Klf5a in Endoderm Promotes Pharyngeal Cartilage Morphogenesis
Abstract
1. Introduction
2. Results
2.1. klf5a Is Specifically Expressed in Pharyngeal Endodermal Pouches
2.2. klf5a Knockdown Causes Severe Pharyngeal Cartilage Defects
2.3. klf5a Deficiency Impairs NCC Proliferation and Differentiation but Not Specification or Migration
2.4. klf5a Knockdown Does Not Disrupt Pharyngeal Pouch Formation or Endodermal Differentiation
2.5. klf5a Promotes NCC Proliferation in the Pharyngeal Region
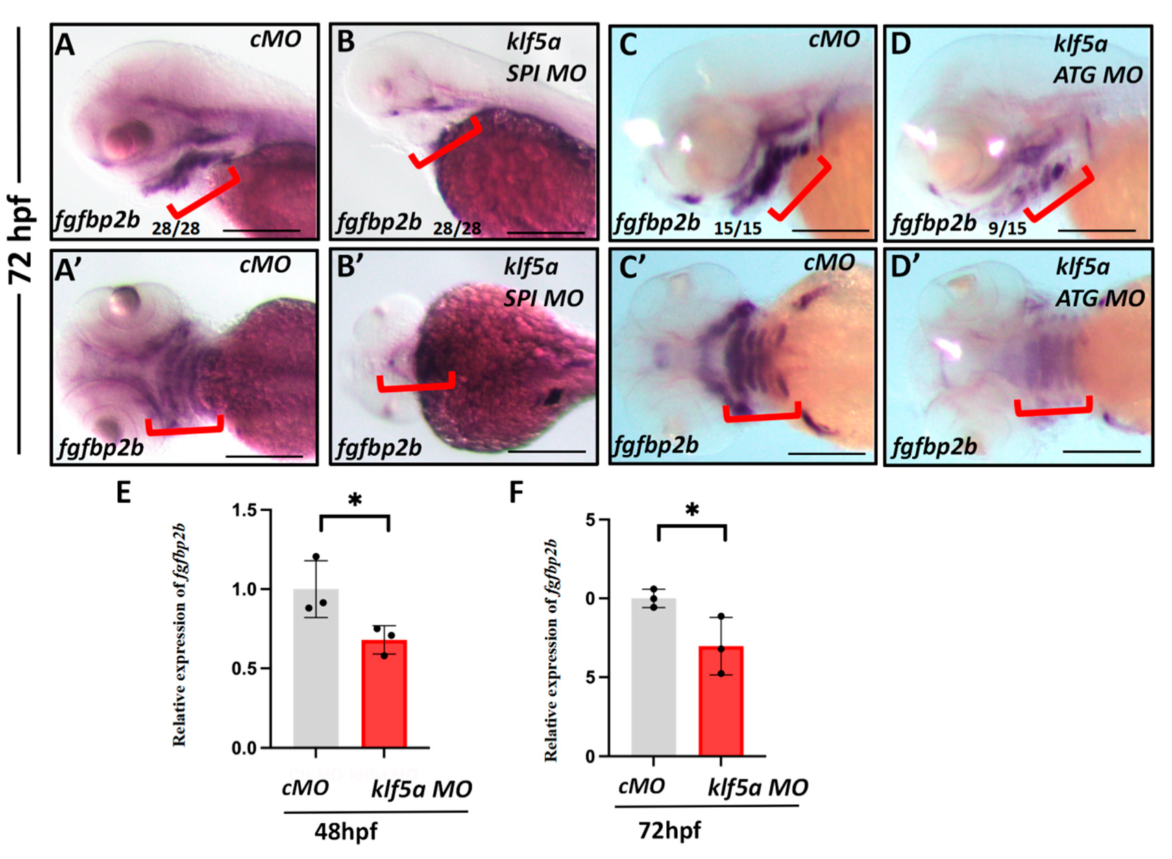
2.6. Klf5a Regulates Pharyngeal Cartilage Development via fgfbp2b
3. Discussion
4. Materials and Methods
4.1. Zebrafish Husbandry and Strains
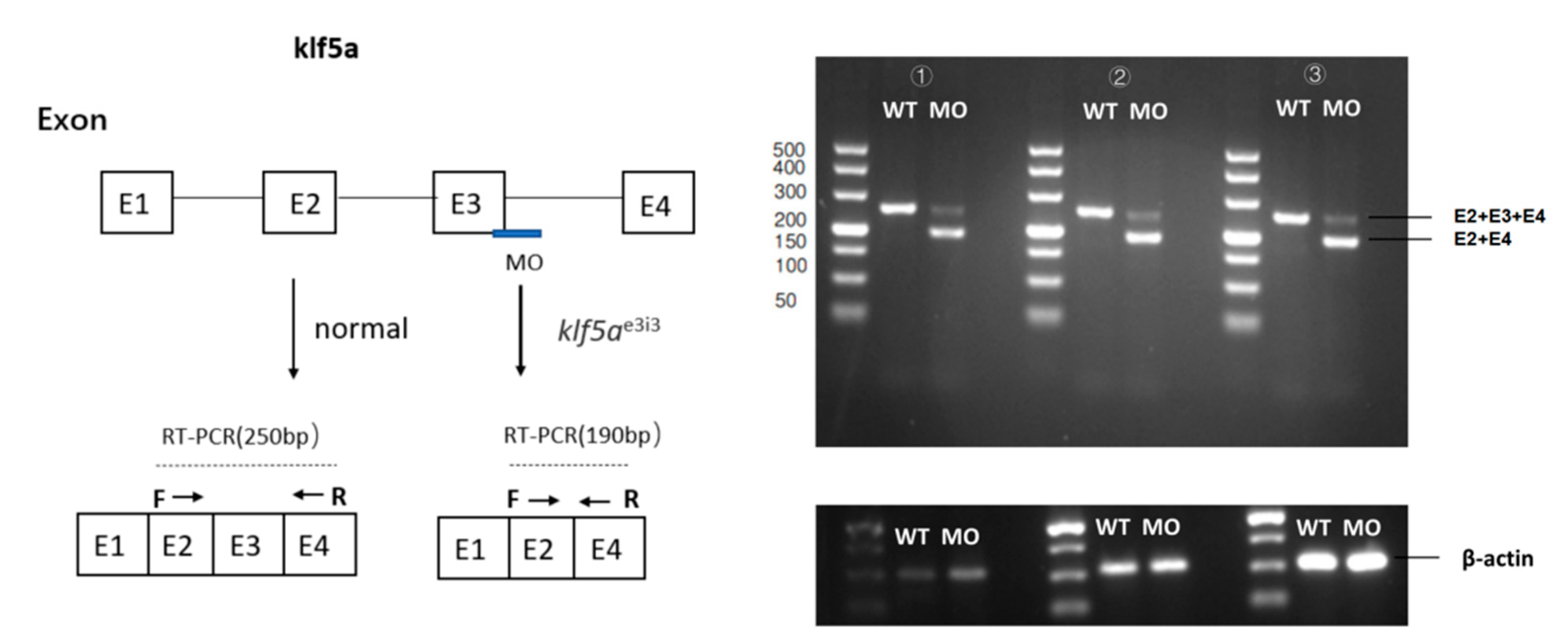
4.2. Morpholino (MO) and Microinjections
4.3. Whole-Mount In Situ Hybridization
4.4. Quantitative Real-Time PCR
4.5. Immunofluorescence and TUNEL Assay
4.6. Alcian Blue Staining
4.7. Rescue Experiments
4.8. Statistical Analysis
Supplementary Materials
Author Contributions
Funding
Institutional Review Board Statement
Informed Consent Statement
Data Availability Statement
Conflicts of Interest
Appendix A






References
- Basar, M.A.; Beck, D.B.; Werner, A. Deubiquitylases in developmental ubiquitin signaling and congenital diseases. Cell Death Differ. 2021, 28, 538–556. [Google Scholar] [CrossRef] [PubMed]
- Lunde, K.; Belting, H.G.; Driever, W. Zebrafish pou5f1/pou2, homolog of mammalian Oct4, functions in the endoderm specification cascade. Curr. Biol. 2004, 14, 48–55. [Google Scholar] [CrossRef]
- Piotrowski, T.; Ahn, D.G.; Schilling, T.F.; Nair, S.; Ruvinsky, I.; Geisler, R.; Rauch, G.J.; Haffter, P.; Zon, L.I.; Zhou, Y.; et al. The zebrafish van gogh mutation disrupts tbx1, which is involved in the DiGeorge deletion syndrome in humans. Development 2003, 130, 5043–5052. [Google Scholar] [CrossRef]
- Zhou, C.; Cui, Y.; Yang, Y.; Guo, D.; Zhang, D.; Fan, Y.; Li, X.; Zou, J.; Xie, J. Runx1 protects against the pathological progression of osteoarthritis. Bone Res. 2021, 9, 50. [Google Scholar] [CrossRef]
- Song, H.; Park, K.H. Regulation and function of SOX9 during cartilage development and regeneration. Semin. Cancer Biol. 2020, 67, 12–23. [Google Scholar] [CrossRef]
- Jeon, H.; Jin, S.; Kim, J.; Joo, S.; Choe, C.P. Pax1a-EphrinB2a pathway in the first pharyngeal pouch controls hyomandibular plate formation by promoting chondrocyte formation in zebrafish. Front. Cell Dev. Biol. 2025, 13, 1482906. [Google Scholar] [CrossRef] [PubMed]
- Tang, G.H.; Rabie, A.B. Runx2 regulates endochondral ossification in condyle during mandibular advancement. J. Dent. Res. 2005, 84, 166–171. [Google Scholar] [CrossRef] [PubMed]
- Van Otterloo, E.; Milanda, I.; Pike, H.; Thompson, J.A.; Li, H.; Jones, K.L.; Williams, T. AP-2α and AP-2β cooperatively function in the craniofacial surface ectoderm to regulate chromatin and gene expression dynamics during facial development. Elife 2022, 11, e70511. [Google Scholar] [CrossRef]
- Zhang, Y.; Blackwell, E.L.; McKnight, M.T.; Knutsen, G.R.; Vu, W.T.; Ruest, L.B. Specific inactivation of Twist1 in the mandibular arch neural crest cells affects the development of the ramus and reveals interactions with hand2. Dev. Dyn. 2012, 241, 924–940. [Google Scholar] [CrossRef]
- Nakaya, T.; Ogawa, S.; Manabe, I.; Tanaka, M.; Sanada, M.; Sato, T.; Taketo, M.M.; Nakao, K.; Clevers, H.; Fukayama, M.; et al. KLF5 regulates the integrity and oncogenicity of intestinal stem cells. Cancer Res. 2014, 74, 2882–2891. [Google Scholar] [CrossRef]
- Zou, H.; Luo, J.; Guo, Y.; Tong, T.; Liu, Y.; Chen, Y.; Xiao, Y.; Ye, L.; Zhu, C.; Deng, L.; et al. Tyrosine kinase SRC-induced YAP1-KLF5 module regulates cancer stemness and metastasis in triple-negative breast cancer. Cell Mol. Life Sci. 2023, 80, 41. [Google Scholar] [CrossRef]
- Delgado-Olguín, P.; Dang, L.T.; He, D.; Thomas, S.; Chi, L.; Sukonnik, T.; Khyzha, N.; Dobenecker, M.W.; Fish, J.E.; Bruneau, B.G. Ezh2-mediated repression of a transcriptional pathway upstream of Mmp9 maintains integrity of the developing vasculature. Dev. (Camb. Engl.) 2014, 141, 4610–4617. [Google Scholar] [CrossRef]
- Zheng, H.Q.; Zhou, Z.; Huang, J.; Chaudhury, L.; Dong, J.T.; Chen, C. Krüppel-like factor 5 promotes breast cell proliferation partially through upregulating the transcription of fibroblast growth factor binding protein 1. Oncogene 2009, 28, 3702–3713. [Google Scholar] [CrossRef]
- Taetzsch, T.; Brayman, V.L.; Valdez, G. FGF binding proteins (FGFBPs): Modulators of FGF signaling in the developing, adult, and stressed nervous system. Biochim. Biophys. Acta Mol. Basis Dis. 2018, 1864, 2983–2991. [Google Scholar] [CrossRef]
- Vitelli, F.; Taddei, I.; Morishima, M.; Meyers, E.N.; Lindsay, E.A.; Baldini, A. A genetic link between Tbx1 and fibroblast growth factor signaling. Development 2002, 129, 4605–4611. [Google Scholar] [CrossRef]
- Jin, S.; Choe, C.P. A Potential Role of fgf4, fgf24, and fgf17 in Pharyngeal Pouch Formation in Zebrafish. Dev. Reprod. 2024, 28, 55–65. [Google Scholar] [CrossRef]
- Landart, M.; Benichi, S.; James, S.; Arnaud, É.; Paternoster, G.; Khonsari, R.H. Frontal bone resorption after fronto-facial monobloc advancement in FGFR-related craniosynostoses: Predictive factors. Plast. Reconstr. Surg. 2024, 155, 1027e–1035e. [Google Scholar] [CrossRef] [PubMed]
- Su, N.; Jin, M.; Chen, L. Role of FGF/FGFR signaling in skeletal development and homeostasis: Learning from mouse models. Bone Res. 2014, 2, 14003. [Google Scholar] [CrossRef] [PubMed]
- Yang, S.; Xu, X.; Yin, Z.; Liu, Y.; Wang, H.; Guo, J.; Wang, F.; Bao, Y.; Zhang, T.; Sun, S. nkx2.3 is responsible for posterior pharyngeal cartilage formation by inhibiting Fgf signaling. Heliyon 2023, 9, e21915. [Google Scholar] [CrossRef] [PubMed]
- Kinikoglu, B.; Kong, Y.; Liao, E.C. Characterization of cultured multipotent zebrafish neural crest cells. Exp. Biol. Med. 2014, 239, 159–168. [Google Scholar] [CrossRef]
- Saxena, A.; Peng, B.N.; Bronner, M.E. Sox10-dependent neural crest origin of olfactory microvillous neurons in zebrafish. Elife 2013, 2, e00336. [Google Scholar] [CrossRef]
- Sperber, S.M.; Saxena, V.; Hatch, G.; Ekker, M. Zebrafish dlx2a contributes to hindbrain neural crest survival, is necessary for differentiation of sensory ganglia and functions with dlx1a in maturation of the arch cartilage elements. Dev. Biol. 2008, 314, 59–70. [Google Scholar] [CrossRef]
- Nichols, J.T.; Pan, L.; Moens, C.B.; Kimmel, C.B. barx1 represses joints and promotes cartilage in the craniofacial skeleton. Development 2013, 140, 2765–2775. [Google Scholar] [CrossRef] [PubMed]
- Yan, Y.L.; Miller, C.T.; Nissen, R.M.; Singer, A.; Liu, D.; Kirn, A.; Draper, B.; Willoughby, J.; Morcos, P.A.; Amsterdam, A.; et al. A zebrafish sox9 gene required for cartilage morphogenesis. Development 2002, 129, 5065–5079. [Google Scholar] [CrossRef]
- Johnson, C.W.; Hernandez-Lagunas, L.; Feng, W.; Melvin, V.S.; Williams, T.; Artinger, K.B. Vgll2a is required for neural crest cell survival during zebrafish craniofacial development. Dev. Biol. 2011, 357, 269–281, Erratum in: Dev Biol. 2012, 363, 332. [Google Scholar] [CrossRef]
- Wei, Z.; Hong, Q.; Ding, Z.; Liu, J. cxcl12a plays an essential role in pharyngeal cartilage development. Front. Cell Dev. Biol. 2023, 11, 1243265. [Google Scholar] [CrossRef] [PubMed]
- Nissen, R.M.; Yan, J.; Amsterdam, A.; Hopkins, N.; Burgess, S.M. Zebrafish foxi one modulates cellular responses to Fgf signaling required for the integrity of ear and jaw patterning. Development 2003, 130, 2543–2554. [Google Scholar] [CrossRef] [PubMed]
- Mombaerts, P.; Iacomini, J.; Johnson, R.S.; Herrup, K.; Tonegawa, S.; Papaioannou, V.E. RAG-1-deficient mice have no mature B and T lymphocytes. Cell 1992, 68, 869–877. [Google Scholar] [CrossRef]
- Abuharbeid, S.; Czubayko, F.; Aigner, A. The fibroblast growth factor-binding protein FGF-BP. Int. J. Biochem. Cell Biol. 2006, 38, 1463–1468. [Google Scholar] [CrossRef]
- Sun, X.; Huang, H.; Pan, X.; Li, S.; Xie, Z.; Ma, Y.; Hu, B.; Wang, J.; Chen, Z.; Shi, P. EGR1 promotes the cartilage degeneration and hypertrophy by activating the Krüppel-like factor 5 and β-catenin signaling. Biochim. Biophys. Acta Mol. Basis Dis. 2019, 1865, 2490–2503. [Google Scholar] [CrossRef]
- Zhang, D.H.; Yin, H.D.; Li, J.J.; Wang, Y.; Yang, C.W.; Jiang, X.S.; Du, H.R.; Liu, Y.P. KLF5 regulates chicken skeletal muscle atrophy via the canonical Wnt/β-catenin signaling pathway. Exp. Anim. 2020, 69, 430–440. [Google Scholar] [CrossRef]
- Crump, J.G.; Maves, L.; Lawson, N.D.; Weinstein, B.M.; Kimmel, C.B. An essential role for Fgfs in endodermal pouch formation influences later craniofacial skeletal patterning. Development 2004, 131, 5703–5716. [Google Scholar] [CrossRef]
- Johal, S.; Elsayed, R.; Panfilio, K.A.; Nelson, A.C. The molecular basis for functional divergence of duplicated SOX factors controlling endoderm formation and left-right patterning in zebrafish. bioRxiv 2024. [Google Scholar] [CrossRef]
- Miller, C.T.; Schilling, T.F.; Lee, K.; Parker, J.; Kimmel, C.B. Sucker encodes a zebrafish Endothelin-1 required for ventral pharyngeal arch development. Dev. (Camb. Engl.) 2000, 127, 3815–3828. [Google Scholar] [CrossRef]
- Tassi, E.; Wellstein, A. The angiogenic switch molecule, secreted FGF-binding protein, an indicator of early stages of pancreatic and colorectal adenocarcinoma. Semin. Oncol. 2006, 33, S50–S56. [Google Scholar] [CrossRef]
- Phillips, B.T.; Bolding, K.; Riley, B.B. Zebrafish fgf3 and fgf8 encode redundant functions required for otic placode induction. Dev. Biol. 2001, 235, 351–365. [Google Scholar] [CrossRef]
- Walshe, J.; Mason, I. Fgf signalling is required for formation of cartilage in the head. Dev. Biol. 2003, 264, 522–536. [Google Scholar] [CrossRef] [PubMed]
- Alexander, C.; Piloto, S.; Le Pabic, P.; Schilling, T.F. Wnt signaling interacts with bmp and edn1 to regulate dorsal-ventral patterning and growth of the craniofacial skeleton. PLoS Genet. 2014, 10, e1004479. [Google Scholar] [CrossRef]
- Li, H.Z.; Zhang, J.L.; Yuan, D.L.; Xie, W.Q.; Ladel, C.H.; Mobasheri, A.; Li, Y.S. Role of signaling pathways in age-related orthopedic diseases: Focus on the fibroblast growth factor family. Mil. Med. Res. 2024, 11, 40. [Google Scholar] [CrossRef] [PubMed]
- Zhu, S.; Bennett, S.; Kuek, V.; Xiang, C.; Xu, H.; Rosen, V.; Xu, J. Endothelial cells produce angiocrine factors to regulate bone and cartilage via versatile mechanisms. Theranostics 2020, 10, 5957–5965. [Google Scholar] [CrossRef] [PubMed]
- Kimmel, C.B.; Sepich, D.S.; Trevarrow, B. Development of segmentation in zebrafish. Development 1988, 104, 197–207. [Google Scholar] [CrossRef] [PubMed]
- Zeng, L.; Childs, S.J. The smooth muscle microRNA miR-145 regulates gut epithelial development via a paracrine mechanism. Dev. Biol. 2012, 367, 178–186. [Google Scholar] [CrossRef] [PubMed]
- Thisse, C.; Thisse, B. High-resolution in situ hybridization to whole-mount zebrafish embryos. Nat. Protoc. 2008, 3, 59–69. [Google Scholar] [CrossRef] [PubMed]





Disclaimer/Publisher’s Note: The statements, opinions and data contained in all publications are solely those of the individual author(s) and contributor(s) and not of MDPI and/or the editor(s). MDPI and/or the editor(s) disclaim responsibility for any injury to people or property resulting from any ideas, methods, instructions or products referred to in the content. |
© 2025 by the authors. Licensee MDPI, Basel, Switzerland. This article is an open access article distributed under the terms and conditions of the Creative Commons Attribution (CC BY) license (https://creativecommons.org/licenses/by/4.0/).
Share and Cite
Li, W.; Zhu, Z.; Sha, O.; Wang, X. Klf5a in Endoderm Promotes Pharyngeal Cartilage Morphogenesis. Int. J. Mol. Sci. 2025, 26, 11044. https://doi.org/10.3390/ijms262211044
Li W, Zhu Z, Sha O, Wang X. Klf5a in Endoderm Promotes Pharyngeal Cartilage Morphogenesis. International Journal of Molecular Sciences. 2025; 26(22):11044. https://doi.org/10.3390/ijms262211044
Chicago/Turabian StyleLi, Wanqiu, Zeyao Zhu, Ou Sha, and Xia Wang. 2025. "Klf5a in Endoderm Promotes Pharyngeal Cartilage Morphogenesis" International Journal of Molecular Sciences 26, no. 22: 11044. https://doi.org/10.3390/ijms262211044
APA StyleLi, W., Zhu, Z., Sha, O., & Wang, X. (2025). Klf5a in Endoderm Promotes Pharyngeal Cartilage Morphogenesis. International Journal of Molecular Sciences, 26(22), 11044. https://doi.org/10.3390/ijms262211044

