Analyses of the MYBL1 Gene in Triple Negative Breast Cancer: Evidence of Regulation of the VCPIP1 Gene and Identification of a Specific Exon Overexpressed in Tumor Cell Lines
Abstract
1. Introduction
2. Results
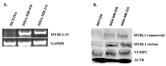
2.1. Co-Expression of MYBL1 and VCPIP1 Genes and Experimental Analyses of MYBL1 Transcription Factor Binding to VCPIP1 Promoter
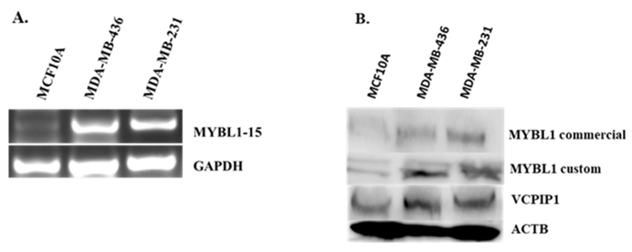
2.2. Identification of a Unique Exon Associated with MYBL1 Transcript Variants and Protein Isoforms
3. Discussion
4. Materials and Methods
4.1. Maintenance of Cell Lines
4.2. TNBC Patient Sample Dataset Analyzed for MYBL1 and VCPIP1 Gene Expression
4.3. Ribonucleic Acid (RNA) Isolation and Analyses
4.4. Generating Complementary DNA (cDNA)
4.5. Generation and Validation of the PCR Gene Primer Sets
4.6. PCR Procedure
4.7. Western Blotting Procedure and Reagents
4.8. Identification and Validation of the MYBL1 Transcription Factor Binding Site in the VCPIP1 Promoter
4.9. EMSA Reagents and Proczedure
4.10. Sequence Alignment and Other Data Analyses
5. Conclusions
Author Contributions
Funding
Institutional Review Board Statement
Informed Consent Statement
Data Availability Statement
Acknowledgments
Conflicts of Interest
References
- Siegel, R.L.; Giaquinto, A.N.; Jemal, A. Cancer statistics, 2024. CA A Cancer J. Clin. 2024, 74, 12–49. [Google Scholar] [CrossRef] [PubMed]
- Liu, Y.; Hu, Y.; Xue, J.; Li, J.; Yi, J.; Bu, J.; Zhang, Z.; Qiu, P.; Gu, X. Advances in immunotherapy for triple-negative breast cancer. Mol. Cancer Res. 2023, 22, 145. [Google Scholar] [CrossRef] [PubMed]
- Bergmann, D.G.; Souza, L.M.; Baluda, M.A. Vertebrate DNAs contain nucleotide sequences related to the transforming gene of avian myeloblastosis virus. J. Virol. 1981, 40, 450–455. [Google Scholar] [CrossRef] [PubMed]
- Facchinetti, V.; Loffarelli, L.; Fau-Schreek, S.; Schreek S Fau-Oelgeschläger, M.; Oelgeschläger, M.; Fau-Lüscher, B.; Lüscher, B.; Fau-Introna, M.; Introna, M.; Fau-Golay, J.; et al. Regulatory domains of the A-Myb transcription factor and its interaction with the CBP/p300 adaptor molecules. Biochem. J. 1997, 324 Pt 3, 729–736. [Google Scholar] [CrossRef] [PubMed]
- Rushton, J.J.; Davis Lm Fau-Lei, W.; Lei, W.; Fau-Mo, X.; Mo, X.; Fau-Leutz, A.; Leutz, A.; Fau-Ness, S.A.; Ness, S.A. Distinct changes in gene expression induced by A-Myb, B-Myb and c-Myb proteins. Nat. Commun. 2023, 14, 686. [Google Scholar] [CrossRef] [PubMed]
- Hoareau, M.A.-O.; Rincheval-Arnold, A.A.-O.; Gaumer, S.A.-O.X.; Guénal, I.A.-O. DREAM a little dREAM of DRM: Model organisms and conservation of DREAM-like complexes: Model organisms uncover the mechanisms of DREAM-mediated transcription regulation. Bioessays 2023, 46, e2300125. [Google Scholar] [CrossRef] [PubMed]
- Iness, A.N.; Felthousen, J.; Ananthapadmanabhan, V.; Sesay, F.; Saini, S.; Guiley, K.Z.; Rubin, S.M.; Dozmorov, M.; Litovchick, L. The cell cycle regulatory DREAM complex is disrupted by high expression of oncogenic B-Myb. Oncogene 2019, 38, 1080–1092. [Google Scholar] [CrossRef] [PubMed]
- Guiley, K.Z.; Liban, T.J.; Felthousen, J.G.; Ramanan, P.; Litovchick, L.; Rubin, S.M. Structural mechanisms of DREAM complex assembly and regulation. Genes. Dev. 2015, 29, 961–974. [Google Scholar] [CrossRef] [PubMed]
- Kohler, R.A.-O.; Engeland, K.A.-O. A-MYB substitutes for B-MYB in activating cell cycle genes and in stimulating proliferation. Nucleic Acids Res. 2024, 52, 6830–6849. [Google Scholar] [CrossRef]
- Kalelioglu, T.A.-O.; Rama, B.A.-O.; Cho, B.B.; Lopes, B.M.; Patel, S.H. Pediatric-type diffuse low-grade glioma with MYB/MYBL1 alteration: Report of 2 cases. Neuroradiol. J. 2023, 36, 232–235. [Google Scholar] [CrossRef]
- Kim, J.; Geyer, F.C.; Martelotto, L.G.; Ng, C.A.-O.; Lim, R.S.; Selenica, P.; Li, A.; Pareja, F.; Fusco, N.; Edelweiss, M.; et al. MYBL1 rearrangements and MYB amplification in breast adenoid cystic carcinomas lacking the MYB-NFIB fusion gene. J. Pathol. 2018, 244, 143–150. [Google Scholar] [CrossRef]
- Wang, T.; Jian, W.; Xue, W.; Meng, Y.; Xia, Z.; Li, Q.; Xu, S.; Dong, Y.; Mao, A.; Zhang, C. Integration analysis identifies MYBL1 as a novel immunotherapy biomarker affecting the immune microenvironment in clear cell renal cell carcinoma: Evidence based on machine learning and experiments. Front. Immunol. 2022, 14, 1080403. [Google Scholar] [CrossRef] [PubMed]
- Player, A.; Abraham, N.; Burrell, K.; Bengone, I.O.; Harris, A.; Nunez, L.; Willaims, T.; Kwende, S.; Walls, W. Identification of candidate genes associated with triple negative breast cancer. Genes Cancer 2017, 8, 659–672. [Google Scholar] [CrossRef] [PubMed]
- Player, A.A.N.; Abdulrahman, N.; Nsende, E.; Cunningham, S.; Rogers, S. MYBL1 Knockdown in a Triple Negative Breast Cancer Line: Evidence of Down-Regulation of MYBL2, TCF19 and KIF18b Expression. Am. J. Cancer Clin. Res. 2021, 8, 1–11. [Google Scholar]
- Player, A.; Cunningham, S.; Philio, D.; Roy, R.; Haynes, C.; Dixon, C.; Thirston, L.; Ibikunle, F.; Boswell, T.A.; Alnakhalah, A.; et al. Characterization of MYBL1 Gene in Triple-Negative Breast Cancers and the Genes’ Relationship to Alterations Identified at the Chromosome 8q Loci. Int. J. Mol. Sci. 2024, 22, 2539. [Google Scholar] [CrossRef] [PubMed]
- Sakamoto, K.; Katayama, R.A.-O.X.; Asaka, R.; Sakata, S.; Baba, S.; Nakasone, H.; Koike, S.; Tsuyama, N.; Dobashi, A.; Sasaki, M.; et al. Recurrent 8q24 rearrangement in blastic plasmacytoid dendritic cell neoplasm: Association with immunoblastoid cytomorphology, MYC expression, and drug response. Leukemia 2018, 32, 2590–2603. [Google Scholar] [CrossRef]
- Fujii, K.; Murase, T.; Beppu, S.; Saida, K.; Takino, H.; Masaki, A.; Ijichi, K.; Kusafuka, K.; Iida, Y.; Onitsuka, T.; et al. MYB, MYBL1, MYBL2 and NFIB gene alterations and MYC overexpression in salivary gland adenoid cystic carcinoma. Histopathology 2017, 71, 823–834. [Google Scholar] [CrossRef]
- Arsura, M.; Hofmann Cs Fau-Golay, J.; Golay, J.; Fau-Introna, M.; Introna, M.; Fau-Sonenshein, G.E.; Sonenshein, G.E. A-myb rescues murine B-cell lymphomas from IgM-receptor-mediated apoptosis through c-myc transcriptional regulation. Blood 2000, 96, 1013–1020. [Google Scholar] [CrossRef] [PubMed]
- Dang, C.V. MYC on the path to cancer. Cell 2012, 149, 22–35. [Google Scholar] [CrossRef]
- Bubola, J.; MacMillan, C.M.; Demicco, E.G.; Chami, R.A.; Chung, C.T.; Leong, I.; Marrano, P.; Onkal, Z.; Swanson, D.; Veremis, B.M.; et al. Targeted RNA sequencing in the routine clinical detection of fusion genes in salivary gland tumors. Genes. Chromosomes Cancer 2021, 60, 695–708. [Google Scholar] [CrossRef] [PubMed]
- Uchiyama, K.; Jokitalo, E.; Fau-Kano, F.; Kano, F.; Fau-Murata, M.; Murata, M.; Fau-Zhang, X.; Zhang, X.; Fau-Canas, B.; Canas, B.; et al. VCIP135, a novel essential factor for p97/p47-mediated membrane fusion, is required for Golgi and ER assembly in vivo. J. Cell Biol. 2002, 159, 855–866. [Google Scholar] [CrossRef] [PubMed]
- Sayers, E.W.; Beck, J.; Bolton, E.E.; Bourexis, D.; Brister, J.R.; Canese, K.; Comeau, D.C.; Funk, K.; Kim, S.; Klimke, W.; et al. Database resources of the National Center for Biotechnology Information. Nucleic Acids Res. 2021, 49, D10–D17. [Google Scholar] [CrossRef] [PubMed]
- Stormo, G.D. Modeling the specificity of protein-DNA interactions. Quant. Biol. 2013, 1, 115–130. [Google Scholar] [CrossRef] [PubMed]
- Ciriello, G.; Gatza, M.L.; Beck, A.H.; Wilkerson, M.D.; Rhie, S.K.; Pastore, A.; Zhang, H.; McLellan, M.; Yau, C.; Kandoth, C.; et al. Comprehensive Molecular Portraits of Invasive Lobular Breast Cancer. Cell 2015, 163, 506–519. [Google Scholar] [CrossRef]
- Pereira, B.; Chin, S.F.; Rueda, O.M.; Vollan, H.K.; Provenzano, E.; Bardwell, H.A.; Pugh, M.; Jones, L.; Russell, R.; Sammut, S.J.; et al. The somatic mutation profiles of 2,433 breast cancers refines their genomic and transcriptomic landscapes. Nat. Commun. 2016, 10, 11479. [Google Scholar] [CrossRef] [PubMed]
- Ziebold, U.; Klempnauer, K.H. Linking Myb to the cell cycle: Cyclin-dependent phosphorylation and regulation of A-Myb activity. Oncogene 1997, 15, 1011–1019. [Google Scholar] [CrossRef][Green Version]
- Fishilevich, S.; Nudel, R.; Rappaport, N.; Hadar, R.; Plaschkes, I.; Iny Stein, T.; Rosen, N.; Kohn, A.; Twik, M.; Safran, M.; et al. GeneHancer: Genome-wide integration of enhancers and target genes in GeneCards. Database 2017, 2017, bax028. [Google Scholar] [CrossRef] [PubMed]
- Castro-Mondragon, J.A.-O.X.; Riudavets-Puig, R.A.-O.; Rauluseviciute, I.A.-O.; Lemma, R.A.-O.; Turchi, L.A.-O.; Blanc-Mathieu, R.A.-O.; Lucas, J.A.-O.; Boddie, P.; Khan, A.A.-O.; Manosalva Pérez, N.A.-O.; et al. JASPAR 2022: The 9th release of the open-access database of transcription factor binding profiles. Nucleic Acids Res. 2022, 7, D165–D173. [Google Scholar] [CrossRef] [PubMed]
- Messeguer, X.; Escudero, R.; Fau-Farré, D.; Farré, D.; Fau-Núñez, O.; Núñez, O.; Fau-Martínez, J.; Martínez, J.; Fau-Albà, M.M.; Albà, M.M. PROMO: Detection of known transcription regulatory elements using species-tailored searches. Bioinformatics 2002, 18, 333–334. [Google Scholar] [CrossRef]
- Iñiguez, L.P.; Hernández, G.; Richter, P. Updates to the Alliance of Genome Resources central infrastructure. Genetics 2024, 227, iyae049. [Google Scholar]
- Hornbeck, P.V.; Kornhauser, J.M.; Latham, V.; Murray, B.; Nandhikonda, V.; Nord, A.; Skrzypek, E.; Wheeler, T.; Zhang, B.; Gnad, F. 15 years of PhosphoSitePlus®: Integrating post-translationally modified sites, disease variants and isoforms. Nucleic Acids Res. 2019, 47, D433–D441. [Google Scholar] [CrossRef] [PubMed]
- Corpet, F. Multiple sequence alignment with hierarchical clustering. Nucleic Acids Res. 1998, 16, 10881–10890. [Google Scholar] [CrossRef] [PubMed]
- Iñiguez, L.P.; Hernández, G. The Evolutionary Relationship between Alternative Splicing and Gene Duplication. Front. Genet. 2017, 14, 14. [Google Scholar] [CrossRef] [PubMed]
- Szklarczyk, D.; Kirsch, R.; Koutrouli, M.A.-O.; Nastou, K.A.-O.; Mehryary, F.A.-O.; Hachilif, R.; Gable, A.L.; Fang, T.A.-O.; Doncheva, N.A.-O.; Pyysalo, S.; et al. The STRING database in 2023: Protein-protein association networks and functional enrichment analyses for any sequenced genome of interest. Nucleic Acids Res 2023, 51, D638–D646. [Google Scholar] [CrossRef] [PubMed]
- Huttlin, E.L.; Bruckner, R.J.; Navarrete-Perea, J.; Cannon, J.R.; Baltier, K.; Gebreab, F.; Gygi, M.P.; Thornock, A.; Zarraga, G.; Tam, S.; et al. Dual proteome-scale networks reveal cell-specific remodeling of the human interactome. Cell 2021, 184, 3022–3040.e3028. [Google Scholar] [CrossRef]
- Sleeman, J.P. Xenopus A-myb is expressed during early spermatogenesis. Oncogene 1993, 7, 1931–1941. [Google Scholar]
- Marhamati, D.J.; Bellas Re Fau-Arsura, M.; Arsura, M.; Fau-Kypreos, K.E.; Kypreos Ke Fau-Sonenshein, G.E.; Sonenshein, G.E. A-myb is expressed in bovine vascular smooth muscle cells during the late G1-to-S phase transition and cooperates with c-myc to mediate progression to S phase. Mol. Cell Biol. 1997, 7, 2448–2457. [Google Scholar] [CrossRef] [PubMed]
- Engeland, K. Cell cycle arrest through indirect transcriptional repression by p53: I have a DREAM. Cell Death Differ. 2018, 25, 114–132. [Google Scholar] [CrossRef] [PubMed]
- Huang, S.; Wang, Y.A.-O. Golgi structure formation, function, and post-translational modifications in mammalian cells. F1000Res 2017, 6, 2050. [Google Scholar] [CrossRef] [PubMed]
- Heidelberger, J.B.; Voigt, A.; Borisova, M.E.; Petrosino, G.; Ruf, S.; Wagner, S.A.-O.; Beli, P.A.-O. Proteomic profiling of VCP substrates links VCP to K6-linked ubiquitylation and c-Myc function. EMBO Rep. 2018, 19, e44754. [Google Scholar] [CrossRef]
- Pluta, K.; Lefebvre, O.; Fau-Martin, N.C.; Martin Nc Fau-Smagowicz, W.J.; Smagowicz Wj Fau-Stanford, D.R.; Stanford Dr Fau-Ellis, S.R.; Ellis Sr Fau-Hopper, A.K.; Hopper Ak Fau-Sentenac, A.; Sentenac, A.; Fau-Boguta, M.; et al. Maf1p, a negative effector of RNA polymerase III in Saccharomyces cerevisiae. Mol. Cell Biol. 2001, 21, 5031–5040. [Google Scholar] [CrossRef]
- Genome ResGerhard Ds Fau-Wagner, L.; Wagner, L.; Fau-Feingold, E.A.; Feingold Ea Fau-Shenmen, C.M.; Shenmen Cm Fau-Grouse, L.H.; Grouse Lh Fau-Schuler, G.; Schuler, G.; Fau-Klein, S.L.; Klein Sl Fau-Old, S.; Old, S.; et al. The status, quality, and expansion of the NIH full-length cDNA project: The Mammalian Gene Collection (MGC). Genome Res. 2004, 14, 2121–2127. [Google Scholar]
- Wang, W.; Kirkness, E.F. Short interspersed elements (SINEs) are a major source of canine genomic diversity. Genome Res. 2005, 15, 1798–1808. [Google Scholar] [CrossRef] [PubMed]
- Guttery, D.S.; Shaw Ja Fau-Lloyd, K.; Lloyd, K.; Fau-Pringle, J.H.; Pringle Jh Fau-Walker, R.A.; Walker, R.A. Expression of tenascin-C and its isoforms in the breast. Cancer Metastasis Rev. 2010, 29, 595–606. [Google Scholar] [CrossRef]
- Richter, P.; Tost, M.; Fau-Franz, M.; Franz M Fau-Altendorf-Hofmann, A.; Altendorf-Hofmann, A.; Fau-Junker, K.; Junker, K.; Fau-Borsi, L.; Borsi, L.; Fau-Neri, D.; et al. B and C domain containing tenascin-C: Urinary markers for invasiveness of urothelial carcinoma of the urinary bladder? J. Cancer Res. Clin. Oncol. 2009, 135, 1351–1358. [Google Scholar] [CrossRef] [PubMed]
- Berndt, A.; Anger, K.; Fau-Richter, P.; Richter, P.; Fau-Borsi, L.; Borsi, L.; Fau-Brack, S.; Brack, S.; Fau-Silacci, M.; Silacci, M.; et al. Differential expression of tenascin-C splicing domains in urothelial carcinomas of the urinary bladder. J. Cancer Res. Clin. Oncol. 2006, 132, 537–546. [Google Scholar] [CrossRef]
- Herold-Mende, C.; Mueller Mm Fau-Bonsanto, M.M.; Bonsanto Mm Fau-Schmitt, H.P.; Schmitt Hp Fau-Kunze, S.; Kunze, S.; Fau-Steiner, H.-H.; Steiner, H.H. Clinical impact and functional aspects of tenascin-C expression during glioma progression. Int. J. Cancer 2002, 98, 362–369. [Google Scholar] [CrossRef] [PubMed]
- Boise, L.H.; Gottschalk Ar Fau-Quintáns, J.; Quintáns, J.; Fau-Thompson, C.B.; Thompson, C.B. Bcl-2 and Bcl-2-related proteins in apoptosis regulation. Curr. Top. Microbiol. Immunol. 1995, 200, 107–121. [Google Scholar] [PubMed]
- Gasparski, A.N.; Moissoglu, K.; Pallikkuth, S.; Meydan, S.; Guydosh, N.R.; Mili, S. mRNA location and translation rate determine protein targeting to dual destinations. Mol. Cell 2023, 83, 2726–2738.e2729. [Google Scholar] [CrossRef] [PubMed]
- Cerami, E.; Gao, J.; Fau-Dogrusoz, U.; Dogrusoz, U.; Fau-Gross, B.E.; Gross Be Fau-Sumer, S.O.; Sumer So Fau-Aksoy, B.A.; Aksoy Ba Fau-Jacobsen, A.; Jacobsen, A.; Fau-Byrne, C.J.; et al. The cBio cancer genomics portal: An open platform for exploring multidimensional cancer genomics data. Cancer Discov. 2012, 2, 401–404. [Google Scholar] [CrossRef] [PubMed]
- Untergasser, A.; Cutcutache, I.; Fau-Koressaar, T.; Koressaar, T.; Fau-Ye, J.; Ye, J.; Fau-Faircloth, B.C.; Faircloth Bc Fau-Remm, M.; Remm, M.; Fau-Rozen, S.G.; et al. Primer3—New capabilities and interfaces. Nucleic Acids Res. 2012, 40, e115. [Google Scholar] [CrossRef] [PubMed]
- Kent, W.J.; Sugnet Cw Fau-Furey, T.S.; Furey Ts Fau-Roskin, K.M.; Roskin Km Fau-Pringle, T.H.; Pringle Th Fau-Zahler, A.M.; Zahler Am Fau-Haussler, D.; Haussler, D. The human genome browser at UCSC. Genome Res. 2002, 12, 996–1006. [Google Scholar] [CrossRef]
- Abraham, N.; Kwende, S.; Player, A. Identification of genes differentially expressed in triple negative breast cancer. ARC J. Cancer Sci. 2017, 3, 1–7. [Google Scholar]
- Hellman, L.M.; Fried, M.G. Electrophoretic mobility shift assay (EMSA) for detecting protein-nucleic acid interactions. Nat. Protoc. 2007, 2, 1849–1861. [Google Scholar] [CrossRef] [PubMed]
- Stelzer, G.; Rosen, N.; Plaschkes, I.; Zimmerman, S.; Twik, M.; Fishilevich, S.; Stein, T.I.; Nudel, R.; Lieder, I.; Mazor, Y.; et al. The GeneCards Suite: From Gene Data Mining to Disease Genome Sequence Analyses. Curr. Protoc. Bioinform. 2016, 54, 1.30.1–1.30.33. [Google Scholar] [CrossRef]











| GENE | SEQUENCE (LEFT) | SEQUENCE (RIGHT) | AMPLICON SIZE |
|---|---|---|---|
| GAPDH | TCCCTGAGCTGAACGGGAAG (L) | GGAGGAGTGGGTGTCGCTGT (R) | 217bp |
| MYBL1 ORIGINAL | TGGATAAGTCTGGGCTTATTGG (L) | CCATGCAAGTATGGCTGCTA (R) | 210 bp |
| MYBL1 (EXON 15) | ACCAAACCCTAACACTTCCAA (L) | AGGGAGTGGGGCATTTCATC (R) | 212 bp |
| VCPIP1 | CAGGCAGCTTGATCCTGATT (L) | CTCCCAGTGCATCTGCTACA (R) | 272bp |
Disclaimer/Publisher’s Note: The statements, opinions and data contained in all publications are solely those of the individual author(s) and contributor(s) and not of MDPI and/or the editor(s). MDPI and/or the editor(s) disclaim responsibility for any injury to people or property resulting from any ideas, methods, instructions or products referred to in the content. |
© 2024 by the authors. Licensee MDPI, Basel, Switzerland. This article is an open access article distributed under the terms and conditions of the Creative Commons Attribution (CC BY) license (https://creativecommons.org/licenses/by/4.0/).
Share and Cite
Nganya, C.; Bryant, S.; Alnakhalah, A.; Allen-Boswell, T.; Cunningham, S.; Kanu, S.; Williams, A.; Philio, D.; Dang, K.; Butler, E.; et al. Analyses of the MYBL1 Gene in Triple Negative Breast Cancer: Evidence of Regulation of the VCPIP1 Gene and Identification of a Specific Exon Overexpressed in Tumor Cell Lines. Int. J. Mol. Sci. 2025, 26, 279. https://doi.org/10.3390/ijms26010279
Nganya C, Bryant S, Alnakhalah A, Allen-Boswell T, Cunningham S, Kanu S, Williams A, Philio D, Dang K, Butler E, et al. Analyses of the MYBL1 Gene in Triple Negative Breast Cancer: Evidence of Regulation of the VCPIP1 Gene and Identification of a Specific Exon Overexpressed in Tumor Cell Lines. International Journal of Molecular Sciences. 2025; 26(1):279. https://doi.org/10.3390/ijms26010279
Chicago/Turabian StyleNganya, Chidinma, Sahia Bryant, Ayah Alnakhalah, Taylor Allen-Boswell, Sierra Cunningham, Samuel Kanu, Ashton Williams, Deshai Philio, Kathy Dang, Emmanuel Butler, and et al. 2025. "Analyses of the MYBL1 Gene in Triple Negative Breast Cancer: Evidence of Regulation of the VCPIP1 Gene and Identification of a Specific Exon Overexpressed in Tumor Cell Lines" International Journal of Molecular Sciences 26, no. 1: 279. https://doi.org/10.3390/ijms26010279
APA StyleNganya, C., Bryant, S., Alnakhalah, A., Allen-Boswell, T., Cunningham, S., Kanu, S., Williams, A., Philio, D., Dang, K., Butler, E., & Player, A. (2025). Analyses of the MYBL1 Gene in Triple Negative Breast Cancer: Evidence of Regulation of the VCPIP1 Gene and Identification of a Specific Exon Overexpressed in Tumor Cell Lines. International Journal of Molecular Sciences, 26(1), 279. https://doi.org/10.3390/ijms26010279

