NLRP3 Inflammasome as Potential Predictor of Non-Responsiveness to Immunosuppressive Treatment in Lupus Nephritis
Abstract
1. Introduction
2. Results
2.1. Clinical and Laboratory Characteristics
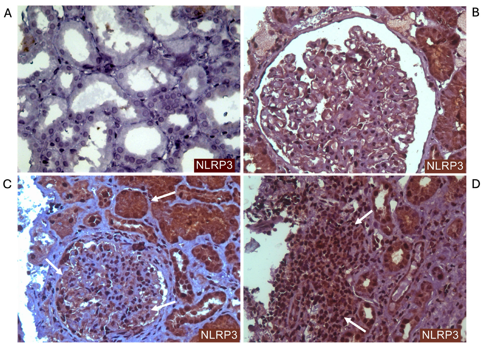
2.2. Histopathological Findings
2.3. Clinical and Laboratory Characteristics During Follow-Up
2.4. Inflammasome Gene Expression Analysis
2.5. Serum Levels of IL-1β
2.6. Correlation Analysis
3. Discussion
4. Materials and Methods
4.1. Patients
4.2. Histopathological Characteristics
4.3. Immunohistochemistry of Kidney Biopsy
4.4. Treatment Protocols
4.5. Definition of Treatment Response
4.6. Peripheral Blood Mononuclear Cell Isolation, RNA Extraction, and cDNA Synthesis
4.7. Gene Expression Analysis
4.8. Serum IL-1β Quantification
4.9. Statistical Analysis
Author Contributions
Funding
Institutional Review Board Statement
Informed Consent Statement
Data Availability Statement
Acknowledgments
Conflicts of Interest
References
- Hanly, J.G.; O’Keeffe, A.G.; Su, L.; Urowitz, M.B.; Romero-Diaz, J.; Gordon, C.; Bae, S.-C.; Bernatsky, S.; Clarke, A.E.; Wallace, D.J.; et al. The Frequency and Outcome of Lupus Nephritis: Results from an International Inception Cohort Study. Rheumatology 2016, 55, 252–262. [Google Scholar] [CrossRef]
- Lim, S.S.; Bayakly, A.R.; Helmick, C.G.; Gordon, C.; Easley, K.A.; Drenkard, C. The Incidence and Prevalence of Systemic Lupus Erythematosus, 2002–2004: The Georgia Lupus Registry. Arthritis Rheumatol. 2014, 66, 357–368. [Google Scholar] [CrossRef]
- Bastian, H.M.; Roseman, J.M.; Mcgwin, G.; Alarcón, G.S.; Friedman, A.W.; Fessler, B.J.; Baethge, B.A.; Reveille, J.D. Systemic Lupus Erythematosus in Three Ethnic Groups. XII. Risk Factors for Lupus Nephritis after Diagnosis. Lupus 2002, 11, 152–160. [Google Scholar] [CrossRef]
- Cervera, R.; Khamashta, M.A.; Font, J.; Sebastiani, G.D.; Gil, A.; Lavilla, P.; Mejía, J.C.; Aydintug, A.O.; Chwalinska-Sadowska, H.; de Ramón, E.; et al. Morbidity and Mortality in Systemic Lupus Erythematosus During a 10-Year Period. Medicine 2003, 82, 299–308. [Google Scholar] [CrossRef] [PubMed]
- Gupta, S.; Kaplan, M.J. Bite of the Wolf: Innate Immune Responses Propagate Autoimmunity in Lupus. J. Clin. Investig. 2021, 131, 14–16. [Google Scholar] [CrossRef] [PubMed]
- Zhang, H.; Liu, L.; Li, L. Lentivirus-Mediated Knockdown of FcγRI (CD64) Attenuated Lupus Nephritis via Inhibition of NF-ΚB Regulating NLRP3 Inflammasome Activation in MRL/Lpr Mice. J. Pharmacol. Sci. 2018, 137, 342–349. [Google Scholar] [CrossRef]
- Ke, P.F.; Zhu, Y.T.; Cao, S.L.; Wang, Y.; Wu, S.T.; He, Q.Q.; Liang, L.F.; Li, J.C. Identification of Pattern Recognition Receptor Genes in Peripheral Blood Mononuclear Cells and Monocytes as Biomarkers for the Diagnosis of Lupus Nephritis. Clin. Chim. Acta 2024, 554, 117785. [Google Scholar] [CrossRef] [PubMed]
- Wang, Z.; Zhang, S.; Xiao, Y.; Zhang, W.; Wu, S.; Qin, T.; Yue, Y.; Qian, W.; Li, L. NLRP3 Inflammasome and Inflammatory Diseases. Oxid. Med. Cell. Longev. 2020, 2020, 4063562. [Google Scholar] [CrossRef]
- Chen, F.-f.; Liu, X.-t.; Tao, J.; Mao, Z.-m.; Wang, H.; Tan, Y.; Qu, Z.; Yu, F. Renal NLRP3 Inflammasome Activation Is Associated with Disease Activity in Lupus Nephritis. Clin. Immunol. 2023, 247, 109221. [Google Scholar] [CrossRef]
- Koka, S.; Xia, M.; Zhang, C.; Zhang, Y.; Li, P.L.; Boini, K.M. Podocyte NLRP3 Inflammasome Activation and Formation by Adipokine Visfatin. Cell. Physiol. Biochem. 2019, 53, 355–365. [Google Scholar] [CrossRef]
- Ummarino, D. NLRP3 Inflammasome Ignites Podocyte Dysfunction. Nat. Rev. Rheumatol. 2017, 13, 451. [Google Scholar] [CrossRef]
- Vilaysane, A.; Chun, J.; Seamone, M.E.; Wang, W.; Chin, R.; Hirota, S.; Li, Y.; Clark, S.A.; Tschopp, J.; Trpkov, K.; et al. The NLRP3 Inflammasome Promotes Renal Inflammation and Contributes to CKD. J. Am. Soc. Nephrol. 2010, 21, 1732–1744. [Google Scholar] [CrossRef]
- Wang, W.; Wang, X.; Chun, J.; Vilaysane, A.; Clark, S.; French, G.; Bracey, N.A.; Trpkov, K.; Bonni, S.; Duff, H.J.; et al. Inflammasome-Independent NLRP3 Augments TGF-β Signaling in Kidney Epithelium. J. Immunol. 2013, 190, 1239–1249. [Google Scholar] [CrossRef] [PubMed]
- Lamkanfi, M.; Dixit, V.M. Mechanisms and Functions of Inflammasomes. Cell 2014, 157, 1013–1022. [Google Scholar] [CrossRef] [PubMed]
- Kelley, N.; Jeltema, D.; Duan, Y.; He, Y. The NLRP3 Inflammasome: An Overview of Mechanisms of Activation and Regulation. Int. J. Mol. Sci. 2019, 20, 3328. [Google Scholar] [CrossRef] [PubMed]
- Martinon, F.; Burns, K.; Rg Tschopp, J. The Inflammasome: A Molecular Platform Triggering Activation of Inflammatory Caspases and Processing of ProIL-That They Possess Several Distinct Protein/Protein Inter-Action Domains Which Are Used to Assemble Large Multi-Component Complexes. Apaf-1, for e. Mol. Cell 2002, 10, 417–426. [Google Scholar] [CrossRef]
- Liu, X.; Zhang, Z.; Ruan, J.; Pan, Y.; Magupalli, V.G.; Wu, H.; Lieberman, J. Inflammasome-Activated Gasdermin D Causes Pyroptosis by Forming Membrane Pores. Nature 2016, 535, 153–158. [Google Scholar] [CrossRef]
- Ke, Q.; Greenawalt, A.N.; Manukonda, V.; Ji, X.; Tisch, R.M. The Regulation of Self-Tolerance and the Role of Inflammasome Molecules. Front. Immunol. 2023, 14, 1154552. [Google Scholar] [CrossRef]
- Pontillo, A.; Girardelli, M.; Kamada, A.J.; Pancotto, J.A.T.; Donadi, E.A.; Crovella, S.; Sandrin-Garcia, P. Polimorphisms in Inflammasome Genes Are Involved in the Predisposition to Systemic Lupus Erythematosus. Autoimmunity 2012, 45, 271–278. [Google Scholar] [CrossRef]
- da Cruz, H.L.A.; Cavalcanti, C.A.J.; de Azêvedo Silva, J.; de Lima, C.A.D.; Fragoso, T.S.; Barbosa, A.D.; Dantas, A.T.; de Ataíde Mariz, H.; Duarte, A.L.B.P.; Pontillo, A.; et al. Differential Expression of the Inflammasome Complex Genes in Systemic Lupus Erythematosus. Immunogenetics 2020, 72, 217–224. [Google Scholar] [CrossRef]
- Lee, Y.H.; Bae, S.-C. Association between Functional NLRP3 Polymorphisms and Susceptibility to Autoimmune and Inflammatory Diseases: A Meta-Analysis. Lupus 2016, 25, 1558–1566. [Google Scholar] [CrossRef] [PubMed]
- Su, Z.; Niu, Q.; Huang, Z.; Yang, B.; Zhang, J. Association of Nucleotide-Binding Oligomerization Domain-like Receptor Family Pyrin Domain-Containing Protein 3 Polymorphisms with Systemic Lupus Erythematosus Disease Activity and Biomarker Levels. Medicine 2020, 99, e21888. [Google Scholar] [CrossRef] [PubMed]
- Tsai, P.Y.; Ka, S.M.; Chang, J.M.; Chen, H.C.; Shui, H.A.; Li, C.Y.; Hua, K.F.; Chang, W.L.; Huang, J.J.; Yang, S.S.; et al. Epigallocatechin-3-Gallate Prevents Lupus Nephritis Development in Mice via Enhancing the Nrf2 Antioxidant Pathway and Inhibiting NLRP3 Inflammasome Activation. Free Radic. Biol. Med. 2011, 51, 744–754. [Google Scholar] [CrossRef] [PubMed]
- Su, B.; Ye, H.; You, X.; Ni, H.; Chen, X.; Li, L. Icariin Alleviates Murine Lupus Nephritis via Inhibiting NF-ΚB Activation Pathway and NLRP3 Inflammasome. Life Sci. 2018, 208, 26–32. [Google Scholar] [CrossRef]
- Lin, T.J.; Wu, C.Y.; Tsai, P.Y.; Hsu, W.H.; Hua, K.F.; Chu, C.L.; Lee, Y.C.; Chen, A.; Lee, S.L.; Lin, Y.J.; et al. Accelerated and Severe Lupus Nephritis Benefits from M1, an Active Metabolite of Ginsenoside, by Regulating NLRP3 Inflammasome and T Cell Functions in Mice. Front. Immunol. 2019, 10, 1951. [Google Scholar] [CrossRef]
- Yang, S.; Hsu, W.; Wu, C.; Shang, H.; Liu, F.; Chen, A.; Hua, K.; Ka, S. Accelerated, Severe Lupus Nephritis Benefits from Treatment with Honokiol by Immunoregulation and Differentially Regulating NF-κB/NLRP3 Inflammasome and Sirtuin 1/Autophagy Axis. FASEB J. 2020, 34, 13284–13299. [Google Scholar] [CrossRef]
- Zhao, J.; Wang, H.; Dai, C.; Wang, H.; Zhang, H.; Huang, Y.; Wang, S.; Gaskin, F.; Yang, N.; Man Fu, S. P2X 7 Blockade Attenuates Murine Lupus Nephritis by Inhibiting Activation of the NLRP3/ASC/Caspase 1 Pathway. Arthritis Rheum. 2013, 65, 3176–3185. [Google Scholar] [CrossRef]
- Bonomini, F.; Dos Santos, M.; Veronese, F.V.; Rezzani, R. NLRP3 Inflammasome Modulation by Melatonin Supplementation in Chronic Pristane-Induced Lupus Nephritis. Int. J. Mol. Sci. 2019, 20, 3466. [Google Scholar] [CrossRef]
- Aringer, M.; Costenbader, K.; Daikh, D.; Brinks, R.; Mosca, M.; Ramsey-goldman, R.; Smolen, J.S.; Wofsy, D.; Boumpas, D.T.; Kamen, D.L.; et al. 2019 European League Against Rheumatism/American College of Rheumatology Classification Criteria for Systemic Lupus Erythematosus. Arthritis Rheumatol. 2019, 71, 1400–1412. [Google Scholar] [CrossRef]
- Gladman, D.D.; Ibañez, D.; Urowitz, M.B. Systemic Lupus Erythematosus Disease Activity Index 2000. J. Rheumatol. 2002, 29, 288–291. [Google Scholar]
- Weening, J.J.; D’Agati, V.D.; Schwartz, M.M.; Seshan, S.V.; Alpers, C.E.; Appel, G.B.; Balow, J.E.; Bruijn, J.A.; Cook, T.; Ferrario, F.; et al. The Classification of Glomerulonephritis in Systemic Lupus Erythematosus Revisited. J. Am. Soc. Nephrol. 2004, 15, 241–250. [Google Scholar] [CrossRef] [PubMed]
- Weening, J.J.; D’agati, V.D.; Schwartz, M.M.; Seshan, S.V.; Alpers, C.E.; Appel, G.B.; Balow, J.E.; Bruijn, J.A.; Cook, T.; Ferrario, F.; et al. The Classification of Glomerulonephritis in Systemic Lupus Erythematosus Revisited. Kidney Int. 2004, 65, 521–530. [Google Scholar] [CrossRef]
- Bajema, I.M.; Wilhelmus, S.; Alpers, C.E.; Bruijn, J.A.; Colvin, R.B.; Cook, H.T.; D’Agati, V.D.; Ferrario, F.; Haas, M.; Jennette, J.C.; et al. Revision of the International Society of Nephrology/Renal Pathology Society Classification for Lupus Nephritis: Clarification of Definitions, and Modified National Institutes of Health Activity and Chronicity Indices. Kidney Int. 2018, 93, 789–796. [Google Scholar] [CrossRef] [PubMed]
- Mulay, S.R. Multifactorial Functions of the Inflammasome Component NLRP3 in Pathogenesis of Chronic Kidney Diseases. Kidney Int. 2019, 96, 58–66. [Google Scholar] [CrossRef] [PubMed]
- Lorenz, G.; Darisipudi, M.N.; Anders, H.J. Canonical and Non-Canonical Effects of the NLRP3 Inflammasome in Kidney Inflammation and Fibrosis. Nephrol. Dial. Transplant. 2014, 29, 41–48. [Google Scholar] [CrossRef]
- Guo, C.; Fu, R.; Zhou, M.; Wang, S.; Huang, Y.; Hu, H.; Zhao, J.; Gaskin, F.; Yang, N.; Fu, S.M. Pathogenesis of Lupus Nephritis: RIP3 Dependent Necroptosis and NLRP3 Inflammasome Activation. J. Autoimmun. 2019, 103, 102286. [Google Scholar] [CrossRef]
- Takano, Y.; Yamauchi, K.; Hayakawa, K.; Hiramatsu, N.; Kasai, A.; Okamura, M.; Yokouchi, M.; Shitamura, A.; Yao, J.; Kitamura, M. Transcriptional Suppression of Nephrin in Podocytes by Macrophages: Roles of Inflammatory Cytokines and Involvement of the PI3K/Akt Pathway. FEBS Lett. 2007, 581, 421–426. [Google Scholar] [CrossRef]
- Fu, R.; Guo, C.; Wang, S.; Huang, Y.; Jin, O.; Hu, H.; Chen, J.; Xu, B.; Zhou, M.; Zhao, J.; et al. Podocyte Activation of NLRP3 Inflammasomes Contributes to the Development of Proteinuria in Lupus Nephritis. Arthritis Rheumatol. 2017, 69, 1636–1646. [Google Scholar] [CrossRef]
- Zhang, C.; Boini, K.M.; Xia, M.; Abais, J.M.; Li, X.; Liu, Q.; Li, P.L. Activation of Nod-like Receptor Protein 3 Inflammasomes Turns on Podocyte Injury and Glomerular Sclerosis in Hyperhomocysteinemia. Hypertension 2012, 60, 154–162. [Google Scholar] [CrossRef]
- Vesey, D.A.; Cheung, C.W.Y.; Cuttle, L.; Endre, Z.A.; Gobé, G.; Johnson, D.W. Interleukin-Lβ Induces Human Proximal Tubule Cell Injury, α-Smooth Muscle Actin Expression and Fibronectin Production. Kidney Int. 2002, 62, 31–40. [Google Scholar] [CrossRef]
- Liu, Y.; Lei, H.; Zhang, W.; Xing, Q.; Liu, R.; Wu, S.; Liu, Z.; Yan, Q.; Li, W.; Liu, X.; et al. Pyroptosis in Renal Inflammation and Fibrosis: Current Knowledge and Clinical Significance. Cell Death Dis. 2023, 14, 472. [Google Scholar] [CrossRef] [PubMed]
- Huang, G.; Zhang, Y.; Zhang, Y.; Ma, Y. Chronic Kidney Disease and NLRP3 Inflammasome: Pathogenesis, Development and Targeted Therapeutic Strategies. Biochem. Biophys. Rep. 2023, 33, 101417. [Google Scholar] [CrossRef] [PubMed]
- Choi, S.E.; Fogo, A.B.; Lim, B.J. Histologic Evaluation of Activity and Chronicity of Lupus Nephritis and Its Clinical Significance. Kidney Res. Clin. Pract. 2023, 42, 166–173. [Google Scholar] [CrossRef] [PubMed]
- Parodis, I.; Tamirou, F.; Houssiau, F.A. Prediction of Prognosis and Renal Outcome in Lupus Nephritis. Lupus Sci. Med. 2020, 7, e000389. [Google Scholar] [CrossRef]
- Nakagawa, S.; Toyama, T.; Iwata, Y.; Oshima, M.; Ogura, H.; Sato, K.; Yamamura, Y.; Miyakawa, T.; Kitajima, S.; Hara, A.; et al. The Relationship between the Modified National Institute of Health Activity and Chronicity Scoring System, and the Long-Term Prognosis for Lupus Nephritis: A Retrospective Single-Center Study. Lupus 2021, 30, 1739–1746. [Google Scholar] [CrossRef]
- Zhang, W.; Yuan, M.; Hong, L.; Zhou, Q.; Chen, W.; Yang, S.; Yang, Q.; Chen, W.; Yu, X. Clinical Outcomes of Lupus Nephritis Patients with Different Proportions of Crescents. Lupus 2016, 25, 1532–1541. [Google Scholar] [CrossRef]
- Ludwig-Portugall, I.; Bartok, E.; Dhana, E.; Evers, B.D.G.; Primiano, M.J.; Hall, J.P.; Franklin, B.S.; Knolle, P.A.; Hornung, V.; Hartmann, G.; et al. An NLRP3-Specific Inflammasome Inhibitor Attenuates Crystal-Induced Kidney Fibrosis in Mice. Kidney Int. 2016, 90, 525–539. [Google Scholar] [CrossRef]
- Guo, H.; Bi, X.; Zhou, P.; Zhu, S.; Ding, W. NLRP3 Deficiency Attenuates Renal Fibrosis and Ameliorates Mitochondrial Dysfunction in a Mouse Unilateral Ureteral Obstruction Model of Chronic Kidney Disease. Mediat. Inflamm. 2017, 2017, 8316560. [Google Scholar] [CrossRef]
- Wu, X.; Yang, J.; Wu, J.; Yang, X. Therapeutic Potential of MCC950, a Specific Inhibitor of NLRP3 Inflammasome in Systemic Lupus Erythematosus. Biomed. Pharmacother. 2024, 172, 116261. [Google Scholar] [CrossRef]
- Fu, R.; Xia, Y.; Li, M.; Mao, R.; Guo, C.; Zhou, M.; Tan, H.; Liu, M.; Wang, S.; Yang, N.; et al. Pim-1 as a Therapeutic Target in Lupus Nephritis. Arthritis Rheumatol. 2019, 71, 1308–1318. [Google Scholar] [CrossRef]
- Wu, C.-Y.; Hua, K.-F.; Chu, C.-L.; Yang, S.-R.; Arbiser, J.L.; Yang, S.-S.; Lin, Y.-C.; Liu, F.-C.; Yang, S.-M.; Ka, S.-M.; et al. Tris DBA Ameliorates Accelerated and Severe Lupus Nephritis in Mice by Activating Regulatory T Cells and Autophagy and Inhibiting the NLRP3 Inflammasome. J. Immunol. 2020, 204, 1448–1461. [Google Scholar] [CrossRef] [PubMed]
- Zhao, J.; Zhang, H.; Huang, Y.; Wang, H.; Wang, S.; Zhao, C.; Liang, Y.; Yang, N. Bay11-7082 Attenuates Murine Lupus Nephritis via Inhibiting NLRP3 Inflammasome and NF-ΚB Activation. Int. Immunopharmacol. 2013, 17, 116–122. [Google Scholar] [CrossRef] [PubMed]
- Karakaya, T.; Slaufova, M.; Di Filippo, M.; Hennig, P.; Kündig, T.; Beer, H.-D. CARD8: A Novel Inflammasome Sensor with Well-Known Anti-Inflammatory and Anti-Apoptotic Activity. Cells 2024, 13, 1032. [Google Scholar] [CrossRef] [PubMed]
- Razmara, M.; Srinivasula, S.M.; Wang, L.; Poyet, J.L.; Geddes, B.J.; Distefano, P.S.; Bertin, J.; Alnemri, E.S. CARD-8 Protein, a New CARD Family Member That Regulates Caspase-1 Activation and Apoptosis. J. Biol. Chem. 2002, 277, 13952–13958. [Google Scholar] [CrossRef]
- Ito, S.; Hara, Y.; Kubota, T. CARD8 Is a Negative Regulator for NLRP3 Inflammasome, but Mutant NLRP3 in Cryopyrin-Associated Periodic Syndromes Escapes the Restriction. Arthritis Res. Ther. 2014, 16, R52. [Google Scholar] [CrossRef]
- Mao, L.; Kitani, A.; Similuk, M.; Oler, A.J.; Albenberg, L.; Kelsen, J.; Aktay, A.; Quezado, M.; Yao, M.; Montgomery-Recht, K.; et al. Loss-of-Function CARD8 Mutation Causes NLRP3 Inflammasome Activation and Crohn’s Disease. J. Clin. Investig. 2018, 128, 1793–1806. [Google Scholar] [CrossRef]
- Linder, A.; Bauernfried, S.; Cheng, Y.; Albanese, M.; Jung, C.; Keppler, O.T.; Hornung, V. CARD8 Inflammasome Activation Triggers Pyroptosis in Human T Cells. EMBO J. 2020, 39, EMBJ2020105071. [Google Scholar] [CrossRef]
- Taabazuing, C.Y.; Griswold, A.R.; Bachovchin, D.A. The NLRP1 and CARD8 Inflammasomes. Immunol. Rev. 2020, 297, 13–25. [Google Scholar] [CrossRef]
- Inker, L.A.; Eneanya, N.D.; Coresh, J.; Tighiouart, H.; Wang, D.; Sang, Y.; Crews, D.C.; Doria, A.; Estrella, M.M.; Froissart, M.; et al. New Creatinine- and Cystatin C–Based Equations to Estimate GFR without Race. N. Engl. J. Med. 2021, 385, 1737–1749. [Google Scholar] [CrossRef]
- Rovin, B.H.; Ayoub, I.M.; Chan, T.M.; Liu, Z.-H.; Mejía-Vilet, J.M.; Floege, J. KDIGO 2024 Clinical Practice Guideline for the Management of LUPUS NEPHRITIS. Kidney Int. 2024, 105, S1–S69. [Google Scholar] [CrossRef]
- Tamirou, F.; Lauwerys, B.R.; Dall’Era, M.; Mackay, M.; Rovin, B.; Cervera, R.; Houssiau, F.A. A Proteinuria Cut-off Level of 0.7 g/Day after 12 Months of Treatment Best Predicts Long-Term Renal Outcome in Lupus Nephritis: Data from the MAINTAIN Nephritis Trial. Lupus Sci. Med. 2015, 2, e000123. [Google Scholar] [CrossRef]
- Dall’Era, M.; Cisternas, M.G.; Smilek, D.E.; Straub, L.; Houssiau, F.A.; Cervera, R.; Rovin, B.H.; MacKay, M. Predictors of Long-Term Renal Outcome in Lupus Nephritis Trials: Lessons Learned from the Euro-Lupus Nephritis Cohort. Arthritis Rheumatol. 2015, 67, 1305–1313. [Google Scholar] [CrossRef]
- Furie, R.; Rovin, B.H.; Houssiau, F.; Malvar, A.; Teng, Y.K.O.; Contreras, G.; Amoura, Z.; Yu, X.; Mok, C.-C.; Santiago, M.B.; et al. Two-Year, Randomized, Controlled Trial of Belimumab in Lupus Nephritis. N. Engl. J. Med. 2020, 383, 1117–1128. [Google Scholar] [CrossRef]
- Manchester, K.L. Use of UV Methods for Measurement of Protein and Nucleic Acid Concentrations. Biotechniques 1996, 20, 968–970. [Google Scholar] [CrossRef]
- Schmittgen, T.D.; Livak, K.J. Analyzing Real-Time PCR Data by the Comparative CT Method. Nat. Protoc. 2008, 3, 1101–1108. [Google Scholar] [CrossRef]






| Characteristics | PERR N = 13 | No PERR N = 7 | p-Value |
|---|---|---|---|
| Age (years) | 30 (24–39) | 28 (26–43) | 0.8618 * |
| Male/female | 0/13 | 1/6 | 0.3500 ‡ |
| Ethnicity, n (%) | |||
| White | 4 (30.8) | 4 (57.1) | 0.3563 ‡ |
| Non-white | 9 (69.2) | 3 (42.9) | |
| Duration of SLE (months) | 30 (16–146) | 67 (33–114) | 0.5486 ¥ |
| Duration of LN, (months) | 10.7 ± 7.9 | 44.3 ± 42.6 | 0.0115 * |
| Hypertension, n (%) | 3 (23.1) | 4 (57.1) | 0.1736 ‡ |
| Diabetes mellitus, n (%) | 0 (0.0) | 0 (0.0) | |
| BMI (kg/m2) | 23 (22–24) | 25 (20–27) | 0.7569 ¥ |
| Serum Cr (mg/dL) | 0.7 (0.7–1.1) | 1.0 (0.8–1.7) | 0.0664 ¥ |
| eGFR (mL/min/1.73 m2) | 115 (76–121) | 69 (44–103) | 0.1191 ¥ |
| Proteinuria (g/24 h) | 3.6 ± 2.8 | 3.9 ± 2.6 | 0.7975 * |
| Serum albumin (g/dL) | 2.8 ± 0.6 | 2.5 ± 0.8 | 0.4926 * |
| C3 (mg/dL) | 50 ± 24 | 54 ± 21 | 0.6278 * |
| C4 (mg/dL) | 7.5 (5.2–12.5) | 8.0 (4.0–12.0) | 0.9515 ¥ |
| SLEDAI | 15 ± 4 | 14 ± 5 | 0.8107 * |
| Previous immunosuppression, n (%) | 4 (30.7) | 5 (71.4) | 0.1597 ‡ |
| Use of ACEI/ARB, n (%) | 10 (76.9) | 7 (100) | 0.5211 ‡ |
| Use of hydroxychloroquine, n (%) | 13 (100) | 7 (100) | |
| Initial immunosuppressive treatment | |||
| Corticosteroids dose (mg/kg/day) | 0.7 ± 0.2 | 0.6 ± 0.2 | 0.4417 * |
| Methylprednisolone IV pulses | 6 (46.2) | 6 (85.7) | 0.1577 * |
| Cyclophosphamide, n (%) | 8 (61.6) | 4 (57.1) | >0.999 ‡ |
| MMF, n (%) | 5 (38.4) | 3 (42.9) |
| Histopathological Characteristics | PERR N = 13 | No PERR N = 7 | p-Value |
|---|---|---|---|
| Classification | |||
| LN class III ± V, n (%) | 4 (30.7) | 1 (14.3) | 0.6126 ‡ |
| LN class IV ± V, n (%) | 7 (53.9) | 4 (57.1) | >0.999 ‡ |
| LN class V, n (%) | 2 (15.4) | 2 (28.6) | 0.2487 ‡ |
| Activity index | 9 ± 4 | 7 ± 3 | 0.5540 * |
| Chronicity index | 2 (1–3) | 3 (0–4) | 0.7729 ¥ |
| % Global glomerulosclerosis | 0.0 (0.0–1.7) | 0.0 (0.0–22) | 0.3673 ¥ |
| Endocapillary hypercellularity, n (%) | 10 (76.9) | 2 (28.6) | 0.0623 ‡ |
| % Endocapillary hypercellularity | 22.2 (2.9–48.2) | 0 (0.0–31.7) | 0.0886 ¥ |
| Subendothelial hyaline deposits, n (%) | 5 (38.5) | 2 (28.6) | >0.999 ‡ |
| % Subendothelial hyaline deposits | 0 (0–14.2) | 0 (0–24) | 0.8667 ¥ |
| Cellular/fibrocellular crescents, n (%) | 9 (69.2) | 4 (57.1) | 0.6514 ‡ |
| % Cellular/fibrocellular crescents | 16.7 (0.0–40.8) | 14.3 (0.0–46.1) | 0.4518 ¥ |
| Interstitial inflammation, n (%) | 7 (53.9) | 3 (42.9) | >0.999 ‡ |
| % Interstitial fibrosis/tubular atrophy | 10 (0–10) | 10 (0–50) | 0.8920 ¥ |
| NLRP3 IHC | PERR N = 13 | No PERR N = 7 | p-Value |
|---|---|---|---|
| Inflammatory cells | |||
| Negative, n (%) | 4 (30.8) | 3 (42.8) | 0.0426 ‡ |
| 1+, n (%) | 7 (53.8) | 0 (0.0) | |
| 2+, n (%) | 2 (15.4) | 4 (57.2) | |
| Tubular cells | |||
| Negative, n (%) | 0 | 0 | >0.999 ‡ |
| 1+, n (%) | 3 (23.1) | 2 (28.6) | |
| 2+, n (%) | 10 (76.9) | 5 (71.4) | |
| Podocytes | |||
| Negative, n (%) | 2 (15.3) | 1(14.3) | 0.7676 ‡ |
| 1+, n (%) | 10 (76.9) | 4 (57.1) | |
| 2+, n (%) | 1 (7.8) | 2 (28.6) |
| PERR N = 13 | No PERR N = 7 | p-Value | |
|---|---|---|---|
| 6 months | |||
| Serum Cr (mg/dL), mean ± SD | 0.68 ± 0.12 | 0.94 ± 0.35 | 0.1046 * |
| eGFR (mL/min/1.73 m2), | 114.6 ± 15.0 | 88.9 ± 29.1 | 0.0165 * |
| Proteinuria (g/24 h), mean ± SD | 0.4 (0.2–1.0) | 3.6 (0.9–4.1) | 0.0037 ¥ |
| Serum albumin (g/dL), mean ± SD | 3.7 ± 0.4 | 3.1 ± 0.7 | 0.0218 * |
| C3 (mg/dL), mean ± SD | 92.0 ± 18.7 | 86.3 ± 19.5 | 0.5917 * |
| C4 (mg/dL), median (range) | 15.6 ± 6.2 | 18.7 ± 9.0 | 0.4863 * |
| SLEDAI, median (range) | 2 (0–4) | 4 (2–6) | 0.1105 ¥ |
| Use of ACEI/ARB, n (%) | 12 (92.3) | 6 (85.7) | >0.999 ¥ |
| Use of hydroxychloroquine, n (%) | 13 (100) | 7 (100) | |
| Immunosuppressive treatment | |||
| Corticosteroids dose (mg/kg/day) | 0.3 ± 0.2 | 0.3 ± 0.2 | 0.8553 * |
| Cyclophosphamide, n (%) | 1 (7.7) | 2 (28.5) | 0.2702 ‡ |
| MMF, n (%) | 12 (92.3) | 5 (71.4) | |
| MMF dose (g/day), mean ± SD | 2.0 (1.0–2.0) | 1.5 (1.0–2.0) | 0.5225 ¥ |
| 12 months | |||
| Serum Cr (mg/dL), median (range) | 0.71 ± 0.16 | 0.94 ± 0.43 | 0.2247 * |
| eGFR (mL/min/1.73 m2), mean ± SD | 108.1 ± 16.2 | 91.4 + 34.4 | 0.1573 * |
| Proteinuria (g/24 h), mean ± SD | 0.3 ± 0.2 | 2.4 ± 1.5 | 0.0001 * |
| Serum albumin (g/dL), mean ± SD | 4.0 ± 0.25 | 3.4 ± 0.7 | 0.0096 * |
| C3 (mg/dL), mean ± SD | 97.9 ± 11.9 | 91.4 ± 19.2 | 0.4648 * |
| C4 (mg/dL), median (range) | 17.3 ± 6.7 | 19.3 ± 12.7 | 0.7172 * |
| SLEDAI, mean ± SD | 0 (0–2) | 6 (4–6) | 0.0004 ¥ |
| Use of ACEI/ARB, n (%) | 11 (84.6) | 7 (100) | 0.5211 ‡ |
| Use of hydroxychloroquine, n (%) | 13 (100) | 7 (100) | |
| Immunosuppressive treatment | |||
| Corticosteroids dose (mg/kg/day) | 0 (0.0–0.15) | 0.1 (0.0–0.3) | 0.2866 ¥ |
| Cyclophosphamide, n (%) | 0 (0) | 0 (0) | |
| MMF, n (%) | 13 (100) | 7 (100) | |
| MMF dose (g/day), mean ± SD | 1.0 (1.0–2.0) | 2.0 (1.5–2.0) | 0.2642 ¥ |
Disclaimer/Publisher’s Note: The statements, opinions and data contained in all publications are solely those of the individual author(s) and contributor(s) and not of MDPI and/or the editor(s). MDPI and/or the editor(s) disclaim responsibility for any injury to people or property resulting from any ideas, methods, instructions or products referred to in the content. |
© 2025 by the authors. Licensee MDPI, Basel, Switzerland. This article is an open access article distributed under the terms and conditions of the Creative Commons Attribution (CC BY) license.
Share and Cite
Oliveira, C.B.L.d.; Guaraná, W.L.; Vajgel, G.; Júnior, B.M.d.S.; Lima, C.A.D.; Araújo, S.d.A.; Souto, F.O.; Costa, D.M.d.N.; Valente, L.M.; Sandrin-Garcia, P. NLRP3 Inflammasome as Potential Predictor of Non-Responsiveness to Immunosuppressive Treatment in Lupus Nephritis. Int. J. Mol. Sci. 2026, 27, 43. https://doi.org/10.3390/ijms27010043
Oliveira CBLd, Guaraná WL, Vajgel G, Júnior BMdS, Lima CAD, Araújo SdA, Souto FO, Costa DMdN, Valente LM, Sandrin-Garcia P. NLRP3 Inflammasome as Potential Predictor of Non-Responsiveness to Immunosuppressive Treatment in Lupus Nephritis. International Journal of Molecular Sciences. 2026; 27(1):43. https://doi.org/10.3390/ijms27010043
Chicago/Turabian StyleOliveira, Camila Barbosa Lyra de, Werbson Lima Guaraná, Gisele Vajgel, Braziliano Miguel da Silva Júnior, Camilla Albertina Dantas Lima, Stanley de Almeida Araújo, Fabrício Oliveira Souto, Denise Maria do Nascimento Costa, Lucila Maria Valente, and Paula Sandrin-Garcia. 2026. "NLRP3 Inflammasome as Potential Predictor of Non-Responsiveness to Immunosuppressive Treatment in Lupus Nephritis" International Journal of Molecular Sciences 27, no. 1: 43. https://doi.org/10.3390/ijms27010043
APA StyleOliveira, C. B. L. d., Guaraná, W. L., Vajgel, G., Júnior, B. M. d. S., Lima, C. A. D., Araújo, S. d. A., Souto, F. O., Costa, D. M. d. N., Valente, L. M., & Sandrin-Garcia, P. (2026). NLRP3 Inflammasome as Potential Predictor of Non-Responsiveness to Immunosuppressive Treatment in Lupus Nephritis. International Journal of Molecular Sciences, 27(1), 43. https://doi.org/10.3390/ijms27010043

