Effect of Soluble Factors Released from Porcine Freeze-Dried Lung Tissue (FDLT) on Modulation of Cell Growth and EMT Signature in Non-Small Cell Lung Cancer (NSCLC)—A Preliminary In Vitro Study
Abstract
1. Introduction
2. Results
2.1. Circular Dichroism
2.2. Effects of FDLT on Cell Viability
2.2.1. Effects of FDLT on Porcine Fibroblast Cell Viability
2.2.2. Effects of FDLT on H1975 and PC9 Cell Viability
2.3. Cell Cycle Modulation in NSCLC Cells
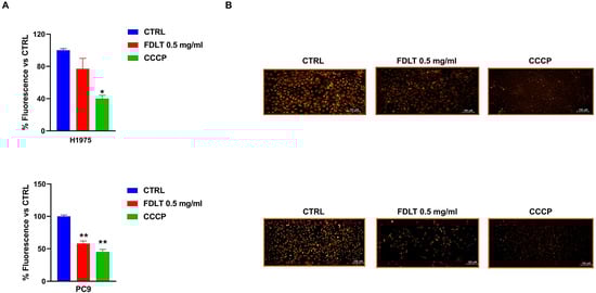
2.4. FDLT Suppresses Mitochondrial Membrane Potential
2.5. FDLT Reduces EMT Transition in H1975 and PC9 Cells
2.6. Effect of FDLT Treatment on Colony Formation
3. Discussion
4. Materials and Methods
4.1. Preparation of Porcine Lung Extract
4.2. Antibodies and Reagents
4.3. Solubility of FDLT Powder
4.4. Cell Culture
4.4.1. Isolation and Culture of Porcine Fibroblasts
4.4.2. Culture of Tumor Cell Lines
4.5. CD Spectroscopy
4.6. Cell Cytotoxicity and Proliferation Assay
4.7. Mitochondrial Membrane Potential MMP Assay
4.8. Immunoblotting
4.9. Gene Expression Analysis by qRT-PCR
4.10. Clonogenic Assay
4.11. Cell Cycle Distribution Analysis
4.12. Statistical Analysis
5. Conclusions
Supplementary Materials
Author Contributions
Funding
Institutional Review Board Statement
Informed Consent Statement
Data Availability Statement
Acknowledgments
Conflicts of Interest
Abbreviations
| FDLT | Freeze dried lung tissue |
| EMT | Epithelial mesenchymal transition |
| NSCLC | non-small cell lung cancer cell line |
| MMP | Mitochondrial membrane potential |
| MSCs | Mesenchymal stem cells |
| EVs | Extracellular vesicles |
| PBS | Phosphate buffer saline |
| CD | Circular dichroism |
| FBS | Fetal bovine serum |
| CCCP | Carbonyl cyanide m-chloro phenyl hydrazone |
| FACS | Fluorescence activated cell sorting |
| SF | Serum-free |
| SD | Standard deviation |
References
- Jones, G.S.; Baldwin, D.R. Recent advances in the management of lung cancer. Clin. Med. 2018, 18 (Suppl. 2), s41–s46. [Google Scholar] [CrossRef]
- Abdelaziz, H.M.; Gaber, M.; Abd-Elwakil, M.M.; Mabrouk, M.T.; Elgohary, M.M.; Kamel, N.M.; Kabary, D.M.; Freag, M.S.; Samaha, M.W.; Mortada, S.M.; et al. Inhalable particulate drug delivery systems for lung cancer therapy: Nanoparticles, microparticles, nanocomposites and nanoaggregates. J. Control. Release 2018, 269, 374–392. [Google Scholar] [CrossRef]
- Zhu, X.; Yu, Z.; Feng, L.; Deng, L.; Fang, Z.; Liu, Z.; Li, Y.; Wu, X.; Qin, L.; Guo, R.; et al. Chitosan-based nanoparticle co-delivery of docetaxel and curcumin ameliorates anti-tumor chemoimmunotherapy in lung cancer. Carbohydr. Polym. 2021, 268, 118237. [Google Scholar] [CrossRef]
- Berni, P.; Conti, V.; Ferroni, O.; Ramoni, R.; Basini, G.; Grolli, S. In Vitro Evaluation of Cytotoxicity and Proliferative Effects of Lyophilized Porcine Liver Tissue on HepG2 Hepatoma Cells and Adipose-Tissue-Derived Mesenchymal Stromal Cells. Appl. Sci. 2021, 11, 6691. [Google Scholar] [CrossRef]
- Attar-Schneider, O.; Drucker, L.; Gottfried, M. The effect of mesenchymal stem cells’ secretome on lung cancer progression is contingent on their origin: Primary or metastatic niche. Lab. Investig. 2018, 98, 1549–1561. [Google Scholar] [CrossRef]
- Ortiz, L.A.; Dutreil, M.; Fattman, C.; Pandey, A.C.; Torres, G.; Go, K.; Phinney, D.G. Interleukin 1 receptor antagonist mediates the antiinflammatory and antifibrotic effect of mesenchymal stem cells during lung injury. Proc. Natl. Acad. Sci. USA 2007, 104, 11002–11007. [Google Scholar] [CrossRef]
- Li, X.; Wu, F. Mesenchymal stem cell-derived extracellular vesicles transfer miR-598 to inhibit the growth and metastasis of non-small-cell lung cancer by targeting THBS2. Cell Death Discov. 2023, 9, 3. [Google Scholar] [CrossRef]
- Lai, R.C.; Yeo, R.W.; Lim, S.K. Mesenchymal stem cell exosomes. Semin. Cell Dev. Biol. 2015, 40, 82–88. [Google Scholar] [CrossRef]
- Mohammadipoor, A.; Antebi, B.; Batchinsky, A.I.; Cancio, L.C. Therapeutic potential of products derived from mesenchymal stem/stromal cells in pulmonary disease. Respir. Res. 2018, 19, 218. [Google Scholar] [CrossRef]
- Da Silva, K.; Kumar, P.; Choonara, Y.E. The paradigm of stem cell secretome in tissue repair and regeneration: Present and future perspectives. Wound Repair Regen. 2025, 33, e13251. [Google Scholar] [CrossRef]
- Weston, W.A.; Holt, J.A.; Wiecek, A.J.; Pilling, J.; Schiavone, L.H.; Smith, D.M.; Secrier, M.; Barr, A.R. An image-based screen for secreted proteins involved in breast cancer G0 cell cycle arrest. Sci. Data 2024, 11, 868. [Google Scholar] [CrossRef]
- Romeo, H.E.; Barreiro Arcos, M.L. Clinical relevance of stem cells in lung cancer. World J. Stem Cells 2023, 15, 576–588. [Google Scholar] [CrossRef]
- Hmadcha, A.; Martin-Montalvo, A.; Gauthier, B.R.; Soria, B.; Capilla-Gonzalez, V. Therapeutic Potential of Mesenchymal Stem Cells for Cancer Therapy. Front. Bioeng. Biotechnol. 2020, 8, 43. [Google Scholar] [CrossRef]
- Miyahara, T.; Nakatsuji, H.; Sugiyama, H. Similarities and Differences between RNA and DNA Double-Helical Structures in Circular Dichroism Spectroscopy: A SAC-CI Study. J. Phys. Chem. A 2016, 120, 9008–9018. [Google Scholar] [CrossRef]
- Montalto, F.I.; De Amicis, F. Cyclin D1 in Cancer: A Molecular Connection for Cell Cycle Control, Adhesion and Invasion in Tumor and Stroma. Cells 2020, 9, 2648. [Google Scholar] [CrossRef]
- Usman, S.; Waseem, N.H.; Nguyen, T.K.N.; Mohsin, S.; Jamal, A.; Teh, M.T.; Waseem, A. Vimentin Is at the Heart of Epithelial Mesenchymal Transition (EMT) Mediated Metastasis. Cancers 2021, 13, 4985. [Google Scholar] [CrossRef]
- Rai, H.; Ahmed, J. N-cadherin: A marker of epithelial to mesenchymal transition in tumor progression. Internet J. Oncol. 2014, 10, 1–8. [Google Scholar]
- Zhu, Q.Q.; Ma, C.; Wang, Q.; Song, Y.; Lv, T. The role of TWIST1 in epithelial-mesenchymal transition and cancers. Tumor Biol. 2016, 37, 185–197. [Google Scholar] [CrossRef]
- Nussinov, R.; Regev, C.; Jang, H. Kinase signaling cascades: An updated mechanistic landscape. Chem. Sci. 2025, 16, 15815–15835. [Google Scholar] [CrossRef] [PubMed]
- Khatri, M.; O’Brien, T.D.; Chattha, K.S.; Saif, L.J. Porcine lung mesenchymal stromal cells possess differentiation and immunoregulatory properties. Stem Cell Res. Ther. 2015, 6, 222. [Google Scholar] [CrossRef]
- Wang, L.; Feng, Y.; Dou, M.; Wang, J.; Bi, J.; Zhang, D.; Hou, D.; Chen, C.; Bai, C.; Zhou, J. Study of mesenchymal stem cells derived from lung-resident, bone marrow and chorion for treatment of LPS-induced acute lung injury. Respir. Physiol. Neurobiol. 2022, 302, 103914. [Google Scholar] [CrossRef]
- Andreoli, V.; Berni, P.; Conti, V.; Ramoni, R.; Basini, G.; Grolli, S. Mesenchymal Stromal Cells Derived from Canine Adipose Tissue: Evaluation of the Effect of Different Shipping Vehicles Used for Clinical Administration. Int. J. Mol. Sci. 2024, 25, 3426. [Google Scholar] [CrossRef]
- Li, L.; Tian, H.; Chen, Z.; Yue, W.; Li, S.; Li, W. Inhibition of lung cancer cell proliferation mediated by human mesenchymal stem cells. Acta Biochim. Biophys. Sin. 2011, 43, 143–148. [Google Scholar] [CrossRef][Green Version]
- Kayama, H.; Takeda, K. Regulation of intestinal epithelial homeostasis by mesenchymal cells. Inflamm. Regen. 2024, 44, 42. [Google Scholar] [CrossRef]
- Tassinari, R.; Cavallini, C.; Olivi, E.; Taglioli, V.; Zannini, C.; Ferroni, O.; Ventura, C. Protective effects of exosomes derived from lyophilized porcine liver against acetaminophen damage on HepG2 cells. BMC Complement. Med. Ther. 2021, 21, 299. [Google Scholar] [CrossRef] [PubMed]
- Zou, Q.; Zhang, M.; Yuan, R.; Wang, Y.; Gong, Z.; Shi, R.; Li, Y.; Fei, K.; Luo, C.; Xiong, Y. Small extracellular vesicles derived from dermal fibroblasts promote fibroblast activity and skin development through carrying miR-218 and ITGBL1. J. Nanobiotechnol. 2022, 20, 296. [Google Scholar] [CrossRef] [PubMed]
- De Rosa, C.; De Rosa, V.; Tuccillo, C.; Tirino, V.; Amato, L.; Papaccio, F.; Ciardiello, D.; Napolitano, S.; Martini, G.; Ciardiello, F.; et al. ITGB1 and DDR activation as novel mediators in acquired resistance to osimertinib and MEK inhibitors in EGFR-mutant NSCLC. Sci. Rep. 2024, 14, 500. [Google Scholar] [CrossRef] [PubMed]
- Cheung, M.C.; Evans, J.G.; McKenna, B.; Ehrlich, D.J. Deep ultraviolet mapping of intracellular protein and nucleic acid in femtograms per pixel. Cytom. Part A 2011, 79, 920–932. [Google Scholar] [CrossRef]







| Spectral Feature | B-DNA | A-RNA |
|---|---|---|
| Positive band (nm) | ~275–280 | ~265–270 |
| Negative band (nm) | ~245 | ~210–220 |
| Helical conformation | Right-handed B-form helix | Right-handed A-form helix |
Disclaimer/Publisher’s Note: The statements, opinions and data contained in all publications are solely those of the individual author(s) and contributor(s) and not of MDPI and/or the editor(s). MDPI and/or the editor(s) disclaim responsibility for any injury to people or property resulting from any ideas, methods, instructions or products referred to in the content. |
© 2025 by the authors. Licensee MDPI, Basel, Switzerland. This article is an open access article distributed under the terms and conditions of the Creative Commons Attribution (CC BY) license (https://creativecommons.org/licenses/by/4.0/).
Share and Cite
Samia, U.; Omodei, D.; Amato, L.; De Rosa, C.; Camerlingo, R.; Conti, V.; Grolli, S.; Ferroni, O.; Piattelli, A.; Roviello, G.N.; et al. Effect of Soluble Factors Released from Porcine Freeze-Dried Lung Tissue (FDLT) on Modulation of Cell Growth and EMT Signature in Non-Small Cell Lung Cancer (NSCLC)—A Preliminary In Vitro Study. Int. J. Mol. Sci. 2025, 26, 11743. https://doi.org/10.3390/ijms262311743
Samia U, Omodei D, Amato L, De Rosa C, Camerlingo R, Conti V, Grolli S, Ferroni O, Piattelli A, Roviello GN, et al. Effect of Soluble Factors Released from Porcine Freeze-Dried Lung Tissue (FDLT) on Modulation of Cell Growth and EMT Signature in Non-Small Cell Lung Cancer (NSCLC)—A Preliminary In Vitro Study. International Journal of Molecular Sciences. 2025; 26(23):11743. https://doi.org/10.3390/ijms262311743
Chicago/Turabian StyleSamia, Umme, Daniela Omodei, Luisa Amato, Caterina De Rosa, Rosa Camerlingo, Virna Conti, Stefano Grolli, Orlando Ferroni, Adriano Piattelli, Giovanni N. Roviello, and et al. 2025. "Effect of Soluble Factors Released from Porcine Freeze-Dried Lung Tissue (FDLT) on Modulation of Cell Growth and EMT Signature in Non-Small Cell Lung Cancer (NSCLC)—A Preliminary In Vitro Study" International Journal of Molecular Sciences 26, no. 23: 11743. https://doi.org/10.3390/ijms262311743
APA StyleSamia, U., Omodei, D., Amato, L., De Rosa, C., Camerlingo, R., Conti, V., Grolli, S., Ferroni, O., Piattelli, A., Roviello, G. N., Della Corte, C. M., De Rosa, V., Curia, M. C., & Iommelli, F. (2025). Effect of Soluble Factors Released from Porcine Freeze-Dried Lung Tissue (FDLT) on Modulation of Cell Growth and EMT Signature in Non-Small Cell Lung Cancer (NSCLC)—A Preliminary In Vitro Study. International Journal of Molecular Sciences, 26(23), 11743. https://doi.org/10.3390/ijms262311743

