Biallelic Loss-of-Function Variant in MINPP1 Causes Pontocerebellar Hypoplasia with Characteristic Severe Neurodevelopmental Disorder
Abstract
1. Introduction
2. Results
2.1. Clinical Description
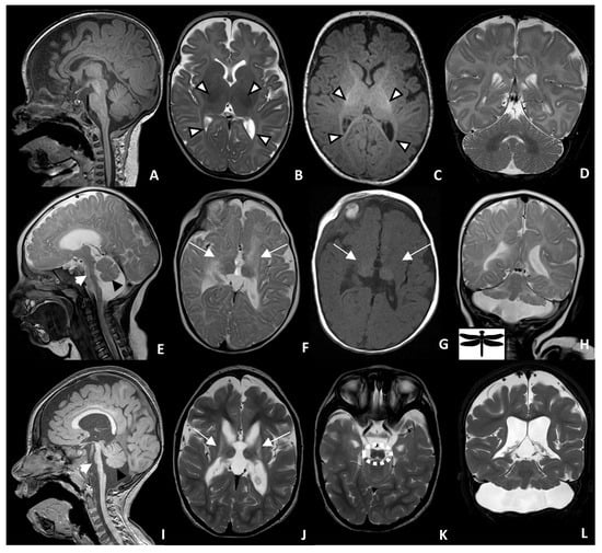
2.2. Neuroradiological Findings
2.3. Molecular Findings
2.4. Untargeted Metabolomics
3. Discussion
4. Materials and Methods
4.1. Ethical Approval
4.2. Genome Sequencing and Variant Prioritization
4.3. Untargeted Metabolomics Sample Preparation and Analysis
4.4. Cell Culture
4.5. Gene Expression and Western Blot Analysis
5. Conclusions
Supplementary Materials
Author Contributions
Funding
Institutional Review Board Statement
Informed Consent Statement
Data Availability Statement
Acknowledgments
Conflicts of Interest
Abbreviations
| PCH | Pontocerebellar hypoplasia |
| MINPP1 | Multiple Inositol Polyphosphate Phosphatase 1 |
| PCs | Phosphatidylcholines |
| PBMCs | Peripheral blood mononuclear cells |
| ATCs | Activated T cells |
| HD | Healthy donor |
| CT | Threshold cycle |
| EBV-B | Epstein–Barr virus-immortalized B cells |
| FC | Fold change |
| RT-qPCR | Real-time quantitative polymerase chain reaction |
References
- Rudnik-Schöneborn, S.; Senderek, J.; Jen, J.C.; Houge, G.; Seeman, P.; Puchmajerová, A.; Graul-Neumann, L.; Seidel, U.; Korinthenberg, R.; Kirschner, J.; et al. Pontocerebellar hypoplasia type 1: Clinical spectrum and relevance of EXOSC3 mutations. Neurology 2013, 80, 438–446. [Google Scholar] [CrossRef] [PubMed]
- Barth, G. Pontocerebellar hypoplasias. An overview of a group of inherited neurodegenerative disorders with fetal onset. Brain Dev. 1993, 15, 411–422. [Google Scholar] [CrossRef] [PubMed]
- van Dijk, T.; Baas, F.; Barth, P.G.; Poll-The, B.T. What’s new in pontocerebellar hypoplasia? An update on genes and subtypes. Orphanet J. Rare Dis. 2018, 13, 92. [Google Scholar] [CrossRef] [PubMed]
- Gershlick, C.D.; Ishida, M.; Jones, J.R.; Bellomo, A.; Bonifacino, J.S.; Everman, D.B. A neurodevelopmental disorder caused by mutations in the VPS51 subunit of the GARP and EARP complexes. Hum. Mol. Genet. 2019, 28, 1548–1560. [Google Scholar] [CrossRef] [PubMed]
- Accogli, A.; Iacomino, M.; Pinto, F.; Orsini, A.; Vari, M.S.; Selmi, R.; Torella, A.; Nigro, V.; Minetti, C.; Severino, M.; et al. Novel AMPD2 mutation in pontocerebellar hypoplasia, dysmorphisms, and teeth abnormalities. Neurol. Genet. 2017, 3, e179. [Google Scholar] [CrossRef] [PubMed]
- Ucuncu, E.; Rajamani, K.; Wilson, M.S.C.; Medina-Cano, D.; Altin, N.; David, P.; Barcia, G.; Lefort, N.; Banal, C.; Vasilache-Dangles, M.-T.; et al. MINPP1 prevents intracellular accumulation of the chelator inositol hexakisphosphate and is mutated in Pontocerebellar Hypoplasia. Nat. Commun. 2020, 11, 6087. [Google Scholar] [CrossRef] [PubMed]
- Appelhof, B.; Wagner, M.; Hoefele, J.; Heinze, A.; Roser, T.; Koch-Hogrebe, M.; Roosendaal, S.D.; Dehghani, M.; Mehrjardi, M.Y.V.; Torti, E.; et al. Pontocerebellar hypoplasia due to bi-allelic variants in MINPP1. Eur. J. Hum. Genet. 2021, 29, 411–421. [Google Scholar] [CrossRef] [PubMed]
- Wilson, M.; Hugge, C.; Bielinska, M.; Nicholas, P.; Majerus, W.; Wilson, D.B. Neural tube defects in mice with reduced levels of inositol 1,3,4-trisphosphate 5/6-kinase. Proc. Natl. Acad. Sci. USA 2009, 106, 9831–9835. [Google Scholar] [CrossRef] [PubMed]
- Scola, E.; Ganau, M.; Robinson, R.; Cleary, M.; De Cocker, L.J.L.; Mankad, K.; Triulzi, F.; D’arco, F. Neuroradiological findings in three cases of pontocerebellar hypoplasia type 9 due to AMPD2 mutation: Typical MRI appearances and pearls for differential diagnosis. Quant. Imaging Med. Surg. 2019, 9, 1966–1972. [Google Scholar] [CrossRef] [PubMed]
- SLaw, H.; Chan, M.-L.; Marathe, G.K.; Parveen, F.; Chen, C.-H.; Ke, L.-Y. An Updated Review of Lysophosphatidylcholine Metabolism in Human Diseases. Int. J. Mol. Sci. 2019, 20, 1149. [Google Scholar] [CrossRef]
- Suliman, M.; Case, K.C.; Schmidtke, M.W.; Lazcano, P.; Onu, C.J.; Greenberg, M.L. Inositol depletion regulates phospholipid metabolism and activates stress signaling in HEK293T cells. Biochim. Biophys. Acta Mol. Cell Biol. Lipids 2022, 1867, 159137. [Google Scholar] [CrossRef] [PubMed]
- Tsai, M.-T.; Tarng, D.-C. Beyond a Measure of Liver Function-Bilirubin Acts as a Potential Cardiovascular Protector in Chronic Kidney Disease Patients. Int. J. Mol. Sci. 2018, 20, 117. [Google Scholar] [CrossRef] [PubMed]
- Isaya, G. Mitochondrial iron-sulfur cluster dysfunction in neurodegenerative disease. Front. Pharmacol. 2014, 5, 29. [Google Scholar] [CrossRef] [PubMed]
- Kilaparty, S.; Agarwal, R.; Singh, P.; Kannan, K.; Ali, N. Endoplasmic reticulum stress-induced apoptosis accompanies enhanced expression of multiple inositol polyphosphate phosphatase 1 (Minpp1): A possible role for Minpp1 in cellular stress response. Cell Stress Chaperones 2016, 21, 593–608. [Google Scholar] [CrossRef] [PubMed]
- Hernández-Corbacho, M.J.; Salama, M.F.; Canals, D.; Senkal, C.E.; Obeid, L.M. Sphingolipids in mitochondria. Biochim. Biophys. Acta Mol. Cell Biol. Lipids 2017, 1862, 56–68. [Google Scholar] [CrossRef] [PubMed]
- Karczewski, K.J.; Francioli, L.C.; Tiao, G.; Cummings, B.B.; Alfoldi, J.; Wang, Q.; Collins, R.L.; Laricchia, K.M.; Ganna, A.; Birnbaum, D.P.; et al. The mutational constraint spectrum quantified from variation in 141,456 humans. Nature 2020, 581, 434–443. [Google Scholar] [CrossRef] [PubMed]
- Al Kuwari, H.; Al Thani, A.; Al Marri, A.; Al Kaabi, A.; Abderrahim, H.; Afifi, N.; Qafoud, F.; Chan, Q.; Tzoulaki, I.; Downey, P.; et al. The Qatar Biobank: Background and methods. BMC Public Health 2015, 15, 1208. [Google Scholar] [CrossRef] [PubMed]
- Shaath, R.; Al-Maraghi, A.; Ali, H.; AlRayahi, J.; Kennedy, A.D.; DeBalsi, K.L.; Hussein, S.; Elbashir, N.; Padmajeya, S.S.; Palaniswamy, S.; et al. Integrating Genome Sequencing and Untargeted Metabolomics in Monozygotic Twins with a Rare Complex Neurological Disorder. Metabolites 2024, 14, 152. [Google Scholar] [CrossRef] [PubMed]
- Miller, M.J.; Kennedy, A.D.; Eckhart, A.D.; Burrage, L.C.; Wulff, J.E.; Miller, L.A.D.; Milburn, M.V.; Ryals, J.A.; Beaudet, A.L.; Sun, Q.; et al. Erratum to: Untargeted metabolomic analysis for the clinical screening of inborn errors of metabolism. J. Inherit. Metab. Dis. 2016, 39, 757. [Google Scholar] [CrossRef] [PubMed]
- Ford, L.; Kennedy, A.D.; Goodman, K.D.; Pappan, K.L.; Evans, A.M.; Miller, L.A.D.; E Wulff, J.; Wiggs, B.R.; Lennon, J.J.; Elsea, S.; et al. Precision of a Clinical Metabolomics Profiling Platform for Use in the Identification of Inborn Errors of Metabolism. J. Appl. Lab. Med. 2020, 5, 342–356. [Google Scholar] [CrossRef] [PubMed]


| Number of Affected | Position (GRCh37\hg19) | HGVS cDNA | HGVS Protein | Exon | Zygosity | |
|---|---|---|---|---|---|---|
| Present report | 1 | chr10:89312171 | c.1401del | p.Ser468Valfs*10 | 5 | Homozygous |
| Appelhof et al. [7] | 2 | chr10:89264735 | c.75_94del | p.Leu27Argfs*39 | 1 | Homozygous |
| 2 | chr10:89272896 | c.851C>A | p.Ala284Asp | 3 | Homozygous | |
| 1 | chr10:89311981 | c.1210C>T | p.(Arg404*) | 5 | Homozygous | |
| 3 | chr10:89280851 | c.992T>G | p.(Ile331Ser) | 4 | Homozygous | |
| Ucuncu et al. [6] | 2 | chr10:89264893 | c.223_224insGGGGG | p.Glu75Glyfs*30 | 1 | Homozygous |
| 1 | chr10:89264829 chr10:89264971 | c.157T>G c.300del | p.Tyr53Asp p.Lys101Serfs*2 | 1 1 | Compound Heterozygous | |
| 1 | chr10:89311973 | c.1202G>A | p.Arg401Gln | 5 | Homozygous | |
| 1 | chr10:89312227 | c.1456G>A | p.Glu486Lys | 5 | Homozygous | |
| 1 | chr10:89264853 | c.181_182insGAC | p.Leu61* | 1 | Homozygous | |
| 2 | chr10:89268137 | c.682T>C | p.Phe228Leu | 2 | Homozygous |
Disclaimer/Publisher’s Note: The statements, opinions and data contained in all publications are solely those of the individual author(s) and contributor(s) and not of MDPI and/or the editor(s). MDPI and/or the editor(s) disclaim responsibility for any injury to people or property resulting from any ideas, methods, instructions or products referred to in the content. |
© 2025 by the authors. Licensee MDPI, Basel, Switzerland. This article is an open access article distributed under the terms and conditions of the Creative Commons Attribution (CC BY) license (https://creativecommons.org/licenses/by/4.0/).
Share and Cite
Al-Maraghi, A.; Shaath, R.; Ford, K.; Aamer, W.; AlRayahi, J.; Hussein, S.; Aliyev, E.; Agrebi, N.; Kohailan, M.; Hubrack, S.Z.; et al. Biallelic Loss-of-Function Variant in MINPP1 Causes Pontocerebellar Hypoplasia with Characteristic Severe Neurodevelopmental Disorder. Int. J. Mol. Sci. 2025, 26, 5213. https://doi.org/10.3390/ijms26115213
Al-Maraghi A, Shaath R, Ford K, Aamer W, AlRayahi J, Hussein S, Aliyev E, Agrebi N, Kohailan M, Hubrack SZ, et al. Biallelic Loss-of-Function Variant in MINPP1 Causes Pontocerebellar Hypoplasia with Characteristic Severe Neurodevelopmental Disorder. International Journal of Molecular Sciences. 2025; 26(11):5213. https://doi.org/10.3390/ijms26115213
Chicago/Turabian StyleAl-Maraghi, Aljazi, Rulan Shaath, Katherine Ford, Waleed Aamer, Jehan AlRayahi, Sura Hussein, Elbay Aliyev, Nourhen Agrebi, Muhammad Kohailan, Satanay Z. Hubrack, and et al. 2025. "Biallelic Loss-of-Function Variant in MINPP1 Causes Pontocerebellar Hypoplasia with Characteristic Severe Neurodevelopmental Disorder" International Journal of Molecular Sciences 26, no. 11: 5213. https://doi.org/10.3390/ijms26115213
APA StyleAl-Maraghi, A., Shaath, R., Ford, K., Aamer, W., AlRayahi, J., Hussein, S., Aliyev, E., Agrebi, N., Kohailan, M., Hubrack, S. Z., Palaniswamy, S., Kennedy, A. D., DeBalsi, K. L., Elsea, S. H., Benini, R., Ben-Omran, T., Lo, B., Akil, A. S. A., & Fakhro, K. A. (2025). Biallelic Loss-of-Function Variant in MINPP1 Causes Pontocerebellar Hypoplasia with Characteristic Severe Neurodevelopmental Disorder. International Journal of Molecular Sciences, 26(11), 5213. https://doi.org/10.3390/ijms26115213

