Indomethacin-Induced Gastric Ulcer in Rats: Gastroprotectivity of Muscari neglectum in Water
Abstract
1. Introduction
2. Results
2.1. Result of Acute Toxicity Study of the Water Extract of M. neglectum in Rats
2.2. Macroscopic Findings of Gastric Tissues
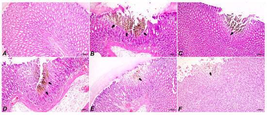
2.3. Histopathologic Findings of Gastric Tissues
2.4. Biochemical Parameters
2.5. LC-MS/MS Analysis
3. Discussion
4. Materials and Methods
4.1. Plant and Animal Material
4.2. Phytochemical Screening and Antioxidant Activity Measurement
Plant Extraction and LC-MS/MS Analysis
4.3. Acute Toxicity Test of Crude Plant Extract
4.4. Experimental Protocol and Indomethacin-Induced Ulcer Model
4.5. Biochemical Analysis of Gastric Tissues
4.5.1. Macroscopic Examination of Gastric Tissues
4.5.2. Histopathologic Examination of Gastric Tissues
4.6. Statistical Analysis
5. Conclusions
Author Contributions
Funding
Institutional Review Board Statement
Informed Consent Statement
Data Availability Statement
Acknowledgments
Conflicts of Interest
Abbreviations
References
- Isik, M.; Ozbayer, C.; Donmez, D.B.; Colak, E.; Ustuner, M.C.; Erol, K.; Degirmenci, I. Effects of the probiotic, Lactobacillus rhamnosus GG, on ulcer pathogenesis, HSP70 stress protein and nitric oxide levels in stress induced ulcer. Biotech. Histochem. 2022, 97, 449. [Google Scholar] [CrossRef]
- Tamer, S.A.; Eskiler, G.G.; Ercan, F. Gastroprotective effect of vanillic acid against ethanol-induced gastric injury in rats: Involvement of the NF-κB signalling and anti-apoptosis role. Mol. Biol. Rep. 2024, 51, 744. [Google Scholar] [CrossRef]
- Ebbo, A.A.; Sani, D.; Suleiman, M.M.; Ahmad, A.; Hassan, A.Z. Acute and sub-chronic toxicity evaluation of the crude methanolic extract of Diospyros mespiliformis hochst ex a. Dc (ebenaceae) and its fractions. Toxicol. Rep. 2020, 7, 1138–1144. [Google Scholar] [CrossRef] [PubMed]
- Zhang, S.; Gai, Z.; Gui, T.; Chen, J.; Chen, Q.; Li, Y. Antioxidant effects of protocatechuic acid and protocatechuic aldehyde: Old wine in a new bottle. Evid.-Based Complement. Altern. Med. 2021, 2021, 6139308. [Google Scholar] [CrossRef] [PubMed]
- Ma, N.; Sun, Y.; Yi, J.; Zhou, L.; Cai, S. Chinese sumac (Rhus chinensis Mill.) fruits alleviate indomethacin-induced gastric ulcer in mice by improving oxidative stress, inflammation and apoptosis. J. Ethnopharmacol. 2022, 284, 114752. [Google Scholar] [CrossRef]
- Mahmoud, M.F.; Abdo, W.; Nabil, M.; Drissi, B.; El-Shazly, A.M.; Abdelfattah, M.A.; Sobeh, M. Apple (Malus domestica Borkh) leaves attenuate indomethacin-induced gastric ulcer in rats. Biomed. Pharmacother. 2023, 160, 114331. [Google Scholar] [CrossRef] [PubMed]
- Eroglu-Ozkan, E.; Demirci-Kayiran, S.; Gulsoy-Toplan, G.; Mataraci-Kara, E.; Kurkcuoglu, M. Identification of volatile compounds and antimicrobial activities of Muscari neglectum growing in Turkey. Fresenius Environ. Bull. 2018, 27, 4674–4678. [Google Scholar]
- Nasrabadi, M.; Halimi, M.; Nadaf, M. Phytochemical screeningand chemical composition of extract of Muscari neglectum. Middle-East J. Sci. Res. 2013, 14, 566–569. [Google Scholar] [CrossRef]
- Demirci Kayiran, S.; Eroglu Ozkan, E.; Ozhatay, N. The screening phytochemical components of Muscari and Bellevalia species growing in Kahramanmaras and review of phytochemical studies. In Proceedings of the 11th International Symposium on Pharmaceutical Sciences, Ankara, Turkey, 9–12 June 2015. [Google Scholar]
- Mahboubi, M.; Taghizadeh, M. The antimicrobial and antioxidant activity of flower ethanol extract. Herba. Pol. 2016, 62, 39–48. [Google Scholar] [CrossRef]
- Lim, T.K. Edible Medicinal and Non-Medicinal Plants; Springer: Dordrecht, The Netherlands, 2012; Volume 1, pp. 656–687. [Google Scholar]
- Eroglu, A.; Dogan, A. Investigation of the phytochemical composition and remedial effects of southern grape hyacinth (Muscari neglectum Guss. ex Ten.) plant extract against carbon tetrachloride-induced oxidative stress in rats. Drug Chem. Toxicol. 2023, 46, 491–502. [Google Scholar] [CrossRef]
- Mahomoodally, M.F.; Zengin, G.; Sinan, K.I.; Yıldıztugay, E.; Lobine, D.; Ouelbani, R.; Bensari, S.; Ak, G.; Yılmaz, M.A.; Gallo, M.; et al. A comprehensive evaluation of the chemical profiles and biological properties of six geophytes from Turkey: Sources of bioactive compounds for novel nutraceuticals. Food Res. Int. 2021, 140, 110068. [Google Scholar] [CrossRef]
- Cheng, Y.T.; Cheng, C.T.; Wang, S.Y.; Wu, V.C.C.; Chu, P.H.; Chou, A.H.; Chen, C.-C.; Ko, P.-J.; Liu, K.-S.; Chen, S.W. Long-term outcomes of endovascular and open repair for traumatic thoracic aortic injury. JAMA Netw. Open 2019, 2, e187861. [Google Scholar] [CrossRef] [PubMed]
- Jiang, S.Q.; Chen, Z.L.; Zhang, S.; Ye, J.L.; Wang, Y.B. Protective effects of protocatechuic acid on growth performance, intestinal barrier and antioxidant capacity in broilers challenged with lipopolysaccharide. Animal 2023, 17, 100693. [Google Scholar] [CrossRef]
- Park, H.S.; Seo, C.S.; Baek, E.B.; Rho, J.H.; Won, Y.S.; Kwun, H.J. Gastroprotective effect of myricetin on ethanol-induced acute gastric injury in rats. Evid.-Based Complement. Altern. Med. 2021, 2021, 9968112. [Google Scholar] [CrossRef] [PubMed]
- Kaur, G.; Shivanandappa, T.B.; Kumar, M.; Kushwah, A.S. Fumaric acid protect the cadmium-induced hepatotoxicity in rats: Owing to its antioxidant, anti-inflammatory action and aid in recast the liver function. Naunyn Schmiedeberg’s Arch. Pharmacol. 2020, 393, 1911–1920. [Google Scholar] [CrossRef]
- Patel, V.; Joharapurkar, A.; Kshirsagar, S.; Patel, M.; Savsani, H.; Patel, A.; Ranvir, R.; Jain, M. Repurposing dimethyl fumarate for gastric ulcer and ulcerative colitis: Evidence of local efficacy without systemic side effect. Med. Drug Discov. 2022, 16, 100142. [Google Scholar] [CrossRef]
- Shakya, A.; Chatterjee, S.S.; Kumar, V. Role of fumarates in adaptogenics like efficacies of traditionally used Fumaria indica extracts. Cell Med. 2015, 5, 6. [Google Scholar] [CrossRef]
- Kolgazi, M.; Cilingir, S.; Yilmaz, O.; Gemici, M.; Yazar, H.; Ozer, S.; Acikel-Elmas, M.; Arbak, S.; Suyen, G.G. Caffeic acid attenuates gastric mucosal damage induced by ethanol in rats via nitric oxide modulation. Chem. Biol. Interact. 2021, 334, 109351. [Google Scholar] [CrossRef]
- Jahedsani, A.; Khezri, S.; Ahangari, M.; Bakhshii, S.; Salimi, A. Apigenin attenuates Aluminum phosphide-induced cytotoxicity via reducing mitochondrial/Lysosomal damages and oxidative stress in rat Cardiomyocytes. Pestic. Biochem. Phys. 2020, 167, 104585. [Google Scholar] [CrossRef]
- Campos-Vidal, Y.; Herrera-Ruiz, M.; Trejo-Tapia, G.; Gonzalez-Cortazar, M.; Aparicio, A.J.; Zamilpa, A. Gastroprotective activity of kaempferol glycosides from Malvaviscus arboreus Cav. J. Ethnopharmacol. 2021, 268, 113633. [Google Scholar] [CrossRef] [PubMed]
- Mahady, G.B.; Pendland, S.L. Resveratrol ınhibits the growth of Helicobacter pylori in vitro. Am. J. Gastroenterol. AJG 2000, 95, 1849. [Google Scholar] [CrossRef]
- Keskin, S.Y.; Avci, A.; Kurnia, H.F.F. Analyses of phytochemical compounds in the flowers and leaves of Spiraea japonica var. fortunei using UV-VIS, FTIR, and LC-MS techniques. Heliyon 2024, 10, e25496. [Google Scholar] [CrossRef]
- Pranil, T.; Moongngarm, A.; Manwiwattanakul, G.; Loypimai, P.; Kerr, W.L. Melatonin and its derivative contents in tropical fruits and fruit tablets. J. Food Compos. Anal. 2021, 103, 104109. [Google Scholar] [CrossRef]
- Nakakaawa, L.; Gbala, I.D.; Cheseto, X.; Bargul, J.L.; Wesonga, J.M. Oral acute, sub-acute toxicity and phytochemical profile of Brassica carinata A. Braun microgreens ethanolic extract in Wistar rats. J. Ethnopharmacol. 2023, 305, 116121. [Google Scholar] [CrossRef] [PubMed]
- Polat, B.; Albayrak, Y.; Suleyman, B.; Dursun, H.; Odabasoglu, F.; Yigiter, M.; Halici, Z.; Suleyman, H. Antiulcerative effect of dexmedetomidine on indomethacin-induced gastric ulcer in rats. Pharmacol. Rep. 2011, 63, 518–526. [Google Scholar] [CrossRef]
- Küçükler, S.; Kandemir, F.M.; Yıldırım, S. Protective effect of chrysin on indomethacin induced gastric ulcer in rats: Role of multi-pathway regulation. Biotech. Histochem. 2022, 97, 490–503. [Google Scholar] [CrossRef] [PubMed]


| Groups | Dose (mg/kg) | n | Ulcer Area (mm2) | Anti-Ulcer Effect (%) |
|---|---|---|---|---|
| INTACT | 6 | 0.0 ± 0.0 d | - | |
| IND | 25 | 6 | 23.16 ± 3.76 a | - |
| IND+FAM | 40 | 6 | 7.0 ± 0.07 c | 67% |
| IND+100MN | 100 | 6 | 14.84 ± 6.5 b,c | 36% |
| IND+200MN | 200 | 6 | 10.52 ± 3.83 b,c | 54% |
| IND+400MN | 400 | 6 | 7.08 ± 1.97 c | 69% |
| Erosion Ulceration of the Lamina Epithelium | Epithelium Degeneration and Necrosis | Hyperemia of the Veins | Edema in Submucosal | |
|---|---|---|---|---|
| INTACT | − | − | − | − |
| IND | ++++ | ++++ | ++++ | ++++ |
| IND+FAM | + | ++ | ++ | − |
| IND+100MN | +++ | +++ | ++++ | ++++ |
| IND+200MN | ++ | ++ | +++ | + |
| IND+400MN | + | + | ++ | − |
| Groups | Dose (mg/g) | n | SOD (ng/mg Wet Tissue) | CAT (ng/mg Wet Tissue) | GSH (mg/g Wet Tissue) | MDA (nmol/mg Wet Tissue) |
|---|---|---|---|---|---|---|
| INTACT | 6 | 1.26 ± 0.09 b | 16.83 ± 0.14 c | 113.16 ± 0.01 b | 0.59 ± 0.11 b | |
| IND | 25 | 6 | 0.58 ± 0.2 a | 6.61 ± 0.01 a | 49.81 ± 0.01 a | 1.13 ± 0.11 a |
| IND+FAM | 40 | 6 | 2.15 ± 0.1 c | 33.99 ± 0.1 e | 137.5 ± 0.1 b | 0.55 ± 0.08 b,c |
| IND+100MN | 100 | 6 | 1.05 ± 0.15 a,b | 14.71 ± 0.4 b,c | 71.46 ± 0.14 a | 1.05 ± 0.17 a |
| IND+200MN | 200 | 6 | 1.13 ± 0.05 a,b | 18.21 ± 0.14 c | 124.52 ± 0.11 b | 0.56 ± 0.07 b,c |
| IND+400MN | 400 | 6 | 3.22 ± 0.20 d | 26.49 ± 0.08 d | 134.51 ± 0.13 b | 0.31 ± 0.09 c |
| Analytes | R.Time | m/z | Compound Content (mg/g of Dry Extract) | |
|---|---|---|---|---|
| 1 | Acetohydroxamic Acid (+) | 0.460 | 76.15 > 58.00 | 0.0066244 |
| 2 | Catechinhyrate (+) | 2.482 | 291.00 > 139.00 | ND |
| 3 | Vanilic Acid (+) | 2.853 | 168.95 > 65.00 | ND |
| 4 | Syringic Acid (+) | 2.973 | 199.00 > 140.00 | 0.00575919 |
| 5 | Thymoquinone (+) | 3.338 | 165.00 > 137.10 | ND |
| 6 | Resveratrol (+) | 3.632 | 229.00 > 135.00 | 0.00322667 |
| 7 | Myricetin (+) | 3.725 | 319.00 > 153.00 | 0.01061646 |
| 8 | Kaempferol (+) | 4.222 | 287.00 > 153.00 | 0.00270288 |
| 9 | Fumaric Acid (−) | 0.859 | 115.30 > 71.20 | 0.30281874 |
| 10 | Gallic Acid (−) | 1.483 | 169.10 > 124.90 | 0.00455979 |
| 11 | Protocatechuik Acid (−) | 2.060 | 152.80 > 108.00 | 0.16369329 |
| 12 | 4-Hydroxybenzoic Acid (−) | 2.550 | 137.20 > 93.00 | 0.00475702 |
| 13 | Caffeic Acid (−) | 2.850 | 178.80 > 134.90 | 0.00280178 |
| 14 | Salisilik Acid (−) | 3.480 | 137.20 > 93.10 | 0.0015531 |
| 15 | Phloridzindyhrate (−) | 3.523 | 435.30 > 272.90 | 0.02561198 |
| 16 | 2-Hydoxycinamic Acid (−) | 3.553 | 162.80 > 118.90 | ND |
| 17 | Oleuropein (−) | 3.587 | 539.20 > 275.10 | ND |
| 18 | 2-hyroxy1,4 naphthaquinone (−) | 3.654 | 172.80 > 144.90 | ND |
| 19 | Naringenin (−) | 3.960 | 271.20 > 150.90 | ND |
| 20 | Silymarin (−) | 4.000 | 481.10 > 124.90 | ND |
| 21 | Quercetin (−) | 4.000 | 300.80 > 150.80 | 0.00627964 |
| 22 | Luteolin (−) | 4.122 | 285.20 > 133.00 | 0.00278937 |
| 23 | Alizarin (−) | 4.552 | 238.80 > 211.00 | ND |
| 24 | Curmin (−) | 4.605 | 367.00 > 216.90 | ND |
Disclaimer/Publisher’s Note: The statements, opinions and data contained in all publications are solely those of the individual author(s) and contributor(s) and not of MDPI and/or the editor(s). MDPI and/or the editor(s) disclaim responsibility for any injury to people or property resulting from any ideas, methods, instructions or products referred to in the content. |
© 2024 by the authors. Licensee MDPI, Basel, Switzerland. This article is an open access article distributed under the terms and conditions of the Creative Commons Attribution (CC BY) license (https://creativecommons.org/licenses/by/4.0/).
Share and Cite
Soydan, M.; Arabaci, G.; Utlu, N.; Halici, M.B.; Aktas Senocak, E.; Kiliçlioglu, M. Indomethacin-Induced Gastric Ulcer in Rats: Gastroprotectivity of Muscari neglectum in Water. Pharmaceuticals 2025, 18, 7. https://doi.org/10.3390/ph18010007
Soydan M, Arabaci G, Utlu N, Halici MB, Aktas Senocak E, Kiliçlioglu M. Indomethacin-Induced Gastric Ulcer in Rats: Gastroprotectivity of Muscari neglectum in Water. Pharmaceuticals. 2025; 18(1):7. https://doi.org/10.3390/ph18010007
Chicago/Turabian StyleSoydan, Menekse, Gulnur Arabaci, Necati Utlu, Mesut Bünyami Halici, Esra Aktas Senocak, and Metin Kiliçlioglu. 2025. "Indomethacin-Induced Gastric Ulcer in Rats: Gastroprotectivity of Muscari neglectum in Water" Pharmaceuticals 18, no. 1: 7. https://doi.org/10.3390/ph18010007
APA StyleSoydan, M., Arabaci, G., Utlu, N., Halici, M. B., Aktas Senocak, E., & Kiliçlioglu, M. (2025). Indomethacin-Induced Gastric Ulcer in Rats: Gastroprotectivity of Muscari neglectum in Water. Pharmaceuticals, 18(1), 7. https://doi.org/10.3390/ph18010007

