Image-Based Dosimetry in Dogs and Cross-Reactivity with Human Tissues of IGF2R-Targeting Human Antibody
Abstract
1. Introduction
2. Results
2.1. [89Zr]Zr-DFO-IF3 Antibody Demonstrated Urinary and Hepatobiliary Excretion
2.2. PET/CT Imaging Revealed Liver, Adrenals, and Bone Marrow as the Highest Uptake Organs
2.3. Image-Based Dosimetry Indicated the Bone Marrow as a Dose-Limiting Organ during RIT with [177Lu]Lu-CHXA”-IF3
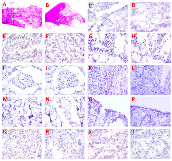
2.4. Healthy Human Cells Do Not Express IGF2R on Their Surface
- epithelial cells in the kidney (tubules), large intestine (colon) (mucosa), liver (hepatocytes), mammary gland (breast) (glands), pancreas (islets, acini, ducts), placenta (trophoblasts), skin (epidermis, sebaceous and sweat glands), small intestine (mucosa), and stomach (mucosa)
- precursor cells in the bone marrow
- mononuclear leukocytes in the esophagus, large intestine (colon) (gut-associated lymphoid tissue [GALT]), ovary, skin, and spleen
- Kupffer cells in the liver
- spindle cells in the placenta (located in chorionic villi and, most likely, Hofbauer cells)
- reticulo-endothelial cells in the spleen
- cells of glomerular tufts in the kidney
- meningeal cells in the brain–cerebrum (falx cerebri)
- arachnoid cap cells in the brain–cerebrum
- neurons in the brain–cerebrum, small intestine (ganglia), and stomach (ganglia)
3. Discussion
4. Materials and Methods
4.1. Animal Ethics and Approval
4.2. Conjugation IF3 Antibody
4.3. Labeling of IF3-DFO Conjugate
4.4. PET/CT Imaging of Dogs
4.5. Image-Based Dosimetry
4.6. Tissue Cross-Reactivity Study with Biotinylated IF3 with Normal Human Tissues
5. Conclusions
6. Patents
Supplementary Materials
Author Contributions
Funding
Institutional Review Board Statement
Informed Consent Statement
Data Availability Statement
Acknowledgments
Conflicts of Interest
References
- Ehrhart, N.P.; Christensen, N.I.; Fan, T.M. 25—Tumors of the Skeletal System. In Withrow and MacEwen’s Small Animal Clinical Oncology, 6th ed.; Vail, D.M., Thamm, D.H., Liptak, J.M., Eds.; W.B. Saunders: St. Louis, MO, USA, 2020; pp. 524–564. [Google Scholar]
- Gill, J.; Gorlick, R. Advancing therapy for osteosarcoma. Nat. Rev. Clin. Oncol. 2021, 18, 609–624. [Google Scholar] [CrossRef] [PubMed]
- Poon, A.C.; Matsuyama, A.; Mutsaers, A.J. Recent and current clinical trials in canine appendicular osteosarcoma. Am. Jew. Hist. 2020, 61, 301–308. [Google Scholar]
- Hassan, S.E.; Ba, M.B.; Kim, M.Y.; Lin, J.; Piperdi, S.; Gorlick, R.; Geller, D.S. Cell surface receptor expression patterns in osteosarcoma. Cancer 2011, 118, 740–749. [Google Scholar] [CrossRef] [PubMed]
- Boisclair, C.; Dickinson, R.; Giri, S.; Dadachova, E.; MacDonald-Dickinson, V. Characterization of IGF2R Molecular Expression in Canine Osteosarcoma as Part of a Novel Comparative Oncology Approach. Int. J. Mol. Sci. 2023, 24, 1867. [Google Scholar] [CrossRef]
- Broqueza, J.; Prabaharan, C.B.; Andrahennadi, S.; Allen, K.J.H.; Dickinson, R.; MacDonald-Dickinson, V.; Dadachova, E.; Uppalapati, M. Novel Human Antibodies to Insulin Growth Factor 2 Receptor (IGF2R) for Radioimmunoimaging and Therapy of Canine and Human Osteosarcoma. Cancers 2021, 13, 2208. [Google Scholar] [CrossRef]
- Broqueza, J.; Prabaharan, C.B.; Allen, K.J.H.; Jiao, R.; Fisher, D.R.; Dickinson, R.; MacDonald-Dickinson, V.; Uppalapati, M.; Dadachova, E. Radioimmunotherapy Targeting IGF2R on Canine-Patient-Derived Osteosarcoma Tumors in Mice and Radiation Dosimetry in Canine and Pediatric Models. Pharmaceuticals 2021, 15, 10. [Google Scholar] [CrossRef]
- Berg, E.; Gill, H.; Marik, J.; Ogasawara, A.; Williams, S.P.; van Dongen, G.A.; Vugts, D.J.; Cherry, S.R.; Tarantal, A.F. Total-Body PET and Highly Stable Chelators Together Enable Meaningful 89Zr-Antibody PET Studies up to 30 Days After Injection. J. Nucl. Med. 2019, 61, 453–460. [Google Scholar] [CrossRef]
- Holland, J.P.; Divilov, V.; Bander, N.H.; Smith-Jones, P.M.; Larson, S.M.; Lewis, J.S. 89Zr-DFO-J591 for ImmunoPET of Prostate-Specific Membrane Antigen Expression In Vivo. J. Nucl. Med. 2010, 51, 1293–1300. [Google Scholar] [CrossRef]
- Marsh, I.R.; Grudzinski, J.J.; Baiu, D.C.; E Besemer, A.; Hernandez, R.; Jeffery, J.J.; Weichert, J.P.; Otto, M.; Bednarz, B.P. Preclinical Pharmacokinetics and Dosimetry Studies of 124I/131I-CLR1404 for Treatment of Pediatric Solid Tumors in Murine Xenograft Models. J. Nucl. Med. 2019, 60, 1414–1420. [Google Scholar] [CrossRef]
- Bednarz, B.; Grudzinski, J.; Marsh, I.; Besemer, A.; Baiu, D.; Weichert, J.; Otto, M. Murine-specific Internal Dosimetry for Preclinical Investigations of Imaging and Therapeutic Agents. Health Phys. 2018, 114, 450–459. [Google Scholar] [CrossRef]
- Magee, K.; Marsh, I.R.; Turek, M.M.; Grudzinski, J.; Aluicio-Sarduy, E.; Engle, J.W.; Kurzman, I.D.; Zuleger, C.L.; Oseid, E.A.; Jaskowiak, C.; et al. Safety and feasibility of an in situ vaccination and immunomodulatory targeted radionuclide combination immuno-radiotherapy approach in a comparative (companion dog) setting. PLoS ONE 2021, 16, e0255798. [Google Scholar] [CrossRef] [PubMed]
- der Weg, W.W.-V.; Schoffelen, R.; Hobbs, R.F.; Gotthardt, M.; Goldenberg, D.M.; Sharkey, R.M.; Slump, C.H.; van der Graaf, W.T.; Oyen, W.J.; Boerman, O.C.; et al. Tumor and red bone marrow dosimetry: Comparison of methods for prospective treatment planning in pretargeted radioimmunotherapy. EJNMMI Phys. 2015, 2, 5. [Google Scholar] [CrossRef] [PubMed]
- Khanna, C.; London, C.; Vail, D.; Mazcko, C.; Hirschfeld, S. Guiding the Optimal Translation of New Cancer Treatments from Canine to Human Cancer Patients. Clin. Cancer Res. 2009, 15, 5671–5677. [Google Scholar] [CrossRef] [PubMed]
- National Academies of Sciences, Engineering, and Medicine. The Role of Clinical Studies for Pets with Naturally Occurring Tumors in Translational Cancer Research: Workshop Summary; The National Academies Press: Washington, DC, USA, 2015. [Google Scholar]
- Vail, D.M.; Leblanc, A.K.; Jeraj, R. Advanced Cancer Imaging Applied in the Comparative Setting. Front. Oncol. 2020, 10, 84. [Google Scholar] [CrossRef]
- Hall, W.C.; Price-Schiavi, S.A.; Wicks, J.; Rojko, J.L. Tissue Cross-Reactivity Studies for Monoclonal Antibodies: Predictive Value and Use for Selection of Relevant Animal Species for Toxicity Testing. In Pharmaceutical Sciences Encyclopedia: Drug Discovery, Development, and Manufacturing; Wiley: Hoboken, NJ, USA, 2010; pp. 1–34. [Google Scholar] [CrossRef]
- Leach, M.W.; Halpern, W.G.; Johnson, C.W.; Rojko, J.L.; MacLachlan, T.K.; Chan, C.M.; Galbreath, E.J.; Ndifor, A.M.; Blanset, D.L.; Polack, E.; et al. Use of Tissue Cross-reactivity Studies in the Development of Antibody-based Biopharmaceuticals. Toxicol. Pathol. 2010, 38, 1138–1166. [Google Scholar] [CrossRef] [PubMed]
- Barroca, V.; Lewandowski, D.; Jaracz-Ros, A.; Hardouin, S.-N. Paternal Insulin-like Growth Factor 2 (Igf2) Regulates Stem Cell Activity During Adulthood. Ebiomedicine 2016, 15, 150–162. [Google Scholar] [CrossRef]
- Wang, X.; Lin, L.; Lan, B.; Wang, Y.; Du, L.; Chen, X.; Li, Q.; Liu, K.; Hu, M.; Xue, Y.; et al. IGF2R-initiated proton rechanneling dictates an anti-inflammatory property in macrophages. Sci. Adv. 2020, 6, eabb7389. [Google Scholar] [CrossRef]
- Wilczak, N.; De Bleser, P.; Luiten, P.; Geerts, A.; Teelken, A.; De Keyser, J. Insulin-like growth factor II receptors in human brain and their absence in astrogliotic plaques in multiple sclerosis. Brain Res. 2000, 863, 282–288. [Google Scholar] [CrossRef]
- Anderson, P.M. Radiopharmaceuticals for Treatment of Osteosarcoma. Adv. Exp. Med. Biol. 2020, 1257, 45–53. [Google Scholar] [CrossRef]
- Anderson, P.M.; Subbiah, V.; Trucco, M.M. Current and future targeted alpha particle therapies for osteosarcoma: Radium-223, actinium-225, and thorium-227. Front. Med. 2022, 9, 1030094. [Google Scholar] [CrossRef]
- Allen, K.J.H.; Jiao, R.; Li, J.; Beckford-Vera, D.R.; Dadachova, E. In Vitro and In Vivo Characterization of 89Zirconium-Labeled Lintuzumab Molecule. Molecules 2022, 27, 6589. [Google Scholar] [CrossRef] [PubMed]
- Besemer, A.E.; Yang, Y.; Grudzinski, J.J.; Hall, L.T.; Bednarz, B.P. Development and Validation of RAPID: A Patient-Specific Monte Carlo Three-Dimensional Internal Dosimetry Platform. Cancer Biotherapy Radiopharm. 2018, 33, 155–165. [Google Scholar] [CrossRef] [PubMed]





| F-1 | M-1 | M-2 | ||||
|---|---|---|---|---|---|---|
| ROI | Rx Dose (Gy/GBq) | 0.487 GBq [177Lu]Lu-IF3 (Gy) | Rx Dose (Gy/GBq) | 0.555 GBq [177Lu]Lu-IF3 (Gy) | Rx Dose (Gy/GBq) | 0.563 GBq [177Lu]Lu-IF3 (Gy) |
| Heart | 2.28 | 1.11 | 1.43 | 0.79 | 1.66 | 0.94 |
| Liver | 26.89 | 13.10 | 23.49 | 13.04 | 24.34 | 13.71 |
| Spleen | 5.14 | 2.51 | 3.93 | 2.18 | 5.31 | 2.99 |
| Adrenal_left | 12.35 | 6.01 | 7.42 | 4.12 | 9.74 | 5.48 |
| Adrenal_right | 13.52 | 6.59 | 9.18 | 5.10 | 9.08 | 5.11 |
| Kidney_left | 3.97 | 1.93 | 2.75 | 1.53 | 2.76 | 1.56 |
| Kidney_right | 5.32 | 2.59 | 3.69 | 2.05 | 5.41 | 3.05 |
| Marrow_spine | 7.87 | 3.83 | 4.44 | 2.47 | 5.00 | 2.82 |
| Marrow_left_shoulder | 6.16 | 3.00 | 5.40 | 3.00 | 5.33 | 3.00 |
| Marrow_right_shoulder | 6.27 | 3.05 | 5.67 | 3.15 | 5.00 | 2.82 |
| Testes | - | - | 0.90 | 0.50 | 0.80 | 0.45 |
| Tissues | ||
| Bone | Breast (mammary gland) | Ovary |
| Bladder (urinary) | Gastrointestinal (GI) Tract b | Pancreas |
| Blood Vessels (endothelium) a | Heart | Placenta |
| Bone Marrow | Kidney (glomerulus, tubule) | Skin |
| Brain—cerebrum | Liver | Spleen |
| Lung | ||
| Staining Intensity | |
|---|---|
| Score | Result |
| Neg | Negative (no stained cells) |
| ± | Equivocal (very faint stain) |
| 1+ | Weak (light stain) |
| 2+ | Moderate (light–medium stain) |
| 3+ | Strong (medium stain) |
| 4+ | Intense (dark stain) |
| Staining Frequency | |
|---|---|
| Score | Result |
| Neg | Negative (no stained cells) |
| Very rare | <1% stained cells of a particular cell type or tissue element |
| Rare | 1–5% stained cells of a particular cell type or tissue element |
| Rare to Occasional | >5–25% stained cells of a particular cell type or tissue element |
| Occasional | >25–50% stained cells of a particular cell type or tissue element |
| Occasional to Frequent | >50–75% stained cells of a particular cell type or tissue element |
| Frequent | >75–100% stained cells of a particular cell type or tissue element |
Disclaimer/Publisher’s Note: The statements, opinions and data contained in all publications are solely those of the individual author(s) and contributor(s) and not of MDPI and/or the editor(s). MDPI and/or the editor(s) disclaim responsibility for any injury to people or property resulting from any ideas, methods, instructions or products referred to in the content. |
© 2023 by the authors. Licensee MDPI, Basel, Switzerland. This article is an open access article distributed under the terms and conditions of the Creative Commons Attribution (CC BY) license (https://creativecommons.org/licenses/by/4.0/).
Share and Cite
Allen, K.J.H.; Kwon, O.; Hutcheson, M.R.; Grudzinski, J.J.; Cain, S.M.; Cruz, F.A.; Vinayakamoorthy, R.M.; Sun, Y.S.; Fairley, L.; Prabaharan, C.B.; et al. Image-Based Dosimetry in Dogs and Cross-Reactivity with Human Tissues of IGF2R-Targeting Human Antibody. Pharmaceuticals 2023, 16, 979. https://doi.org/10.3390/ph16070979
Allen KJH, Kwon O, Hutcheson MR, Grudzinski JJ, Cain SM, Cruz FA, Vinayakamoorthy RM, Sun YS, Fairley L, Prabaharan CB, et al. Image-Based Dosimetry in Dogs and Cross-Reactivity with Human Tissues of IGF2R-Targeting Human Antibody. Pharmaceuticals. 2023; 16(7):979. https://doi.org/10.3390/ph16070979
Chicago/Turabian StyleAllen, Kevin J. H., Ohyun Kwon, Matthew R. Hutcheson, Joseph J. Grudzinski, Stuart M. Cain, Frederic A. Cruz, Remitha M. Vinayakamoorthy, Ying S. Sun, Lindsay Fairley, Chandra B. Prabaharan, and et al. 2023. "Image-Based Dosimetry in Dogs and Cross-Reactivity with Human Tissues of IGF2R-Targeting Human Antibody" Pharmaceuticals 16, no. 7: 979. https://doi.org/10.3390/ph16070979
APA StyleAllen, K. J. H., Kwon, O., Hutcheson, M. R., Grudzinski, J. J., Cain, S. M., Cruz, F. A., Vinayakamoorthy, R. M., Sun, Y. S., Fairley, L., Prabaharan, C. B., Dickinson, R., MacDonald-Dickinson, V., Uppalapati, M., Bednarz, B. P., & Dadachova, E. (2023). Image-Based Dosimetry in Dogs and Cross-Reactivity with Human Tissues of IGF2R-Targeting Human Antibody. Pharmaceuticals, 16(7), 979. https://doi.org/10.3390/ph16070979

