, In Vitro Cytotoxicity Evaluation and GSK-3β Binding Study of Some Indole–Triazole-Linked Pyrazolone Derivatives
by Ashok Madarakhandi, Sujeet Kumar, Nishith Teraiya, Gokulakrishnan Sakthivel, Basavaraj Metikurki, Veda B. Hacholli, Dominique Schols, Febina Ravindran, Bibha Choudhary and Subhas S. Karki
Chemistry 2026, 8(2), 17; https://doi.org/10.3390/chemistry8020017 - 31 Jan 2026
Viewed by 639
Abstract
Glycogen synthase kinase-3 beta (GSK-3β) is a multifunctional serine/threonine kinase mediating multiple cellular functions, such as differentiation, apoptosis, and cell proliferation. Because of their ability to alter carcinogenic pathways, GSK-3β inhibitors are being explored for the development of anticancer molecules. [...] Read more.
Glycogen synthase kinase-3 beta (GSK-3β) is a multifunctional serine/threonine kinase mediating multiple cellular functions, such as differentiation, apoptosis, and cell proliferation. Because of their ability to alter carcinogenic pathways, GSK-3β inhibitors are being explored for the development of anticancer molecules. In the present study, we synthesized and evaluated the cytotoxic properties of a series of twenty indole–triazole-linked pyrazolone derivatives, 10AaEd. All derivatives were characterized by FTIR, 1H/13C NMR, and high-resolution mass spectrometry (HRMS) methods. All compounds and standards, sunitinib and 5-Fluorouracil (5-FU), were screened against four adherent cell lines, including pancreatic adenocarcinoma (Capan-1), colorectal carcinoma (HCT-116), glioblastoma(LN229), and lung carcinoma (NCI-4460), and four non-adherent cell lines, including acute myeloid leukemia (HL-60), chronic myeloid leukemia (K562), T lymphoblast (MOLT4), and non-Hodgkin lymphoma (Z138). Among the screened derivatives, molecule 10Aa showed cytotoxicity against MOLT 4, Z138, and HL60 with CC50 values of 14.45 μM, 15.34 μM, and 17.56 μM, respectively. GSK-3β kinase inhibition was evaluated with the 10Aa, which is capable of inhibiting GSK-3β in a dose-dependent manner. Additionally, molecular docking was performed to estimate the correlation between invitro data and GSK-3β binding affinity. The outcomes of the invitro experiments demonstrated strong concordance with the insilico data. The discovery yielded compounds 10Aa and 10Cd, which can be modified to create effective anticancer agents that target GSK-3β. Full article
(This article belongs to the Section Medicinal Chemistry)
Show Figures

Figure 1

16 pages, 269 KB  
Article
Mineral Element Profile in African Penguin (Spheniscus demersus) Feathers and Its Possible Relationship with Molting
by Laura Favilli, Valentina Isaja, Paolo Inaudi, Agnese Giacomino, Mery Malandrino, Stefano Bertinetti, Egle Trincas, Hatice Cansu Sezer and Ornella Abollino
Analytica 2026, 7(1), 11; https://doi.org/10.3390/analytica7010011 - 27 Jan 2026
Viewed by 806
Abstract
Molting is an important biological and physiological stage in penguins, influenced by environmental and nutritional factors. Feather composition analysis before and after molting can consequently place boundaries on element bioaccumulation and excretion. We quantified and compared elemental concentrations in African penguin (Spheniscus [...] Read more.
Molting is an important biological and physiological stage in penguins, influenced by environmental and nutritional factors. Feather composition analysis before and after molting can consequently place boundaries on element bioaccumulation and excretion. We quantified and compared elemental concentrations in African penguin (Spheniscus demersus) feathers collected pre- and post-molt across three zoos to evaluate how molt stage and zoo-specific conditions influence feather elemental composition. Feathers were retrieved from individual penguins at Zoom Torino (Italy), Overloon ZooParc (Netherlands), and Zoo Magdeburg (Germany). Quantification of elemental concentrations were performed by analytical methods, with both ICP-OES and HR-ICP-MS techniques. A statistical approach involving MANOVA and factorial analysis helped identify important trends. Pre-molt features had more variability than post-molt, with both showing significant differences in elemental concentrations. Factorial analysis showed geogenic trends in Mg, Sr, and Ni trends as well as anthropogenic trends in Pb. While Na and K differed among all treatment groups, this likely points to physiological adaptations in response to increased demand during feather regrowth. Additionally, inter-zoo comparisons highlighted distinct elemental profiles linked to local environmental and dietary conditions, particularly in Zoo Magdeburg, where Na levels were markedly elevated. This study highlights the influence of environmental and dietary conditions on feather composition during molt, offering insights for improving captive penguin welfare and broader ecological implications related to climate change and pollution. Full article
22 pages, 8016 KB  
Article
Genome-Wide Association Analysis and Candidate Gene Identification for Resistance to “Milky Disease” in the Chinese Mitten Crab (Eriocheir sinensis)
by Yilin Yu, Xiaochen Liang, Na Sun, Yan Zheng, Bingyu Li, Qingbiao Hu, Yingying Zhao, Yongan Bai and Xiaodong Li
Biology 2026, 15(3), 235; https://doi.org/10.3390/biology15030235 - 27 Jan 2026
Viewed by 564
Abstract
“Milky disease” of the Chinese mitten crab (Eriocheir sinensis), caused by Metschnikowia bicuspidata, leads to substantial economic losses. Despite extensive research on its pathogenesis, the genetic basis of host resistance and underlying regulatory mechanisms remain unclear, limiting the development of [...] Read more.
“Milky disease” of the Chinese mitten crab (Eriocheir sinensis), caused by Metschnikowia bicuspidata, leads to substantial economic losses. Despite extensive research on its pathogenesis, the genetic basis of host resistance and underlying regulatory mechanisms remain unclear, limiting the development of disease-resistant varieties. This study aimed to (1) evaluate resistance differences among 10 E. sinensis families (five highly resistant and five sensitive) via artificial challenge; (2) identify disease-resistance-associated genetic loci using genome-wide association analysis (GWAS). Our findings revealed that the F05 family exhibited the strongest resistance, with a mortality rate of only 3% and a molting rate of 73%, accompanied by superior growth performance. Whole-genome resequencing identified 10,161,545 high-quality SNPs, and GWAS detected 767 loci significantly associated with disease-resistance traits, among which two pleiotropic SNPs (Chr46:18395778 and Chr1:20680490) were simultaneously associated with both “dead or not” and “qPCR fixed amount of fungi”, reflecting their functional relevance in regulating survival and pathogen load. Notably, we propose for the first time that E. sinensis achieves resistance by inducing M. bicuspidata into a viable but nonculturable (VBNC) state, in which the fungal cells remain metabolically active but cannot form colonies on conventional culture media. This study establishes a multidimensional resistance evaluation system, clarifies the genetic basis and novel mechanism of resistance, and provides valuable molecular markers for marker-assisted breeding. The findings contribute to reducing disease-related losses and promoting sustainable development of the E. sinensis aquaculture industry. Full article
Show Figures

Figure 1

37 pages, 18067 KB  
Article
Characterization of the Crustacean Methyl Farnesoate Transcriptional Signaling Genes
by Vanessa L. Bentley, Jorge L. Pérez-Moreno, David S. Durica and Donald L. Mykles
Int. J. Mol. Sci. 2026, 27(3), 1215; https://doi.org/10.3390/ijms27031215 - 26 Jan 2026
Cited by 1 | Viewed by 810
Abstract
Methyl farnesoate (MF) is a sesquiterpenoid hormone that controls a variety of physiological processes in crustaceans, including morphogenesis, development, reproduction, and molting. MF action is mediated by a transcriptional signaling cascade consisting of Methoprene-tolerant (Met), Steroid receptor coactivator (Src), [...] Read more.
Methyl farnesoate (MF) is a sesquiterpenoid hormone that controls a variety of physiological processes in crustaceans, including morphogenesis, development, reproduction, and molting. MF action is mediated by a transcriptional signaling cascade consisting of Methoprene-tolerant (Met), Steroid receptor coactivator (Src), Krüppel homolog 1 (Kr-h1), and Ecdysone response gene 93 (E93) transcription factors (TFs), and transcriptional co-regulators CREB-binding protein (CBP) and C-terminal-binding protein (CtBP). Phylogenetic and sequence analyses revealed that these genes were highly conserved across pancrustacean species. Met and Src were characterized as basic helix-loop-helix, Period (Per)-Aryl Hydrocarbon Nuclear Translocator (ARNT)-Single-minded (Sim) protein (bHLH-PAS) TFs; Kr-h1 was characterized as a C2H2 zinc finger TF with seven zinc finger motifs; E93 was characterized as a helix-turn-helix, pipsqueak (HTH_Psq) TF. CBP was identified by several zinc finger-binding regions with Transcription Adaptor Zinc Finger 1 and 2, Really Interesting New Gene, Plant homeodomain, and Z-type zinc finger domains; the Kinase-inducible Domain Interacting-transcription factor docking site; the Bromodomain-acetylated lysine recognition and binding site; the histone acetyltransferase domain; and a C-terminal CREB-binding region containing a nuclear receptor co-activator-binding domain. CtBP had a dehydrogenase domain with arginine-glutamate-histidine catalytic triad. 81 Met contigs, 45 Src contigs, 136 Kr-h1 contigs, 66 E93 contigs, 60 CBP contigs, and 172 CtBP contigs were identified across pancrustacean taxa, including decapod crustaceans. Bioinformatic identification and annotation of these TFs and co-regulators in brachyuran Y-organ (YO) transcriptomes suggests that MF signaling influences YO ecdysteroidogenesis; functional tests in the YO are needed to establish causality. Full article
Show Figures

Figure 1

15 pages, 1726 KB  
Article
Distinct Roles of Two UDP-N-Acetylglucosamine Pyrophosphorylase Genes in Chitin Biosynthesis and Molting of Oedaleus asiaticus (Orthoptera: Acrididae)
by Hai-Yan Gao, Feng Yan, Elahe Rostami, Mei Liu, Jie Zhao, Yu Zhang and Shu-Jing Gao
Insects 2026, 17(2), 131; https://doi.org/10.3390/insects17020131 - 23 Jan 2026
Viewed by 461
Abstract
UDP-N-acetylglucosamine pyrophosphorylase (UAP) is an essential enzyme in the insect chitin biosynthesis pathway; however, little is known regarding its molecular functions in Oedaleus asiaticus Bey-Bienko (Orthoptera: Acrididae). Here, two UAP genes, OaUAP1 and OaUAP2, were identified and characterized in O. asiaticus. [...] Read more.
UDP-N-acetylglucosamine pyrophosphorylase (UAP) is an essential enzyme in the insect chitin biosynthesis pathway; however, little is known regarding its molecular functions in Oedaleus asiaticus Bey-Bienko (Orthoptera: Acrididae). Here, two UAP genes, OaUAP1 and OaUAP2, were identified and characterized in O. asiaticus. The effects of exogenous treatments, including the molting hormone 20-hydroxyecdysone (20E) and the chitin biosynthesis inhibitor validamycin (VA), were assessed on chitin synthesis. Sequence analyses have shown that the cDNA and deduced amino acid sequences of O. asiaticus share over 90% identity with UAPs in Locusta migratoria. OaUAP1 and OaUAP2 are widely expressed in many tissues and developmental stages but exhibit different expression patterns: OaUAP1 shows higher expression in the epidermis and fifth-instar nymphs, while OaUAP2 is primarily expressed in the fat body and in the fifth-instar nymphs and adults. The functional analysis of two OaUAPs revealed that OaUAP2 was crucial in molting; moreover, its implication also exists in other biosynthetic processes since nymphs maintained normal growth and development. Both OaUAP expressions were upregulated by 20E and downregulated by VA in the chitin biosynthesis pathway. Our findings provide a vital molecular insight into the chitin biosynthesis pathway of O. asiaticus and lay a solid foundation for developing environmentally safe biological insecticides. Full article
(This article belongs to the Section Insect Molecular Biology and Genomics)
Show Figures

Graphical abstract

17 pages, 2749 KB  
Article
Drosicha corpulenta (Hemiptera: Monophlebidae) in an Arid New City: Phenology, Host Suitability, and Spatial Distribution of Overwintering Eggs
by Abdushalam Axpanmu, Wenhui Li, Changyue Liu, Zihan Yang, Xingyu Pu, Qizhi Liu and Shaoshan Wang
Insects 2026, 17(1), 127; https://doi.org/10.3390/insects17010127 - 22 Jan 2026
Viewed by 375
Abstract
Drosicha corpulenta (Hemiptera: Monophlebidae) is a major polyphagous pest affecting street and garden trees in arid regions of northern China, causing increasing damage in newly developed cities like Cocodala, Xinjiang. This study was conducted from 2024 to 2025 to investigate this pest’s life [...] Read more.
Drosicha corpulenta (Hemiptera: Monophlebidae) is a major polyphagous pest affecting street and garden trees in arid regions of northern China, causing increasing damage in newly developed cities like Cocodala, Xinjiang. This study was conducted from 2024 to 2025 to investigate this pest’s life cycle, key damage periods, and spatial distribution in seven host plants, focusing on nymph emergence, female soil entry, and overwintering egg distribution. The results show that D. corpulenta has one generation per year, which overwinters as eggs. Nymphs emerge in early March, and male pupation occurs from mid-April to early May. Females mate after the third molt in early to mid-May and enter the soil to lay eggs from late May to early June, with consistent timing over two years. The suitability of the host varied significantly: Platanus × hispanica was the most preferred, with the highest daily nymph emergence of 840.8 individuals in 2024 and 1196.0 in 2025, followed by Prunus padus and five other plant species (Populus spp., Fraxinus chinensis, Styphnolobium japonicum, Pinus spp., and Malus spectabilis). Female soil entry reached a maximum on 23 May (979.8 individuals−1 day−1) and gradually decreased with increasing distance from the trunk. Overwintering eggs showed no obvious azimuthal bias, but were mainly concentrated near the trunk (0–30 cm) and in shallow soil (0–10 cm; 179.8 eggs per 100 g composite soil sample per sampling point), decreasing sharply in number with distance and depth. Both Taylor’s power law and Iwao’s regression confirmed the aggregated distribution. This study identifies key phenological stages, highly susceptible hosts, and the near-trunk shallow soil layer as critical for oviposition and overwintering and provides a basis for precise monitoring and targeted control in urban green spaces. Full article
Show Figures

Figure 1

16 pages, 3342 KB  
Article
Identification and Functional Characterization of Chitinase Genes During Larva–Pupa–Adult Transitions in Tuta absoluta
by Kangkang Xu, Yue Wang, Shuyan Yan, Fanghao Wan, Guy Smagghe and Wenjia Yang
Insects 2026, 17(1), 114; https://doi.org/10.3390/insects17010114 - 20 Jan 2026
Viewed by 751
Abstract
Chitinases are crucial in the molting process of insects and represent potential targets for the development of RNA interference (RNAi)-based insecticidal strategies. In this study, we identified and characterized 11 chitinase genes (TaChts) in T. absoluta, each harboring at least [...] Read more.
Chitinases are crucial in the molting process of insects and represent potential targets for the development of RNA interference (RNAi)-based insecticidal strategies. In this study, we identified and characterized 11 chitinase genes (TaChts) in T. absoluta, each harboring at least one GH18 catalytic domain. Phylogenetic analysis placed these proteins into 11 established groups (I-X and h), revealing conserved lineage-specific patterns. Spatiotemporal expression profiling showed that most TaChts peak during key developmental transitions. TaCht1, TaCht2, TaCht3, TaCht5, TaCht6, TaCht7, TaCht10, TaCht-h, and TaIDGF were predominantly expressed in the integument, whereas TaCht8 and TaCht11 showed gut-enriched expression, indicating functional specialization. Stage-tailored RNAi assays demonstrated that silencing TaCht5, TaCht7, TaCht10, and TaIDGF caused pronounced mortality in both larvae and pupae. In larvae, delivery of dsRNA using carbon quantum dots (CQDs) disrupted molting: knockdown of TaCht7, TaCht10, and TaIDGF prevented shedding of the old cuticle, whereas TaCht5 silencing produced severe cuticular shrinkage and blackening. Hematoxylin and eosin staining revealed detachment of epidermal cells from the cuticle, providing cytological evidence of disrupted cuticle–epidermis remodeling. In pupae, microinjection of dsRNA induced cuticular collapse, melanization, and eclosion failure due to persistent adhesion of the pupal case, accompanied by marked reductions in chitinase activity. Together, our findings highlight the critical roles of four key chitinases in endocuticular turnover and metamorphic progression in T. absoluta, offering mechanistic insight into chitin-mediated developmental processes. The identified genes represent strong candidates for RNAi-based, species-specific pest management strategies against this globally significant insect. Full article
(This article belongs to the Special Issue RNAi in Insect Physiology)
Show Figures

Figure 1

15 pages, 3592 KB  
Article
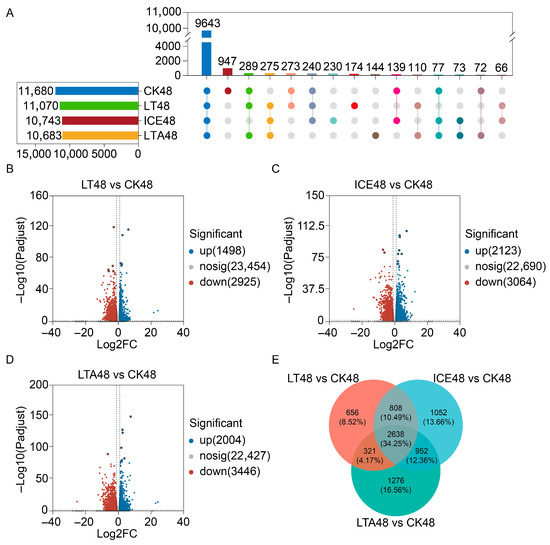
Effects of Different Live-Preservation Methods on Soft-Shell Hardening and Flavor Characteristics of the Mud Crab (Scylla paramamosain)
by Ye Sun, Shengming Han and Yangfang Ye
Foods 2026, 15(2), 344; https://doi.org/10.3390/foods15020344 - 17 Jan 2026
Viewed by 381
Abstract
The soft-shell mud crab (Scylla paramamosain) holds high market value, but rapid post-molting shell hardening limits its commercial viability. This study evaluated the effects of four live-preservation methods—ambient seawater (CK, 25 °C, pH 8.10), low-temperature seawater (LT, 14 °C, pH 8.10), [...] Read more.
The soft-shell mud crab (Scylla paramamosain) holds high market value, but rapid post-molting shell hardening limits its commercial viability. This study evaluated the effects of four live-preservation methods—ambient seawater (CK, 25 °C, pH 8.10), low-temperature seawater (LT, 14 °C, pH 8.10), ice-chilled storage (ICE, 2–6 °C), and low-temperature acidified seawater (LTA, 14 °C, pH 7.6)—on shell hardening and hepatopancreatic flavor in mud crabs. ICE and LTA significantly delayed hardening (p < 0.05), maintaining the hard-paper stage at 48 h post-molting, while CK and LT samples hardened considerably. Transcriptomic analysis revealed that both ICE and LTA down-regulated key genes involved in calcium signaling, autophagy, and lysosomal pathways, which may be associated with delayed shell hardening. Flavor profiling showed that ICE enhanced umami by increasing aspartate, inosine monophosphate, and adenosine monophosphate levels, and increased sweetness via elevated alanine and glycine, while reducing bitterness by lowering bitter amino acids. In contrast, LTA reduced umami and bitterness but did not improve sweetness. These findings demonstrate that ice-chilled storage effectively extends the soft-shell phase and better preserves flavor quality, offering a viable strategy for enhancing the preservation and marketability of live soft-shell crabs. Full article
(This article belongs to the Section Food Packaging and Preservation)
Show Figures

Figure 1

Back to TopTop