Immortalization and Targeted Enrichment of HIV-Infected CD4+ T-Cells from Patients Under Antiretroviral Therapy
Abstract
1. Introduction
2. Results
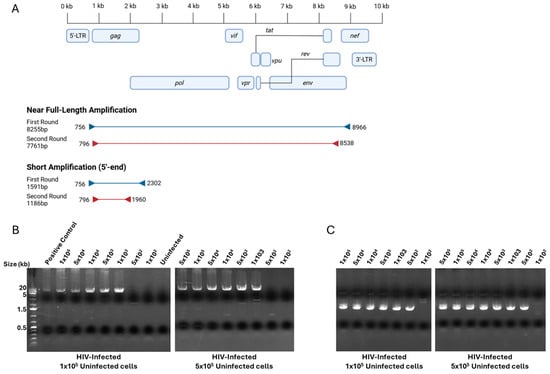
2.1. High-Throughput Screening and Sequencing of HIV-1-Positive Wells
2.2. Immortalization and Targeted Enrichment of Patient-Derived HIV-Infected CD4+ T-Cells
2.3. HIV-1 Proviruses in Immortalized Cells Are Transcriptionally and Translationally Active
3. Discussion
4. Materials and Methods
4.1. CD4+ T Cell Isolation and HVS Infection and Activation
4.2. Herpesvirus Saimiri Culture and Isolation
4.3. Titration of HVS Viral Stock
4.4. Preparation of NL4-3.Luc.E- Virions
4.5. Cell Sorting and Targeted Enrichment of HIV-Positive Cells
4.6. PCR Screening of HIV-1 Proviruses
4.7. Inverse PCR
4.8. HIV-1 Sequencing
4.9. Viral mRNA Quantification
4.10. Supernatant p24 Quantification
Supplementary Materials
Author Contributions
Funding
Institutional Review Board Statement
Informed Consent Statement
Data Availability Statement
Acknowledgments
Conflicts of Interest
References
- Imamichi, H.; Dewar, R.L.; Adelsberger, J.W.; Rehm, C.A.; O’Doherty, U.; Paxinos, E.E.; Fauci, A.S.; Lane, H.C. Defective HIV-1 proviruses produce novel protein-coding RNA species in HIV-infected patients on combination antiretroviral therapy. Proc. Natl. Acad. Sci. USA 2016, 113, 8783–8788. [Google Scholar] [CrossRef] [PubMed]
- Bruner, K.M.; Murray, A.J.; Pollack, R.A.; Soliman, M.G.; Laskey, S.B.; Capoferri, A.A.; Lai, J.; Strain, M.C.; Lada, S.M.; Hoh, R.; et al. Defective proviruses rapidly accumulate during acute HIV-1 infection. Nat. Med. 2016, 22, 1043–1049. [Google Scholar] [CrossRef]
- Yukl, S.A.; Kaiser, P.; Kim, P.; Telwatte, S.; Joshi, S.K.; Vu, M.; Lampiris, H.; Wong, J.K. HIV latency in isolated patient CD4+ T cells may be due to blocks in HIV transcriptional elongation, completion, and splicing. Sci. Transl. Med. 2018, 10, eaap9927. [Google Scholar] [CrossRef]
- Einkauf, K.B.; Osborn, M.R.; Gao, C.; Sun, W.; Sun, X.; Lian, X.; Parsons, E.M.; Gladkov, G.T.; Seiger, K.W.; Blackmer, J.E.; et al. Parallel analysis of transcription, integration, and sequence of single HIV-1 proviruses. Cell 2022, 185, 266–282.e15. [Google Scholar] [CrossRef]
- Imamichi, H.; Smith, M.; Adelsberger, J.W.; Izumi, T.; Scrimieri, F.; Sherman, B.T.; Rehm, C.A.; Imamichi, T.; Pau, A.; Catalfamo, M.; et al. Defective HIV-1 proviruses produce viral proteins. Proc. Natl. Acad. Sci. USA 2020, 117, 3704–3710. [Google Scholar] [CrossRef]
- Pollack, R.A.; Jones, R.B.; Pertea, M.; Bruner, K.M.; Martin, A.R.; Thomas, A.S.; Capoferri, A.A.; Beg, S.A.; Huang, S.H.; Karandish, S.; et al. Defective HIV-1 Proviruses Are Expressed and Can Be Recognized by Cytotoxic T Lymphocytes, which Shape the Proviral Landscape. Cell Host Microbe 2017, 21, 494–506.e4. [Google Scholar] [CrossRef] [PubMed]
- Kelley, C.F.; Kitchen, C.M.; Hunt, P.W.; Rodriguez, B.; Hecht, F.M.; Kitahata, M.; Crane, H.M.; Willig, J.; Mugavero, M.; Saag, M.; et al. Incomplete peripheral CD4+ cell count restoration in HIV-infected patients receiving long-term antiretroviral treatment. Clin. Infect. Dis. 2009, 48, 787–794. [Google Scholar] [CrossRef] [PubMed]
- Singh, K.; Natarajan, V.; Dewar, R.; Rupert, A.; Badralmaa, Y.; Zhai, T.; Winchester, N.; Scrimieri, F.; Smith, M.; Davis, I.; et al. Long-term persistence of transcriptionally active ‘defective’ HIV-1 proviruses: Implications for persistent immune activation during antiretroviral therapy. AIDS 2023, 37, 2119–2130. [Google Scholar] [CrossRef]
- Meinl, E.; Hohlfeld, R.; Wekerle, H.; Fleckenstein, B. Immortalization of human T cells by Herpesvirus saimiri. Immunol. Today 1995, 16, 55–58. [Google Scholar] [CrossRef]
- Mittrucker, H.W.; Muller-Fleckenstein, I.; Fleckenstein, B.; Fleischer, B. Herpes virus saimiri-transformed human T lymphocytes: Normal functional phenotype and preserved T cell receptor signalling. Int. Immunol. 1993, 5, 985–990. [Google Scholar] [CrossRef]
- Weber, F.; Meinl, E.; Drexler, K.; Czlonkowska, A.; Huber, S.; Fickenscher, H.; Muller-Fleckenstein, I.; Fleckenstein, B.; Wekerle, H.; Hohlfeld, R. Transformation of human T-cell clones by Herpesvirus saimiri: Intact antigen recognition by autonomously growing myelin basic protein-specific T cells. Proc. Natl. Acad. Sci. USA 1993, 90, 11049–11053. [Google Scholar] [CrossRef]
- Saha, K.; McKinley, G.; Volsky, D.J. Improvement of Herpesvirus saimiri T cell immortalization procedure to generate multiple CD4+ T-cell clones from peripheral blood lymphocytes of AIDS patients. J. Immunol. Methods 1997, 206, 21–23. [Google Scholar] [CrossRef] [PubMed]
- Saha, K.; Sova, P.; Chao, W.; Chess, L.; Volsky, D.J. Generation of CD4+ and CD8+ T-cell clones from PBLs of HIV-1 infected subjects using herpesvirus saimiri. Nat. Med. 1996, 2, 1272–1275. [Google Scholar] [CrossRef] [PubMed]
- Poudyal, D.; Yang, J.; Chen, Q.; Goswami, S.; Adelsberger, J.W.; Das, S.; Herman, A.; Hornung, R.L.; Andresson, T.; Imamichi, T. IL-27 posttranslationally regulates Y-box binding protein-1 to inhibit HIV-1 replication in human CD4+ T cells. AIDS 2019, 33, 1819–1830. [Google Scholar] [CrossRef]
- Churchill, M.; Sterjovski, J.; Gray, L.; Cowley, D.; Chatfield, C.; Learmont, J.; Sullivan, J.S.; Crowe, S.M.; Mills, J.; Brew, B.J.; et al. Longitudinal analysis of nef/long terminal repeat-deleted HIV-1 in blood and cerebrospinal fluid of a long-term survivor who developed HIV-associated dementia. J. Infect. Dis. 2004, 190, 2181–2186. [Google Scholar] [CrossRef]
- Scrimieri, F.; Bastian, E.; Smith, M.; Rehm, C.A.; Morse, C.; Kuruppu, J.; McLaughlin, M.; Chang, W.; Sereti, I.; Kovacs, J.A.; et al. Transcriptionally Active Defective HIV-1 Proviruses and Their Association with Immunological Nonresponse to Antiretroviral Therapy. J. Infect. Dis. 2024, 229, 1786–1790. [Google Scholar] [CrossRef]
- Fisher, K.; Wang, X.Q.; Lee, A.; Morcilla, V.; de Vries, A.; Lee, E.; Eden, J.S.; Deeks, S.G.; Kelleher, A.D.; Palmer, S. Plasma-Derived HIV-1 Virions Contain Considerable Levels of Defective Genomes. J. Virol. 2022, 96, e0201121. [Google Scholar] [CrossRef]
- Cassidy, N.A.J.; Fish, C.S.; Levy, C.N.; Roychoudhury, P.; Reeves, D.B.; Hughes, S.M.; Schiffer, J.T.; Benki-Nugent, S.; John-Stewart, G.; Wamalwa, D.; et al. HIV reservoir quantification using cross-subtype multiplex ddPCR. iScience 2022, 25, 103615. [Google Scholar] [CrossRef] [PubMed]
- Levy, C.N.; Hughes, S.M.; Roychoudhury, P.; Reeves, D.B.; Amstuz, C.; Zhu, H.; Huang, M.L.; Wei, Y.; Bull, M.E.; Cassidy, N.A.J.; et al. A highly multiplexed droplet digital PCR assay to measure the intact HIV-1 proviral reservoir. Cell Rep. Med. 2021, 2, 100243. [Google Scholar] [CrossRef]
- Lee, G.Q.; Reddy, K.; Einkauf, K.B.; Gounder, K.; Chevalier, J.M.; Dong, K.L.; Walker, B.D.; Yu, X.G.; Ndung’u, T.; Lichterfeld, M. HIV-1 DNA sequence diversity and evolution during acute subtype C infection. Nat. Commun. 2019, 10, 2737. [Google Scholar] [CrossRef]
- Tamiya, S.; Matsuoka, M.; Etoh, K.; Watanabe, T.; Kamihira, S.; Yamaguchi, K.; Takatsuki, K. Two types of defective human T-lymphotropic virus type I provirus in adult T-cell leukemia. Blood 1996, 88, 3065–3073. [Google Scholar] [CrossRef]
- Miyazaki, M.; Yasunaga, J.; Taniguchi, Y.; Tamiya, S.; Nakahata, T.; Matsuoka, M. Preferential selection of human T-cell leukemia virus type 1 provirus lacking the 5′ long terminal repeat during oncogenesis. J. Virol. 2007, 81, 5714–5723. [Google Scholar] [CrossRef] [PubMed]
- Joseph, K.W.; Halvas, E.K.; Brandt, L.D.; Patro, S.C.; Rausch, J.W.; Chopra, A.; Mallal, S.; Kearney, M.F.; Coffin, J.M.; Mellors, J.W. Deep Sequencing Analysis of Individual HIV-1 Proviruses Reveals Frequent Asymmetric Long Terminal Repeats. J. Virol. 2022, 96, e0012222. [Google Scholar] [CrossRef]
- Deacon, N.J.; Tsykin, A.; Solomon, A.; Smith, K.; Ludford-Menting, M.; Hooker, D.J.; McPhee, D.A.; Greenway, A.L.; Ellett, A.; Chatfield, C.; et al. Genomic structure of an attenuated quasi species of HIV-1 from a blood transfusion donor and recipients. Science 1995, 270, 988–991. [Google Scholar] [CrossRef]
- Learmont, J.C.; Geczy, A.F.; Mills, J.; Ashton, L.J.; Raynes-Greenow, C.H.; Garsia, R.J.; Dyer, W.B.; McIntyre, L.; Oelrichs, R.B.; Rhodes, D.I.; et al. Immunologic and virologic status after 14 to 18 years of infection with an attenuated strain of HIV-1. A report from the Sydney Blood Bank Cohort. N. Engl. J. Med. 1999, 340, 1715–1722. [Google Scholar] [CrossRef]
- Rhodes, D.I.; Ashton, L.; Solomon, A.; Carr, A.; Cooper, D.; Kaldor, J.; Deacon, N. Characterization of three nef-defective human immunodeficiency virus type 1 strains associated with long-term nonprogression. Australian Long-Term Nonprogressor Study Group. J. Virol. 2000, 74, 10581–10588. [Google Scholar] [CrossRef]
- Fleckenstein, B.; Ensser, A. Herpesvirus saimiri transformation of human T lymphocytes. Curr. Protoc. Immunol. 2004, 63, 7.21.1–7.21.11. [Google Scholar] [CrossRef]
- Connor, R.I.; Chen, B.K.; Choe, S.; Landau, N.R. Vpr is required for efficient replication of human immunodeficiency virus type-1 in mononuclear phagocytes. Virology 1995, 206, 935–944. [Google Scholar] [CrossRef] [PubMed]
- He, J.; Choe, S.; Walker, R.; Di Marzio, P.; Morgan, D.O.; Landau, N.R. Human immunodeficiency virus type 1 viral protein R (Vpr) arrests cells in the G2 phase of the cell cycle by inhibiting p34cdc2 activity. J. Virol. 1995, 69, 6705–6711. [Google Scholar] [CrossRef]
- Dai, L.; Lidie, K.B.; Chen, Q.; Adelsberger, J.W.; Zheng, X.; Huang, D.; Yang, J.; Lempicki, R.A.; Rehman, T.; Dewar, R.L.; et al. IL-27 inhibits HIV-1 infection in human macrophages by down-regulating host factor SPTBN1 during monocyte to macrophage differentiation. J. Exp. Med. 2013, 210, 517–534. [Google Scholar] [CrossRef] [PubMed]
- Imamichi, T.; Chen, Q.; Sowrirajan, B.; Yang, J.; Laverdure, S.; Marquez, M.; Mele, A.R.; Watkins, C.; Adelsberger, J.W.; Higgins, J.; et al. Interleukin-27-induced HIV-resistant dendritic cells suppress reveres transcription following virus entry in an SPTBN1, autophagy, and YB-1 independent manner. PLoS ONE 2023, 18, e0287829. [Google Scholar] [CrossRef] [PubMed]
- Passaes, C.; Delagreverie, H.M.; Avettand-Fenoel, V.; David, A.; Monceaux, V.; Essat, A.; Muller-Trutwin, M.; Duffy, D.; De Castro, N.; Wittkop, L.; et al. Ultrasensitive Detection of p24 in Plasma Samples from People with Primary and Chronic HIV-1 Infection. J. Virol. 2021, 95, e0001621. [Google Scholar] [CrossRef] [PubMed]




| Primer Location | Sequence (5′-3′) |
|---|---|
| F1 | AAATCTCTAGCAGTGGCGCCCGAACAG |
| F2 | TCTCTCGACGCAGGACTCGGCTTG |
| F3 | ACAGGGACCTGAAAGCGAAAG |
| +711 | CGCAGGACTCGGCTTGCTGAAG |
| +756 | CGGCGACTGGTGAGTACGCCAA |
| +796 | GCGAGAGCGTCAGTATTAAGC |
| +836 | GGGAAAAAATTCGGTTAAGGCC |
| +1127 | AAAAGGCACAGCAAGCAGCAGCT |
| −1631 | TTTGGTCCTTGTCTTATGTCCAGAATGC |
| +1546 | AATCCACCTATCCCAGTAGGAGAAAT |
| −1960 | CTTTGCCACAATTGAAACACTT |
| +2078 | AGGCTAATTTTTTAGGGA |
| +2165 | CAGAAGAGAGCTTCAGGTTTGGG |
| −2138 | TGTTGGCTCTGGTCTGCTCT |
| −2302 | CTAATAGAGCTTCCTTTAGTTGCC |
| −2603 | GGCCATTGTTTAACTTTTGGG |
| +2603 | CCCAAAAGTTAAACAATGGCC |
| −2691 | TATGGATTTTCAGGCCCAATTTTTGA |
| −2872 | TGCATCACCCACATCCAGTA |
| −3246 | CCATTTATCAGGATGGAGTTC |
| −3299 | TGTCATTGACAGTCCAGCTG |
| +3194 | CACACCAGACAAAAAACATCAG |
| +3379 | RGCAATTATGTAAACTCCTTAGGGGA |
| −3501 | TAAGTCTTTTGATGGGTCATAATA |
| +3869 | CTATGTAGATGGGGCAGCTA |
| −4176 | TCTACTTGTTCATTTCCTCC |
| +4024 | AAGTAAACATAGTAACAGACTCAC |
| +4162 | CACACAAAGGAATTGGAGGAAATG |
| +4745 | TAAGACAGCAGTACAAATGGCAG |
| −4956 | TACTGCCCCTTCACCTTTCCA |
| −5195 | TAGTGGGATGTGTACTTCTGAAC |
| +5550 | AGAGGATAGATGGAACAAGCCCCAG |
| −5562 | TGGTCTTCTGGGGCTTGTTC |
| −5833 | AGGGCTCTAGTCTAGGATCTACTGGCTCCA |
| −5857 | GGCTGACTTCCTGGATGCTTCCAGGGC |
| +5861 | TGGAAGCATCCAGGAAGTCAGCCT |
| −6207 | CTCTCATTGCCACTGTCTTCTGCTC |
| +6210 | CAGAAGACAGTGGCAATGA |
| −6214 | CACTCTCATTGCCACTGTCT |
| −6342 | TTCCACACAGGTACCCCATA |
| +6445 | GTGTACCCACAGACCCCAACCCACAAG |
| −6952 | TTCCATGTGTACATTGTACTGTG |
| +6952 | GCACAGTACAATGTACACATGGAA |
| −7515 | GGCATACATTGCTTTTCC |
| +7515 | GGAAAAGCAATGTATGCC |
| −7795 | ATAGTGCTTCCTGCTGCTC |
| +7626 | TTCAGACCTGGAGGAGGAGATATG |
| +7795 | GAGCAGCAGGAAGCACTAT |
| +7850 | ACAATTATTGTCTGGTATAGTGCAACAGCA |
| −8538 | CAATCAAGAGTAAGTCTCT |
| +8277 | TTCATAATGATAGTAGGAG |
| −8868 | TCCCACCCTATCTGCTGCTGGC |
| −8882 | TCTCGAGATGCTGCTCCCACCC |
| −8966 | CCTCCTCCTCTTGTGCTTCTAGCC |
| −9039 | GGCTAAGATCTACAGCTGCCTTG |
| −9081 | GGAGTGAATTAGCCCTTCCAGTCCC |
| −9146 | CTGCCAATCAGGGAAGTAGCCTTGTGT |
| −9604/R2 | GCACTCAAGGCAAGCTTTATTGAGGCTTA |
| R3 | CTAGTTACCAGAGTCACACAACAGACG |
| R1 | TGAGGGATCTCTAGTTACCAGAGTC |
| First-Round Primer Sets | |||||
| Forward | Reverse | Amplicon Size (bp) | Amplification | Single Band | Specificity |
| F1 | R1 | 9064 | ✓ | x | x |
| F1 | R3 | 9054 | ✓ | x | x |
| F1 | 9604 | 9010 | ✓ | x | x |
| F1 | 9146 | 8549 | ✓ | x | x |
| F1 | 8538 | 7934 | ✓ | x | x |
| F1 | 7795 | 7191 | ✓ | x | x |
| F1 | 7515 | 6910 | ✓ | x | x |
| F2 | R1 | 9005 | ✓ | x | x |
| F2 | R3 | 8995 | ✓ | x | x |
| F2 | 9604 | 8951 | ✓ | x | x |
| F2 | 9146 | 8490 | ✓ | x | x |
| F2 | 8538 | 7875 | ✓ | x | x |
| F2 | 7795 | 7132 | ✓ | x | x |
| F2 | 7515 | 6851 | ✓ | x | x |
| F3 | R1 | 9041 | ✓ | x | x |
| F3 | R3 | 9031 | ✓ | x | x |
| F3 | 9604 | 8987 | ✓ | x | x |
| F3 | 9147 | 8526 | ✓ | x | x |
| F3 | 8538 | 7911 | ✓ | x | x |
| F3 | 7795 | 7168 | ✓ | x | x |
| F3 | 7515 | 6887 | ✓ | x | x |
| 796 | R1 | 8891 | ✓ | x | x |
| 796 | R3 | 8881 | ✓ | x | x |
| 796 | 9604 | 8837 | ✓ | x | x |
| 796 | 9147 | 8376 | ✓ | x | x |
| 796 | 8538 | 7761 | ✓ | ✓ | ✓ |
| 796 | 7795 | 7018 | ✓ | ✓ | x |
| 796 | 7515 | 6737 | ✓ | ✓ | ✓ |
| 836 | R1 | 8851 | ✓ | x | x |
| 836 | R3 | 8841 | ✓ | x | x |
| 836 | 9604 | 8797 | ✓ | x | x |
| 836 | 9147 | 8336 | ✓ | x | x |
| 836 | 8538 | 7721 | ✓ | x | x |
| 836 | 7795 | 6978 | ✓ | x | x |
| 836 | 7515 | 6697 | ✓ | x | x |
| 1127 | R1 | 8560 | ✓ | x | x |
| 1127 | R3 | 8550 | ✓ | x | x |
| 1127 | 9604 | 8506 | ✓ | x | x |
| 1127 | 9147 | 8045 | ✓ | x | x |
| 1127 | 8538 | 7430 | ✓ | x | x |
| 1127 | 7795 | 6687 | ✓ | x | x |
| 1127 | 7515 | 6406 | ✓ | x | x |
| 1546 | R1 | 8141 | ✓ | x | x |
| 1546 | R3 | 8131 | ✓ | x | x |
| 1546 | 9604 | 8087 | ✓ | x | x |
| 1546 | 9147 | 7626 | ✓ | x | x |
| 1546 | 8538 | 7011 | ✓ | ✓ | ✓ |
| 1546 | 7795 | 6268 | ✓ | ✓ | ✓ |
| 1546 | 7515 | 5987 | ✓ | ✓ | ✓ |
| 2078 | R1 | 7609 | x | x | x |
| 2078 | R3 | 7599 | x | x | x |
| 2078 | 9604 | 7555 | x | x | x |
| 2078 | 9147 | 7094 | x | x | x |
| 2078 | 8538 | 6479 | x | x | x |
| 2078 | 7795 | 5736 | x | x | x |
| 2078 | 7515 | 5455 | x | x | x |
| 711 | 8538 | 7867 | ✓ | x | x |
| 711 | 8862 | 8200 | ✓ | x | x |
| 711 | 8882 | 8214 | ✓ | x | x |
| 711 | 8966 | 8300 | ✓ | x | x |
| 711 | 9039 | 8372 | ✓ | x | x |
| 711 | 9081 | 8416 | ✓ | x | x |
| 756 | 8538 | 7822 | ✓ | ✓ | ✓ |
| 756 | 8862 | 8155 | ✓ | x | x |
| 756 | 8882 | 8169 | ✓ | x | x |
| 756 | 8966 | 8255 | ✓ | ✓ | ✓ |
| 756 | 9039 | 8327 | ✓ | x | x |
| 756 | 9081 | 8371 | ✓ | x | x |
| 796 | 8538 | 7761 | ✓ | ✓ | ✓ |
| 796 | 8862 | 8094 | ✓ | x | x |
| 796 | 8882 | 8108 | ✓ | x | x |
| 796 | 8966 | 8194 | ✓ | x | x |
| 796 | 9039 | 8266 | ✓ | x | x |
| 796 | 9081 | 8310 | ✓ | x | x |
| Second-round primer sets | |||||
| Forward | Reverse | Amplicon size (bp) | Amplification | Single Band | Specificity |
| 756 | 8966 | 8255 | ✓ | x | x |
| 756 | 8538 | 7822 | ✓ | x | x |
| 796 | 8966 | 8194 | ✓ | x | x |
| 796 | 8538 | 7761 | ✓ | ✓ | ✓ |
| First Round Primer Sets | |||||
| Forward | Reverse | Amplicon Size (bp) | Amplification | Single Band | Specificity |
| 711 | 6342 | 5672 | ✓ | x | x |
| 711 | 6214 | 5544 | ✓ | x | x |
| 711 | 6207 | 5542 | ✓ | x | x |
| 711 | 5857 | 5194 | ✓ | x | x |
| 711 | 5833 | 5172 | ✓ | x | x |
| 711 | 5562 | 4892 | ✓ | x | x |
| 711 | 5195 | 4528 | ✓ | x | x |
| 711 | 4956 | 4287 | ✓ | x | x |
| 711 | 4176 | 3506 | ✓ | x | x |
| 711 | 3501 | 2835 | ✓ | x | x |
| 711 | 3299 | 2629 | ✓ | x | x |
| 711 | 3246 | 2577 | ✓ | x | x |
| 711 | 2872 | 2202 | ✓ | x | x |
| 711 | 2691 | 2027 | ✓ | x | x |
| 711 | 2603 | 1934 | ✓ | x | x |
| 711 | 2302 | 1636 | ✓ | x | x |
| 756 | 6342 | 5627 | ✓ | x | x |
| 756 | 6214 | 5499 | ✓ | x | x |
| 756 | 6207 | 5497 | ✓ | x | x |
| 756 | 5857 | 5149 | ✓ | x | x |
| 756 | 5833 | 5127 | ✓ | x | x |
| 756 | 5562 | 4847 | ✓ | x | x |
| 756 | 5195 | 4483 | ✓ | x | x |
| 756 | 4956 | 4242 | ✓ | x | x |
| 756 | 4176 | 3461 | ✓ | ✓ | ✓ |
| 756 | 3501 | 2790 | ✓ | ✓ | ✓ |
| 756 | 3299 | 2584 | ✓ | x | x |
| 756 | 3246 | 2532 | ✓ | ✓ | ✓ |
| 756 | 2872 | 2157 | ✓ | x | x |
| 756 | 2691 | 1982 | ✓ | ✓ | ✓ |
| 756 | 2603 | 1889 | ✓ | ✓ | ✓ |
| 756 | 2302 | 1591 | ✓ | ✓ | ✓ |
| Second Round Primer Sets | |||||
| Forward | Reverse | Amplicon size (bp) | Amplification | Single Band | Specificity |
| 756 | 2302 | 1591 | ✓ | x | x |
| 796 | 2302 | 1530 | ✓ | x | x |
| 796 | 2138 | 1362 | ✓ | x | x |
| 796 | 1960 | 1186 | ✓ | ✓ | ✓ |
| Patient 1 | Patient 2 | |
|---|---|---|
| Sex | Male | Male |
| Age | 71 | 70 |
| Viral load (RNA/mL) | <40 | <40 |
| Suppressed for (years) | 18 | 16 |
| CD4 count (cells/μL) | 1017 | 588 |
| Patient 1 | Patient 2 | |
|---|---|---|
| Total plated cells | 34,560 | 161,280 |
| Total plated wells | 1728 | 8064 |
| Immortalized wells | 1345 | 2768 |
| HIV-positive wells | 19 | 35 |
| Primer Location | Sequence (5′-3′) |
|---|---|
| +796 | GCGAGAGCGTCAGTATTAAGC |
| +836 | GGGAAAAAATTCGGTTAAGGCC |
| +1127 | AAAAGGCACAGCAAGCAGCAGCT |
| −1631 | TTTGGTCCTTGTCTTATGTCCAGAATGC |
| +1546 | AATCCACCTATCCCAGTAGGAGAAAT |
| −1960 | CTTTGCCACAATTGAAACACTT |
| +2078 | AGGCTAATTTTTTAGGGA |
| +2165 | CAGAAGAGAGCTTCAGGTTTGGG |
| −2138 | TGTTGGCTCTGGTCTGCTCT |
| −2302 | CTAATAGAGCTTCCTTTAGTTGCC |
| −2603 | GGCCATTGTTTAACTTTTGGG |
| +2603 | CCCAAAAGTTAAACAATGGCC |
| −2691 | TATGGATTTTCAGGCCCAATTTTTGA |
| −2872 | TGCATCACCCACATCCAGTA |
| −3246 | CCATTTATCAGGATGGAGTTC |
| −3299 | TGTCATTGACAGTCCAGCTG |
| +3194 | CACACCAGACAAAAAACATCAG |
| +3379 | RGCAATTATGTAAACTCCTTAGGGGA |
| −3501 | TAAGTCTTTTGATGGGTCATAATA |
| +3869 | CTATGTAGATGGGGCAGCTA |
| −4176 | TCTACTTGTTCATTTCCTCC |
| +4024 | AAGTAAACATAGTAACAGACTCAC |
| +4162 | CACACAAAGGAATTGGAGGAAATG |
| +4745 | TAAGACAGCAGTACAAATGGCAG |
| −4956 | TACTGCCCCTTCACCTTTCCA |
| −5195 | TAGTGGGATGTGTACTTCTGAAC |
| +5550 | AGAGGATAGATGGAACAAGCCCCAG |
| −5562 | TGGTCTTCTGGGGCTTGTTC |
| −5833 | AGGGCTCTAGTCTAGGATCTACTGGCTCCA |
| −5857 | GGCTGACTTCCTGGATGCTTCCAGGGC |
| +5861 | TGGAAGCATCCAGGAAGTCAGCCT |
| −6207 | CTCTCATTGCCACTGTCTTCTGCTC |
| +6210 | CAGAAGACAGTGGCAATGA |
| −6214 | CACTCTCATTGCCACTGTCT |
| −6342 | TTCCACACAGGTACCCCATA |
| +6445 | GTGTACCCACAGACCCCAACCCACAAG |
| −6952 | TTCCATGTGTACATTGTACTGTG |
| +6952 | GCACAGTACAATGTACACATGGAA |
| −7515 | GGCATACATTGCTTTTCC |
| +7515 | GGAAAAGCAATGTATGCC |
| −7795 | ATAGTGCTTCCTGCTGCTC |
| +7626 | TTCAGACCTGGAGGAGGAGATATG |
| +7795 | GAGCAGCAGGAAGCACTAT |
| +7850 | ACAATTATTGTCTGGTATAGTGCAACAGCA |
| −8538 | CAATCAAGAGTAAGTCTCT |
| +8277 | TTCATAATGATAGTAGGAG |
| −9146 | CTGCCAATCAGGGAAGTAGCCTTGTGT |
| −9604 | GCACTCAAGGCAAGCTTTATTGAGGCTTA |
Disclaimer/Publisher’s Note: The statements, opinions and data contained in all publications are solely those of the individual author(s) and contributor(s) and not of MDPI and/or the editor(s). MDPI and/or the editor(s) disclaim responsibility for any injury to people or property resulting from any ideas, methods, instructions or products referred to in the content. |
© 2026 by the authors. Licensee MDPI, Basel, Switzerland. This article is an open access article distributed under the terms and conditions of the Creative Commons Attribution (CC BY) license.
Share and Cite
Bruchey, W.E.; Paudel, S.; McCormack, A.L.; Imamichi, T.; Laverdure, S. Immortalization and Targeted Enrichment of HIV-Infected CD4+ T-Cells from Patients Under Antiretroviral Therapy. Int. J. Mol. Sci. 2026, 27, 1086. https://doi.org/10.3390/ijms27021086
Bruchey WE, Paudel S, McCormack AL, Imamichi T, Laverdure S. Immortalization and Targeted Enrichment of HIV-Infected CD4+ T-Cells from Patients Under Antiretroviral Therapy. International Journal of Molecular Sciences. 2026; 27(2):1086. https://doi.org/10.3390/ijms27021086
Chicago/Turabian StyleBruchey, Whitney E., Sharada Paudel, Ashley L. McCormack, Tomozumi Imamichi, and Sylvain Laverdure. 2026. "Immortalization and Targeted Enrichment of HIV-Infected CD4+ T-Cells from Patients Under Antiretroviral Therapy" International Journal of Molecular Sciences 27, no. 2: 1086. https://doi.org/10.3390/ijms27021086
APA StyleBruchey, W. E., Paudel, S., McCormack, A. L., Imamichi, T., & Laverdure, S. (2026). Immortalization and Targeted Enrichment of HIV-Infected CD4+ T-Cells from Patients Under Antiretroviral Therapy. International Journal of Molecular Sciences, 27(2), 1086. https://doi.org/10.3390/ijms27021086

