Mycobacterium avium Subspecies Hominissuis-Induced Fatal Vasculitis in Zebra Finches (Taeniopygia guttata), USA
Abstract
1. Introduction
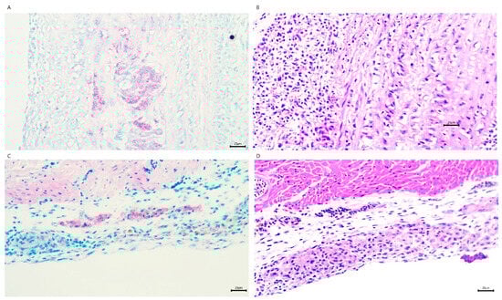
2. Detailed Case Description
3. Discussion
Author Contributions
Funding
Institutional Review Board Statement
Informed Consent Statement
Data Availability Statement
Conflicts of Interest
References
- Palmer, M.V.; Kanipe, C.; Lehman, K.A.; Thacker, T.C.; Putz, E.J.; Boggiatto, P.M. Vaccination of White-Tailed Deer with Mycobacterium bovis Bacillus Calmette-Guérin (BCG): Effect of Mycobacterium avium ssp. paratuberculosis Infection. Microorganisms 2023, 11, 2488. [Google Scholar] [CrossRef] [PubMed]
- Turenne, C.Y.; Wallace, R., Jr.; Behr, M.A. Mycobacterium avium in the postgenomic era. Clin. Microbiol. Rev. 2007, 20, 205–229. [Google Scholar] [CrossRef] [PubMed]
- Eisenberg, T.; Volmer, R.; Eskens, U.; Moser, I.; Nesseler, A.; Sauerwald, C.; Seeger, H.; Klewer-Fromentin, K.; Möbius, P. Outbreak of reproductive disorders and mycobacteriosis in swine associated with a single strain of Mycobacterium avium subspecies hominissuis. Vet. Microbiol. 2012, 159, 69–76. [Google Scholar] [CrossRef] [PubMed]
- Klotz, D.; Barth, S.A.; Baumgärtner, W.; Hewicker-Trautwein, M. Mycobacterium avium subsp. hominissuis Infection in a Domestic Rabbit, Germany. Emerg. Infect. Dis. 2018, 24, 596–598. [Google Scholar] [CrossRef]
- Haist, V.; Seehusen, F.; Moser, I.; Hotzel, H.; Deschl, U.; Baumgärtner, W.; Wohlsein, P. Mycobacterium avium subsp. hominissuis infection in 2 pet dogs, Germany. Emerg. Infect. Dis. 2008, 14, 988–990. [Google Scholar] [CrossRef] [PubMed]
- Hoop, R.K.; Böttger, E.C.; Ossent, P.; Salfinger, M. Mycobacteriosis due to Mycobacterium genavense in six pet birds. J. Clin. Microbiol. 1993, 31, 990–993. [Google Scholar] [CrossRef] [PubMed]
- Guerrero, C.; Bernasconi, C.; Burki, D.; Bodmer, T.; Telenti, A. A novel insertion element from Mycobacterium avium, IS1245, is a specific target for analysis of strain relatedness. J. Clin. Microbiol. 1995, 33, 304–307. [Google Scholar] [CrossRef] [PubMed]
- Kunze, Z.M.; Portaels, F.; McFadden, J.J. Biologically distinct subtypes of Mycobacterium avium differ in possession of insertion sequence IS901. J. Clin. Microbiol. 1992, 30, 2366–2372. [Google Scholar] [CrossRef] [PubMed]
- Tell, L.A.; Woods, L.; Cromie, R.L. Mycobacteriosis in birds. Rev. Sci. Tech. (Int. Off. Epizoot.) 2001, 20, 180–203. [Google Scholar] [CrossRef] [PubMed]
- Falkinham, J.O., 3rd. Environmental sources of nontuberculous mycobacteria. Clin. Chest Med. 2015, 36, 35–41. [Google Scholar] [CrossRef] [PubMed]



Disclaimer/Publisher’s Note: The statements, opinions and data contained in all publications are solely those of the individual author(s) and contributor(s) and not of MDPI and/or the editor(s). MDPI and/or the editor(s) disclaim responsibility for any injury to people or property resulting from any ideas, methods, instructions or products referred to in the content. |
© 2025 by the authors. Licensee MDPI, Basel, Switzerland. This article is an open access article distributed under the terms and conditions of the Creative Commons Attribution (CC BY) license (https://creativecommons.org/licenses/by/4.0/).
Share and Cite
Chenoweth, K.; Laster, C.; Barua, S.; Wang, C. Mycobacterium avium Subspecies Hominissuis-Induced Fatal Vasculitis in Zebra Finches (Taeniopygia guttata), USA. Int. J. Mol. Sci. 2025, 26, 7555. https://doi.org/10.3390/ijms26157555
Chenoweth K, Laster C, Barua S, Wang C. Mycobacterium avium Subspecies Hominissuis-Induced Fatal Vasculitis in Zebra Finches (Taeniopygia guttata), USA. International Journal of Molecular Sciences. 2025; 26(15):7555. https://doi.org/10.3390/ijms26157555
Chicago/Turabian StyleChenoweth, Kelly, Carey Laster, Subarna Barua, and Chengming Wang. 2025. "Mycobacterium avium Subspecies Hominissuis-Induced Fatal Vasculitis in Zebra Finches (Taeniopygia guttata), USA" International Journal of Molecular Sciences 26, no. 15: 7555. https://doi.org/10.3390/ijms26157555
APA StyleChenoweth, K., Laster, C., Barua, S., & Wang, C. (2025). Mycobacterium avium Subspecies Hominissuis-Induced Fatal Vasculitis in Zebra Finches (Taeniopygia guttata), USA. International Journal of Molecular Sciences, 26(15), 7555. https://doi.org/10.3390/ijms26157555

