Supplementary Effects of Allium hookeri Extract on Glucose Tolerance in Prediabetic Subjects and C57BL/KsJ-db/db Mice
Abstract
:1. Introduction
2. Results
2.1. Concentration of Cycloalliin
2.2. Clinical Study
2.2.1. Clinical Demographic Characteristics of the Trial Subjects
2.2.2. Nutrient Intake and Physical Activity
2.2.3. Comparison of Plasma Glucose, Insulin Levels, and Related Factors
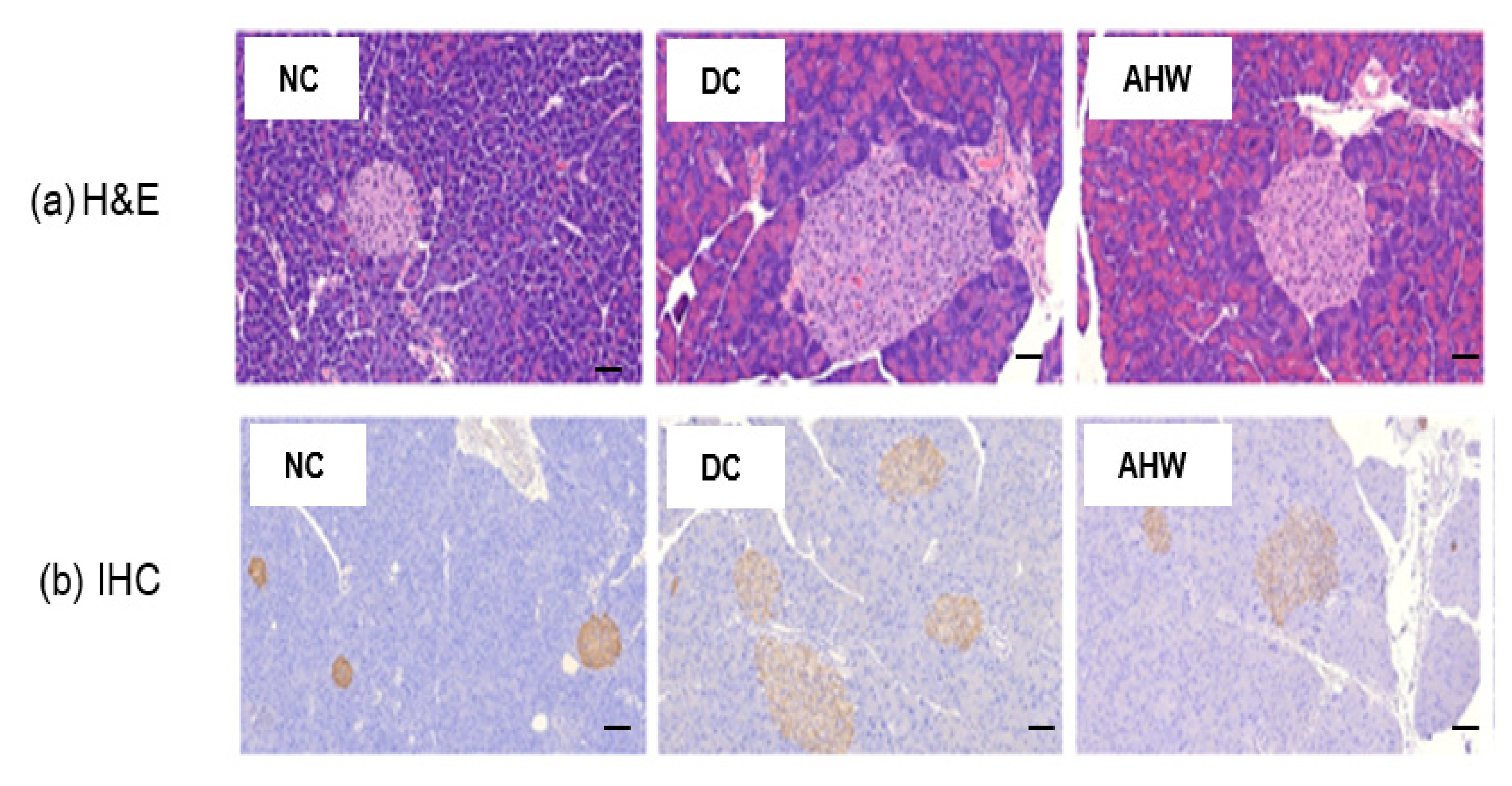
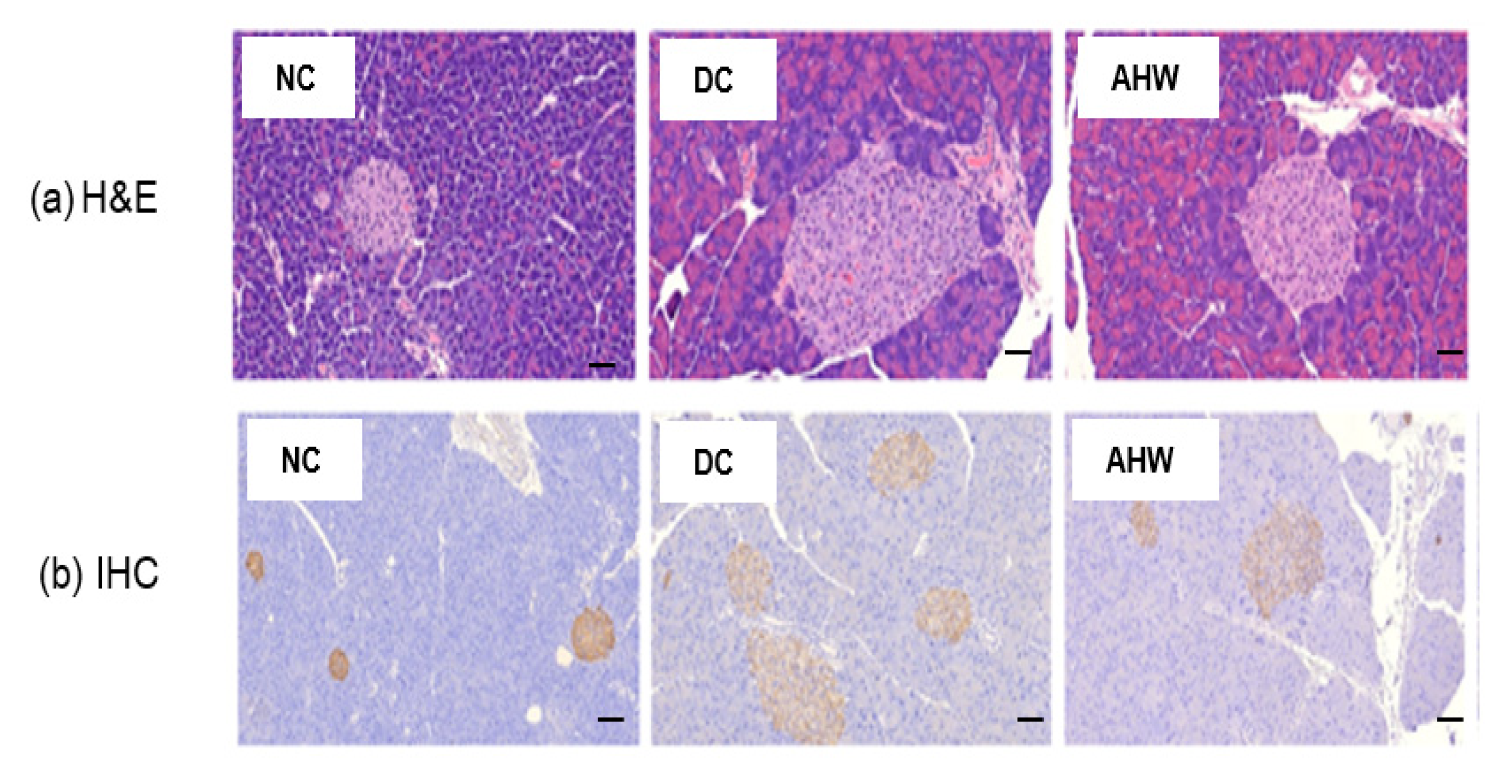
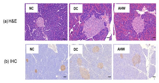
2.3. Animal Study
3. Discussion
4. Materials and Methods
4.1. Samples for Human and Animal Trials
4.2. Clinical Study
4.2.1. Subjects
4.2.2. Evaluation of Diet and Physical Activity
4.2.3. Biochemical Measurements
4.3. Animal Study
4.4. Statistical Analysis
5. Conclusions
Supplementary Materials
Author Contributions
Funding
Informed Consent Statement
Data Availability Statement
Acknowledgments
Conflicts of Interest
References
- Chatterjee, S.; Khunti, K.; Davies, M.J. Type 2 diabetes. Lancet 2017, 389, 2239–2251. [Google Scholar] [CrossRef]
- Saeedi, P.; Petersohn, I.; Salpea, P.; Malanda, B.; Karuranga, S.; Unwin, N.; Colagueri, S.; Guariguata, L.; Motala, A.A.; Ogurtsova, K.; et al. Global and regional diabetes prevalence estimates for 2019 and projections for 2030 and 2045: Results from the International Diabetes Federation Diabetes Atlas, 9th edition. Diabetes Res. Clin. Pract. 2019, 157, 107843. [Google Scholar] [CrossRef]
- Klonoff, D.C.; Schwartz, D.M. An economic analysis of interventions for diabetes. Diabetes Care 2000, 23, 390–404. [Google Scholar] [CrossRef]
- Snel, M.; Jonker, J.T.; Schoones, J.; Lamb, H.; de Roos, A.; Pijl, H. Ectopic fat and insulin resistance: Pathophysiology and effect of diet and lifestyle interventions. Int. J. Endocrinol. 2012, 2012, 983814. [Google Scholar] [CrossRef]
- Castro, M.C.; Villagarcía, H.; Nazar, A.; Arbeláez, L.G.; Massa, M.L.; Del Zotto, H.; Ríos, J.L.; Schinella, G.R.; Francini, F. Cacao extract enriched in polyphenols prevents endocrine-metabolic disturbances in a rat model of prediabetes triggered by a sucrose rich diet. J. Ethnopharmacol. 2020, 30, 112263. [Google Scholar] [CrossRef]
- American Diabetes Association. Glycemic targets: Standards of medical care in diabetes. Diabetes Care 2018, 41, S55–S64. [Google Scholar] [CrossRef]
- Alssema, M.; Ruijgrok, C.; Blaak, E.E.; Egli, L.; Dussort, P.; Vinoy, S.; Dekker, J.M.; Roberson, M.D. Effect of alpha-glucosidase-inhibiting drugs on acute postprandial glucose and insulin responses: A systematic review and meta-analysis. Nutr. Diabetes 2021, 11, 11. [Google Scholar] [CrossRef]
- Boland, B.B.; Brown, C.; Alarcon, C.; Demozay, D.; Grimsby, J.S.; Rhodes, C.J. β-cell control of insulin production during starvation-refeeding in male rats. Endocrinology 2018, 159, 895–906. [Google Scholar] [CrossRef]
- Rohli, K.E.; Boyer, C.K.; Blom, S.E.; Stephens, S.B. Nutrient regulation of pancreatic islet β-cell secretory capacity and insulin production. Biomolecules 2022, 12, 335. [Google Scholar] [CrossRef]
- Petersen, M.C.; Shulman, G.I. Mechanisms of insulin action and insulin resistance. Physiol. Rev. 2018, 98, 2133–2223. [Google Scholar] [CrossRef]
- Park, S.Y.; Gautier, J.F.; Chon, S. Assessment of insulin secretion and insulin resistance in human. Diabetes Metab. J. 2021, 45, 641–654. [Google Scholar] [CrossRef]
- Sharma, G.; Gohil, R.N.; Kaul, V. Cytological status of Allium hookeri Thwaites (2n = 22). Genet. Resour. Crop. Evol. 2011, 58, 1041–1050. [Google Scholar] [CrossRef]
- Roh, S.S.; Kwon, O.J.; Yang, J.H.; Kim, Y.S.; Lee, S.H.; Jin, J.S.; Jeon, Y.D.; Yokozawa, T.; Kim, H.J. Allium hookeri root protects oxidative stress-induced inflammatory responses and β-cell damage in pancreas of streptozotocin-induced diabetic rats. BMC Complement. Altern. Med. 2016, 16, 63. [Google Scholar] [CrossRef]
- Park, S.H.; Bae, U.J.; Choi, E.K.; Jung, S.J.; Lee, S.H.; Yang, J.H.; Kim, Y.S.; Jeong, D.Y.; Kim, H.J.; Park, B.H.; et al. A randomized, double-blind, placebo-controlled crossover clinical trial to evaluate the anti-diabetic effects of Allium hookeri extract in the subjects with prediabetes. BMC Complement. Med. Ther. 2020, 20, 211. [Google Scholar] [CrossRef]
- Park, S.; No, K.; Lee, J. Anti-obesity effect of Allium hookeri leaf extract in high-fat diet-fed mice. J. Med. Food 2018, 21, 254–260. [Google Scholar] [CrossRef]
- Kim, H.J.; Lee, M.J.; Jang, J.Y.; Lee, S.H. Allium hookeri root extract inhibits adipogenesis by promoting lipolysis in high fat diet-induced obese mice. Nutrients 2019, 11, 2262. [Google Scholar] [CrossRef]
- Kim, S.; Lee, S.; Shin, D.; Yoo, M. Change in organosulfur compounds in onion (Allium cepa L.) during heat treatment. Food Sci. Biotechnol. 2016, 25, 115–119. [Google Scholar] [CrossRef]
- Kim, J.E.; Park, K.M.; Lee, S.Y.; Seo, J.H.; Yoon, I.S.; Bae, C.S.; Yoo, J.C.; Bang, M.A.; Cho, S.S.; Park, D.H. Anti-inflammatory effect of Allium hookeri on carrageenan-induced air pouch mouse model. PLoS ONE 2017, 12, e0190305. [Google Scholar] [CrossRef]
- Jang, J.Y.; Lee, M.J.; You, B.R.; Jin, J.S.; Lee, S.H.; Yun, Y.R.; Yun, Y.R.; Kim, H.J. Allium hookeri root extract exerts anti-inflammatory effects by nuclear factor-κB down-regulation in lipopolysaccharide-induced RAW264.7 cells. BMC Complement. Altern. Med. 2017, 17, 126. [Google Scholar]
- Rho, S.H.; You, S.H.; Kim, G.H.; Park, H.J. Neuroprotective effect of Allium hookeri against H2O2-induced PC12 cell cytotoxicity by reducing oxidative stress. Food Sci. Biotechnol. 2020, 29, 1519–1530. [Google Scholar] [CrossRef]
- Choi, J.H.; Lee, E.B.; Jang, H.H.; Cha, Y.S.; Park, Y.S.; Lee, S.H. Allium hookeri extracts improves scopolamine-induced cognitive impairment via activation of the cholinergic system and anti-neuroinflammation in mice. Nutrients 2021, 13, 2890. [Google Scholar] [CrossRef]
- Choi, J.H.; Kim, S.H.; Lee, E.B.; Kim, J.S.; Jung, J.; Jeong, U.Y.; Kim, J.H.; Jang, H.H.; Park, S.Y.; Kim, G.C.; et al. Antidiabetic effects of Allium hookeri extracts prepared by different methods in type 2 C57BL/6J-db/db mice. Pharmaceuticals 2022, 15, 486. [Google Scholar] [CrossRef]
- Deka, B.; Barge, S.R.; Bharadwaj, S.; Kashyap, B.; Manna, P.; Borah, J.C.; Talukdar, N.C. Beneficial effect of the methanolic leaf extract of Allium hookeri on stimulating glutathione biosynthesis and preventing impaired glucose metabolism in type 2 diabetes. Arch. Biochem. Biophys. 2021, 708, 108961. [Google Scholar] [CrossRef]
- Grigoriadis, A.; Räisänen, I.T.; Pärnänen, P.; Tervahartiala, T.; Sorsa, T.; Sakellari, D. Prediabetes/diabetes screening strategy at the periodontal clinic. Clin. Exp. Dent. Res. 2021, 7, 85–92. [Google Scholar] [CrossRef]
- Howells, L.; Musaddaq, B.; McKay, A.J.; Majeed, A. Clinical impact of lifestyle interventions for the prevention of diabetes: An overview of systematic reviews. BMJ 2016, 6, e013806. [Google Scholar] [CrossRef]
- Yang, H.S.; Choi, Y.J.; Jin, H.Y.; Lee, S.C.; Huh, C.K. Effect of Allium hookeri root water extracts on inhibition of adipogenesis and GLUT-4 expression in 3T3-L1 adipocytes. Food Sci. Biotechnol. 2016, 25, 615–621. [Google Scholar] [CrossRef]
- Lee, H.J.; Suh, H.J.; Han, S.H.; Hong, J.; Choi, H.S. Optimization of extraction of cycloalliin from garlic (Allium sativum L.) by using principal components analysis. Prev. Nutr. Food Sci. 2016, 21, 138–146. [Google Scholar] [CrossRef]
- Xiao, H.; Parkin, K.L. Antioxidant functions of selected Allium Thiosulfinates and S-alk(en)yl-L-cysteine sulfoxides. J. Agric. Food Chem. 2002, 50, 2488–2493. [Google Scholar] [CrossRef]
- Yanagita, T.; Han, S.Y.; Wang, Y.M.; Tsuruta, Y.; Anno, T. Cycloalliin, a cyclic sulfur amino acid, reduces serum triacylglycerol in rats. Nutrition 2003, 19, 140–143. [Google Scholar] [CrossRef]
- Jang, G.J.; Sung, M.J.; Hur, H.J.; Yoo, M.; Choi, J.H.; Hwang, I.K.; Lee, S. Metabolomics analysis of the lipid-regulating effect of Allium hookeri in a hamster model of high fat diet-induced hyperlipidemia by UPLC/ESI-Q-TOF mass spectrometry. Evid. Based Complement. Alternat. Med. 2018, 2018, 5659174. [Google Scholar] [CrossRef]
- Yoshinari, O.; Shiojima, Y.; Igarashi, K. Anti-obesity effects of onion extract in Zucker diabetic fatty rats. Nutrients 2012, 4, 1518–1526. [Google Scholar] [CrossRef] [PubMed]
- Agarwal, R.K.; Dewar, H.A.; Newell, D.J.; Das, B. Controlled trial of the effect of cycloalliin on the fibrinolytic activity of venous blood. Atherosclerosis 1977, 27, 347–351. [Google Scholar] [CrossRef] [PubMed]
- Welters, H.J.; Kulkarni, R.N. Wnt signaling: Relevance to β-cell biology and diabetes. Trends Endocrinol. Metab. 2008, 19, 349–355. [Google Scholar] [CrossRef] [PubMed]
- Kolb, H.; Kempf, K.; Röhling, M.; Martin, S. Insulin: Too much of a good thing is bad. BMC Med. 2020, 18, 224. [Google Scholar] [CrossRef]
- Muniyappa, R.; Lee, S.; Chen, H.; Quon, M.J. Current approaches for assessing insulin sensitivity and resistance in vivo: Advantages, limitations, and appropriate usage. Am. J. Physiol. Endocrinol. Metab. 2008, 294, E15–E26. [Google Scholar] [CrossRef]
- Schuurman, M.; Wallace, M.; Sahi, G.; Barillaro, M.; Zhang, S.; Rahman, M.; Sawyez, C.; Borradaile, N.; Wang, R. N-acetyl-L-cysteine treatment reduces beta-cell oxidative stress and pancreatic stellate cell activity in a high fat diet-induced diabetic mouse model. Front. Endocrinol. 2022, 13, 938680. [Google Scholar] [CrossRef]
- Dubourg, J.; Fouqueray, P.; Thang, C.; Grouin, J.M.; Ueki, K. Efficacy and safety of imeglimin monotherapy versus placebo in Japanese patients with type 2 diabetes (TIMES 1): A double-blind, randomized, placebo-controlled, paralled-group, multicenter phase 3 trial. Diabetes Care 2021, 44, 952–959. [Google Scholar] [CrossRef]
- Sanada, J.; Obata, A.; Fushimi, Y.; Kimura, T.; Shimoda, M.; Ikeda, T.; Nogami, Y.; Obata, Y.; Yamasaki, Y.; Nakanishi, S.; et al. Imeglimin exerts favorable effects on pancreatic β-cells by improving morphology in mitochondria and increasing the number of insulin granules. Sci. Rep. 2022, 12, 13220. [Google Scholar] [CrossRef]
- Færch, K.; Alssema, M.; Mela, D.J.; Borg, R.; Vistisen, D. Relative contributions of preprandial and postprandial glucose exposures, glycemic variability, and non-glycemic factors to HbA1c in individuals with and without diabetes. Nutr. Diabetes 2018, 8, 38. [Google Scholar] [CrossRef]
- Joshi, S.R.; Standl, E.; Tong, N.; Shah, P.; Kalra, S.; Rathod, R. Therapeutic potential of a-glucosidase inhibitors in type 2 diabetes mellitus: An evidence-based review. Expert Opin. Pharmacother. 2015, 16, 1959–1981. [Google Scholar] [CrossRef]
- Lee, S.H.; Bang, S.; Jang, H.H.; Lee, E.B.; Kim, B.S.; Kim, S.H.; Lillehoj, H.S. Effects of Allium hookeri on gut microbiome related to growth performance in young broiler chickens. PLoS ONE 2020, 15, e0226833. [Google Scholar] [CrossRef] [PubMed]
- Kim, J.S.; Heo, J.S.; Choi, J.W.; Kim, G.D.; Sohn, K.H. Allium hookeri extract improves type 2 diabetes mellitus in C57BL/KSJ db/db obese mouse via regulation of hepatic lipogenesis and glucose metabolism. J. Life Sci. 2015, 25, 1081–1090. [Google Scholar] [CrossRef]
- Deka, B.; Manna, P.; Borah, J.C.; Talukdar, N.C. A review on phytochemical, pharmacological attributes and therapeutic uses of Allium hookeri. Phytomed. Plus 2022, 2, 100262. [Google Scholar] [CrossRef]
- Wallace, T.M.; Levy, J.C.; Matthews, D.R. Use and abuse of HOMA modeling. Diabetes Care 2004, 27, 1487–1495. [Google Scholar] [CrossRef] [PubMed]
- Tahapary, D.L.; Pratisthita, L.B.; Fitri, N.A.; Marcella, C.; Wafa, S.; Kurniawan, F.; Soewondo, P. Challenges in the diagnosis of insulin resistance: Focusing on the role of HOMA-IR and Tryglyceride/glucose index. Diabetes Metab. Syndr. Clin. Res. Rev. 2022, 16, 102581. [Google Scholar] [CrossRef] [PubMed]
- Asai, A.; Nakagawa, K.; Higuchi, O.; Kimura, T.; Kojima, Y.; Kariya, J.; Miyazawa, T. Effect of mulberry leaf extract with enriched 1-deoxynojirimycin content on postprandial glycemic control in subjects with impaired glucose metabolism. J. Diabetes Investig. 2011, 2, 318–323. [Google Scholar] [CrossRef]
- Jain, R.C.; Vyas, C.R. Garlic in alloxan-induced diabetic rabbits. Am. J. Clin. Nutr. 1975, 28, 684–685. [Google Scholar] [CrossRef]
- Takemura, S.; Minamiyama, Y.; Kodai, S.; Shinkawa, H.; Tsukioka, T.; Okada, S.; Azuma, H.; Kubo, S. S-allyl cysteine improves nonalcoholic fatty liver disease in type 2 diabetes Otsuka Long-Evans Tokushima fatty rats via regulation of hepatic lipogenesis and glucose metabolism. J. Clin. Biochem. Nutr. 2013, 53, 94–101. [Google Scholar] [CrossRef]
- Kumar, R.; Chhatwal, S.; Arora, S.; Sharma, S.; Singh, J.; Singh, N.; Bhandari, V.; Khurana, A. Antihyperglycemic, antihyperlipidemic, anti-inflammatory and adenosine deaminase-lowering effects of garlic in patients with type 2 diabetes mellitus with obesity. Diabetes Metab. Syndr. Obes. 2013, 6, 49–56. [Google Scholar] [CrossRef]
- Wang, J.; Zhang, X.; Lan, H.; Wang, W. Effect of garlic supplement in the management of type 2 diabetes mellitus (T2DM): A meta-analysis of randomized controlled trials. Food Nutr. Res. 2017, 61, 1377571. [Google Scholar] [CrossRef]
- Kim, K.H.; Son, D.; Lee, J.S.; Lee, J.W.; Lee, M.C.; Kim, N.; Song, S.W. Anti-diabetic studies of mass cultured mycelia from Ganoderma applanatum in db/db mice and human. Korean J. Food Nutr. 2013, 26, 366–374. [Google Scholar] [CrossRef]
- Tai, M.M. A mathematical model for the determination of total area under glucose tolerance and other metabolic curves. Diabetes Care 1994, 17, 152–154. [Google Scholar] [CrossRef] [PubMed]






| Placebo (n = 30) | AH (n = 28) | Total (n = 58) | p-Value (1) | |
|---|---|---|---|---|
| Sex (Male/Female) | 20/10 | 13/15 | 33/25 | 0.120 |
| Age (years) | 52.1 ± 8.1 | 50.3 ± 8.2 | 51.2 ± 8.1 | 0.393 |
| Height (cm) | 166.1 ± 8.5 | 165.7 ± 8.3 | 165.9 ± 8.3 | 0.874 |
| Weight (kg) | 70.5 ± 12.1 | 72.2 ± 12.7 | 71.3 ± 12.3 | 0.615 |
| BMI (kg/m2) | 25.42 ± 2.9 | 26.1 ± 2.8 | 25.8 ± 2.8 | 0.364 |
| SBP (mmHg) | 125.4 ± 14.7 | 122.8 ± 9.8 | 124.1 ± 12.6 | 0.433 |
| DBP (mmHg) | 78.2 ± 10.3 | 76.3 ± 8.2 | 77.2 ± 9.4 | 0.440 |
| Pulse (beats/m) | 70.3 ± 6.7 | 70.3 ± 8.6 | 70.3 ± 7.6 | 0.979 |
| Alcohol (n, %) | 19 (63.3) | 12 (42.9) | 31 (53.5) | 0.118 |
| Smoking (n, %) | 9 (30.0) | 6 (21.4) | 15 (25.9) | 0.456 |
| Family history of diabetes (n, %) | 9 (30.0) | 14 (50.0) | 23 (39.7) | 0.120 |
| Placebo (n = 30) | AH (n = 28) | p-Value (2) | |||||||
|---|---|---|---|---|---|---|---|---|---|
| Baseline | 12 Weeks | Change Value | p-Value (1) | Baseline | 12 Weeks | Change Value | p-Value (1) | ||
| Energy (kcal) | 1520.9 ± 491.2 | 1563.8 ± 449.6 | 42.9 ± 234.5 | 0.324 | 1507.4 ± 396.1 | 1485.9 ± 406.7 | −21.5 ± 242.5 | 0.643 | 0.308 |
| Carbohydrate (g) | 199.5 ± 57.3 | 211.6 ± 46.1 | 12.2 ± 35.8 | 0.072 | 211.5 ± 51.9 | 217.0 ± 46.21 | 5.5 ± 41.3 | 0.488 | 0.511 |
| Fat (g) | 45.7 ± 21.6 | 44.0 ± 21.1 | −1.7 ± 13.3 | 0.485 | 43.0 ± 14.1 | 38.1 ± 15.6 | −4.9 ± 15.4 | 0.104 | 0.403 |
| Protein (g) | 68.0 ± 26.1 | 69.8 ± 24.8 | 1.8 ± 17.2 | 0.578 | 64.8 ± 21.0 | 62.0 ± 22.0 | −2.8 ± 17.6 | 0.412 | 0.325 |
| Dietary fiber (g) | 17.1 ± 5.6 | 17.6 ± 5.1 | 0.5 ± 3.3 | 0.394 | 19.5 ± 6.2 | 19.4 ± 5.9 | −0.1 ± 6.0 | 0.951 | 0.648 |
| T-MET (min/week) | 1883.3 ± 1691.4 | 2080.0 ± 3143.1 | 196.7 ± 3314.5 | 0.748 | 1600.0 ± 2231.3 | 1183.6 ± 1264.4 | −416.4 ± 1411.4 | 0.130 | 0.360 |
| SBP (mmHg) | 126.43 ± 11.87 | 129.87 ± 11.56 | 3.43 ± 10.27 | 0.078 | 121.04 ± 12.99 | 127.39 ± 9.74 | 6.36 ± 14.27 | 0.026 | 0.372 |
| DBP (mmHg) | 76.03 ± 8.89 | 78.87 ± 9.58 | 2.83 ± 9.08 | 0.098 | 74.43 ± 11.43 | 78.39 ± 8.12 | 3.96 ± 10.09 | 0.047 | 0.655 |
| Pulse (beats/m) | 71.43 ± 5.57 | 70.33 ± 6.46 | −1.10 ± 7.74 | 0.443 | 69.07 ± 8.89 | 71.00 ± 8.11 | 1.93 ± 8.52 | 0.242 | 0.162 |
| Placebo (n = 30) | AH (n = 28) | p-Value (2) | ||||||||
|---|---|---|---|---|---|---|---|---|---|---|
| Time | Baseline | 12 Weeks | Change Value | p-Value (1) | Baseline | 12 Weeks | Change Value | p-Value (1) | ||
| FPG (mg/dL) | 0 min | 108.87 ± 19.46 | 105.53 ± 19.18 | −3.33 ± 13.51 | 0.187 | 99.25 ± 11.85 | 99.71 ± 15.98 | 0.46 ± 8.32 | 0.770 | 0.201 |
| PPG (mg/dL) | 30 min | 179.03 ± 31.58 | 176.60 ± 28.12 | −2.43 ± 24.83 | 0.596 | 176.79 ± 28.64 | 171.04 ± 36.45 | −5.75 ± 29.82 | 0.317 | 0.646 |
| 60 min | 192.63 ± 45.95 | 201.03 ± 42.06 | 8.40 ± 23.91 | 0.064 | 194.04 ± 50.50 | 187.89 ± 50.50 | −6.14 ± 33.60 | 0.342 | 0.061 | |
| 90 min | 178.43 ± 50.49 | 184.10 ± 50.51 | 5.67 ± 21.09 | 0.152 | 183.29 ± 50.10 | 181.71 ± 57.71 | −1.57 ± 31.04 | 0.791 | 0.308 | |
| 120 min | 162.23 ± 46.30 | 157.73 ± 48.43 | −4.50 ± 26.05 | 0.352 | 162.04 ± 38.93 | 165.18 ± 48.88 | 3.14 ± 28.71 | 0.567 | 0.292 | |
| FPI (μU/mL) | 0 min | 11.02 ± 10.25 | 9.71 ± 4.38 | −1.31 ± 10.43 | 0.498 | 11.54 ± 7.68 | 11.46 ± 10.29 | −0.08 ± 8.91 | 0.961 | 0.634 |
| PPI (μU/mL) | 30 min | 64.44 ± 42.20 | 54.30 ± 30.00 | −10.15 ± 37.46 | 0.149 | 74.73 ± 48.26 | 58.88 ± 39.65 | −15.85 ± 24.46 | 0.002 | 0.493 |
| 60 min | 77.26 ± 48.71 | 81.99 ± 35.57 | 4.73 ± 38.72 | 0.509 | 88.17 ± 58.47 | 77.49 ± 52.70 | −10.68 ± 38.71 | 0.156 | 0.136 | |
| 90 min | 76.38 ± 46.71 | 90.44 ± 51.81 | 14.06 ± 42.61 | 0.081 | 97.06 ± 61.78 | 80.37 ± 52.95 | −16.69 ± 52.42 | 0.104 | 0.017 * | |
| 120 min | 75.00 ± 40.57 | 73.52 ± 50.60 | −1.47 ± 30.89 | 0.796 | 90.33 ± 52.31 | 81.06 ± 59.53 | −9.26 ± 67.63 | 0.475 | 0.580 | |
| Glucose AUC (mg*min/dL) | 0–30 min | 1052.50 ± 370.45 | 1066.00 ± 365.50 | 13.50 ± 336.85 | 0.828 | 1163.04 ± 332.53 | 1069.82 ± 398.69 | −93.21 ± 395.48 | 0.223 | 0.272 |
| 0–60 min | 3377.00 ± 1214.66 | 3564.50 ± 1188.71 | 187.50 ± 788.60 | 0.203 | 3747.86 ± 1212.95 | 3462.32 ± 1232.07 | −285.54 ± 1122.76 | 0.190 | 0.067 | |
| 0–90 min | 5664.21 ± 2436.36 | 6175.98 ± 2429.92 | 511.77 ± 1309.93 | 0.041 | 6430.18 ± 2387.04 | 6017.66 ± 2357.01 | −412.52 ± 1636.33 | 0.193 | 0.021 * | |
| 0–120 min | 7527.82 ± 3627.51 | 8141.49 ± 3762.74 | 613.67 ± 1975.17 | 0.100 | 8632.50 ± 3328.94 | 8236.59 ± 3416.24 | −395.91 ± 1944.70 | 0.291 | 0.055 | |
| Insulin AUC (μU*min/mL) | 0–30 min | 801.35 ± 593.31 | 668.75 ± 439.79 | −132.60 ± 508.26 | 0.164 | 947.84 ± 659.49 | 711.27 ± 545.49 | −236.57 ± 339.60 | 0.001 | 0.361 |
| 0–60 min | 2596.25 ± 1484.61 | 2421.65 ± 1173.01 | −174.60 ± 1137.57 | 0.407 | 3045.11 ± 1948.64 | 2413.02 ± 1697.61 | −632.09 ± 953.97 | 0.002 | 0.104 | |
| 0–90 min | 4570.23 ± 2361.96 | 4716.65 ± 2052.23 | 146.42 ± 1761.40 | 0.652 | 5477.25 ± 3396.11 | 4498.48 ± 3042.77 | −978.77 ± 1858.27 | 0.010 | 0.021 * | |
| 0–120 min | 6510.34 ± 3145.84 | 6884.65 ± 3045.46 | 374.31 ± 2375.69 | 0.395 | 7941.70 ± 4582.33 | 6515.28 ± 4023.42 | −1426.41 ± 3049.73 | 0.020 | 0.015 * | |
| Glucose | Cmax (mg/dL) | 204.73 ± 42.37 | 210.30 ± 41.81 | 5.57 ± 20.25 | 0.143 | 205.21 ± 43.24 | 200.75 ± 51.16 | −4.46 ± 28.89 | 0.421 | 0.129 |
| Tmax (min) | 63.00 ± 27.69 | 61.00 ± 24.26 | −2.00 ± 27.22 | 0.690 | 70.71 ± 30.78 | 65.36 ± 27.15 | −5.36 ± 32.71 | 0.394 | 0.672 | |
| Insulin | Cmax (μU/mL) | 105.13 ± 52.92 | 110.67 ± 55.97 | 5.55 ± 53.34 | 0.573 | 116.68 ± 60.81 | 102.48 ± 58.33 | −14.21 ± 33.35 | 0.033 | 0.095 |
| Tmax (min) | 83.00 ± 32.18 | 85.00 ± 25.02 | 2.00 ± 19.19 | 0.573 | 87.86 ± 28.20 | 85.71 ± 32.37 | −2.14 ± 31.55 | 0.722 | 0.552 | |
| HOMA-IR | 3.09 ± 3.33 | 2.58 ± 1.39 | −0.50 ± 3.41 | 0.426 | 2.89 ± 2.01 | 3.00 ± 3.23 | 0.11 ± 2.64 | 0.826 | 0.449 | |
| HOMA-β | 86.87 ± 56.07 | 87.47 ± 39.32 | 0.60 ± 55.66 | 0.953 | 122.36 ± 109.38 | 117.00 ± 85.59 | −5.36 ± 78.40 | 0.721 | 0.739 | |
| QUICKI | 0.34 ± 0.03 | 0.34 ± 0.03 | 0.00 ± 0.03 | 0.662 | 0.34 ± 0.03 | 0.34 ± 0.04 | 0.00 ± 0.03 | 0.489 | 0.839 | |
| AIR | 0.85 ± 0.70 | 0.71 ± 0.50 | −0.14 ± 0.52 | 0.150 | 0.82 ± 0.49 | 0.70 ± 0.44 | −0.11 ± 0.34 | 0.083 | 0.823 | |
| HbA1c (%) | 5.80 ± 0.32 | 5.82 ± 0.33 | 0.02 ± 0.18 | 0.616 | 5.78 ± 0.35 | 5.90 ± 0.45 | 0.11 ± 0.24 | 0.017 | 0.083 | |
| C-peptide (ng/mL) | 2.21 ± 1.02 | 2.06 ± 0.76 | −0.15 ± 0.99 | 0.414 | 2.26 ± 0.88 | 2.15 ± 1.07 | −0.11 ± 0.77 | 0.471 | 0.856 | |
| Adiponectin (ng/mL) | 6869.62 ± 3340.48 | 7005.53 ± 3245.06 | 135.92 ± 1362.84 | 0.589 | 7107.41 ± 4998.33 | 7104.39 ± 4674.17 | −3.02 ± 871.81 | 0.986 | 0.644 | |
| Placebo (n = 30) | AH (n = 28) | p-Value (2) | |||||||
|---|---|---|---|---|---|---|---|---|---|
| Baseline | 12 Weeks | Change Value | p-Value (1) | Baseline | 12 Weeks | Change Value | p-Value (1) | ||
| Hematological analysis | |||||||||
| WBC (×103/μL) | 5.82 ± 1.17 | 5.46 ± 1.03 | −0.35 ± 0.98 | 0.057 | 5.81 ± 1.51 | 5.25 ± 1.41 | −0.57 ± 0.84 | 0.001 | 0.378 |
| RBC (×1003/μL) | 4.66 ± 0.37 | 4.58 ± 0.39 | −0.08 ± 0.15 | 0.007 | 4.69 ± 0.38 | 4.57 ± 0.41 | −0.12 ± 0.22 | 0.008 | 0.412 |
| Hemoglobin (g/dL) | 14.58 ± 1.47 | 14.35 ± 1.45 | −0.23 ± 0.49 | 0.015 | 14.19 ± 1.52 | 13.81 ± 1.75 | −0.37 ± 0.61 | 0.003 | 0.332 |
| Hematocrit (%) | 43.34 ± 3.76 | 42.39 ± 3.82 | −0.95 ± 1.39 | 0.001 | 42.48 ± 3.59 | 41.33 ± 4.27 | −1.15 ± 1.93 | 0.004 | 0.656 |
| Platelets count (×103/μL) | 241.77 ± 46.66 | 241.90 ± 46.81 | 0.13 ± 26.09 | 0.978 | 253.40 ± 74.64 | 252.33 ± 81.86 | −1.08 ± 30.53 | 0.854 | 0.872 |
| Blood biochemical analysis | |||||||||
| ALP (IU/L) | 206.07 ± 55.03 | 201.70 ± 52.33 | −4.37 ± 24.08 | 0.329 | 190.21 ± 44.41 | 184.46 ± 43.60 | −5.75 ± 21.98 | 0.178 | 0.821 |
| AST (IU/L) | 25.43 ± 7.50 | 25.17 ± 4.82 | −0.27 ± 6.25 | 0.817 | 28.32 ± 12.27 | 27.57 ± 8.46 | −0.75 ± 5.93 | 0.509 | 0.764 |
| ALT (IU/L) | 27.80 ± 17.16 | 25.30 ± 12.94 | −2.50 ± 8.41 | 0.114 | 34.68 ± 22.52 | 29.43 ± 14.43 | −5.25 ± 11.37 | 0.021 | 0.297 |
| Total bilirubin (mg/dL) | 0.82 ± 0.23 | 0.78 ± 0.31 | −0.04 ± 0.27 | 0.411 | 0.81 ± 0.36 | 0.80 ± 0.36 | −0.01 ± 0.21 | 0.750 | 0.656 |
| Total protein (g/dL) | 7.12 ± 0.41 | 6.92 ± 0.36 | −0.20 ± 0.22 | <0.0001 | 7.23 ± 0.34 | 6.92 ± 0.29 | −0.31 ± 0.29 | <0.0001 | 0.110 |
| Albumin (g/dL) | 4.39 ± 0.18 | 4.29 ± 0.21 | −0.11 ± 0.14 | 0.0002 | 4.35 ± 0.21 | 4.20 ± 0.22 | −0.15 ± 0.19 | 0.0002 | 0.281 |
| gamma-GT (IU/L) | 41.90 ± 30.92 | 39.60 ± 29.39 | −2.30 ± 8.07 | 0.129 | 33.14 ± 18.22 | 30.50 ± 14.79 | −2.64 ± 10.71 | 0.203 | 0.891 |
| BUN (mg/dL) | 13.48 ± 2.99 | 14.69 ± 3.39 | 1.22 ± 3.55 | 0.070 | 13.74 ± 4.62 | 12.57 ± 2.93 | −1.17 ± 3.31 | 0.072 | 0.011 * |
| Creatinine (mg/dL) | 0.94 ± 0.18 | 0.89 ± 0.19 | −0.06 ± 0.13 | 0.019 | 0.94 ± 0.18 | 0.85 ± 0.17 | −0.09 ± 0.10 | <0.0001 | 0.234 |
| LD (IU/L) | 175.60 ± 21.92 | 173.43 ± 20.74 | −2.17 ± 11.74 | 0.321 | 174.96 ± 27.74 | 174.11 ± 23.05 | −0.86 ± 15.17 | 0.767 | 0.713 |
| CK (IU/L) | 113.80 ± 62.43 | 116.60 ± 69.82 | 2.80 ± 64.36 | 0.813 | 109.75 ± 78.37 | 113.64 ± 73.96 | 3.89 ± 38.76 | 0.600 | 0.937 |
| hs-CRP (mg/L) | 0.93 ± 1.90 | 1.00 ± 0.98 | 0.07 ± 1.85 | 0.846 | 1.30 ± 1.60 | 1.07 ± 1.17 | −0.23 ± 1.86 | 0.524 | 0.550 |
| Urine analysis | |||||||||
| Specific gravity | 1.02 ± 0.01 | 1.02 ± 0.01 | 0.00 ± 0.01 | 0.293 | 1.02 ± 0.01 | 1.02 ± 0.00 | 0.00 ± 0.01 | 0.231 | 0.796 |
| pH | 6.02 ± 1.19 | 5.83 ± 0.89 | −0.18 ± 0.98 | 0.313 | 5.70 ± 0.86 | 5.45 ± 0.52 | −0.25 ± 0.87 | 0.138 | 0.785 |
| NC | Diabetic Mice | ||
|---|---|---|---|
| DC | AHW | ||
| Glucose (mg/dL) | 112.5 ± 5.2 c | 619.6 ± 14.2 a | 484.3 ± 41.2 b |
| Triglyceride (mg/dL) | 141.5 ± 5.7 c | 202.1 ± 6.2 a | 173.4 ± 1.6 b |
| Total-cholesterol (mg/dL) | 200.3 ± 10.6 c | 1100.3 ± 25.2 a | 926.6 ± 30.7 b |
| HDL-cholesterol (mg/dL) | 103.8 ± 9.5 b | 130.3 ± 3.0 a | 130.71 ± 5.2 a |
| LDL-cholesterol (mg/dL) | 59.2 ± 4.2 c | 929.6 ± 3.0 a | 761.2 ± 5.2 b |
| ALT (IU/L) | 2.4 ± 0.6 b | 18.7 ± 1.5 a | 15.1 ± 0.4 a |
| AST (IU/L) | 25.4 ± 1.5 b | 33.4 ± 1.8 a | 34.2 ± 3.2 a |
| Urea-N (mg/dL) | 22.2 ± 1.4 b | 26.9 ± 0.8 a | 26.9 ± 1.8 a |
| Creatinine (mg/dL) | 1.7 ± 0.1 b | 2.4 ± 0.0 a | 2.3 ± 0.1 a |
| Component | Placebo (%) | AH (%) |
|---|---|---|
| Allium hookeri extract (AH) | - | 62.5 |
| Microcrystalline cellulose | 98.75 | 36.72 |
| Silicon dioxide | 0.50 | 0.50 |
| Caramel color | 0.70 | 0.26 |
| Red color | 0.05 | 0.02 |
| Total | 100 | 100 |
Disclaimer/Publisher’s Note: The statements, opinions and data contained in all publications are solely those of the individual author(s) and contributor(s) and not of MDPI and/or the editor(s). MDPI and/or the editor(s) disclaim responsibility for any injury to people or property resulting from any ideas, methods, instructions or products referred to in the content. |
© 2023 by the authors. Licensee MDPI, Basel, Switzerland. This article is an open access article distributed under the terms and conditions of the Creative Commons Attribution (CC BY) license (https://creativecommons.org/licenses/by/4.0/).
Share and Cite
Kim, J.-S.; Kim, H.-J.; Lee, E.-B.; Choi, J.-H.; Jung, J.; Jang, H.-H.; Park, S.-Y.; Ha, K.-C.; Park, Y.-K.; Joo, J.-C.; et al. Supplementary Effects of Allium hookeri Extract on Glucose Tolerance in Prediabetic Subjects and C57BL/KsJ-db/db Mice. Pharmaceuticals 2023, 16, 1364. https://doi.org/10.3390/ph16101364
Kim J-S, Kim H-J, Lee E-B, Choi J-H, Jung J, Jang H-H, Park S-Y, Ha K-C, Park Y-K, Joo J-C, et al. Supplementary Effects of Allium hookeri Extract on Glucose Tolerance in Prediabetic Subjects and C57BL/KsJ-db/db Mice. Pharmaceuticals. 2023; 16(10):1364. https://doi.org/10.3390/ph16101364
Chicago/Turabian StyleKim, Ji-Su, Hyun-Ju Kim, Eun-Byeol Lee, Ji-Hye Choi, Jieun Jung, Hwan-Hee Jang, Shin-Young Park, Ki-Chan Ha, Yu-Kyung Park, Jong-Cheon Joo, and et al. 2023. "Supplementary Effects of Allium hookeri Extract on Glucose Tolerance in Prediabetic Subjects and C57BL/KsJ-db/db Mice" Pharmaceuticals 16, no. 10: 1364. https://doi.org/10.3390/ph16101364
APA StyleKim, J.-S., Kim, H.-J., Lee, E.-B., Choi, J.-H., Jung, J., Jang, H.-H., Park, S.-Y., Ha, K.-C., Park, Y.-K., Joo, J.-C., & Lee, S.-H. (2023). Supplementary Effects of Allium hookeri Extract on Glucose Tolerance in Prediabetic Subjects and C57BL/KsJ-db/db Mice. Pharmaceuticals, 16(10), 1364. https://doi.org/10.3390/ph16101364

