Abstract
The TonB-dependent receptors (TBDRs) FepA and FhuA transport the siderophores ferric enterobactin (FeEnt) and ferrichrome (Fc), respectively, through the Gram-negative bacterial outer membrane. Their uptake mechanism involves conformational change in an ~150 residue N-terminal luminal domain (NTLD), located within their C-terminal β-barrel (CTβB) channels. We identified four internal sites (1–4) in TBDR that form a conserved network of ion pairs encircling the NTLD-CTβB interface. We tested the mechanistic importance of these electrostatic interactions by engineering systematic Ala substitutions in FepA and FhuA for the acidic or basic side chains that comprise them. Siderophore nutrition assays, colicin susceptibility tests and fluorescence spectroscopic uptake measurements of the mutants showed the importance of site-2, that adheres the base of NL1/Nβ3 and Nβ5 of the NTLD to β14 and β17 on the interior of the CTβB. Disruption of electrostatic bonds at site-2 reduced or eliminated ferric siderophore uptake and severely curtailed colicin susceptibility. Despite these reductions in ligand transport, fluorescent spectroscopic binding measurements showed that the site-2 mutations did not alter the affinity of FepA for FeEnt, nor FhuA for Fc. Elimination of ionic interactions at the three other locations in FepA (sites-1, -3, -4) did not reduce FeEnt uptake. Lastly, the disruption of ionic bonding at site-2 in FepA rendered it more susceptible to proteolysis, in part by OmpT, suggesting that ablation of ionic interactions in site-2 destabilized the NTLD within the CTβB. Overall, the experiments demonstrated that the ion pairs at site-2 in FepA and FhuA, that are evolutionarily conserved in the TBDR superfamily, are essential to the movement of ferric siderophores through the CTβB into the periplasm.
1. Introduction
Microbiological siderophores [1,2] solubilize precipitated, otherwise unavailable iron in the environment. Over 500 different siderophores are known and characterized [3], that may chelate iron with unparalleled high affinity [4,5]. Iron uptake, via chelates like the catecholate siderophore ferric enterobactin (FeEnt [6]) and the hydroxamate siderophore, ferrichrome (Fc [1,7]), is essential to the proliferation of biological communities, because ferric siderophores are an entry point for iron into prokaryotic metabolism. More than 80 enzymes require either iron or iron-containing cofactors, like aconitase and succinate dehydrogenase in the Krebs cycle, proton-pumping oxido-reductases in electron transport, class Ia ribonucleotide reductases in DNA synthesis, monooxygenases like cytochrome P450 and catalases, and superoxide dismutases that detoxify reactive oxygen species [8,9,10]. Iron’s central role in both pro- and eukaryotic metabolism underscores the importance of understanding its biochemical uptake pathways.
In Gram (−) bacteria, outer membrane (OM) TonB-dependent [11] receptors (TBDRs) recognize and transport ferric siderophores. These high-affinity (e.g., KD ~ 10−10 M [12,13]) receptors bind iron complexes [14,15,16,17], vitamins [12,18,19,20] or nutrients [21,22,23]. When activated by TonB [11,24] they import ligands through the OM to the periplasm. TBDRs are omnipresent in Gram (−) bacteria to varying degrees of representation. Members of Enterobacterales encode many (7–20) that act in iron or other metal uptake, but other Families of Proteobacteria contain many more (Pseudomonadaceae: 35–38; Caulobacteriacae: 63; Xanthamonadaceae: 42–70 [25]), often with non-metal substrates. Hence, a multitude of TBDRs actively transport compounds into Gram (−) bacteria, but none are biochemically well enough defined to reveal the detailed steps of ligand internalization. Knowledge of the transport mechanism relates to research on bacterial susceptibility to siderophore antibiotics, among which the catecholate compound cefidericol is a paradigm of FDA-licensed Trojan Horse compounds [26].
The architecture of TBDRs constitutes a distinct structural class. They contain 22-stranded transmembrane β-barrels, so they are porins [27]. But unlike general and specific porins [28], TBDRs do not contain open channels: an N-terminal luminal domain (NTLD) blocks their channels [15,16,17,29,30,31]. Secondly, their active transport reactions in the OM are enigmatic, because thousands of 10 Å (general porin) channels [32,33] preclude the formation of an electrochemical ion gradient across the OM. Next, metal uptake through closed TBDR channels entails structural rearrangements in the receptor protein: (i) ligand binding in cell surface loops provokes movements in the NTLD that enable interactions with TonB in the periplasm [34,35]. Then, TonB exploits proton-motive force [13,18] (by an uncertain mechanism) to (ii) open the channel and trigger passage of the metal complex into the periplasm [13] (also by an unknown mechanism). Hence, although the transport of a bound ligand involves signal transduction, conformational dynamics and protein–protein interactions in the bacterial cell envelope, the molecular details of the internalization reaction remain obscure.
The crystal structures of FepA [15], FhuA [17,36] and FecA [16] revealed contiguous pairs of basic and acidic residue side chains in the TBDR interiors, that presumably hold the NTLD to the interior surface of the CTβB [37,38,39] (Figure 1). Bioinformatic analyses of 79 TBDR orthologs and paralogs [40] found that the basic and acidic residues comprising one of these electrostatic interactions (site-2) are highly conserved (>95% identical). The residues in site-2 are Arg on the NTLD, juxtaposed to Glu on the CTβB, close enough together to form salt bridges and hydrogen bonds that adhere the NTLD to the channel wall. In FepA the pairs are R75 and R126, associated with E511 and E567 (site-2: cyan bridges in Figure 1 and Figure S2). The positive charge center of the R75 guanidino group is within a few angstroms of the E511 and E567 carboxylates, close enough for ionic and H-bonds to both acidic side chains; the R126 guanidino is similarly close to the E567 carboxylate, to allow both ionic and H-bonding [15]. Identical acidic–basic ion pairs exist in site-2 of other ferric catecholate (EcoFiu [30]: Figure 1D, EcoCir [29]) and ferric hydroxamate receptors (EcoFhuA [17]; Figure 1C,F). ClustalΩ sequence alignments identified the site-2 pairs as the most conserved residues in TBDRs, but numerous (eight or more) other potential NTLD—CTβB electrostatic bonds exist around the interior perimeter of TBDR channels (Figure 1 and Figures S1–S4), providing more extensive ionic and H-bond stabilization of the NTLD. In some cases the other ion pairs are evolutionarily covariant: an acidic side chain on the NTLD approaches a basic side chain on the β-barrel interior. Given that PMF underlies TonB-dependent OM transport, and that ionic bonds are susceptible to neutralization by protonation, these residues were postulated as mechanistically relevant to ligand internalization [39,40]. On the other hand, these configurations also imply that without conditions that neutralize ionic bonds (e.g., local decreases in pH), the internal salt bridges will restrict NTLD dynamics to localized movements of minimal amplitude. This notion agrees with experiments and simulations, which inferred that small movements of the NTLD, in situ within the CTβB, may open a pathway for ferric siderophore entry to the periplasm [41,42,43]. Evidence [44,45,46,47,48,49] suggests that PMF promotes OM transport by driving rotation of the TonB-ExbBD complex in the inner membrane [50], which transfers energy to TBDR by protein–protein interactions with their TonB-box motif [11,14].
Figure 1.
Internal ion pairs in E. coli TBDRs. (A) Side view of FepA (1FEP) showing putative salt bridges formed by basic residues (sky blue) in the NTLD (red ribbon) and acidic residues (pink) on the CTβB (green ribbon). (B) 90° rotation on the x-axis gives a periplasmic view of the internal ring of basic side chains on the NTLD, juxtaposed to an outer ring of acidic side chains on the CTβB. Four conserved, comparably located bridge sites exist in all of the E. coli TBDRs (Figures S1–S4), that are circled and labeled as sites-1 to -4 in the ferric catecholate transporter FepA (panel B) and the ferric hydroxamate transporter FhuA (panel C; NTLD is gold; CTβB is Dodger Blue). Sites-1 to -4 are circled with spring green, cyan, purple, and red, respectively. (Panels D–F) Ribbon diagrams of Fiu, FepA and FhuA depict salt bridges, with the same colors as in panels B and C. In D–F, α-helices are magenta; β-strands are gold; loops are light gray. In (E), the FepA model shows the location of internal disulfide bonds that do not prevent FeEnt transport [42] (dark green).
In this report we systematically substituted Ala for residues involved in the noted ion pairs, to determine how electrostatic and H-bond stabilizations of NTLD inside the CTβB of TBDRs affect the internalization of ferric siderophores. By single or multiple Ala substitution mutagenesis, we sequentially eliminated the internal ion pairs and determined the effects on ligand uptake by E. coli FepA and FhuA. The results show that the basic–acidic residue juxtaposition at site-2 (R75, R126, E511, E567 in FepA; R93, R133, E522, E571 in FhuA) must remain intact for ferric siderophore and colicin uptake to occur. conversely, elimination of internal ion pairs at sites-1, -3 and -4 did not impair uptake.
2. Results
2.1. TBDR Ion Pair Networks
Crystallographic data (Figure 1), sequence alignments and bioinformatics [40] (Figures S1–S4) revealed an electrostatic network that may facilitate, restrict or immobilize NTLD structure within the CTβB. We aligned the structurally solved E. coli TBDR [15,16,17,29,30,31,36,51], and that of the ferric yersiniabactin receptor of Y. pestis [52], by CLUSTALΩ [53]. This group of eight prototypes included three ferric catecholate receptors (Fiu, FepA, Cir), three ferric hydroxamate receptors (FhuE, FhuA, FyuA), the ferric citrate (FecA) and the vitamin B12 (BtuB) receptors. In each protein, 7–10 basic residue side chains pair with acidic residue side chains at four sites around the interior of the NTLD/CTβB interface (sites-1 to -4 in Figure 1). These basic/acidic pairs presumably adhere the NTLD to the β-barrel channel with ionic and/or hydrogen bonds (Figure 1 and Figures S1–S4). Besides revealing identical/homologous residues among the proteins, the CLUSTALΩ analysis pinpointed sites-1 to -4 in NTLD primary structure, and illustrated the different attributes of the ion pairs at these positions.
Site-1: basic or acidic residues in helices Nα2 and Nα3, associated with CTβB strands 17, 19, 20, 21, or 22;
Site-2: invariant Arg at the ends of Nβ3 and Nβ5 paired with invariant Glu in CTβB strands 14 and 17;
Site-3: basic or acidic residues in helices Nα1, Nα4 or Nα5, paired with CTβB strands 7, 8, 9, 10 or 11;
Site-4: basic or acidic residues at the peripheries of helices Nβ2, Nβ3 and Nβ4, associated with CTβB strands 1, 2, 3, 4 or 5.
Site-2. The invariance of site-2 was most striking. The residues composing site-2 were always identical: Arg on the N-domain surface associated with Glu on the C-domain interior (cyan connections in Figure S2), and always at the same relative position in the sequence alignment (in FepA, R75-E511 and R126-E567). These facts distinguished site-2 from all other salt bridge locations, and this invariance was more noteworthy in light of the variability in composition and position of the ion pairs at sites-1, -3 and -4. Further, site-2 always links the base of NL1 and distal portion of Nβ3 (in EcoFepA, at residue R75) and Nβ5 (R126) to the interior wall of the β-barrel (E511 in β14 and E567 in β17, respectively). Thus, the site-2 ion pairs, and by implication their electrostatic interactions, were exactly comparable in every TBDR that we considered.
Sites-1, -3 and -4. Unlike the invariant Arg and Glu in site-2, sites-1, -3 and -4 sometimes had Lys or His at different positions in the NTLD, sometimes paired to Asp in the CTβB. For example, site-1 bridges (green lines in Figure S1) were variable in compositions and locations, originating in Nα2 or Nα3 and connecting to multiple β-strands: 17, 19, 20, 21, 22, or L10. Two of these site-1 pairs also showed evolutionary covariance (an indicator of mechanistic importance [54]) among the TBDRs we studied. That is, besides basic residues on the NTLD and acidic residues on the CTβB, in site-1 we also found acidic side chains on the NTLD paired to basic side chains on the CTβB. Site-3 (purple) connections were similarly variable and one was covariant, originating at different locations in the N-domain and connecting to β-strands 7–11 of the CTβB (Figure S3). Site-4 bridges (red lines in Figure S3) involved Nβ2, Nβ3 or Nβ4, but the individual residues within them manifested more diversity of locations and composition. For example, in Nβ2 a nearly conserved Asp (D117 in FepA) linked to either K or R at various positions in (β1–β5) of the CTβB. Other site-4 acidic and basic residues in Nβ3 or Nβ4, respectively, associated with oppositely charged side chains positions in β1 or β2 of the CTβB; two positions were evolutionarily covariant. Despite the different components, positions and attributes of ion pairs in sites-1 to -4, their conservation in TBDR interiors intimated stabilization of the NTLD within the CTβB, which presumably plays a mechanistic role in transport.
2.2. Site-Directed Mutagenesis of Ion Pair Residues in E. coli FepA and FhuA
In light of the apparent electrostatic interactions between the NTLD and the CTβB interior, we used alanine scanning mutagenesis [43,55] to investigate the function of sites-1 to -4 in FeEnt transport by FepA. We first eliminated ionic bonding in the sites (Figure 1) by individually changing the predominantly acidic β-barrel residues to Ala. In FepA, three of the eight target β-barrel amino acids are Asp, four are Glu, and the eighth is Arg. Besides introducing these individual Ala substitution mutations in the FepA β-barrel, we combined them as double or triple mutations to fully eliminate any ionic bonding at the individual sites-1 to -4 (Table 1). For example, at site-1 we made the single substitutions E664A and E676A, as well as the double substitution E664A_E676A. At site-4 we made the single substitutions E117A, R178A and E250A, as well as their double and triple combinations. Because our initial findings with the ferric catecholate transporter FepA showed the importance of site-2, we made the equivalent Ala substitutions in site-2 of the Fc transporter, FhuA, with single mutations E522A and E571A, and their double combination. The Ala scanning approach systematically replaced the individual acidic or basic residues with a similarly sized, non-ionizable side chain that precluded the formation of electrostatic or H-bonds. Lastly, besides substituting Ala for Asp or Glu on the CTβB, we further substituted Ala for ion-paired Arg residues on the NTLD: R75A, R126A, R75A_R126A in FepA; R93A, R133A, R93A_R133A in FhuA.
Table 1.
Ala substitutions for residues composing NTLD-CTβB salt bridges in FepA and FhuA. Colors designate 4 sites containing ionic pairs that presumably link the NTLD to the CTβB (depicted in panels B–F of Figure 1). We created single, double or triple Ala substitutions for the enumerated residues.
2.3. Expression of FepA and FhuA Mutants
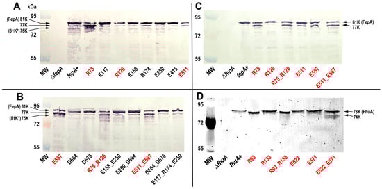
Immunoblots of bacterial cell lysates (Figure 2) evaluated the expression of wild-type FepA and its mutants. The site-1 to -4 charge ablation mutations did not reduce expression of the FepA proteins: E. coli produced FepA and the Ala substitution mutants at about the same level (Figure 2). However, upon cell lysis FepA is susceptible to proteolysis by OmpT near its N-terminus [56,57,58,59], and some of the FepA site-2 mutants (R75A, E567A and their combinations) were more degraded in the immunoblots (Figure 2A,B). OmpT is an OM-resident protease that cleaves host factors, including cationic peptides and complement [60,61,62,63], and adventitiously cleaves other OM proteins when released into solution by cell lysis or detergent solubilization [57,58,64,65,66]. To minimize this degradation we engineered an OmpT-deficient strain of E. coli (OKN2359: entA, Δfiu, ΔfepA, Δcir, ΔompT) as the host for pITS23 (fepA+) and its derivatives. Some proteolysis of FepA_R75A, FepA_E567A and their combinations still occurred in the ΔompT strain, but the extent was reduced (Figure 2C). The enhanced protease susceptibility of site-2 mutants was noteworthy (see Discussion). Most important regarding the phenotypes of the FepA site-2 Ala mutants, a large amount of each full-length, unproteolyzed FepA polypeptide remained intact in the ΔompT host. Further, with one exception, the site-2 Ala substitution mutants of FhuA were not proteolytically degraded (Figure 2). The exception, FhuA_E522A_E571A, was partially proteolyzed in SDS-PAGE gels of FM-labeled cell lysates.
Figure 2.
Expression of FepA and FhuA Ala substitution mutants. (Panels A,B) E. coli OKN359 (Δfiu, ΔfepA, Δcir)/pHSG575, carrying fepAA698C or its Ala substitution mutants, were grown in MOPS media, collected by centrifugation and boiled in sample buffer. We loaded the lysates (5 × 107 cells) in an SDS –PAGE gel, and after electrophoresis we transferred the proteins in the gels to nitrocellulose and developed it with α-FepA mAb 44 [67] and GαMIg-alkaline phosphatase. Band 81K* designates the known degradation product of FepA by OmpT [56,57,58]. Mutant FepA proteins at site-2 (red text) were more susceptible to proteolysis by OmpT. (C) We repeated the procedure in OKN2359 (Δfiu, ΔfepA, Δcir ΔompT). Deletion of ompT reduced the proteolysis: wild-type FepA was not degraded, and the site-2 Ala mutants were less degraded (≥ 50% of the full-length mutant polypeptides remained). (D) We grew E. coli OKN17 (ΔtonB, ΔfhuA)/pHSG575 carrying fhuAS396C, or its Ala mutant derivatives, in MOPS media, labeled them with FM, lysed them by boiling in sample buffer and loaded 5 × 107 cells into the lanes of an SDS–PAGE gel. After electrophoresis we used a UV transilluminator to visualize the fluorescently labeled FhuA proteins.
2.4. Siderophore Nutrition and Colicin Susceptibility
FepA is the OM receptor for FeEnt and colicin B (ColB). Using microbiological siderophore nutrition assays [68,69], we first evaluated the FeEnt uptake activities of eight individual and four double Ala substitutions for Glu or Asp at sites-1–4 on the CTβB interior of FepA. Only the double mutation at site-2 (E511A_E567A) fully blocked FeEnt uptake (Figure 3; Table 2): no growth was seen around a disk of 50 uM FeEnt on plates of the FepA_E511A_E567A mutant, illustrating the importance of the site-2 salt bridge interactions. On the other hand, Ala substitutions for Glu or Asp at sites-1, -3 and -4, including their double-mutant combinations, did not reduce FeEnt uptake in nutrition tests (Figure 3).
Figure 3.
Siderophore nutrition tests of FepA and FhuA salt bridge mutants. After substitution of Ala for Asp or Glu residues in sites-1 to -4, we expressed the fepA proteins in E coli OKN359 (entA, Δfiu, ΔfepA, Δcir), and the mutant fhuA alleles in E. coli OKN7 (ΔfhuA). Siderophore nutrition tests assessed the uptake 50 uM FeEnt or Fc in the FepA and FhuA mutants, respectively.
The strong impact of E511A and E567A in FepA on FeEnt uptake led us to construct Ala substitutions for their electrostatic partners, R75 and R126. In this case, the individual Ala substitutions R75A and R126A in FepA changed the morphology of the FeEnt nutrition halos (larger or smaller, respectively; Figure 3, Table 2), suggesting a reduction in rate or extent of FeEnt uptake [70]. Furthermore, like E511A_E567A, the double mutant R75A_R126A eliminated the growth halo around 50 nM FeEnt. So, replacement of either the acidic or basic salt bridge partners with Ala at site-2 blocked FeEnt transport by FepA. The FeEnt nutrition assays gave the same results in ompT+ or ΔompT backgrounds (Table 2).
FhuA is the cognate TBDR for Fc and ColM [69]. Because ablation of ionic interactions at site-2 disrupted FeEnt uptake by FepA, we evaluated the equivalent site-2 residues in FhuA during Fc uptake. As seen for FepA_R75A, the single substitutions at site-2 in FhuA (R93A, R133A, E522A, E571A) resulted in larger nutrition halos around 50 uM Fc (Figure 3), indicating an impaired rate of Fc uptake. As in FepA, the double FhuA substitution mutants at site-2 (R93A_R133A, E522A_E571A) abolished Fc transport (Figure 3; Table 2).
Bacteriocin susceptibility followed nearly the same patterns for both receptors. Single Ala substitutions for Glu or Arg in site-2 of FepA decreased susceptibility to ColB 5–20-fold, and the double mutants R75A_R126A and E511A_E567A were 100–500-fold less sensitive to ColB (Figure 4 and Figure S5, Table 2). The ColB killing assays gave the same results in ompT+ or ΔompT backgrounds (Table 2). Analogous reductions in sensitivity to ColM occurred in cells expressing FhuA and its mutants (Figure 4, Table 2): the site-2 single mutants R93A and R133A reduced ColM susceptibility 2–5-fold, and double mutants FhuA_R93A_R133A, and FhuA_E522A_E571A decreased killing 100–500-fold (Table 2). Unlike their behavior in siderophore nutrition tests, the double Ala substitutions at sites-1, -3 and -4 in FepA also reduced sensitivity to ColB, although less (2–10-fold) than at site-2 (100–500-fold, Figure 4). In summary, nutrition tests implicated charge interactions at site-2 during iron uptake through both FepA and FhuA, and bacteriocin titrations reiterated the importance of site-2 in uptake of ColB and ColM by FepA and FhuA, respectively. ColB killing was affected by Ala substitution at sites-1, -3 and -4 in FepA. Both siderophore nutrition and colicin susceptibility test results were unaffected by the presence or absence of OmpT in the plasmid host strains (Table 2).
Figure 4.
Sensitivity of Ala mutants to colicins. We deposited dilutions of ColB and ColM on lawns of bacteria expressing FepA and FhuA (respectively) or their Ala mutants (Figure S5). The graph plots colicin titer (Table 2) on the Ala mutants relative to wild-type FepA (100%). Ala substitutions at site-2 (red text) produced the largest reductions in colicin susceptibility.
2.5. Fluorescent Spectroscopic Measurements of FeEnt Binding and Transport
We used fluorescent sensor assays [71] to measure the binding and transport of FeEnt or Fc by site-2 Ala substitution mutants in FepA and FhuA. These assays revealed that the uptake deficiencies in site-2 mutants did not originate from impaired FeEnt or Fc binding. The (nanomolar) binding affinities of FepA for FeEnt and FhuA for Fc were not altered by the site-2 Ala substitutions, either singly or in combinations (Figures S6 and S7). The apparent affinity of the mutant FepA receptor proteins for FeEnt was statistically indistinguishable from that of wild-type FepA (KD ≈ 1 nM; Figure S6; see Discussion). In some cases (R75A, R75A_R126A; E567A, E511_E567A) the overall extent of fluorescent quenching by saturating concentrations of FeEnt was less, but this reduction did not alter the KD value. We found comparable results for site-2 mutants in FhuA (Figure S7): the apparent affinities of all the FhuA proteins were the same (KD ≈ 1 nM). The normal affinities of site-2 Ala mutants of FepA and FhuA for FeEnt and Fc, respectively, implied that their transport defects were restricted to the ligand internalization reaction.
Spectroscopic FeEnt and Fc uptake studies confirmed the results of siderophore nutrition assays (Figure 5; Table 2). In FepA, R126A reduced the rate of FeEnt uptake (63% of wild-type level), while the single mutation R75A and the double Ala substitution R75A_R126A completely blocked FeEnt acquisition. Likewise, both E567A and E511A_E567A eliminated FeEnt uptake in these tests. Analogously at site-2 in FhuA, both R93A and the double Ala substitution R93A_R133A eliminated Fc uptake (Figure 5; Table 2). E522A reduced the rate of Fc uptake (to 55% of wild-type level), and E522A_E571A further decreased the Fc uptake rate (to 27% of wild-type levels; Figure 5; Table 2). Overall, the siderophore nutrition assays and spectroscopic uptake experiments consistently showed transport defects in Ala substitution mutants at site-2.
Figure 5.
FeEnt and Fc uptake by FepA and FhuA site-2 Ala mutants. (A,B) FeEnt uptake. We grew OKN2359 (Δfiu, ΔfepA, Δcir, ΔompT)/pITS23 with fepA+ or its site-2 Ala mutants in iron-deficient MOPS media and measured FeEnt uptake with sensor OKN1359 (ΔtonB, Δfiu, ΔfepA, Δcir)/ pFepA_A698C-FM [1]. (A) Relative to FepA+, FepA_R126A had a reduced uptake rate; FepA_R75A and FepA_R75A_R126A did not transport FeEnt. (B) FepA_E511A acquired FeEnt like FepA+, but FepA_E567A and FepA_E511A_E567A did not acquire it. (C,D) Fc uptake. We grew OKN7 (ΔfhuA)/pITS11 with fhuA+ or its site-2 Ala substitutions in iron-deficient MOPS media and measured Fc uptake with sensor OKN17 (ΔtonB, ΔfhuA)/pFhuA_S3968C-FM. (C) FhuA_R133A transported Fc like FhuA+, but FhuA_R93A had a much lower Fc uptake rate and FhuA_R93A_R133A did not transport Fc. (D) FhuA_E571 transported Fc like FhuA+, but FhuA_E522A had reduced uptake, and FhuA_E522A_E571A was more impaired.
Figure 5.
FeEnt and Fc uptake by FepA and FhuA site-2 Ala mutants. (A,B) FeEnt uptake. We grew OKN2359 (Δfiu, ΔfepA, Δcir, ΔompT)/pITS23 with fepA+ or its site-2 Ala mutants in iron-deficient MOPS media and measured FeEnt uptake with sensor OKN1359 (ΔtonB, Δfiu, ΔfepA, Δcir)/ pFepA_A698C-FM [1]. (A) Relative to FepA+, FepA_R126A had a reduced uptake rate; FepA_R75A and FepA_R75A_R126A did not transport FeEnt. (B) FepA_E511A acquired FeEnt like FepA+, but FepA_E567A and FepA_E511A_E567A did not acquire it. (C,D) Fc uptake. We grew OKN7 (ΔfhuA)/pITS11 with fhuA+ or its site-2 Ala substitutions in iron-deficient MOPS media and measured Fc uptake with sensor OKN17 (ΔtonB, ΔfhuA)/pFhuA_S3968C-FM. (C) FhuA_R133A transported Fc like FhuA+, but FhuA_R93A had a much lower Fc uptake rate and FhuA_R93A_R133A did not transport Fc. (D) FhuA_E571 transported Fc like FhuA+, but FhuA_E522A had reduced uptake, and FhuA_E522A_E571A was more impaired.

Table 2.
Phenotypic attributes of Ala substitutions for site-2 salt bridge residues in E. coli FepA and FhuA. a For spectroscopic binding experiments we expressed the fepA alleles on pITS23 in OKN1359 (ΔtonB, ΔfepA, Δcir, Δfiu) (Figure S6); for FeEnt uptake and ColB susceptibility assays, we expressed them in host strain OKN359 (ΔfepA, Δcir, Δfiu) or OKN2359 (ΔfepA, Δcir, Δfiu, ΔompT) (Figure 5). b Apparent KD (nM) derived from fluorescence quenching of FepA or FhuA Ala mutants in titrations with increasing amounts of FeEnt or Fc, respectively (Figures S6 and S7). c Diameter (mm) of growth around discs containing 50 uM FeEnt or Fc on iron-deficient NB plates seeded with E. coli expressing wild-type FepA or FhuA, respectively, or their Ala substitution mutants. d Rate of FeEnt or Fc uptake (pmol/min/109 cells), calculated from rate measurements in fluorescence sensor assays. e Titer (reciprocal of the limiting dilution of ColB or ColM stock that gave clearing of the agar in plate tests (Figure S5)) on E. coli expressing FepA or FhuA Ala mutant proteins, relative to titer on wild-type FepA or FhuA (arbitrarily set to 100). f We expressed the fhuA alleles on pITS11 in host strain OKN17 (ΔtonB, ΔfhuA) for spectroscopic binding experiments, and in host strain OKN7 (ΔfhuA) for Fc uptake and ColM susceptibility assays.
Table 2.
Phenotypic attributes of Ala substitutions for site-2 salt bridge residues in E. coli FepA and FhuA. a For spectroscopic binding experiments we expressed the fepA alleles on pITS23 in OKN1359 (ΔtonB, ΔfepA, Δcir, Δfiu) (Figure S6); for FeEnt uptake and ColB susceptibility assays, we expressed them in host strain OKN359 (ΔfepA, Δcir, Δfiu) or OKN2359 (ΔfepA, Δcir, Δfiu, ΔompT) (Figure 5). b Apparent KD (nM) derived from fluorescence quenching of FepA or FhuA Ala mutants in titrations with increasing amounts of FeEnt or Fc, respectively (Figures S6 and S7). c Diameter (mm) of growth around discs containing 50 uM FeEnt or Fc on iron-deficient NB plates seeded with E. coli expressing wild-type FepA or FhuA, respectively, or their Ala substitution mutants. d Rate of FeEnt or Fc uptake (pmol/min/109 cells), calculated from rate measurements in fluorescence sensor assays. e Titer (reciprocal of the limiting dilution of ColB or ColM stock that gave clearing of the agar in plate tests (Figure S5)) on E. coli expressing FepA or FhuA Ala mutant proteins, relative to titer on wild-type FepA or FhuA (arbitrarily set to 100). f We expressed the fhuA alleles on pITS11 in host strain OKN17 (ΔtonB, ΔfhuA) for spectroscopic binding experiments, and in host strain OKN7 (ΔfhuA) for Fc uptake and ColM susceptibility assays.
| fepA allele a | Binding b | FeEnt Transport | Colicin B e | ||||
| Nutrition c | Uptake d | ||||||
| ompT+ | ΔompT | ompT+ | ΔompT | ompT+ | ΔompT | ||
| fepA+ | 0.4 ± 0.05 | 15 | 14 | 40 | 50 | 100 | 100 |
| R75A | 0.7 ± 0.1 | 16 | 15 | 0 | 0 | 2 | 0.1 |
| R126A | 0.4 ± 0.1 | 17 | 16 | 17 | 32 | 10 | 10 |
| R75A_R126A | 0.4 ± 0.15 | 0 | 0 | 0 | 0 | 4 | 5 |
| E511A | 1.0 ± 0.1 | 15 | 15 | 50 | 50 | 40 | 50 |
| E567A | 0.4 ± 0.1 | 18 | 17 | 24 | 0 | 10 | 20 |
| E511A_E567A | 0.6 ± 0.1 | 0 | 0 | 0 | 0 | 0.2 | 2 |
| Fc Transport | ColM e | ||||||
| fhuA allele f | Binding b | Nutr c | Uptake d | ||||
| fhuA+ | 0.4 ± 0.1 | 13 | 12 | 100 | |||
| R93A | 1 ± 0.2 | 15 | 0 | 37 | |||
| R133A | 0.7 ± 0.2 | 15 | 6 | 25 | |||
| R93A_R133A | 1.3 ± 0.1 | 0 | 0 | 0 | |||
| fhuA+ | 0.4 ± 0.1 | 13 | 15 | 100 | |||
| E522A | 0.5 ± 0.1 | 15 | 9.2 | 100 | |||
| E571A | 0.7 ± 0.3 | 16 | 15 | 100 | |||
| E522A_E571A | 1.1 ± 0.1 | 0 | 4 | 0 | |||
The crystal structures of FepA (PDB 1Fep) and FhuA (PDB 1by3 and 1by5), in the latter case complexed with Fc, do not fully explain the individual electrostatic interactions at site-2. In both proteins the four residue side chains associate together at the NTLD- CTβB interface, directly above the TonB-box (Figure S10) and across the channel from the transition point of NTLD to CTβB (residue 150 in FepA, 160 in FhuA). The ferric siderophore uptake measurements suggest that R75 and E567 are most functionally important in FepA, and that R133 and E522 are most functionally important in FhuA. The strong (95%) [40] evolutionary conservation of these residues suggests the overarching mechanistic importance of site-2 in all TBDRs.
3. Discussion
Maurice Hofnung, who studied maltodextrin transport through the E. coli OM protein LamB (maltoporin; [72,73]) and the IM complex MalEFGK [74,75,76], once stated that he sought to find single critical residues that were indispensable to the biochemical activities of these transporters. Our findings identified crucial interactions in FepA, FhuA, and conceivably all TBDRs that influence both uptake of ferric siderophores and susceptibility to bacteriocins. In the crystal structures of FepA [15], FhuA [17] and other TBDRs, this electrostatic association at site-2 presumably restricts NTLD motion directly above the TonB-box by bonding the distal part of Nβ3 (beneath NL1) and the distal part of Nβ5 to the CTβB (Figure S10). This adherence is apparently necessary for the biochemical activities of TBDRs: unlike other interactions at sites-1, -3 and -4, Ala substitutions at site-2 severely impaired or abrogated FepA- and FhuA-mediated iron transport, as well as their susceptibility to ColB and ColM, respectively. These findings imply that adherence of the NTLD to the β-barrel at site-2 is a necessary condition of ligand uptake. On the other hand, adherence at sites-1, -3 and -4 was not necessary: Ala substitutions that compromised those salt bridges did not prevent FeEnt uptake.
The previously noted ion pairs in FepA [15,37,39,40] raised the possibility of electrostatic channel gating during ligand uptake, for example between R75 and R126 on the NTLD, and E511 and E567 on β14 and β17 of the CTβB. Protonation of E511 and E567 will neutralize any ionic bonding, releasing the NTLD to either move out of the channel, or to undergo conformational motion within the channel. Either conformational dynamic may open a pathway for ligand transport. Mutagenesis indicates that the ion pairs at site-2 are requisite for ligand uptake to occur. However, the interpretations of this result are not necessarily straightforward. It is conceivable that in native TBDRs the neutralization of the site-2 salt bridges unlocks their NTLD to gross movements that facilitate ligand internalization. Yet, the numerous other stabilizing ion pairs in the NTLD-CTβB interface, and the lack of any known pathway of proton flow into TBDR interiors, undercut such a potential mechanism. It is especially noteworthy that disulfide bonds that hold the NTLD within the CTβB do not interfere with FeEnt uptake [42]. Additionally, the electrostatic interactions of ion pairs at sites-1 to -4 may purposefully stabilize the position and conformation of the NTLD inside the transmembrane β-barrel, preserving an extant pathway of ligand passage through the receptors [43]. Ionic and hydrogen bonds are the strongest non-covalent interactions in proteins; their presence between the NTLD and the CTβB opposes NTLD movement, either out of or within the channel. Site-2 involves the distal ends of Nβ3 and Nβ5, that associate with β14 and β17 of the CTβB. We suggest that adherence at this location creates a molecular anchor that prevents motion in certain regions of NTLD structure (e.g., above Nβ5), but allows conformational change in other regions, like the TonB-box and connected structural elements (Nα1, Nβ3, Nα2). For example, Nα2, that was implicated in the gating of ferric catecholate transport through Fiu [43] is directly connected to site-2 by Nα1 (Figure S10). If iron complexes move through TBDR interiors to an equilibrium position above a portal to the periplasm that is blocked by Nα2, then rotational motion of TonB [44], bound to the TonB-box, may relocate Nα1- Nα2, and thereby open a pathway for the ligand to the periplasm. This postulate concurs with the conclusion that part of the NTLD is more susceptible to conformational motions as a result of interactions with the TonB C-terminus [77]. Other studies also concluded that the NTLD of FepA undergoes conformational rearrangements during FeEnt transport [42,78].
Ala substitutions increased susceptibility of E. coli K-12 FepA to proteolysis. One known degradation was by OmpT, a 10-stranded OM β-barrel, aspartyl protease in the Omptin family [79,80,81], that naturally defends against host antimicrobial peptides. Its active site resides on the bacterial cell surface (Figure S10) [82], and preferentially cuts between dibasic residues (RK KR, RR, KK), but the residue following the scissile bond may vary (e.g., Arg, Lys, Ile, Gly, Val) [83,84,85,86,87]. OmpT is not readily inactivated by denaturing conditions (boiling, SDS, urea) [83,84,85,86,87]), and it does not cleave other OM proteins in vivo, but degrades them when it is released into solution by cell lysis or detergent solubilization [57,58,64,65,66]. When the OM is solubilized by detergent, OmpT cuts near the N-terminus of FepA [56,57,58,59]. The chromosomal deletion of ompT that we generated eliminated degradation of wild-type FepA and reduced the degradation of its site-2 Ala substitution mutants, but cleavage at one site persisted in cell lysates (Figure 2), even in the OmpT-deficient background (OKN2359: Δfiu, ΔfepA, Δcir, ΔompT). Additional experiments are needed to identify the source of this remaining proteolysis. Nevertheless, various findings indicate that the degradation by OmpT seen in immunoblots did not occur in vivo, but rather occurred during cell lysis, as is consistent with the known activity of OmpT. These and other data, summarized below, signify that the abrogated uptake activities of the site-2 mutants resulted from the effects of the mutations themselves on the transport process.
- (i).
- FeEnt nutrition tests, ColB killing assays, and spectroscopic FeEnt uptake studies of FepA gave the same results whether the plasmid host strain was OKN359 (ompT+) or OKN2359 (ΔompT) (Table 2; Figure 5A,B). The presence or absence of the protease made no difference to the phenotypes of the site-2 mutants, which implies that the enzyme does not affect FepA in vivo.
- (ii).
- Less degradation occurred in cell lysates of OKN2359 (ΔompT), so high concentrations of full-length FepA polypeptides were present in all the mutants (Figure 2C). Despite the fact that ~50% of total FepA was intact and un-degraded, numerous site-2 Ala constructs (R75A, R75A_R126A, E567A, E511_567A) were devoid of FeEnt uptake, and highly resistant to ColB killing. These data demonstrate that the transport defects of site-2 Ala substitutions derive from mechanistic impairment created by the mutations themselves.
- (iii).
- Fluorescence scans of SDS-PAGE gels of lysates from the mutant derivatives of FepA_698C-FM revealed proteolytic cleavage at sites within the NTLD (residues 37-38 and 48-49 (see below; Figures S8 and S9)). These regions of FepA normally reside inside the CTβB (Figure 1 and Figures S9 and S10), where they are inaccessible to OmpT as it exists in the OM of living cells.
- (iv).
- Most FhuA Ala mutants were not proteolytically degraded, but R93A, E522A and R93A_R133A did not transport Fc. FhuA_E522A_E571A was partially proteolyzed, but a large amount of intact FhuA_E522A_E571A remained in the cells, so its complete loss of Fc transport ability derived from the mutation itself.
In both ompT+ and ΔompT strains, FeEnt uptake was reduced or eliminated by the site-2 mutations. The reductions in FeEnt uptake were not from proteolytic degradation of FepA, because a large amount of un-degraded, full-length mutant FepA polypeptide was present in the ΔompT cells. We conclude that the site-2 Ala substitutions themselves blocked the iron uptake process. This finding concurred with the fact that FhuA site-2 mutants (R93A, E522A R93A_R133A), that were not proteolytically degraded, showed a similar loss of Fc transport.
The increased susceptibility to proteolysis of the Ala substitution mutants of FepA gave insight into the structural effects of charge ablation at site-2. The degradation of FepA site-2 charge mutants led to two predominant products: ~77 kDa and ~75 kDa. The locations of the cleavage sites (Figure 2 and Figures S8 and S9), between residues R37-K38 (77 kDa product) and K48-I49 (75 kDa) were apparent from the known target specificity of OmpT [83,84,85,86,87] and the fact that the FepA orthologs of E. coli B and Salmonella typhimurium LT2 are not cleaved by OmpT [57]. Cleavage at the former site persisted in the ΔompT host, whereas the latter was absent in the ΔompT strain. Sites R37-K38 and K48-I49 became more accessible in FepA_R75A, FepA_E567A and their combinations. These targets are in the NTLD (Figures S9 and S10), so the enhanced proteolysis suggested that ablation of charge interactions at site-2 at least partially released the NTLD from the CTβB, where it became more susceptible to proteases in the cell lysate.
It is of interest to consider these data in light of the phenotypes of mutants containing disulfide linkages either within the NTLD, or linking it to the CTβB [42]. Disulfide bonds that linked the luminal domain to the β-barrel (near sites-1, -2, -3 and -4; Figure 1) did not prevent FeEnt transport. These data infer that parts of the NTLD may remain fixed within the CTβB during ligand uptake, which concurs with the notion of its electrostatic stabilization of the NTLD in the β-barrel by the ion pair network that we investigated. Our findings further underscore that stabilizations at site-2 are necessary for ferric siderophore uptake by both FepA and FhuA. On the other hand, the interactions at sites-1, -3 and -4 are not a requisite, and may be eliminated without disrupting the iron transport activities of FepA. Stated another way, dynamics involving the NTLD and the CTβB at sites-1, -3 and -4 are permissible. Majumdar et al. [42] concluded that conformational dynamics must occur within the NTLD, because disulfide bonds between the β-strands of its central β-sheet, that preclude conformational motion, prevented FeEnt uptake. Thus, both site-directed Ala substitution mutagenesis and site-directed disulfide bonds suggested the same conclusions: (i) the NTLD remains within the CTβB during TBDR transport activity, and (ii) conformational motion in the NTLD triggers the internalization of bound iron complexes into the periplasm. In FepA and FhuA, and likely all TBDRs, the NTLD adheres to the CTβB at site-2, but it undergoes conformational dynamics in other regions as iron passes through the transmembrane channel. The identification of five evolutionarily conserved glycines in the N-domain, surrounding the charge cluster at site-2, [40], implies conformational flexibility, as a result of their minimized φ/ψ steric hindrance. These outcomes generally agree with molecular dynamic simulations of Fiu-mediated uptake of degraded FeEnt (FeEnt*), an iron complex that is proposed to travel a defined pathway between the NTLD and the CTβB in Fiu [43]. This route involves binding poses in the protein interior that ultimately position FeEnt* above a narrow opening between the N-domain and the β-barrel (Figure S10). In its resting state [30], this pore is too small to permit passage of FeEnt*, implying that the role of TonB activity is to transiently change the conformation of the NTLD in a way that enlarges the channel, either allowing or compelling FeEnt* into the periplasm.
4. Materials and Methods
4.1. Bacterial Strains and Plasmids
E. coli strains with precise, site-directed deletions of entA, fiu, fepA, fhuA, cir, and/or tonB [78] derived from MG1655 [88]. These constructs did not synthesize siderophores nor relevant OM TBDR; we used them as hosts for plasmids expressing TBDRs of interest. The strains included OKN359 (ΔentA, ΔfepA, Δfiu, Δcir), OKN1359 (ΔentA, ΔtonB, ΔfepA, Δfiu, Δcir), OKN2359 (ΔentA, ΔfepA, Δfiu, Δcir, ΔompT), OKN7 (ΔentA, ΔfhuA) and OKN17 (ΔentA, ΔtonB, ΔfhuA) [78].
We cloned and expressed OM TBDR in pITS23 [89] or pITS11 [89], that derive from the low-copy (1-3/cell) plasmid pHSG575 [90,91]. pITS23 and pITS11 carry intact, functional fepA and fhuA structural genes, respectively, under control of their natural Fur promoters [89]. We introduced site-directed substitution mutations into both fepA and fhuA structural genes for study in vivo.
4.2. Site-Directed Mutagenesis
We created site-directed substitutions in fepA or fhuA, carried on pITS23 and pITS11, respectively. With a pair of complementary primers that flank the target codon, we introduced mutations that encoded Cys or Ala residues in mature FepA or FhuA. After digesting the wild-type template DNA with DpnI, we transformed BN1071 [92] with the mutant plasmid, isolated transformant clones and sequenced their plasmids to confirm the substitutions in fepA or fhuA. We did not expect the Ala substitutions to strongly disrupt local secondary or tertiary structures, especially because among more than 200 other site-directed Ala or Cys substitutions in FepA, <2% noticeably altered its assembly, OM localization, or functionality [42,70,93,94,95].
4.3. Iron-Deficient Bacterial Culture Conditions
We initially grew OKN359, OKN1359 or OKN2359 harboring pHSG575 derivatives of interest at 37 °C in Luria–Bertani (LB) broth [96] to stationary phase. For host strain and plasmid selection, the media contained streptomycin (100 µg/mL) and chloramphenicol (20 µg/mL), respectively. To impose low-iron stress and induce the expression of Fur-regulated FepA or FhuA, we sub-cultured stationary-phase LB cultures at 0.5% into iron-deficient MOPS minimal medium [97] and shook the flasks at 200 rpm for ~20 h at 37 °C to a cell density of 1.5–2.5 × 109 cells/mL.
4.4. Siderophores
We prepared apo and iron complexes from purified siderophores [98]. For FeEnt we mixed a micromole of purified Ent in 0.5 mL of methanol with a micromole of FeCl3 in 0.5 mL distilled water, allowed the mixture to incubate for a few minutes, added NaHPO4, pH 7, to 50 mM, allowed the mixture to incubate at RT for an hour, and then purified the FeEnt complex over a column (1.5 × 50 cm) of Sephadex LH20 in 5 mM NaHPO4, pH 7 [99]. For Fc, we diluted a micromole of crystals into 1 mL of 5 mM NaHPO4, pH 7.
4.5. Siderophore Nutrition Tests
We qualitatively analyzed iron transport by microbiological nutrition tests [99]. Cells expressing wild-type FepA, FhuA or their mutant derivatives were grown overnight in LB broth to stationary phase and sub-inoculated at 1% into nutrient broth (NB) containing streptomycin (100 ug/mL) and chloramphenicol (20 ug/mL). After overnight growth in NB, we mixed 100 µL of NB culture with 3 mL of molten NB top agar containing 100 μM apoferrichrome A and appropriate antibiotics, and deposited the mixtures in a 6-well microplate. We applied a paper disc to the solidified agar and added 10 µL of 50 µM ferric siderophore to the disc. After 24 h at 37 °C, we measured the diameter of growth around the paper disc.
4.6. Colicin Susceptibility Assays
We determined the susceptibility of FepA and FhuA mutants to colicins B and M, respectively, by microbiological plate tests. In each case we grew the individual test strains in LB broth overnight and plated 108 cells in 2 mL of LB top agar on LB plates. For each bacteriocin we prepared a sequential dilution matrix in half of a 96-well microtiter plate, with serial 10-fold dilutions of the purified colicin in PBS down the first column of the plate, and then serial 2-fold dilutions in PBS across columns 2-6. We used a sterile, 48-pin Clonemaster (Immusine Inc., Walnut Creek, CA, USA) to transfer 5 uL of each well of the colicin dilution matrix to the test plates, and incubated them overnight at 37 °C. This procedure revealed the titer of the ColB and ColM solutions on each FepA or FhuA mutant strain, as the reciprocal of the highest colicin dilution that gave clearance of the bacteria on the agar surface. We expressed these results as a percentage of wild-type titer.
4.7. Site-Directed Labeling with Fluorescein Maleimide (FM) [100]
We used FepA_A698C [94] and FhuA_S396C [71] for attachment of FM. In some experiments we combined these mutations with site-directed Ala substitutions (see below) for phenotypic analysis. For FM-labeling we cultured strains expressing the FepA or FhuA Cys mutant derivatives in 10 mL of MOPS iron-deficient minimal media for ~20 h to a density of 2–3 × 109 cells/mL. After collecting the bacteria by centrifugation at 7000× g for 10 min, we washed the pellet with, and resuspended it in 10 mL of 50 mM NaHPO4, pH 6.7. We added FM to the cell suspension to 5 µM, incubated the mixture for 15 min 37 °C, and quenched labeling by adding β-mercaptoethanol to 100 μM. We pelleted the fluoresceinated bacteria by centrifugation at 7000× g for 10 min and then washed and resuspended them in 10 mL of PBS, pH 7.4. We analyzed the extent of fluorescence labeling by spectroscopic determinations of fluorescence intensity, and its specificity by SDS-PAGE/image analysis.
4.8. SDS-PAGE and Western Immunoblots
We analyzed protein expression and fluorescence labeling by SDS-PAGE [101,102] and western immunoblots [67]. For determinations of protein expression, we suspended 108 bacterial cells in 100 μL of distilled water, added an equal volume of SDS-PAGE sample buffer containing 3% SDS and 0.3% β-mercaptoethanol, and heated the samples in a water bath at 100 °C for 5 min. We resolved the cell proteins on 12% acrylamide/0.3% bis acrylamide SDS-PAGE gels [101,102,103] and observed FM-labeled Cys mutant proteins by transillumination with UV light. For strains expressing FepA or its mutants, we transferred the proteins to nitrocellulose and imaged the blots with anti-FepA mAb 44 [67] and goat anti-mouse IgG-alkaline phosphatase.
4.9. Fluorescence Determinations of Ligand Binding
To measure the affinities of Ala substitution mutants in FepA, we engineered each mutation in the background of marker fepA_A698C (that does not affect FeEnt binding or transport [94]), and expressed them in E. coli OKN1359. To measure the affinities of Ala substitution mutants in FhuA, we engineered each of them in the background of marker fhuA_S396C (that does not affect Fc binding or transport [104]), and expressed them in OKN17 (ΔtonB, ΔfhuA). After FM-labeling of each of the strains (see above) we performed fluorescent determinations of ligand binding with an SLM AMINCO 8100 fluorescence spectrometer with an OLIS operating system (OLIS Inc., Bogart, GA, USA). We added 5 × 107 FM-labeled bacterial cells to 2 mL of PBS in a quartz cuvette, with stirring. Excitation and emission wavelengths were 488 nm and 520 nm, respectively. After measuring the initial fluorescence (F0) of the sample, we titrated the labeled cells with sequentially increasing concentrations of ferric siderophore, and recorded their corresponding fluorescence (F). We collected data in triplicate, plotted the mean values of 1-F/F0 versus [ligand], and analyzed the data with the “1-site with background” binding model of Grafit 6.0.12 (Erithacus Ltd. West Sussex, UK). The titrations yielded apparent binding KD values, as well as fitted curves of [bound ligand] as a function of [free ligand]:
Throughout this report, affinities are “apparent” KD values, in the sense that we did not directly measure binding of the iron complexes, but rather the fluorescence quenching that resulted from their binding.
4.10. Fluorescence Spectroscopic Uptake Measurements
We employed decoy sensors [71] to monitor TonB-dependent uptake of FeEnt or Fc by FepA and FhuA wild-type TBDRs, and their Ala substitution mutant derivatives. In the fluorescence spectroscopic uptake studies we used E. coli OKN1359 [71] as host for pITS23 encoding fepA_A698C [94] or OKN17 as host for pITS11 encoding fhuA_S396C [104]. After growing these strains in iron-deficient MOPS media, we labeled them with FM. The TonB-deficient host strains are incapable of ferric siderophore uptake, and acted as sensitive sensors of [FeEnt] or [Fc] in solution [71], that monitored the uptake of the ferric siderophores by test strains. We expressed the Ala substitution mutant FepA or FhuA proteins in OKN2359 (ΔentA, ΔfepA, Δfiu, Δcir, ΔompT) or OKN7 (ΔentA, ΔfhuA), respectively, and grew them overnight in iron-deficient MOPS minimal media. For each assay we combined 107 sensor cells (e.g., OKN1359/pFepA-FM [71]) and 107 cells of the mutant test strain in a 2 mL quartz cuvette containing PBS + 0.2% glucose at 37 °C. After recording fluorescence intensity for 100 s, we added an iron complex (e.g., FeEnt) at a final concentration of ~10 nM. The siderophore bound to the sensor and quenched fluorescence (e.g., ~40% quenching for EcoFepA_A698C-FM). We monitored the time course of fluorescence emissions at 520 nm for 15–40 min, with stirring. Transport of the iron complex by the test strain caused an increase in fluorescence intensity as the cells depleted it from solution.
Supplementary Materials
The following supporting information can be downloaded at https://www.mdpi.com/article/10.3390/ijms27042007/s1.
Author Contributions
Conceptualizations, methodology, validation, formal analysis, investigation, writing—review and editing, S.M.N. and P.E.K.; resources, data curation, writing—original draft preparation, supervision, project administration, funding acquisition, P.E.K. All authors have read and agreed to the published version of the manuscript.
Funding
No external funding supported the research in this manuscript.
Institutional Review Board Statement
Not applicable.
Informed Consent Statement
Not applicable.
Data Availability Statement
Conflicts of Interest
The authors declare no conflicts of interest.
Abbreviations
The following abbreviations are used in this manuscript:
| TBDR | TonB-dependent receptor |
| NTLD | N-terminal luminal domain |
| CTβB | C-terminal β-barrel |
| OM | outer membrane |
| FeEnt | ferric enterobactin |
| Fc | ferrichrome |
| ColB | colicin B |
| ColM | colicin M |
| FM | fluorescein maleimide |
| PMF | proton motive force |
References
- Neilands, J.B. A Crystalline Organo-iron Pigment from a Rust Fungus (Ustilago sphaerogena). J. Am. Chem. Soc. 1952, 74, 4846–4847. [Google Scholar] [CrossRef]
- Neilands, J.B. Siderophores: Structure and function of microbial iron transport compounds. J. Biol. Chem. 1995, 270, 26723–26726. [Google Scholar] [CrossRef] [PubMed]
- Hider, R.C.; Kong, X. Chemistry and biology of siderophores. Nat. Prod. Rep. 2010, 27, 637–657. [Google Scholar] [CrossRef]
- Harris, W.R.; Carrano, C.J.; Raymond, K.N. Spectrophotometric determination of the proton-dependent stability constant of ferric enterobactin. J. Am. Chem. Soc. 1979, 101, 2213–2214. [Google Scholar] [CrossRef]
- Neilands, J.B. Microbial iron compounds. Annu. Rev. Biochem. 1981, 50, 715–731. [Google Scholar] [CrossRef]
- Pollack, J.R.; Neilands, J.B. Enterobactin, an iron transport compound from Salmonella typhimurium. Biochem. Biophys. Res. Commun. 1970, 38, 989–992. [Google Scholar] [CrossRef] [PubMed]
- Neilands, J.B. Hydroxamic acids in nature. Science 1967, 156, 1443–1447. [Google Scholar] [CrossRef] [PubMed]
- Anderson, G.J.; Frazer, D.M. Current understanding of iron homeostasis. Am. J. Clin. Nutr. 2017, 106, 1559s–1566s. [Google Scholar] [CrossRef]
- Chen, Y.; Fan, Z.; Yang, Y.; Gu, C. Iron metabolism and its contribution to cancer. Int. J. Oncol. 2019, 54, 1143–1154. [Google Scholar] [CrossRef]
- Chifman, J.; Laubenbacher, R.; Torti, S.V. A systems biology approach to iron metabolism. Adv. Exp. Med. Biol. 2014, 844, 201–225. [Google Scholar] [CrossRef]
- Noinaj, N.; Guillier, M.; Barnard, T.J.; Buchanan, S.K. TonB-dependent transporters: Regulation, structure, and function. Annu. Rev. Microbiol. 2010, 64, 43–60. [Google Scholar] [CrossRef] [PubMed]
- Di Masi, D.R.; White, J.C.; Schnaitman, C.A.; Bradbeer, C. Transport of vitamin B12 in Escherichia coli: Common receptor sites for vitamin B12 and the E colicins on the outer membrane of the cell envelope. J. Bacteriol. 1973, 115, 506–513. [Google Scholar] [CrossRef] [PubMed]
- Newton, S.M.; Trinh, V.; Pi, H.; Klebba, P.E. Direct measurements of the outer membrane stage of ferric enterobactin transport: Postuptake binding. J. Biol. Chem. 2010, 285, 17488–17497. [Google Scholar] [CrossRef]
- Braun, V. Substrate Uptake by TonB-Dependent Outer Membrane Transporters. Mol. Microbiol. 2024, 122, 929–947. [Google Scholar] [CrossRef]
- Buchanan, S.K.; Smith, B.S.; Venkatramani, L.; Xia, D.; Esser, L.; Palnitkar, M.; Chakraborty, R.; van der Helm, D.; Deisenhofer, J. Crystal structure of the outer membrane active transporter FepA from Escherichia coli. Nat. Struct. Biol. 1999, 6, 56–63. [Google Scholar] [PubMed]
- Ferguson, A.D.; Chakraborty, R.; Smith, B.S.; Esser, L.; van der Helm, D.; Deisenhofer, J. Structural basis of gating by the outer membrane transporter FecA. Science 2002, 295, 1715–1719. [Google Scholar] [CrossRef]
- Locher, K.P.; Rees, B.; Koebnik, R.; Mitschler, A.; Moulinier, L.; Rosenbusch, J.P.; Moras, D. Transmembrane signaling across the ligand-gated FhuA receptor: Crystal structures of free and ferrichrome-bound states reveal allosteric changes. Cell 1998, 95, 771–778. [Google Scholar] [CrossRef]
- Bradbeer, C. The proton motive force drives the outer membrane transport of cobalamin in Escherichia coli. J. Bacteriol. 1993, 175, 3146–3150. [Google Scholar] [CrossRef]
- Kadner, R.J. Vitamin B12 transport in Escherichia coli: Energy coupling between membranes. Mol. Microbiol. 1990, 4, 2027–2033. [Google Scholar] [CrossRef]
- Wiener, M.C. TonB-dependent outer membrane transport: Going for Baroque? Curr. Opin. Struct. Biol. 2005, 15, 394–400. [Google Scholar] [CrossRef]
- Bolam, D.N.; van den Berg, B. TonB-dependent transport by the gut microbiota: Novel aspects of an old problem. Curr. Opin. Struct. Biol. 2018, 51, 35–43. [Google Scholar] [CrossRef] [PubMed]
- Eisenbeis, S.; Lohmiller, S.; Valdebenito, M.; Leicht, S.; Braun, V. NagA-dependent uptake of N-acetyl-glucosamine and N-acetyl-chitin oligosaccharides across the outer membrane of Caulobacter crescentus. J. Bacteriol. 2008, 190, 5230–5238. [Google Scholar] [CrossRef] [PubMed]
- Pollet, R.M.; Martin, L.M.; Koropatkin, N.M. TonB-dependent transporters in the Bacteroidetes: Unique domain structures and potential functions. Mol. Microbiol. 2021, 115, 490–501. [Google Scholar] [CrossRef]
- Wang, C.C.; Newton, A. Iron transport in Escherichia coli: Relationship between chromium sensitivity and high iron requirement in mutants of Escherichia coli. J. Bacteriol. 1969, 98, 1135–1141. [Google Scholar] [CrossRef] [PubMed]
- Schauer, K.; Rodionov, D.A.; de Reuse, H. New substrates for TonB-dependent transport: Do we only see the ‘tip of the iceberg’? Trends Biochem. Sci. 2008, 6, 6. [Google Scholar] [CrossRef]
- Wu, J.Y.; Srinivas, P.; Pogue, J.M. Cefiderocol: A Novel Agent for the Management of Multidrug-Resistant Gram-Negative Organisms. Infect. Dis. Ther. 2020, 9, 17–40. [Google Scholar] [CrossRef]
- Saier, M.H., Jr. Families of proteins forming transmembrane channels. J. Membr. Biol. 2000, 175, 165–180. [Google Scholar] [CrossRef]
- Nikaido, H. Porins and specific diffusion channels in bacterial outer membranes. J. Biol. Chem. 1994, 269, 3905–3908. [Google Scholar] [CrossRef]
- Buchanan, S.K.; Lukacik, P.; Grizot, S.; Ghirlando, R.; Ali, M.M.; Barnard, T.J.; Jakes, K.S.; Kienker, P.K.; Esser, L. Structure of colicin I receptor bound to the R-domain of colicin Ia: Implications for protein import. Embo J. 2007, 26, 2594–2604. [Google Scholar] [CrossRef]
- Grinter, R.; Lithgow, T. The structure of the bacterial iron-catecholate transporter Fiu suggests that it imports substrates via a two-step mechanism. J. Biol. Chem. 2019, 294, 19523–19534. [Google Scholar] [CrossRef]
- Shultis, D.D.; Purdy, M.D.; Banchs, C.N.; Wiener, M.C. Outer membrane active transport: Structure of the BtuB:TonB complex. Science 2006, 312, 1396–1399. [Google Scholar] [CrossRef]
- Cowan, S.W.; Schirmer, T.; Rummel, G.; Steiert, M.; Ghosh, R.; Pauptit, R.A.; Jansonius, J.N.; Rosenbusch, J.P. Crystal structures explain functional properties of two E. coli porins. Nature 1992, 358, 727–733. [Google Scholar] [CrossRef] [PubMed]
- Nikaido, H.; Rosenberg, E.Y. Effect on solute size on diffusion rates through the transmembrane pores of the outer membrane of Escherichia coli. J. Gen. Physiol. 1981, 77, 121–135. [Google Scholar] [CrossRef]
- Braun, V.; Ratliff, A.C.; Celia, H.; Buchanan, S.K. Energization of Outer Membrane Transport by the ExbB ExbD Molecular Motor. J. Bacteriol. 2023, 205, e0003523. [Google Scholar] [CrossRef]
- Celia, H.; Botos, I.; Ni, X.; Fox, T.; De Val, N.; Lloubes, R.; Jiang, J.; Buchanan, S.K. Cryo-EM structure of the bacterial Ton motor subcomplex ExbB-ExbD provides information on structure and stoichiometry. Commun. Biol. 2019, 2, 358, Erratum in Commun. Biol. 2020, 3, 676. [Google Scholar] [CrossRef]
- Ferguson, A.D.; Hofmann, E.; Coulton, J.W.; Diederichs, K.; Welte, W. Siderophore-mediated iron transport: Crystal structure of FhuA with bound lipopolysaccharide. Science 1998, 282, 2215–2220. [Google Scholar] [CrossRef]
- Chakraborty, R.; Lemke, E.A.; Cao, Z.; Klebba, P.E.; van der Helm, D. Identification and mutational studies of conserved amino acids in the outer membrane receptor protein, FepA, which affect transport but not binding of ferric-enterobactin in Escherichia coli. Biometals Int. J. Role Met. Ions Biol. Biochem. Med. 2003, 16, 507–518. [Google Scholar] [CrossRef]
- Endriss, F.; Braun, M.; Killmann, H.; Braun, V. Mutant analysis of the Escherichia coli FhuA protein reveals sites of FhuA activity. J. Bacteriol. 2003, 185, 4683–4692. [Google Scholar] [CrossRef]
- Klebba, P.E. Three paradoxes of ferric enterobactin uptake. Front. Biosci. 2003, 8, 1422–1436. [Google Scholar] [CrossRef] [PubMed]
- Klebba, P.E.; Newton, S.M.; Six, D.A.; Kumar, A.; Yang, T.; Nairn, B.L.; Munger, C.; Chakravorty, S. Iron acquisition systems of Gram (−) bacterial pathogens define TonB-dependent pathways to novel antibiotics. Chem. Rev. 2021, 121, 5193–5239. [Google Scholar] [CrossRef] [PubMed]
- Eisenhauer, H.A.; Shames, S.; Pawelek, P.D.; Coulton, J.W. Siderophore transport through Escherichia coli outer membrane receptor FhuA with disulfide-tethered cork and barrel domains. J. Biol. Chem. 2005, 280, 30574–30580. [Google Scholar] [CrossRef]
- Majumdar, A.; Trinh, V.; Moore, K.J.; Smallwood, C.R.; Kumar, A.; Yang, T.; Scott, D.C.; Long, N.J.; Newton, S.M.; Klebba, P.E. Conformational rearrangements in the N-domain of Escherichia coli FepA during ferric enterobactin transport. J. Biol. Chem. 2020, 295, 4974–4984. [Google Scholar] [CrossRef] [PubMed]
- Yang, T.; Zou, Y.; Ng, H.L.; Kumar, A.; Newton, S.M.; Klebba, P.E. Specificity and Mechanism of TonB-dependent Ferric Catecholate Uptake by Fiu. Front. Microbiol 2024, in press. [Google Scholar] [CrossRef] [PubMed]
- Jordan, L.D.; Zhou, Y.; Smallwood, C.R.; Lill, Y.; Ritchie, K.; Yip, W.T.; Newton, S.M.; Klebba, P.E. Energy-dependent motion of TonB in the Gram-negative bacterial inner membrane. Proc. Natl. Acad. Sci. USA 2013, 110, 11553–11558. [Google Scholar] [CrossRef] [PubMed]
- Rieu, M.; Krutyholowa, R.; Taylor, N.M.I.; Berry, R.M. A new class of biological ion-driven rotary molecular motors with 5:2 symmetry. Front. Microbiol. 2022, 13, 948383. [Google Scholar] [CrossRef]
- Somboon, K.; Melling, O.; Lejeune, M.; Pinheiro, G.M.S.; Paquelin, A.; Bardiaux, B.; Nilges, M.; Delepelaire, P.; Khalid, S.; Izadi-Pruneyre, N. Dynamic interplay between a TonB-dependent heme transporter and a TonB protein in a membrane environment. mBio 2024, 15, e0178124. [Google Scholar] [CrossRef]
- Webby, M.N.; Williams-Jones, D.P.; Press, C.; Kleanthous, C. Force-Generation by the Trans-Envelope Tol-Pal System. Front. Microbiol. 2022, 13, 852176. [Google Scholar] [CrossRef]
- Williams-Jones, D.P.; Webby, M.N.; Press, C.E.; Gradon, J.M.; Armstrong, S.R.; Szczepaniak, J.; Kleanthous, C. Tunable force transduction through the Escherichia coli cell envelope. Proc. Natl. Acad. Sci. USA 2023, 120, e2306707120. [Google Scholar] [CrossRef]
- Zinke, M.; Lejeune, M.; Mechaly, A.; Bardiaux, B.; Boneca, I.G.; Delepelaire, P.; Izadi-Pruneyre, N. Ton motor conformational switch and peptidoglycan role in bacterial nutrient uptake. Nat. Commun. 2024, 15, 331. [Google Scholar] [CrossRef]
- Klebba, P.E. ROSET Model of TonB Action in Gram-Negative Bacterial Iron Acquisition. J. Bacteriol. 2016, 198, 1013–1021. [Google Scholar] [CrossRef]
- Grinter, R.; Lithgow, T. Determination of the molecular basis for coprogen import by Gram-negative bacteria. IUCrJ 2019, 6 Pt 3, 401–411. [Google Scholar] [CrossRef]
- Lukacik, P.; Barnard, T.J.; Keller, P.W.; Chaturvedi, K.S.; Seddiki, N.; Fairman, J.W.; Noinaj, N.; Kirby, T.L.; Henderson, J.P.; Steven, A.C.; et al. Structural engineering of a phage lysin that targets gram-negative pathogens. Proc. Natl. Acad. Sci. USA 2012, 109, 9857–9862. [Google Scholar] [CrossRef]
- Larkin, M.A.; Blackshields, G.; Brown, N.P.; Chenna, R.; McGettigan, P.A.; McWilliam, H.; Valentin, F.; Wallace, I.M.; Wilm, A.; Lopez, R.; et al. Clustal W and Clustal X version 2.0. Bioinformatics 2007, 23, 2947–2948. [Google Scholar] [CrossRef]
- Little, J.; Chikina, M.; Clark, N.L. Evolutionary rate covariation is a reliable predictor of co-functional interactions but not necessarily physical interactions. eLife 2024, 12, RP93333. [Google Scholar] [CrossRef] [PubMed]
- Chatellier, J.; Mazza, A.; Brousseau, R.; Vernet, T. Codon-based combinatorial alanine scanning site-directed mutagenesis: Design, implementation, and polymerase chain reaction screening. Anal. Biochem. 1995, 229, 282–290. [Google Scholar] [CrossRef]
- Fiss, E.H.; Hollifield, W.C., Jr.; Neilands, J.B. Absence of ferric enterobactin receptor modification activity in mutants of Escherichia coli K-12 lacking protein a. Biochem. Biophys. Res. Commun. 1979, 91, 29–34. [Google Scholar] [CrossRef] [PubMed]
- Fiss, E.H.; Stanley-Samuelson, P.; Neilands, J.B. Properties and proteolysis of ferric enterobactin outer membrane receptor in Escherichia coli K12. Biochemistry 1982, 21, 4517–4522. [Google Scholar] [CrossRef] [PubMed]
- Hollifield, W.C., Jr.; Fiss, E.H.; Neilands, J.B. Modification of a ferric enterobactin receptor protein from the outer membrane of Escherichia coli. Biochem. Biophys. Res. Commun. 1978, 83, 739–746. [Google Scholar] [CrossRef]
- Rupprecht, K.R.; Gordon, G.; Lundrigan, M.; Gayda, R.C.; Markovitz, A.; Earhart, C. omp T: Escherichia coli K-12 structural gene for protein a (3b). J. Bacteriol. 1983, 153, 1104–1106. [Google Scholar] [CrossRef]
- Cho, Y.H.; Fadle Aziz, M.R.; Malpass, A.; Sutradhar, T.; Bashal, J.; Cojocari, V.; McPhee, J.B. Omptin Proteases of Enterobacterales Show Conserved Regulation by the PhoPQ Two-Component System but Exhibit Divergent Protection from Antimicrobial Host Peptides and Complement. Infect. Immun. 2023, 91, e0051822. [Google Scholar] [CrossRef]
- Hui, C.Y.; Guo, Y.; He, Q.S.; Peng, L.; Wu, S.C.; Cao, H.; Huang, S.H. Escherichia coli outer membrane protease OmpT confers resistance to urinary cationic peptides. Microbiol. Immunol. 2010, 54, 452–459. [Google Scholar] [CrossRef]
- Thomassin, J.L.; Brannon, J.R.; Gibbs, B.F.; Gruenheid, S.; Le Moual, H. OmpT outer membrane proteases of enterohemorrhagic and enteropathogenic Escherichia coli contribute differently to the degradation of human LL-37. Infect. Immun. 2012, 80, 483–492. [Google Scholar] [CrossRef]
- Thomassin, J.L.; Brannon, J.R.; Kaiser, J.; Gruenheid, S.; Le Moual, H. Enterohemorrhagic and enteropathogenic Escherichia coli evolved different strategies to resist antimicrobial peptides. Gut Microbes 2012, 3, 556–561. [Google Scholar] [CrossRef]
- Akiyama, Y.; Ito, K. SecY protein, a membrane-embedded secretion factor of E. coli, is cleaved by the ompT protease in vitro. Biochem. Biophys. Res. Commun. 1990, 167, 711–715. [Google Scholar] [CrossRef]
- Baneyx, F.; Georgiou, G. In vivo degradation of secreted fusion proteins by the Escherichia coli outer membrane protease OmpT. J. Bacteriol. 1990, 172, 491–494. [Google Scholar] [CrossRef]
- Grodberg, J.; Dunn, J.J. ompT encodes the Escherichia coli outer membrane protease that cleaves T7 RNA polymerase during purification. J. Bacteriol. 1988, 170, 1245–1253. [Google Scholar] [CrossRef] [PubMed]
- Murphy, C.K.; Kalve, V.I.; Klebba, P.E. Surface topology of the Escherichia coli K-12 ferric enterobactin receptor. J. Bacteriol. 1990, 172, 2736–2746. [Google Scholar] [CrossRef] [PubMed]
- Luckey, M.; Pollack, J.R.; Wayne, R.; Ames, B.N.; Neilands, J.B. Iron uptake in Salmonella typhimurium: Utilization of exogenous siderochromes as iron carriers. J. Bacteriol. 1972, 111, 731–738. [Google Scholar] [CrossRef] [PubMed]
- Wayne, R.; Frick, K.; Neilands, J.B. Siderophore protection against colicins M, B, V, and Ia in Escherichia coli. J. Bacteriol. 1976, 126, 7–12. [Google Scholar] [CrossRef] [PubMed]
- Cao, Z.; Qi, Z.; Sprencel, C.; Newton, S.M.; Klebba, P.E. Aromatic components of two ferric enterobactin binding sites in Escherichia coli fepA. Mol. Microbiol. 2000, 37, 1306–1317. [Google Scholar] [CrossRef]
- Chakravorty, S.; Shipelskiy, Y.; Kumar, A.; Majumdar, A.; Yang, T.; Nairn, B.L.; Newton, S.M.; Klebba, P.E. Universal fluorescent sensors of high-affinity iron transport, applied to ESKAPE pathogens. J. Biol. Chem. 2019, 294, 4682–4692. [Google Scholar] [CrossRef] [PubMed]
- Charbit, A.; Wang, J.; Michel, V.; Hofnung, M. A cluster of charged and aromatic residues in the C-terminal portion of maltoporin participates in sugar binding and uptake. Mol. Gen. Genet. 1998, 260, 185–192. [Google Scholar] [CrossRef]
- Klebba, P.E.; Hofnung, M.; Charbit, A. A model of maltodextrin transport through the sugar-specific porin, LamB, based on deletion analysis. Embo J. 1994, 13, 4670–4675. [Google Scholar] [CrossRef]
- Mourez, M.; Hofnung, M.; Dassa, E. Subunit interactions in ABC transporters: A conserved sequence in hydrophobic membrane proteins of periplasmic permeases defines an important site of interaction with the ATPase subunits. Embo J. 1997, 16, 3066–3077. [Google Scholar] [CrossRef]
- Raffy, S.; Sassoon, N.; Hofnung, M.; Betton, J.M. Tertiary structure-dependence of misfolding substitutions in loops of the maltose-binding protein. Protein Sci. 1998, 7, 2136–2142. [Google Scholar] [CrossRef] [PubMed]
- Szmelcman, S.; Sassoon, N.; Hofnung, M. Residues in the alpha helix 7 of the bacterial maltose binding protein which are important in interactions with the Mal FGK2 complex. Protein Sci. 1997, 6, 628–636. [Google Scholar] [CrossRef]
- Hickman, S.J.; Cooper, R.E.M.; Bellucci, L.; Paci, E.; Brockwell, D.J. Gating of TonB-dependent transporters by substrate-specific forced remodelling. Nat. Commun. 2017, 8, 14804. [Google Scholar] [CrossRef]
- Ma, L.; Kaserer, W.; Annamalai, R.; Scott, D.C.; Jin, B.; Jiang, X.; Xiao, Q.; Maymani, H.; Massis, L.M.; Ferreira, L.C.; et al. Evidence of ball-and-chain transport of ferric enterobactin through FepA. J. Biol. Chem. 2007, 282, 397–406. [Google Scholar] [CrossRef]
- Haiko, J.; Suomalainen, M.; Ojala, T.; Lähteenmäki, K.; Korhonen, T.K. Invited review: Breaking barriers—attack on innate immune defences by omptin surface proteases of enterobacterial pathogens. Innate Immun. 2009, 15, 67–80. [Google Scholar] [CrossRef]
- Hritonenko, V.; Stathopoulos, C. Omptin proteins: An expanding family of outer membrane proteases in Gram-negative Enterobacteriaceae. Mol. Membr. Biol. 2007, 24, 395–406. [Google Scholar] [CrossRef] [PubMed]
- Kukkonen, M.; Korhonen, T.K. The omptin family of enterobacterial surface proteases/adhesins: From housekeeping in Escherichia coli to systemic spread of Yersinia pestis. Int. J. Med. Microbiol. 2004, 294, 7–14. [Google Scholar] [CrossRef]
- Vandeputte-Rutten, L.; Kramer, R.A.; Kroon, J.; Dekker, N.; Egmond, M.R.; Gros, P. Crystal structure of the outer membrane protease OmpT from Escherichia coli suggests a novel catalytic site. Embo J. 2001, 20, 5033–5039. [Google Scholar] [CrossRef]
- Dekker, N.; Cox, R.C.; Kramer, R.A.; Egmond, M.R. Substrate specificity of the integral membrane protease OmpT determined by spatially addressed peptide libraries. Biochemistry 2001, 40, 1694–1701. [Google Scholar] [CrossRef]
- McCarter, J.D.; Stephens, D.; Shoemaker, K.; Rosenberg, S.; Kirsch, J.F.; Georgiou, G. Substrate specificity of the Escherichia coli outer membrane protease OmpT. J. Bacteriol. 2004, 186, 5919–5925. [Google Scholar] [CrossRef]
- Okuno, K.; Yabuta, M.; Kawanishi, K.; Ohsuye, K.; Ooi, T.; Kinoshita, S. Substrate specificity at the P1’ site of Escherichia coli OmpT under denaturing conditions. Biosci. Biotechnol. Biochem. 2002, 66, 127–134. [Google Scholar] [CrossRef]
- Sugimura, K.; Nishihara, T. Purification, characterization, and primary structure of Escherichia coli protease VII with specificity for paired basic residues: Identity of protease VII and OmpT. J. Bacteriol. 1988, 170, 5625–5632. [Google Scholar] [CrossRef]
- White, C.B.; Chen, Q.; Kenyon, G.L.; Babbitt, P.C. A novel activity of OmpT. Proteolysis under extreme denaturing conditions. J. Biol. Chem. 1995, 270, 12990–12994. [Google Scholar] [CrossRef] [PubMed]
- Blattner, F.R.; Plunkett, G., III; Bloch, C.A.; Perna, N.T.; Burland, V.; Riley, M.; Collado-Vides, J.; Glasner, J.D.; Rode, C.K.; Mayhew, G.F. The complete genome sequence of Escherichia coli K-12. Science 1997, 277, 1453–1462. [Google Scholar] [CrossRef]
- Scott, D.C.; Cao, Z.; Qi, Z.; Bauler, M.; Igo, J.D.; Newton, S.M.; Klebba, P.E. Exchangeability of N termini in the ligand-gated porins of Escherichia coli. J. Biol. Chem. 2001, 276, 13025–13033. [Google Scholar] [CrossRef] [PubMed]
- Takeshita, S.; Sato, M.; Toba, M.; Masahashi, W.; Hashimoto-Gotoh, T. High-copy-number and low-copy-number plasmid vectors for lacZα-complementation and chloramphenicol-or kanamycin-resistance selection. Gene 1987, 61, 63–74. [Google Scholar] [CrossRef] [PubMed]
- Hashimoto-Gotoh, T.; Kume, A.; Masahashi, W.; Takeshita, S.; Fukuda, A. Improved vector, pHSG664, for direct streptomycin-resistance selection: cDNA cloning with G:C-tailing procedure and subcloning of double-digest DNA fragments. Gene 1986, 41, 125–128. [Google Scholar]
- Klebba, P.E. Regulation of the Bisynthesis of the Iron-Related Membrane Proteins in Escherichia coli; University of California: Berkeley, CA, USA, 1981. [Google Scholar]
- Annamalai, R.; Jin, B.; Cao, Z.; Newton, S.M.; Klebba, P.E. Recognition of ferric catecholates by FepA. J. Bacteriol. 2004, 186, 3578–3589. [Google Scholar] [CrossRef] [PubMed]
- Smallwood, C.R.; Jordan, L.; Trinh, V.; Schuerch, D.W.; Gala, A.; Hanson, M.; Shipelskiy, Y.; Majumdar, A.; Newton, S.M.; Klebba, P.E. Concerted loop motion triggers induced fit of FepA to ferric enterobactin. J. Gen. Physiol. 2014, 144, 71–80, Erratum in J. Gen. Physiol. 2014, 144, 201. [Google Scholar] [CrossRef] [PubMed]
- Smallwood, C.R.; Marco, A.G.; Xiao, Q.; Trinh, V.; Newton, S.M.; Klebba, P.E. Fluoresceination of FepA during colicin B killing: Effects of temperature, toxin and TonB. Mol. Microbiol. 2009, 72, 1171–1180. [Google Scholar] [CrossRef]
- Bertani, G. Studies on lysogenesis. I. The mode of phage liberation by lysogenic Escherichia coli. J. Bacteriol. 1951, 62, 293–300. [Google Scholar] [CrossRef]
- Neidhardt, F.C.; Bloch, P.L.; Smith, D.F. Culture medium for enterobacteria. J. Bacteriol. 1974, 119, 736–747. [Google Scholar] [CrossRef]
- Balhesteros, H.; Shipelskiy, Y.; Long, N.J.; Majumdar, A.; Katz, B.B.; Santos, N.M.; Leaden, L.; Newton, S.M.; Marques, M.V.; Klebba, P.E. TonB-Dependent Heme/Hemoglobin Utilization by Caulobacter crescentus HutA. J. Bacteriol. 2017, 199, e00723. [Google Scholar] [CrossRef] [PubMed]
- Wayne, R.; Neilands, J.B. Evidence for common binding sites for ferrichrome compounds and bacteriophage phi 80 in the cell envelope of Escherichia coli. J. Bacteriol. 1975, 121, 497–503. [Google Scholar] [CrossRef]
- Newton, S.M.; Klebba, P.E. Fluorescent Binding Protein Sensors for Detection and Quantification of Biochemicals, Metabolites, and Natural Products. Bio-Protoc. 2022, 12, e4543. [Google Scholar] [CrossRef]
- Hancock, R.E.; Braun, V. The colicin I receptor of Escherichia coli K-12 has a role in enterochelin-mediated iron transport. FEBS Lett. 1976, 65, 208–210. [Google Scholar] [CrossRef] [PubMed]
- Lugtenberg, B.; Meijers, J.; Peters, R.; van der Hoek, P.; van Alphen, L. Electrophoretic resolution of the “major outer membrane protein” of Escherichia coli K12 into four bands. FEBS Lett. 1975, 58, 254–258. [Google Scholar] [CrossRef]
- Ames, G.F. Resolution of bacterial proteins by polyacrylamide gel electrophoresis on slabs. Membrane, soluble, and periplasmic fractions. J. Biol. Chem. 1974, 249, 634–644. [Google Scholar] [CrossRef] [PubMed]
- Kumar, A.; Yang, T.; Chakravorty, S.; Majumdar, A.; Nairn, B.L.; Six, D.A.; Marcondes Dos Santos, N.; Price, S.L.; Lawrenz, M.B.; Actis, L.A.; et al. Fluorescent sensors of siderophores produced by bacterial pathogens. J. Biol. Chem. 2022, 298, 101651. [Google Scholar] [CrossRef] [PubMed]
Disclaimer/Publisher’s Note: The statements, opinions and data contained in all publications are solely those of the individual author(s) and contributor(s) and not of MDPI and/or the editor(s). MDPI and/or the editor(s) disclaim responsibility for any injury to people or property resulting from any ideas, methods, instructions or products referred to in the content. |
© 2026 by the authors. Licensee MDPI, Basel, Switzerland. This article is an open access article distributed under the terms and conditions of the Creative Commons Attribution (CC BY) license.



