Pharmacological Investigation of Tongqiao Jiuxin Oil Against High-Altitude Hypoxia: Integrating Chemical Profiling, Network Pharmacology, and Experimental Validation
Abstract
1. Introduction
2. Results
2.1. Identification of Chemical Constituents in TQ
2.2. Network-Based Identification of AMS-Related Targets and Pathways
2.3. TQ Improves Blood Gas Parameters, Hematological Profiles, and Oxidative Stress Markers in AMS Rats
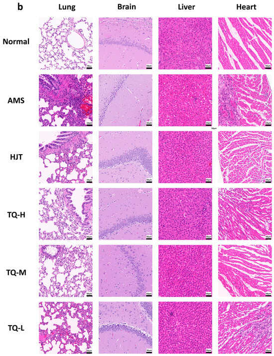
2.4. Organ Protective Effects of TQ in AMS Rats
2.5. Effects of TQ on Hypoxia and Apoptosis-Related Proteins in the Lung and Brain of AMS Rats
3. Discussion
4. Materials and Methods
4.1. Preparation of TQ
4.2. Chemical Profiling of TQ
4.3. Network Pharmacology Analysis
4.4. Animals
4.5. Establishment of AMS Rat Model and Drug Administration
4.6. Tissue Sample Collection and Organ Coefficient Calculation
4.7. Blood Gas Analysis
4.8. Peripheral Blood Cell Analysis
4.9. Biochemical Analysis
4.10. Histological Analysis of Heart, Liver, Lung and Brain Tissues
4.11. Western Blot Analysis
4.12. Statistical Analysis
5. Conclusions
Supplementary Materials
Author Contributions
Funding
Institutional Review Board Statement
Informed Consent Statement
Data Availability Statement
Acknowledgments
Conflicts of Interest
Abbreviations
| Akt | Protein kinase B |
| AMS | Acute mountain sickness |
| Bax | Bcl-2-Associated X |
| Bcl-2 | B-cell lymphoma-2 |
| BEecf | Base excess in the extracellular fluid compartment |
| ELISA | Enzyme-linked immunosorbent assay |
| EPO | Erythropoietin |
| GAPDH | Glyceraldehyde-3-phosphate dehydrogenase |
| GSH | Glutathione |
| HACE | High-altitude cerebral edema |
| HAPE | High-altitude pulmonary edema |
| H&E | Hematoxylin and eosin |
| HCO3− | Bicarbonate ion concentration |
| HCT | Hematocrit |
| HGB | Hemoglobin |
| HIF-1α | Hypoxia-inducible factor-1α |
| HJT | Hongjingtian |
| KEGG | Kyoto Encyclopedia of Genes and Genomes |
| MAPK | Mitogen-activated protein kinase |
| MCC | Maximal Clique Centrality |
| MDA | Malondialdehyde |
| NF-κB | Nuclear factor kappa-B |
| PCO2 | Partial pressure of carbon dioxide |
| PI3K | Phosphatidylinositide 3-kinases |
| PO2 | Partial pressure of oxygen |
| RBC | Red blood cell count |
| ROS | Reactive oxygen species |
| SOD | Superoxide dismutase |
| TCM | Traditional Chinese medicine |
| TCO2 | Total carbon dioxide |
| TIC | Total ion chromatogram |
| TQ | Tongqiao Jiuxin Oil |
| VEGFA | Vascular endothelial growth factor A |
References
- Imray, C.; Wright, A.; Subudhi, A.; Roach, R. Acute Mountain Sickness: Pathophysiology, Prevention, and Treatment. Prog. Cardiovasc. Dis. 2010, 52, 467–484. [Google Scholar] [CrossRef]
- Basnyat, B.; Murdoch, D.R. High-Altitude Illness. Lancet 2003, 361, 1967–1974. [Google Scholar] [CrossRef]
- Hackett, P.H.; Roach, R.C. High-Altitude Illness. N. Engl. J. Med. 2001, 345, 107–114. [Google Scholar] [CrossRef]
- West, J.B. High-Altitude Medicine. Lancet Respir. Med. 2015, 3, 12–13. [Google Scholar] [CrossRef]
- Bärtsch, P.; Swenson, E.R. Clinical Practice: Acute High-Altitude Illnesses. N. Engl. J. Med. 2013, 368, 2294–2302. [Google Scholar] [CrossRef]
- Semenza, G.L. Hypoxia-Inducible Factors in Physiology and Medicine. Cell 2012, 148, 399–408. [Google Scholar] [CrossRef]
- Haase, V.H. Regulation of Erythropoiesis by Hypoxia-Inducible Factors. Blood Rev. 2013, 27, 41–53. [Google Scholar] [CrossRef]
- Yu, A.Y.; Shimoda, L.A.; Iyer, N.V.; Huso, D.L.; Sun, X.; McWilliams, R.; Beaty, T.; Sham, J.S.K.; Wiener, C.M.; Sylvester, J.T.; et al. Impaired Physiological Responses to Chronic Hypoxia in Mice Partially Deficient for Hypoxia-Inducible Factor 1α. J. Clin. Investig. 1999, 103, 691–696. [Google Scholar] [CrossRef]
- Chan, D.A.; Giaccia, A.J. Hypoxia, Gene Expression, and Metastasis. Cancer Metastasis Rev. 2007, 26, 333–339. [Google Scholar] [CrossRef]
- Zhuang, Y.Y.; Lu, Y.Y.; Li, R.; Jin, Z.; Chu, Q.M.; Liang, J.H. Effects of sublingual administration of Tongqiao Jiuxin Oil on the quality of life in unstable angina pectoris patients with qi stagnation and blood stasis syndrome. Chin. Gen. Pract. 2019, 22, 1983. [Google Scholar] [CrossRef]
- Liu, R.; Zhang, L.; Lan, X.; Li, L.; Zhang, T.-T.; Sun, J.-H.; Du, G.-H. Protection by Borneol on Cortical Neurons against Oxygen-Glucose Deprivation/Reperfusion: Involvement of Anti-Oxidation and Anti-Inflammation through Nuclear Transcription Factor κappaB Signaling Pathway. Neuroscience 2011, 176, 408–419. [Google Scholar] [CrossRef]
- Pu, X.; Li, F.; Lin, X.; Wang, R.; Chen, Z. Oxidative Stress and Expression of Inflammatory Factors in Lung Tissue of Acute Mountain Sickness Rats. Mol. Med. Rep. 2022, 25, 49. [Google Scholar] [CrossRef]
- Coimbra-Costa, D.; Alva, N.; Duran, M.; Carbonell, T.; Rama, R. Oxidative Stress and Apoptosis after Acute Respiratory Hypoxia and Reoxygenation in Rat Brain. Redox Biol. 2017, 12, 216–225. [Google Scholar] [CrossRef]
- Yan, X.; Liu, J.; Zhu, M.; Liu, L.; Chen, Y.; Zhang, Y.; Feng, M.; Jia, Z.; Xiao, H. Salidroside Orchestrates Metabolic Reprogramming by Regulating the HIF-1α Signalling Pathway in Acute Mountain Sickness. Pharm. Biol. 2021, 59, 1540–1550. [Google Scholar] [CrossRef]
- Pena, E.; El Alam, S.; Siques, P.; Brito, J. Oxidative Stress and Diseases Associated with High-Altitude Exposure. Antioxidants 2022, 11, 267. [Google Scholar] [CrossRef]
- Sarada, S.; Himadri, P.; Mishra, C.; Geetali, P.; Ram, M.S.; Ilavazhagan, G. Role of Oxidative Stress and NFkB in Hypoxia-Induced Pulmonary Edema. Exp. Biol. Med. 2008, 233, 1088–1098. [Google Scholar] [CrossRef]
- Tang, X.-G.; Wen, J.; Zhang, X.-S.; Jiang, D.-C. Association between Decreased Osteopontin and Acute Mountain Sickness upon Rapid Ascent to 3500 m among Young Chinese Men. J. Travel. Med. 2018, 25, tay075. [Google Scholar] [CrossRef]
- Irarrázaval, S.; Allard, C.; Campodónico, J.; Pérez, D.; Strobel, P.; Vásquez, L.; Urquiaga, I.; Echeverría, G.; Leighton, F. Oxidative Stress in Acute Hypobaric Hypoxia. High. Alt. Med. Biol. 2017, 18, 128–134. [Google Scholar] [CrossRef]
- Calvani, M.; Comito, G.; Giannoni, E.; Chiarugi, P. Time-Dependent Stabilization of Hypoxia Inducible Factor-1α by Different Intracellular Sources of Reactive Oxygen Species. PLoS ONE 2012, 7, e38388. [Google Scholar] [CrossRef]
- Li, Y.; Ren, M.; Wang, J.; Ma, R.; Chen, H.; Xie, Q.; Li, H.; Li, J.; Wang, J. Progress in Borneol Intervention for Ischemic Stroke: A Systematic Review. Front. Pharmacol. 2021, 12, 606682. [Google Scholar] [CrossRef]
- Liu, F.; Cao, L.; Hu, S.; Ye, H.; Wu, Q.; Wu, L. Muscone Promotes Functional Recovery by Facilitating Microglia Polarization into M2 Phenotype through PPAR-γ Pathway after Ischemic Stroke. Cell. Immunol. 2023, 386, 104704. [Google Scholar] [CrossRef]
- Elmore, S. Apoptosis: A Review of Programmed Cell Death. Toxicol. Pathol. 2007, 35, 495–516. [Google Scholar] [CrossRef]
- Zhang, H.; Dong, J.; Zhang, J.; Chen, H.; Liu, T.; Gan, R.; Wen, J.; Li, Y. Effects of Borneol on Apoptosis of Hypoxia/Reoxygenation H9c2 Cells and Myocardial Ischemia-Reperfusion Injury Rats. Acta Cir. Bras. 2025, 40, e402225. [Google Scholar] [CrossRef]
- Xie, Q.; Lu, D.; Yuan, J.; Ren, M.; Li, Y.; Wang, J.; Ma, R.; Wang, J. L-Borneol Promotes Neurovascular Unit Protection in the Subacute Phase of Transient Middle Cerebral Artery Occlusion Rats: P38-MAPK Pathway Activation, Anti-Inflammatory, and Anti-Apoptotic Effect. Phytother. Res. 2023, 37, 4166–4184. [Google Scholar] [CrossRef]
- Manning, B.D.; Cantley, L.C. AKT/PKB Signaling: Navigating Downstream. Cell 2007, 129, 1261–1274. [Google Scholar] [CrossRef]
- Zhou, Z.; Dun, L.; Wei, B.; Gan, Y.; Liao, Z.; Lin, X.; Lu, J.; Liu, G.; Xu, H.; Lu, C.; et al. Musk Ketone Induces Neural Stem Cell Proliferation and Differentiation in Cerebral Ischemia via Activation of the PI3K/Akt Signaling Pathway. Neuroscience 2020, 435, 1–9. [Google Scholar] [CrossRef]
- Wang, Z.; Zhao, G.; Zibrila, A.I.; Li, Y.; Liu, J.; Feng, W. Acetylcholine Ameliorated Hypoxia-Induced Oxidative Stress and Apoptosis in Trophoblast Cells via P38 MAPK/NF-κB Pathway. Mol. Hum. Reprod. 2021, 27, gaab045. [Google Scholar] [CrossRef]
- Zheng, Q.; Chen, Z.X.; Xu, M.B.; Zhou, X.L.; Huang, Y.Y.; Zheng, G.Q.; Wang, Y. Borneol, a Messenger Agent, Improves Central Nervous System Drug Delivery through Enhancing Blood-Brain Barrier Permeability: A Preclinical Systematic Review and Meta-Analysis. Drug Deliv. 2018, 25, 1617–1633. [Google Scholar] [CrossRef]
- Nischang, V.; Witt, F.M.; Börner, F.; Gomez, M.; Jordan, P.M.; Werz, O. Frankincense Preparation Promotes Formation of Inflammation-Resolving Lipid Mediators by Manipulating Lipoxygenases in Human Innate Immune Cells. Front. Pharmacol. 2024, 14, 1332628. [Google Scholar] [CrossRef]
- Loeser, K.; Seemann, S.; König, S.; Lenhardt, I.; Abdel-Tawab, M.; Koeberle, A.; Werz, O.; Lupp, A. Protective Effect of Casperome®, an Orally Bioavailable Frankincense Extract, on Lipopolysaccharide- Induced Systemic Inflammation in Mice. Front. Pharmacol. 2018, 9, 387. [Google Scholar] [CrossRef]
- Xu, Z.; Lu, D.; Yuan, J.; Ren, M.; Ma, R.; Xie, Q.; Li, Y.; Li, J.; Wang, J. Storax, A Promising Botanical Medicine for Treating Cardio-Cerebrovascular Diseases: A Review. Front. Pharmacol. 2021, 12, 785598. [Google Scholar] [CrossRef] [PubMed]
- Shi, L.; An, Y.; Cheng, L.; Li, Y.; Li, H.; Wang, C.; Lv, Y.; Duan, Y.; Dai, H.; He, C.; et al. Qingwei San Treats Oral Ulcer Subjected to Stomach Heat Syndrome in Db/Db Mice by Targeting TLR4/MyD88/NF-κB Pathway. Chin. Med. 2022, 17, 1. [Google Scholar] [CrossRef] [PubMed]
- Shan, Z.; Zhang, H.; He, C.; An, Y.; Huang, Y.; Fu, W.; Wang, M.; Du, Y.; Xie, J.; Yang, Y.; et al. High-Protein Mulberry Leaves Improve Glucose and Lipid Metabolism via Activation of the PI3K/Akt/PPARα/CPT-1 Pathway. Int. J. Mol. Sci. 2024, 25, 8726. [Google Scholar] [CrossRef] [PubMed]








Disclaimer/Publisher’s Note: The statements, opinions and data contained in all publications are solely those of the individual author(s) and contributor(s) and not of MDPI and/or the editor(s). MDPI and/or the editor(s) disclaim responsibility for any injury to people or property resulting from any ideas, methods, instructions or products referred to in the content. |
© 2025 by the authors. Licensee MDPI, Basel, Switzerland. This article is an open access article distributed under the terms and conditions of the Creative Commons Attribution (CC BY) license (https://creativecommons.org/licenses/by/4.0/).
Share and Cite
Xie, J.; Yang, Y.; Du, Y.; Su, X.; Zhao, Y.; An, Y.; Mao, X.; Wang, M.; Shan, Z.; Huang, Z.; et al. Pharmacological Investigation of Tongqiao Jiuxin Oil Against High-Altitude Hypoxia: Integrating Chemical Profiling, Network Pharmacology, and Experimental Validation. Pharmaceuticals 2025, 18, 1153. https://doi.org/10.3390/ph18081153
Xie J, Yang Y, Du Y, Su X, Zhao Y, An Y, Mao X, Wang M, Shan Z, Huang Z, et al. Pharmacological Investigation of Tongqiao Jiuxin Oil Against High-Altitude Hypoxia: Integrating Chemical Profiling, Network Pharmacology, and Experimental Validation. Pharmaceuticals. 2025; 18(8):1153. https://doi.org/10.3390/ph18081153
Chicago/Turabian StyleXie, Jiamei, Yang Yang, Yuhang Du, Xiaohua Su, Yige Zhao, Yongcheng An, Xin Mao, Menglu Wang, Ziyi Shan, Zhiyun Huang, and et al. 2025. "Pharmacological Investigation of Tongqiao Jiuxin Oil Against High-Altitude Hypoxia: Integrating Chemical Profiling, Network Pharmacology, and Experimental Validation" Pharmaceuticals 18, no. 8: 1153. https://doi.org/10.3390/ph18081153
APA StyleXie, J., Yang, Y., Du, Y., Su, X., Zhao, Y., An, Y., Mao, X., Wang, M., Shan, Z., Huang, Z., Liu, S., & Zhao, B. (2025). Pharmacological Investigation of Tongqiao Jiuxin Oil Against High-Altitude Hypoxia: Integrating Chemical Profiling, Network Pharmacology, and Experimental Validation. Pharmaceuticals, 18(8), 1153. https://doi.org/10.3390/ph18081153

